Recent-Onset Melanoma and the Implications of the Excessive Use of Tanning Devices—Case Report and Review of the Literature
Abstract
1. Introduction
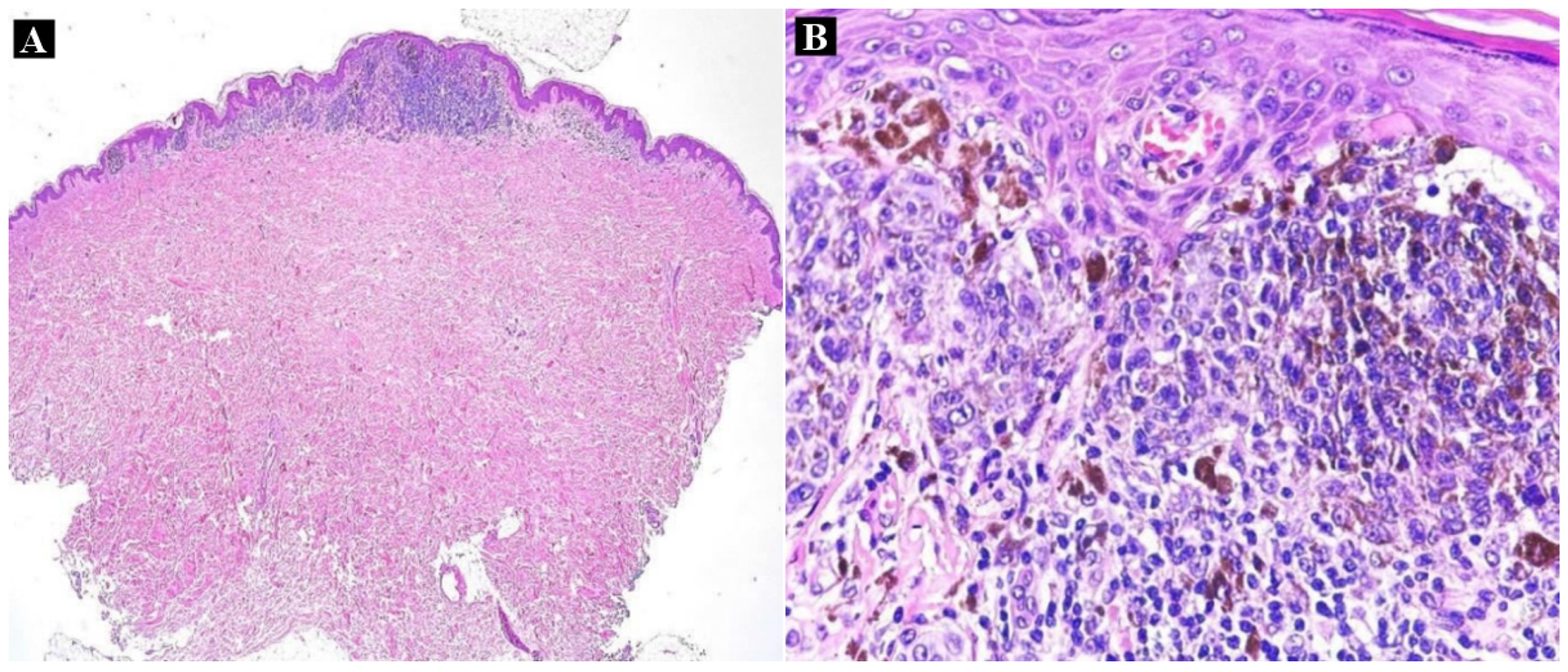
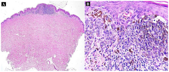
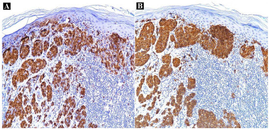
2. Case Presentation
3. Discussion
4. Conclusions
Author Contributions
Funding
Institutional Review Board Statement
Informed Consent Statement
Data Availability Statement
Conflicts of Interest
Appendix A. Short Explanation of Specialty Terminology
| Fitzpatrick phototype | Classification of skin types according to the reaction to ultraviolet exposure |
| Breslow index | Maximal thickness of the malignant melanocytic tumoral population |
| Clark nevus | Dysplastic or atypical nevus |
| Halo nevus | Nevus surrounded by a whitish halo (ring) |
| Pagetoid epidermal invasion | Upward extension of cells (e.g., atypical melanocytes in the case of melanoma) towards the epidermis |
References
- Ward, W.H.; Lambreton, F.; Goel, N.; Yu, J.Q.; Farma, J.M. Clinical Presentation and Staging of Melanoma. In Cutaneous Melanoma: Etiology and Therapy [Internet]; Ward, W.H., Farma, J.M., Eds.; Codon Publications: Brisbane, Australia, 2017; Chapter 6. [Google Scholar] [CrossRef]
- ECIS—European Cancer Information System. Estimates of Cancer Incidence and Mortality in 2022, for All Countries. Available online: https://ecis.jrc.ec.europa.eu (accessed on 21 November 2023).
- Saginala, K.; Barsouk, A.; Aluru, J.S.; Rawla, P.; Barsouk, A. Epidemiology of Melanoma. Med. Sci. 2021, 9, 63. [Google Scholar] [CrossRef]
- Kozmin, S.; Slezak, G.; Reynaud-Angelin, A.; Elie, C.; de Rycke, Y.; Boiteux, S.; Sage, E. UVA radiation is highly mutagenic in cells that are unable to repair 7,8-dihydro-8-oxoguanine in Saccharomyces cerevisiae. Proc. Natl. Acad. Sci. USA 2005, 102, 13538–13543. [Google Scholar] [CrossRef] [PubMed]
- Gandini, S.; Autier, P.; Boniol, M. Reviews on sun exposure and artificial light and melanoma. Prog. Biophys. Mol. Biol. 2011, 107, 362–366. [Google Scholar] [CrossRef] [PubMed]
- Arisi, M.; Zane, C.; Caravello, S.; Rovati, C.; Zanca, A.; Venturini, M.; Calzavara-Pinton, P. Sun Exposure and Melanoma, Certainties and Weaknesses of the Present Knowledge. Front. Med. 2018, 5, 235. [Google Scholar] [CrossRef] [PubMed]
- Crump, C.; Sundquist, K.; Sieh, W.; Winkleby, M.A.; Sundquist, J. Season of birth and other perinatal risk factors for melanoma. Int. J. Epidemiol. 2014, 43, 793–801. [Google Scholar] [CrossRef]
- WHO—World Health Organization. Ultraviolet Radiation. Available online: https://www.who.int/health-topics/ultraviolet-radiation#tab=tab_1 (accessed on 22 November 2023).
- Sliney, D. What is light? The visible spectrum and beyond. Eye 2016, 30, 222–229. [Google Scholar] [CrossRef]
- D’Orazio, J.; Jarrett, S.; Amaro-Ortiz, A.; Scott, T. UV radiation and the skin. Int. J. Mol. Sci. 2013, 14, 12222–12248. [Google Scholar] [CrossRef]
- Hamouda, S.; Alshawish, N.; Abdalla, Y.; Ibrahim, M. Ultraviolet radiation: Health Risks and Benefits. Saudi J. Eng. Technol. 2022, 7, 533–541. [Google Scholar] [CrossRef]
- WHO—World Health Organization. Radiation: Ultraviolet (UV) Radiation and Skin Cancer. Available online: https://www.who.int/news-room/questions-and-answers/item/radiation-ultraviolet-(uv)-radiation-and-skin-cancer (accessed on 23 November 2023).
- IARC Working Group on the Evaluation of Carcinogenic Risks to Humans. IARC Monographs on the Evaluation of Carcinogenic Risks to Humans Series; WHO: Geneva, Switzerland, 2012; A review of human carcinogens. Part D: Radiation; Available online: https://monographs.iarc.who.int/wp-content/uploads/2018/06/mono100D.pdf (accessed on 22 November 2023).
- Nilsen, L.T.; Hannevik, M.; Veierod, M.B. Ultraviolet exposure from indoor tanning devices: A systematic review. Br. J. Derm. 2016, 174, 730–740. [Google Scholar] [CrossRef]
- Boniol, M.; Autier, P.; Boyle, P.; Gandini, S. Cutaneous melanoma attributable to sunbed use: Systematic review and meta-analysis. BMJ. 2012, 345, e4757. [Google Scholar] [CrossRef]
- International Agency for Research on Cancer Working Group on artificial ultraviolet (UV) light and skin cancer. The association of use of sunbeds with cutaneous malignant melanoma and other skin cancers: A systematic review. Int. J. Cancer. 2007, 120, 1116–1122, Erratum in Int. J. Cancer. 2007, 120, 2526. [Google Scholar] [CrossRef]
- van der Kooij, M.K.; Wetzels, M.J.; Aarts, M.J.; Berkmortel, F.W.v.D.; Blank, C.U.; Boers-Sonderen, M.J.; Dierselhuis, M.P.; de Groot, J.W.B.; Hospers, G.A.; Piersma, D.; et al. Age Does Matter in Adolescents and Young Adults versus Older Adults with Advanced Melanoma; A National Cohort Study Comparing Tumor Characteristics, Treatment Pattern, Toxicity and Response. Cancers 2020, 12, 2072. [Google Scholar] [CrossRef] [PubMed]
- Ghiasvand, R.; Rueegg, C.S.; Weiderpass, E.; Green, A.C.; Lund, E.; Veierød, M.B. Indoor Tanning and Melanoma Risk: Long-Term Evidence from a Prospective Population-Based Cohort Study. Am. J. Epidemiol. 2017, 185, 147–156. [Google Scholar] [CrossRef] [PubMed]
- Börner, F.U.; Schütz, H.; Wiedemann, P. A population-based survey on tanning bed use in Germany. BMC Dermatol. 2009, 9, 6. [Google Scholar] [CrossRef] [PubMed]
- Meeran, S.M.; Punathil, T.; Katiyar, S.K. IL-12 deficiency exacerbates inflammatory responses in UV-irradiated skin and skin tumors. J. Investig. Dermatol. 2008, 128, 2716–2727. [Google Scholar] [CrossRef]
- Khan, A.Q.; Travers, J.B.; Kemp, M.G. Roles of UVA radiation and DNA damage responses in melanoma pathogenesis. Environ. Mol. Mutagen. 2018, 59, 438–460. [Google Scholar] [CrossRef]
- Slominski, A.T.; Zmijewski, M.A.; Plonka, P.M.; Szaflarski, J.P.; Paus, R. How UV Light Touches the Brain and Endocrine System Through Skin, and Why. Endocrinology 2018, 159, 1992–2007. [Google Scholar] [CrossRef]
- Hiramoto, K.; Jikumaru, M.; Yamate, Y.; Sato, E.F.; Inoue, M. Ultraviolet A irradiation of the eye induces immunomodulation of skin and intestine in mice via hypothalomo-pituitary-adrenal pathways. Arch Dermatol. Res. 2009, 301, 239–244. [Google Scholar] [CrossRef]
- Fell, G.L.; Robinson, K.C.; Mao, J.; Woolf, C.J.; Fisher, D.E. Skin β-endorphin mediates addiction to UV light. Cell 2014, 157, 1527–1534. [Google Scholar] [CrossRef]
- Slominski, A.T. Ultraviolet radiation (UVR) activates central neuro-endocrine-immune system. Photodermatol. Photoimmunol. Photomed. 2015, 31, 121–123. [Google Scholar] [CrossRef]
- Li, W.Q.; Cho, E.; Han, J.; Wu, S.; Qureshi, A.A. Pigmentary traits and use of indoor tanning beds in a cohort of women. Br. J. Dermatol. 2017, 176, 526–530. [Google Scholar] [CrossRef] [PubMed]
- Cartmel, B.; Dewan, A.; Ferrucci, L.M.; Gelernter, J.; Stapleton, J.; Leffell, D.J.; Mayne, S.T.; Bale, A.E. Novel gene identified in an exome-wide association study of tanning dependence. Exp. Dermatol. 2014, 23, 757–759. [Google Scholar] [CrossRef] [PubMed]
- Fisher, D.E.; James, W.D. Indoor tanning–science, behavior, and policy. N. Engl. J. Med. 2010, 363, 901–903. [Google Scholar] [CrossRef] [PubMed]
- Kaur, M.; Liguori, A.; Fleischer, A.B., Jr.; Feldman, S.R. Plasma beta-endorphin levels in frequent and infrequent tanners before and after ultraviolet and non-ultraviolet stimuli. J. Am. Acad. Dermatol. 2006, 54, 919–920. [Google Scholar] [CrossRef] [PubMed]
- Mastroeni, S.; Sampogna, F.; Salcedo, N.M.; Ricci, F.; Fania, L.; Antonelli, F.; Abeni, D.; Cristofolini, M. Factors associated with sunbed use among 3692 outpatients in 18 centers of the Italian Cancer League (LILT). Sci. Rep. 2021, 11, 23180. [Google Scholar] [CrossRef]
- Coups, E.J.; Phillips, L.A. A more systematic review of correlates of indoor tanning. J. Eur. Acad. Derm. Venereol. 2011, 25, 610–616. [Google Scholar] [CrossRef] [PubMed]
- Bali, R.; Ji-Xu, A.; Felton, S.J. The significant health threat from sunbed use as a self treatment in patients with acne. Clin. Exp. Dermatol. 2022, 47, 404–406. [Google Scholar] [CrossRef]
- Lyons, S.; Lorigan, P.; Green, A.C.; Ferguson, A.; Epton, T. Reasons for indoor tanning use and the acceptability of alternatives: A qualitative study. Soc. Sci. Med. 2021, 286, 114331. [Google Scholar] [CrossRef]
- Glanz, K.; Jordan, A.; Lazovich, D.; Bleakley, A. Frequent Indoor Tanners’ Beliefs About Indoor Tanning and Cessation. Am. J. Health Promot. 2019, 33, 293–299. [Google Scholar] [CrossRef]
- Mansh, M.; Arron, S.T. Indoor tanning and melanoma: Are gay and bisexual men more at risk? Melanoma Manag. 2016, 3, 89–92. [Google Scholar] [CrossRef]
- Reimann, J.; McWhirter, J.E.; Papadopoulos, A.; Dewey, C. A systematic review of compliance with indoor tanning legislation. BMC Public Health. 2018, 18, 1096. [Google Scholar] [CrossRef] [PubMed]
- Pawlak, M.T.; Bui, M.; Amir, M.; Burkhardt, D.L.; Chen, A.K.; Dellavalle, R.P. Legislation restricting access to indoor tanning throughout the world. Arch. Dermatol. 2012, 148, 1006–1012. [Google Scholar] [CrossRef] [PubMed]
- Sinclair, C.A.; Makin, J.K.; Tang, A.; Brozek, I.; Rock, V. The role of public health advocacy in achieving an outright ban on commercial tanning beds in Australia. Am. J. Public. Health. 2014, 104, e7–e9. [Google Scholar] [CrossRef] [PubMed]
- National Conference of State Legislatures. Indoor Tanning Restrictions for Minors: A State-by-State Comparison. 2018. Available online: http://www.ncsl.org/research/health/indoor-tanning-restrictions.aspx (accessed on 30 November 2023).
- Mayer, J.A.; Woodruff, S.I.; Slymen, D.J.; Sallis, J.F.; Forster, J.L.; Clapp, E.J.; Hoerster, K.D.; Pichon, L.C.; Weeks, J.R.; Belch, G.E.; et al. Adolescents’ use of indoor tanning: A large-scale evaluation of psychosocial, environmental, and policy-level correlates. Am. J. Public Health 2011, 101, 930–938. [Google Scholar] [CrossRef]
- Buller, D.B.; Pagoto, S.; Baker, K.; Walkosz, B.J.; Hillhouse, J.; Henry, K.L.; Berteletti, J.; Bibeau, J. Results of a social media campaign to prevent indoor tanning by teens: A randomized controlled trial. Prev. Med. Rep. 2021, 22, 101382. [Google Scholar] [CrossRef]
- Hunt, I.d.V.; Cai, Z.R.; Nava, V.; Admassu, N.E.; Bousheri, S.; Johnson, T.; Tomz, A.; Thompson, J.; Zhang, L.; Pagoto, S.; et al. A Social Media-Based Public Health Campaign to Reduce Indoor Tanning in High-Risk Populations. AJPM Focus. 2023, 2, 100123. [Google Scholar] [CrossRef]
- Herrmann, J.L.; Cunningham, R.; Cantor, A.; Elewski, B.E.; Elmets, C.A. Tanning accelerators: Prevalence, predictors of use, and adverse effects. J. Am. Acad. Dermatol. 2015, 72, 99–104. [Google Scholar] [CrossRef]




| Immunohistochemical Antibody | Clone | Manufacturer | Dilution | Host, Clonality |
|---|---|---|---|---|
| PRAME | EPR20330 | Biocare | Ready-to-use (RTU) 6 mL | Rabbit, monoclonal |
| p16 | MX007 | Master Diagnostica | RTU 3 mL | Mouse, monoclonal |
| Ki-67 | SP6 | Master Diagnostica | RTU 7 mL | Rabbit, monoclonal |
| Melan-A/MART-1 | A103 | Biocare | RTU 6 mL | Mouse, monoclonal |
Disclaimer/Publisher’s Note: The statements, opinions and data contained in all publications are solely those of the individual author(s) and contributor(s) and not of MDPI and/or the editor(s). MDPI and/or the editor(s) disclaim responsibility for any injury to people or property resulting from any ideas, methods, instructions or products referred to in the content. |
© 2024 by the authors. Licensee MDPI, Basel, Switzerland. This article is an open access article distributed under the terms and conditions of the Creative Commons Attribution (CC BY) license (https://creativecommons.org/licenses/by/4.0/).
Share and Cite
Nurla, L.-A.; Wafi, G.; Tatar, R.; Dorobanțu, A.M.; Chivu, M.; Popa, L.G.; Giurcăneanu, C.; Orzan, O.A. Recent-Onset Melanoma and the Implications of the Excessive Use of Tanning Devices—Case Report and Review of the Literature. Medicina 2024, 60, 187. https://doi.org/10.3390/medicina60010187
Nurla L-A, Wafi G, Tatar R, Dorobanțu AM, Chivu M, Popa LG, Giurcăneanu C, Orzan OA. Recent-Onset Melanoma and the Implications of the Excessive Use of Tanning Devices—Case Report and Review of the Literature. Medicina. 2024; 60(1):187. https://doi.org/10.3390/medicina60010187
Chicago/Turabian StyleNurla, Luana-Andreea, Gina Wafi, Raluca Tatar, Alexandra Maria Dorobanțu, Mădălina Chivu, Liliana Gabriela Popa, Călin Giurcăneanu, and Olguța Anca Orzan. 2024. "Recent-Onset Melanoma and the Implications of the Excessive Use of Tanning Devices—Case Report and Review of the Literature" Medicina 60, no. 1: 187. https://doi.org/10.3390/medicina60010187
APA StyleNurla, L.-A., Wafi, G., Tatar, R., Dorobanțu, A. M., Chivu, M., Popa, L. G., Giurcăneanu, C., & Orzan, O. A. (2024). Recent-Onset Melanoma and the Implications of the Excessive Use of Tanning Devices—Case Report and Review of the Literature. Medicina, 60(1), 187. https://doi.org/10.3390/medicina60010187

