Short-Term Comparison of Switching to Brolucizumab or Faricimab from Aflibercept in Neovascular AMD Patients
Abstract
1. Introduction
2. Materials and Methods
2.1. Study Population
2.2. Intravitreal Injection
2.3. Inclusion Criteria
2.4. Exclusion Criteria
2.5. Outcomes
- BCVA measured using the Landolt chart was converted into a logarithm of the minimum angle of resolution (logMAR) values for statistical analyses;
- CMT (μm) as measured with optical coherence tomography (OCT) (DRI OCT Triton, Topcon Inc., Tokyo, Japan) and defined as the distance from the internal limiting membrane to Bruch’s membrane at the fovea. For some cases who were not imaged by DRI OCT Triton, Cirrus high-definition-OCT (HD-OCT, Carl Zeiss Meditec Inc., Tokyo, Japan) was used.
2.6. Statistical Analyses
3. Results
3.1. Patients’ Characteristics
3.2. BCVA Outcomes
3.3. CMT Outcomes
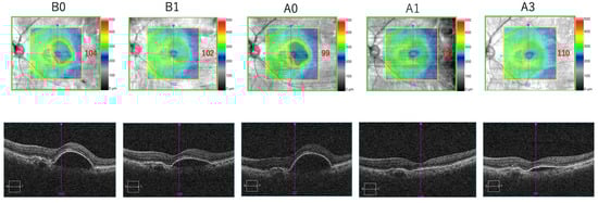
3.4. Representative Case
3.5. Safety
4. Discussion
5. Conclusions
Author Contributions
Funding
Institutional Review Board Statement
Informed Consent Statement
Data Availability Statement
Conflicts of Interest
References
- Andreoli, C.M.; Miller, J.W. Anti-vascular endothelial growth factor therapy for ocular neovascular disease. Curr. Opin. Ophthalmol. 2007, 18, 502–508. [Google Scholar] [CrossRef]
- Chappelow, A.V.; Kaiser, P.K. Neovascular age-related macular degeneration: Potential therapies. Drugs 2008, 68, 1029–1036. [Google Scholar] [CrossRef]
- Rosenfeld, P.J.; Brown, D.M.; Heier, J.S.; Boyer, D.S.; Kaiser, P.K.; Chung, C.Y.; Kim, R.Y. Ranibizumab for neovascular age-related macular degeneration. N. Engl. J. Med. 2006, 355, 1419–1431. [Google Scholar] [CrossRef]
- Fu, Y.; Zhang, Z.; Webster, K.A.; Paulus, Y.M. Treatment Strategies for Anti-VEGF Resistance in Neovascular Age-Related Macular Degeneration by Targeting Arteriolar Choroidal Neovascularization. Biomolecules 2024, 14, 252. [Google Scholar] [CrossRef]
- Mettu, P.S.; Allingham, M.J.; Cousins, S.W. Incomplete response to Anti-VEGF therapy in neovascular AMD: Exploring disease mechanisms and therapeutic opportunities. Prog. Retin. Eye Res. 2021, 82, 100906. [Google Scholar] [CrossRef] [PubMed]
- Heier, J.S.; Brown, D.M.; Chong, V.; Korobelnik, J.F.; Kaiser, P.K.; Nguyen, Q.D.; Kirchhof, B.; Ho, A.; Ogura, Y.; Yancopoulos, G.D.; et al. Intravitreal aflibercept (VEGF trap-eye) in wet age-related macular degeneration. Ophthalmology 2012, 119, 2537–2548. [Google Scholar] [CrossRef] [PubMed]
- Rofagha, S.; Bhisitkul, R.B.; Boyer, D.S.; Sadda, S.R.; Zhang, K. Seven-year outcomes in ranibizumab-treated patients in ANCHOR, MARINA, and HORIZON: A multicenter cohort study (SEVEN-UP). Ophthalmology 2013, 120, 2292–2299. [Google Scholar] [CrossRef]
- Hara, C.; Wakabayashi, T.; Fukushima, Y.; Sayanagi, K.; Kawasaki, R.; Sato, S.; Sakaguchi, H.; Nishida, K. Tachyphylaxis during treatment of exudative age-related macular degeneration with aflibercept. Graefes Arch. Clin. Exp. Ophthalmol. 2019, 257, 2559–2569. [Google Scholar] [CrossRef]
- Broadhead, G.K.; Keenan, T.D.L.; Chew, E.Y.; Wiley, H.E.; Cukras, C.A. Comparison of agents using higher dose anti-VEGF therapy for treatment-resistant neovascular age-related macular degeneration. Graefes Arch. Clin. Exp. Ophthalmol. 2022, 260, 2239–2247. [Google Scholar] [CrossRef]
- Kataoka, K.; Itagaki, K.; Hashiya, N.; Wakugawa, S.; Tanaka, K.; Nakayama, M.; Yamamoto, A.; Mukai, R.; Honjyo, J.; Maruko, I.; et al. Six-month outcomes of switching from aflibercept to faricimab in refractory cases of neovascular age-related macular degeneration. Graefes Arch. Clin. Exp. Ophthalmol. 2024, 262, 43–51. [Google Scholar] [CrossRef]
- Veritti, D.; Lanzetta, P. Triple therapy for anti-vascular endothelial growth factor nonresponders in neovascular age-related macular degeneration: Impact of different photodynamic therapy parameters. Ophthalmologica 2013, 230, 131–137. [Google Scholar] [CrossRef] [PubMed]
- Kim, J.H.; Kim, J.W.; Kim, C.G. Comparison of 24-month treatment outcomes between as-needed treatment and switching to treat-and-extend in type 3 macular neovascularization. Sci. Rep. 2022, 12, 22546. [Google Scholar] [CrossRef]
- Tadayoni, R.; Sararols, L.; Weissgerber, G.; Verma, R.; Clemens, A.; Holz, F.G. Brolucizumab: A Newly Developed Anti-VEGF Molecule for the Treatment of Neovascular Age-Related Macular Degeneration. Ophthalmologica 2021, 244, 93–101. [Google Scholar] [CrossRef]
- Dugel, P.U.; Koh, A.; Ogura, Y.; Jaffe, G.J.; Schmidt-Erfurth, U.; Brown, D.M.; Gomes, A.V.; Warburton, J.; Weichselberger, A.; Holz, F.G.; et al. HAWK and HARRIER: Phase 3, Multicenter, Randomized, Double-Masked Trials of Brolucizumab for Neovascular Age-Related Macular Degeneration. Ophthalmology. 2020, 127, 72–84. [Google Scholar] [CrossRef] [PubMed]
- Dugel, P.U.; Singh, R.P.; Koh, A.; Ogura, Y.; Weissgerber, G.; Gedif, K.; Jaffe, G.J.; Tadayoni, R.; Schmidt-Erfurth, U.; Holz, F.G. HAWK and HARRIER: Ninety-Six-Week Outcomes from the Phase 3 Trials of Brolucizumab for Neovascular Age-Related Macular Degeneration. Ophthalmology 2021, 128, 89–99. [Google Scholar] [CrossRef] [PubMed]
- Shirley, M. MS Faricimab: First Approval. Drugs 2022, 82, 825–830. [Google Scholar] [CrossRef] [PubMed]
- Heier, J.S.; Khanani, A.M.; Ruiz, C.Q.; Basu, K.; Ferrone, P.J.; Brittain, C.; Figueroa, M.S.; Lin, H.; Holz, F.G.; Patel, V.; et al. Efficacy, durability, and safety of intravitreal faricimab up to every 16 weeks for neovascular age-related macular degeneration (TENAYA and LUCERNE): Two randomised, double-masked, phase 3, non-inferiority trials. Lancet 2022, 399, 729–740. [Google Scholar] [CrossRef]
- Rush, R.B. One-Year Outcomes of Faricimab Treatment for Aflibercept-Resistant Neovascular Age-Related Macular Degeneration. Clin. Ophthalmol. 2023, 17, 2201–2208. [Google Scholar] [CrossRef]
- Kishi, M.; Miki, A.; Kamimura, A.; Okuda, M.; Matsumiya, W.; Imai, H.; Kusuhara, S.; Nakamura, M. Short-Term Outcomes of Faricimab Treatment in Aflibercept-Refractory Eyes with Neovascular Age-Related Macular Degeneration. J. Clin. Med. 2023, 12, 5145. [Google Scholar] [CrossRef]
- Kamao, H.; Mitsui, E.; Date, Y.; Goto, K.; Mizukawa, K.; Miki, A. The Effect of a Loading Dose Regimen in the Switch to Brolucizumab for Patients with Aflibercept-Resistant nAMD. J. Ophthalmol. 2024, 2024, 3673930. [Google Scholar] [CrossRef]
- Schneider, M.; Bjerager, J.; Hodzic-Hadzibegovic, D.; Klefter, O.N.; Subhi, Y.; Hajari, J. Short-term outcomes of treatment switch to faricimab in patients with aflibercept-resistant neovascular age-related macular degeneration. Graefes Arch. Clin. Exp. Ophthalmol. 2024, 262, 2153–2162. [Google Scholar] [CrossRef]
- Aljundi, W.; Munteanu, C.; Seitz, B.; Abdin, A.D. Short-term outcomes of intravitreal faricimab for refractory neovascular age-related macular degeneration. Graefes Arch. Clin. Exp. Ophthalmol. 2024. [Google Scholar] [CrossRef]
- Cheung, C.M.G.; Lai, T.Y.; Teo, K.; Ruamviboonsuk, P.; Chen, S.J.; Kim, J.E.; Gomi, F.; Koh, A.H.; Kokame, G.; Jordan-Yu, J.M.; et al. Polypoidal Choroidal Vasculopathy: Consensus Nomenclature and Non-Indocyanine Green Angiograph Diagnostic Criteria from the Asia-Pacific Ocular Imaging Society PCV Workgroup. Ophthalmology 2021, 128, 443–452. [Google Scholar] [CrossRef]
- Maruyama-Inoue, M.; Yanagi, Y.; Inoue, T.; Kadonosono, K. Comparison of functional and morphologic changes between brolucizumab and faricimab in neovascular age-related macular degeneration. Graefes Arch. Clin. Exp. Ophthalmol. 2024, 262, 589–599. [Google Scholar] [CrossRef]
- Raimondi, R.; Falfeli, T.; Bogdanova-Bennet, A.; Varma, D.; Habib, M.; Kotagiri, A.; Steel, D.H.; Grinton, M. Outcomes of Treatment-Resistant Neovascular Age-Related Macular Degeneration Switched from Aflibercept to Faricimab. Ophthalmol. Retina 2024, 8, 537–544. [Google Scholar] [CrossRef]
- Szigiato, A.; Mohan, N.; Talcott, K.E.; Mammo, D.A.; Babiuch, A.S.; Kaiser, P.K.; Ehlers, J.P.; Rachitskaya, A.; Yuan, A.; Srivastava, S.K.; et al. Short-Term Outcomes of Faricimab in Patients with Neovascular Age-Related Macular Degeneration on Prior Anti-VEGF Therapy. Ophthalmol. Retina 2024, 8, 10–17. [Google Scholar] [CrossRef]
- Inoda, S.; Takahashi, H.; Takahashi, R.; Hashimoto, Y.; Yoshida, H.; Takahashi, H.; Takayama, T.; Kawashima, H.; Yanagi, Y. Visual and Anatomical Outcomes after Initial Intravitreal Faricimab Injection for Neovascular Age-Related Macular Degeneration in Patients with Prior Treatment History. Ophthalmol. Ther. 2023, 12, 2703–2712. [Google Scholar] [CrossRef]
- Fragiotta, S.; Bassis, L.; Abdolrahimzadeh, B.; Marino, A.; Sepe, M.; Abdolrahimzadeh, S. Exploring Current Molecular Targets in the Treatment of Neovascular Age-Related Macular Degeneration toward the Perspective of Long-Term Agents. Int. J. Mol. Sci. 2024, 25, 4433. [Google Scholar] [CrossRef]
- Monés, J.; Srivastava, S.K.; Jaffe, G.J.; Tadayoni, R.; Albini, T.A.; Kaiser, P.K.; Holz, F.G.; Korobelnik, J.F.; Kim, I.K.; Pruente, C.; et al. Risk of Inflammation, Retinal Vasculitis, and Retinal Occlusion-Related Events with Brolucizumab: Post Hoc Review of HAWK and HARRIER. Ophthalmology 2021, 128, 1050–1059. [Google Scholar] [CrossRef]
- Shaheen, A.; Ashkenazy, N.; Magraner, M.; Patel, N.A.; Fortun, J.; Rosenfeld, P.J.; Schwartz, S.G.; Haddock, L.J.; Dubovy, S.R.; Sridhar, J.; et al. Faricimab in Previously Treated Eyes With Neovascular Age-Related Macular.Degeneration: An Assessment of Durability and Treatment Outcomes. Ophthalmic Surg. Lasers Imaging Retina 2024, 1–6. [Google Scholar] [CrossRef]






| Characteristics | IVBr-Injected Group (n = 20) | IVF-Injected Group (n = 15) | p Value | |
|---|---|---|---|---|
| Age, years | Mean ± SD | 77.00 ± 5.81 | 74.87 ± 9.49 | 0.5125 |
| Sex | Female, n (%) | 7 (35.00%) | 5 (33.33%) | 1.0000 |
| Lens | pseudophakia, n (%) | 15 (75.00%) | 7 (46.67%) | 0.1567 |
| Previous history of PPV, eyes | n (%) | 3 (15.00%) | 2 (13.33%) | 1.0000 |
| PCV, eyes | n (%) | 2 (10.00%) | 0 (0%) | 0.4958 |
| SRF, eyes | n (%) | 18 (90.00%) | 11 (73.33%) | 0.3670 |
| IRF, eyes | n (%) | 8 (40.00%) | 5 (33.33%) | 0.7372 |
| CMT, μm | Mean ± SD | 305.85 ± 110.29 | 270.33 ± 77.62 | 0.2243 |
| BCVA (logMAR) | Mean ± SD | 0.38 ± 0.35 | 0.28 ± 0.42 | 0.4988 |
| Number of prior IVA doses before switching | Mean ± SD | 7.35 ± 4.64 | 5.87 ± 3.50 | 0.7508 |
| Period from the last IVA, weeks | Mean ± SD | 9.78 ± 3.76 | 9.65 ± 4.83 | 0.6866 |
Disclaimer/Publisher’s Note: The statements, opinions and data contained in all publications are solely those of the individual author(s) and contributor(s) and not of MDPI and/or the editor(s). MDPI and/or the editor(s) disclaim responsibility for any injury to people or property resulting from any ideas, methods, instructions or products referred to in the content. |
© 2024 by the authors. Licensee MDPI, Basel, Switzerland. This article is an open access article distributed under the terms and conditions of the Creative Commons Attribution (CC BY) license (https://creativecommons.org/licenses/by/4.0/).
Share and Cite
Kin, A.; Mizukami, T.; Ueno, S.; Mishima, S.; Shimomura, Y. Short-Term Comparison of Switching to Brolucizumab or Faricimab from Aflibercept in Neovascular AMD Patients. Medicina 2024, 60, 1170. https://doi.org/10.3390/medicina60071170
Kin A, Mizukami T, Ueno S, Mishima S, Shimomura Y. Short-Term Comparison of Switching to Brolucizumab or Faricimab from Aflibercept in Neovascular AMD Patients. Medicina. 2024; 60(7):1170. https://doi.org/10.3390/medicina60071170
Chicago/Turabian StyleKin, Akiko, Takahiro Mizukami, Satoru Ueno, Soichiro Mishima, and Yoshikazu Shimomura. 2024. "Short-Term Comparison of Switching to Brolucizumab or Faricimab from Aflibercept in Neovascular AMD Patients" Medicina 60, no. 7: 1170. https://doi.org/10.3390/medicina60071170
APA StyleKin, A., Mizukami, T., Ueno, S., Mishima, S., & Shimomura, Y. (2024). Short-Term Comparison of Switching to Brolucizumab or Faricimab from Aflibercept in Neovascular AMD Patients. Medicina, 60(7), 1170. https://doi.org/10.3390/medicina60071170
