Secretory Carcinoma of the Breast with Apocrine Differentiation—A Peculiar Entity
Abstract
1. Introduction
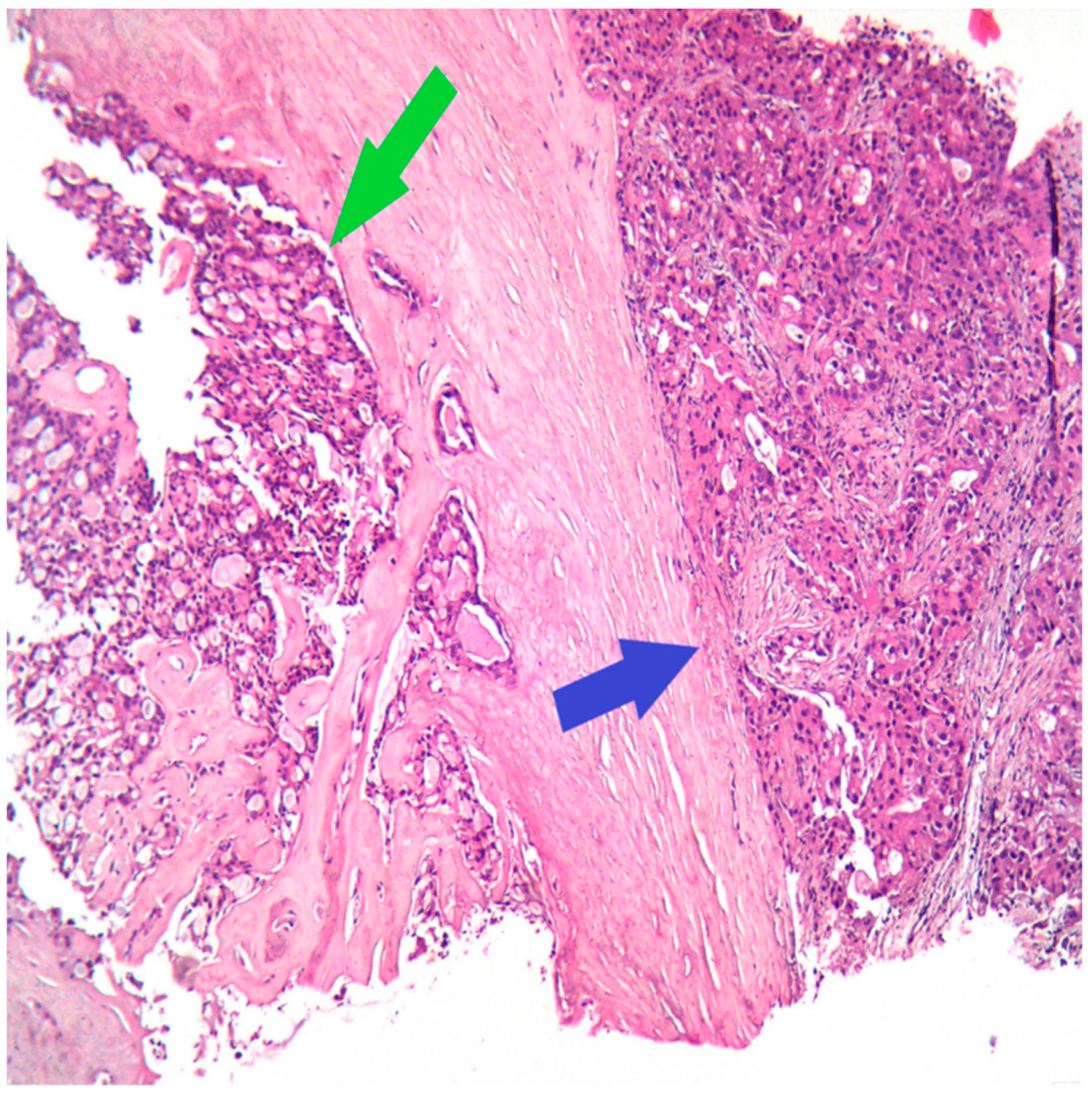
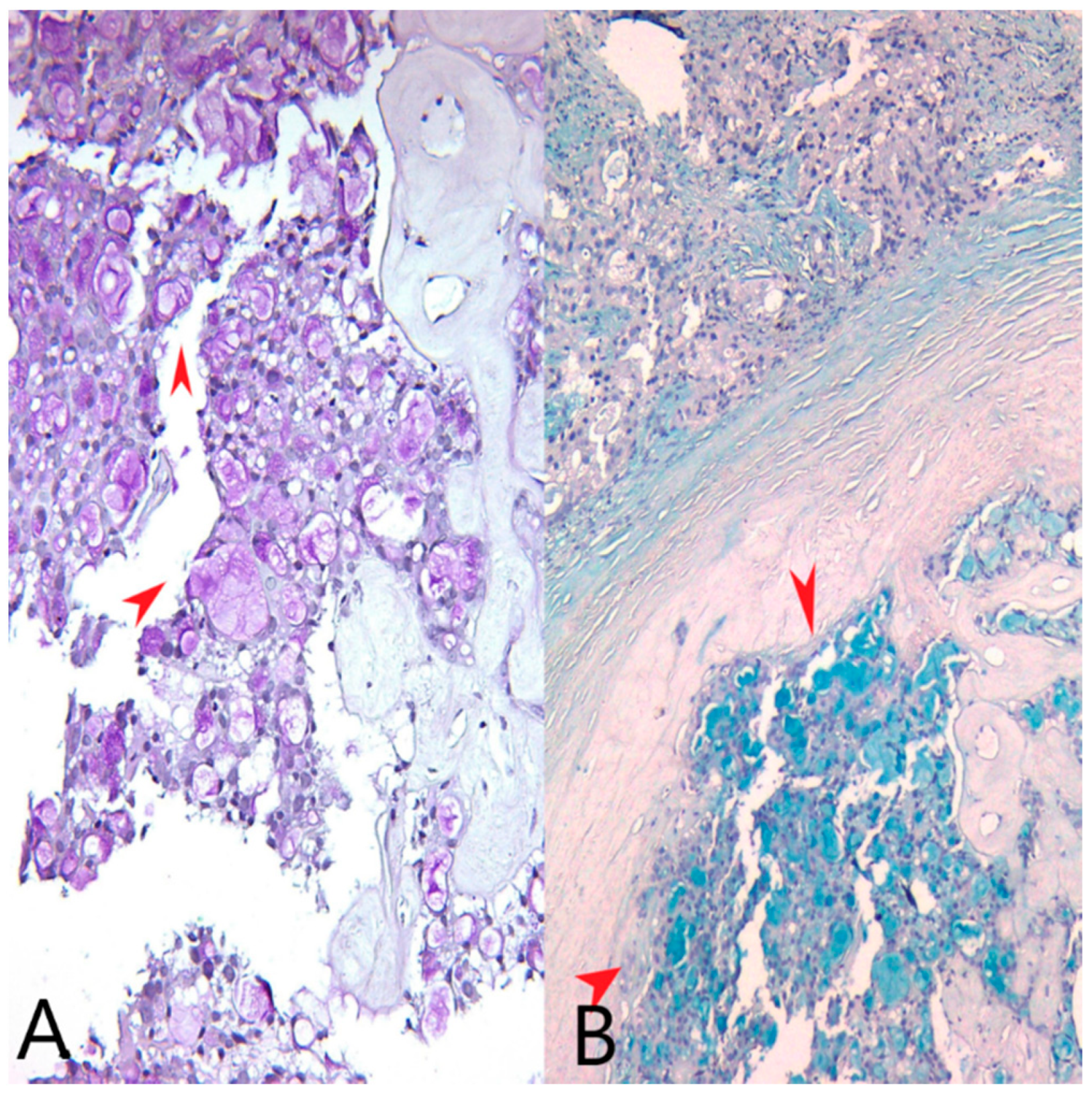
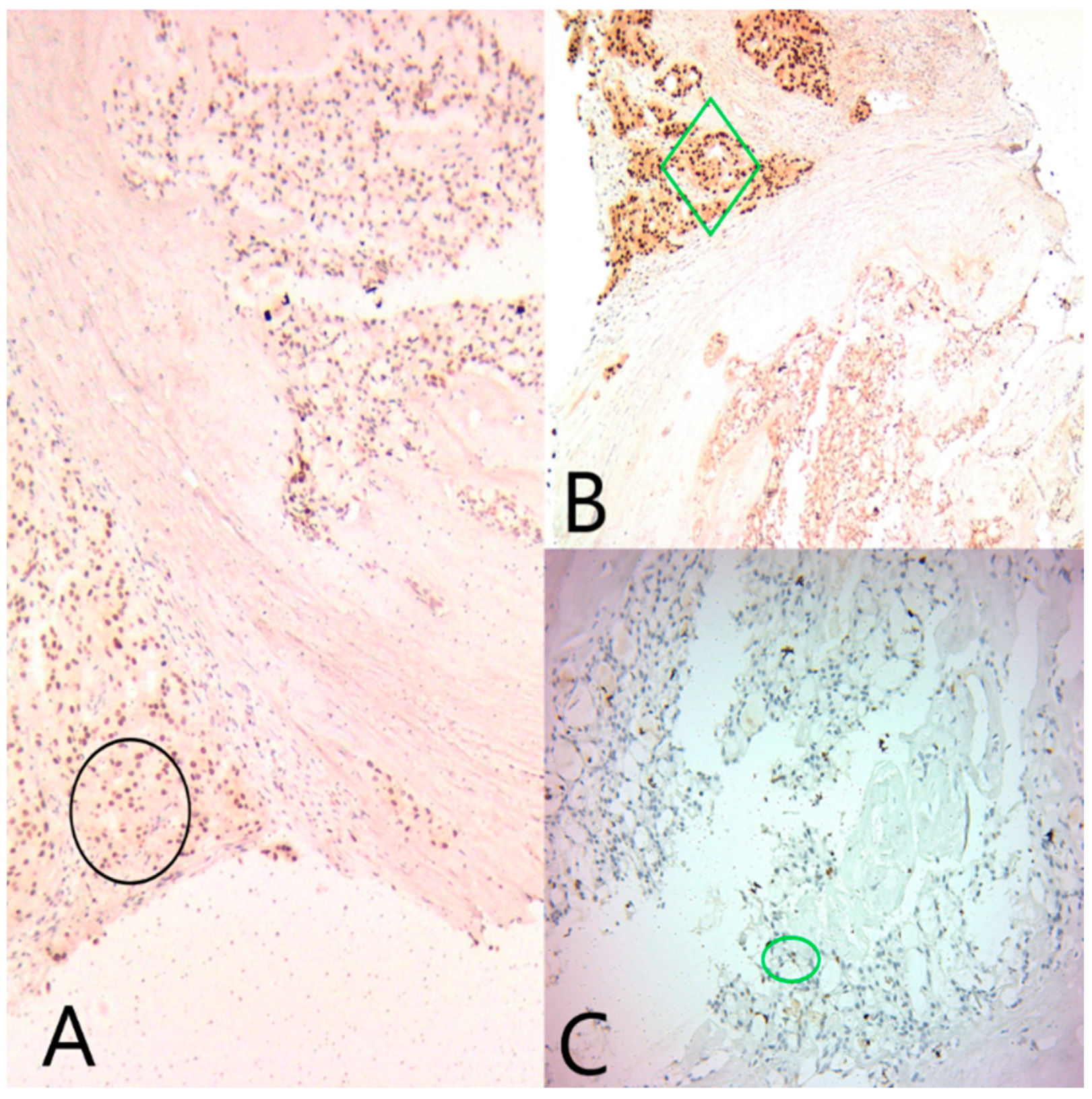
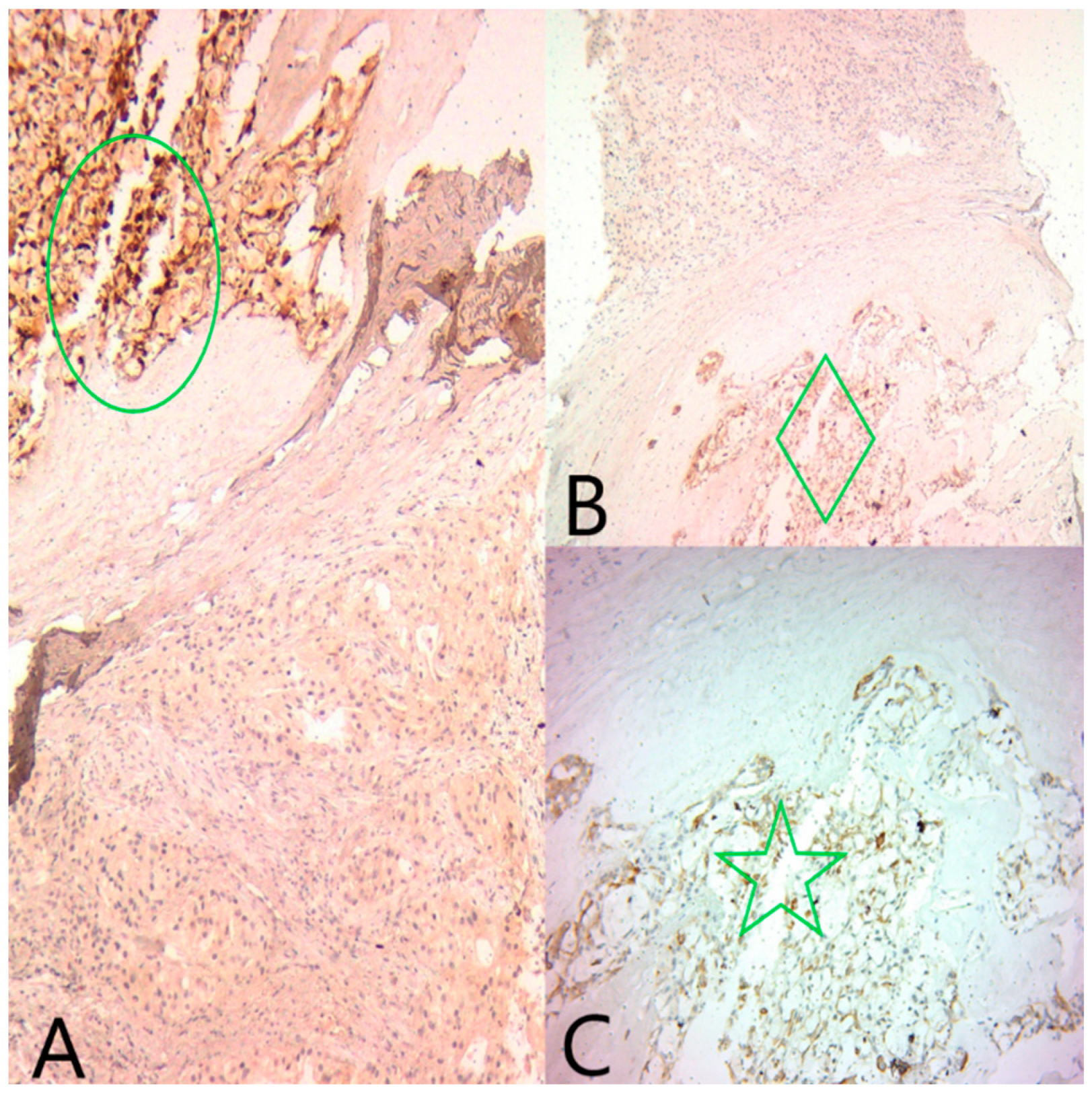
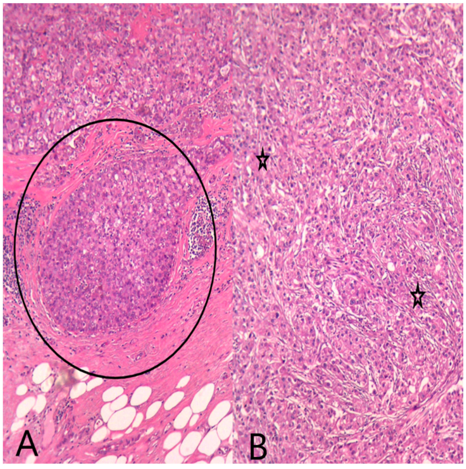
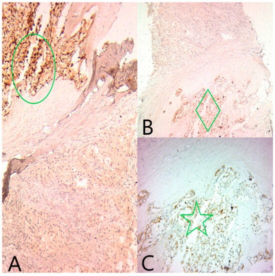
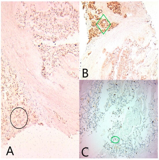
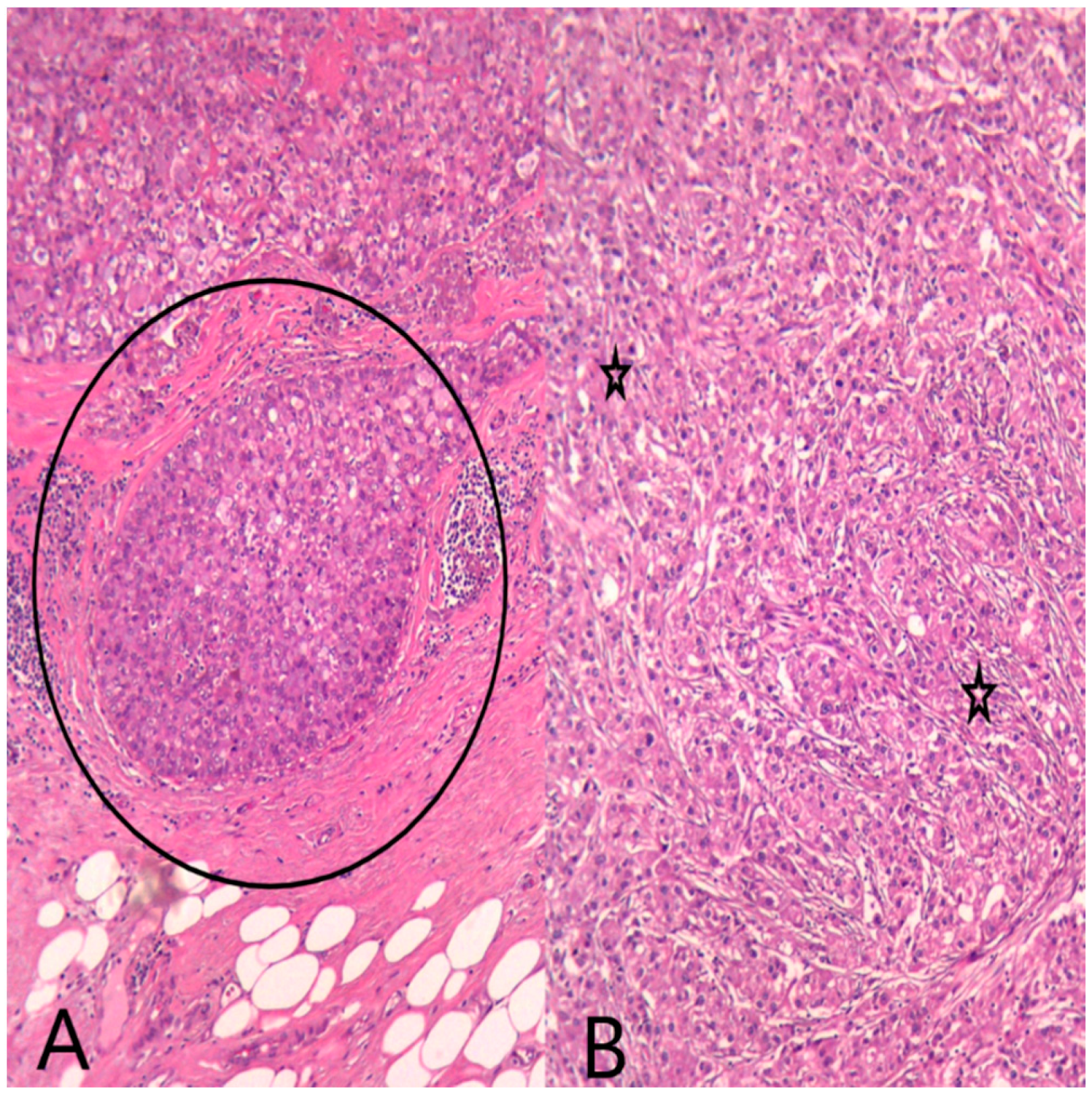
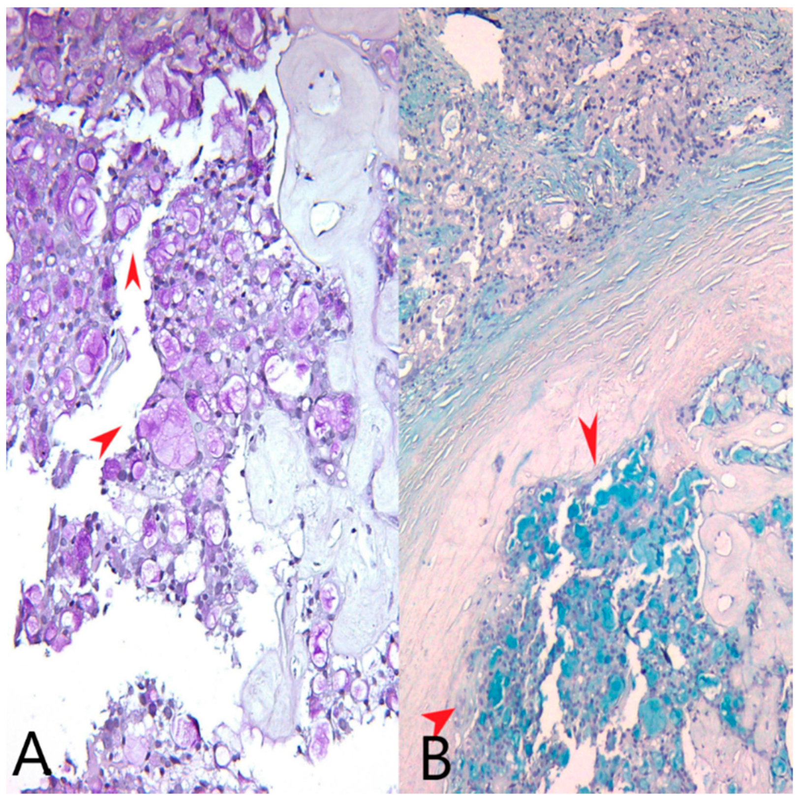
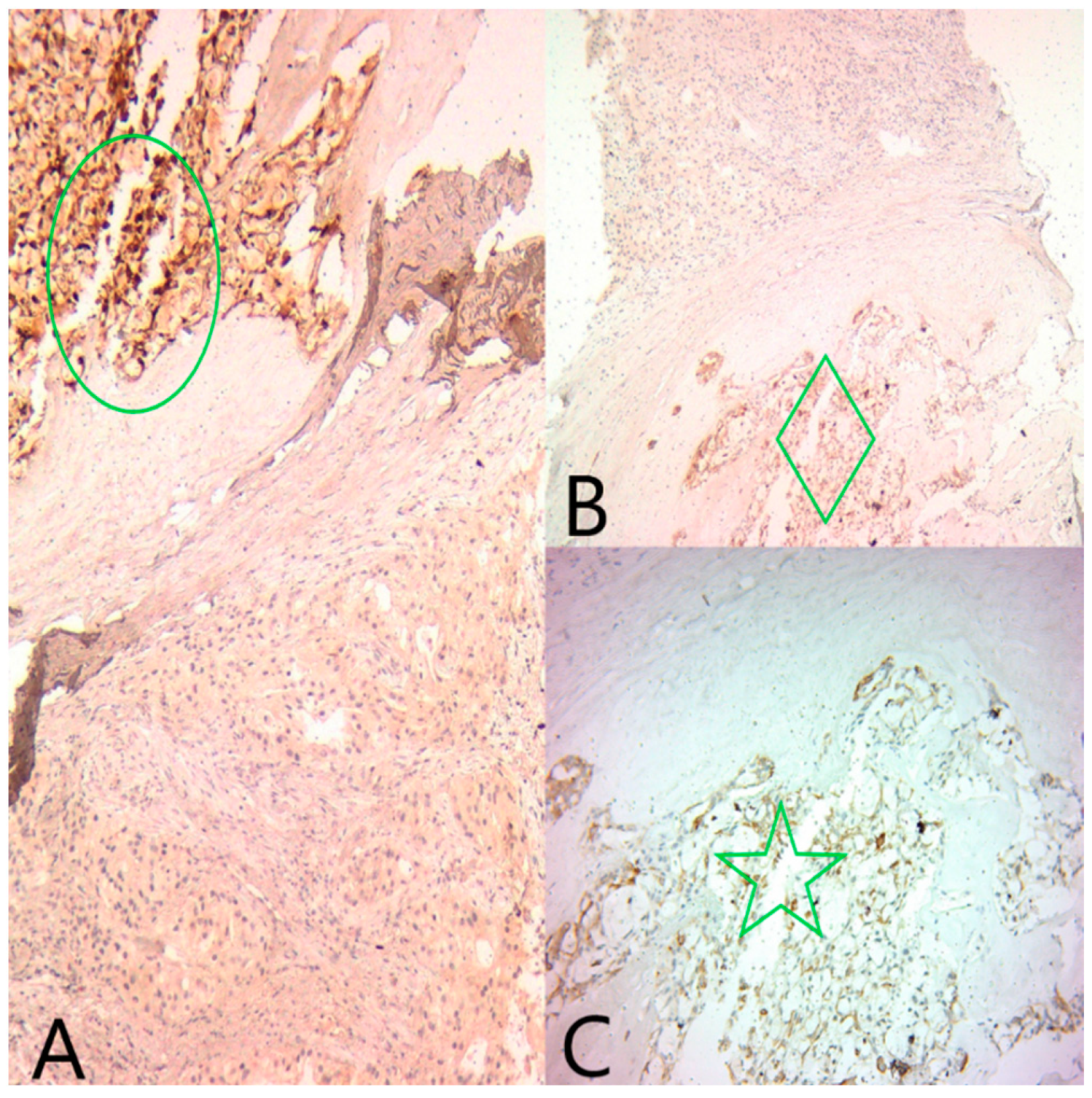
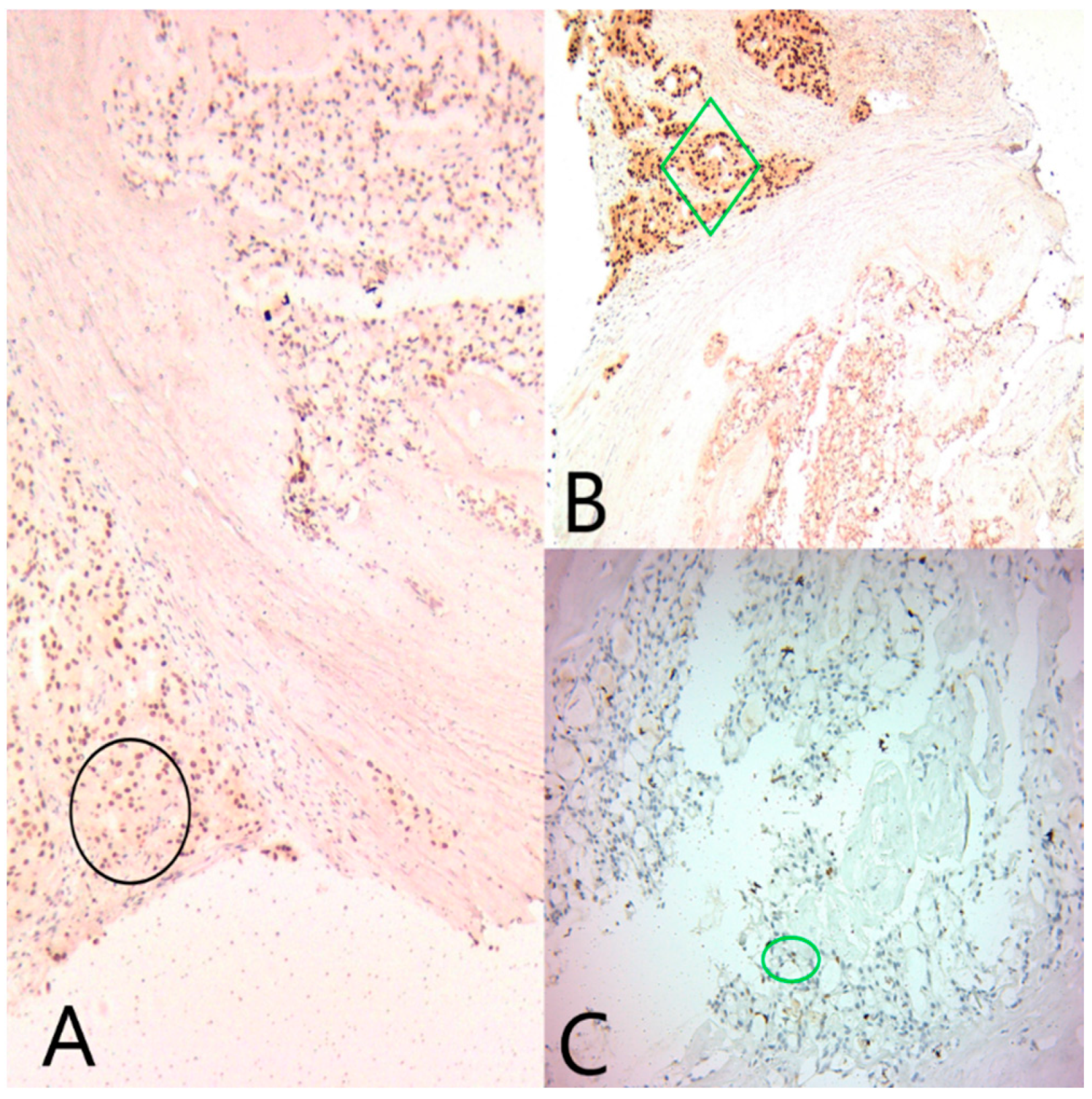
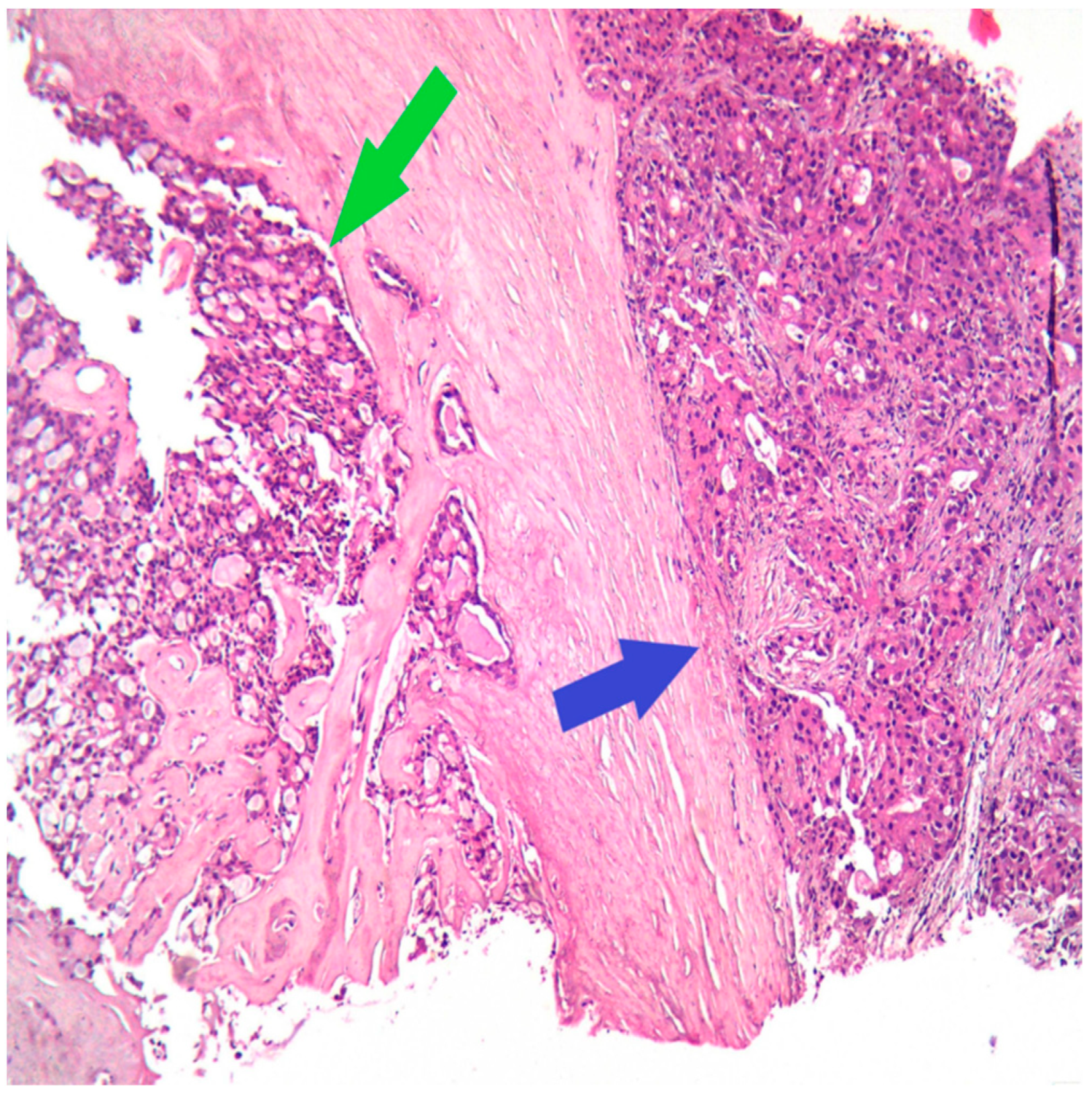
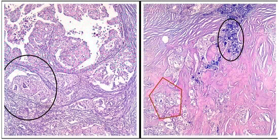
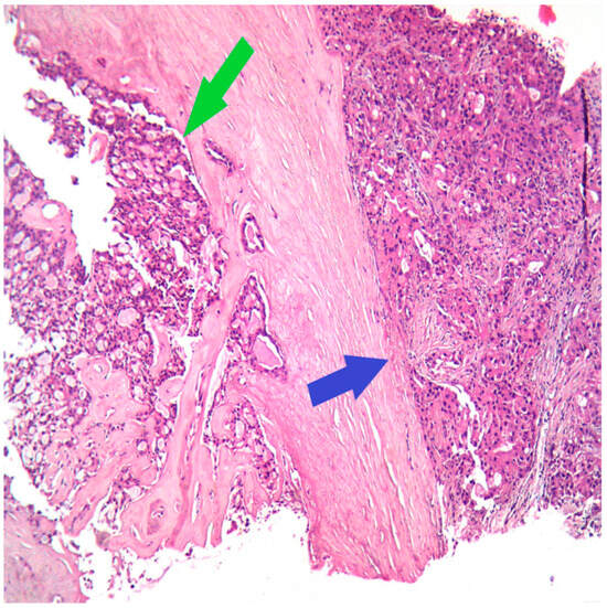
2. Case Report
- ER, EP1 clone, Ready to Use (RTU), Dako
- PR, PgR636 clone, RTU, Dako
- AR, Ar441 clone, Concentrated, Dilution 1:50, Dako
- Ki67, MIB-1 clone, RTU, Dako
- Her2, c-erbB-2 oncoprotein, Concentrated, Dilution 1:200, Dako
- S-100, 4C4.9, Concentrated, Dilution 1:150, Zeta
- Gata-3, L50-823, Concentrated, Dilution 1:100, Zeta
- CEA, Polyclonal RPab, Concentrated, Dilution 1:250, Biosb
- CK 5/6, D5/16 B4 clone RTU, Dako.
3. Discussion
4. Conclusions
Author Contributions
Funding
Institutional Review Board Statement
Informed Consent Statement
Data Availability Statement
Conflicts of Interest
References
- Organisation Mondiale de la Santé (Ed.) Breast Tumours, 5th ed.; OMS: Geneva, Switzerland, 2019.
- Hoda, S.A.F.; Koerner, F.C.; Brogi, E.; Koerner, F.C. Rosen’s Breast Pathology, 5th ed.; Wolters Kluwer: Philadelphia, PA, USA, 2021. [Google Scholar]
- Shukla, A.; Arshad, F.; Naseem, I. Secretory carcinoma of breast: A diagnostic dilemma. Indian J. Pathol. Microbiol. 2020, 63, 143. [Google Scholar] [CrossRef]
- Shin, S.J.; Sheikh, F.S.; Allenby, P.A.; Rosen, P.P. Invasive Secretory (Juvenile) Carcinoma Arising in Ectopic Breast Tissue of the Axilla. Arch. Pathol. Lab. Med. 2001, 125, 1372–1374. [Google Scholar] [CrossRef] [PubMed]
- Li, L.; Wu, N.; Li, F.; Li, L.; Wei, L.; Liu, J. Clinicopathologic and molecular characteristics of 44 patients with pure secretory breast carcinoma. Cancer Biol. Med. 2019, 16, 139–146. [Google Scholar] [PubMed]
- Li, D.; Xiao, X.; Yang, W.; Shui, R.; Tu, X.; Lu, H.; Shi, D. Secretory breast carcinoma: A clinicopathological and immunophenotypic study of 15 cases with a review of the literature. Mod. Pathol. 2012, 25, 567–575. [Google Scholar] [CrossRef] [PubMed]
- Yang, Y.; Wang, Z.; Pan, G.; Li, S.; Wu, Y.; Liu, L. Pure secretory carcinoma in situ: A case report and literature review. Diagn. Pathol. 2019, 14, 95. [Google Scholar] [CrossRef] [PubMed]
- Laé, M.; Fréneaux, P.; Sastre-Garau, X.; Chouchane, O.; Sigal-Zafrani, B.; Vincent-Salomon, A. Secretory breast carcinomas with ETV6-NTRK3 fusion gene belong to the basal-like carcinoma spectrum. Mod. Pathol. 2009, 22, 291–298. [Google Scholar] [CrossRef] [PubMed]
- Del Castillo, M.; Chibon, F.; Arnould, L.; Croce, S.; Ribeiro, A.; Perot, G.; Hostein, I.; Geha, S.; Bozon, C.; Garnier, A.; et al. Secretory Breast Carcinoma: A Histopathologic and Genomic Spectrum Characterized by a Joint Specific ETV6-NTRK3 Gene Fusion. Am. J. Surg. Pathol. 2015, 39, 1458–1467. [Google Scholar] [CrossRef] [PubMed]
- Zhao, Y.-Y.; Ge, H.-J.; Yang, W.-T.; Shao, Z.-M.; Hao, S. Secretory breast carcinoma: Clinicopathological features and prognosis of 52 patients. Breast Cancer Res. Treat. 2024, 203, 543–551. [Google Scholar] [CrossRef] [PubMed]
- Krings, G.; Joseph, N.M.; Bean, G.R.; Solomon, D.; Onodera, C.; Talevich, E.; Yeh, I.; Grenert, J.P.; Hosfield, E.; Crawford, E.D.; et al. Genomic profiling of breast secretory carcinomas reveals distinct genetics from other breast cancers and similarity to mammary analog secretory carcinomas. Mod. Pathol. 2017, 30, 1086–1099. [Google Scholar] [CrossRef]
- Gatalica, Z.; Xiu, J.; Swensen, J.; Vranic, S. Molecular characterization of cancers with NTRK gene fusions. Mod. Pathol. 2019, 32, 147–153. [Google Scholar] [CrossRef]
- Reis-Filho, J.S.; Natrajan, R.; Vatcheva, R.; Lambros, M.B.K.; Marchio, C.; Mahler-Araújo, B.; Paish, C.; Hodi, Z.; Eusebi, V.; Ellis, I.O. Is acinic cell carcinoma a variant of secretory carcinoma? A FISH study using ETV6 ‘split apart’ probes. Histopathology 2008, 52, 840–846. [Google Scholar] [CrossRef]
- Horowitz, D.P.; Sharma, C.S.; Connolly, E.; Gidea-Addeo, D.; Deutsch, I. Secretory carcinoma of the breast: Results from the survival, epidemiology and end results database. Breast 2012, 21, 350–353. [Google Scholar] [CrossRef] [PubMed]
- Tang, H.; Zhong, L.; Jiang, H.; Zhang, Y.; Liang, G.; Chen, G.; Xie, G.E. Secretory carcinoma of the breast with multiple distant metastases in the brain and unfavorable prognosis: A case report and literature review. Diagn. Pathol. 2021, 16, 56. [Google Scholar] [CrossRef] [PubMed]
- Min, N.; Zhu, J.; Liu, M.; Li, X. Advancement of secretory breast carcinoma: A narrative review. Ann. Transl. Med. 2022, 10, 1178. [Google Scholar] [CrossRef]
- Gong, P.; Xia, C.; Yang, Y.; Lei, W.; Yang, W.; Yu, J.; Ji, Y.; Ren, L.; Ye, F. Clinicopathologic profiling and oncologic outcomes of secretory carcinoma of the breast. Sci. Rep. 2021, 11, 14738. [Google Scholar] [CrossRef]
- Shukla, N.; Roberts, S.S.; Baki, M.O.; Mushtaq, Q.; Goss, P.E.; Park, B.H.; Gundem, G.; Tian, K.; Geiger, H.; Redfield, K.; et al. Successful Targeted Therapy of Refractory Pediatric ETV6-NTRK3 Fusion-Positive Secretory Breast Carcinoma. JCO Precis. Oncol. 2017, 1, 1–8. [Google Scholar] [CrossRef] [PubMed]
- Lange, A.; Lo, H.-W. Inhibiting TRK Proteins in Clinical Cancer Therapy. Cancers 2018, 10, 105. [Google Scholar] [CrossRef]
- Krausz, T.; Jenkins, D.; Grontoft, O.; Pollock, D.J.; Azzopardi, J.G. Secretory carcinoma of the breast in adults: Emphasis on late recurrence and metastasis. Histopathology 1989, 14, 25–36. [Google Scholar] [CrossRef]
- Anderson, P.; Albarracin, C.T.; Resetkova, E. A Large, Fungating Breast Mass. Arch. Pathol. Lab. Med. 2006, 130, e50–e52. [Google Scholar] [CrossRef]
- Sharma, V.; Anuragi, G.; Singh, S.; Patel, P.; Jindal, A.; Sharma, R.G. Secretory Carcinoma of the Breast: Report of Two Cases and Review of the Literature. Case Rep. Oncol. Med. 2015, 2015, 581892. [Google Scholar] [CrossRef]
- Wu, I.-K.; Lai, Y.-C.; Chiou, H.-J.; Hsu, C.-Y. Secretory carcinoma of the breast: A case report and literature review. J. Med. Ultrasound 2021, 29, 57–59. [Google Scholar] [PubMed]
- Aktepe, F.; Sarsenov, D.; Ozmen, V. Secretory Carcinoma of the Breast. J. Breast Health 2016, 12, 174–176. [Google Scholar] [CrossRef] [PubMed]
- Lombardi, A.; Maggi, S.; Bersigotti, L.; Lazzarin, G.; Nuccetelli, E.; Amanti, C. Secretory breast cancer. Case report. Il G. Chir.—J. Ital. Surg. Assoc. 2013, 34, 125–127. [Google Scholar]
- Castillo, G.G.P.; García, R.C.; Piña, V.B.; Andrade, J.A.S.; Jones, J.E.M.; Aziz, A.M. Secretory breast carcinoma: A report of two cases. Rev. Senol. Patol. Mamar. 2019, 32, 32–36. [Google Scholar]
- Bhayana, A.; Misra, R.N.; Bajaj, S.K.; Bankhar, H. Clinicoradiologicial aspects of secretory carcinoma breast: A rare pediatric breast malignancy. Indian J. Radiol. Imaging 2018, 28, 448–451. [Google Scholar] [CrossRef] [PubMed]
- Tavassoli, F.A. Pathology of the Breast, 2nd ed.; Appleton & Lange: Stamford, CT, USA, 1999. [Google Scholar]
- Tognon, C.; Knezevich, S.R.; Huntsman, D.; Roskelley, C.D.; Melnyk, N.; Mathers, J.A.; Becker, L.; Carneiro, F.; MacPherson, N.; Horsman, D.; et al. Expression of the ETV6-NTRK3 gene fusion as a primary event in human secretory breast carcinoma. Cancer Cell 2002, 2, 367–376. [Google Scholar] [CrossRef] [PubMed]
- Solomon, J.P.; Linkov, I.; Rosado, A.; Mullaney, K.; Rosen, E.Y.; Frosina, D.; Jungbluth, A.A.; Zehir, A.; Benayed, R.; Drilon, A.; et al. NTRK fusion detection across multiple assays and 33,997 cases: Diagnostic implications and pitfalls. Mod. Pathol. 2020, 33, 38–46. [Google Scholar] [CrossRef] [PubMed]
- Mortensen, L.; Ordulu, Z.; Dagogo-Jack, I.; Bossuyt, V.; Winters, L.; Taghian, A.; Smith, B.L.; Ellisen, L.W.; Kiedrowski, L.A.; Lennerz, J.K.; et al. Locally Recurrent Secretory Carcinoma of the Breast with NTRK3 Gene Fusion. Oncologist 2021, 26, 818–824. [Google Scholar] [CrossRef] [PubMed]
- Medford, A.J.; Oshry, L.; Boyraz, B.; Kiedrowski, L.; Menshikova, S.; Butusova, A.; Dai, C.S.; Gogakos, T.; Keenan, J.C.; Occhiogrosso, R.H.; et al. TRK inhibitor in a patient with metastatic triple negative breast cancer and NTRK fusions identified via cell-free DNA analysis. Ther. Adv. Med. Oncol. 2023, 15, 175883592311528. [Google Scholar] [CrossRef]
- Wilson, T.; Sokol, E.S.; Ross, J.S.; Maund, S.L. 131P NTRK1/2/3 fusions in secretory versus non-secretory breast cancers. Ann. Oncol. 2020, 31, S292. [Google Scholar] [CrossRef]
- Benabu, J.-C.; Stoll, F.; Koch, A.; Molière, S.; Bellocq, J.-P.; Mathelin, C. De-escalating systemic therapy in triple negative breast cancer: The example of secretory carcinoma. J. Gynecol. Obstet. Hum. Reprod. 2018, 47, 163–165. [Google Scholar] [CrossRef] [PubMed]
- Balkenhol, M.C.A.; Vreuls, W.; Wauters, C.A.P.; Mol, S.J.J.; van der Laak, J.A.W.M.; Bult, P. Histological subtypes in triple negative breast cancer are associated with specific information on survival. Ann. Diagn. Pathol. 2020, 46, 151490. [Google Scholar] [CrossRef] [PubMed]






| Authors, Year | Number of Cases, Age, Sex | Breast Quadrant | Surgical Management | Gross Examination | ER, PR, HER2 | CK5/6, s100, CEA | ETV6–NTR3 Translocation | Oncological Treatment | Recurrence, Metastasis |
|---|---|---|---|---|---|---|---|---|---|
| Shukla et al., 2020 [3]. | 1/60, F | Upper outer quadrant | FNA, radical mastectomy | Lobulated, well circumscribed, pushing margins | Triple negative | positive | present | None | None |
| Shin et al., 2001 [4] | 1/46, F | Ectopic breast tissue in axilla | Incisional biopsy, 1 lymph node metastasis | Lobulated, well circumscribed, pushing margins | Triple negative | Not performed | Not performed | Adjuvant chemotherapy with Adriamycin, cyclophosphamide | None |
| Li D et al., 2012 [6] | 15 cases (2 M, 13 F, median age 36 | Upper outer quadrant | Lumpectomy in 5 cases Simple mastectomy and sentinel lymph node biopsy in one case Modified radical mastectomy in nine patients. | Grossly, two cases showed obscure boundaries and infiltrating margins, whereas others were well demarcated and non-encapsulated. | Triple negative | 80% positivity | Not performed | Seven cases received postoperative chemotherapy, and one of them also had radiotherapy. | None |
| Lijuan et al, 2019 [5] | 44 cases, F 7 cases < 30 years 37 cases over 30 years | Upper outer quadrant | Thirty-eight patients underwent modified radical mastectomy or radical mastectomy, and the remaining patients underwent conservative surgery. Lumpectomy was performed in two children (an 11-year-oldboy and a 4-year-old girl) and simple mastectomy with axillary lymph node dissection in three patients. | Painless and firm mass. The cut sections appeared greyish white to tan or yellow | 47.7% (21/44) positivity for ER 52.3% (23/44) positivity for PR | positive | 88.6% (39/44) positivity | 40 patients underwent postoperative chemotherapy, and eleven had radiotherapy. Of 44 patients, 15 (34.1%) had positive axillary lymph nodes | Six SBC patients demonstrated evidence of recurrence and distant metastasis; five patients died from cancer |
| Yuan-Yuan Zhao, 2023 [10] | 52 cases, 47 F 5 M, Mean age 46 | Upper outer quadrant | Mostly radical mastectomy | Not evaluated | Triple-negative breast cancer (65.4%). | Not performed | 16 of 18 cases (88.9%) | Not evaluated | None |
| Horowitz et al, 2012 [14] | 83 cases, 81 F 2 M Median age 53 | Upper outer quadrant | Lumpectomy 29.2% Mastectomy 70.8% | Not evaluated | Triple negative | Not performed | Not performed | 35 patients (42.2%) received adjuvant radiation. Among the 39 patients treated initially with lumpectomy, 25 patients (64.1%) received radiation. | None |
| Tang et al., 2021 [15] | 39, F | Upper outer quadrant | Modified radical mastectomy (left breast mastectomy and left axillary lymphadenectomy) | white grey multiple nodules and obvious accompanied by bleeding and necrosis. | Triple negative, AR negative | positive | positive | Neoadjuvant chemotherapy was then performed with 4 cycles of Epirubicin/Cyclophosphamide (EC) regimens and 2 cycles of Docetaxel/Carboplatin (DC) regimens | None |
| Gong et al., 2021 [17] | 190 cases, Median age 56 years | Upper-outer quadrant (UOQ) irrespective of laterality | Breast conservative surgery Simple Mastectomy | slow-growing, painless, well-circumscribed, mobile mass | Positive staining of estrogen receptor (ER) and progesterone receptor (PR) was 58% and 40% | Not performed | Not performed | Yes 17 cases | None |
| Sharma et al., 2015 [22] | 55, F | Upper quadrant | Lumpectomy Modified radical mastectomy with axillary dissection | Not evaluated | Triple negative | Not performed | Not performed | 6 cycles of combination of Adriamycin, Cyclophosphamide, and Paclitaxel | None |
| Wu I-K et al, 2021 [23] | 26, F | Lower inner quadrant | Surgical excision | Not evaluated | Triple negative | Positive | Not performed | None | Disease-free after 1 year |
| Aktepe et al, 2016 [24] | 24, F | Not specified | segmental mastectomy with sentinel lymph node biopsy for right axilla. | well-circumscribed, greyish-white, rounded, and lobulated. | 3% ER positivity PR, HER2 negative | Positive | Not performed | None | None |
| Lombardi et al., 2013 [25] | 59, F | Surgical procedure of right breast quadrantectomy with homolateral axillary sentinel lymph node (SLN) biopsy | painless, with well-defined margins and increased in density | ER, HER2 negative PR 4% positivity | Not performed | Not performed | adjuvant radiotherapy | None |
Disclaimer/Publisher’s Note: The statements, opinions and data contained in all publications are solely those of the individual author(s) and contributor(s) and not of MDPI and/or the editor(s). MDPI and/or the editor(s) disclaim responsibility for any injury to people or property resulting from any ideas, methods, instructions or products referred to in the content. |
© 2024 by the authors. Licensee MDPI, Basel, Switzerland. This article is an open access article distributed under the terms and conditions of the Creative Commons Attribution (CC BY) license (https://creativecommons.org/licenses/by/4.0/).
Share and Cite
Evsei, A.; Birceanu-Corobea, A.-L.; Ghita, M.; Copca, N. Secretory Carcinoma of the Breast with Apocrine Differentiation—A Peculiar Entity. Medicina 2024, 60, 924. https://doi.org/10.3390/medicina60060924
Evsei A, Birceanu-Corobea A-L, Ghita M, Copca N. Secretory Carcinoma of the Breast with Apocrine Differentiation—A Peculiar Entity. Medicina. 2024; 60(6):924. https://doi.org/10.3390/medicina60060924
Chicago/Turabian StyleEvsei, Anca, Adelina-Lucretia Birceanu-Corobea, Mihai Ghita, and Narcis Copca. 2024. "Secretory Carcinoma of the Breast with Apocrine Differentiation—A Peculiar Entity" Medicina 60, no. 6: 924. https://doi.org/10.3390/medicina60060924
APA StyleEvsei, A., Birceanu-Corobea, A.-L., Ghita, M., & Copca, N. (2024). Secretory Carcinoma of the Breast with Apocrine Differentiation—A Peculiar Entity. Medicina, 60(6), 924. https://doi.org/10.3390/medicina60060924
