Wolfram Syndrome Type I Case Report and Review—Focus on Early Diagnosis and Genetic Variants
Abstract
1. Introduction
2. Materials and Methods
2.1. Case Report
2.2. Laboratory Investigations
2.3. Imagistic Investigations
2.4. Molecular Investigations
3. Results
3.1. Clinical Evaluation of the Patient Land Aboratory Investigations
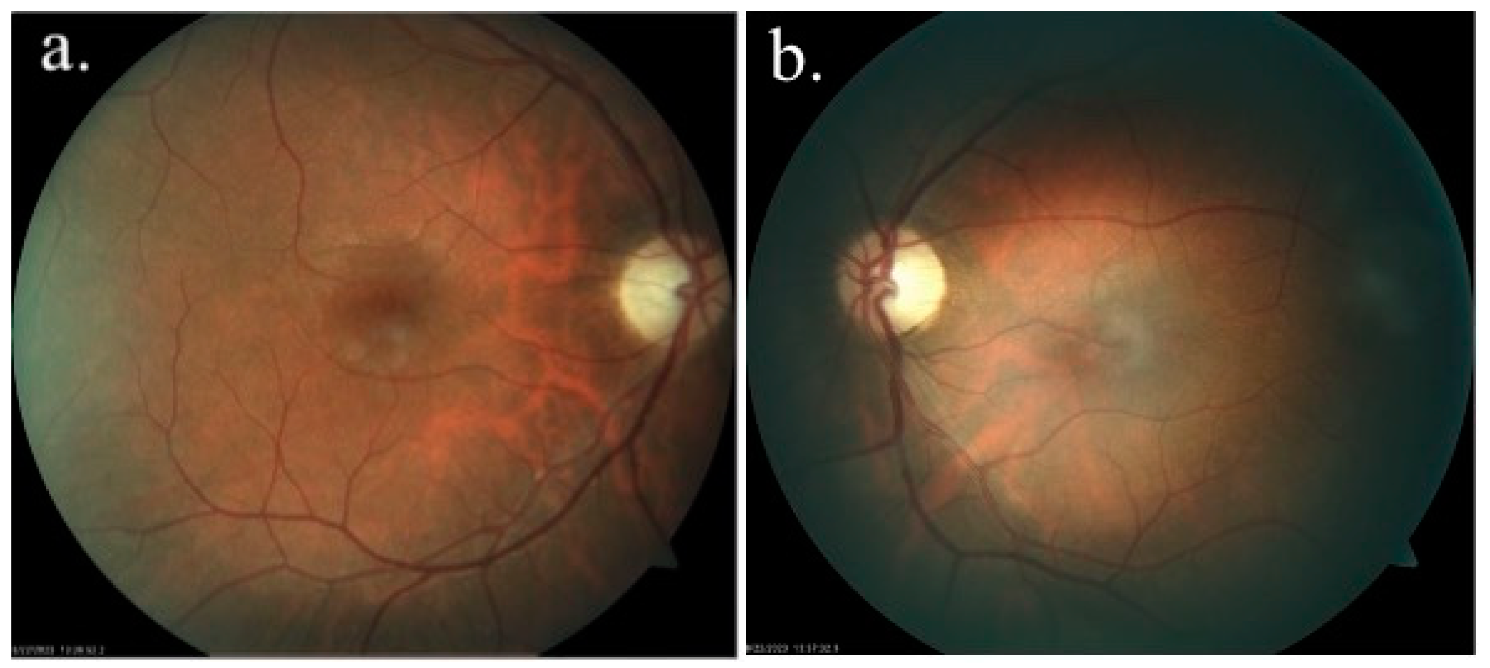
3.2. Opthalmological Examination
3.3. Imagistic Investigations
3.3.1. Abdominopelvic Ultrasound
3.3.2. MRI Skull
3.4. Molecular Investigations
4. Discussion
4.1. Genetics
4.1.1. WS1 Gene and Wolframin
4.1.2. Variants: c.1943G>A, p.(Trp648*) and c.1675G>C, p.(Ala559Pro)
c.1943G>A, p.(Trp648*) Variant
c.1675G>C, p.(Ala559Pro)
4.2. Clinical Aspects
4.2.1. General View
4.2.2. Endocrine Impairment in WS
Juvenile DM
Diabetes Insipidus (Arginine Vasopressin Deficiency Syndrome)
Hypogonadism
4.2.3. Ocular Involvement: Optic Atrophy
4.2.4. Hearing Impairment
4.2.5. Neurological and Psychiatric Abnormalities
Neurological Problems
Psychiatric Abnormalities
4.3. Genotype–Phenotype Correlation
4.4. Treatment and Follow-Up
4.4.1. Stabilizers of Calcium Homeostasis
4.4.2. Chaperone for Optimizing the Structure of Wolframin
4.4.3. ER Stress Modulators and Regenerative Peptide Drugs
4.4.4. Glucagon-like Peptide-1 Receptor (GLP-1R) agonists
4.4.5. Gene Therapy
The Use of Adeno-Associated Viral Systems (AAVs)
Gene Editing
Regenerative Medicine
4.5. Follow-Up and Genetic Counselling
5. Conclusions
Author Contributions
Funding
Institutional Review Board Statement
Informed Consent Statement
Data Availability Statement
Conflicts of Interest
References
- Urano, F. Wolfram Syndrome: Diagnosis, Management, and Treatment. Curr. Diabetes Rep. 2016, 16, 6. [Google Scholar] [CrossRef] [PubMed]
- Orphanet Report Series—Prevalence of Rare Diseases: Bibliographic Data—November 2023. Available online: http://www.orpha.net/orphacom/cahiers/docs/GB/Prevalence_of_rare_diseases_by_alphabetical_list.pdf (accessed on 25 May 2024).
- Wolfram, D.J.; Wagener, H.P. Diabetes Mellitus and Simple Optic Atro Phy among Siblings: Report of Four Cases. Mayo Clin. Proc. 1938, 13, 715–718. [Google Scholar]
- Astuti, D.; Sabir, A.; Fulton, P.; Zatyka, M.; Williams, D.; Hardy, C.; Milan, G.; Favaretto, F.; Yu-Wai-Man, P.; Rohayem, J.; et al. Monogenic Diabetes Syndromes: Locus-Specific Databases for Alström, Wolfram, and Thiamine-Responsive Megaloblastic Anemia. Hum. Mutat. 2017, 38, 764–777. [Google Scholar] [CrossRef] [PubMed]
- Zmyslowska, A.; Borowiec, M.; Fichna, P.; Iwaniszewska, B.; Majkowska, L.; Pietrzak, I.; Szalecki, M.; Szypowska, A.; Mlynarski, W. Delayed recognition of Wolfram syndrome frequently misdiagnosed as type 1 diabetes with early chronic complications. Exp. Clin. Endocrinol. Diabetes 2014, 122, 35–38. [Google Scholar] [CrossRef] [PubMed]
- Tarała, W.; Drachal, E.; Mazur, A.; Korczowski, B.; Szadkowska, A.; Zmysłowska, A.; Młynarski, W. Wolfram Syndrome. Case Report. Pediatr. Endocrinol. Diabetes Metab. 2016, 22, 39–42. [Google Scholar] [CrossRef] [PubMed][Green Version]
- de Heredia, M.L.; Clèries, R.; Nunes, V. Genotypic Classification of Patients with Wolfram Syndrome: Insights into the Natural History of the Disease and Correlation with Phenotype. Genet. Med. 2013, 15, 497–506. [Google Scholar] [CrossRef] [PubMed]
- Iafusco, D.; Zanfardino, A.; Piscopo, A.; Curto, S.; Troncone, A.; Chianese, A.; Rollato, A.S.; Testa, V.; Iafusco, F.; Maione, G.; et al. Metabolic Treatment of Wolfram Syndrome. Int. J. Environ. Res. Public Health 2022, 19, 2755. [Google Scholar] [CrossRef] [PubMed]
- Barrett, T.G.; Bundey, S.E.; Macleod, A.F. Neurodegeneration and Diabetes: UK Nationwide Study of Wolfram (DIDMOAD) Syndrome. Lancet 1995, 346, 1458–1463. [Google Scholar] [CrossRef] [PubMed]
- Torres, R.; Leroy, E.; Hu, X.; Katrivanou, A.; Gourzis, P.; Papachatzopoulou, A.; Athanassiadou, A.; Beratis, S.; Collier, D.; Polymeropoulos, M.H. Mutation Screening of the Wolfram Syndrome Gene in Psychiatric Patients. Mol. Psychiatry 2001, 6, 39–43. [Google Scholar] [CrossRef] [PubMed][Green Version]
- Kõks, S. Genomics of Wolfram Syndrome 1 (WFS1). Biomolecules 2023, 13, 1346. [Google Scholar] [CrossRef] [PubMed]
- Grenier, J.; Meunier, I.; Daien, V.; Baudoin, C.; Halloy, F.; Bocquet, B.; Blanchet, C.; Delettre, C.; Esmenjaud, E.; Roubertie, A.; et al. WFS1 in Optic Neuropathies: Mutation Findings in Nonsyndromic Optic Atrophy and Assessment of Clinical Severity. Ophthalmology 2016, 123, 1989–1998. [Google Scholar] [CrossRef] [PubMed]
- Kõks, S.; Luuk, H.; Plaas, M.; Vasar, E. Wfs1 protein in the neuropsychiatric disorders–possible involvement of ER stress. In Wfs1 Protein (Wolframin): Emerging Link between the Emotional Brain and Endocrine Pancreas; Research Signpost: Thiruvananthapuram, India, 2008. [Google Scholar]
- Hofmann, S.; Bauer, M.F. Wolfram Syndrome-associated Mutations Lead to Instability and Proteasomal Degradation of Wolframin. FEBS Lett. 2006, 580, 4000–4004. [Google Scholar] [CrossRef] [PubMed]
- Wang, L.; Liu, H.; Zhang, X.; Song, E.; Wang, Y.; Xu, T.; Li, Z. WFS1 Functions in ER Export of Vesicular Cargo Proteins in Pancreatic β-Cells. Nat. Commun. 2021, 12, 6996. [Google Scholar] [CrossRef] [PubMed]
- Takeda, K. WFS1 (Wolfram Syndrome 1) Gene Product: Predominant Subcellular Localization to Endoplasmic Reticulum in Cultured Cells and Neuronal Expression in Rat Brain. Hum. Mol. Genet. 2001, 10, 477–484. [Google Scholar] [CrossRef] [PubMed]
- Rigoli, L.; Caruso, V.; Salzano, G.; Lombardo, F. Wolfram Syndrome 1: From Genetics to Therapy. Int. J. Environ. Res. Public Health 2022, 19, 3225. [Google Scholar] [CrossRef] [PubMed]
- Takei, D.; Ishihara, H.; Yamaguchi, S.; Yamada, T.; Tamura, A.; Katagiri, H.; Maruyama, Y.; Oka, Y. WFS1 protein modulates the free Ca2+concentration in the endoplasmic reticulum. FEBS Lett. 2006, 580, 5635–5640. [Google Scholar] [CrossRef]
- Inoue, H.; Tanizawa, Y.; Wasson, J.; Behn, P.; Kalidas, K.; Bernal-Mizrachi, E.; Mueckler, M.; Marshall, H.; Donis-Keller, H.; Crock, P.; et al. A Gene Encoding a Transmembrane Protein Is Mutated in Patients with Diabetes Mellitus and Optic Atrophy (Wolfram Syndrome). Nat. Genet. 1998, 20, 143–148. [Google Scholar] [CrossRef] [PubMed]
- Zatyka, M.; Ricketts, C.; da Silva Xavier, G.; Minton, J.; Fenton, S.; Hofmann-Thiel, S.; Rutter, G.A.; Barrett, T.G. Sodium-Potassium ATPase 1 Subunit Is a Molecular Partner of Wolframin, an Endoplasmic Reticulum Protein Involved in ER Stress. Hum. Mol. Genet. 2007, 17, 190–200. [Google Scholar] [CrossRef] [PubMed]
- Hofmann, S. Wolfram Syndrome: Structural and Functional Analyses of Mutant and Wild-Type Wolframin, the WFS1 Gene Product. Hum. Mol. Genet. 2003, 12, 2003–2012. [Google Scholar] [CrossRef] [PubMed]
- Mishra, R.; Chen, B.S.; Richa, P.; Yu-Wai-Man, P. Wolfram Syndrome: New Pathophysiological Insights and Therapeutic Strategies. Ther. Adv. Rare Dis. 2021, 2, 263300402110395. [Google Scholar] [CrossRef] [PubMed]
- Rigoli, L.; Aloi, C.; Salina, A.; Di Bella, C.; Salzano, G.; Caruso, R.; Mazzon, E.; Maghnie, M.; Patti, G.; D’Annunzio, G.; et al. Wolfram Syndrome 1 in the Italian Population: Genotype-Phenotype Correlations. Pediatr. Res. 2020, 87, 456–462. [Google Scholar] [CrossRef] [PubMed]
- Fonseca, S.G.; Fukuma, M.; Lipson, K.L.; Nguyen, L.X.; Allen, J.R.; Oka, Y.; Urano, F. WFS1 is a novel component of the unfolded protein response and maintains homeostasis of the endoplasmic reticulum in pancreatic beta-cells. J. Biol. Chem. 2005, 280, 39609–39615. [Google Scholar] [CrossRef] [PubMed]
- Ishihara, H.; Takeda, S.; Tamura, A.; Takahashi, R.; Yamaguchi, S.; Takei, D.; Yamada, T.; Inoue, H.; Soga, H.; Katagiri, H.; et al. Disruption of the WFS1 gene in mice causes progressive beta-cell loss and impaired stimulus-secretion coupling in insulin secretion. Hum. Mol. Genet. 2004, 13, 1159–1170. [Google Scholar] [CrossRef] [PubMed]
- Yamada, T.; Ishihara, H.; Tamura, A.; Takahashi, R.; Yamaguchi, S.; Takei, D.; Tokita, A.; Satake, C.; Tashiro, F.; Katagiri, H.; et al. WFS1-deficiency increases endoplasmic reticulum stress, impairs cell cycle progression and triggers the apoptotic pathway specifically in pancreatic beta-cells. Hum. Mol. Genet. 2006, 15, 1600–1609. [Google Scholar] [CrossRef] [PubMed]
- Hardy, C.; Khanim, F.; Torres, R.; Scott-Brown, M.; Seller, A.; Poulton, J.; Collier, D.; Kirk, J.; Polymeropoulos, M.; Latif, F.; et al. Clinical and Molecular Genetic Analysis of 19 Wolfram Syndrome Kindreds Demonstrating a Wide Spectrum of Mutations in WFS1. Am. J. Hum. Genet. 1999, 65, 1279–1290. [Google Scholar] [CrossRef] [PubMed]
- Sam, W.; Qin, H.; Crawford, B.; Yue, D.; Yu, S. Homozygosity for a 4-Bp Deletion in a Patient with Wolfram Syndrome Suggesting Possible Phenotype and Genotype Correlation: Mutation Detection in Wolfram Syndrome. Clin. Genet. 2001, 59, 136–138. [Google Scholar] [CrossRef] [PubMed]
- Du, D.; Tuhuti, A.; Ma, Y.; Abuduniyimu, M.; Li, S.; Ma, G.; Zynat, J.; Guo, Y. Wolfram Syndrome Type 1: A Case Series. Orphanet J. Rare Dis. 2023, 18, 359. [Google Scholar] [CrossRef] [PubMed]
- Delprat, B.; Maurice, T.; Delettre, C. Wolfram Syndrome: MAMs’ Connection? Cell Death Dis. 2018, 9, 364. [Google Scholar] [CrossRef] [PubMed]
- Swift, R.G.; Sadler, D.B.; Swift, M. Psychiatric Findings in Wolfram Syndrome Homozygotes. Lancet 1990, 336, 667–669. [Google Scholar] [CrossRef] [PubMed]
- Swift, R.G.; Polymeropoulos, M.H.; Torres, R.; Swift, M. Predisposition of Wolfram Syndrome Heterozygotes to Psychiatric Illness. Mol. Psychiatry 1998, 3, 86–91. [Google Scholar] [CrossRef] [PubMed]
- Swift, M.; Swift, R.G. Wolframin Mutations and Hospitalization for Psychiatric Illness. Mol. Psychiatry 2005, 10, 799–803. [Google Scholar] [CrossRef] [PubMed]
- Koido, K.; Kõks, S.; Nikopensius, T.; Maron, E.; Altmäe, S.; Heinaste, E.; Vabrit, K.; Tammekivi, V.; Hallast, P.; Kurg, A.; et al. Polymorphisms in Wolframin (WFS1) Gene Are Possibly Related to Increased Risk for Mood Disorders. Int. J. Neuropsychopharmacol. 2005, 8, 235–244. [Google Scholar] [CrossRef] [PubMed]
- Must, A.; Kõks, S.; Vasar, E.; Tasa, G.; Lang, A.; Maron, E.; Väli, M. Common Variations in 4p Locus Are Related to Male Completed Suicide. Neuromol. Med. 2009, 11, 13–19. [Google Scholar] [CrossRef] [PubMed]
- Frontino, G.; Raouf, T.; Canarutto, D.; Tirelli, E.; Di Tonno, R.; Rigamonti, A.; Cascavilla, M.L.; Baldoli, C.; Scotti, R.; Leocani, L.; et al. Case Report: Off-Label Liraglutide Use in Children with Wolfram Syndrome Type 1: Extensive Characterization of Four Patients. Front. Pediatr. 2021, 9, 755365. [Google Scholar] [CrossRef] [PubMed]
- Chaussenot, A.; Rouzier, C.; Quere, M.; Plutino, M.; Ait-El-Mkadem, S.; Bannwarth, S.; Barth, M.; Dollfus, H.; Charles, P.; Nicolino, M.; et al. Mutation Update and Uncommon Phenotypes in a French Cohort of 96 Patients with WFS1-related Disorders. Clin. Genet. 2015, 87, 430–439. [Google Scholar] [CrossRef] [PubMed]
- Hoekel, J.; Chisholm, S.A.; Al-Lozi, A.; Hershey, T.; Earhart, G.; Hullar, T.; Tychsen, L.; Washington University Wolfram Study Group. Ophthalmologic correlates of disease severity in children and adolescents with Wolfram syndrome. J. AAPOS Off. Publ. Am. Assoc. Pediatr. Ophthalmol. Strabismus 2014, 18, 461. [Google Scholar] [CrossRef]
- Rigoli, L.; Lombardo, F.; Di Bella, C. Wolfram syndrome and WFS1 gene. Clin. Genet. 2011, 79, 103–117. [Google Scholar] [CrossRef] [PubMed]
- Serbis, A.; Giapros, V.; Kotanidou, E.P.; Galli-Tsinopoulou, A.; Siomou, E. Diagnosis, Treatment and Prevention of Type 2 Diabetes Mellitus in Children and Adolescents. World J. Diabetes 2021, 12, 344–365. [Google Scholar] [CrossRef] [PubMed]
- Vendrell, J.; Ercilla, G.; Faundez, A.; Soler, S.; Gutierrez, C.; Gomis, R.; Vilardell, E.; Richart, C. Analysis of the Contribution of the HLA System to the Inheritance in the Wolfram Syndrome. Diabetes Res. Clin. Pract. 1994, 22, 175–180. [Google Scholar] [CrossRef] [PubMed]
- Zmyslowska, A.; Malkowski, B.; Fendler, W.; Borowiec, M.; Antosik, K.; Gnys, P.; Baranska, D.; Mlynarski, W. Central Nervous System PET-CT Imaging Reveals Regional Impairments in Pediatric Patients with Wolfram Syndrome. PLoS ONE 2014, 9, e115605. [Google Scholar] [CrossRef]
- Fonseca, S.G.; Burcin, M.; Gromada, J.; Urano, F. Endoplasmic reticulum stress in beta-cells and development of diabetes. Curr. Opin. Pharmacol. 2009, 9, 763–770. [Google Scholar] [CrossRef] [PubMed]
- Zmyslowska, A.; Fendler, W.; Niwald, A.; Ludwikowska-Pawlowska, M.; Borowiec, M.; Antosik, K.; Szadkowska, A.; Mlynarski, W. Retinal Thinning as a Marker of Disease Progression in Patients with Wolfram Syndrome. Diabetes Care 2015, 38, e36–e37. [Google Scholar] [CrossRef] [PubMed]
- Rohayem, J.; Ehlers, C.; Wiedemann, B.; Holl, R.; Oexle, K.; Kordonouri, O.; Salzano, G.; Meissner, T.; Burger, W.; Schober, E.; et al. Diabetes and neurodegeneration in Wolfram syndrome: A multicenter study of phenotype and genotype. Diabetes Care 2011, 34, 1503–1510. [Google Scholar] [CrossRef] [PubMed]
- Morikawa, S.; Blacher, L.; Onwumere, C.; Urano, F. Loss of Function of WFS1 Causes ER Stress-Mediated Inflammation in Pancreatic Beta-Cells. Front. Endocrinol. 2022, 13, 849204. [Google Scholar] [CrossRef] [PubMed]
- Riahi, Y.; Israeli, T.; Cerasi, E.; Leibowitz, G. Effects of proinsulin misfolding on β-cell dynamics, differentiation and function in diabetes. Diabetes Obes. Metab. 2018, 20, 95–103. [Google Scholar] [CrossRef] [PubMed]
- Lipson, K.L.; Fonseca, S.G.; Ishigaki, S.; Nguyen, L.X.; Foss, E.; Bortell, R.; Rossini, A.A.; Urano, F. Regulation of insulin biosynthesis in pancreatic beta cells by an endoplasmic reticulum-resident protein kinase IRE1. Cell Metab. 2006, 4, 245–254. [Google Scholar] [CrossRef] [PubMed]
- Cano, A.; Rouzier, C.; Monnot, S.; Chabrol, B.; Conrath, J.; Lecomte, P.; Delobel, B.; Boileau, P.; Valero, R.; Procaccio, V.; et al. Identification of Novel Mutations in WFS1 and Genotype–Phenotype Correlation in Wolfram Syndrome. Am. J. Med. Genet. A 2007, 143A, 1605–1612. [Google Scholar] [CrossRef] [PubMed]
- Haghighi, A.; Haghighi, A.; Setoodeh, A.; Saleh-Gohari, N.; Astuti, D.; Barrett, T.G. Identification of Homozygous WFS1 Mutations (p.Asp211Asn, p.Gln486*) Causing Severe Wolfram Syndrome and First Report of Male Fertility. Eur. J. Hum. Genet. 2013, 21, 347–351. [Google Scholar] [CrossRef] [PubMed][Green Version]
- Zmyslowska, A.; Waszczykowska, A.; Baranska, D.; Stawiski, K.; Borowiec, M.; Jurowski, P.; Fendler, W.; Mlynarski, W. Optical coherence tomography and magnetic resonance imaging visual pathway evaluation in Wolfram syndrome. Dev. Med. Child. Neurol. 2019, 61, 359–365. [Google Scholar] [CrossRef] [PubMed]
- Zmyslowska, A.; Fendler, W.; Waszczykowska, A.; Niwald, A.; Borowiec, M.; Jurowski, P.; Mlynarski, W. Retinal thickness as a marker of disease progression in longitudinal observation of patients with Wolfram syndrome. Acta Diabetol. 2017, 54, 1019–1024. [Google Scholar] [CrossRef] [PubMed]
- Kumar, S. Wolfram Syndrome: Important Implications for Pediatricians and Pediatric Endocrinologists. Pediatr. Diabetes 2010, 11, 28–37. [Google Scholar] [CrossRef] [PubMed]
- Pennings, R.J.E.; Huygen, P.L.M.; Van Den Ouweland, J.M.W.; Cryns, K.; Dikkeschei, L.D.; Van Camp, G.; Cremers, C.W.R.J. Sex-related hearing impairment in Wolfram syndrome patients identified by inactivating WFS1 mutations. Audiol. Neurootol. 2004, 9, 51–62. [Google Scholar] [CrossRef] [PubMed]
- Lombardo, F.; Chiurazzi, P.; Hörtnagel, K.; Arrigo, T.; Valenzise, M.; Meitinger, T.; Messina, Μ.F.; Salzano, G.; Barberi, I.; De Luca, F. Clinical picture, evolution and peculiar molecular findings in a very large pedigree with Wolfram syndrome. J. Pediatr. Endocrinol. Metab. 2005, 18, 1391–1397. [Google Scholar] [CrossRef] [PubMed]
- Lombardo, F.; Salzano, G.; Di Bella, C.; Aversa, T.; Pugliatti, F.; Cara, S.; Valenzise, M.; De Luca, F.; Rigoli, L. Phenotypical and genotypical expression of Wolfram syndrome in 12 patients from a Sicilian district where this syndrome might not be so infrequent as generally expected. J. Endocrinol. Investig. 2014, 37, 195–202. [Google Scholar] [CrossRef] [PubMed]
- Rigoli, L.; Bramanti, P.; Di Bella, C.; De Luca, F. Genetic and Clinical Aspects of Wolfram Syndrome 1, a Severe Neurodegenerative Disease. Pediatr. Res. 2018, 83, 921–929. [Google Scholar] [CrossRef] [PubMed]
- Lodha, S.; Das, L.; Ramchandani, G.d.; Bhansali, A. A Case of Young Diabetes and Parasuicide. BMJ Case Rep. 2018, 2018, bcr2018225839. [Google Scholar] [CrossRef] [PubMed]
- Swift, M.; Gorman Swift, R. Psychiatric Disorders and Mutations at the Wolfram Syndrome Locus. Biol. Psychiatry 2000, 47, 787–793. [Google Scholar] [CrossRef] [PubMed]
- Zhang, X.; Xie, Y.; Xu, K.; Chang, H.; Zhang, X.; Li, Y. Comprehensive Genetic Analysis Unraveled the Missing Heritability in a Chinese Cohort with Wolfram Syndrome 1: Clinical and Genetic Findings. Investig. Ophthalmol. Vis. Sci. 2022, 63, 9. [Google Scholar] [CrossRef] [PubMed] [PubMed Central]
- Delvecchio, M.; Iacoviello, M.; Pantaleo, A.; Resta, N. Clinical Spectrum Associated with Wolfram Syndrome Type 1 and Type 2: A Review on Genotype–Phenotype Correlations. Int. J. Environ. Res. Public Health 2021, 18, 4796. [Google Scholar] [CrossRef] [PubMed]
- Lee, E.M.; Verma, M.; Palaniappan, N.; Pope, E.M.; Lee, S.; Blacher, L.; Neerumalla, P.; An, W.; Campbell, T.; Brown, C.; et al. Genotype and Clinical Characteristics of Patients with Wolfram Syndrome and WFS1-Related Disorders. Front. Genet. 2023, 14, 1198171. [Google Scholar] [CrossRef] [PubMed]
- Lu, S.; Kanekura, K.; Hara, T.; Mahadevan, J.; Spears, L.D.; Oslowski, C.M.; Martinez, R.; Yamazaki-Inoue, M.; Toyoda, M.; Neilson, A.; et al. A Calcium-Dependent Protease as a Potential Therapeutic Target for Wolfram Syndrome. Proc. Natl. Acad. Sci. USA 2014, 111, E5292–E5301. [Google Scholar] [CrossRef] [PubMed]
- Fan, Y.; Xiao, W.; Li, Z.; Li, X.; Chuang, P.Y.; Jim, B.; Zhang, W.; Wei, C.; Wang, N.; Jia, W.; et al. RTN1 Mediates Progression of Kidney Disease by Inducing ER Stress. Nat. Commun. 2015, 6, 7841. [Google Scholar] [CrossRef] [PubMed]
- Gharanei, S.; Zatyka, M.; Astuti, D.; Fenton, J.; Sik, A.; Nagy, Z.; Barrett, T.G. Vacuolar-Type H+-ATPase V1A Subunit Is a Molecular Partner of Wolfram Syndrome 1 (WFS1) Protein, Which Regulates Its Expression and Stability. Hum. Mol. Genet. 2013, 22, 203–217. [Google Scholar] [CrossRef] [PubMed]
- Efficacy and Safety Trial of Sodium Valproate, in Paediatric and Adult Patients with Wolfram Syndrome. Available online: https://clinicaltrials.gov/study/NCT03717909 (accessed on 23 May 2024).
- Jagomae, T.; Seppa, K.; Reimets, R.; Pastak, M.; Plaas, M.; Hickey, M.A.; Kukker, K.G.; Moons, L.; Groef, L.D.; Vasar, E.; et al. Early Intervention and Lifelong Treatment with GLP1 Receptor Agonist Liraglutide in a Wolfram Syndrome Rat Model with an Emphasis on Visual Neurodegeneration, Sensorineural Hearing Loss and Diabetic Phenotype. Cells 2021, 10, 3193. [Google Scholar] [CrossRef] [PubMed]
- Morikawa, S.; Urano, F. The Role of ER Stress in Diabetes: Exploring Pathological Mechanisms Using Wolfram Syndrome. Int. J. Mol. Sci. 2022, 24, 230. [Google Scholar] [CrossRef] [PubMed]
- Seppa, K.; Jagomae, T.; Kukker, K.G.; Reimets, R.; Pastak, M.; Vasar, E.; Terasmaa, A.; Plaas, M. Liraglutide, 7,8-DHF and their co-treatment prevents loss of vision and cognitive decline in a Wolfram syndrome rat model. Sci. Rep. 2021, 11, 2275. [Google Scholar] [CrossRef] [PubMed]
- Scully, K.J.; Wolfsdorf, J.I. Efficacy of GLP-1 Agonist Therapy in Autosomal Dominant WFS1-Related Disorder: A Case Report. Horm. Res. Paediatr. 2020, 93, 409–414. [Google Scholar] [CrossRef] [PubMed]
- Seppa, K.; Toots, M.; Reimets, R.; Jagomae, T.; Koppel, T.; Pallase, M.; Hasselholt, S.; Krogsbæk Mikkelsen, M.; Randel Nyengaard, J.; Vasar, E.; et al. GLP-1 receptor agonist liraglutide has a neuroprotective effect on an aged rat model of Wolfram syndrome. Sci. Rep. 2019, 9, 15742. [Google Scholar] [CrossRef] [PubMed]
- Yusta, B.; Baggio, L.L.; Estall, J.L.; Koehler, J.A.; Holland, D.P.; Li, H.; Pipeleers, D.; Ling, Z.; Drucker, D.J. GLP-1 receptor activation improves β cell function and survival following induction of endoplasmic reticulum stress. Cell Metab. 2006, 4, 391–406. [Google Scholar] [CrossRef] [PubMed]
- Kondo, M.; Tanabe, K.; Amo-Shiinoki, K.; Hatanaka, M.; Morii, T.; Takahashi, H.; Seino, S.; Yamada, Y.; Tanizawa, Y. Activation of GLP-1 Receptor Signalling Alleviates Cellular Stresses and Improves Beta Cell Function in a Mouse Model of Wolfram Syndrome. Diabetologia 2018, 61, 2189–2201. [Google Scholar] [CrossRef]
- Ito, F.; Sono, Y.; Ito, T. Measurement and Clinical Significance of Lipid Peroxidation as a Biomarker of Oxidative Stress: Oxidative Stress in Diabetes, Atherosclerosis, and Chronic Inflammation. Antioxidants 2019, 8, 72. [Google Scholar] [CrossRef] [PubMed]
- Pallotta, M.T.; Tascini, G.; Crispoldi, R.; Orabona, C.; Mondanelli, G.; Grohmann, U.; Esposito, S. Wolfram Syndrome, a Rare Neurodegenerative Disease: From Pathogenesis to Future Treatment Perspectives. J. Transl. Med. 2019, 17, 238. [Google Scholar] [CrossRef] [PubMed]
- Yu-Wai-Man, P. Genetic Manipulation for Inherited Neurodegenerative Diseases: Myth or Reality? Br. J. Ophthalmol. 2016, 100, 1322–1331. [Google Scholar] [CrossRef] [PubMed]
- Gerhardt, M.J.; Priglinger, C.S.; Rudolph, G.; Hufendiek, K.; Framme, C.; Jägle, H.; Salchow, D.J.; Anschütz, A.; Michalakis, S.; Priglinger, S.G. Gene Therapy with Voretigene Neparvovec Improves Vision and Partially Restores Electrophysiological Function in Pre-School Children with Leber Congenital Amaurosis. Biomedicines 2022, 11, 103. [Google Scholar] [CrossRef] [PubMed]
- Abreu, D.; Urano, F. Current Landscape of Treatments for Wolfram Syndrome. Trends Pharmacol. Sci. 2019, 40, 711–714. [Google Scholar] [CrossRef] [PubMed]
- Lindahl, M.; Danilova, T.; Palm, E.; Lindholm, P.; Võikar, V.; Hakonen, E.; Ustinov, J.; Andressoo, J.-O.; Harvey, B.K.; Otonkoski, T.; et al. MANF Is Indispensable for the Proliferation and Survival of Pancreatic β Cells. Cell Rep. 2014, 7, 366–375. [Google Scholar] [CrossRef] [PubMed]



| Compound Heterozygous | ||
|---|---|---|
| WFS1 c.1943G>A, p.(Trp648*) | WFS1 p.(Val779Gly) | PMID: 21564155 |
| WFS1 p.(Ser168del) | ||
| WFS1 p.(Gly695Val) | PMID: 9771706 | |
| frameshift variant WFS1 p.(Met623Trpfs*2) | PMID: 30957632 |
| Major Clinical Features | Average Age of Diagnosis |
|---|---|
| Diabetes insipidus | 3 months–40 years |
| Diabetes mellitus | 3 weeks–16 years |
| Optic atrophy | 6 weeks–19 years |
| Sensorineural hearing loss | 5–39 years |
| Neurological and psychiatric problems | 5–44 years |
| Urinary tract symptoms (neurogenic bladder, bladder incontinence, urinary tract infections) | 13–33 years |
Disclaimer/Publisher’s Note: The statements, opinions and data contained in all publications are solely those of the individual author(s) and contributor(s) and not of MDPI and/or the editor(s). MDPI and/or the editor(s) disclaim responsibility for any injury to people or property resulting from any ideas, methods, instructions or products referred to in the content. |
© 2024 by the authors. Licensee MDPI, Basel, Switzerland. This article is an open access article distributed under the terms and conditions of the Creative Commons Attribution (CC BY) license (https://creativecommons.org/licenses/by/4.0/).
Share and Cite
Jurca, A.D.; Galea-Holhos, L.B.; Jurca, A.A.; Atasie, D.; Petchesi, C.D.; Severin, E.; Jurca, C.M. Wolfram Syndrome Type I Case Report and Review—Focus on Early Diagnosis and Genetic Variants. Medicina 2024, 60, 1064. https://doi.org/10.3390/medicina60071064
Jurca AD, Galea-Holhos LB, Jurca AA, Atasie D, Petchesi CD, Severin E, Jurca CM. Wolfram Syndrome Type I Case Report and Review—Focus on Early Diagnosis and Genetic Variants. Medicina. 2024; 60(7):1064. https://doi.org/10.3390/medicina60071064
Chicago/Turabian StyleJurca, Alexandru Daniel, Larisa Bianca Galea-Holhos, Aurora Alexandra Jurca, Diter Atasie, Codruta Diana Petchesi, Emilia Severin, and Claudia Maria Jurca. 2024. "Wolfram Syndrome Type I Case Report and Review—Focus on Early Diagnosis and Genetic Variants" Medicina 60, no. 7: 1064. https://doi.org/10.3390/medicina60071064
APA StyleJurca, A. D., Galea-Holhos, L. B., Jurca, A. A., Atasie, D., Petchesi, C. D., Severin, E., & Jurca, C. M. (2024). Wolfram Syndrome Type I Case Report and Review—Focus on Early Diagnosis and Genetic Variants. Medicina, 60(7), 1064. https://doi.org/10.3390/medicina60071064

