Pictorial Review of Rare Pancreatic Tumors and Tumor-like Lesions: Radiologic–Pathologic Correlation
Abstract
1. Introduction
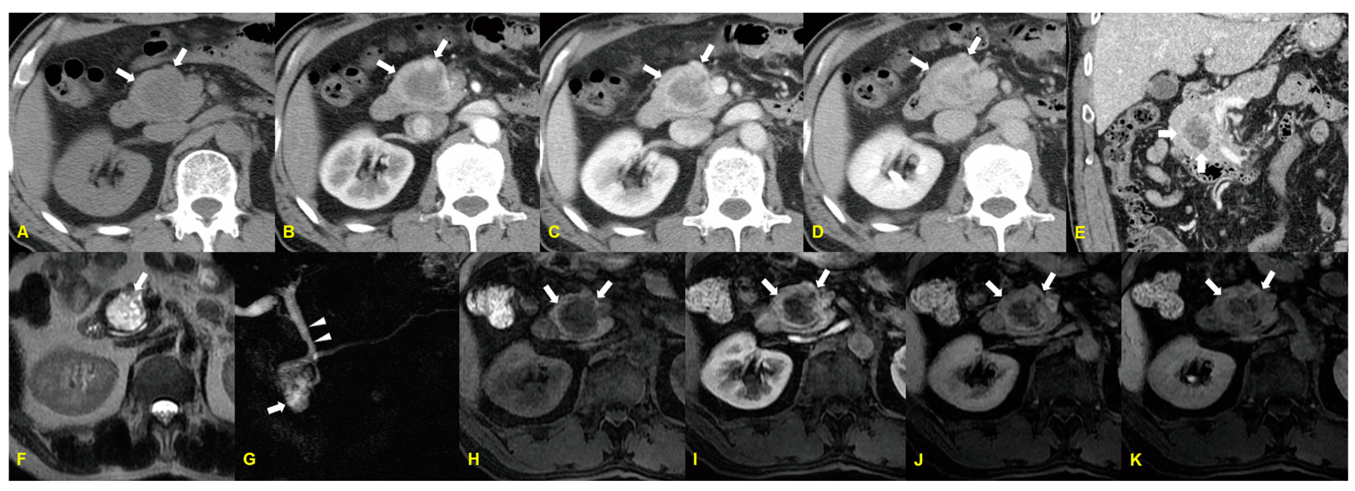
2. Colloid Carcinoma
2.1. Imaging Finding
2.2. Differential Diagnosis
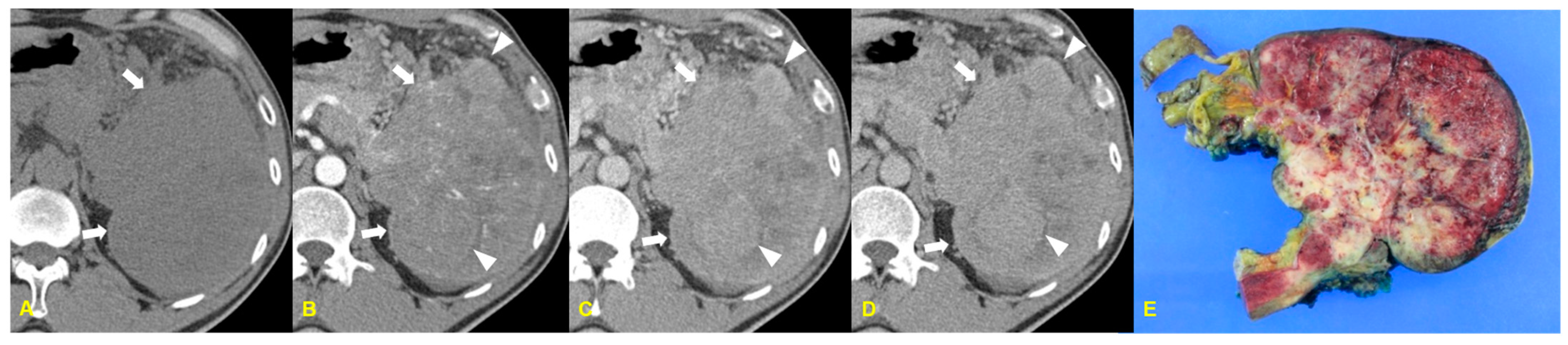
3. Acinar Cell Carcinoma
3.1. Imaging Finding
3.2. Differential Diagnosis
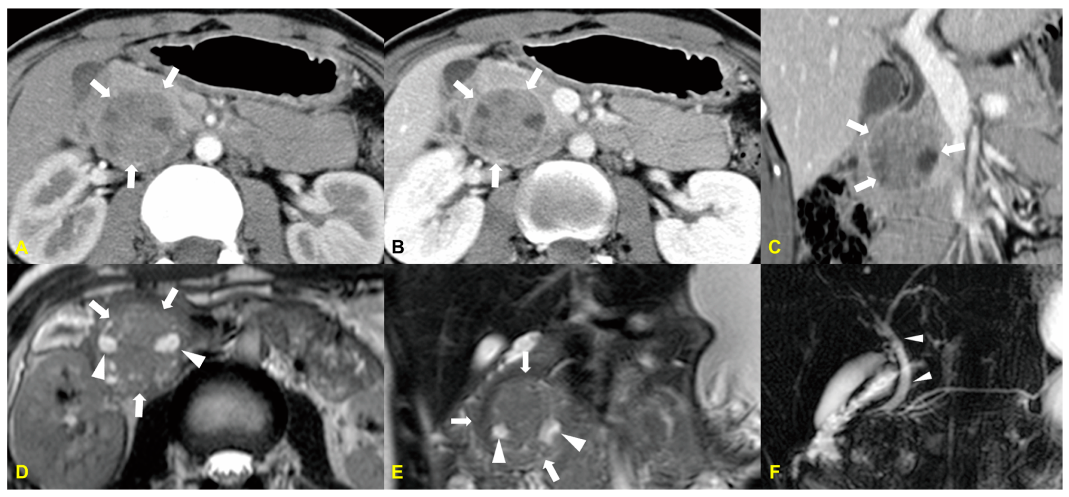
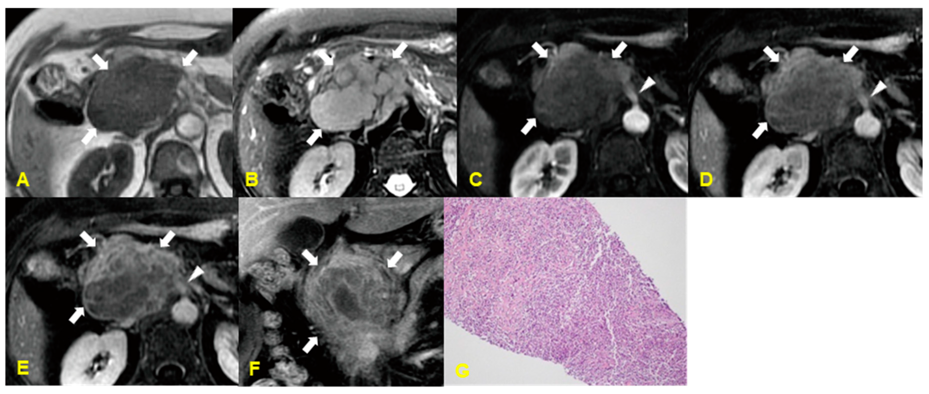
4. Pancreatoblastoma
4.1. Imaging Finding
4.2. Differential Diagnosis
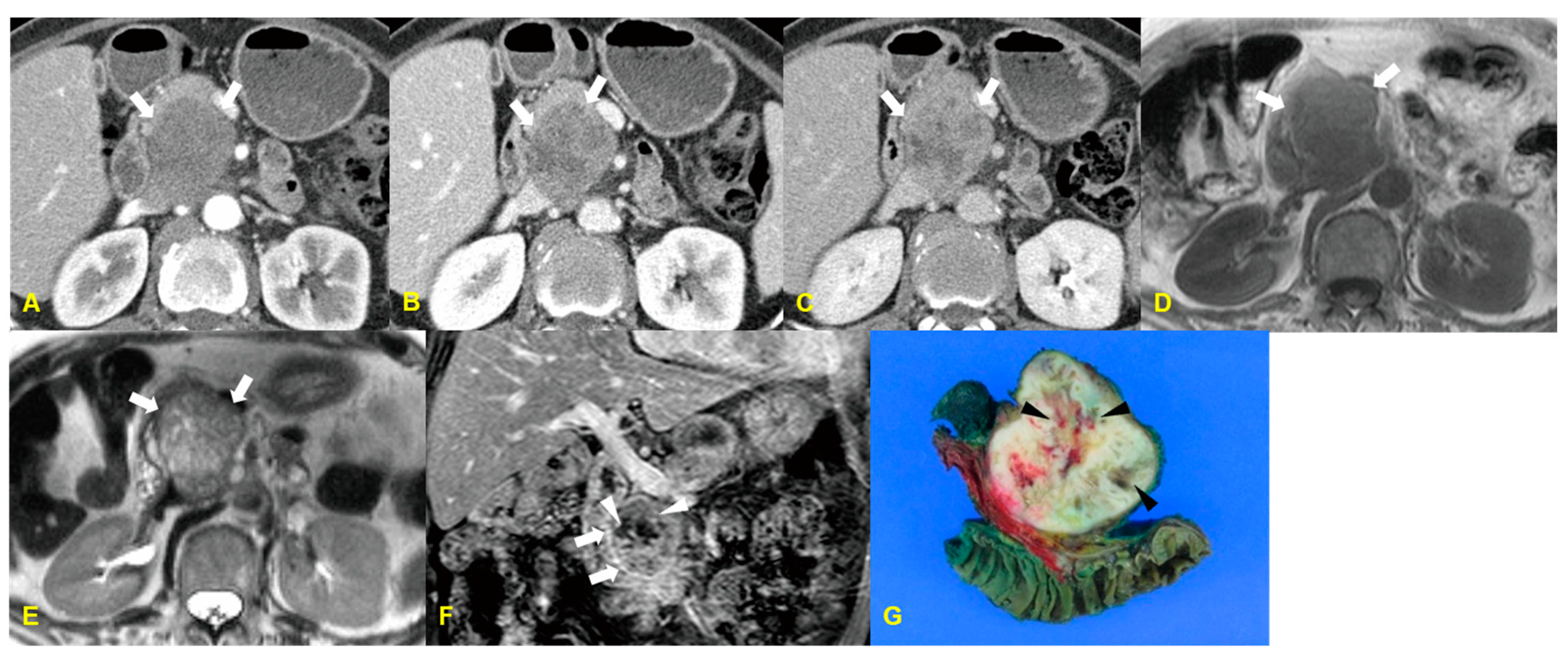
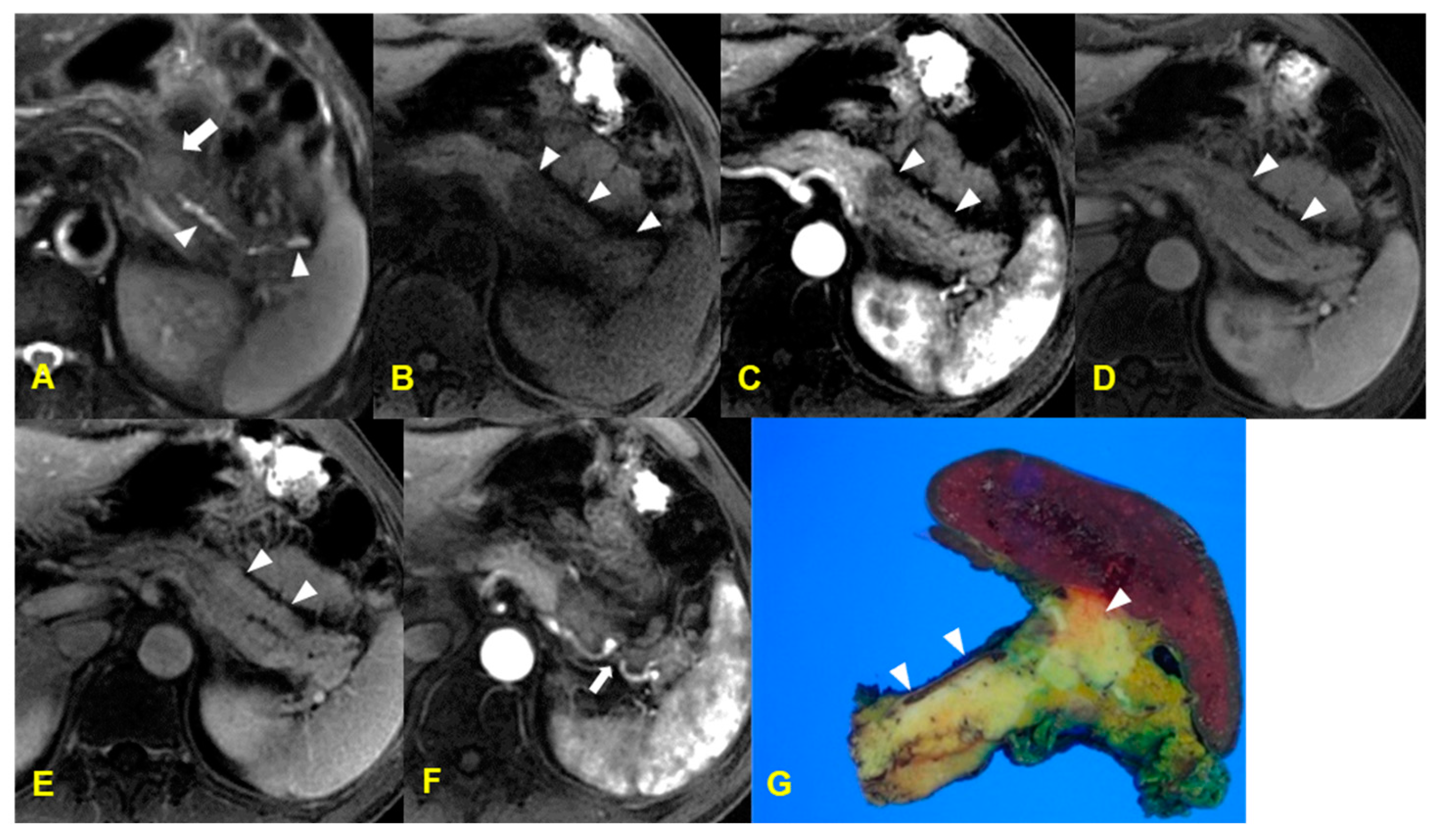
5. Primary Leiomyosarcoma
5.1. Imaging Finding
5.2. Differential Diagnosis
6. Primary Pancreatic Lymphoma (PPL)
6.1. Imaging Finding
6.2. Differential Diagnosis
7. Hamartoma
7.1. Imaging Finding
7.2. Differential Diagnosis
8. Localized Lymphoid Hyperplasia
8.1. Imaging Finding
8.2. Differential Diagnosis
9. Autoimmune Pancreatitis
9.1. Imaging Finding
9.2. Differential Diagnosis
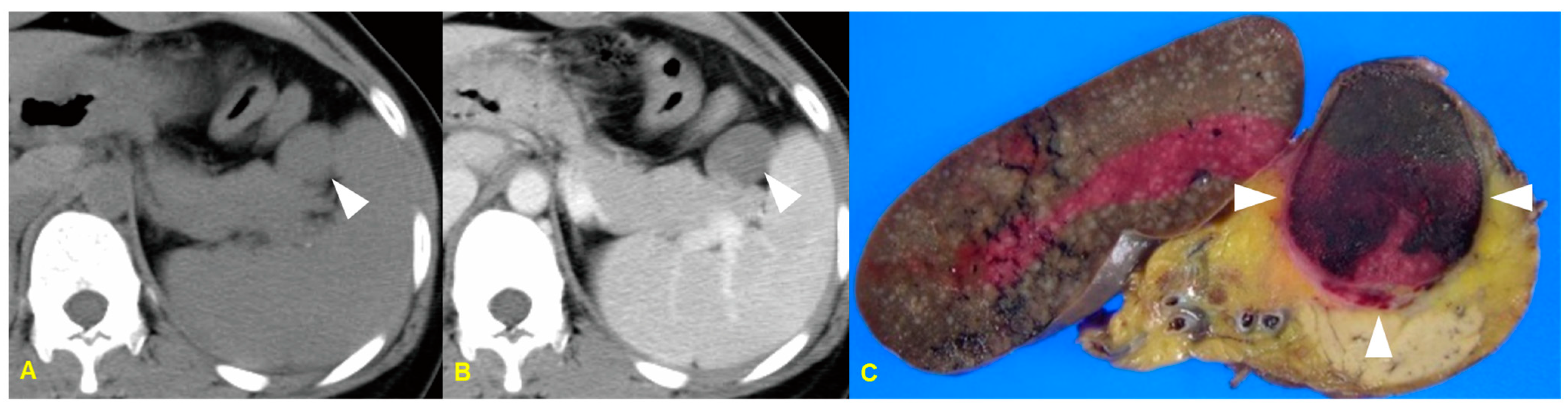
10. Infarcted Intrapancreatic Accessory Spleen
10.1. Imaging Finding
10.2. Differential Diagnosis
11. Inflammatory Pseudotumor
11.1. Imaging Finding
11.2. Differential Diagnosis
12. Conclusions
Author Contributions
Funding
Institutional Review Board Statement
Informed Consent Statement
Data Availability Statement
Conflicts of Interest
References
- Bosman, F.T.; Carneiro, F.; Hruban, R.H.; Theise, N.D. WHO Classification of Tumours of the Digestive System, 4th ed.; IARC: Lyon, France, 2010. [Google Scholar]
- Hruban, R.H.; Pitman, M.B.; Klimstra, D.S. Tumors of the Pancreas (AFIP Atlas of Tumor Pathology. Series 4), 6th ed.; American Registry of Pathology: Washington, DC, USA, 2007. [Google Scholar]
- Pauser, U.; Kosmahl, M.; Kruslin, B.; Klimstra, D.S.; Kloppel, G. Pancreatic solid and cystic hamartoma in adults: Characterization of a new tumorous lesion. Am. J. Surg. Pathol. 2005, 29, 797–800. [Google Scholar] [CrossRef] [PubMed]
- Seidel, G.; Zahurak, M.; Iacobuzio-Donahue, C.; Sohn, T.A.; Adsay, N.V.; Yeo, C.J.; Lillemoe, K.D.; Cameron, J.L.; Hruban, R.H.; Wilentz, R.E. Almost all infiltrating colloid carcinomas of the pancreas and periampullary region arise from in situ papillary neoplasms: A study of 39 cases. Am. J. Surg. Pathol. 2002, 26, 56–63. [Google Scholar] [CrossRef] [PubMed]
- Yoon, M.A.; Lee, J.M.; Kim, S.H.; Lee, J.Y.; Han, J.K.; Choi, B.I.; Choi, J.Y.; Park, S.H.; Lee, M.W. MRI features of pancreatic colloid carcinoma. Am. J. Roentgenol. 2009, 193, W308–W313. [Google Scholar] [CrossRef]
- Adsay, V.N.; Merati, K.; Nassar, H.; Shia, J.; Sarkar, F.; Pierson, C.R.; Cheng, J.D.; Visscher, D.W.; Hruban, R.H.; Klimstra, D.S. Pathogenesis of colloid (pure mucinous) carcinoma of exocrine organs: Coupling of gel-forming mucin (MUC2) production with altered cell polarity and abnormal cell-stroma interaction may be the key factor in the morphogenesis and indolent behavior of colloid carcinoma in the breast and pancreas. Am. J. Surg. Pathol. 2003, 27, 571–578. [Google Scholar] [PubMed]
- Available online: https://icd.who.int (accessed on 28 September 2024).
- Hsu, M.Y.; Pan, K.T.; Chu, S.Y.; Hung, C.F.; Wu, R.C.; Tseng, J.H. CT and MRI features of acinar cell carcinoma of the pancreas with pathological correlations. Clin. Radiol. 2010, 65, 223–229. [Google Scholar] [CrossRef]
- Chiou, Y.Y.; Chiang, J.H.; Hwang, J.I.; Yen, C.H.; Tsay, S.H.; Chang, C.Y. Acinar cell carcinoma of the pancreas: Clinical and computed tomography manifestations. J. Comput. Assist. Tomogr. 2004, 28, 180–186. [Google Scholar] [CrossRef]
- Tatli, S.; Mortele, K.J.; Levy, A.D.; Glickman, J.N.; Ros, P.R.; Banks, P.A.; Silverman, S.G. CT and MRI features of pure acinar cell carcinoma of the pancreas in adults. Am. J. Roentgenol. 2005, 184, 511–519. [Google Scholar] [CrossRef]
- Mergo, P.J.; Helmberger, T.K.; Buetow, P.C.; Helmberger, R.C.; Ros, P.R. Pancreatic neoplasms: MR imaging and pathologic correlation. Radiographics 1997, 17, 281–301. [Google Scholar] [CrossRef] [PubMed]
- Cavallini, A.; Falconi, M.; Bortesi, L.; Crippa, S.; Barugola, G.; Butturini, G. Pancreatoblastoma in adults: A review of the literature. Pancreatology 2009, 9, 73–80. [Google Scholar] [CrossRef]
- Roebuck, D.J.; Yuen, M.K.; Wong, Y.C.; Shing, M.K.; Lee, C.W.; Li, C.K. Imaging features of pancreatoblastoma. Pediatr. Radiol. 2001, 31, 501–506. [Google Scholar] [CrossRef]
- Montemarano, H.; Lonergan, G.J.; Bulas, D.I.; Selby, D.M. Pancreatoblastoma: Imaging findings in 10 patients and review of the literature. Radiology 2000, 214, 476–482. [Google Scholar] [CrossRef] [PubMed]
- Izumi, H.; Okada, K.I.; Imaizumi, T.; Hirabayashi, K.; Matsuyama, M.; Dowaki, S.; Tobita, K.; Makuuchi, H. Leiomyosarcoma of the pancreas: Report of a case. Surg. Today 2011, 41, 1556–1561. [Google Scholar] [CrossRef]
- Paciorek, M.L.; Ross, G.J. MR imaging of primary pancreatic leiomyosarcoma. Br. J. Radiol. 1998, 71, 561–563. [Google Scholar] [CrossRef] [PubMed]
- Lin, H.; Li, S.D.; Hu, X.G.; Li, Z.S. Primary pancreatic lymphoma: Report of six cases. World J. Gastroenterol. 2006, 12, 5064–5067. [Google Scholar] [CrossRef] [PubMed]
- Dawson, I.M.; Cornes, J.S.; Morson, B.C. Primary malignant lymphoid tumours of the intestinal tract. Report of 37 cases with a study of factors influencing prognosis. Br. J. Surg. 1961, 49, 80–89. [Google Scholar] [CrossRef]
- Merkle, E.M.; Bender, G.N.; Brambs, H.J. Imaging findings in pancreatic lymphoma: Differential aspects. Am. J. Roentgenol. 2000, 174, 671–675. [Google Scholar] [CrossRef]
- Nagata, S.; Yamaguchi, K.; Inoue, T.; Yamaguchi, H.; Ito, T.; Gibo, J.; Tanaka, M.; Tsuneyoshi, M. Solid pancreatic hamartoma. Pathol. Int. 2007, 57, 276–780. [Google Scholar] [CrossRef]
- Sampelean, D.; Adam, M.; Muntean, V.; Hanescu, B.; Domsa, I. Pancreatic hamartoma and SAPHO syndrome: A case report. J. Gastrointestin. Liver Dis. 2009, 18, 483–486. [Google Scholar]
- Burt, T.B.; Condon, V.R.; Matlak, M.E. Fetal pancreatic hamartoma. Pediatr. Radiol. 1983, 13, 287–289. [Google Scholar] [CrossRef]
- Flaherty, M.J.; Benjamin, D.R. Multicystic pancreatic hamartoma: A distinctive lesion with immunohistochemical and ultrastructural study. Hum. Pathol. 1992, 23, 1309–1312. [Google Scholar] [CrossRef]
- Izbicki, J.R.; Knoefel, W.T.; Muller-Hocker, J.; Mandelkow, H.K. Pancreatic hamartoma: A benign tumor of the pancreas. Am. J. Gastroenterol. 1994, 89, 1261–1262. [Google Scholar] [PubMed]
- McFaul, C.D.; Vitone, L.J.; Campbell, F.; Azadeh, B.; Hughes, M.L.; Garvey, C.J.; Ghaneh, P.; Neoptolemos, J.P. Pancreatic hamartoma. Pancreatology 2004, 4, 533–537. [Google Scholar] [CrossRef] [PubMed]
- Buetow, P.C.; Parrino, T.V.; Buck, J.L.; Pantongrag-Brown, L.; Ros, P.R.; Dachman, A.H.; Cruess, D.F. Islet cell tumors of the pancreas: Pathologic-imaging correlation among size, necrosis and cysts, calcification, malignant behavior, and functional status. Am. J. Roentgenol. 1995, 165, 1175–1179. [Google Scholar] [CrossRef] [PubMed]
- Hatzitheoklitos, E.; Büchler, M.W.; Friess, H.; DiSebastiano, P.; Poch, B.; Beger, H.G.; Mohr, W. Pseudolymphoma of the pancreas mimicking cancer. Pancreas. 1994, 9, 668–670. [Google Scholar] [CrossRef] [PubMed]
- Kim, J.W.; Shin, S.S.; Heo, S.H.; Jeong, Y.Y.; Kang, H.K.; Choi, Y.D. Imaging findings of localized lymphoid hyperplasia of the pancreas: A case report. Korean J. Radiol. 2011, 12, 510–514. [Google Scholar] [CrossRef]
- Nakashiro, H.; Tokunaga, O.; Watanabe, T.; Ishibashi, K.; Kuwaki, T. Localized lymphoid hyperplasia (pseudolymphoma) of the pancreas presenting with obstructive jaundice. Hum. Pathol. 1991, 22, 724–726. [Google Scholar] [CrossRef]
- Babaryka, I.; Thomas, E. Pancreatitis lymphomatosa (author’s transl). Zentralbl. Allg. Pathol. 1981, 125, 315–318. [Google Scholar]
- Kawamoto, S.; Siegelman, S.S.; Hruban, R.H.; Fishman, E.K. Lymphoplasmacytic sclerosing pancreatitis (autoimmune pancreatitis): Evaluation with multidetector CT. Radiographics 2008, 28, 157–170. [Google Scholar] [CrossRef]
- Chari, S.T. Diagnosis of autoimmune pancreatitis using its five cardinal features: Introducing the Mayo Clinic’s HISORt criteria. J. Gastroenterol. 2007, 42 (Suppl. S18), 39–41. [Google Scholar] [CrossRef]
- Chari, S.T.; Smyrk, T.C.; Levy, M.J. Diagnosis of autoimmune pancreatitis: The Mayo Clinic experience. Clin. Gastroenterol. Hepatol. 2006, 4, 1010–1016. [Google Scholar] [CrossRef]
- Takahashi, N.; Fletcher, J.G.; Hough, D.M. Autoimmune pancreatitis: Differentiation from pancreatic carcinoma and normal pancreas on the basis of enhancement characteristics at dual-phase CT. Am. J. Roentgenol. 2009, 193, 479–484. [Google Scholar] [CrossRef] [PubMed]
- Vlachou, P.A.; Khalili, K.; Jang, H.J.; Fischer, S.; Hirschfield, G.M.; Kim, T.K. IgG4-related sclerosing disease: Autoimmune pancreatitis and extrapancreatic manifestations. Radiographics 2011, 31, 1379–1402. [Google Scholar] [CrossRef] [PubMed]
- Shanbhogue, A.K.; Fasih, N.; Surabhi, V.R.; Doherty, G.P.; Shanbhogue, D.K.; Sethi, S.K. A clinical and radiologic review of uncommon types and causes of pancreatitis. Radiographics 2009, 29, 1003–1026. [Google Scholar] [CrossRef] [PubMed]
- Sica, G.T.; Reed, M.F. Case 27: Intrapancreatic accessory spleen. Radiology 2000, 217, 134–137. [Google Scholar] [CrossRef]
- Mendi, R.; Abramson, L.P.; Pillai, S.B.; Rigsby, C.K. Evolution of the CT imaging findings of accessory spleen infarction. Pediatr. Radiol. 2006, 36, 1319–1322. [Google Scholar] [CrossRef]
- Kim, S.H.; Lee, J.M.; Han, J.K. Intrapancreatic accessory spleen: Findings on MR Imaging, CT, US and scintigraphy, and the pathologic analysis. Korean J. Radiol. 2008, 9, 162–174. [Google Scholar] [CrossRef] [PubMed]
- Pungpapong, S.; Geiger, X.J.; Raimondo, M. Inflammatory myofibroblastic tumor presenting as a pancreatic mass: A case report and review of the literature. J. Pancreas 2004, 5, 360–367. [Google Scholar]
- McClain, M.B.; Burton, E.M.; Day, D.S. Pancreatic pseudotumor in an 11-year-old child: Imaging findings. Pediatr. Radiol. 2000, 30, 610–613. [Google Scholar] [CrossRef]










| Classification | Incidence |
|---|---|
| Epithelial tumors | |
| Colloid carcinoma (mucinous noncystic carcinoma) | 1–3% of invasive pancreatic adenocarcinomas |
| Acinar cell carcinoma | 1–2% of all pancreatic neoplasm |
| Pancreatoblastoma | <200 cases reported |
| Non-epithelial tumors | |
| Leiomyosarcoma | 0.1% of all pancreatic neoplasm |
| Lymphomas | 0.5% of all pancreatic neoplasm |
| Non-neoplastic tumor-like lesions | |
| Hamartoma | 16 cases reported in the English literature |
| Localized lymphoid hyperplasia | 4 cases reported in the English literature |
| Autoimmune pancreatitis | 2–11% of all cases of chronic pancreatitis |
| Intrapancreatic accessory spleen | <20 cases reported |
| Inflammatory pseudotumor | <30 cases reported |
| Radiologic Features | |
|---|---|
| Colloid carcinoma | Very high SI and salt-and-pepper appearance on T2WI/ Internal sponge-like or mesh-like enhancement/No communication with pancreatic duct |
| Acinar cell carcinoma | Solitary/Exophytic and hypovascular mass with well-defined margin/Calcifications (frequent) |
| Pancreatoblastoma | Well defined and lobulated mass with heterogeneous enhancement/Calcification (±)/ Large tumors without invasion of surrounding structures |
| Leiomyosarcoma | Well defined and encapsulated mass with heterogeneous enhancement/ Large tumor with invasion of adjacent structure/Lymphadenopathy (rare) |
| Primary lymphoma | Localized type: well defined mass with poor enhancement/Low-to-intermediate SI on T2WI |
| Diffuse infiltrating type: hypointense enlarged pancreas on T1- and T2WI | |
| Hamartoma | Enhancement pattern: variable/sometimes, delayed homogeneous strong enhancement |
| Localized lymphoid hyperplasia | Well defined mass with delayed enhancement |
| Autoimmune pancreatitis | Diffuse type: enlarged pancreas with sausage-like appearance |
| Focal type: relatively well defined with delayed enhancement | |
| Infarcted intrapancreatic spleen | Enhancement pattern: poor enhancement/ Sometimes, peripheral enhancement by capsular vessels |
| Inflammatory pseudotumor | Variable image findings |
Disclaimer/Publisher’s Note: The statements, opinions and data contained in all publications are solely those of the individual author(s) and contributor(s) and not of MDPI and/or the editor(s). MDPI and/or the editor(s) disclaim responsibility for any injury to people or property resulting from any ideas, methods, instructions or products referred to in the content. |
© 2024 by the authors. Published by MDPI on behalf of the Lithuanian University of Health Sciences. Licensee MDPI, Basel, Switzerland. This article is an open access article distributed under the terms and conditions of the Creative Commons Attribution (CC BY) license (https://creativecommons.org/licenses/by/4.0/).
Share and Cite
Hong, J.H.; Kim, J.W.; Yoon, E.J.; Song, S.G.; Kim, H.C.; Hur, Y.H.; Kim, H.J. Pictorial Review of Rare Pancreatic Tumors and Tumor-like Lesions: Radiologic–Pathologic Correlation. Medicina 2024, 60, 1766. https://doi.org/10.3390/medicina60111766
Hong JH, Kim JW, Yoon EJ, Song SG, Kim HC, Hur YH, Kim HJ. Pictorial Review of Rare Pancreatic Tumors and Tumor-like Lesions: Radiologic–Pathologic Correlation. Medicina. 2024; 60(11):1766. https://doi.org/10.3390/medicina60111766
Chicago/Turabian StyleHong, Jun Hyung, Jin Woong Kim, Eun Ju Yoon, Sang Gook Song, Hyun Chul Kim, Young Hoe Hur, and Hyung Joong Kim. 2024. "Pictorial Review of Rare Pancreatic Tumors and Tumor-like Lesions: Radiologic–Pathologic Correlation" Medicina 60, no. 11: 1766. https://doi.org/10.3390/medicina60111766
APA StyleHong, J. H., Kim, J. W., Yoon, E. J., Song, S. G., Kim, H. C., Hur, Y. H., & Kim, H. J. (2024). Pictorial Review of Rare Pancreatic Tumors and Tumor-like Lesions: Radiologic–Pathologic Correlation. Medicina, 60(11), 1766. https://doi.org/10.3390/medicina60111766

