A Rare Case of Concurrent Intraventricular Meningioma and Choroid Plexus Papilloma: A Case Report
Abstract
1. Introduction
2. Case Presentation
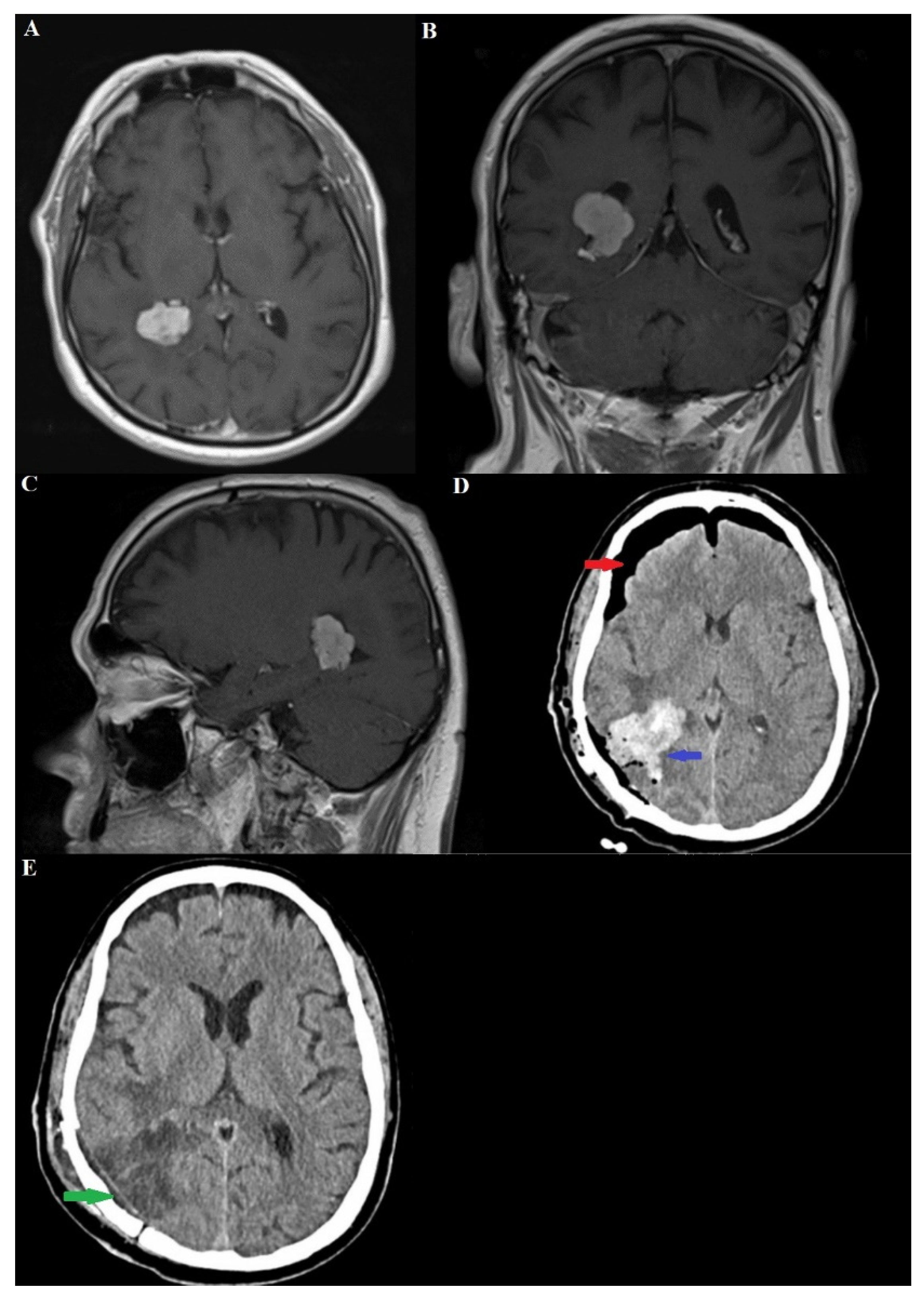
2.1. Clinical Features and Diagnostic Imaging Results
2.2. Pathological Examination
2.3. Clinical Course
3. Discussion
4. Conclusions
Author Contributions
Funding
Institutional Review Board Statement
Informed Consent Statement
Data Availability Statement
Conflicts of Interest
References
- Mayol Del Valle, M.; De Jesus, O. Intraventricular Meningioma; StatPearls Publishing: Treasure Island, FL, USA, 2023. Available online: https://pubmed.ncbi.nlm.nih.gov/32965873/ (accessed on 3 October 2024).
- Sethi, D.; Arora, R.; Garg, K.; Tanwar, P. Choroid plexus papilloma. Asian J. Neurosurg. 2017, 12, 139–141. [Google Scholar] [CrossRef] [PubMed]
- Gruss, P.; Engelhardt, F.; Kolmann, H.L.; Völpel, M. Ventricular Meningiomas—Report of 4 Cases. Neurosurg. Rev. 1987, 10, 295–298. [Google Scholar] [CrossRef]
- Buerki, R.A.; Horbinski, C.M.; Kruser, T.; Horowitz, P.M.; James, C.D.; Lukas, R.V.; Taussky, P.; Jokura, H.; Tasiou, A. An Overview of Meningiomas. Future Oncol. 2018, 14, 2161–2177. [Google Scholar] [CrossRef] [PubMed]
- Kim, S.-W.; Ryu, J.; Na, K. Intraventricular Meningioma Admixed with Choroid Plexus Papilloma: A Rare Case Report with Review of Literature. Int. J. Clin. Exp. Pathol. 2021, 14, 545–550. Available online: https://pubmed.ncbi.nlm.nih.gov/33936380/ (accessed on 4 October 2024).
- Toland, A.; Huntoon, K.; Dahiya, S.M. Meningioma: A Pathology Perspective. Neurosurgery 2021, 89, 11–21. [Google Scholar] [CrossRef] [PubMed]
- AlMousa, S.S. Intraventricular Meningioma: A Case Report of a Common Tumor in an Uncommon Location. Cureus 2024, 16, e51647. [Google Scholar] [CrossRef]
- Andour, H.; Ben El Hend, S.; Mandour, C.; Allaoui, M.; Fikri, A. Atypical Choroid Plexus Papilloma: Diagnosis and Differentials: A Case Report. SAGE Open Med. Case Rep. 2024, 12, 2050313X241254000. [Google Scholar] [CrossRef] [PubMed]
- McIver, J.I.; Link, M.J.; Giannini, C.; Cohen-Gadol, A.A.; Driscoll, C. Choroid plexus papilloma and meningioma: Coincidental posterior fossa tumors: Case report and review of the literature. Surg. Neurol. 2003, 60, 360–365. [Google Scholar] [CrossRef]
- Khayal, H.B.; Abograra, A.; Lashhab, M. Fourth ventricle papilloma and cranio-cervical junction meningioma: Coincidental tumors: A case report and review of the literature. Curr. Opin. Neurol. Sci. 2018, 2, 463–467. [Google Scholar]
- Broekx, S.; De Praeter, M. A Rare Trifocal Presentation of a Choroid Plexus Papilloma: Case Report and Review of the Literature. Brain Spine 2024, 4, 102774. [Google Scholar] [CrossRef] [PubMed]
- Liu, J.K. Microsurgical Resection of Giant Intraventricular Meningioma. Neurosurg. Focus 2013, 34, 1. [Google Scholar] [CrossRef] [PubMed]
- Chaudhuri, P.M.; Chakrabarty, D.; Chaudhuri, S.; Chatterjee, U. Papillary Ependymoma of the Spinal Cord: A Case Report with Summary of Prior Published Cases. Asian J. Neurosurg. 2019, 14, 223–226. [Google Scholar] [CrossRef] [PubMed]
- Bhatoe, H.S.; Singh, P.; Dutta, V. Intraventricular Meningiomas: A Clinicopathological Study and Review. Neurosurg. Focus 2006, 20, E9. [Google Scholar] [CrossRef] [PubMed]
- Cheng, C.Y.; Shetty, R.; Sekhar, L.N. Microsurgical Resection of a Large Intraventricular Trigonal Tumor: 3-Dimensional Operative Video. Oper. Neurosurg. 2018, 15, E92–E93. [Google Scholar] [CrossRef] [PubMed]
- Toader, C.; Covache-Busuioc, R.-A.; Bratu, B.-G.; Glavan, L.A.; Popa, A.A.; Ciurea, A.V. Successful Surgical Treatment of a Giant Intraventricular Meningioma: A Case Report and Literature Review. Medicina 2024, 60, 560. [Google Scholar] [CrossRef]
- Gerard, I.J.; Kersten-Oertel, M.; Hall, J.A.; Sirhan, D.; Collins, D.L. Brain Shift in Neuronavigation of Brain Tumors: An Updated Review of Intra-Operative Ultrasound Applications. Front. Oncol. 2021, 10, 618837. [Google Scholar] [CrossRef]
- Alruwaili, A.A.; De Jesus, O. Meningioma; StatPearls Publishing: Treasure Island, FL, USA, 2023. Available online: https://pubmed.ncbi.nlm.nih.gov/32809373/ (accessed on 6 October 2024).
- Huntoon, K.; Toland, A.M.S.; Dahiya, S. Meningioma: A Review of Clinicopathological and Molecular Aspects. Front. Oncol. 2020, 10, 579599. [Google Scholar] [CrossRef] [PubMed]
- Maas, S.L.N.; Stichel, D.; Hielscher, T.; Sievers, P.; Berghoff, A.S.; Schrimpf, D.; Sill, M.; Euskirchen, P.; Blume, C.; Patel, A.; et al. Integrated Molecular-Morphologic Meningioma Classification: A Multicenter Retrospective Analysis, Retrospectively and Prospectively Validated. J. Clin. Oncol. 2021, 39, 3839–3852. [Google Scholar] [CrossRef]


| Case | Demographics | Clinical Features | Tumor Details | Continuity | Treatment/Prognosis |
|---|---|---|---|---|---|
| Case 1 Ref. [9] | 45/F | Headache for 2 months, sensory and motor deficits | Choroid plexus papilloma—Petrotentorial junction—2.5 cm; Meningioma—Cervicomedullary junction—5 cm | Noncontiguous | Surgical resection; good recovery |
| Case 2 Ref. [10] | 45/F | Progressive confusion for 2 months, sensory/motor deficits | Choroid plexus papilloma—Fourth ventricle—4.4 cm; Meningioma—Craniocervical junction—2.3 cm | Noncontiguous | Surgery performed; neurological improvement |
| Case 3 Ref. [5] | 42/M | Headache for 2 weeks, no neurological deficits | Choroid plexus papilloma and meningioma—Lateral ventricle—3 cm | Contiguous | Combined resection; gamma knife radiosurgery for remnant at 3-month follow-up |
| Case 4 [Present case] | 66/M | Persistent headache for 2+ months, no neurological deficits | Choroid plexus papilloma and meningioma—trigone of the right lateral ventricle—2.45 cm | Contiguous | Total surgical resection; treatment for transurethral tumor initiated |
Disclaimer/Publisher’s Note: The statements, opinions and data contained in all publications are solely those of the individual author(s) and contributor(s) and not of MDPI and/or the editor(s). MDPI and/or the editor(s) disclaim responsibility for any injury to people or property resulting from any ideas, methods, instructions or products referred to in the content. |
© 2024 by the authors. Published by MDPI on behalf of the Lithuanian University of Health Sciences. Licensee MDPI, Basel, Switzerland. This article is an open access article distributed under the terms and conditions of the Creative Commons Attribution (CC BY) license (https://creativecommons.org/licenses/by/4.0/).
Share and Cite
Markov, D.; Bechev, K.; Khalid, U.; Aleksiev, V.; Markov, G.; Poryazova, E. A Rare Case of Concurrent Intraventricular Meningioma and Choroid Plexus Papilloma: A Case Report. Medicina 2024, 60, 2100. https://doi.org/10.3390/medicina60122100
Markov D, Bechev K, Khalid U, Aleksiev V, Markov G, Poryazova E. A Rare Case of Concurrent Intraventricular Meningioma and Choroid Plexus Papilloma: A Case Report. Medicina. 2024; 60(12):2100. https://doi.org/10.3390/medicina60122100
Chicago/Turabian StyleMarkov, Daniel, Kristian Bechev, Usman Khalid, Vladimir Aleksiev, Galabin Markov, and Elena Poryazova. 2024. "A Rare Case of Concurrent Intraventricular Meningioma and Choroid Plexus Papilloma: A Case Report" Medicina 60, no. 12: 2100. https://doi.org/10.3390/medicina60122100
APA StyleMarkov, D., Bechev, K., Khalid, U., Aleksiev, V., Markov, G., & Poryazova, E. (2024). A Rare Case of Concurrent Intraventricular Meningioma and Choroid Plexus Papilloma: A Case Report. Medicina, 60(12), 2100. https://doi.org/10.3390/medicina60122100

