Left Coronary Artery—Right Ventricle Fistula Case Report: Optimal Treatment Decision
Abstract
1. Introduction
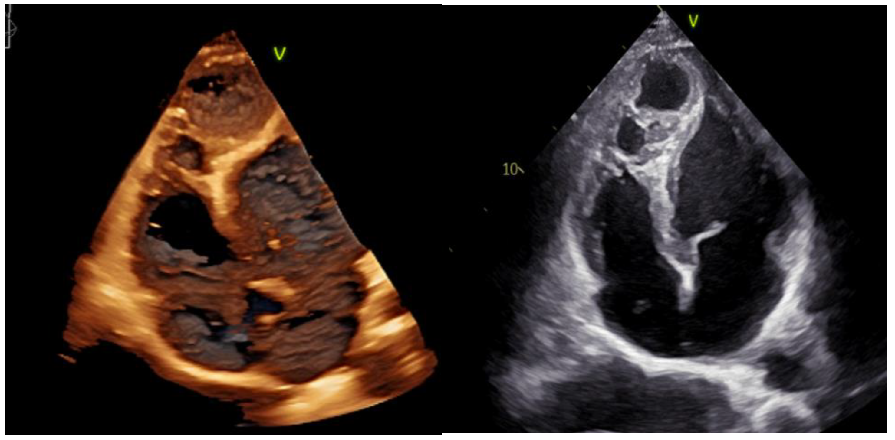
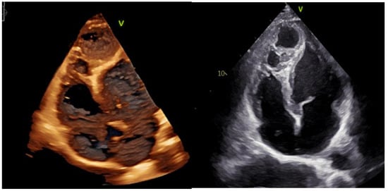
2. Case Presentation
3. Discussion
4. Conclusions
Author Contributions
Funding
Institutional Review Board Statement
Informed Consent Statement
Data Availability Statement
Conflicts of Interest
References
- Lim, J.J.; Jung, J.I.; Lee, B.Y.; Lee, H.G. Prevalence and types of coronary artery fistulas detected with coronary CT angiography. Am. J. Roentgenol. 2014, 203, W237–W243. [Google Scholar] [CrossRef] [PubMed]
- Reddy, G.; Davies, J.E.; Holmes, D.R.; Schaff, H.V.; Singh, S.P.; Alli, O.O. Coronary artery fistulae. Circ. Cardiovasc. Interv. 2015, 8, e003062. [Google Scholar] [CrossRef] [PubMed]
- Pericleous, A.; Dimitrakaki, I.A.; Danelatos, C.; Dimitrakakis, G.; Challoumas, D. Coronary arteriovenous fistulae: A review. Int. J. Angiol. 2014, 23, 1–10. [Google Scholar] [CrossRef] [PubMed] [PubMed Central]
- Schwerzmann, M.; Goossens, E.; Gallego, P.; Kovacs, A.H.; Moons, P.; Swan, L.; Tobler, D.; de Stoutz, N.; Gabriel, H.; Greutmann, M.; et al. Recommendations for advance care planning in adults with congenital heart disease: A position paper from the ESC Working Group of Adult Congenital Heart Disease, the Association of Cardiovascular Nursing and Allied Professions (ACNAP), the European Association for Palliative Care (EAPC), and the International Society for Adult Congenital Heart Disease (ISACHD). Eur. Heart J. 2020, 41, 4200–4210. [Google Scholar] [CrossRef] [PubMed]
- Baumgartner, H.; De Backer, J.; Babu-Narayan, S.V.; Budts, W.; Chessa, M.; Diller, G.P.; Lung, B.; Kluin, J.; Lang, I.M.; Meijboom, F.; et al. 2020 ESC Guidelines for the management of adult congenital heart disease: The Task Force for the management of adult congenital heart disease of the European Society of Cardiology (ESC). Endorsed by: Association for European Paediatric and Congenital Cardiology (AEPC), International Society for Adult Congenital Heart Disease (ISACHD). Eur. Heart J. 2021, 42, 563–645. [Google Scholar] [CrossRef] [PubMed]
- Frampton, J.; Rothstein, E.; Iribarne, A.; Powell, R.; Young, M.N. Percutaneous management strategies for STEMI with coexisting aneurysmal coronary- to-pulmonary artery fistula: A case report. Eur. Heart J.-Case Rep. 2021, 5, ytab15. [Google Scholar] [CrossRef] [PubMed] [PubMed Central]
- Zhang, Q.; Chen, Y.; Hou, Y.; Xiu, J. Right coronary artery–left ventricular fistula with giant right coronary artery of diffuse ectasia: A case report. Eur. Heart J.-Case Rep. 2021, 5, ytaa581. [Google Scholar] [CrossRef] [PubMed] [PubMed Central]
- Yun, G.; Nam, T.H.; Chun, E.J. Coronary Artery Fistulas: Pathophysiology, Imaging Findings, and Management. RadioGraphics 2018, 38, 688–703, Erratum in RadioGraphics 2018, 38, 2214. [Google Scholar] [CrossRef] [PubMed]
- Kumar, D.; Ponna, P.K.; Po, J.R.; Jamoua, R.; Kalavakunta, J.K. Coronary Arteriovenous Fistula Originating From the Left Main Coronary Artery. Cureus 2022, 14, e24824. [Google Scholar] [CrossRef] [PubMed] [PubMed Central]
- Lee, Y.; Naruse, Y.; Tanaka, K. Surgical Treatment of Coronary to Pulmonary Artery Fistulas in Adults. Int. Heart J. 2017, 58, 1012–1016. [Google Scholar] [CrossRef] [PubMed][Green Version]
- Latson, L.A. Coronary artery fistulas: How to manage them. Catheter. Cardiovasc. Interv. 2007, 70, 111–118. [Google Scholar] [CrossRef] [PubMed]
- Kumar, R.; Kumar, J.; O’Connor, C.; Ullah, I.; Tyrell, B.; Pearson, I.; Matiullah, S.; Bainey, K. Coronary Artery Fistula: A Dignostic Dilemma. Interv. Cardiol. 2023, 18, e25. [Google Scholar] [CrossRef]



Disclaimer/Publisher’s Note: The statements, opinions and data contained in all publications are solely those of the individual author(s) and contributor(s) and not of MDPI and/or the editor(s). MDPI and/or the editor(s) disclaim responsibility for any injury to people or property resulting from any ideas, methods, instructions or products referred to in the content. |
© 2025 by the authors. Published by MDPI on behalf of the Lithuanian University of Health Sciences. Licensee MDPI, Basel, Switzerland. This article is an open access article distributed under the terms and conditions of the Creative Commons Attribution (CC BY) license (https://creativecommons.org/licenses/by/4.0/).
Share and Cite
Veljković, S.; Peruničić, A.; Lakčević, J.; Šljivo, A.; Radoičić, D.; Farkić, M.; Boljević, D.; Kljajević, J.; Bojić, M.; Nikolić, A. Left Coronary Artery—Right Ventricle Fistula Case Report: Optimal Treatment Decision. Medicina 2025, 61, 56. https://doi.org/10.3390/medicina61010056
Veljković S, Peruničić A, Lakčević J, Šljivo A, Radoičić D, Farkić M, Boljević D, Kljajević J, Bojić M, Nikolić A. Left Coronary Artery—Right Ventricle Fistula Case Report: Optimal Treatment Decision. Medicina. 2025; 61(1):56. https://doi.org/10.3390/medicina61010056
Chicago/Turabian StyleVeljković, Stefan, Ana Peruničić, Jovana Lakčević, Armin Šljivo, Dragana Radoičić, Mihajlo Farkić, Darko Boljević, Jelena Kljajević, Milovan Bojić, and Aleksandra Nikolić. 2025. "Left Coronary Artery—Right Ventricle Fistula Case Report: Optimal Treatment Decision" Medicina 61, no. 1: 56. https://doi.org/10.3390/medicina61010056
APA StyleVeljković, S., Peruničić, A., Lakčević, J., Šljivo, A., Radoičić, D., Farkić, M., Boljević, D., Kljajević, J., Bojić, M., & Nikolić, A. (2025). Left Coronary Artery—Right Ventricle Fistula Case Report: Optimal Treatment Decision. Medicina, 61(1), 56. https://doi.org/10.3390/medicina61010056

