Expression Pattern of PDE4B, PDE4D, and SFRP5 Markers in Colorectal Cancer
Abstract
1. Introduction
2. Materials and Methods
2.1. Ethics
2.2. Tissue Procurement and Immunohistochemistry
2.3. Data Acquisition and Analysis
2.4. Semi-Quantification
2.5. Statistical Data Analysis
2.6. Transcriptomics Data Analysis
3. Results
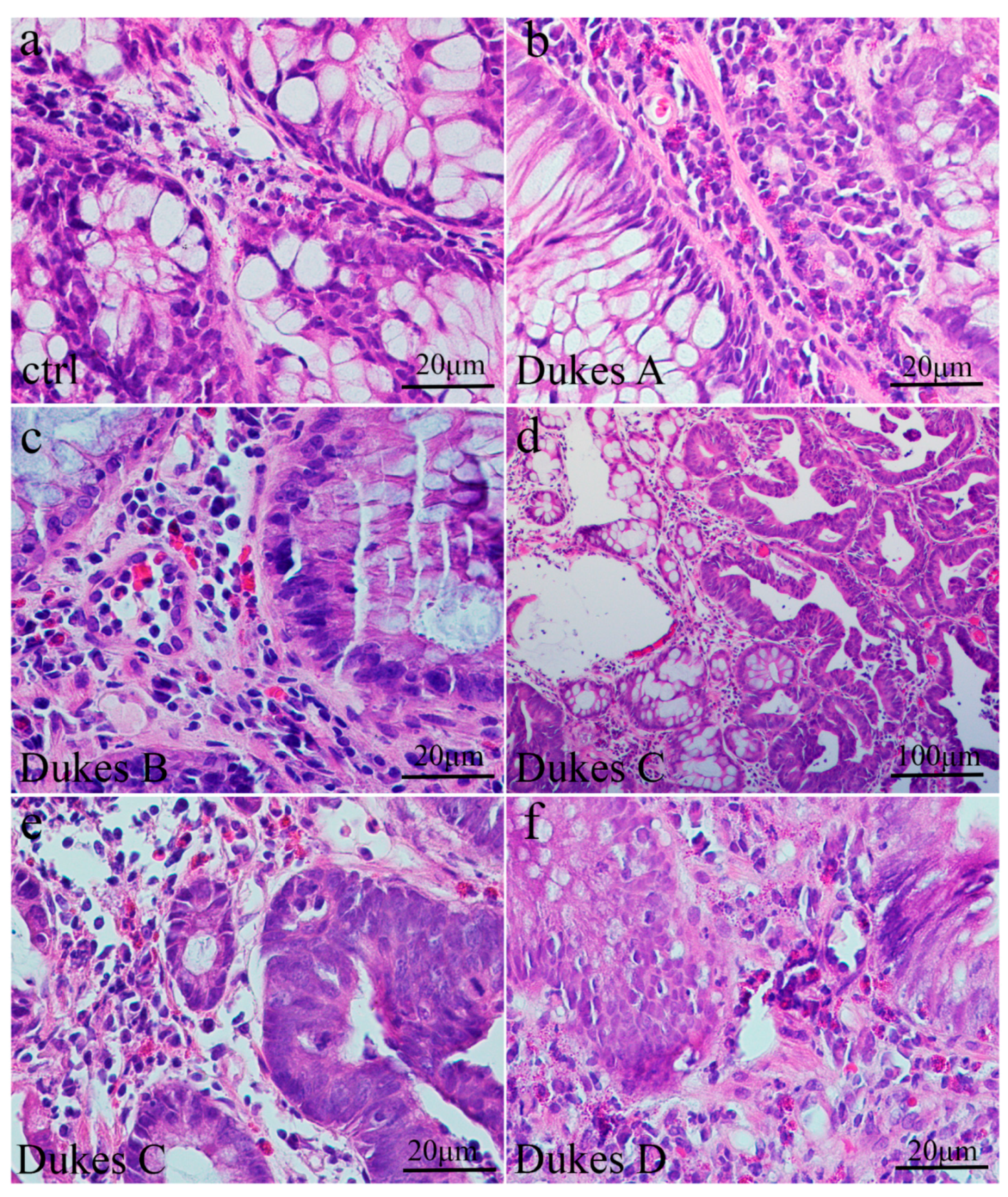
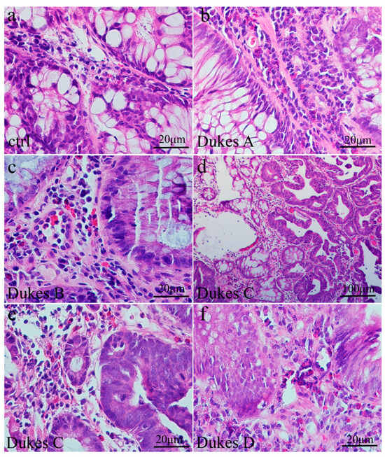
3.1. General Characteristics of CRC Visualized by Hematoxylin and Eosin Staining
3.2. Double Immunofluorescence Staining with PDE4B and SFRP5 Markers and Quantification of Immunoreactive Cells
3.3. Double Immunofluorescence Staining with PDE4D and SFRP5 Markers and Quantification of Immunoreactive Cells
3.4. Differential Expression
3.5. Survival Analysis
4. Discussion
5. Conclusions
Author Contributions
Funding
Institutional Review Board Statement
Informed Consent Statement
Data Availability Statement
Conflicts of Interest
References
- Bray, F.; Ferlay, J.; Soerjomataram, I.; Siegel, R.L.; Torre, L.A.; Jemal, A. Global cancer statistics 2018: GLOBOCAN estimates of incidence and mortality worldwide for 36 cancers in 185 countries. CA Cancer J. Clin. 2018, 68, 394–424. [Google Scholar] [CrossRef] [PubMed]
- Lewandowska, A.; Rudzki, G.; Lewandowski, T.; Stryjkowska-Gora, A.; Rudzki, S. Risk Factors for the Diagnosis of Colorectal Cancer. Cancer Control 2022, 29, 10732748211056692. [Google Scholar] [CrossRef] [PubMed]
- Akkoca, A.N.; Yanık, S.; Ozdemir, Z.T.; Cihan, F.G.; Sayar, S.; Cincin, T.G.; Cam, A.; Ozer, C. TNM and Modified Dukes staging along with the demographic characteristics of patients with colorectal carcinoma. Int. J. Clin. Exp. Med. 2014, 7, 2828–2835. [Google Scholar] [PubMed]
- Hansen, R.T., 3rd; Conti, M.; Zhang, H.T. Mice deficient in phosphodiesterase-4A display anxiogenic-like behavior. Psychopharmacology 2014, 231, 2941–2954. [Google Scholar] [CrossRef]
- Müller, M.F.; Ibrahim, A.E.; Arends, M.J. Molecular pathological classification of colorectal cancer. Virchows Arch. 2016, 469, 125–134. [Google Scholar] [CrossRef] [PubMed]
- Azam, M.A.; Tripuraneni, N.S. Selective Phosphodiesterase 4B Inhibitors: A Review. Sci. Pharm. 2014, 82, 453–481. [Google Scholar] [CrossRef] [PubMed]
- Hong, Y.; Kim, J.; Choi, Y.J.; Kang, J.G. Clinical study of colorectal cancer operation: Survival analysis. Korean J. Clin. Oncol. 2020, 16, 3–8. [Google Scholar] [CrossRef] [PubMed]
- Hossain, M.S.; Karuniawati, H.; Jairoun, A.A.; Urbi, Z.; Ooi, J.; John, A.; Lim, Y.C.; Kibria, K.M.K.; Mohiuddin, A.K.M.; Ming, L.C.; et al. Colorectal Cancer: A Review of Carcinogenesis, Global Epidemiology, Current Challenges, Risk Factors, Preventive and Treatment Strategies. Cancers 2022, 14, 1732. [Google Scholar] [CrossRef] [PubMed]
- Rosen, R.D.; Sapra, A. TNM Classification. In StatPearls; StatPearls Publishing: Treasure Island, FL, USA, 2024. [Google Scholar]
- Haq, A.I.; Schneeweiss, J.; Kalsi, V.; Arya, M. The Dukes staging system: A cornerstone in the clinical management of colorectal cancer. Lancet Oncol. 2009, 10, 1128. [Google Scholar] [CrossRef]
- Horton, J.K.; Tepper, J.E. Staging of colorectal cancer: Past, present, and future. Clin. Color. Cancer 2005, 4, 302–312. [Google Scholar] [CrossRef]
- Banias, L.; Jung, I.; Chiciudean, R.; Gurzu, S. From Dukes-MAC Staging System to Molecular Classification: Evolving Concepts in Colorectal Cancer. Int. J. Mol. Sci. 2022, 23, 9455. [Google Scholar] [CrossRef] [PubMed]
- Azevedo, M.F.; Faucz, F.R.; Bimpaki, E.; Horvath, A.; Levy, I.; de Alexandre, R.B.; Ahmad, F.; Manganiello, V.; Stratakis, C.A. Clinical and molecular genetics of the phosphodiesterases (PDEs). Endocr. Rev. 2014, 35, 195–233. [Google Scholar] [CrossRef]
- Liu, D.; Sun, C.; Kim, N.; Bhan, C.; Tuason, J.P.W.; Chen, Y.; Ma, S.; Huang, Y.; Cheng, C.; Zhou, Q.; et al. Comprehensive Analysis of SFRP Family Members Prognostic Value and Immune Infiltration in Gastric Cancer. Life 2021, 11, 522. [Google Scholar] [CrossRef] [PubMed]
- Li, H.; Zuo, J.; Tang, W. Phosphodiesterase-4 Inhibitors for the Treatment of Inflammatory Diseases. Front. Pharmacol. 2018, 9, 1048. [Google Scholar] [CrossRef] [PubMed]
- Spina, D. PDE4 inhibitors: Current status. Br. J. Pharmacol. 2008, 155, 308–315. [Google Scholar] [CrossRef]
- Liu, F.; Ma, J.; Wang, K.; Li, Z.; Jiang, Q.; Chen, H.; Li, W.; Xia, J. High expression of PDE4D correlates with poor prognosis and clinical progression in pancreaticductal adenocarcinoma. J. Cancer 2019, 10, 6252–6260. [Google Scholar] [CrossRef]
- Cao, B.; Wang, K.; Liao, J.M.; Zhou, X.; Liao, P.; Zeng, S.X.; He, M.; Chen, L.; He, Y.; Li, W.; et al. Inactivation of oncogenic cAMP-specific phosphodiesterase 4D by miR-139-5p in response to p53 activation. eLife 2016, 5, 15978. [Google Scholar] [CrossRef]
- Wilson, N.M.; Gurney, M.E.; Dietrich, W.D.; Atkins, C.M. Therapeutic benefits of phosphodiesterase 4B inhibition after traumatic brain injury. PLoS ONE 2017, 12, e0178013. [Google Scholar] [CrossRef]
- van Loon, K.; Huijbers, E.J.M.; Griffioen, A.W. Secreted frizzled-related protein 2: A key player in noncanonical Wnt signaling and tumor angiogenesis. Cancer Metastasis Rev. 2021, 40, 191–203. [Google Scholar] [CrossRef]
- Baharudin, R.; Tieng, F.Y.F.; Lee, L.H.; Ab Mutalib, N.S. Epigenetics of SFRP1: The Dual Roles in Human Cancers. Cancers 2020, 12, 445. [Google Scholar] [CrossRef]
- Guan, H.; Zhang, J.; Luan, J.; Xu, H.; Huang, Z.; Yu, Q.; Gou, X.; Xu, L. Secreted Frizzled Related Proteins in Cardiovascular and Metabolic Diseases. Front Endocrinol. 2021, 12, 712217. [Google Scholar] [CrossRef] [PubMed]
- Poljicanin, A.; Filipovic, N.; Vukusic Pusic, T.; Soljic, V.; Caric, A.; Saraga-Babic, M.; Vukojevic, K. Expression pattern of RAGE and IGF-1 in the human fetal ovary and ovarian serous carcinoma. Acta Histochem. 2015, 117, 468–476. [Google Scholar] [CrossRef] [PubMed]
- Tica Sedlar, I.; Petricevic, J.; Saraga-Babic, M.; Pintaric, I.; Vukojevic, K. Apoptotic pathways and stemness in the colorectal epithelium and lamina propria mucosae during the human embryogenesis and carcinogenesis. Acta Histochem. 2016, 118, 693–703. [Google Scholar] [CrossRef] [PubMed]
- Smith, P.G.; Wang, F.; Wilkinson, K.N.; Savage, K.J.; Klein, U.; Neuberg, D.S.; Bollag, G.; Shipp, M.A.; Aguiar, R.C.T. The phosphodiesterase PDE4B limits cAMP-associated PI3K/AKT–dependent apoptosis in diffuse large B-cell lymphoma. Blood 2005, 105, 308–316. [Google Scholar] [CrossRef] [PubMed]
- Stefani, C.; Miricescu, D.; Stanescu-Spinu, I.-I.; Nica, R.I.; Greabu, M.; Totan, A.R.; Jinga, M. Growth Factors, PI3K/AKT/mTOR and MAPK Signaling Pathways in Colorectal Cancer Pathogenesis: Where Are We Now? Int. J. Mol. Sci. 2021, 22, 10260. [Google Scholar] [CrossRef] [PubMed]
- Yang, J.; Nie, J.; Ma, X.; Wei, Y.; Peng, Y.; Wei, X. Targeting PI3K in cancer: Mechanisms and advances in clinical trials. Mol. Cancer 2019, 18, 26. [Google Scholar] [CrossRef] [PubMed]
- Hsien Lai, S.; Zervoudakis, G.; Chou, J.; Gurney, M.E.; Quesnelle, K.M. PDE4 subtypes in cancer. Oncogene 2020, 39, 3791–3802. [Google Scholar] [CrossRef] [PubMed]
- Akrida, I.; Papadaki, H. Adipokines and epithelial-mesenchymal transition (EMT) in cancer. Mol. Cell Biochem. 2023, 478, 2419–2433. [Google Scholar] [CrossRef]
- Sompel, K.; Elango, A.; Smith, A.J.; Tennis, M.A. Cancer chemoprevention through Frizzled receptors and EMT. Discov. Oncol. 2021, 12, 32. [Google Scholar] [CrossRef]
- Kim, D.U.; Kwak, B.; Kim, S.W. Phosphodiesterase 4B is an effective therapeutic target in colorectal cancer. Biochem. Biophys. Res. Commun. 2019, 508, 825–831. [Google Scholar] [CrossRef]
- Pleiman, J.K.; Irving, A.A.; Wang, Z.; Toraason, E.; Clipson, L.; Dove, W.F.; Deming, D.A.; Newton, M.A. The conserved protective cyclic AMP-phosphodiesterase function PDE4B is expressed in the adenoma and adjacent normal colonic epithelium of mammals and silenced in colorectal cancer. PLoS Genet. 2018, 14, e1007611. [Google Scholar] [CrossRef] [PubMed]
- Mahmood, B.; Damm, M.M.; Jensen, T.S.; Backe, M.B.; Dahllof, M.S.; Poulsen, S.S.; Bindslev, N.; Hansen, M.B. Phosphodiesterases in non-neoplastic appearing colonic mucosa from patients with colorectal neoplasia. BMC Cancer 2016, 16, 938. [Google Scholar] [CrossRef]
- Kim, D.U.; Nam, J.; Cha, M.D.; Kim, S.W. Inhibition of phosphodiesterase 4D decreases the malignant properties of DLD-1 colorectal cancer cells by repressing the AKT/mTOR/Myc signaling pathway. Oncol. Lett. 2019, 17, 3589–3598. [Google Scholar] [CrossRef] [PubMed]
- Nummela, P.; Zafar, S.; Veikkolainen, E.; Ukkola, I.; Cinella, V.; Ayo, A.; Asghar, M.Y.; Valimaki, N.; Tornquist, K.; Karhu, A.; et al. GNAS mutation inhibits growth and induces phosphodiesterase 4D expression in colorectal cancer cell lines. Int. J. Cancer 2024, 154, 1987–1998. [Google Scholar] [CrossRef] [PubMed]
- Wang, Y.; Gao, S.; Zheng, V.; Chen, L.; Ma, M.; Shen, S.; Qu, J.; Zhang, H.; Gurney, M.E.; O’Donnell, J.M.; et al. A Novel PDE4D Inhibitor BPN14770 Reverses Scopolamine-Induced Cognitive Deficits via cAMP/SIRT1/Akt/Bcl-2 Pathway. Front. Cell Dev. Biol. 2020, 8, 599389. [Google Scholar] [CrossRef] [PubMed]
- Pan, R.; Dai, J.; Liang, W.; Wang, H.; Ye, L.; Ye, S.; Lin, Z.; Huang, S.; Xiong, Y.; Zhang, L.; et al. PDE4DIP contributes to colorectal cancer growth and chemoresistance through modulation of the NF1/RAS signaling axis. Cell Death Dis. 2023, 14, 373. [Google Scholar] [CrossRef] [PubMed]
- Kirana, C.; Smith, E.; Ngo, D.T.; Trochsler, M.I.; Hewett, P.J.; Stubbs, R.S.; Hardingham, J.E.; Maddern, G.J.; Hauben, E. High preoperative levels of circulating SFRP5 predict better prognosis in colorectal cancer patients. Future Oncol. 2020, 16, 2499–2509. [Google Scholar] [CrossRef] [PubMed]
- Huang, D.; Yu, B.; Deng, Y.; Sheng, W.; Peng, Z.; Qin, W.; Du, X. SFRP4 was overexpressed in colorectal carcinoma. J. Cancer Res. Clin. Oncol. 2010, 136, 395–401. [Google Scholar] [CrossRef] [PubMed]
- Zhao, H.; Ming, T.; Tang, S.; Ren, S.; Yang, H.; Liu, M.; Tao, Q.; Xu, H. Wnt signaling in colorectal cancer: Pathogenic role and therapeutic target. Mol. Cancer 2022, 21, 144. [Google Scholar] [CrossRef]
- Cheng, L.C.; Chao, Y.J.; Overman, M.J.; Wang, C.; Phan, N.N.; Chen, Y.L.; Wang, T.W.; Hsu, H.P.; Shan, Y.S.; Lai, M.D. Increased expression of secreted frizzled related protein 1 (SFRP1) predicts ampullary adenocarcinoma recurrence. Sci. Rep. 2020, 10, 13255. [Google Scholar] [CrossRef]
- Blauvelt, A.; Langley, R.G.; Gordon, K.B.; Silverberg, J.I.; Eyerich, K.; Sommer, M.O.A.; Felding, J.; Warren, R.B. Next Generation PDE4 Inhibitors that Selectively Target PDE4B/D Subtypes: A Narrative Review. Dermatol. Ther. 2023, 13, 3031–3042. [Google Scholar] [CrossRef] [PubMed]
- Su, Y.; Ding, J.; Yang, F.; He, C.; Xu, Y.; Zhu, X.; Zhou, H.; Li, H. The regulatory role of PDE4B in the progression of inflammatory function study. Front. Pharmacol. 2022, 13, 982130. [Google Scholar] [CrossRef] [PubMed]
- Chavez-Dominguez, R.; Perez-Medina, M.; Aguilar-Cazares, D.; Galicia-Velasco, M.; Meneses-Flores, M.; Islas-Vazquez, L.; Camarena, A.; Lopez-Gonzalez, J.S. Old and New Players of Inflammation and Their Relationship With Cancer Development. Front. Oncol. 2021, 11, 722999. [Google Scholar] [CrossRef] [PubMed]
- Wen, Y.; Zhu, Y.; Zhang, C.; Yang, X.; Gao, Y.; Li, M.; Yang, H.; Liu, T.; Tang, H. Chronic inflammation, cancer development and immunotherapy. Front. Pharmacol. 2022, 13, 1040163. [Google Scholar] [CrossRef] [PubMed]
- Engels, E.A. Inflammation in the development of lung cancer: Epidemiological evidence. Expert. Rev. Anticancer Ther. 2008, 8, 605–615. [Google Scholar] [CrossRef] [PubMed]
- Leibovici, D.; Grossman, H.B.; Dinney, C.P.; Millikan, R.E.; Lerner, S.; Wang, Y.; Gu, J.; Dong, Q.; Wu, X. Polymorphisms in inflammation genes and bladder cancer: From initiation to recurrence, progression, and survival. J. Clin. Oncol. 2005, 23, 5746–5756. [Google Scholar] [CrossRef] [PubMed]
- Gillen, C.D.; Walmsley, R.S.; Prior, P.; Andrews, H.A.; Allan, R.N. Ulcerative colitis and Crohn’s disease: A comparison of the colorectal cancer risk in extensive colitis. Gut 1994, 35, 1590–1592. [Google Scholar] [CrossRef] [PubMed]
- Lu, H.; Ouyang, W.; Huang, C. Inflammation, a Key Event in Cancer Development. Mol. Cancer Res. 2006, 4, 221–233. [Google Scholar] [CrossRef] [PubMed]
- Powers, G.L.; Hammer, K.D.; Domenech, M.; Frantskevich, K.; Malinowski, R.L.; Bushman, W.; Beebe, D.J.; Marker, P.C. Phosphodiesterase 4D inhibitors limit prostate cancer growth potential. Mol. Cancer Res. 2015, 13, 149–160. [Google Scholar] [CrossRef]
- Zhao, C.; Ma, H.; Bu, X.; Wang, W.; Zhang, N. SFRP5 inhibits gastric epithelial cell migration induced by macrophage-derived Wnt5a. Carcinogenesis 2012, 34, 146–152. [Google Scholar] [CrossRef]






| Histology and Stage | No Patients (n) | Sex (n) | Age (Year) | |
|---|---|---|---|---|
| CRC | Dukes’ A | 12 | M (6) | 56.83 ± 6.15 |
| F (6) | 51.83 ± 5.87 | |||
| Dukes’ B | 11 | M (5) | 75.8 ± 4.07 | |
| F (6) | 82.17 ± 7.77 | |||
| Dukes’ C | 10 | M (8) | 69 ± 9.46 | |
| F (2) | 69 ± 7.07 | |||
| Dukes’ D | 10 | M (7) | 66.29 ± 10.20 | |
| F (3) | 61.33 ± 7.72 | |||
| Primary Antibody/Dilution | Secondary Antibody/Dilution |
|---|---|
| PDE4B goat polyclonal antibody, Invitrogen (PA5-18473)/1:100 | Alexa Fluor 488-conjugate AffiniPure DonkeyAnti-Sheep IgG (H+L), Jackson Laboratories 713-545-003/1:300 |
| PDE4D goat polyclonal antibody, Invitrogen (PA5-18459)/1:100 | Alexa Fluor 488-conjugate AffiniPure DonkeyAnti-Sheep IgG (H+L), Jackson Laboratories 713-545-003/1:300 |
| SFRP5 rabbit polyclonal antibody, Invitrogen (PA5-30169)/1:200 | Rhodamine (TRITC)-conjugated AffiniPure DonkeyAnti-Rabbit IgG (H+L), Jackson Laboratories 711-025-152/1:300 |
| Structure | Antibodies | ||||||||||||||
|---|---|---|---|---|---|---|---|---|---|---|---|---|---|---|---|
| PDE4B | PDE4D | SFRP5 | |||||||||||||
| Ctrl | A | B | C | D | ctrl | A | B | C | D | ctrl | A | B | C | D | |
| epithelium | +++ | +++ | +++ | +++ | +++ | +++ | ++ | + | ++ | + | +++ | ++ | +++ | +++ | + |
| lamina propria | +++ | +++ | +++ | +++ | +++ | +++ | +++ | +++ | ++ | + | +++ | +++ | ++ | +++ | ++ |
Disclaimer/Publisher’s Note: The statements, opinions and data contained in all publications are solely those of the individual author(s) and contributor(s) and not of MDPI and/or the editor(s). MDPI and/or the editor(s) disclaim responsibility for any injury to people or property resulting from any ideas, methods, instructions or products referred to in the content. |
© 2024 by the authors. Licensee MDPI, Basel, Switzerland. This article is an open access article distributed under the terms and conditions of the Creative Commons Attribution (CC BY) license (https://creativecommons.org/licenses/by/4.0/).
Share and Cite
Bevanda, M.; Kelam, N.; Racetin, A.; Filipović, N.; Bevanda Glibo, D.; Bevanda, I.; Vukojević, K. Expression Pattern of PDE4B, PDE4D, and SFRP5 Markers in Colorectal Cancer. Medicina 2024, 60, 1202. https://doi.org/10.3390/medicina60081202
Bevanda M, Kelam N, Racetin A, Filipović N, Bevanda Glibo D, Bevanda I, Vukojević K. Expression Pattern of PDE4B, PDE4D, and SFRP5 Markers in Colorectal Cancer. Medicina. 2024; 60(8):1202. https://doi.org/10.3390/medicina60081202
Chicago/Turabian StyleBevanda, Mateo, Nela Kelam, Anita Racetin, Natalija Filipović, Daniela Bevanda Glibo, Ivana Bevanda, and Katarina Vukojević. 2024. "Expression Pattern of PDE4B, PDE4D, and SFRP5 Markers in Colorectal Cancer" Medicina 60, no. 8: 1202. https://doi.org/10.3390/medicina60081202
APA StyleBevanda, M., Kelam, N., Racetin, A., Filipović, N., Bevanda Glibo, D., Bevanda, I., & Vukojević, K. (2024). Expression Pattern of PDE4B, PDE4D, and SFRP5 Markers in Colorectal Cancer. Medicina, 60(8), 1202. https://doi.org/10.3390/medicina60081202

