Imaging in Vascular Liver Diseases
Abstract
1. Introduction
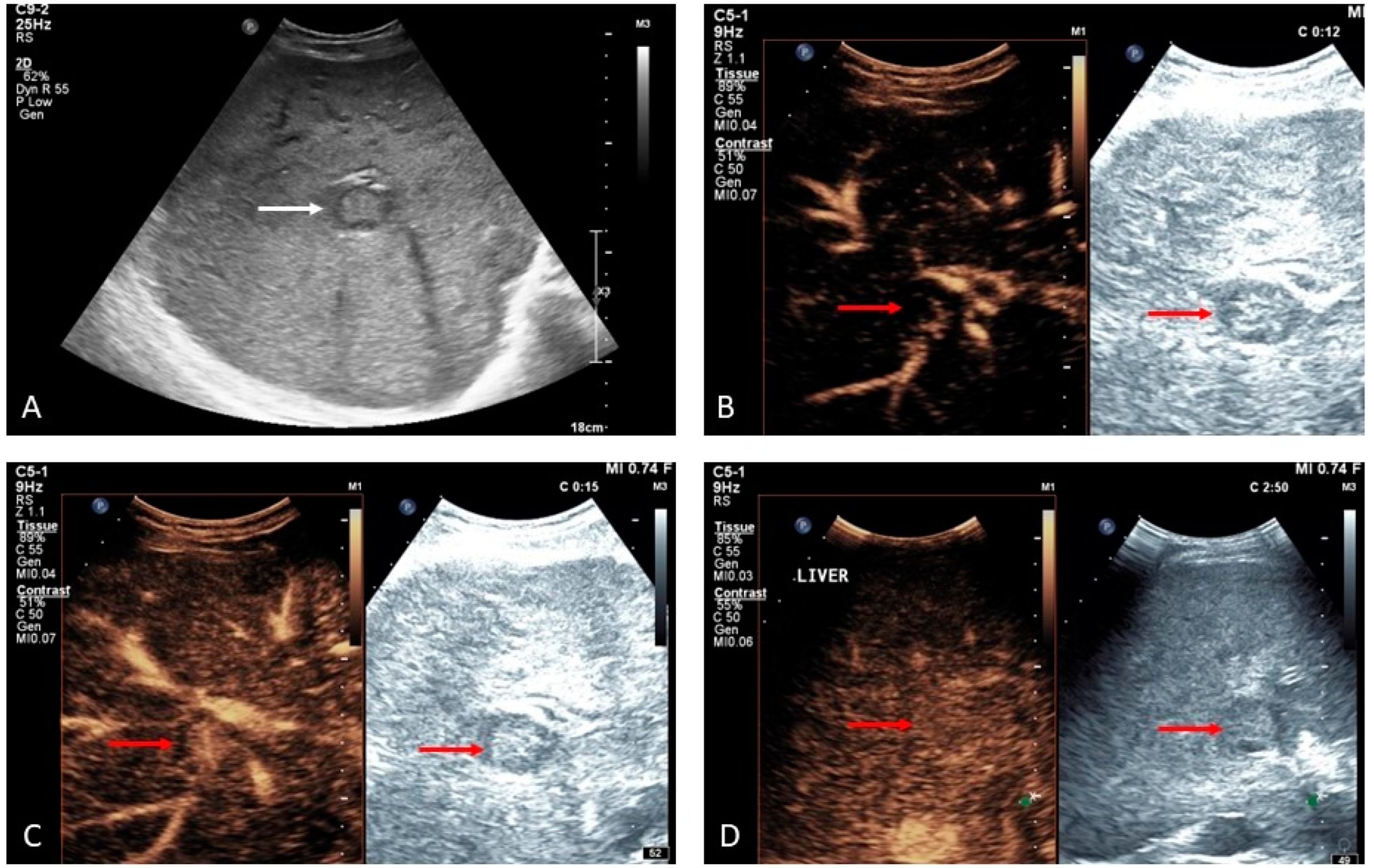
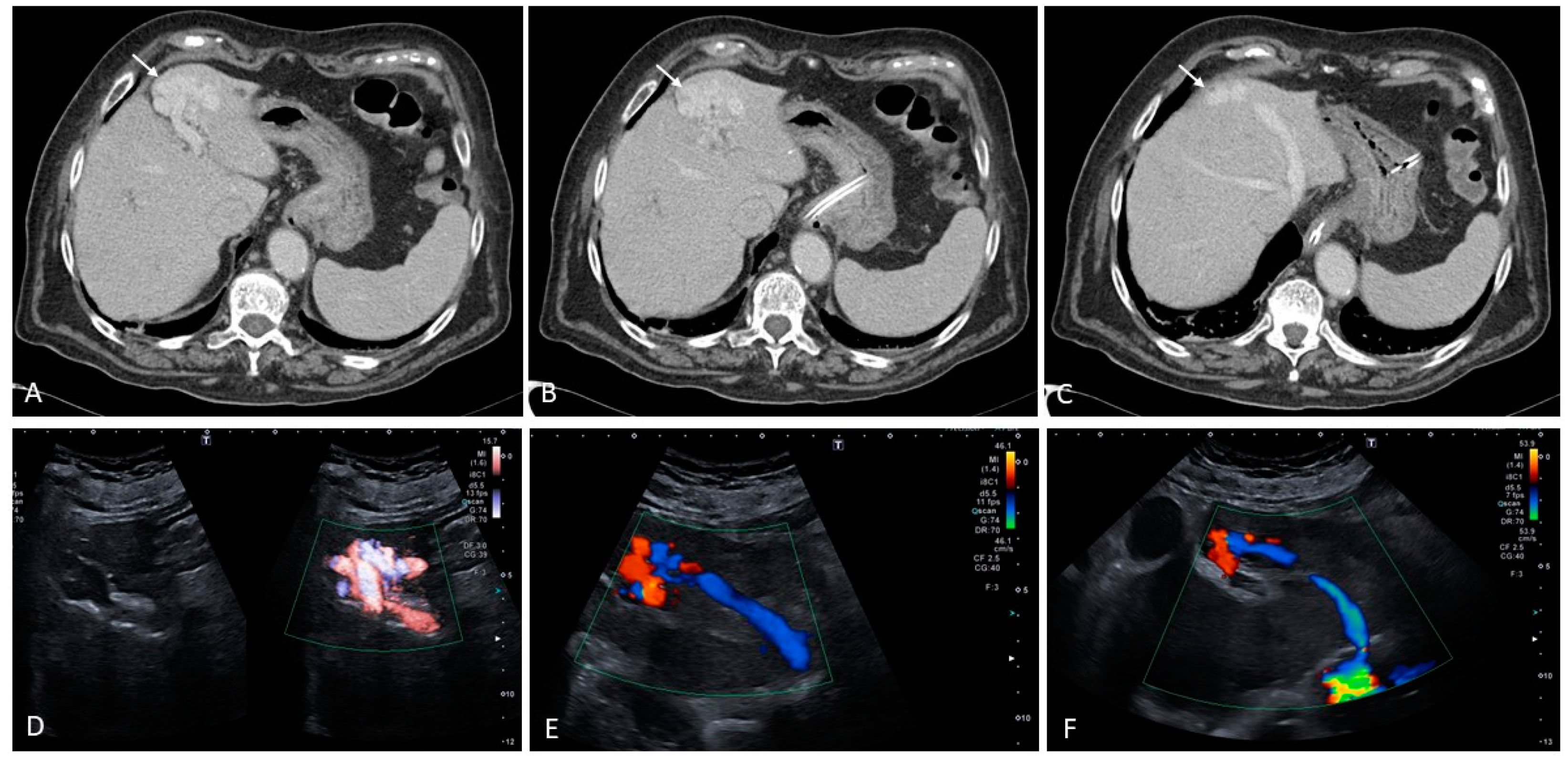
2. Portal Vein Thrombosis
- (i)
- the presence of primary or secondary liver malignancy and echogenic material filling the portal venous lumen;
- (ii)
- the diameter of the lumen of the portal vein is often increased according to the growth of the tumor within the vessel;
- (iii)
- evidence of vascularization of the thrombus as a consequence of neoplastic neoangiogenesis [1].
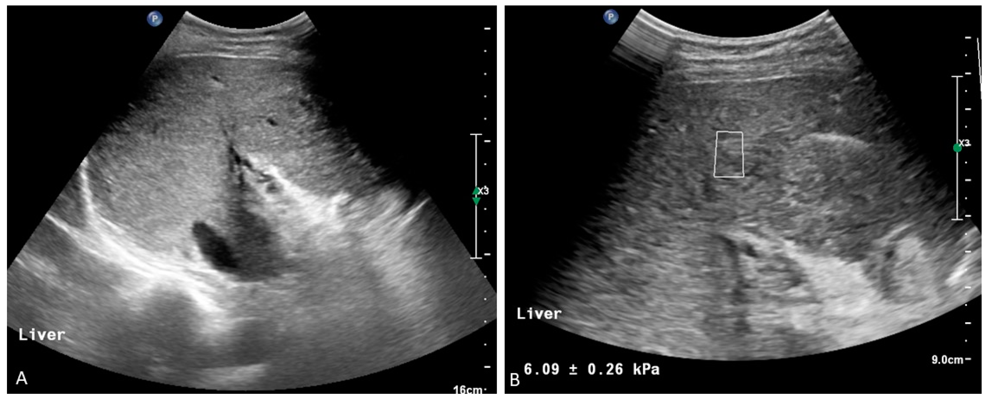
3. Porto-Sinusoidal Vascular Disorder
4. Venous Outflow Obstruction Syndromes
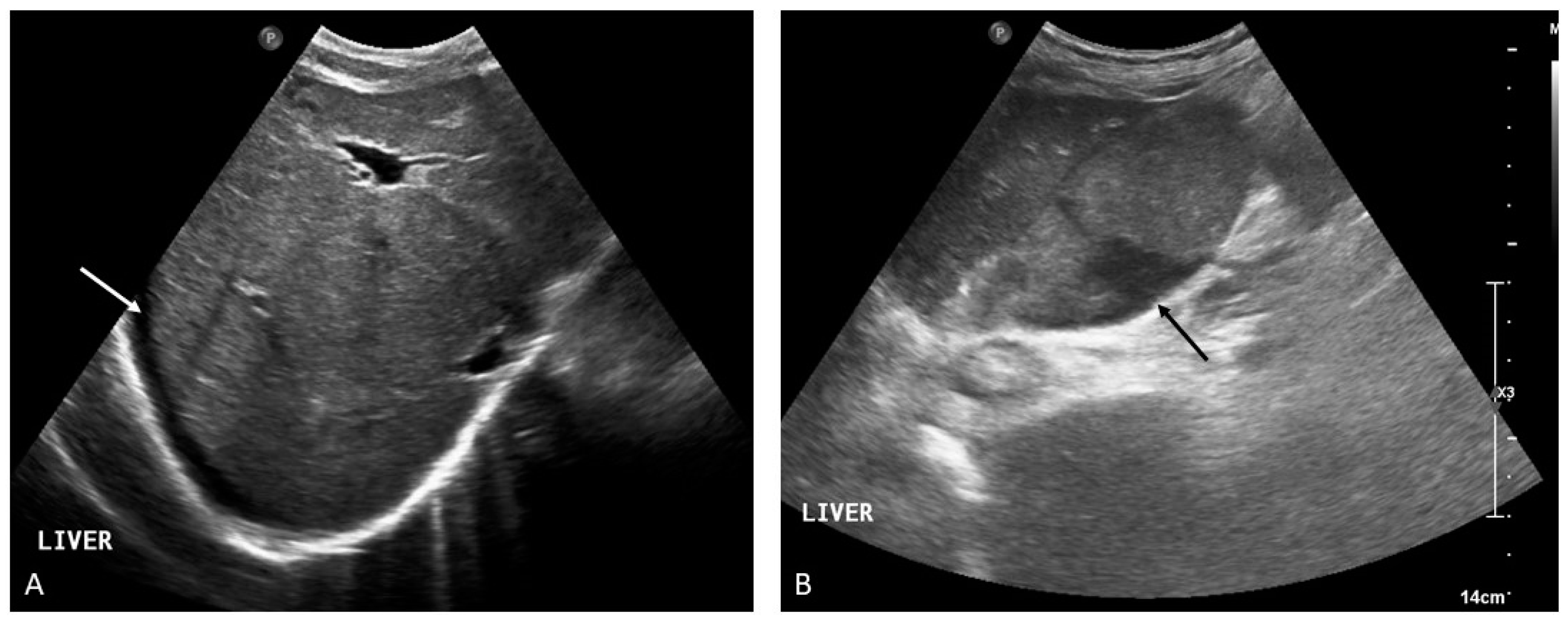
4.1. Budd–Chiari Syndrome
4.2. Sinusoidal Obstruction Syndrome
5. Hepatic Peliosis
- (i)
- altered sinusoidal flow and obstruction
- (ii)
- hepatocellular necrosis
- (iii)
- direct injury to the sinusoidal barrier [44].
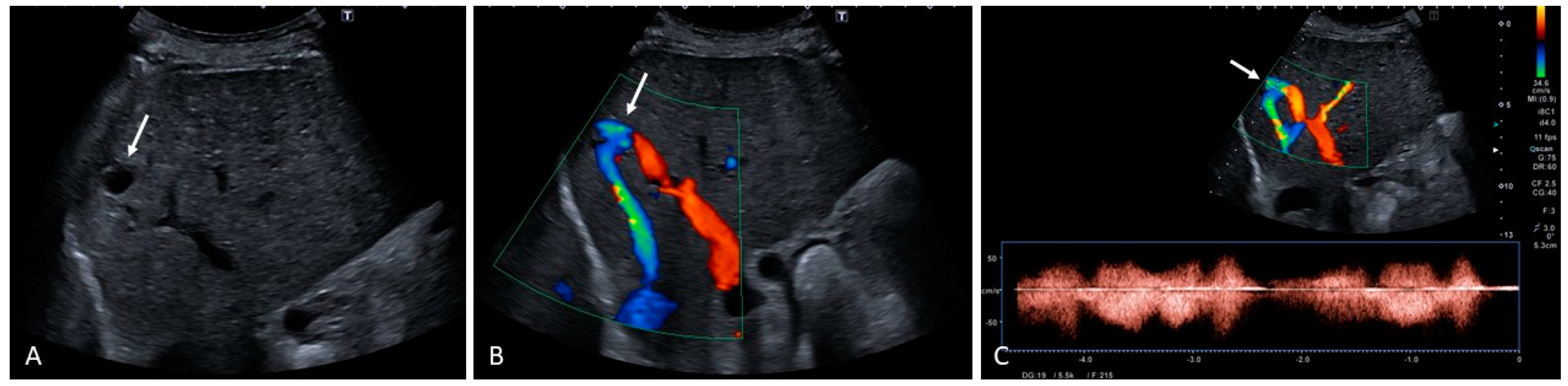
6. Vascular Malformations
7. Hereditary Hemorrhagic Telangiectasia (Osler–Weber–Rendu Disease)
- Arterio-venous (hepatic artery to hepatic vein)
- Arterio-portal (hepatic artery to portal vein)
- Porto-venous (portal vein to hepatic vein).
- Hepatic artery dilatation > 4 mm.
- Normally, the diameter of the hepatic artery is smaller than that of the splenic artery; thus, an inversion of this relationship may be an early sign of liver VM.
- An increased velocity within the hepatic artery, with a peak flow velocity greater than 100 cm/s.
- Peripheral subcapsular ‘spots’ on power or color Doppler with high arterial blood flow velocities and low resistive indices are suggestive of small peripheral VMs.
- Other ultrasound findings include tortuous intrahepatic tubular structures communicating between the portal venous branches and the hepatic venous branches, tubular structures parallel to the portal branches representing dilated arterial branches, and vascular shunts. Arterio-systemic and arterio-portal shunts have low resistive indices, and arterio-portal shunts may be accompanied by the presence of portosystemic collaterals. Furthermore, arterio-systemic shunts can lead to arterialization, dilation, and turbulent flow of the portal vein and hepatic veins.
8. Summary
9. Conclusions
Author Contributions
Funding
Conflicts of Interest
References
- Boccatonda, A.; Gentilini, S.; Zanata, E.; Simion, C.; Serra, C.; Simioni, P.; Piscaglia, F.; Campello, E.; Ageno, W. Portal VeinThrombosis: State-of-the-Art Review. J. Clin. Med. 2024, 13, 1517. [Google Scholar] [CrossRef] [PubMed]
- Monaco, G.; Bucherini, L.; Stefanini, B.; Piscaglia, F.; Foschi, F.G.; Ielasi, L. Direct oral anticoagulants for the treatment of splanchnic vein thrombosis: A state of art. World J. Gastroenterol. 2023, 29, 4962–4974. [Google Scholar] [CrossRef] [PubMed]
- Trebicka, J.; Strassburg, C.P. Etiology and Complications of Portal Vein Thrombosis. Viszeralmedizin 2014, 30, 375–380. [Google Scholar] [CrossRef] [PubMed]
- Ali, K. Abu-Alfa, Use of Gadolinium-Based Contrast Agents in Kidney Disease Patients: Time for Change. Am. J. Kidney Dis. 2020, 76, 436–439. [Google Scholar]
- Garcia-Pagàn, J.C.; Buscarini, E.; Janssen, H.L.; Leebeck, F.W.G.; Plessier, A.; Rubbia-Brandt, L.; Senzolo, M.; Schouten, J.N.L.; Tripodi, A.; Valla, D.C. EASL clinical practice guidelines: Vascular diseases of the liver. J. Hepatol. 2016, 64, 179–202. [Google Scholar]
- Chen, J.; Zhu, J.; Zhang, C.; Song, Y.; Huang, P. Contrast-enhanced ultrasound for the characterization of portal vein thrombosis vs tumor-in-vein in HCC patients: A systematic review and meta-analysis. Eur. Radiol. 2020, 30, 2871–2880. [Google Scholar] [CrossRef]
- Khuroo, M.S.; Rather, A.A.; Khuroo, N.S.; Khuroo, M.S. Portal biliopathy. World J. Gastroenterol. 2016, 22, 7973–7982. [Google Scholar] [CrossRef]
- Fusaro, L.; Di Bella, S.; Martingano, P.; Crocè, L.S.; Giuffrè, M. Pylephlebitis: A Systematic Review on Etiology, Diagnosis, and Treatment of Infective Portal Vein Thrombosis. Diagnostics 2023, 25, 429. [Google Scholar] [CrossRef]
- Le Roy, B.; Gelli, M.; Serji, B.; Memeo, R.; Vibert, E. Portal biliopathy as a complication of extrahepatic portal hypertension: Etiology, presentation and management. J. Visc. Surg. 2015, 152, 161–166. [Google Scholar] [CrossRef]
- Tarantino, L.; Francica, G.; Sordelli, I.; Esposito, F.; Giorgio, A.; Sorrentino, P.; de Stefano, G.; Di Sarno, A.; Ferraioli, G.; Sperlongano, P. Diagnosis of benign and malignant portal vein thrombosis in cirrhotic patients with hepatocellular carcinoma: Color Doppler US, contrast-enhanced US, and fine-needle biopsy. Abdom. Imaging 2006, 5, 537–544. [Google Scholar] [CrossRef]
- Tarantino, L.; Ambrosino, P.; Di Minno, M.N. Contrast-enhanced ultrasound in differentiating malignant from benign portal vein thrombosis in hepatocellular carcinoma. World J. Gastroenterol. 2015, 32, 9457–9460. [Google Scholar] [CrossRef] [PubMed]
- Cerrito, L.; Ainora, M.E.; Di Francesco, S.; Galasso, L.; Gasbarrini, A.; Zocco, M.A. The Role of Contrast-Enhanced Ultrasound (CEUS) in the Detection of Neoplastic Portal Vein Thrombosis in Patients with Hepatocellular Carcinoma. Tomography 2023, 9, 1976–1986. [Google Scholar] [CrossRef] [PubMed]
- Anton, A.; Campreciós, G.; Pérez-Campuzano, V.; Orts, L.; García-Pagán, J.C.; Hernández-Gea, V. The Pathophysiology of Portal Vein Thrombosis in Cirrhosis: Getting Deeper into Virchow’s Triad. J. Clin. Med. 2022, 11, 800. [Google Scholar] [CrossRef] [PubMed]
- Stine, J.G.; Wang, J.; Shah, P.M.; Argo, C.K.; Intagliata, N.; Uflacker, A.; Caldwell, S.H.; Northup, P.G. Decreased portal vein velocity is predictive of the development of portal vein thrombosis: A matched case-control study. Liver Int. 2018, 38, 94–101. [Google Scholar] [CrossRef] [PubMed]
- European Association for the Study of the Liver. EASL Clinical Practice Guidelines on prevention and management of bleeding and thrombosis in patients with cirrhosis. J. Hepatol. 2022, 76, 1151–1184. [Google Scholar] [CrossRef]
- Tublin, M.E.; Towbin, A.J.; Federle, M.P.; Nalesnik, M.A. Altered liver morphology after portal vein thrombosis: Not always cirrhosis. Dig. Dis. Sci. 2008, 53, 2784–2788. [Google Scholar] [CrossRef]
- De Gottardi, A.; Sempoux, C.; Berzigotti, A. Porto-sinusoidal vascular disorder. J. Hepatol. 2022, 77, 1124–1135. [Google Scholar] [CrossRef]
- De Gottardi, A.; Rautou, P.E.; Schouten, J.; Rubbia-Brandt, L.; Leebeek, F.; Trebicka, J.; Murad, S.D.; Vilgrain, V.; Hernandez-Gea, V.; Nery, F.; et al. Porto-sinusoidal vascular disease: Proposal and description of a novel entity. Lancet Gastroenterol. Hepatol. 2019, 4, 399–411. [Google Scholar] [CrossRef]
- Valainathan, S.R.; Sartoris, R.; Elkrief, L.; Magaz, M.; Betancourt, F.; Pellegrino, S.; Nivolli, A.; Dioguardi Burgio, M.; Flattet, Y.; Terraz, S.; et al. Contrast-enhanced CT and liver surface nodularity for the diagnosis of porto-sinusoidal vascular disorder: A case-control study. Hepatology 2022, 76, 418–428. [Google Scholar] [CrossRef]
- Lampichler, K.; Semmler, G.; Wöran, K.; Simbrunner, B.; Jachs, M.; Hartl, L.; Bauer, D.J.M.; Balcar, L.; Burghart, L.; Trauner, M.; et al. Imaging features facilitate diagnosis of porto-sinusoidal vascular disorder. Eur. Radiol. 2023, 33, 1422–1432. [Google Scholar] [CrossRef]
- Ferreira-Silva, J.; Gaspar, R.; Liberal, R.; Cardoso, H.; Macedo, G. Splenic-hepatic elastography index is useful in differentiating between porto-sinusoidal vascular disease and cirrhosis in patients with portal hypertension. Dig. Liver Dis. 2023, 55, 75–80. [Google Scholar] [CrossRef] [PubMed]
- Elkrief, L.; Lazareth, M.; Chevret, S.; Paradis, V.; Magaz, M.; Blaise, L.; Rubbia-Brandt, L.; Moga, L.; Durand, F.; Payancé, A.; et al. ANRS CO12 CirVir Group. Liver Stiffness by Transient Elastography to Detect Porto-Sinusoidal Vascular Liver Disease with Portal Hypertension. Hepatology 2021, 74, 364–378. [Google Scholar] [CrossRef] [PubMed]
- Valla, D.C. Budd-Chiari syndrome/hepatic venous outflow tract obstruction. Hepatol. Int. 2018, 12, 168–180. [Google Scholar] [CrossRef] [PubMed]
- Aydinli, M.; Bayraktar, Y. Budd-Chiari syndrome: Aetiology, pathogenesis and diagnosis. World J. Gastroenterol. 2007, 13, 2693–2696. [Google Scholar] [CrossRef] [PubMed]
- Ludwig, J.; Hashimoto, E.; McGill, D.B.; van Heerden, J.A. Classification of hepatic venous outflow obstruction: Ambiguous terminology of the Budd-Chiari syndrome. Mayo Clin. Proc. 1990, 65, 51–55. [Google Scholar] [CrossRef] [PubMed]
- Senzolo, M.; Cholongitas, E.C.; Patch, D.; Burroughs, A.K. Update on the classification, assessment of prognosis and therapy of Budd-Chiari syndrome. Nat. Clin. Pract. Gastroenterol. Hepatol. 2005, 2, 182–190. [Google Scholar] [CrossRef]
- Bozorgmanesh, A.; Selvam, D.A.; Caridi, J.G. Budd-Chiari syndrome: Hepatic venous web outflow obstruction treated by percutaneous placement of hepatic vein stent. Semin. Interv. Radiol. 2007, 24, 100–105. [Google Scholar] [CrossRef]
- Lombardo, S.; Espejo, J.J.; Pérez-Montilla, M.E.; Zurera, L.J.; González-Galilea, Á. The keys to successful TIPS in patients with portal vein thrombosis and cavernous transformation. Radiologia (Engl. Ed.) 2018, 60, 94–104. [Google Scholar] [CrossRef]
- Magaz, M.; Soy, G.; García-Pagán, J.C. Budd-Chiari Syndrome: Anticoagulation, TIPS, or Transplant. Curr. Hepatol. Rep. 2020, 19, 197–202. [Google Scholar] [CrossRef]
- Brancatelli, G.; Vilgrain, V.; Federle, M.P.; Hakime, A.; Lagalla, R.; Iannaccone, R.; Valla, D. Budd-Chiari Syndrome; Spectrum of Imaging Findings. Am. J. Roentgeneology 2007, 188, 168–176. [Google Scholar] [CrossRef]
- Porrello, G.; Mamone, G.; Miraglia, R. Budd-Chiari Syndrome Imaging Diagnosis: State of the Art and Future Perspectives. Diagnostics 2023, 13, 2256. [Google Scholar] [CrossRef] [PubMed]
- Bansal, V.; Gupta, P.; Sinha, S.; Dhaka, N.; Kalra, N.; Vijayvergiya, R.; Dutta, U.; Kochhar, R. Budd-Chiari syndrome: Imaging review. Br. J. Radiol. 2018, 91, 20180441. [Google Scholar] [CrossRef] [PubMed]
- Noone, T.C.; Semelka, R.C.; Siegelman, E.S.; Balci, N.C.; Hussain, S.M.; Kim, P.N.; Mitchell, D.G. Budd-Chiari syndrome: Spectrum of appearances of acute, subacute, and chronic disease with magnetic resonance imaging. J. Magn. Reson. Imaging 2000, 11, 44–50. [Google Scholar] [CrossRef]
- Cho, O.K.; Koo, J.H.; Kim, Y.S.; Rhim, H.C.; Koh, B.H.; Seo, H.S. Collateral Pathways in Budd-Chiari Syndrome: CT and Venographic Correlation. AJR 1996, 167, 1163–1167. [Google Scholar] [CrossRef] [PubMed][Green Version]
- Carreras, E.; Díaz-Beyá, M.; Rosiñol, L.; Martínez, C.; Fernández-Avilés, F.; Rovira, M. The incidence of veno-occlusive disease following allogeneic hematopoietic stem cell transplantation has diminished and the outcome improved over the last decade. Biol. Blood Marrow Transplant. 2011, 17, 1713–1720. [Google Scholar] [CrossRef] [PubMed]
- Mohty, M.; Malard, F.; Abecassis, M.; Aerts, E.; Alaskar, A.S.; Aljurf, M.; Arat, M.; Bader, P.; Baron, F.; Bazarbachi, A.; et al. Sinusoidal obstruction syndrome/veno-occlusive disease: Current situation and perspectives-a position statement from the European society for blood and marrow transplantation (EBMT). Bone Marrow Transpl. 2015, 50, 781–789. [Google Scholar] [CrossRef]
- DeLeve, L.D.; Shulman, H.M.; McDonald, G.B. Toxic injury to hepatic sinusoids: Sinusoidal obstruction syndrome (veno-occlusive disease). Semin. Liver Dis. 2002, 22, 27–42. [Google Scholar] [CrossRef]
- Coppell, J.A.; Richardson, P.G.; Soiffer, R.; Martin, P.L.; Kernan, N.A.; Chen, A.; Guinan, E.; Vogelsang, G.; Krishnan, A.; Giralt, S.; et al. Hepatic veno-occlusive disease following stem cell transplantation: Incidence, clinicalcourse, and outcome. Biol. Blood Marrow Transplant. 2010, 16, 157–168. [Google Scholar] [CrossRef]
- Richardson, P.G.; Smith, A.R.; Triplett, B.M.; Kernan, N.A.; Grupp, S.A.; Antin, J.H.; Lehmann, L.; Miloslavsky, M.; Hume, R.; Hannah, A.L.; et al. Earlier defibrotide initiation post-diagnosis of veno-occlusive disease/sinusoidal obstruction syndrome improves Day +100 survival following haematopoietic stem cell transplantation. Br. J. Haematol. 2017, 178, 112–118. [Google Scholar] [CrossRef]
- Bohte, A.E.; Dierselhuis, M.P.; van Noesel, M.M.; Lequin, M.H. Imaging features of hepatic sinusoidal obstruction syndrome or veno-occlusive disease in children. Pediatr. Radiol. 2022, 52, 122–133. [Google Scholar] [CrossRef]
- Zhang, Y.; Yan, Y.; Song, B. Noninvasive imaging diagnosis of sinusoidal obstruction syndrome: A pictorial review. Insights Imaging 2019, 10, 110. [Google Scholar] [CrossRef] [PubMed]
- Chan, S.S.; Colecchia, A.; Duarte, R.F.; Bonifazi, F.; Ravaioli, F.; Bourhis, J.H. Imaging in Hepatic Veno-Occlusive Disease/Sinusoidal Obstruction Syndrome. Biol. Blood Marrow Transplant. 2020, 26, 1770–1779. [Google Scholar] [CrossRef] [PubMed]
- Ravaioli, F.; Colecchia, A.; Alemanni, L.V.; Vestito, A.; Dajti, E.; Marasco, G.; Sessa, M.; Pession, A.; Bonifazi, F.; Festi, D. Role of imaging techniques in liver veno-occlusive disease diagnosis: Recent advances and literature review. Expert Rev. Gastroenterol. Hepatol. 2019, 13, 463–484. [Google Scholar] [CrossRef] [PubMed]
- Wanless, I.R.; Huang, W.Y. Vascular disorders. In MacSween’s Pathology of the Liver, 6th ed.; Elsevier: New York, NY, USA, 2012; pp. 618–619. [Google Scholar]
- Yanoff, M.; Rawson, A.J. Peliosis hepatis. An anatomic study with demonstration of two varieties. Arch. Pathol. 1964, 77, 159–165. [Google Scholar] [PubMed]
- Iwata, T.; Adachi, K.; Takahashi, M. Peliosis Hepatis Mimicking Malignant HypervascularTumors. J. Gastrointest. Surg. 2017, 21, 1095–1098. [Google Scholar] [CrossRef]
- Crocetti, D.; Palmieri, A.; Pedullà, G.; Pasta, V.; D’Orazi, V.; Grazi, G.L. Peliosis hepatis: Personal experience and literature review. World J. Gastroenterol. 2015, 21, 13188–13194. [Google Scholar] [CrossRef]
- Dong, Y.; Wang, W.P.; Lim, A.K.; Lee, W.J.; Clevert, D.A.; Höpfner, M.; Tannapfel, A.; Dietrich, C.F. Ultrasound findings in peliosis hepatis. Ultrasonography 2021, 40, 546–554. [Google Scholar] [CrossRef]
- Kleinig, P.; Davies, R.P.; Maddern, G.; Kew, J. Peliosis hepatis: Central “fast surge” ultrasound enhancement and multislice CT appearances. Clin. Radiol. 2003, 58, 995–998. [Google Scholar] [CrossRef]
- Ferrozzi, F.; Tognini, G.; Zuccoli, G.; Cademartiri, F.; Pavone, P. Peliosis hepatis with pseudotumoral and hemorrhagic evolution: CT and MR findings. Abdom. Imaging 2001, 26, 197–199. [Google Scholar] [CrossRef]
- Gouya, H.; Vignaux, O.; Legmann, P.; de Pigneux, G.; Bonnin, A. Peliosis hepatis: Triphasic helical CT and dynamic MRI findings. Abdom. Imaging 2001, 26, 507–509. [Google Scholar] [CrossRef]
- Cao, B.; Tian, K.; Zhou, H.; Li, C.; Liu, D.; Tan, Y. Hepatic Arterioportal Fistulas: A Retrospective Analysis of 97 Cases. J. Clin. Transl. Hepatol. 2022, 10, 620–626. [Google Scholar] [CrossRef] [PubMed]
- Yassine, A.A.; Al Moussawi, H.; Kreidieh, M.; Dahabra, L.; Al-Roubaie, M.; Satapathy, S. Splenic arteriovenous fistula leading to non-cirrhotic portal hypertension: A case report. Gastroenterol. Rep. 2023, 10, 11. [Google Scholar] [CrossRef] [PubMed]
- Alexander, E.; Santos, E. Endovascular management of incidentally discovered splenic arteriovenous fistula resulting from ruptured splenic aneurysm: Case report and review of the literature. Radiol. Case Rep. 2023, 12, 2465–2469. [Google Scholar] [CrossRef] [PubMed]
- Haghighatkhah, H.; Sanei Taheri, M.; Kharazi, S.M.; Zamini, M.; Rabani Khorasgani, S.; Jahangiri Zarkani, Z. Hepatic Artery Aneurysms as a Rare but Important Cause of Abdominal Pain; a Case Series. Arch. Acad. Emerg. Med. 2019, 7, 25. [Google Scholar]
- McLin, V.A.; Abella, S.F.; Debray, D.; Guérin, F.; Beghetti, M.; Savale, L.; Wildhaber, B.E.; Gonzales, E. Congenital portosystemic shunts: Current diagnosis and management. J. Pediatr. Gastroenterol. Nutr. 2019, 68, 615–622. [Google Scholar] [CrossRef]
- McLin, V.A.; Franchi-Abella, S.; Brütsch, T.; Bahadori, A.; Casotti, V.; de Ville de Goyet, J.; Dumery, G.; Gonzales, E.; Guérin, F.; Hascoet, S.; et al. Expert management of congenital portosystemic shunts and their complications. JHEP Rep. 2023, 6, 100933. [Google Scholar] [CrossRef]
- Schmalz, M.J.; Radhakrishnan, K. Vascular anomalies associated with hepatic shunting. World J. Gastroenterol. 2020, 26, 6582–6598. [Google Scholar] [CrossRef]
- Papamichail, M.; Pizanias, M.; Heaton, N. Congenital portosystemic venous shunt. Eur. J. Pediatr. 2018, 177, 285–294. [Google Scholar] [CrossRef]
- Baiges, A.; Turon, F.; Simón-Talero, M.; Tasayco, S.; Bueno, J.; Zekrini, K.; Plessier, A.; Franchi-Abella, S.; Guerin, F.; Mukund, A.; et al. Congenital extrahepatic portosystemic shunts (Abernethy malformation): An international observational Study. Hepatology 2020, 71, 658–669. [Google Scholar] [CrossRef]
- Sanada, Y.; Mizuta, K.; Niki, T.; Tashiro, M.; Hirata, Y.; Okada, N.; Yamada, N.; Ihara, Y.; Urahashi, T.; Soejima, Y.; et al. Hepatocellular nodules resulting from congenital extrahepatic portosystemic shunts can differentiate into potentially malignant hepatocellular adenomas. J. Hepatobiliary Pancreat. Sci. 2015, 22, 746–756. [Google Scholar] [CrossRef]
- Faughnan, M.E.; Mager, J.J.; Hetts, S.W.; Palda, V.A.; Lang-Robertson, K.; Buscarini, E.; Deslandres, E.; Kasthuri, R.S.; Lausman, A.; Poetker, D.; et al. Second International Guidelines for the Diagnosis and Management of Hereditary Hemorrhagic Telangiectasia. Ann. Intern. Med. 2020, 173, 989–1001. [Google Scholar] [CrossRef] [PubMed]
- McDonald, J.; Wooderchak-Donahue, W.; VanSant Webb, C.; Whitehead, K.; Stevenson, D.A.; Bayrak-Toydemir, P. Hereditary hemorrhagic telangiectasia: Genetics and molecular diagnostics in a new era. Front. Genet. 2015, 6, 1. [Google Scholar] [CrossRef] [PubMed]
- Shovlin, C.L.; Guttmacher, A.E.; Buscarini, E.; Faughnan, M.E.; Hyland, R.H.; Westermann, C.J.; Kjeldsen, A.D.; Plauchu, H. Diagnostic criteria for hereditary hemorrhagic telangiectasia (Rendu-Osler-Weber syndrome). Am. J. Med. Genet. 2000, 6, 66–67. [Google Scholar] [CrossRef]
- Khalid, S.K.; Garcia-Tsao, G. Hepatic vascular malformations in hereditary hemorrhagic telangiectasia. Semin. Liver Dis. 2008, 28, 247–258. [Google Scholar] [CrossRef] [PubMed]
- Buonamico, P.; Suppressa, P.; Lenato, G.M.; Pasculli, G.; D’Ovidio, F.; Memeo, M.; Scardapane, A.; Sabbà, C. Liver involvement in a large cohort of patients with hereditary hemorrhagic telangiectasia: Echo-color-Doppler vs multislice computed tomography study. J. Hepatol. 2008, 48, 811–820. [Google Scholar] [CrossRef]
- Buscarini, E.; Danesino, C.; Plauchu, H.; de Fazio, C.; Olivieri, C.; Brambilla, G.; Menozzi, F.; Reduzzi, L.; Blotta, P.; Gazzaniga, P.; et al. High prevalence of hepatic focal nodular hyperplasia in subjects with hereditary hemorrhagic telangiectasia. Ultrasound Med. Biol. 2004, 30, 1089–1097. [Google Scholar] [CrossRef]
- Caselitz, M.; Bahr, M.J.; Bleck, J.S.; Chavan, A.; Manns, M.P.; Wagner, S.; Gebel, M. Sonographic criteria for the diagnosis of hepatic involvement in hereditary hemorrhagic telangiectasia (HHT). Hepatology 2003, 37, 1139–1146. [Google Scholar] [CrossRef]
- Buscarini, E.; Danesino, C.; Olivieri, C.; Lupinacci, G.; De Grazia, F.; Reduzzi, L.; Blotta, P.; Gazzaniga, P.; Pagella, F.; Grosso, M.; et al. Doppler ultrasonographic grading of hepatic vascular malformations in hereditary hemorrhagic telangiectasia-results of extensive screening. Ultraschall Med. 2004, 25, 348–355. [Google Scholar] [CrossRef]
- Kelly, C.; Buscarini, E.; Manfredi, G.; Gregory, S.; Heneghan, M.A. Hepatic manifestations of hereditary haemorrhagic telangiectasia. Liver Int. 2024, 44, 2220–2234. [Google Scholar] [CrossRef]






















Disclaimer/Publisher’s Note: The statements, opinions and data contained in all publications are solely those of the individual author(s) and contributor(s) and not of MDPI and/or the editor(s). MDPI and/or the editor(s) disclaim responsibility for any injury to people or property resulting from any ideas, methods, instructions or products referred to in the content. |
© 2024 by the authors. Published by MDPI on behalf of the Lithuanian University of Health Sciences. Licensee MDPI, Basel, Switzerland. This article is an open access article distributed under the terms and conditions of the Creative Commons Attribution (CC BY) license (https://creativecommons.org/licenses/by/4.0/).
Share and Cite
Rosselli, M.; Popescu, A.; Bende, F.; Al Refaie, A.; Lim, A. Imaging in Vascular Liver Diseases. Medicina 2024, 60, 1955. https://doi.org/10.3390/medicina60121955
Rosselli M, Popescu A, Bende F, Al Refaie A, Lim A. Imaging in Vascular Liver Diseases. Medicina. 2024; 60(12):1955. https://doi.org/10.3390/medicina60121955
Chicago/Turabian StyleRosselli, Matteo, Alina Popescu, Felix Bende, Antonella Al Refaie, and Adrian Lim. 2024. "Imaging in Vascular Liver Diseases" Medicina 60, no. 12: 1955. https://doi.org/10.3390/medicina60121955
APA StyleRosselli, M., Popescu, A., Bende, F., Al Refaie, A., & Lim, A. (2024). Imaging in Vascular Liver Diseases. Medicina, 60(12), 1955. https://doi.org/10.3390/medicina60121955

