Apolipoprotein E Gene Variation in Pakistani Subjects with Type 2 Diabetes with and without Cardiovascular Complications
Abstract
1. Introduction
2. Materials and Methods
2.1. Study Design
Inclusion Criteria for Healthy Individuals and Individuals with Diabetes
2.2. Patients with Renal Disease
2.2.1. Collection of Demographic and Clinical Data
2.2.2. Sample Collection
2.3. Biochemical Estimations
2.4. DNA Extraction and Quantification
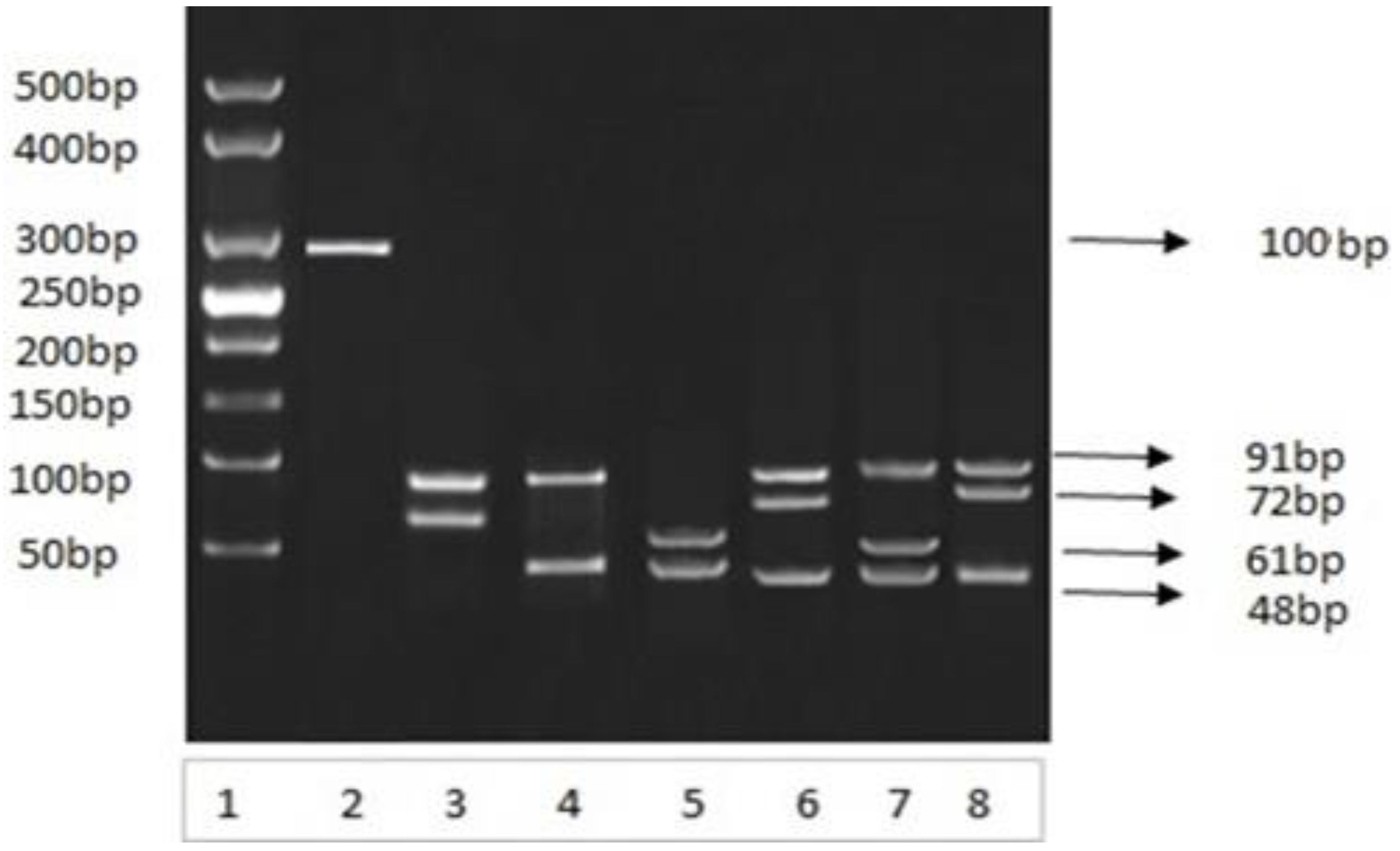
2.4.1. Polymerase Chain Reaction (PCR) Amplification
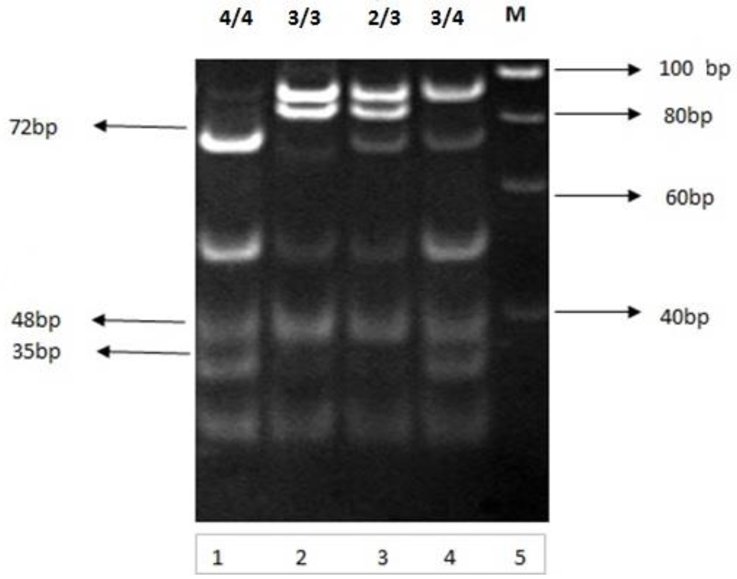
2.4.2. Restriction Fragment Length Polymorphism (RFLP)
2.5. Statistical Analysis
3. Results
3.1. Analysis of Demographic and Clinical Data
3.2. Characteristics of the Study Groups
3.3. Effect of Age on Hypertension
3.4. Effect of Duration of Diabetes on Hypertension
3.5. Onset of Diabetes in Study Subjects
3.6. Smoking
3.7. Biochemical Analysis
3.8. Blood Sugar Levels
3.9. HbA1c
3.10. Lipid Profile: Total Cholesterol
3.11. Total Triglycerides
3.12. Low-Density Lipoproteins
3.13. High-Density Lipoproteins
3.14. Very-Low-Density Lipoproteins
3.15. Serum Creatinine
3.16. Evaluation of Biochemical Parameters in Smokers and Non-Smokers in Study Groups
3.17. Restriction Analysis and Genotyping of Amplified DNA Product
3.18. Genotypic Distribution/Variation
4. Discussion
5. Conclusions
Author Contributions
Funding
Institutional Review Board Statement
Informed Consent Statement
Data Availability Statement
Conflicts of Interest
References
- Reed, J.; Bain, S.; Kanamarlapudi, V. A review of current trends with type 2 diabetes epidemiology, aetiology, pathogenesis, treatments and future perspectives. Diabetes Metab. Syndr. Obes. Targets Ther. 2021, 14, 3567–3602. [Google Scholar] [CrossRef] [PubMed]
- Lee, J.; Yun, J.S.; Ko, S.H. Advanced glycation end products and their effect on vascular complications in type 2 diabetes mellitus. Nutrients 2022, 14, 3086. [Google Scholar] [CrossRef] [PubMed]
- Aljulifi, M.Z. Prevalence and reasons of increased type 2 diabetes in Gulf Cooperation Council Countries. Saudi Med. J. 2021, 42, 481. [Google Scholar] [CrossRef] [PubMed]
- Zhang, P.; Gao, J.; Pu, C.; Zhang, Y. Apolipoprotein status in type 2 diabetes mellitus and its complications. Mol. Med. Rep. 2017, 16, 9279–9286. [Google Scholar] [CrossRef] [PubMed]
- Liu, S.; Liu, J.; Weng, R.; Gu, X.; Zhong, Z. Apolipoprotein E gene polymorphism and the risk of cardiovascular disease and type 2 diabetes. BMC Cardiovasc. Disord. 2019, 19, 213. [Google Scholar] [CrossRef]
- Javed, R.A.; Bhatti, A.; Amin, M. Dyslipidemia in type 2 diabetes mellitus in normal and underweight patient. Pak. J. Med. Health Sci. 2016, 10, 568–570. [Google Scholar]
- Sarfraz, M.; Sajid, S.; Ashraf, M.A. Prevalence and pattern of dyslipidemia in hyperglycemic patients and its associated factors among Pakistani population. Saudi J. Biol. Sci. 2016, 23, 761–766. [Google Scholar] [CrossRef]
- Beckman, J.A.; Creager, M.A. Vascular complications of diabetes. Circ. Res. 2016, 118, 1771–1785. [Google Scholar] [CrossRef]
- Peters, S.A.; Woodward, M. Sex differences in the burden and complications of diabetes. Curr. Diabetes Rep. 2018, 18, 33. [Google Scholar] [CrossRef]
- Ghosh, A.; Gao, L.; Thakur, A.; Siu, P.M.; Lai, C.W. Role of free fatty acids in endothelial dysfunction. J. Biomed. Sci. 2017, 24, 50. [Google Scholar] [CrossRef]
- Low Wang, C.C.; Hess, C.N.; Hiatt, W.R.; Goldfine, A.B. Clinical update: Cardiovascular disease in diabetes mellitus: Atherosclerotic cardiovascular disease and heart failure in type 2 diabetes mellitus–mechanisms, management, and clinical considerations. Circulation 2016, 133, 2459–2502. [Google Scholar] [CrossRef] [PubMed]
- Huang, D.; Refaat, M.; Mohammedi, K.; Jayyousi, A.; Al Suwaidi, J.; Abi Khalil, C. Macrovascular complications in patients with diabetes and prediabetes. BioMed Res. Int. 2017, 2017, 7839101. [Google Scholar] [CrossRef] [PubMed]
- Regassa, L.D.; Tola, A.; Ayele, Y. Prevalence of cardiovascular disease and associated factors among type 2 diabetes patients in selected hospitals of Harari region, eastern Ethiopia. Front. Public Health 2021, 8, 532719. [Google Scholar] [CrossRef] [PubMed]
- Einarson, T.R.; Acs, A.; Ludwig, C.; Panton, U.H. Prevalence of cardiovascular disease in type 2 diabetes: A systematic literature review of scientific evidence from across the world in 2007–2017. Cardiovasc. Diabetol. 2018, 17, 83. [Google Scholar] [CrossRef]
- Huebschmann, A.G.; Huxley, R.R.; Kohrt, W.M.; Zeitler, P.; Regensteiner, J.G.; Reusch, J.E. Sex differences in the burden of type 2 diabetes and cardiovascular risk across the life course. Diabetologia 2019, 62, 1761–1772. [Google Scholar] [CrossRef] [PubMed]
- Nanayakkara, N.; Curtis, A.J.; Heritier, S.; Gadowski, A.M.; Pavkov, M.E.; Kenealy, T.; Owens, D.R.; Thomas, R.L.; Song, S.; Wong, J. Impact of age at type 2 diabetes mellitus diagnosis on mortality and vascular complications: Systematic review and meta-analyses. Diabetologia 2021, 64, 275–287. [Google Scholar] [CrossRef] [PubMed]
- Bhupathiraju, S.N.; Hu, F.B. Epidemiology of obesity and diabetes and their cardiovascular complications. Circ. Res. 2016, 118, 1723–1735. [Google Scholar] [CrossRef] [PubMed]
- Maqbool, T.; Awan, S.J.; Malik, S.; Hadi, F.; Shehzadi, S.; Tariq, K. In-vitro anti-proliferative, apoptotic and antioxidative activities of medicinal herb Kalonji (Nigella sativa). Curr. Pharm. Biotechnol. 2019, 20, 1288–1308. [Google Scholar] [CrossRef] [PubMed]
- Mansoor, G.; Tahir, M.; Maqbool, T.; Abbasi, S.Q.; Hadi, F.; Shakoori, T.A.; Akhtar, S.; Rafiq, M.; Ashraf, M.; Ullah, I. Increased expression of circulating stress markers, inflammatory cytokines and decreased antioxidant level in diabetic nephropathy. Medicina 2022, 58, 1604. [Google Scholar] [CrossRef]
- Chen, R.; Ovbiagele, B.; Feng, W. Diabetes and stroke: Epidemiology, pathophysiology, pharmaceuticals and outcomes. Am. J. Med. Sci. 2010, 351, 380–386. [Google Scholar] [CrossRef]
- Oliveira, M.J.; van Deventer, H.E.; Bachmann, L.M.; Warnick, G.R.; Nakajima, K.; Nakamura, M.; Sakurabayashi, I.; Kimberly, M.M.; Shamburek, R.D.; Korzun, W.J. Evaluation of four different equations for calculating LDL-C with eight different direct HDL-C assays. Clin. Chim. Acta 2013, 423, 135–140. [Google Scholar] [CrossRef] [PubMed]
- Zafar, U.; Khaliq, S.; Lone, K.P. Genetic association of apolipoprotein A5-1131T> C polymorphism with traits of metabolic syndrome. J. Coll. Physicians Surg. Pak. 2019, 29, 626–630. [Google Scholar] [CrossRef] [PubMed]
- Schwarz, S.; Haas, B.; Luley, C.; Schäfer, J.R.; Steinmetz, A. Quantification of apolipoprotein A-IV in human plasma by immunonephelometry. Clin. Chem. 1994, 40, 1717–1721. [Google Scholar] [CrossRef] [PubMed]
- Machado-Alba, J.E.; Machado-Duque, M.E. Cardiovascular risk factors prevalence among patients with dyslipidemia in Colombia. Rev. Peru. Med. Exp. Y Salud Publica 2013, 30, 205–211. [Google Scholar]
- Bommer, C.; Sagalova, V.; Heesemann, E.; Manne-Goehler, J.; Atun, R.; Bärnighausen, T.; Vollmer, S. Global economic burden of diabetes in adults: Projections from 2015 to 2030. Diabetes Care 2018, 41, 963–970. [Google Scholar] [CrossRef] [PubMed]
- Gerdts, E.; Regitz-Zagrosek, V. Sex differences in cardiometabolic disorders. Nat. Med. 2019, 25, 1657–1666. [Google Scholar] [CrossRef] [PubMed]
- Seghieri, G.; Policardo, L.; Anichini, R.; Franconi, F.; Campesi, I.; Cherchi, S.; Tonolo, G. The effect of sex and gender on diabetic complications. Curr. Diabetes Rev. 2017, 13, 148–160. [Google Scholar] [CrossRef]
- Huxley, R.; Barzi, F.; Woodward, M. Excess risk of fatal coronary heart disease associated with diabetes in men and women: Meta-analysis of 37 prospective cohort studies. BMJ 2006, 332, 73–78. [Google Scholar] [CrossRef]
- Bradley, D.; Hsueh, W. Type 2 diabetes in the elderly: Challenges in a unique patient population. J. Geriatr. Med. Gerontol. 2016, 2, 14. [Google Scholar] [CrossRef]
- Sharma, M.; McClung, J.A.; Abraham, N.G. Adiponectin: A mediator of obesity, insulin resistance, diabetes, and the metabolic syndrome. In Translational Research in Coronary Artery Disease; Academic Press: Cambridge, MA, USA, 2016; pp. 33–42. [Google Scholar]
- Abdelbagi, O.; Musa, I.R.; Musa, S.M.; ALtigani, S.A.; Adam, I. Prevalence and associated factors of hypertension among adults with diabetes mellitus in northern Sudan: A cross-sectional study. BMC Cardiovasc. Disord. 2021, 21, 168. [Google Scholar] [CrossRef]
- Kemche, B.; Saha Foudjo, B.U.; Fokou, E. Risk factors of hypertension among diabetic patients from Yaounde central hospital and Etoug-Ebe Baptist health centre, Cameroon. J. Diabetes Res. 2020, 2020, 1853516. [Google Scholar] [CrossRef] [PubMed]
- Yang, Y.; Peng, N.; Chen, G.; Wan, Q.; Yan, L.; Wang, G.; Qin, Y.; Luo, Z.; Tang, X.; Huo, Y.; et al. Interaction between smoking and diabetes in relation to subsequent risk of cardiovascular events. Cardiovasc. Diabetol. 2022, 21, 14. [Google Scholar] [CrossRef] [PubMed]
- Campagna, D.; Alamo, A.; Di Pino, A.; Russo, C.; Calogero, A.E.; Purrello, F.; Polosa, R. Smoking and diabetes: Dangerous liaisons and confusing relationships. Diabetol. Metab. Syndr. 2019, 11, 85. [Google Scholar] [CrossRef] [PubMed]
- Chang, S.A. Smoking and type 2 diabetes mellitus. Diabetes Metab. J. 2012, 36, 399–403. [Google Scholar] [CrossRef] [PubMed]
- Gavin, J.R., III.; Stolar, M.W.; Freeman, J.S.; Spellman, C.W. Improving outcomes in patients with type 2 diabetes mellitus: Practical solutions for clinical challenges. J. Osteopath. Med. 2010, 110, 2–14. [Google Scholar]
- Nilsson, P.M.; Tuomilehto, J.; Rydén, L. The metabolic syndrome–what is it and how should it be managed? Eur. J. Prev. Cardiol. 2019, 26 (Suppl. S2), 33–46. [Google Scholar] [CrossRef] [PubMed]
- Zahalka, S.J.; Abushamat, L.A.; Scalzo, R.L.; Reusch, J.E.B. The Role of Exercise in Diabetes; MDText.com, Inc.: South Dartmouth, MA, USA, 2019. [Google Scholar]
- Shah, S.Z.; Karam, J.A.; Zeb, A.; Ullah, R.; Shah, A.; Haq, I.U.; Ali, I.; Darain, H.; Chen, H. Movement is improvement: The therapeutic effects of exercise and general physical activity on glycemic control in patients with type 2 diabetes mellitus: A systematic review and meta-analysis of randomized controlled trials. Diabetes Ther. 2021, 12, 707–732. [Google Scholar] [CrossRef] [PubMed]
- Tsenkova, V.K.; Karlamangla, A.S.; Ryff, C.D. Parental history of diabetes, positive affect, and diabetes risk in adults: Findings from MIDUS. Ann. Behav. Med. 2016, 50, 836–843. [Google Scholar] [CrossRef] [PubMed]
- Rasheed, M.; Islam, N.; Mahjabeen, W. Factors associated with uncontrolled type 2 diabetes mellitus. J. Islamabad Med. Dent. Coll. (JIMDC) 2015, 4, 68–71. [Google Scholar]
- Riaz, F.; Al Shaikh, A.; Anjum, Q.; Mudawi Alqahtani, Y.; Shahid, S. Factors related to the uncontrolled fasting blood sugar among type 2 diabetic patients attending primary health care center, Abha city, Saudi Arabia. Int. J. Clin. Pract. 2021, 75, e14168. [Google Scholar] [CrossRef]
- Shaikh, D.; Yakta, D.; Baloch, G.H.; Shaikh, D. The Age of Onset of Type 2 Diabetes Mellitus in Adult Population. Ann. Pak. Inst. Med. Sci. 2008, 4, 109–112. [Google Scholar]
- Maida, C.D.; Daidone, M.; Pacinella, G.; Norrito, R.L.; Pinto, A.; Tuttolomondo, A. Diabetes and ischemic stroke: An old and new relationship an overview of the close interaction between these diseases. Int. J. Mol. Sci. 2022, 23, 2397. [Google Scholar] [CrossRef]
- Narindrarangkura, P.; Bosl, W.; Rangsin, R.; Hatthachote, P. Prevalence of dyslipidemia associated with complications in diabetic patients: A nationwide study in Thailand. Lipids Health Dis. 2019, 18, 90. [Google Scholar] [CrossRef] [PubMed]
- Mehta, R.K.; Koirala, P.; Mallick, R.L.; Parajuli, S.; Jha, R. Dyslipidemia in patients with type 2 diabetes mellitus in a tertiary care Centre: A descriptive cross-sectional study. JNMA J. Nepal Med. Assoc. 2021, 59, 305. [Google Scholar] [CrossRef] [PubMed]
- Das, B.K.L.; Prassan, N.; Ansari, M.F.; Agrawal, K.; Tripathi, S.; Niraula, A. Dyslipidemic profile in Type 2 Diabetes Mellitus: A hospital-based study from Eastern Nepal. J. Biomed. Sci. 2020, 7, 64–70. [Google Scholar] [CrossRef]
- El-Lebedy, D.; Raslan, H.M.; Mohammed, A.M. Apolipoprotein E gene polymorphism and risk of type 2 diabetes and cardiovascular disease. Cardiovasc. Diabetol. 2016, 15, 12. [Google Scholar] [CrossRef] [PubMed]
- Ashiq, S.; Ashiq, K. The association of apolipoprotein-E (APOE) gene polymorphisms with coronary artery disease: A systematic review and meta-analysis. Egypt. J. Med. Hum. Genet. 2021, 22, 16. [Google Scholar] [CrossRef]
- Boulenouar, H.; Mediene Benchekor, S.; Ouhaibi Djellouli, H.; Larjam Hetraf, S.A.; Houti, L.; Hammani-Medjaoui, I. Association study of APOE gene polymorphisms with diabetes and the main cardiometabolic risk factors, in the Algerian population. Egypt. J. Med. Hum. Genet. 2019, 20, 5. [Google Scholar] [CrossRef]
- Lou, H.; Huankun, L.; Wang, M.; Sun, L.; Wang, Y. Correlation between Apolipoprotein E genetic polymorphism and atrial fibrillation. Res. Sq. 2019; preprint. [Google Scholar] [CrossRef]
- Kong, L.; Gao, Y.; Li, W.; Shi, B. Association of ApoE Gene Polymorphisms with Cardio-cerebrovascular Complications in Type 2 Diabetes Mellitus in the Chinese Population. Res. Sq. 2021; preprint. [Google Scholar] [CrossRef]







| S. No. | Variables | Characteristics |
|---|---|---|
| 1 | Total Subjects | 260 |
| 2 | Age | 40–85 |
| 3 | Gender (M/F) | 90 (34.6%)/170 (65.3%) |
| 4 | Profession | Factory workers, housewives |
| 5 | Income | Low income, up to PKR 20,000/month |
| 6 | Region | Lahore and its surrounding areas |
| 7 | Duration of Onset of Diabetes Range: 2–30 Years | Below 10 years: M: 52 (25%), F: 112 (53.8%) = 78.8% Above 10 years: M: 20 (9.6%), F: 24 (11.5%) = 21.1% |
| 8 | Family History of Diabetes | Positive in M: 8 (3.8%), F: 7 (3.3%) = 7.1% |
| 9 | Physical Activity (M/F) | M: 15 (7.2%), F: 10 (4.8%) = 12.0% |
| 10 | Smoking | 30 males (11.5%), one pack of 10 cigarettes/day. No shisha smokers. No female smokers |
| 11 | Diet | Oily parathas/bread and curry 2 times a day, deep-fried snacks once a day and less fiber |
| 12 | Alcohol | Nil |
| 13 | Treatment (Oral/Insulin or Both) | Oral: M: 30 (14.4%), F: 56 (26.9%) = 41.3% Insulin + oral—M: 42 (20.1%), F: 80 (38.4%) = 58.5% |
| 14 | Hypertension (Systolic and Diastolic) | Range: (110/75)–(202/110) M: 52 (25.0%), F: 113 (54.2%) = 79.3% |
| 15 | BMI < 25 kg/m2 BMI > 25 kg/m2 | Range: 19.6–36 M: 13 (6.2%), F: 2 (0.9%) = 7% M: 59 (28.3%), F: 134 (64.4%) = 92.7% |
| Variables | Groups | |||||||||
|---|---|---|---|---|---|---|---|---|---|---|
| C | D1 | D2 | D3 | D4 | ||||||
| Gender | M | F | M | F | M | F | M | F | M | F |
| Subjects | 18 | 34 | 18 | 34 | 18 | 34 | 18 | 34 | 18 | 34 |
| Age (years) | 48–85 | 45–85 | 45–85 | 47–87 | 48–75 | 48–85 | 61–85 | 50–67 | 73–80 | 54–76 |
| BMI (kg/m2) | 18.5–22.9 | 19.5–22.9 | 30.7–33.7 | 27.5–32.0 | 22.9–32.0 | 21.0–32.0 | 28.2–32.5 | 22.1–27.1 | 26-0–32.0 | 21.0–28.2 |
| Systolic Blood Pressure (mmHg) | 110–120 | 110–120 | 135–175 | 132–202 | 155–169 | 140–172 | 140–175 | 134–160 | 144–160 | 147–165 |
| Diastolic Blood Pressure (mmHg) | 75–79 | 75–79 | 85–100 | 85–110 | 89–100 | 88–100 | 85–100 | 80–100 | 87–100 | 85–110 |
| Variables | C | D1 | D2 | D3 | D4 | p-Value | |
|---|---|---|---|---|---|---|---|
| Demographics | |||||||
| Age (Years) | M | 72.40 ± 11.22 | 64.00 ± 17.81 | 66.60 ± 16.16 | 76.40 ± 8.00 | 77.00 ± 7.88 | 0.762 |
| F | 65.60 ± 17.42 | 63.00 ± 17.81 | 65.40 ± 17.35 | 59.40 ± 19.4 | 65.40 ± 14.09 | 0.762 | |
| BMI (kg/m2) | M | 20.22 ± 0.81 | 28.04 ± 0.80 | 26.24 ± 0.99 | 26.48 ± 0.32 | 25.22 ± 0.31 | 0.0001 |
| F | 20.44 ± 0.80 | 29.10 ± 0.55 | 30.42 ± 2.03 | 27.68 ± 0.90 | 33.36 ± 2.35 | 0.0001 | |
| Blood Pressure | |||||||
| Systolic Blood Pressure (mmHg) | M | 114.00 ± 1.70 | 151.80 ± 6.68 | 160.20 ± 3.56 | 152.20 ± 6.71 | 146.80 ± 5.17 | 0.0001 |
| F | 112.60 ± 1.32 | 157.80 ± 11.78 | 154.20 ± 6.91 | 143.20 ± 7.27 | 157.80 ± 3.27 | 0.0001 | |
| Diastolic Blood Pressure (mmHg) | M | 77.00 ± 0.70 | 93.60 ± 2.89 | 90.60 ± 4.50 | 93.80 ± 2.85 | 94.00 ± 2.60 | 0.0001 |
| F | 77.00 ± 0.70 | 97.00 ± 4.03 | 91.00 ± 4.15 | 91.80 ± 3.55 | 95.60 ± 1.72 | 0.0001 | |
| Blood Pressure Variation in Disease Group | |||||||||
|---|---|---|---|---|---|---|---|---|---|
| Stages of Hypertension | D1 | D2 | D3 | D4 | Total % of Patients with Hypertension | ||||
| M | F | M | F | M | F | M | F | ||
| HTN Stage 1 | 1 | 7 | 2 | 8 | 4 | 14 | 6 | 5 | (22.5%) males (6.2%) females (16.3%) |
| HTN Stage 2 | 13 | 22 | 11 | 20 | 9 | 14 | 6 | 23 | (56.6%) males (18.7%) females (37.9%) |
| Normal Blood Pressure | 4 | 5 | 5 | 6 | 5 | 6 | 6 | 6 | (20.6%) males (9.6%) females (11.0%) |
| Total | 14 | 29 | 13 | 28 | 13 | 28 | 12 | 28 | (79.3%) males (24.9%) females (54.2%) |
| Age Group | Hypertension Stage | Percentages (%) | Total % of Subjects with HTN |
|---|---|---|---|
| Age 40–60 | Stage 1 | 10 (4.8%) | (41.8%) |
| Stage 2 | 77 (37.0%) | ||
| No HTN | 6 (2.8%) | ||
| Age 60 or Above | Stage 1 HTN | 18 (8.6%) | (37.4%) |
| Stage 2 HTN | 60 (28.8%) | ||
| No HTN | 37 (17.5%) |
| Duration | No HTN | HTN Stage 1 | HTN Stage 2 | Total |
|---|---|---|---|---|
| >10 years | 0.8% | 4.9% | 20.0% | 24.9% |
| <10 years | 9.0% | 5.4% | 49.0% | 54.4% |
| Duration of Diabetes | Male Percentage | Female Percentage | Total Percentage |
|---|---|---|---|
| >10 Years | 20 (9.6%) | 24 (11.5%) | (21.1%) |
| <10 Years | 52 (25.0%) | 112 (53.8%) | (78.8%) |
| Variables | C | D1 | D2 | D3 | D4 | p-Value | |||||
|---|---|---|---|---|---|---|---|---|---|---|---|
| Smoker | Non-Smoker | Smoker | Non-Smoker | Smoker | Non-Smoker | Smoker | Non-Smoker | Smoker | Non-Smoker | ||
| Age (years) | 70.00 ± 14.90 | 71.13 ± 13.80 | 63.00 ± 18.90 | 57.20 ± 14.79 | 70.50 ± 13.50 | 55.00 ± 13.00 | 58.00 ± 18.11 | 67.00 ± 16.65 | 53.00 ± 13.39 | 66.25 ± 14.55 | 0.56 |
| BMI (kg/m2) | 19.99 ± 0.79 | 20.00 ± 0.80 | 28.68 ± 1.62 | 29.52 ± 0.73 | 31.85 ± 0.65 | 26.40 ± 0.70 | 26.53 ± 2.18 | 28.76 ± 1.16 | 28.20 ± 1.05 | 24.95 ± 1.11 | 0.05 |
| Systolic Blood Pressure (mmHg) | 113.13 ± 1.68 | 114.90 ± 1.59 | 155.60 ± 11.63 | 165.60 ± 9.42 | 157.00 ± 17.50 | 140.00 ± 20.00 | 158.33 ± 12.01 | 160.00 ± 6.98 | 142.75 ± 12.87 | 140.75 ± 9.02 | 0.05 |
| Diastolic Blood Pressure (mmHg) | 76.39 ± 0.69 | 77.00 ± 0.70 | 88.20 ± 4.32 | 91.60 ± 3.98 | 92.50 ± 2.50 | 90.00 ± 10.00 | 91.66 ± 4.41 | 98.00 ± 4.35 | 85.50 ± 4.51 | 89.50 ± 3.88 | 0.05 |
| Sr. No. | Variables | Control | Diabetics, mg/dL |
|---|---|---|---|
| 1 | Fasting Blood Sugar (BSF) | <126 mg/dL | 145–356 mg/dL |
| 2 | Glycated Hemoglobin (HbA1c) | <5.7% | 6.8–13.6% |
| 3 | Total Cholesterol (TC) | <150 mg/dL | 205–532 mg/dL |
| 4 | Total Triglycerides (TGs) | <150 mg/dL | 197–433 mg/dL |
| 5 | High-Density Lipoproteins (HDLs) | >70–78 mg/dL | 36–58 mg/dL |
| 6 | Low-Density Lipoproteins (LDLs) | <100 mg/dL | 137–255 mg/dL |
| 7 | Very-Low-Density Lipoproteins (VLDLs) | 2–30 mg/dL | 45–90 mg/dL |
| 8 | Serum Creatinine | <0.5 mg/dL | 0.4–1.1 mg/dL |
| Variables | C | D1 | D2 | D3 | D4 | |||||
|---|---|---|---|---|---|---|---|---|---|---|
| M | F | M | F | M | F | M | F | M | F | |
| Blood Sugar | ||||||||||
| Fasting Blood Sugar mg/dL | 73–87 | 73–83 | 250–326 | 260–288 | 300–339 | 287–356 | 166–225 | 145–220 | 158–185 | 148–189 |
| HbA1c % | 4.3–5.0 | 3.9–5.0 | 6.8–8.8 | 9.6–13.6 | 6.9–8.1 | 7.8–9.5 | 6.8–8.9 | 7.3–8.9 | 7.1–8.4 | 7.6–8.4 |
| Lipid Profile | ||||||||||
| TC mg/dL | 150–170 | 160–175 | 250–277 | 205–239 | 200–250 | 210–231 | 200–250 | 217–245 | 480–532 | 214–265 |
| TG mg/dL | 90–100 | 90–100 | 410–433 | 267–277 | 220–270 | 247–285 | 210–214 | 300–379 | 197–220 | 220–340 |
| HDL mg/dL | 70–78 | 70–78 | 52–58 | 40–45 | 50–55 | 37–45 | 44–46 | 36–40 | 36–40 | 41–50 |
| LDL mg/dL | 80–90 | 85–90 | 132–148 | 148–165 | 176–189 | 184–198 | 167–189 | 175–178 | 238 –255 | 179–230 |
| VLDL mg/dL | 20–30 | 25–35 | 80–86 | 49–55 | 50–57 | 47–58 | 49–55 | 65–75 | 80–90 | 80–85 |
| Others | ||||||||||
| Serum Creatinine mg/dL | 0.7–1.0 | 0.5–1.0 | 0.5–1.1 | 0.5–1.1 | 0.7–1.0 | 0.5–1.0 | 0.7–1.0 | 0.5–1.0 | 0.8–1.0 | 0.7–1.1 |
| Variables | C | D1 | D2 | D3 | D4 | p-Value | |
|---|---|---|---|---|---|---|---|
| Blood Sugar | |||||||
| BSF | M | 79.60 ± 2.63 | 291.00 ± 12.23 | 313.80 ± 7.31 | 187.20 ± 16.68 | 174.20 ± 5.91 | 0.0001 |
| F | 81.40 ± 2.80 | 281.00 ± 7.29 | 326.60 ± 12.48 | 184.20 ± 14.75 | 166.00 ± 7.59 | 0.0001 | |
| HbA1c | M | 4.40 ± 0.23 | 7.62 ± 0.40 | 7.58 ± 0.26 | 7.74 ± 0.35 | 7.32 ± 0.38 | 0.0001 |
| F | 4.48 ± 0.22 | 11.50 ± 0.69 | 8.16 ± 0.63 | 7.78 ± 0.44 | 7.74 ± 0.39 | 0.0001 | |
| Lipid Profile | |||||||
| TC | M | 120.00 ± 5.00 | 263.500 ± 13.500 | 225.000 ± 25.000 | 225.000 ± 25.000 | 506.00 ± 26.00 | 0.0001 |
| F | 127.50 ± 2.50 | 222.00 ± 17.00 | 220.50 ± 10.50 | 231.00 ± 14.00 | 239.50 ± 25.50 | 0.0001 | |
| TG | M | 100.00 ± 0.00 | 421.50 ± 11.50 | 245.00 ± 25.00 | 212.00 ± 2.00 | 208.50 ± 11.50 | 0.0001 |
| F | 90.00 ± 0.00 | 272.00 ± 5.00 | 266.00 ± 19.00 | 339.50 ± 39.50 | 280.00 ± 60.00 | 0.0001 | |
| HDL | M | 74.40 ± 4.00 | 55.00 ± 3.00 | 52.50 ± 2.50 | 45.00 ± 1.00 | 38.00 ± 2.00 | 0.0001 |
| F | 74.00 ± 4.00 | 42.50 ± 2.50 | 41.00 ± 4.00 | 38.00 ± 2.00 | 45.50 ± 4.50 | 0.0001 | |
| LDL | M | 82.50 ± 7.50 | 137.00 ± 5.00 | 182.50 ± 6.50 | 178.00 ± 11.00 | 246.50 ± 8.50 | 0.0001 |
| F | 85.00 ± 5.00 | 156.50 ± 8.50 | 191.00 ± 7.00 | 176.50 ± 1.50 | 204.50 ± 25.50 | 0.0001 | |
| VLDL | M | 25.00 ± 5.00 | 80.50 ± 35.50 | 50.00 ± 13.00 | 48.50 ± 5.50 | 82.50 ± 0.50 | 0.0001 |
| F | 31.50 ± 3.50 | 52.00 ± 3.00 | 51.50 ± 5.50 | 70.50 ± 4.50 | 82.50 ± 2.50 | 0.0001 | |
| Others | |||||||
| Creatinine | M | 0.83 ± 0.05 | 0.86 ± 0.08 | 0.83 ± 0.05 | 0.83 ± 0.05 | 0.89 ± 0.03 | 0.1614 |
| F | 0.72 ± 0.08 | 0.90 ± 0.07 | 0.72 ± 0.08 | 0.72 ± 0.08 | 0.90 ± 0.03 | 0.1614 | |
| Variables | Groups | ||||||||||
|---|---|---|---|---|---|---|---|---|---|---|---|
| C | D1 | D2 | D3 | D4 | p-Value | ||||||
| Smoker | Non-Smoker | Smoker | Non-Smoker | Smoker | Non-Smoker | Smoker | Non-Smoker | Smoker | Non-Smoker | ||
| BSF | 77.62 ± 2.61 | 76.43 ± 2.59 | 252.40 ± 34.71 | 205.60 ± 8.54 | 186.50 ± 19.50 | 189.50 ± 6.50 | 193.00 ± 29.87 | 173.00 ± 32.45 | 190.25 ± 11.80 | 198.75 ± 12.21 | 0.001 |
| HbA1c | 4.52 ± 0.34 | 4.46 ± 0.31 | 8.12 ± 0.46 | 7.90 ± 0.27 | 7.20 ± 0.10 | 7.60 ± 1.25 | 7.83 ± 0.31 | 7.16 ± 0.61 | 7.52 ± 0.31 | 7.42 ± 0.33 | 0.001 |
| Creatinine | 0.83 ± 0.06. | 0.80 ± 0.07 | 0.70 ± 0.07 | 0.70 ± 0.10 | 1.00 ± 0.10 | 0.70 ± 0.10 | 0.83 ± 0.17 | 0.70 ± 0.05 | 0.750 ± 0.06 | 0.55 ± 0.06 | 0.10 |
| Total Cholesterol | 120.01 ± 4.45 | 118.23 ± 4.34 | 216.60 ± 11.50 | 182.20 ± 21.53 | 200.50 ± 13.50 | 180.00 ± 5.00 | 315.33 ± 108.40 | 197.00 ± 5.50 | 210.75 ± 23.03 | 204.25 ± 14.19 | 0.001 |
| Triglycerides | 99.78 ± 0.01 | 100.09 ± 0.43 | 179.00 ± 7.05 | 176.80 ± 21.59 | 197.50 ± 0.50 | 283.50 ± 95.50 | 166.00 ± 18.50 | 234.33 ± 52.96 | 254.25 ± 61.05 | 206.75 ± 26.94 | 0.05 |
| HDL | 73.45 ± 3.38 | 73.65 ± 3.32 | 43.80 ± 3.18 | 38.00 ± 2.62 | 45.00 ± 1.00 | 38.00 ± 2.00 | 38.33 ± 1.20 | 43.33 ± 0.66 | 51.000 ± 9.65 | 56.50 ± 8.05 | 0.01 |
| LDL | 81.45 ± 7.00 | 80.91 ± 6.72 | 161.80 ± 10.78 | 156.60 ± 18.27 | 183.00 ± 5.00 | 159.00 ± 19.00 | 195.00 ± 30.55 | 183.00 ± 25.35 | 143.50 ± 4.368 | 133.00 ± 15.98 | 0.001 |
| VLDL | 25.02 ± 4.90 | 25.06 ± 4.89 | 79.00 ± 30.48 | 78.39 ± 30.00 | 50.00 ± 12.98 | 48.99 ± 13.00 | 46.49 ± 5.00 | 47.44 ± 4.48 | 81.48 ± 2.33 | 80.43 ± 2.19 | 0.001 |
| Genotype | C | D1 | D2 | D3 | D4 | p-Value |
|---|---|---|---|---|---|---|
| E3/3 | 2 (3.8%) | 10 (19.2%) | 14 (26.9%) | 12 (23.0%) | 14 (26.9%) | 0.0001 |
| E4/4 | 2 (3.8%) | 7 (13.4%) | 16 (30.7%) | 10 (19.2%) | 13 (25%) | 0.0001 |
| E2/3 | 3 (5.7%) | 6 (11.5%) | 8 (15.3%) | 12 (23%) | 10 (19.2%) | 0.0001 |
| E3/4 | 3 (5.7%) | 8 (15.3%) | 11 (21.1%) | 13 (25%) | 12 (23.0%) | 0.0001 |
Disclaimer/Publisher’s Note: The statements, opinions and data contained in all publications are solely those of the individual author(s) and contributor(s) and not of MDPI and/or the editor(s). MDPI and/or the editor(s) disclaim responsibility for any injury to people or property resulting from any ideas, methods, instructions or products referred to in the content. |
© 2024 by the authors. Licensee MDPI, Basel, Switzerland. This article is an open access article distributed under the terms and conditions of the Creative Commons Attribution (CC BY) license (https://creativecommons.org/licenses/by/4.0/).
Share and Cite
Nadeem, S.; Maqbool, T.; Qureshi, J.A.; Altaf, A.; Naz, S.; Azhar, M.M.; Ullah, I.; Shah, T.A.; Qamar, M.U.; Salamatullah, A.M. Apolipoprotein E Gene Variation in Pakistani Subjects with Type 2 Diabetes with and without Cardiovascular Complications. Medicina 2024, 60, 961. https://doi.org/10.3390/medicina60060961
Nadeem S, Maqbool T, Qureshi JA, Altaf A, Naz S, Azhar MM, Ullah I, Shah TA, Qamar MU, Salamatullah AM. Apolipoprotein E Gene Variation in Pakistani Subjects with Type 2 Diabetes with and without Cardiovascular Complications. Medicina. 2024; 60(6):961. https://doi.org/10.3390/medicina60060961
Chicago/Turabian StyleNadeem, Shehwar, Tahir Maqbool, Javed Anver Qureshi, Awais Altaf, Sadia Naz, Muzammal Mateen Azhar, Inam Ullah, Tawaf Ali Shah, Muhammad Usman Qamar, and Ahmad Mohammad Salamatullah. 2024. "Apolipoprotein E Gene Variation in Pakistani Subjects with Type 2 Diabetes with and without Cardiovascular Complications" Medicina 60, no. 6: 961. https://doi.org/10.3390/medicina60060961
APA StyleNadeem, S., Maqbool, T., Qureshi, J. A., Altaf, A., Naz, S., Azhar, M. M., Ullah, I., Shah, T. A., Qamar, M. U., & Salamatullah, A. M. (2024). Apolipoprotein E Gene Variation in Pakistani Subjects with Type 2 Diabetes with and without Cardiovascular Complications. Medicina, 60(6), 961. https://doi.org/10.3390/medicina60060961

