Effects of Autologous Conditioned Serum on Non-Union After Open Reduction Internal Fixation Failure: A Case Series and Literature Review
Abstract
1. Introduction
2. Materials and Methods
2.1. Patients
2.2. ACS Preparation
2.3. ACS Injection and Follow-Up
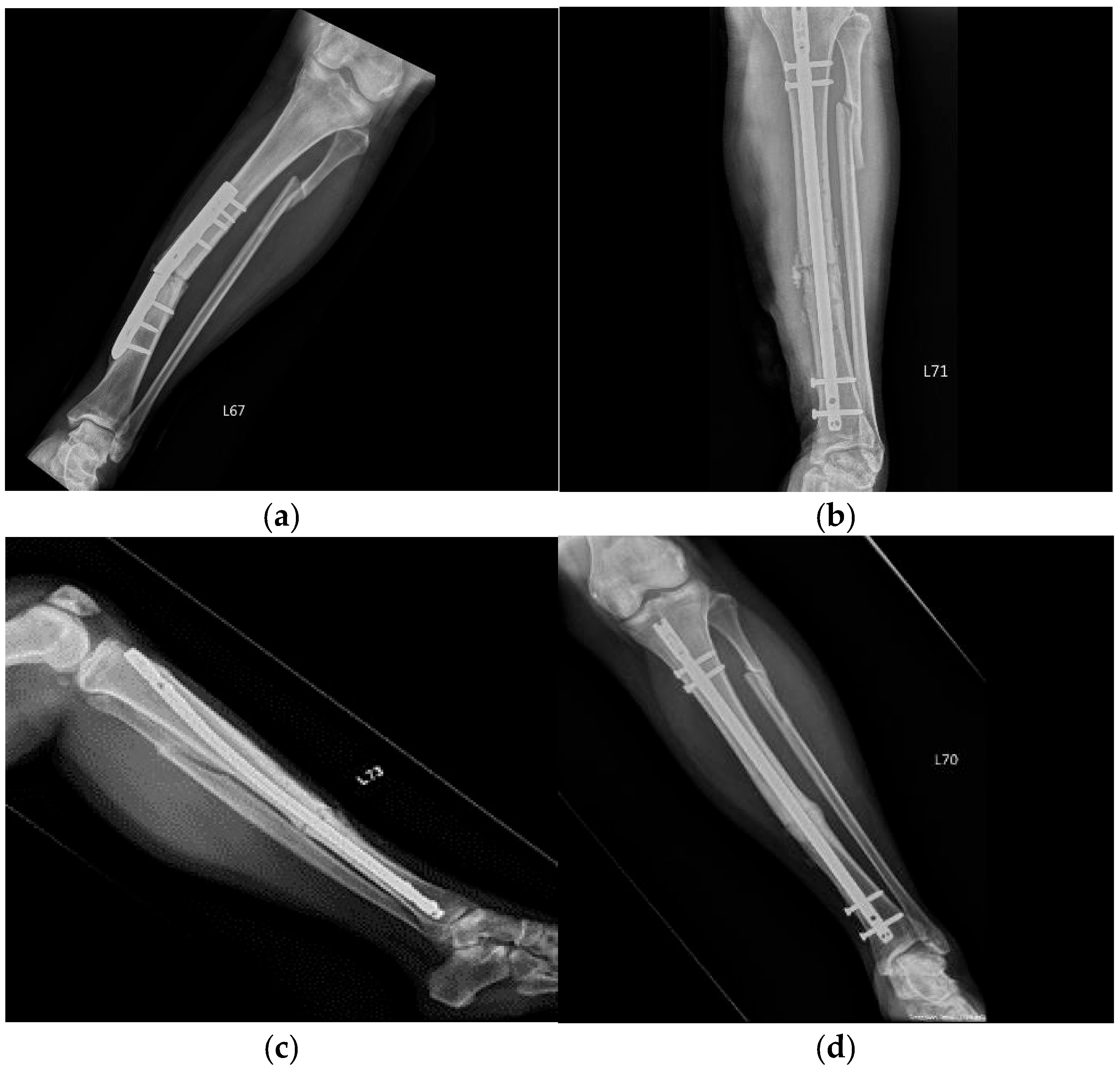
3. Results
Patients and Outcomes of ACS Injection
4. Discussion
5. Conclusions
Author Contributions
Funding
Institutional Review Board Statement
Informed Consent Statement
Data Availability Statement
Conflicts of Interest
References
- Turner, C.H. Biomechanics of bone: Determinants of skeletal fragility and bone quality. Osteoporos. Int. 2002, 13, 97–104. [Google Scholar] [CrossRef] [PubMed]
- Megas, P. Classification of non-union. Injury 2005, 36 (Suppl. S4), S30–S37. [Google Scholar] [CrossRef] [PubMed]
- Tzioupis, C.; Giannoudis, P.V. Prevalence of long-bone non-unions. Injury 2007, 38 (Suppl. S2), S3–S9. [Google Scholar] [CrossRef]
- Schlundt, C.; Bucher, C.H.; Tsitsilonis, S.; Schell, H.; Duda, G.N.; Schmidt-Bleek, K. Clinical and Research Approaches to Treat Non-union Fracture. Curr. Osteoporos. Rep. 2018, 16, 155–168. [Google Scholar] [CrossRef]
- Andersen, C.; Wragg, N.M.; Shariatzadeh, M.; Wilson, S.A.-O. The Use of Platelet-Rich Plasma (PRP) for the Management of Non-union Fractures. Curr. Osteoporos. Rep. 2021, 19, 1–14. [Google Scholar] [CrossRef]
- Xie, X.; Wang, Y.; Zhao, C.; Guo, S.; Liu, S.; Jia, W.; Tuan, R.S.; Zhang, C. Comparative evaluation of MSCs from bone marrow and adipose tissue seeded in PRP-derived scaffold for cartilage regeneration. Biomaterials 2012, 33, 7008–7018. [Google Scholar] [CrossRef]
- Alsousou, J.; Thompson, M.; Hulley, P.; Noble, A.; Willett, K. The biology of platelet-rich plasma and its application in trauma and orthopaedic surgery. J. Bone Jt. Surg. Br. Vol. 2009, 91-B, 987–996. [Google Scholar] [CrossRef]
- Sun, Y.; Feng, Y.; Zhang, C.Q.; Chen, S.B.; Cheng, X.G. The regenerative effect of platelet-rich plasma on healing in large osteochondral defects. Int. Orthop. 2010, 34, 589–597. [Google Scholar] [CrossRef]
- Galasso, O.; Mariconda, M.; Romano, G.; Capuano, N.; Romano, L.; Iannò, B.; Milano, C. Expandable intramedullary nailing and platelet rich plasma to treat long bone non-unions. J. Orthop. Traumatol. 2008, 9, 129–134. [Google Scholar] [CrossRef]
- Kanthan, S.R.; Kavitha, G.; Addi, S.; Choon, D.S.; Kamarul, T. Platelet-rich plasma (PRP) enhances bone healing in non-united critical-sized defects: A preliminary study involving rabbit models. Injury 2011, 42, 782–789. [Google Scholar] [CrossRef]
- Calori, G.M.; Tagliabue, L.; Gala, L.; d’Imporzano, M.; Peretti, G.; Albisetti, W. Application of rhBMP-7 and platelet-rich plasma in the treatment of long bone non-unions: A prospective randomised clinical study on 120 patients. Injury 2008, 39, 1391–1402. [Google Scholar] [CrossRef] [PubMed]
- Roldán, J.C.; Jepsen, S.; Miller, J.; Freitag, S.; Rueger, D.C.; Açil, Y.; Terheyden, H. Bone formation in the presence of platelet-rich plasma vs. bone morphogenetic protein-7. Bone 2004, 34, 80–90. [Google Scholar] [CrossRef]
- Krishnan, L.; Priddy, L.B.; Esancy, C.; Klosterhoff, B.S.; Stevens, H.Y.; Tran, L.; Guldberg, R.E. Delivery vehicle effects on bone regeneration and heterotopic ossification induced by high dose BMP-2. Acta Biomater. 2017, 49, 101–112. [Google Scholar] [CrossRef] [PubMed]
- James, A.W.; LaChaud, G.; Shen, J.; Asatrian, G.; Nguyen, V.; Zhang, X.; Ting, K.; Soo, C. A Review of the Clinical Side Effects of Bone Morphogenetic Protein-2. Tissue Eng. Part. B Rev. 2016, 22, 284–297. [Google Scholar] [CrossRef] [PubMed]
- Baltzer, A.W.; Moser, C.; Jansen, S.A.; Krauspe, R. Autologous conditioned serum (Orthokine) is an effective treatment for knee osteoarthritis. Osteoarthr. Cartil. 2009, 17, 152–160. [Google Scholar] [CrossRef]
- Meijer, H.; Reinecke, J.; Becker, C.; Tholen, G.; Wehling, P. The production of anti-inflammatory cytokines in whole blood by physico-chemical induction. Inflamm. Res. 2003, 52, 404–407. [Google Scholar] [CrossRef]
- Frizziero, A.; Giannotti, E.; Oliva, F.; Masiero, S.; Maffulli, N. Autologous conditioned serum for the treatment of osteoarthritis and other possible applications in musculoskeletal disorders. Br. Med. Bull. 2013, 105, 169–184. [Google Scholar] [CrossRef]
- Darabos, N.; Haspl, M.; Moser, C.; Darabos, A.; Bartolek, D.; Groenemeyer, D. Intraarticular application of autologous conditioned serum (ACS) reduces bone tunnel widening after ACL reconstructive surgery in a randomized controlled trial. Knee Surg. Sports Traumatol. Arthrosc. 2011, 19 (Suppl. S1), S36–S46. [Google Scholar] [CrossRef]
- Goldring, M.B.; Berenbaum, F. Emerging targets in osteoarthritis therapy. Curr. Opin. Pharmacol. 2015, 22, 51–63. [Google Scholar] [CrossRef]
- Vitali, M.; Ometti, M.; Drossinos, A.; Pironti, P.; Santoleri, L.; Salini, V. Autologous conditioned serum: Clinical and functional results using a novel disease modifying agent for the management of knee osteoarthritis. J. Drug Assess. 2020, 25, 43–51. [Google Scholar] [CrossRef]
- Cheng, P.-G.; Yang, K.D.; Huang, L.-G.; Wang, C.-H.; Ko, W.-S. Comparisons of Cytokines, Growth Factors and Clinical Efficacy between Platelet-Rich Plasma and Autologous Conditioned Serum for Knee Osteoarthritis Management. Biomolecules 2023, 13, 555. [Google Scholar] [CrossRef] [PubMed]
- Caplan, A.I.; Correa, D. PDGF in bone formation and regeneration: New insights into a novel mechanism involving MSCs. J. Orthop. Res. 2011, 29, 1795–1803. [Google Scholar] [CrossRef] [PubMed]
- Bishop, J.A.; Palanca, A.A.; Bellino, M.J.; Lowenberg, D.W. Assessment of compromised fracture healing. J. Am. Acad. Orthop. Surg. 2012, 20, 273–282. [Google Scholar] [CrossRef] [PubMed]
- O’Connell, B.; Wragg, N.M.; Wilson, S.L. The use of PRP injections in the management of knee osteoarthritis. Cell Tissue Res. 2019, 376, 143–152. [Google Scholar] [CrossRef] [PubMed]
- Schmidt-Bleek, K.; Schell, H.; Schulz, N.; Hoff, P.; Perka, C.; Buttgereit, F.; Volk, H.D.; Lienau, J.; Duda, G.N. Inflammatory phase of bone healing initiates the regenerative healing cascade. Cell Tissue Res. 2012, 347, 567–573. [Google Scholar] [CrossRef]
- Ganji, E.; Killian, M.L. Tendon healing in the context of complex fractures. Clin. Rev. Bone Min. Metab. 2018, 16, 131–141. [Google Scholar] [CrossRef]
- Ghaffarpasand, F.; Shahrezaei, M.; Dehghankhalili, M. Effects of Platelet Rich Plasma on Healing Rate of Long Bone Non-union Fractures: A Randomized Double-Blind Placebo Controlled Clinical Trial. Bull. Emerg. Trauma. 2016, 4, 134–140. [Google Scholar]
- Li, S.; Xing, F.; Luo, R.; Liu, M. Clinical Effectiveness of Platelet-Rich Plasma for Long-Bone Delayed Union and Nonunion: A Systematic Review and Meta-Analysis. Front. Med. 2021, 8, 771252. [Google Scholar] [CrossRef]
- Labibzadeh, N.; Emadedin, M.; Fazeli, R.; Mohseni, F.; Hosseini, S.E.; Moghadasali, R.; Mardpour, S.; Azimian, V.; Ghorbani Liastani, M.; Mirazimi Bafghi, A.; et al. Mesenchymal Stromal Cells Implantation in Combination with Platelet Lysate Product Is Safe for Reconstruction of Human Long Bone Nonunion. Cell J. 2016, 18, 302–309. [Google Scholar] [CrossRef]
- Centeno, C.; Schultz, J.; Cheever, M.; Freeman, M.; Robinson, B.; Faulkner, S. A case series of percutaneous treatment of non-union fractures with autologous, culture expanded, bone marrow derived, mesenchymal stem cells and platelet lysate. J. Bioeng. Biomed. Sci. S 2011, 2, 2. [Google Scholar] [CrossRef]
- Vauclair, F.; Goetti, P.; Nguyen, N.T.V.; Sanchez-Sotelo, J. Distal humerus nonunion: Evaluation and management. EFORT Open Rev. 2020, 5, 289–298. [Google Scholar] [CrossRef] [PubMed]
- Helfet, D.L.; Kloen, P.; Anand, N.; Rosen, H.S. Open reduction and internal fixation of delayed unions and nonunions of fractures of the distal part of the humerus. J. Bone Jt. Surg. Am. 2003, 85, 33–40. [Google Scholar] [CrossRef] [PubMed]
- Zaidenberg, E.E.; Juarez Cesca, F.; Pastrana, M.J.; Zaidenberg, C.R. Pedicled Vascularized Bone Graft of the Distal Radius for Recalcitrant Nonunion of the Distal Humerus. J. Orthop. Trauma 2018, 32, e394–e399. [Google Scholar] [CrossRef] [PubMed]
- Frölke, J.P.; Patka, P. Definition and classification of fracture non-unions. Injury 2007, 38 (Suppl. S2), S19–S22. [Google Scholar] [CrossRef] [PubMed]
- Schmal, H.; Brix, M.; Bue, M.; Ekman, A.; Ferreira, N.; Gottlieb, H.; Kold, S.; Taylor, A.; Toft Tengberg, P.; Ban, I. Nonunion—Consensus from the 4th annual meeting of the Danish Orthopaedic Trauma Society. EFORT Open Rev. 2020, 5, 46–57. [Google Scholar] [CrossRef]
- Ku, K.H.; Baek, J.H.; Kim, M.S. Risk Factors for Non-Union after Open Reduction and Internal Fixation in Patients with Distal Humerus Fractures. J. Clin. Med. 2022, 11, 2679. [Google Scholar] [CrossRef]
- Froum, S.J.; Wallace, S.S.; Tarnow, D.P.; Cho, S.C. Effect of platelet-rich plasma on bone growth and osseointegration in human maxillary sinus grafts: Three bilateral case reports. Int. J. Periodontics Restor. Dent. 2002, 22, 45–53. [Google Scholar]
- Raghoebar, G.M.; Schortinghuis, J.; Liem, R.S.; Ruben, J.L.; van der Wal, J.E.; Vissink, A. Does platelet-rich plasma promote remodeling of autologous bone grafts used for augmentation of the maxillary sinus floor? Clin. Oral. Implant. Res. 2005, 16, 349–356. [Google Scholar] [CrossRef]
- Bielecki, T.; Gazdzik, T.S.; Szczepanski, T. Benefit of percutaneous injection of autologous platelet-leukocyte-rich gel in patients with delayed union and nonunion. Eur. Surg. Res. Eur. Chir. Forschung. Rech. Chir. Eur. 2008, 40, 289–296. [Google Scholar] [CrossRef]
- Mariconda, M.; Cozzolino, F.; Cozzolino, A.; D’Agostino, E.; Bove, A.; Milano, C. Platelet gel supplementation in long bone nonunions treated by external fixation. J. Orthop. Trauma. 2008, 22, 342–345. [Google Scholar] [CrossRef]
- Subramanyam, K.; Alguvelly, R.; Mundargi, A.; Khanchandani, P. Single versus multi-dose intra-articular injection of platelet rich plasma in early stages of osteoarthritis of the knee: A single-blind, randomized, superiority trial. Arch. Rheumatol. 2021, 36, 326–334. [Google Scholar] [CrossRef] [PubMed]
- Say, F.; Türkeli, E.; Bülbül, M. Is platelet-rich plasma injection an effective choice in cases of non-union? Acta Chir. Orthop. Traumatol. Cech. 2014, 81, 340–345. [Google Scholar] [CrossRef] [PubMed]
- Jiang, H.J.; Tan, X.X.; Ju, H.Y.; Su, J.P.; Yan, W.; Song, X.G.; Qin, L.W.; Ju, C.J.; Wang, L.S.; Zou, D.B. Autologous platelet lysates local injections for treatment of tibia non-union with breakage of the nickelclad: A case report. Springerplus 2016, 5, 2013. [Google Scholar] [CrossRef] [PubMed]
- Casati, L.; Celotti, F.; Negri-Cesi, P.; Sacchi, M.C.; Castano, P.; Colciago, A. Platelet derived growth factor (PDGF) contained in Platelet Rich Plasma (PRP) stimulates migration of osteoblasts by reorganizing actin cytoskeleton. Cell Adhes. Migr. 2014, 8, 595–602. [Google Scholar] [CrossRef]
- Schell, H.; Duda, G.N.; Peters, A.; Tsitsilonis, S.; Johnson, K.A.; Schmidt-Bleek, K. The haematoma and its role in bone healing. J. Exp. Orthop. 2017, 4, 5. [Google Scholar] [CrossRef]
- Santolini, E.; West, R.; Giannoudis, P.V. Risk factors for long bone fracture non-union: A stratification approach based on the level of the existing scientific evidence. Injury 2015, 46 (Suppl. S8), S8–S19. [Google Scholar] [CrossRef]
- Lackington, W.A.; Gehweiler, D.; Zhao, E.; Zderic, I.; Nehrbass, D.; Zeiter, S.; González-Vázquez, A.; O’Brien, F.J.; Stoddart, M.J.; Thompson, K. Interleukin-1 receptor antagonist enhances the therapeutic efficacy of a low dose of rhBMP-2 in a weight-bearing rat femoral defect model. Acta Biomater. 2022, 149, 189–197. [Google Scholar] [CrossRef]
- Ju, Y.; Hu, Y.; Yang, P.; Xie, X.; Fang, B. Extracellular vesicle-loaded hydrogels for tissue repair and regeneration. Mater. Today Bio 2023, 18, 100522. [Google Scholar] [CrossRef]





| Case | Age (Years) | Sex | Diagnosis | Previous Treatment Outcomes | Non-Union | ACS Injection | Follow-Up Duration (Months) | Outcomes | ||||
|---|---|---|---|---|---|---|---|---|---|---|---|---|
| Type | Duration Before ACS (Months) | Times | Guidance | Site | Time to Callus Shown After 1st Injection (Months) | |||||||
| 1 | 50 | Female | Tibial fracture | Plate implant failure, followed by intramedullary nail at 9 months but still non-union | Hypertrophic | 9 | 3 | C-arm fluoroscopy | Periosteum | 5 | 12 | Union |
| 2 | 47 | Male | Right femoral shaft fracture | Non-union after ORIF | Hypertrophic | 9 | 3 | Ultrasound | Intramedullary | 4 | 12 | Union |
| 3 | 45 | Male | Right tibia and fibula fracture | Dynamization of distal screws on tibia; ACS injection was given on fibula | Hypertrophic | 9 | 3 | C-arm fluoroscopy | Periosteum | 4 | 12 | Union |
| 4 | 39 | Female | Right clavicle fracture | Non-union after ORIF | Bone defect | 9 | 2 | C-arm fluoroscopy | Intramedullary | 3 | 12 | Union |
| 5 | 66 | Male | Right upper femoral fracture | Plate implant failure, followed by gamma nail fixation at 9 months but still non-union | Bone defect | 9 | 3 | Ultrasound | Intramedullary | nil | 12 | Non-union; due to unstable fixation |
| 6 | 34 | Male | Left distal femur fracture | Non-union after ORIF | Bone defect | 9 | 3 | C-arm fluoroscopy | Intramedullary | 3 | 12 | Union |
| 7 | 53 | Male | Acetabulum bone defect | Non-union after total hip replacement | Bone defect | 25 | 1 | C-arm fluoroscopy | Intramedullary | 1.5 | 12 | Union |
| 8 | 50 | Male | Left distal femur lateral condyle fracture | Non-union after ORIF | Bone defect | 36 | 2 | C-arm fluoroscopy | Intramedullary | 3 | 12 | Union |
| 9 | 39 | Male | Right ulnar fracture | Non-union after ORIF | Hypertrophic | 14 | 2 | C-arm fluoroscopy | Intramedullary | 1.5 | 12 | Union |
| 10 | 21 | Female | Right upper tibia fracture | Non-union after ORIF | Bone defect | 12 | 3 | Ultrasound | Intramedullary | 4 | 6 | Union |
| 11 | 27 | Male | Left radial and ulnar fracture | Non-union after ORIF | Bone defect | 9 | 3 | Ultrasound | Intramedullary | 2 | 6 | Union |
Disclaimer/Publisher’s Note: The statements, opinions and data contained in all publications are solely those of the individual author(s) and contributor(s) and not of MDPI and/or the editor(s). MDPI and/or the editor(s) disclaim responsibility for any injury to people or property resulting from any ideas, methods, instructions or products referred to in the content. |
© 2024 by the authors. Published by MDPI on behalf of the Lithuanian University of Health Sciences. Licensee MDPI, Basel, Switzerland. This article is an open access article distributed under the terms and conditions of the Creative Commons Attribution (CC BY) license (https://creativecommons.org/licenses/by/4.0/).
Share and Cite
Cheng, P.-G.; Au, M.-K.; Lee, C.-H.; Huang, M.-J.; Yang, K.D.; Hsu, C.-S.; Wang, C.-H. Effects of Autologous Conditioned Serum on Non-Union After Open Reduction Internal Fixation Failure: A Case Series and Literature Review. Medicina 2024, 60, 1832. https://doi.org/10.3390/medicina60111832
Cheng P-G, Au M-K, Lee C-H, Huang M-J, Yang KD, Hsu C-S, Wang C-H. Effects of Autologous Conditioned Serum on Non-Union After Open Reduction Internal Fixation Failure: A Case Series and Literature Review. Medicina. 2024; 60(11):1832. https://doi.org/10.3390/medicina60111832
Chicago/Turabian StyleCheng, Pen-Gang, Man-Kuan Au, Chian-Her Lee, Meng-Jen Huang, Kuender D. Yang, Chun-Sheng Hsu, and Chi-Hui Wang. 2024. "Effects of Autologous Conditioned Serum on Non-Union After Open Reduction Internal Fixation Failure: A Case Series and Literature Review" Medicina 60, no. 11: 1832. https://doi.org/10.3390/medicina60111832
APA StyleCheng, P.-G., Au, M.-K., Lee, C.-H., Huang, M.-J., Yang, K. D., Hsu, C.-S., & Wang, C.-H. (2024). Effects of Autologous Conditioned Serum on Non-Union After Open Reduction Internal Fixation Failure: A Case Series and Literature Review. Medicina, 60(11), 1832. https://doi.org/10.3390/medicina60111832

