Audiometric and Vestibular Function after Classic and Reverse Stapedotomy
Abstract
1. Introduction
2. Materials and Methods
2.1. Sample
2.2. Audiometric Assessment
2.3. Vestibular Assessment
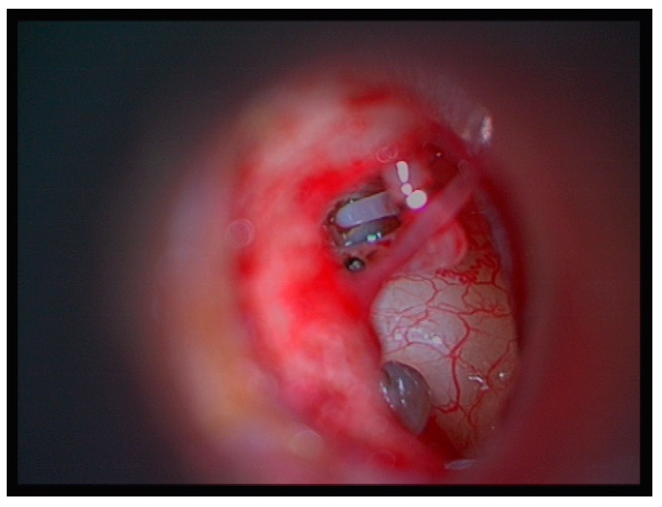
2.4. Surgical Technique
2.5. Statistical Analysis
3. Results
3.1. Hearing Results
3.2. Rotational Testing
4. Discussion
4.1. Advantages and Considerations of Stapedotomy Techniques
4.2. Comparative Outcomes and Techniques
5. Conclusions
Author Contributions
Funding
Institutional Review Board Statement
Informed Consent Statement
Data Availability Statement
Conflicts of Interest
References
- Linthicum, F.H., Jr. Histopathology of otosclerosis. Otolaryngol. Clin. N. Am. 1993, 26, 335–352. [Google Scholar] [CrossRef]
- Quesnel, A.M.; Ishai, R.; McKenna, M.J. Otosclerosis: Temporal bone pathology. Otolaryngol. Clin. N. Am. 2018, 51, 291–303. [Google Scholar] [CrossRef]
- Shea, J.J. A Personal History of Stapedectomy. Am. J. Otol. 1998, 19 (Suppl. 1), S2–S12. Available online: https://pubmed.ncbi.nlm.nih.gov/9755788/ (accessed on 13 August 2023).
- Fisch, U. Stapedotomy versus stapedectomy. Am. J. Otol. 1982, 4, 112–117. [Google Scholar] [CrossRef] [PubMed]
- Fiorino, F.; Barbieri, F. Reversal of the steps stapedotomy technique with early removal of the posterior crus: Early posoperative results: How we do it. Clin. Otolaryngol. 2008, 33, 359–362. [Google Scholar] [CrossRef] [PubMed]
- Comittee on Hearng and Equilibrium. Comittee on Hearing and Equilibrium guidelines for the evaluation of rasults of treatment of conductive hearing loss. Otolaryngol. Head Neck Surg. 1995, 113, 186–187. [Google Scholar] [CrossRef] [PubMed]
- Tange, R.A.; Grolman, W. An analysis of the air-bone gap closure obtained by a crimping and a non-crimping titanium stapes prosthesis in otosclerosis. Auris Nasus Larynx 2008, 35, 181–184. [Google Scholar] [CrossRef] [PubMed]
- Huber, A.M.; Schrepfer, T.; Eiber, A. Clinical evaluation of the NiTiBOND stapes prosthesis, an optimized shape memory alloy design. Otol. Neurotol. 2012, 33, 132–136. [Google Scholar] [CrossRef] [PubMed]
- Faramarzi, M.; Pedramfard, P.; Roosta, S.; Kazemi, T.; Aboughadare, H. Evaluating hearing results in stapedotomy: Comparison of fluoroplastic Causse loop piston and Matrix prosthesis. Laryngoscope Investig. Otolaryngol. 2021, 6, 1289–1295. [Google Scholar] [CrossRef] [PubMed]
- Szymanski, M.; Golabek, W.; Morshed, K.; SiWiec, H. The influence of the sequence of surgical steps on complications rate in stapedotomy. Otol. Neurotol. 2007, 28, 152–156. [Google Scholar] [CrossRef] [PubMed]
- Ueda, H.; Kishimoto, M.; Uchida, Y.; Sone, M. Factors affecting fenestration of the footplate in stapes surgery: Effectiveness of Fisch’s reversal steps stapedotomy. Otol. Neurotol. 2013, 34, 1576–1580. [Google Scholar] [CrossRef] [PubMed]
- Kwok, P.; Gleich, O.; Dalles, K.; Jacob, P.; Strutz, J. How to avoid a learning curve in stapedotomy: A standardized surgical technique. Otol. Neurotol. 2017, 38, 931–937. [Google Scholar] [CrossRef]
- Hausler, R. Fortschritte in der Stapeschirurgie. Laryngo-Rhino-Otol. 2000, 79, S95–S139. [Google Scholar] [CrossRef]



| All (n = 123) | Reverse Stapedotomy | p-Value | |||
|---|---|---|---|---|---|
| Yes (n = 51) | No (n = 72) | ||||
| Gender | Female | 70 (56.9%) | 28 (54.9%) | 42 (58.3%) | 0.705 |
| Male | 53 (43.1%) | 23 (45.1%) | 30 (41.7%) | ||
| Age | 47.4 ± 10.2 | 47.6 ± 11.5 | 47.3 ± 9.2 | 0.864 | |
| Affected side | Left | 63 (51.2%) | 25 (49.0%) | 38 (52.8%) | 0.681 |
| Right | 60 (48.8%) | 26 (51.0%) | 34 (47.2%) | ||
| Measurement | All (n = 123) | p-Value (Before/After) | Reverse Stapedotomy | p-Value (Reverse/Classic) | ||
|---|---|---|---|---|---|---|
| Yes (n = 51) | No (n = 72) | |||||
| BC (dB) | Before | 23.8 (23.8, 25.0) ## | <0.001 | 25.0 (23.8, 30.0) ## | 23.8 (23.8, 27.5) ## | 0.955 |
| After | 17.5 (17.5, 21.3) ## | 17.5 (16.3, 23.8) ## | 17.5 (16.3, 21.3) ## | 0.971 | ||
| BC difference (dB) | Before–after | 3.8 (3.8, 5.0) ## | 3.8 (3.8, 5.0) ## | 3.8 (3.8, 7.5) ## | 0.490 | |
| AC (dB) | Before | 53.8 (52.5, 56.3) ## | <0.001 | 53.8 (50.0, 56.3) ## | 53.8 (50.0, 58.8) ## | 0.910 |
| After | 28.8 (27.5, 32.5) ## | 28.8 (27.5, 33.8) ## | 30.6 (27.5, 33.8) ## | 0.386 | ||
| AC difference (dB) | Before–after | 23.8 (22.5, 26.3) ## | 23.8 (22.5, 27.5) ## | 22.5 (21.3, 26.3) ## | 0.683 | |
| ABG (dB) | Before | 30.2 ± 8.3 # | <0.001 | 30.2 ± 8.3 # | 30.2 ± 8.4 # | 0.986 |
| After | 10.0 (10.0, 12.5) ## | 7.5 (7.5, 11.3) ## | 10.0 (10.0, 12.5) ## | 0.256 | ||
| Overclosure (dB) | 3.3 (3.3, 5.0) ## | 3.3 (3.3, 5.0) ## | 3.3 (1.7, 5.0) ## | 0.869 | ||
| Closure ABG (dB) | 20.3 ± 8.8 # | 20.7 ± 7.5 # | 20.1 ± 9.6 # | 0.702 | ||
| Closure ABG difference (dB) | before-after | 20.3 ± 8.7 # | 20.7 ± 7.5 # | 20.0 ± 9.5 # | 0.673 | |
| Nystagmus | All (n = 123) | p-Value (Before/After) | Reverse Stapedotomy | p-Value (Reverse/Classic) | ||
|---|---|---|---|---|---|---|
| Yes (n = 49) | No (n = 70) | |||||
| Frequency | Before | −0.8 (−2.8, 1.0) ## | 0.241 | 0.0 (−1.9, 4.7) ## | −1.1 (−4.3, 1.9) ## | 0.927 |
| After | −2.0 ± 12.9 # | −2.6 ± 14.0 # | −1.5 ± 12.2 # | 0.669 | ||
| Frequency difference | Before–after | 1.8 ± 17.1 # | 1.5 ± 15.9 # | 2.1 ± 17.9 # | 0.843 | |
| Positive frequency difference | Before–after | 66 (55.0%) | 29 (59.2%) | 37 (52.1%) | 0.444 | |
| Amplitude | Before | −1.3 (−4.8, 2.7) ## | 0.433 | −0.8 (−5.1, 2.8) ## | −1.7 (−8.5, 3.2) ## | 0.791 |
| After | −4.8 ± 23.7 # | −7.9 (−15.4, −0.6) ## | −2.7 (−7.5, 3.6) ## | 0.272 | ||
| Amplitude difference | Before–after | 2.2 (−4.6, 6.4) ## | 4.5 (−3.3, 11.6) ## | 1.6 (−7.0, 5.7) ## | 0.435 | |
| Positive amplitude difference | Before–after | 64 (53.3%) | 28 (57.1%) | 36 (50.7%) | 0.487 | |
| Velocity of slow phase | Before | −5.3 ± 19.4 # | 0.943 | −2.8 (−8.5, −0.3) ## | −3.2 (−10.0, 1.5) ## | 0.970 |
| After | −5.2 ± 24.4 # | −8.8 ± 26.4 # | −2.8 ± 22.8 # | 0.188 | ||
| Velocity of slow phase difference | Before–after | −0.2 ± 25.2 # | 3.2 ± 26.6# | −2.5 ± 24.1 # | 0.231 | |
| Positive velocity of slow phase difference | Before–after | 57 (48.3%) | 26 (54.2%) | 31 (44.3%) | 0.291 | |
Disclaimer/Publisher’s Note: The statements, opinions and data contained in all publications are solely those of the individual author(s) and contributor(s) and not of MDPI and/or the editor(s). MDPI and/or the editor(s) disclaim responsibility for any injury to people or property resulting from any ideas, methods, instructions or products referred to in the content. |
© 2024 by the authors. Licensee MDPI, Basel, Switzerland. This article is an open access article distributed under the terms and conditions of the Creative Commons Attribution (CC BY) license (https://creativecommons.org/licenses/by/4.0/).
Share and Cite
Rebol, J.; Povalej Bržan, P. Audiometric and Vestibular Function after Classic and Reverse Stapedotomy. Medicina 2024, 60, 803. https://doi.org/10.3390/medicina60050803
Rebol J, Povalej Bržan P. Audiometric and Vestibular Function after Classic and Reverse Stapedotomy. Medicina. 2024; 60(5):803. https://doi.org/10.3390/medicina60050803
Chicago/Turabian StyleRebol, Janez, and Petra Povalej Bržan. 2024. "Audiometric and Vestibular Function after Classic and Reverse Stapedotomy" Medicina 60, no. 5: 803. https://doi.org/10.3390/medicina60050803
APA StyleRebol, J., & Povalej Bržan, P. (2024). Audiometric and Vestibular Function after Classic and Reverse Stapedotomy. Medicina, 60(5), 803. https://doi.org/10.3390/medicina60050803

