Diagnostic Assessment of Endoscopic Ultrasonography–Fine Needle Aspiration Cytology in the Pancreas: A Comparison between Liquid-Based Preparation and Conventional Smear
Abstract
1. Introduction
2. Materials and Methods
2.1. Patients
2.2. Evaluation of Cytological Features
2.3. Statistical Analysis
3. Results
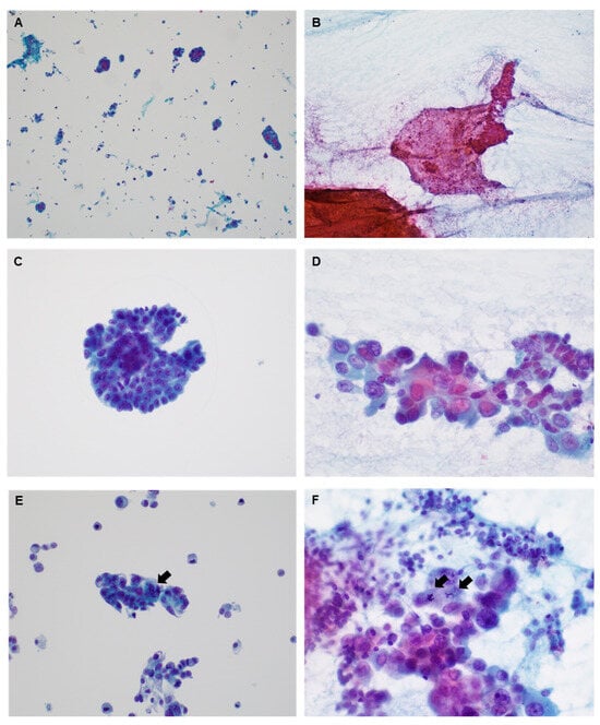
3.1. Cytopathologic Characteristics of Endoscopic Ultrasonography–Fine Needle Aspiration Cytology
3.2. Decision Tree Analysis
4. Discussion
5. Conclusions
Author Contributions
Funding
Institutional Review Board Statement
Informed Consent Statement
Data Availability Statement
Conflicts of Interest
References
- WHO Reporting System for Pancreaticobiliary Cytopathology. IAC-IARC-WHO Joint Editorial Board, 1st ed.; International Agency for Research on Cancer: Lyon, France, 2021. [Google Scholar]
- Lee, J.C.; Kim, H.; Kim, H.W.; Lee, J.; Paik, K.; Kang, J. Examining Bottom and Top Slide Smears of EUS-FNA for Pancreatic Cancer is Necessary. Hepatobiliary Pancreat. Dis. Int. 2018, 17, 553–558. [Google Scholar] [CrossRef] [PubMed]
- Ko, S.H.; Pyo, J.S.; Son, B.K.; Lee, H.Y.; Oh, I.W.; Chung, K.H. Comparison between Conventional Smear and Liquid-Based Preparation in Endoscopic Ultrasonography-Fine Needle Aspiration Cytology of Pancreatic Lesions. Diagnostics 2020, 10, 293. [Google Scholar] [CrossRef] [PubMed]
- Minaga, K.; Takenaka, M.; Katanuma, A.; Kitano, M.; Yamashita, Y.; Kamata, K. Needle tract seeding: An overlooked rare complication of endoscopic ultrasound-guided fine-needle aspiration. Oncology 2017, 93 (Suppl. S1), 107–112. [Google Scholar] [CrossRef] [PubMed]
- Binmoeller, K.F.; Rathod, V.D. Difficult pancreatic mass FNA: Tips for success. Gastrointest. Endosc. 2002, 56, S86–S91. [Google Scholar] [CrossRef] [PubMed]
- Bhutani, M.S.; Hawes, R.H.; Baron, P.L.; Sanders-Cliette, A.; van Velse, A.; Osborne, J.F. Endoscopic ultrasound guided fine needle aspiration of malignant pancreatic lesions. Endoscopy 1997, 29, 854–858. [Google Scholar] [CrossRef]
- Chang, K.J.; Katz, K.D.; Durbin, T.E.; Erickson, R.A.; Butler, J.A.; Lin, F. Endoscopic ultrasound-guided fine-needle aspiration. Gastrointest. Endosc. 1994, 40, 694–699. [Google Scholar] [CrossRef]
- Chhieng, D.C.; Jhala, D.; Jhala, N.; Eltoum, I.; Chen, V.K.; Vickers, S. Endoscopic ultrasound-guided fine-needle aspiration biopsy: A study of 103 cases. Cancer 2002, 96, 232–239. [Google Scholar] [CrossRef]
- Erickson, R.A.; Sayage-Rabie, L.; Beissner, R.S. Factors predicting the number of EUS-guided fine-needle passes for diagnosis of pancreatic malignancies. Gastrointest. Endosc. 2000, 51, 184–190. [Google Scholar] [CrossRef]
- Giovannini, M.; Seitz, J.F.; Monges, G.; Perrier, H.; Rabbia, I. Fine-needle aspiration cytology guided by endoscopic ultrasonography: Results in 141 patients. Endoscopy 1995, 27, 171–177. [Google Scholar] [CrossRef]
- Gress, F.G.; Hawes, R.H.; Savides, T.J.; Ikenberry, S.O.; Lehman, G.A. Endoscopic ultrasound-guided fine-needle aspiration biopsy using linear array and radial scanning endosonography. Gastrointest. Endosc. 1997, 45, 243–250. [Google Scholar] [CrossRef]
- Harewood, G.C.; Wiersema, M.J. Endosonography-guided fine needle aspiration biopsy in the evaluation of pancreatic masses. Am. J. Gastroenterol. 2002, 97, 1386–1391. [Google Scholar] [CrossRef] [PubMed]
- Iglesias-Garcia, J.; Dominguez-Munoz, E.; Lozano-Leon, A.; Abdulkader, I.; Larino-Noia, J.; Antunez, J. Impact of endoscopic ultrasound-guided fine needle biopsy for diagnosis of pancreatic masses. World J. Gastroenterol. 2007, 13, 289–293. [Google Scholar] [CrossRef] [PubMed]
- LeBlanc, J.K.; Ciaccia, D.; Al-Assi, M.T.; McGrath, K.; Imperiale, T.; Tao, L.C. Optimal number of EUS-guided fine needle passes needed to obtain a correct diagnosis. Gastrointest. Endosc. 2004, 59, 475–481. [Google Scholar] [CrossRef] [PubMed]
- Raut, C.P.; Grau, A.M.; Staerkel, G.A.; Kaw, M.; Tamm, E.P.; Wolff, R.A. Diagnostic accuracy of endoscopic ultrasound-guided fine-needle aspiration in patients with presumed pancreatic cancer. J. Gastrointest. Surg. 2003, 7, 118–128. [Google Scholar] [CrossRef] [PubMed]
- Voss, M.; Hammel, P.; Molas, G.; Palazzo, L.; Dancour, A.; O’Toole, D. Value of endoscopic ultrasound guided fine needle aspiration biopsy in the diagnosis of solid pancreatic masses. Gut 2000, 46, 244–249. [Google Scholar] [CrossRef] [PubMed]
- Wiersema, M.J.; Kochman, M.L.; Cramer, H.M.; Tao, L.C.; Wiersema, L.M. Endosonography-guided real-time fine-needle aspiration biopsy. Gastrointest. Endosc. 1994, 40, 700–707. [Google Scholar] [CrossRef] [PubMed]
- Wiersema, M.J.; Vilmann, P.; Giovannini, M.; Chang, K.J.; Wiersema, L.M. Endosonography-guided fine-needle aspiration biopsy: Diagnostic accuracy and complication assessment. Gastroenterology 1997, 112, 1087–1095. [Google Scholar] [CrossRef] [PubMed]
- Pitman, M.B.; Centeno, B.A.; Ali, S.Z.; Genevay, M.; Stelow, E.; Mino-Kenudson, M. Standardized terminology and nomenclature for pancreatobiliary cytology: The Papanicolaou Society of Cytopathology Guidelines. Cytojournal 2014, 11 (Suppl. S1), 3. [Google Scholar] [CrossRef]
- Hoda, R.S.; Arpin, R.N., 3rd; Rosenbaum, M.W.; Pitman, M.B. Risk of malignancy associated with diagnostic categories of the proposed World Health Organization international system for reporting pancreaticobiliary cytopathology. Cancer Cytopathol. 2022, 130, 195–201. [Google Scholar] [CrossRef]
- Kundu, R.; Kollabathula, A.; Gupta, N.; Rohilla, M.; Rana, S.S.; Nada, R. The WHO system versus the Papanicolaou society of cytopathology system for reporting pancreaticobiliary cytology for risk stratification-which is better? Diagn. Cytopathol. 2024, 52, 145–155. [Google Scholar] [CrossRef]
- Layfield, L.J.; Ehya, H.; Filie, A.C.; Hruban, R.H.; Jhala, N.; Joseph, L. Utilization of ancillary studies in the cytologic diagnosis of biliary and pancreatic lesions: The Papanicolaou Society of Cytopathology Guidelines. Cytojournal 2014, 11 (Suppl. S1), 4. [Google Scholar] [CrossRef] [PubMed]
- Hothorn, T.; Hornik, K.; Zeileis, A. Unbiased Recursive Partitioning: A Conditional Inference Framework. J. Comput. Graph. Stat. 2006, 15, 651–674. [Google Scholar] [CrossRef]
- Gocun, P.U.; Simsek, B.; Ekinci, O.; Ekmen, N.; Arhan, M.; Karakan, T. Risk of malignancy using the diagnostic categories proposed by the World Health Organization international system for reporting pancreaticobiliary cytopathology. Acta Cytol. 2022, 66, 475–485. [Google Scholar] [CrossRef] [PubMed]
- Nikas, I.P.; Proctor, T.; Seide, S.; Chatziioannou, S.S.; Reynolds, J.P.; Ntourakis, D. Systematic review diagnostic performance of pancreatic cytology with the Papanicolaou Society of Cytopathology system: A systematic review, before shifting into the upcoming WHO international system. Int. J. Mol. Sci. 2022, 23, 1650. [Google Scholar] [CrossRef] [PubMed]
- Boicean, A.; Birlutiu, V.; Ichim, C.; Todor, S.B.; Hasegan, A.; Bacila, C.; Solomon, A.; Cristian, A.; Dura, H. Predictors of Post-ERCP Pancreatitis (P.E.P.) in Choledochal Lithiasis Extraction. J. Pers. Med. 2023, 13, 1356. [Google Scholar] [CrossRef]
- Lee, Y.S.; Jang, J.Y.; Bae, J.Y.; Oh, E.H.; Park, Y.; Kwon, Y.H.; Shin, J.E.; Lee, J.K.; Lee, T.H.; Paik, C.N. Medical disputes related to advanced endoscopic procedures with endoscopic retrograde cholangiopancreatography or endoscopic ultrasonography for the management of pancreas and biliary tract diseases. Clin. Endosc. 2023, 56, 499–509. [Google Scholar] [CrossRef]



| Nuclear features |
| Irregular nuclear contours (notches, grooves, convolutions) |
| Nuclear enlargement |
| Hypochromatic nuclei with parachromatin clearing |
| Nucleoli |
| Additional features |
| Isolated atypical cells |
| Mucinous cytoplasm |
| Drunken honeycomb architecture |
| Mitosis, including atypical mitosis |
| Necrotic background |
| Moderate or high cellularity |
| Conventional Smear | |||||
|---|---|---|---|---|---|
| Insufficient | Low | Moderate | High | Sum | |
| Liquid-based preparation | |||||
| Insufficient | 0 | 2 | 1 | 0 | 3 |
| Low | 2 | 19 | 1 | 0 | 22 |
| Moderate | 0 | 9 | 4 | 1 | 14 |
| High | 1 | 8 | 4 | 1 | 14 |
| Sum | 3 | 38 | 10 | 2 | 53 |
| WHO Category | Conventional Smear | ||||||
|---|---|---|---|---|---|---|---|
| Category I | Category II | Category III | Category VI | Category VI | Sum | ||
| Liquid-based preparation | Category I | 0 | 0 | 3 | 0 | 1 | 4 |
| Category II | 0 | 0 | 0 | 0 | 0 | 0 | |
| Category III | 1 | 2 | 20 | 4 | 1 | 28 | |
| Category VI | 0 | 0 | 5 | 2 | 0 | 7 | |
| Category VII | 1 | 1 | 5 | 3 | 4 | 14 | |
| Sum | 2 | 3 | 33 | 9 | 6 | 53 | |
Disclaimer/Publisher’s Note: The statements, opinions and data contained in all publications are solely those of the individual author(s) and contributor(s) and not of MDPI and/or the editor(s). MDPI and/or the editor(s) disclaim responsibility for any injury to people or property resulting from any ideas, methods, instructions or products referred to in the content. |
© 2024 by the authors. Licensee MDPI, Basel, Switzerland. This article is an open access article distributed under the terms and conditions of the Creative Commons Attribution (CC BY) license (https://creativecommons.org/licenses/by/4.0/).
Share and Cite
Pyo, J.-S.; Lim, D.H.; Min, K.-W.; Kim, N.Y.; Oh, I.H.; Son, B.K. Diagnostic Assessment of Endoscopic Ultrasonography–Fine Needle Aspiration Cytology in the Pancreas: A Comparison between Liquid-Based Preparation and Conventional Smear. Medicina 2024, 60, 930. https://doi.org/10.3390/medicina60060930
Pyo J-S, Lim DH, Min K-W, Kim NY, Oh IH, Son BK. Diagnostic Assessment of Endoscopic Ultrasonography–Fine Needle Aspiration Cytology in the Pancreas: A Comparison between Liquid-Based Preparation and Conventional Smear. Medicina. 2024; 60(6):930. https://doi.org/10.3390/medicina60060930
Chicago/Turabian StylePyo, Jung-Soo, Dae Hyun Lim, Kyueng-Whan Min, Nae Yu Kim, Il Hwan Oh, and Byoung Kwan Son. 2024. "Diagnostic Assessment of Endoscopic Ultrasonography–Fine Needle Aspiration Cytology in the Pancreas: A Comparison between Liquid-Based Preparation and Conventional Smear" Medicina 60, no. 6: 930. https://doi.org/10.3390/medicina60060930
APA StylePyo, J.-S., Lim, D. H., Min, K.-W., Kim, N. Y., Oh, I. H., & Son, B. K. (2024). Diagnostic Assessment of Endoscopic Ultrasonography–Fine Needle Aspiration Cytology in the Pancreas: A Comparison between Liquid-Based Preparation and Conventional Smear. Medicina, 60(6), 930. https://doi.org/10.3390/medicina60060930

