A Rare Case of a Gigantic Retroperitoneal Schwannoma
Abstract
1. Introduction
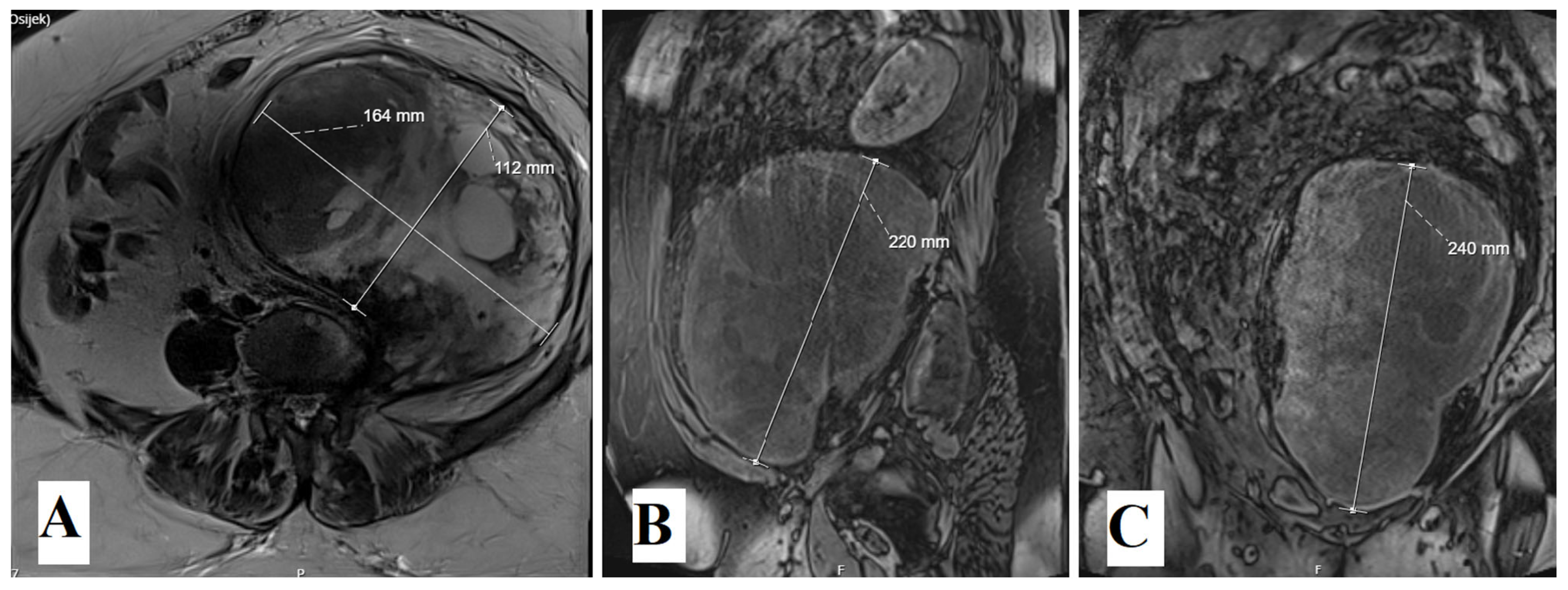
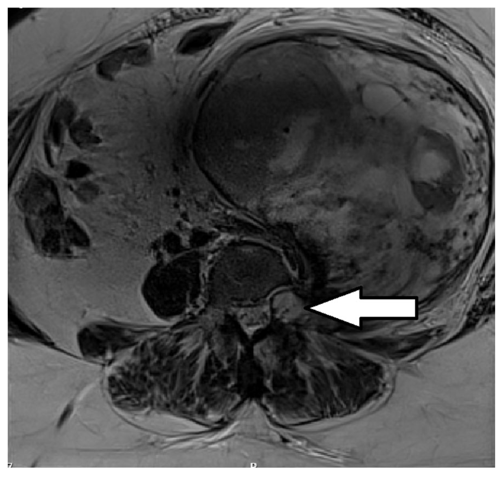
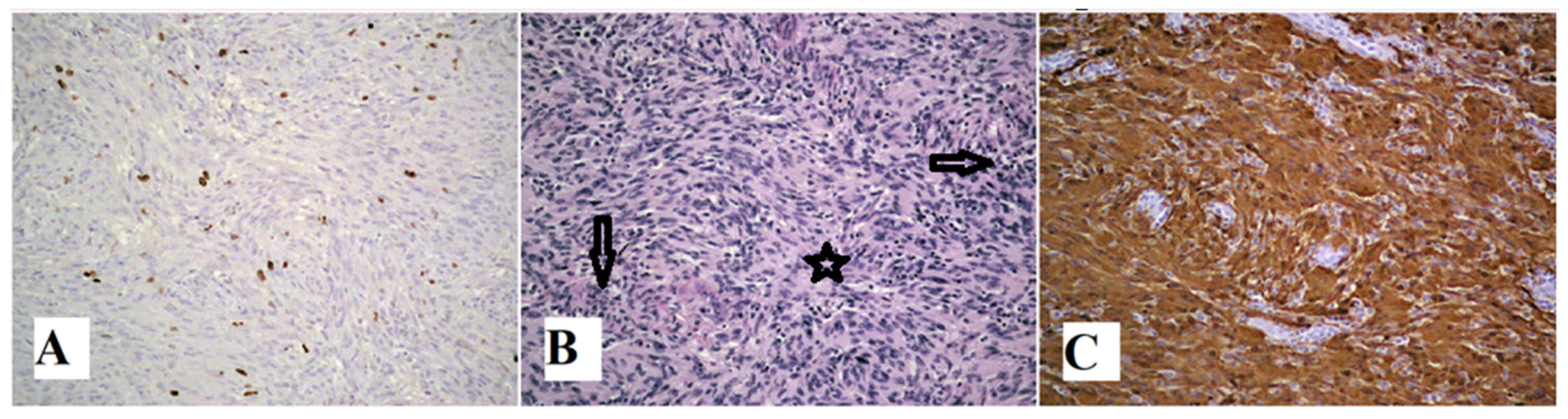
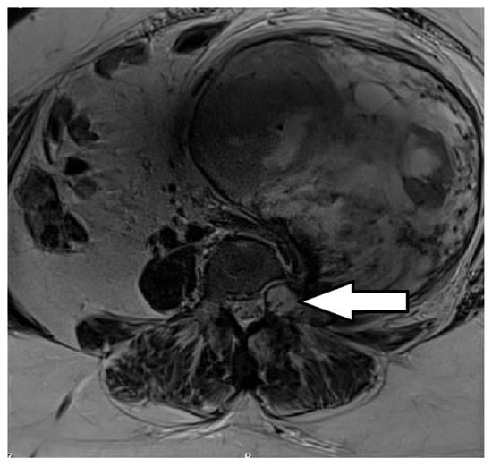
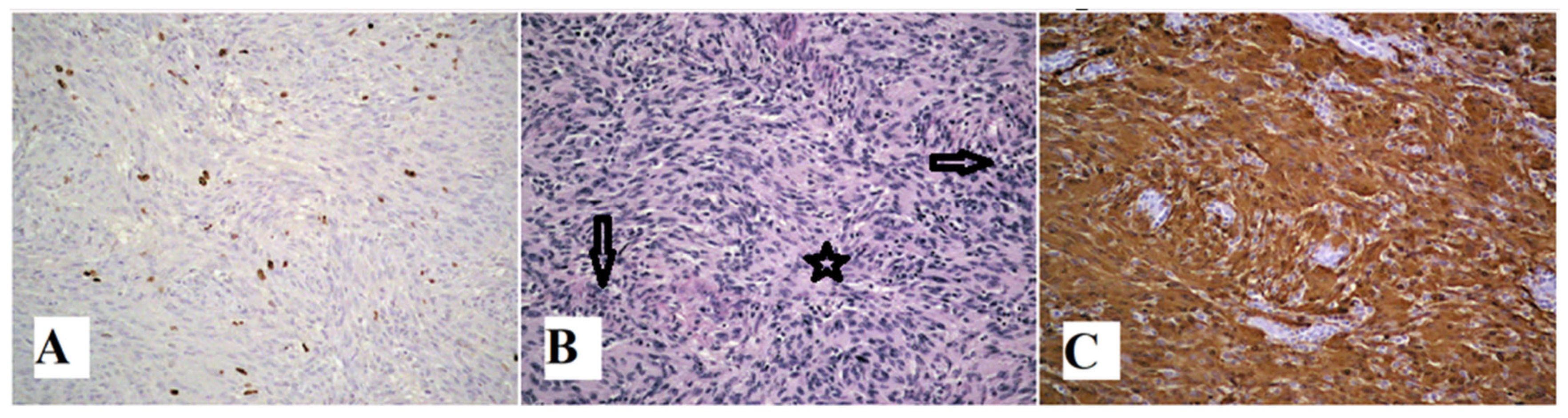
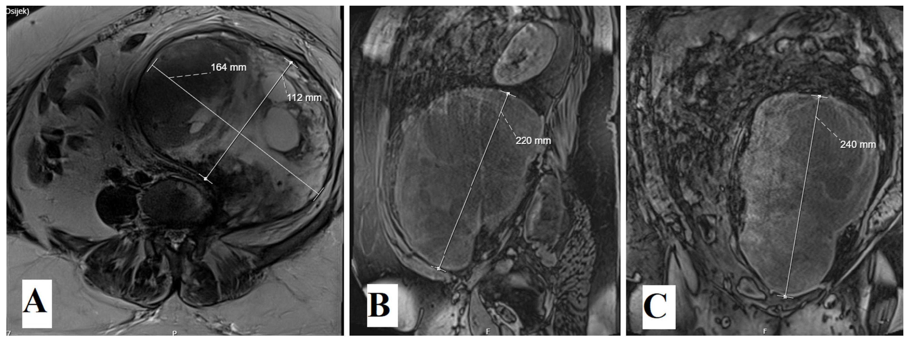
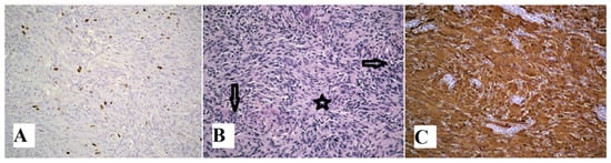
2. Case Report
3. Discussion
Author Contributions
Funding
Institutional Review Board Statement
Informed Consent Statement
Data Availability Statement
Conflicts of Interest
References
- Helbing, D.L.; Schulz, A.; Morrison, H. Pathomechanisms in schwannoma development and progression. Oncogene 2020, 39, 5421–5429. [Google Scholar] [CrossRef] [PubMed]
- Davis, D.D.; Kane, S.M. Neurilemmoma; StatPearls: Treasure Island, FL, USA, 2021. [Google Scholar]
- Kalayci, M.; Akyüz, Ü.; Demirağ, A.; Gürses, B.; Özkan, F.; Gökçe, Ö. Retroperitoneal schwannoma: A rare case. Case Rep. Gastrointest. Med. 2011, 2011, 465062. [Google Scholar] [CrossRef] [PubMed]
- Louis, D.N.; Perry, A.; Wesseling, P.; Brat, D.J.; Cree, I.A.; Figarella-Branger, D.; Hawkins, C.; Ng, H.K.; Pfister, S.M.; Reifenberger, G.; et al. The 2021 WHO Classification of Tumors of the Central Nervous System: A summary. Neuro Oncol. 2021, 23, 1231–1251. [Google Scholar] [CrossRef] [PubMed] [PubMed Central]
- Zhou, S.; Wan, S.; Li, L.; Dong, W.; Ma, X.; Chu, H.; Zhong, Y. Rare retroperitoneal giant sacral schwannoma: A case report. Oncol. Lett. 2024, 27, 261. [Google Scholar] [CrossRef] [PubMed]
- Plotkin, S.R.; Messiaen, L.; Legius, E.; Pancza, P.; Avery, R.A.; Blakeley, J.O.; Babovic-Vuksanovic, D.; Ferner, R.; Fisher, M.J.; Friedman, J.M.; et al. Updated diagnostic criteria and nomenclature for neurofibromatosis type 2 and schwannomatosis: An international consensus recommendation. Genet. Med. 2022, 24, 1967–1977. [Google Scholar] [CrossRef] [PubMed]
- Drumond, G.; Nakagawa, S.; Costa, F.; de Souza, M.; Comunello, J.; Chung, W. Schwannoma Intraósseo: Relato De Caso E Revisão Da Literatura. Rev. Bras. Ortop. 2019, 55, 258–262. [Google Scholar] [CrossRef] [PubMed]
- Liu, Q.Y.; Lin, X.F.; Zhang, W.D.; Li, H.G.; Gao, M. Retroperitoneal schwannomas in the anterior pararenal space: Dynamic enhanced multi-slice CT and MR findings. Abdom. Imaging 2013, 38, 201–210. [Google Scholar] [CrossRef] [PubMed]
- Debaibi, M.; Essid, R.; Sghair, A.; Zouari, R.; Sahnoun, M.; Dhaoui, A.; Chouchen, A. Retroperitoneal schwannoma: Uncommon location of a benign tumor. Clin. Case Rep. 2022, 10, e05726. [Google Scholar] [CrossRef] [PubMed] [PubMed Central]
- Hilton, D.A.; Hanemann, C.O. Schwannomas and their pathogenesis. Brain Pathol. 2014, 24, 205–220. [Google Scholar] [CrossRef] [PubMed] [PubMed Central]
- Choudry, H.A.; Nikfarjam, M.; Liang, J.J.; Kimchi, E.T.; Conter, R.; Gusani, N.J.; Staveley-O’Carroll, K.F. Diagnosis and management of retroperitoneal ancient schwannomas. World J. Surg. Oncol. 2009, 7, 12. [Google Scholar] [CrossRef] [PubMed] [PubMed Central]
- Shekouhi, R.; Chim, H. Patient demographics, tumor characteristics, and outcomes following surgical treatment of benign and malignant brachial plexus tumors: A systematic review. Int. J. Surg. 2023, 109, 972–981. [Google Scholar] [CrossRef] [PubMed] [PubMed Central]





Disclaimer/Publisher’s Note: The statements, opinions and data contained in all publications are solely those of the individual author(s) and contributor(s) and not of MDPI and/or the editor(s). MDPI and/or the editor(s) disclaim responsibility for any injury to people or property resulting from any ideas, methods, instructions or products referred to in the content. |
© 2024 by the authors. Licensee MDPI, Basel, Switzerland. This article is an open access article distributed under the terms and conditions of the Creative Commons Attribution (CC BY) license (https://creativecommons.org/licenses/by/4.0/).
Share and Cite
Koruga, N.; Kovačić, B.; Rončević, A.; Dmitrović, B.; Požgain, Z.; Soldo Koruga, A.; Rotim, T.; Škiljić, S.; Vinković, H.; Turk, T. A Rare Case of a Gigantic Retroperitoneal Schwannoma. Medicina 2024, 60, 1203. https://doi.org/10.3390/medicina60081203
Koruga N, Kovačić B, Rončević A, Dmitrović B, Požgain Z, Soldo Koruga A, Rotim T, Škiljić S, Vinković H, Turk T. A Rare Case of a Gigantic Retroperitoneal Schwannoma. Medicina. 2024; 60(8):1203. https://doi.org/10.3390/medicina60081203
Chicago/Turabian StyleKoruga, Nenad, Borna Kovačić, Alen Rončević, Branko Dmitrović, Zrinka Požgain, Anamarija Soldo Koruga, Tatjana Rotim, Sonja Škiljić, Hrvoje Vinković, and Tajana Turk. 2024. "A Rare Case of a Gigantic Retroperitoneal Schwannoma" Medicina 60, no. 8: 1203. https://doi.org/10.3390/medicina60081203
APA StyleKoruga, N., Kovačić, B., Rončević, A., Dmitrović, B., Požgain, Z., Soldo Koruga, A., Rotim, T., Škiljić, S., Vinković, H., & Turk, T. (2024). A Rare Case of a Gigantic Retroperitoneal Schwannoma. Medicina, 60(8), 1203. https://doi.org/10.3390/medicina60081203

