Combined Statistical Analysis of Glioblastoma Outcomes—A Neurosurgical Single-Institution Retrospective Study
Abstract
1. Introduction
2. Materials and Methods
Statistics and Replicability
3. Results
3.1. Demographic Profile, Clinicopathological Characteristics, and Correlation Analysis
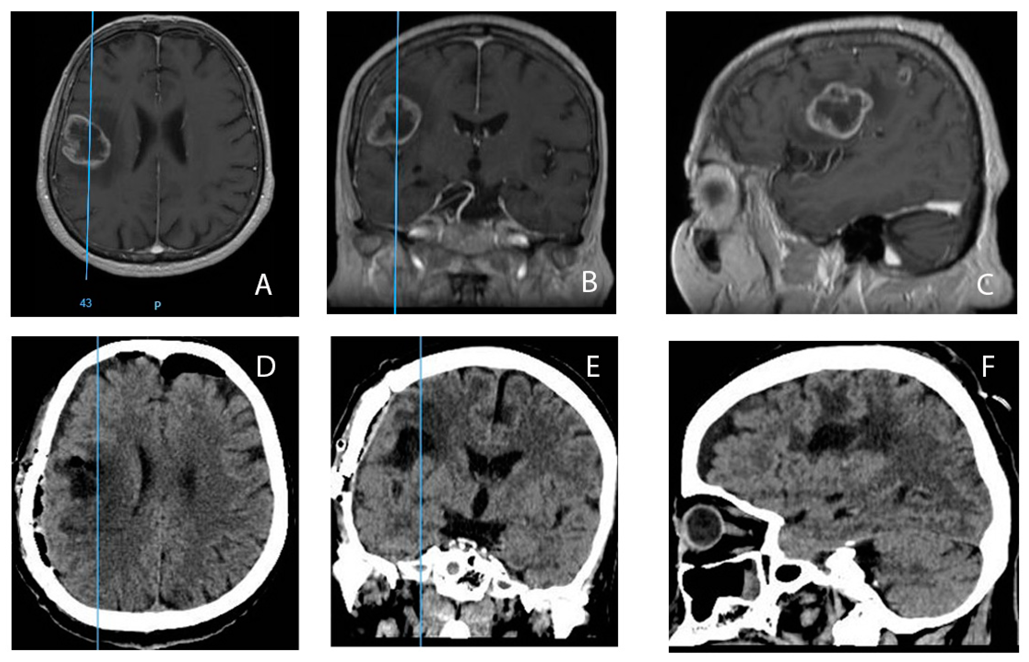
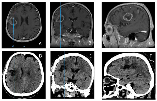
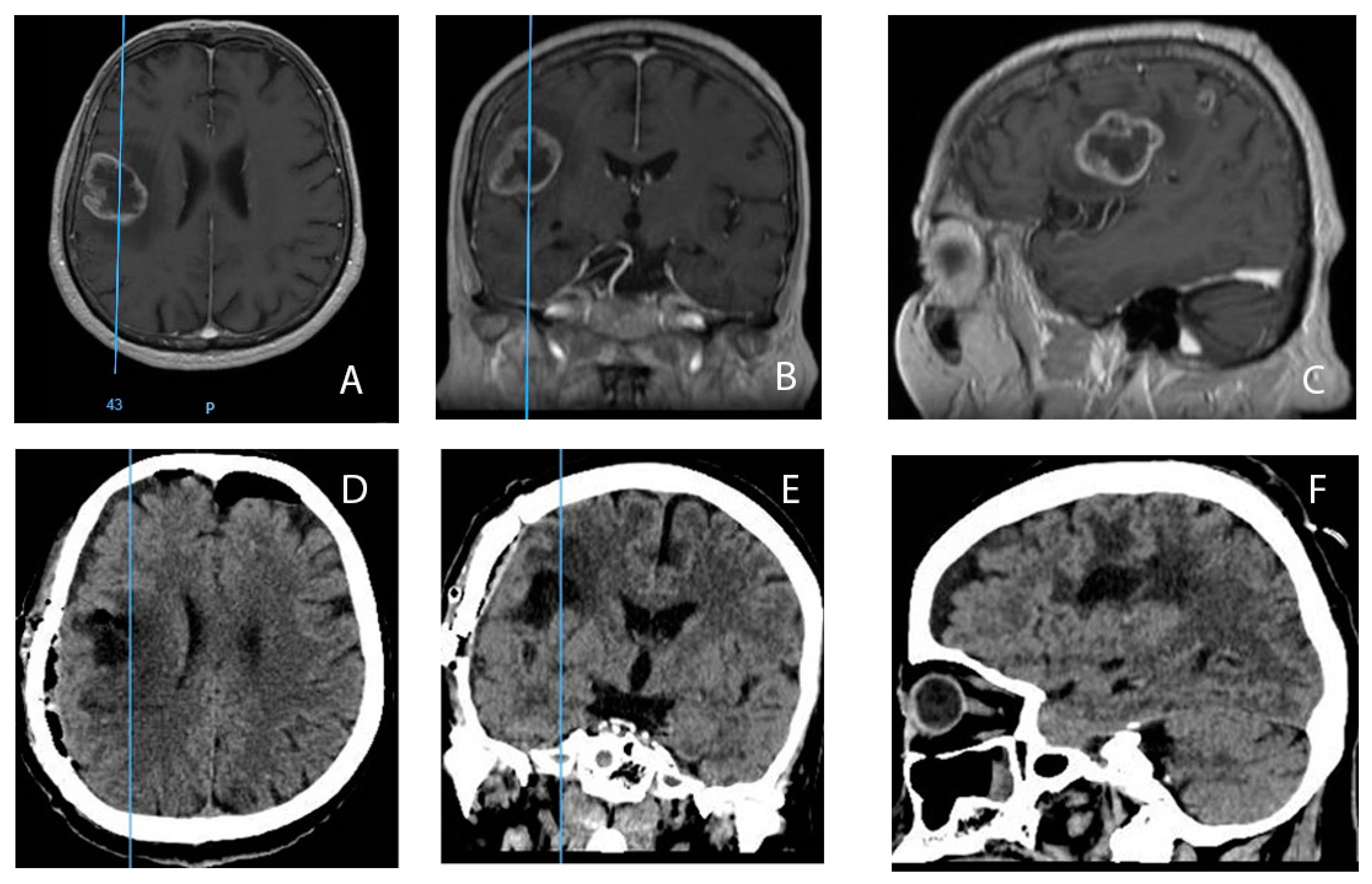
3.2. Neurosurgical Results
3.3. Survival Analysis
4. Discussion
5. Conclusions
Author Contributions
Funding
Institutional Review Board Statement
Informed Consent Statement
Data Availability Statement
Conflicts of Interest
References
- Senhaji, N.; Squalli Houssaini, A.; Lamrabet, S.; Louati, S.; Bennis, S. Molecular and Circulating Biomarkers in Patients with Glioblastoma. Int. J. Mol. Sci. 2022, 23, 7474. [Google Scholar] [CrossRef] [PubMed]
- Chavda, V.; Patel, V.; Yadav, D.; Shah, J.; Patel, S.; Jin, J.O. Therapeutics and Research Related to Glioblastoma: Advancements and Future Targets. Curr. Drug Metab. 2020, 21, 186–198. [Google Scholar] [CrossRef] [PubMed]
- Heuer, S.; Winkler, F. Glioblastoma revisited: From neuronal-like invasion to pacemaking. Trends Cancer 2023, 9, 887–896. [Google Scholar] [CrossRef] [PubMed]
- Wirsching, H.-G.; Galanis, E.; Weller, M. Chapter 23—Glioblastoma. In Handbook of Clinical Neurology; Berger, M.S., Weller, M., Eds.; Elsevier: Amsterdam, The Netherlands, 2016; Volume 134, pp. 381–397. [Google Scholar]
- Schaff, L.R.; Mellinghoff, I.K. Glioblastoma and Other Primary Brain Malignancies in Adults: A Review. JAMA 2023, 329, 574–587. [Google Scholar] [CrossRef] [PubMed]
- Alexander, B.M.; Cloughesy, T.F. Adult Glioblastoma. J. Clin. Oncol. 2017, 35, 2402–2409. [Google Scholar] [CrossRef] [PubMed]
- Khristov, V.; Lin, A.; Freedman, Z.; Staub, J.; Shenoy, G.; Mrowczynski, O.; Rizk, E.; Zacharia, B.; Connor, J. Tumor-Derived Biomarkers in Liquid Biopsy of Glioblastoma. World Neurosurg. 2023, 170, 182–194. [Google Scholar] [CrossRef] [PubMed]
- Luo, C.; Song, K.; Wu, S.; Hameed, N.U.F.; Kudulaiti, N.; Xu, H.; Qin, Z.Y.; Wu, J.S. The prognosis of glioblastoma: A large, multifactorial study. Br. J. Neurosurg. 2021, 35, 555–561. [Google Scholar] [CrossRef] [PubMed]
- Ohgaki, H.; Kleihues, P. The definition of primary and secondary glioblastoma. Clin. Cancer Res. 2013, 19, 764–772. [Google Scholar] [CrossRef]
- Louis, D.N.; Perry, A.; Wesseling, P.; Brat, D.J.; Cree, I.A.; Figarella-Branger, D.; Hawkins, C.; Ng, H.K.; Pfister, S.M.; Reifenberger, G.; et al. The 2021 WHO Classification of Tumors of the Central Nervous System: A summary. Neuro Oncol. 2021, 23, 1231–1251. [Google Scholar] [CrossRef]
- Tso, C.L.; Freije, W.A.; Day, A.; Chen, Z.; Merriman, B.; Perlina, A.; Lee, Y.; Dia, E.Q.; Yoshimoto, K.; Mischel, P.S.; et al. Distinct transcription profiles of primary and secondary glioblastoma subgroups. Cancer Res. 2006, 66, 159–167. [Google Scholar] [CrossRef]
- Karcher, S.; Steiner, H.H.; Ahmadi, R.; Zoubaa, S.; Vasvari, G.; Bauer, H.; Unterberg, A.; Herold-Mende, C. Different angiogenic phenotypes in primary and secondary glioblastomas. Int. J. Cancer 2006, 118, 2182–2189. [Google Scholar] [CrossRef] [PubMed]
- Ma, R.; Taphoorn, M.J.B.; Plaha, P. Advances in the management of glioblastoma. J. Neurol. Neurosurg. Psychiatry 2021, 92, 1103–1111. [Google Scholar] [CrossRef] [PubMed]
- Szopa, W.; Burley, T.A.; Kramer-Marek, G.; Kaspera, W. Diagnostic and Therapeutic Biomarkers in Glioblastoma: Current Status and Future Perspectives. Biomed. Res. Int. 2017, 2017, 8013575. [Google Scholar] [CrossRef] [PubMed]
- Grochans, S.; Cybulska, A.M.; Simińska, D.; Korbecki, J.; Kojder, K.; Chlubek, D.; Baranowska-Bosiacka, I. Epidemiology of Glioblastoma Multiforme–Literature Review. Cancers 2022, 14, 2412. [Google Scholar] [CrossRef] [PubMed]
- Kim, M.; Ladomersky, E.; Mozny, A.; Kocherginsky, M.; O’Shea, K.; Reinstein, Z.Z.; Zhai, L.; Bell, A.; Lauing, K.L.; Bollu, L.; et al. Glioblastoma as an age-related neurological disorder in adults. Neuro-Oncol. Adv. 2021, 3, vdab125. [Google Scholar] [CrossRef] [PubMed]
- Lin, Z.; Yang, R.; Li, K.; Yi, G.; Li, Z.; Guo, J.; Zhang, Z.; Junxiang, P.; Liu, Y.; Qi, S.; et al. Establishment of age group classification for risk stratification in glioma patients. BMC Neurol. 2020, 20, 310. [Google Scholar] [CrossRef]
- Ohgaki, H.; Dessen, P.; Jourde, B.; Horstmann, S.; Nishikawa, T.; Di Patre, P.L.; Burkhard, C.; Schüler, D.; Probst-Hensch, N.M.; Maiorka, P.C.; et al. Genetic pathways to glioblastoma: A population-based study. Cancer Res. 2004, 64, 6892–6899. [Google Scholar] [CrossRef] [PubMed]
- Jia, Z.; Li, X.; Yan, Y.; Shen, X.; Wang, J.; Yang, H.; Liu, S.; Han, C.; Hu, Y. Exploring the relationship between age and prognosis in glioma: Rethinking current age stratification. BMC Neurol. 2022, 22, 350. [Google Scholar] [CrossRef] [PubMed]
- Smith, J.S.; Tachibana, I.; Passe, S.M.; Huntley, B.K.; Borell, T.J.; Iturria, N.; O’Fallon, J.R.; Schaefer, P.L.; Scheithauer, B.W.; James, C.D.; et al. PTEN mutation, EGFR amplification, and outcome in patients with anaplastic astrocytoma and glioblastoma multiforme. J. Natl. Cancer Inst. 2001, 93, 1246–1256. [Google Scholar] [CrossRef]
- Burger, P.C.; Green, S.B. Patient age, histologic features, and length of survival in patients with glioblastoma multiforme. Cancer 1987, 59, 1617–1625. [Google Scholar] [CrossRef]
- Thakkar, J.P.; Dolecek, T.A.; Horbinski, C.; Ostrom, Q.T.; Lightner, D.D.; Barnholtz-Sloan, J.S.; Villano, J.L. Epidemiologic and molecular prognostic review of glioblastoma. Cancer Epidemiol. Biomark. Prev. 2014, 23, 1985–1996. [Google Scholar] [CrossRef]
- Aldape, K.D.; Okcu, M.F.; Bondy, M.L.; Wrensch, M. Molecular epidemiology of glioblastoma. Cancer J. 2003, 9, 99–106. [Google Scholar] [CrossRef] [PubMed]
- Yang, W.; Warrington, N.M.; Taylor, S.J.; Whitmire, P.; Carrasco, E.; Singleton, K.W.; Wu, N.; Lathia, J.D.; Berens, M.E.; Kim, A.H.; et al. Sex differences in GBM revealed by analysis of patient imaging, transcriptome, and survival data. Sci. Transl. Med. 2019, 11, eaao5253. [Google Scholar] [CrossRef] [PubMed]
- Carrano, A.; Juarez, J.J.; Incontri, D.; Ibarra, A.; Guerrero Cazares, H. Sex-Specific Differences in Glioblastoma. Cells 2021, 10, 1783. [Google Scholar] [CrossRef] [PubMed]
- Louis, D.N.; Perry, A.; Reifenberger, G.; von Deimling, A.; Figarella-Branger, D.; Cavenee, W.K.; Ohgaki, H.; Wiestler, O.D.; Kleihues, P.; Ellison, D.W. The 2016 World Health Organization Classification of Tumors of the Central Nervous System: A summary. Acta Neuropathol 2016, 131, 803–820. [Google Scholar] [CrossRef]
- Li, R.; Li, H.; Yan, W.; Yang, P.; Bao, Z.; Zhang, C.; Jiang, T.; You, Y. Genetic and clinical characteristics of primary and secondary glioblastoma is associated with differential molecular subtype distribution. Oncotarget 2015, 6, 7318–7324. [Google Scholar] [CrossRef]
- Torp, S.H.; Solheim, O.; Skjulsvik, A.J. The WHO 2021 Classification of Central Nervous System tumours: A practical update on what neurosurgeons need to know—A minireview. Acta Neurochir. 2022, 164, 2453–2464. [Google Scholar] [CrossRef] [PubMed]
- McNamara, C.; Mankad, K.; Thust, S.; Dixon, L.; Limback-Stanic, C.; D’Arco, F.; Jacques, T.S.; Löbel, U. 2021 WHO classification of tumours of the central nervous system: A review for the neuroradiologist. Neuroradiology 2022, 64, 1919–1950. [Google Scholar] [CrossRef]
- Larjavaara, S.; Mäntylä, R.; Salminen, T.; Haapasalo, H.; Raitanen, J.; Jääskeläinen, J.; Auvinen, A. Incidence of gliomas by anatomic location. Neuro-Oncol. 2007, 9, 319–325. [Google Scholar] [CrossRef]
- Grech, N.; Dalli, T.; Mizzi, S.; Meilak, L.; Calleja, N.; Zrinzo, A. Rising Incidence of Glioblastoma Multiforme in a Well-Defined Population. Cureus 2020, 12, e8195. [Google Scholar] [CrossRef]
- Liu, Z.Y.; Feng, S.S.; Zhang, Y.H.; Zhang, L.Y.; Xu, S.C.; Li, J.; Cao, H.; Huang, J.; Fan, F.; Cheng, L.; et al. Competing risk model to determine the prognostic factors and treatment strategies for elderly patients with glioblastoma. Sci. Rep. 2021, 11, 9321. [Google Scholar] [CrossRef] [PubMed]
- Saviuk, M.; Sleptsova, E.; Redkin, T.; Turubanova, V. Unexplained Causes of Glioma-Associated Epilepsies: A Review of Theories and an Area for Research. Cancers 2023, 15, 5539. [Google Scholar] [CrossRef] [PubMed]
- Gunawan, P.Y.; Islam, A.A.; July, J.; Patellongi, I.; Nasrum, M.; Aninditha, T. Karnofsky Performance Scale and Neurological Assessment of Neuro-Oncology Scale as Early Predictor in Glioma. Asian Pac. J. Cancer Prev. 2020, 21, 3387–3392. [Google Scholar] [CrossRef] [PubMed]
- Chambless, L.B.; Kistka, H.M.; Parker, S.L.; Hassam-Malani, L.; McGirt, M.J.; Thompson, R.C. The relative value of postoperative versus preoperative Karnofsky Performance Scale scores as a predictor of survival after surgical resection of glioblastoma multiforme. J. Neurooncol 2015, 121, 359–364. [Google Scholar] [CrossRef] [PubMed]
- Barz, M.; Gerhardt, J.; Bette, S.; Aftahy, A.K.; Huber, T.; Combs, S.E.; Ryang, Y.M.; Wiestler, B.; Skardelly, M.; Gepfner-Tuma, I.; et al. Prognostic value of tumour volume in patients with a poor Karnofsky performance status scale—A bicentric retrospective study. BMC Neurol. 2021, 21, 446. [Google Scholar] [CrossRef] [PubMed]
- Skardelly, M.; Kaltenstadler, M.; Behling, F.; Mäurer, I.; Schittenhelm, J.; Bender, B.; Paulsen, F.; Hedderich, J.; Renovanz, M.; Gempt, J.; et al. A Continuous Correlation Between Residual Tumor Volume and Survival Recommends Maximal Safe Resection in Glioblastoma Patients: A Nomogram for Clinical Decision Making and Reference for Non-Randomized Trials. Front. Oncol. 2021, 11, 748691. [Google Scholar] [CrossRef] [PubMed]
- Brown, T.J.; Brennan, M.C.; Li, M.; Church, E.W.; Brandmeir, N.J.; Rakszawski, K.L.; Patel, A.S.; Rizk, E.B.; Suki, D.; Sawaya, R.; et al. Association of the Extent of Resection With Survival in Glioblastoma: A Systematic Review and Meta-analysis. JAMA Oncol. 2016, 2, 1460–1469. [Google Scholar] [CrossRef] [PubMed]
- Youngblood, M.W.; Stupp, R.; Sonabend, A.M. Role of Resection in Glioblastoma Management. Neurosurg. Clin. N. Am. 2021, 32, 9–22. [Google Scholar] [CrossRef] [PubMed]
- Karschnia, P.; Young, J.S.; Dono, A.; Häni, L.; Sciortino, T.; Bruno, F.; Juenger, S.T.; Teske, N.; Morshed, R.A.; Haddad, A.F.; et al. Prognostic validation of a new classification system for extent of resection in glioblastoma: A report of the RANO resect group. Neuro Oncol. 2023, 25, 940–954. [Google Scholar] [CrossRef] [PubMed]
- Ringel, F.; Pape, H.; Sabel, M.; Krex, D.; Bock, H.C.; Misch, M.; Weyerbrock, A.; Westermaier, T.; Senft, C.; Schucht, P.; et al. Clinical benefit from resection of recurrent glioblastomas: Results of a multicenter study including 503 patients with recurrent glioblastomas undergoing surgical resection. Neuro Oncol. 2016, 18, 96–104. [Google Scholar] [CrossRef]
- Kaptein, F.H.J.; Stals, M.A.M.; Kapteijn, M.Y.; Cannegieter, S.C.; Dirven, L.; van Duinen, S.G.; van Eijk, R.; Huisman, M.V.; Klaase, E.E.; Taphoorn, M.J.B.; et al. Incidence and determinants of thrombotic and bleeding complications in patients with glioblastoma. J. Thromb. Haemost. 2022, 20, 1665–1673. [Google Scholar] [CrossRef] [PubMed]
- Muster, V.; Gary, T. Contrasts in Glioblastoma-Venous Thromboembolism versus Bleeding Risk. Cells 2021, 10, 1414. [Google Scholar] [CrossRef] [PubMed]
- Witthayanuwat, S.; Pesee, M.; Supaadirek, C.; Supakalin, N.; Thamronganantasakul, K.; Krusun, S. Survival Analysis of Glioblastoma Multiforme. Asian Pac. J. Cancer Prev. 2018, 19, 2613–2617. [Google Scholar] [CrossRef] [PubMed]
- Perry, J.R.; Laperriere, N.; O’Callaghan, C.J.; Brandes, A.A.; Menten, J.; Phillips, C.; Fay, M.; Nishikawa, R.; Cairncross, J.G.; Roa, W.; et al. Short-Course Radiation plus Temozolomide in Elderly Patients with Glioblastoma. N. Engl. J. Med. 2017, 376, 1027–1037. [Google Scholar] [CrossRef]















| Women | Men | Total | |
|---|---|---|---|
| Number (%) | 222 (42.85%) | 296 (57.14%) | 518 (100%) |
| Mean age at diagnosis (years) | 60.89 | 58.04 | 59.26 |
| Minimum age (years) | 32.00 | 24.00 | 24.00 |
| Maximum age (years) | 84.00 | 88.00 | 88.00 |
| Standard deviation (SD) | 9.70 | 11.41 | 10.79 |
| Median age at diagnosis (years) | 62.00 | 59.00 | 60.00 |
| Total Number of Patients n = | 518 | Percent | |
|---|---|---|---|
| Gender | Female | 222 | 42.86% |
| Male | 296 | 57.14% | |
| Clinical symptoms at admission | Headaches | 341 | 65.83% |
| Limb paralysis | 247 | 47.68% | |
| Seizures | 133 | 25.68% | |
| Aphasia | 106 | 20.46% | |
| Raised intracranial pressure syndrome | 73 | 14.09% | |
| Altered mental status (Glasgow Coma Score less than 15) | 72 | 13.90% | |
| Diabetes mellitus | Yes | 61 | 11.78% |
| No | 457 | 88.22% | |
| Cardiovascular comorbidities | Yes | 199 | 38.42% |
| No | 319 | 61.58% | |
| GBM localization | Frontal lobe | 147 | 28.38% |
| Temporal lobe | 81 | 15.64% | |
| Parietal lobe | 68 | 13.13% | |
| Occipital lobe | 12 | 2.32% | |
| Cerebellum | 9 | 1.74% | |
| Two lobes | 167 | 32.24% | |
| Three lobes | 34 | 6.56% | |
| Tumoral necrosis grade | <10% | 48 | 9.27% |
| 10–29% | 174 | 33.59% | |
| 30–49% | 133 | 25.68% | |
| 50–69% | 97 | 18.73% | |
| 70–89% | 52 | 10.04% | |
| >=90% | 14 | 2.70% | |
| Tumoral volume (cm3) | Minimum | 0.50 | 0.10% |
| Maximum | 205.41 | 39.65% | |
| Mean | 43.89 | 8.47% | |
| Standard deviation | 36.02 | 6.95% | |
| Karnofsky Performance Status (KPS) Scale at admission | <40 | 11 | 2.12% |
| 50–70 | 166 | 32.05% | |
| 80–100 | 341 | 65.83% | |
| Grade of tumoral resection | Gross total resection | 371 | 71.62% |
| Subtotal resection | 93 | 17.95% | |
| Biopsy | 54 | 10.42% | |
| Postoperative adjuvant radiotherapy | Yes | 339 | 65.44% |
| No | 179 | 34.56% | |
| Postoperative adjuvant chemotherapy | Yes | 375 | 72.39% |
| No | 143 | 27.61% | |
| Postoperative complications | Yes | 62 | 11.97% |
| No | 456 | 88.03% | |
Disclaimer/Publisher’s Note: The statements, opinions and data contained in all publications are solely those of the individual author(s) and contributor(s) and not of MDPI and/or the editor(s). MDPI and/or the editor(s) disclaim responsibility for any injury to people or property resulting from any ideas, methods, instructions or products referred to in the content. |
© 2024 by the authors. Licensee MDPI, Basel, Switzerland. This article is an open access article distributed under the terms and conditions of the Creative Commons Attribution (CC BY) license (https://creativecommons.org/licenses/by/4.0/).
Share and Cite
Tataranu, L.G.; Staicu, G.A.; Dricu, A.; Turliuc, S.; Paunescu, D.; Kamel, A.; Rizea, R.E. Combined Statistical Analysis of Glioblastoma Outcomes—A Neurosurgical Single-Institution Retrospective Study. Medicina 2024, 60, 1234. https://doi.org/10.3390/medicina60081234
Tataranu LG, Staicu GA, Dricu A, Turliuc S, Paunescu D, Kamel A, Rizea RE. Combined Statistical Analysis of Glioblastoma Outcomes—A Neurosurgical Single-Institution Retrospective Study. Medicina. 2024; 60(8):1234. https://doi.org/10.3390/medicina60081234
Chicago/Turabian StyleTataranu, Ligia Gabriela, Georgiana Adeline Staicu, Anica Dricu, Serban Turliuc, Dan Paunescu, Amira Kamel, and Radu Eugen Rizea. 2024. "Combined Statistical Analysis of Glioblastoma Outcomes—A Neurosurgical Single-Institution Retrospective Study" Medicina 60, no. 8: 1234. https://doi.org/10.3390/medicina60081234
APA StyleTataranu, L. G., Staicu, G. A., Dricu, A., Turliuc, S., Paunescu, D., Kamel, A., & Rizea, R. E. (2024). Combined Statistical Analysis of Glioblastoma Outcomes—A Neurosurgical Single-Institution Retrospective Study. Medicina, 60(8), 1234. https://doi.org/10.3390/medicina60081234

