Utilizing the Postvascular Phase of Contrast-Enhanced Ultrasound to Predict Breast Cancer Lymph Node Metastasis
Abstract
1. Introduction
2. Materials and Methods
2.1. Study Participants
2.2. Sonographic Examination and Biopsy
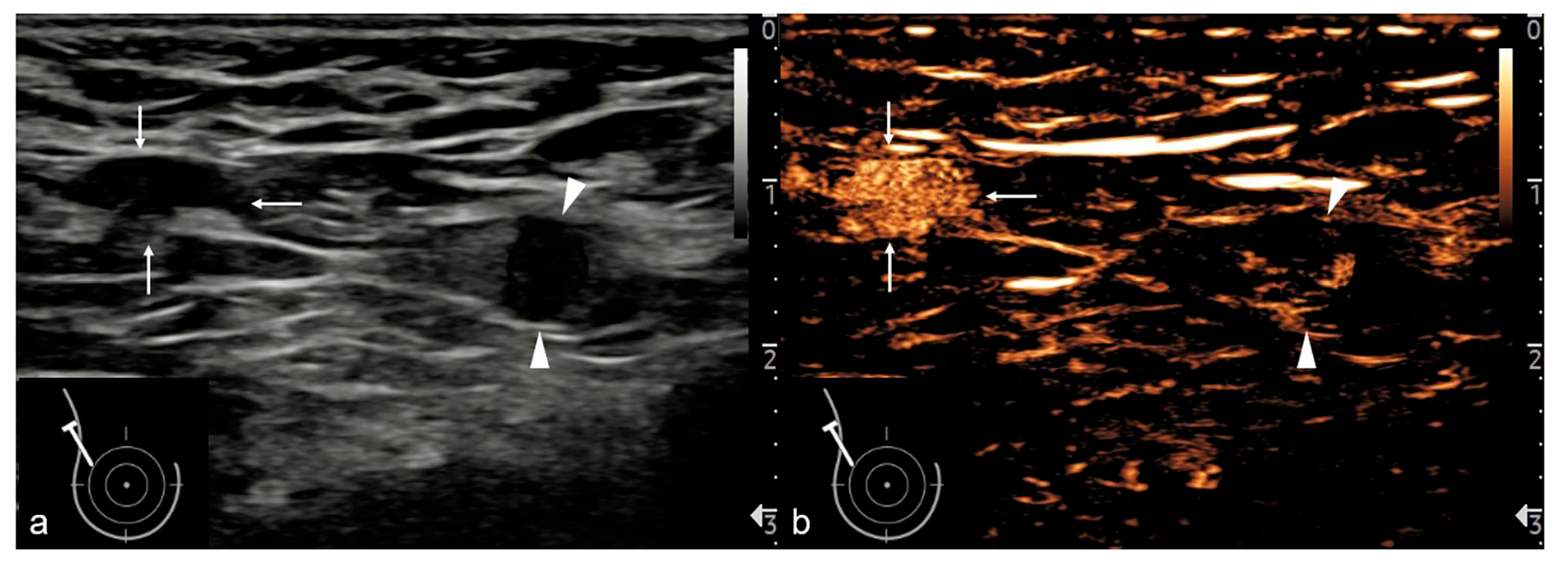
2.3. Image Analysis
2.4. Statistical Analysis
3. Results
3.1. Patient Characteristics
3.2. Conventional US and CEUS Examinations
3.3. Logistic Regression Analysis and ROC Curve Analysis
4. Discussion
5. Conclusions
Author Contributions
Funding
Institutional Review Board Statement
Informed Consent Statement
Data Availability Statement
Acknowledgments
Conflicts of Interest
References
- Beenken, S.W.; Urist, M.M.; Zhang, Y.; Desmond, R.; Krontiras, H.; Medina, H.; Bland, K.I. Axillary Lymph Node Status, But Not Tumor Size, Predicts Locoregional Recurrence and Overall Survival After Mastectomy for Breast Cancer. Ann. Surg. 2003, 237, 732–739. [Google Scholar] [CrossRef] [PubMed]
- Chang, J.M.; Leung, J.W.T.; Moy, L.; Ha, S.M.; Moon, W.K. Axillary Nodal Evaluation in Breast Cancer: State of the Art. Radiology 2020, 295, 500–515. [Google Scholar] [CrossRef] [PubMed]
- Giuliano, A.E.; Ballman, K.V.; McCall, L.; Beitsch, P.D.; Brennan, M.B.; Kelemen, P.R.; Ollila, D.W.; Hansen, N.M.; Whitworth, P.W.; Blumencranz, P.W.; et al. Effect of Axillary Dissection vs No Axillary Dissection on 10-Year Overall Survival Among Women With Invasive Breast Cancer and Sentinel Node Metastasis: The ACOSOG Z0011 (Alliance) Randomized Clinical Trial. JAMA 2017, 318, 918. [Google Scholar] [CrossRef]
- Kwak, H.Y.; Chae, B.J.; Bae, J.S.; Kim, E.J.; Chang, E.Y.; Kim, S.H.; Jung, S.S.; Song, B.J. Feasibility of sentinel lymph node biopsy in breast cancer patients clinically suspected of axillary lymph node metastasis on preoperative imaging. World J. Surg. Oncol. 2013, 11, 104. [Google Scholar] [CrossRef]
- Peek, M.C.; Charalampoudis, P.; Anninga, B.; Baker, R.; Douek, M. Blue dye for identification of sentinel nodes in breast cancer and malignant melanoma: A systematic review and meta-analysis. Future Oncol. 2017, 13, 455–467. [Google Scholar] [CrossRef]
- Alvarez, S.; Añorbe, E.; Alcorta, P.; López, F.; Alonso, I.; Cortés, J. Role of sonography in the diagnosis of axillary lymph node metastases in breast cancer: A systematic review. AJR Am. J. Roentgenol. 2006, 186, 1342–1348. [Google Scholar] [CrossRef] [PubMed]
- Balasubramanian, I.; Fleming, C.A.; Corrigan, M.A.; Redmond, H.P.; Kerin, M.J.; Lowery, A.J. Meta-analysis of the diagnostic accuracy of ultrasound-guided fine-needle aspiration and core needle biopsy in diagnosing axillary lymph node metastasis. Br. J. Surg. 2018, 105, 1244–1253. [Google Scholar] [CrossRef]
- Rautiainen, S.; Masarwah, A.; Sudah, M.; Sutela, A.; Pelkonen, O.; Joukainen, S.; Sironen, R.; Kärjä, V.; Vanninen, R. Axillary Lymph Node Biopsy in Newly Diagnosed Invasive Breast Cancer: Comparative Accuracy of Fine-Needle Aspiration Biopsy versus Core-Needle Biopsy. Radiology 2013, 269, 54–60. [Google Scholar] [CrossRef]
- Wang, Z.; Wu, L.-C.; Chen, J.-Q. Sentinel lymph node biopsy compared with axillary lymph node dissection in early breast cancer: A meta-analysis. Breast Cancer Res. Treat. 2011, 129, 675–689. [Google Scholar] [CrossRef]
- Chang, W.; Jia, W.; Shi, J.; Yuan, C.; Zhang, Y.; Chen, M. Role of Elastography in Axillary Examination of Patients with Breast Cancer. J. Ultrasound Med. 2018, 37, 699–707. [Google Scholar] [CrossRef]
- Taylor, K.; O’Keeffe, S.; Britton, P.D.; Wallis, M.G.; Treece, G.M.; Housden, J.; Parashar, D.; Bond, S.; Sinnatamby, R. Ultrasound elastography as an adjuvant to conventional ultrasound in the preoperative assessment of axillary lymph nodes in suspected breast cancer: A pilot study. Clin. Radiol. 2011, 66, 1064–1071. [Google Scholar] [CrossRef] [PubMed]
- Yoon, J.H.; Kim, M.H.; Kim, E.-K.; Moon, H.J.; Kwak, J.Y.; Kim, M.J. Interobserver Variability of Ultrasound Elastography: How It Affects the Diagnosis of Breast Lesions. AJR Am. J. Roentgenol. 2011, 196, 730–736. [Google Scholar] [CrossRef] [PubMed]
- Cui, X.-W.; Jenssen, C.; Saftoiu, A.; Ignee, A.; Dietrich, C.F. New ultrasound techniques for lymph node evaluation. World J. Gastroenterol. 2013, 19, 4850–4860. [Google Scholar] [CrossRef] [PubMed]
- Du, L.-W.; Liu, H.-L.; Gong, H.-Y.; Ling, L.-J.; Wang, S.; Li, C.; Zong, M. Adding contrast-enhanced ultrasound markers to conventional axillary ultrasound improves specificity for predicting axillary lymph node metastasis in patients with breast cancer. Br. J. Radiol. 2021, 94, 20200874. [Google Scholar] [CrossRef]
- Mori, N.; Mugikura, S.; Miyashita, M.; Kudo, Y.; Suzuki, M.; Li, L.; Mori, Y.; Takahashi, S.; Takase, K. Perfusion contrast-enhanced ultrasound to predict early lymph-node metastasis in breast cancer. Jpn. J. Radiol. 2019, 37, 145–153. [Google Scholar] [CrossRef]
- Xu, H.; Xu, G.L.; Li, X.D.; Su, Q.H.; Dong, C.Z. Correlation between the contrast-enhanced ultrasound image features and axillary lymph node metastasis of primary breast cancer and its diagnostic value. Clin. Transl. Oncol. 2021, 23, 155–163. [Google Scholar] [CrossRef]
- Dietrich, C.F.; Nolsøe, C.P.; Barr, R.G.; Berzigotti, A.; Burns, P.N.; Cantisani, V.; Chammas, M.C.; Chaubal, N.; Choi, B.I.; Clevert, D.-A.; et al. Guidelines and Good Clinical Practice Recommendations for Contrast Enhanced Ultrasound (CEUS) in the Liver–Update 2020–WFUMB in Cooperation with EFSUMB, AFSUMB, AIUM, and FLAUS. Ultraschall Med. 2020, 41, 562–585. [Google Scholar] [CrossRef]
- Khalili, K.; Atri, M.; Kim, T.K.; Jang, H.-J. Recognizing the Role of the Reticuloendothelial System in the Late Phase of US Contrast Agents. Radiology 2021, 298, 287–291. [Google Scholar] [CrossRef]
- Sugimoto, K.; Moriyasu, F.; Saito, K.; Yoshiara, H.; Imai, Y. Kupffer-Phase Findings of Hepatic Hemangiomas in Contrast-Enhanced Ultrasound with Sonazoid. Ultrasound Med. Biol. 2014, 40, 1089–1095. [Google Scholar] [CrossRef] [PubMed]
- Abe, H.; Schmidt, R.A.; Kulkarni, K.; Sennett, C.A.; Mueller, J.S.; Newstead, G.M. Axillary Lymph Nodes Suspicious for Breast Cancer Metastasis: Sampling with US-guided 14-Gauge Core-Needle Biopsy—Clinical Experience in 100 Patients. Radiology 2009, 250, 41–49. [Google Scholar] [CrossRef]
- Ecanow, J.S.; Abe, H.; Newstead, G.M.; Ecanow, D.B.; Jeske, J.M. Axillary Staging of Breast Cancer: What the Radiologist Should Know. RadioGraphics 2013, 33, 1589–1612. [Google Scholar] [CrossRef]
- Yang, W.T.; Chang, J.; Metreweli, C. Patients with breast cancer: Differences in color Doppler flow and gray-scale US features of benign and malignant axillary lymph nodes. Radiology 2000, 215, 568–573. [Google Scholar] [CrossRef] [PubMed]
- Salvatore, V.; Borghi, A.; Piscaglia, F. Contrast-enhanced Ultrasound for Liver Imaging: Recent Advances. Curr. Pharm. Des. 2012, 18, 2236–2252. [Google Scholar] [CrossRef] [PubMed]
- Sidhu, P.; Cantisani, V.; Dietrich, C.; Gilja, O.; Saftoiu, A.; Bartels, E.; Bertolotto, M.; Calliada, F.; Clevert, D.-A.; Cosgrove, D.; et al. The EFSUMB Guidelines and Recommendations for the Clinical Practice of Contrast-Enhanced Ultrasound (CEUS) in Non-Hepatic Applications: Update 2017 (Long Version). Ultraschall Med. 2018, 39, e2–e44. [Google Scholar] [CrossRef]
- Fu, Y.; Cui, L.-G.; Ma, J.-Y.; Fang, M.; Lin, Y.-X.; Li, N. Development of a Novel Contrast-Enhanced Ultrasound-Based Nomogram for Superficial Lymphadenopathy Differentiation: Postvascular Phase Value. Ultrasound Med. Biol. 2024, 50, 852–859. [Google Scholar] [CrossRef]
- Han, X.; Jin, S.; Yang, H.; Zhang, J.; Huang, Z.; Han, J.; He, C.; Guo, H.; Yang, Y.; Shan, M.; et al. Application of conventional ultrasonography combined with contrast-enhanced ultrasonography in the axillary lymph nodes and evaluation of the efficacy of neoadjuvant chemotherapy in breast cancer patients. Br. J. Radiol. 2021, 94, 20210520. [Google Scholar] [CrossRef]
- Steppan, I.; Reimer, D.; Müller-Holzner, E.; Marth, C.; Aigner, F.; Frauscher, F.; Frede, T.; Zeimet, A. Breast Cancer in Women: Evaluation of Benign and Malignant Axillary Lymph Nodes with Contrast-Enhanced Ultrasound. Ultraschall Med. 2010, 31, 63–67. [Google Scholar] [CrossRef]
- Kindberg, G.M.; Tolleshaug, H.; Roos, N.; Skotland, T. Hepatic clearance of Sonazoid perfluorobutane microbubbles by Kupffer cells does not reduce the ability of liver to phagocytose or degrade albumin microspheres. Cell Tissue Res. 2003, 312, 49–54. [Google Scholar] [CrossRef] [PubMed]
- Watanabe, R.; Matsumura, M.; Munemasa, T.; Fujimaki, M.; Suematsu, M. Mechanism of Hepatic Parenchyma-Specific Contrast of Microbubble-Based Contrast Agent for Ultrasonography: Microscopic Studies in Rat Liver. Investig. Radiol. 2007, 42, 643–651. [Google Scholar] [CrossRef]
- Yanagisawa, K.; Moriyasu, F.; Miyahara, T.; Yuki, M.; Iijima, H. Phagocytosis of ultrasound contrast agent microbubbles by Kupffer cells. Ultrasound Med. Biol. 2007, 33, 318–325. [Google Scholar] [CrossRef]
- Goldberg, B.B.; Merton, D.A.; Liu, J.-B.; Murphy, G.; Forsberg, F. Contrast-Enhanced Sonographic Imaging of Lymphatic Channels and Sentinel Lymph Nodes. J. Ultrasound Med. 2005, 24, 953–965. [Google Scholar] [CrossRef] [PubMed]
- Cox, K.; Taylor-Phillips, S.; Sharma, N.; Weeks, J.; Mills, P.; Sever, A.; Lim, A.; Haigh, I.; Hashem, M.; De Silva, T.; et al. Enhanced pre-operative axillary staging using intradermal microbubbles and contrast-enhanced ultrasound to detect and biopsy sentinel lymph nodes in breast cancer: A potential replacement for axillary surgery. Br. J. Radiol. 2017, 91, 20170626. [Google Scholar] [CrossRef] [PubMed]
- Omoto, K.; Matsunaga, H.; Take, N.; Hozumi, Y.; Takehara, M.; Omoto, Y.; Shiozawa, M.; Mizunuma, H.; Harashima, H.; Taniguchi, N.; et al. Sentinel Node Detection Method Using Contrast-Enhanced Ultrasonography with Sonazoid in Breast Cancer: Preliminary Clinical Study. Ultrasound Med. Biol. 2009, 35, 1249–1256. [Google Scholar] [CrossRef] [PubMed]
- Hao, Y.; Sun, Y.; Lei, Y.; Zhao, H.; Cui, L. Percutaneous Sonazoid-enhanced ultrasonography combined with in vitro verification for detection and characterization of sentinel lymph nodes in early breast cancer. Eur. Radiol. 2021, 31, 5894–5901. [Google Scholar] [CrossRef]
- Sever, A.; Jones, S.; Cox, K.; Weeks, J.; Mills, P.; Jones, P. Preoperative localization of sentinel lymph nodes using intradermal microbubbles and contrast-enhanced ultrasonography in patients with breast cancer. Br. J. Surg. 2009, 96, 1295–1299. [Google Scholar] [CrossRef]






| Comparison | Injection Method | Contrast Agent | Observe Time (After Injection) | Observed Indicator |
|---|---|---|---|---|
| The vascular phase | Intravenous | Sonazoid | 0–1 min | Enhancement homogeneity; perfusion defects; perfusion pattern |
| The postvascular phase | Intravenous | Sonazoid | 7–9 min | Enhancement degree; enhancement pattern; mean postvascular phase intensity |
| Variables | Total |
|---|---|
| No. of patients | 90 |
| No. of lymph nodes | 96 |
| Age, years | 54.44 ± 12.29 |
| Lymph nodes | |
| Diameter of major axis, cm | 1.84 ± 0.85 |
| Nodal status | |
| Non-metastasis | 30 (31.25%) |
| Metastasis | 66 (68.75%) |
| Location | |
| Axilla | 80 (83.33%) |
| Neck | 13 (13.54%) |
| Pectoral muscles | 3 (3.13%) |
| Breast operation | |
| Pre-operation | 64 (71.11%) |
| Post-operation | 26 (28.89%) |
| Tumor type | |
| Carcinoma in situ | 3 (3.33%) |
| Invasive (No special type) | 83 (92.22%) |
| Other | 4 (4.44%) |
| Metastasis (n = 66) | Non-Metastasis (n = 30) | χ2 | p | |
|---|---|---|---|---|
| Conventional US | ||||
| L/S | 8.44 | 0.004 ** | ||
| <2 | 43 (65.15%) | 10 (33.33%) | ||
| ≥2 | 23 (34.85%) | 20(66.67%) | ||
| Hilum | 12.41 | <0.001 *** | ||
| Absent | 41 (62.12%) | 7 (23.33%) | ||
| Present | 25 (37.88%) | 23 (76.67%) | ||
| Cortical thickness, mm | 9.95 | 0.002 ** | ||
| ≥3 | 64 (96.97%) | 22 (73.33%) | ||
| <3 | 2 (3.03%) | 8 (26.67%) | ||
| Vascular pattern | 4.04 | 0.13 | ||
| Peripheral or mixed | 48 (72.73%) | 18 (60.00%) | ||
| Hilar | 7 (10.60%) | 8 (26.67%) | ||
| None | 11 (16.67%) | 4 (13.33%) | ||
| The vascular phase | ||||
| Enhancement homogeneity | 22.68 | <0.001 *** | ||
| Heterogeneous | 45 (68.18%) | 4 (13.33%) | ||
| Homogeneous | 21 (31.82%) | 26 (86.67%) | ||
| Perfusion defects | 14.90 | <0.001 *** | ||
| Present | 33 (50.00%) | 2 (6.67%) | ||
| Absent | 33 (50.00%) | 28 (93.33%) | ||
| Perfusion pattern | 7.93 b | 0.02 * | ||
| Centripetal | 14 (21.21%) | 1(3.33%) | ||
| Hybrid | 51 (77.27%) | 26 (86.67%) | ||
| Centrifugal | 1 (1.52%) | 3 (10.00%) | ||
| The postvascular phase | ||||
| Degree of enhancement | 58.04 | <0.001 *** | ||
| Relative hypo-enhancement | 64 (96.97%) | 6 (20.00%) | ||
| Relative hyper-enhancement | 2 (3.03%) | 24 (80.00%) | ||
| Patterns of enhancement | ||||
| Pattern I | 20 (30.30%) | 0 | ||
| Pattern II | 28 (42.42%) | 4 (13.33%) | ||
| Pattern III | 16 (24.24%) | 2 (6.67%) | ||
| Pattern IV | 0 | 6 (20.00%) | ||
| Pattern V | 2 (3.03%) | 18 (60.00%) | ||
| MPI, dB a | 12 (5, 20) | 75 (47, 93) | 97.50 c | <0.001 *** |
| Model | AUC (95% CI) | Sensitivity (%) | Specificity (%) | PPV (%) | NPV (%) | Accuracy (%) |
|---|---|---|---|---|---|---|
| A | 0.75 (0.65–0.83) | 62.12 | 76.67 | 85.42 | 47.92 | 66.67 |
| B | 0.83 (0.74–0.90) | 72.73 | 86.67 | 92.31 | 59.09 | 77.08 |
| C | 0.95 (0.89–0.99) | 92.42 | 86.67 | 93.85 | 83.87 | 90.63 |
| D | 0.96 (0.90–0.99) | 93.94 | 90.00 | 95.38 | 87.10 | 92.71 |
Disclaimer/Publisher’s Note: The statements, opinions and data contained in all publications are solely those of the individual author(s) and contributor(s) and not of MDPI and/or the editor(s). MDPI and/or the editor(s) disclaim responsibility for any injury to people or property resulting from any ideas, methods, instructions or products referred to in the content. |
© 2024 by the authors. Published by MDPI on behalf of the Lithuanian University of Health Sciences. Licensee MDPI, Basel, Switzerland. This article is an open access article distributed under the terms and conditions of the Creative Commons Attribution (CC BY) license (https://creativecommons.org/licenses/by/4.0/).
Share and Cite
Ma, J.; Fu, Y.; Chen, X.; Lin, Y.; Zeng, L.; Mei, F.; Cui, L. Utilizing the Postvascular Phase of Contrast-Enhanced Ultrasound to Predict Breast Cancer Lymph Node Metastasis. Medicina 2024, 60, 1780. https://doi.org/10.3390/medicina60111780
Ma J, Fu Y, Chen X, Lin Y, Zeng L, Mei F, Cui L. Utilizing the Postvascular Phase of Contrast-Enhanced Ultrasound to Predict Breast Cancer Lymph Node Metastasis. Medicina. 2024; 60(11):1780. https://doi.org/10.3390/medicina60111780
Chicago/Turabian StyleMa, Jiuyi, Ying Fu, Xiangmei Chen, Yuxuan Lin, Lan Zeng, Fang Mei, and Ligang Cui. 2024. "Utilizing the Postvascular Phase of Contrast-Enhanced Ultrasound to Predict Breast Cancer Lymph Node Metastasis" Medicina 60, no. 11: 1780. https://doi.org/10.3390/medicina60111780
APA StyleMa, J., Fu, Y., Chen, X., Lin, Y., Zeng, L., Mei, F., & Cui, L. (2024). Utilizing the Postvascular Phase of Contrast-Enhanced Ultrasound to Predict Breast Cancer Lymph Node Metastasis. Medicina, 60(11), 1780. https://doi.org/10.3390/medicina60111780

