Reduced-Dose or Discontinuation of Bevacizumab Might Be Considered after Variceal Bleeding in Patients with Hepatocellular Carcinoma Receiving Atezolizumab/Bevacizumab: Case Reports
Abstract
1. Introduction
2. Materials and Methods
3. Results
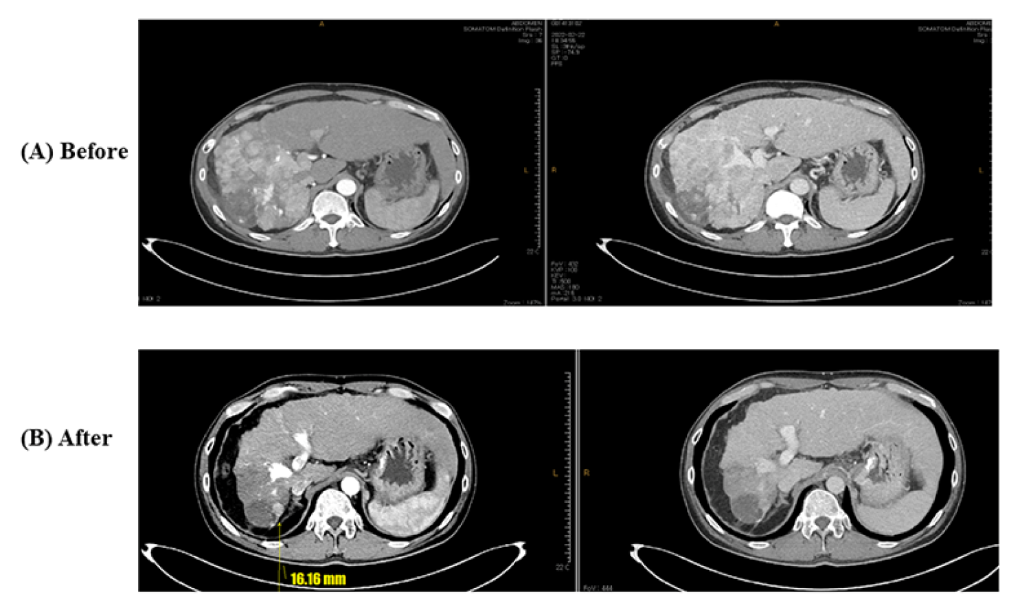
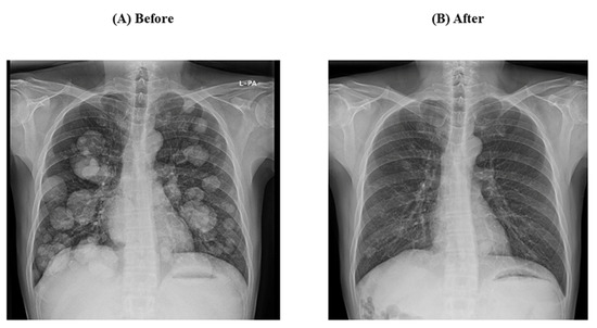
- Case 1
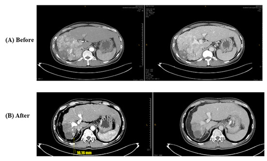
- Case 2
4. Discussion
5. Conclusions
Author Contributions
Funding
Institutional Review Board Statement
Informed Consent Statement
Data Availability Statement
Conflicts of Interest
References
- Lee, Y.R. A multidisciplinary approach with immunotherapies for advanced hepatocellular carcinoma. J. Liver Cancer 2023, 23, 316–329. [Google Scholar] [CrossRef]
- Lee, M.M.P.; Chan, L.L.; Chan, S.L. The role of lenvatinib in the era of immunotherapy of hepatocellular carcinoma. J. Liver Cancer 2023, 23, 262–271. [Google Scholar] [CrossRef] [PubMed]
- Kim, D.-H. Combination of interventional oncology local therapies and immunotherapy for the treatment of hepatocellular carcinoma. J. Liver Cancer 2022, 22, 93–102. [Google Scholar] [CrossRef] [PubMed]
- Finn, R.S.; Qin, S.; Ikeda, M.; Galle, P.R.; Ducreux, M.; Kim, T.-Y.; Kudo, M.; Breder, V.; Merle, P.; Kaseb, A.O.; et al. Atezolizumab plus Bevacizumab in Unresectable Hepatocellular Carcinoma. N. Engl. J. Med. 2020, 382, 1894–1905. [Google Scholar] [CrossRef] [PubMed]
- Korean Liver Cancer Association. National Cancer Center, 2022 KLCA-NCC Korea practice guidelines for the management of hepatocellular carcinoma. J. Liver Cancer 2023, 23, 1126. [Google Scholar]
- Totzeck, M.; Mincu, R.I.; Rassaf, T. Cardiovascular Adverse Events in Patients with Cancer Treated with Bevacizumab: A Meta-Analysis of More Than 20000 Patients. J. Am. Heart Assoc. 2017, 6, e006278. [Google Scholar] [CrossRef] [PubMed]
- Fang, P.; Hu, J.-H.; Cheng, Z.-G.; Liu, Z.-F.; Wang, J.-L.; Jiao, S.-C. Efficacy and Safety of Bevacizumab for the Treatment of Advanced Hepatocellular Carcinoma: A Systematic Review of Phase II Trials. PLoS ONE 2012, 7, e49717. [Google Scholar] [CrossRef] [PubMed]
- European Medicines Agency. Avastin: EPAR—Product Information; European Medicines Agency: Amsterdam, The Netherlands, 2022. [Google Scholar]
- FDA. Avastin US Prescribing Information (USPI); Genentech, Inc.: South San Francisco, CA, USA, 2022. [Google Scholar]
- Thabut, D.; Shah, V. Intrahepatic angiogenesis and sinusoidal remodeling in chronic liver disease: New targets for the treatment of portal hypertension? J. Hepatol. 2010, 53, 976–980. [Google Scholar] [CrossRef] [PubMed]
- Garcia, J.; Hurwitz, H.I.; Sandler, A.B.; Miles, D.; Coleman, R.L.; Deurloo, R.; Chinot, O.L. Bevacizumab (Avastin®) in cancer treatment: A review of 15 years of clinical experience and future outlook. Cancer Treat. Rev. 2020, 86, 102017. [Google Scholar] [CrossRef] [PubMed]
- Ellis, L.M.; Curley, S.A.; Grothey, A. Surgical Resection after Downsizing of Colorectal Liver Metastasis in the Era of Bevacizumab. J. Clin. Oncol. 2005, 23, 4853–4855. [Google Scholar] [CrossRef] [PubMed]
- Furusawa, A.; Naganuma, A.; Suzuki, Y.; Hoshino, T.; Yasuoka, H.; Tamura, Y.; Naruse, H.; Hatanaka, T.; Kakizaki, S. Two cases of rapid progression of esophageal varices after atezolizumab–bevacizumab treatment for hepatocellular carcinoma. Clin. J. Gastroenterol. 2022, 15, 451–459. [Google Scholar] [CrossRef] [PubMed]
- Suzuki, H.; Iwamoto, H.; Shimose, S.; Niizeki, T.; Shirono, T.; Noda, Y.; Kamachi, N.; Yamaguchi, T.; Nakano, M.; Kuromatsu, R.; et al. Case Report: Exacerbation of varices following atezolizumab plus bevacizumab treatment of hepatocellular carcinoma: A case series and literature review. Front. Oncol. 2022, 12, 948293. [Google Scholar] [CrossRef] [PubMed]
- Lee, Y.-C.; Huang, W.-T.; Lee, M.-Y.; Tsao, C.-J.; Feng, Y.-H. Bevacizumab and Atezolizumab for Unresectable Hepatocellular Carcinoma: Real-world Data in Taiwan-Tainan Medical Oncology Group H01 Trial. In Vivo 2023, 37, 454–460. [Google Scholar] [CrossRef] [PubMed]
- Morris, K.A.; Golding, J.F.; Axon, P.R.; Afridi, S.; Blesing, C.; Ferner, R.E.; Halliday, D.; Jena, R.; Pretorius, P.M.; Evans, D.G.; et al. Bevacizumab in neurofibromatosis type 2 (NF2) related vestibular schwannomas: A nationally coordinated approach to delivery and prospective evaluation. Neuro-Oncol. Pract. 2016, 3, 281–289. [Google Scholar] [CrossRef] [PubMed]
- Jakab, S.S.; Garcia-Tsao, G. Screening and Surveillance of Varices in Patients with Cirrhosis. Clin. Gastroenterol. Hepatol. 2019, 17, 26–29. [Google Scholar] [CrossRef] [PubMed]
- Ha, Y.; Kim, J.H.; Cheon, J.; Jeon, G.S.; Kim, C.; Chon, H.J. Risk of Variceal Bleeding in Patients with Advanced Hepatocellular Carcinoma Receiving Atezolizumab/Bevacizumab. Clin. Gastroenterol. Hepatol. 2023, 21, 2421–2423.e2. [Google Scholar] [CrossRef] [PubMed]




Disclaimer/Publisher’s Note: The statements, opinions and data contained in all publications are solely those of the individual author(s) and contributor(s) and not of MDPI and/or the editor(s). MDPI and/or the editor(s) disclaim responsibility for any injury to people or property resulting from any ideas, methods, instructions or products referred to in the content. |
© 2024 by the authors. Licensee MDPI, Basel, Switzerland. This article is an open access article distributed under the terms and conditions of the Creative Commons Attribution (CC BY) license (https://creativecommons.org/licenses/by/4.0/).
Share and Cite
Yeom, K.-M.; Song, Y.-G.; Yoo, J.-J.; Kim, S.G.; Kim, Y.S. Reduced-Dose or Discontinuation of Bevacizumab Might Be Considered after Variceal Bleeding in Patients with Hepatocellular Carcinoma Receiving Atezolizumab/Bevacizumab: Case Reports. Medicina 2024, 60, 157. https://doi.org/10.3390/medicina60010157
Yeom K-M, Song Y-G, Yoo J-J, Kim SG, Kim YS. Reduced-Dose or Discontinuation of Bevacizumab Might Be Considered after Variceal Bleeding in Patients with Hepatocellular Carcinoma Receiving Atezolizumab/Bevacizumab: Case Reports. Medicina. 2024; 60(1):157. https://doi.org/10.3390/medicina60010157
Chicago/Turabian StyleYeom, Kyeong-Min, Young-Gi Song, Jeong-Ju Yoo, Sang Gyune Kim, and Young Seok Kim. 2024. "Reduced-Dose or Discontinuation of Bevacizumab Might Be Considered after Variceal Bleeding in Patients with Hepatocellular Carcinoma Receiving Atezolizumab/Bevacizumab: Case Reports" Medicina 60, no. 1: 157. https://doi.org/10.3390/medicina60010157
APA StyleYeom, K.-M., Song, Y.-G., Yoo, J.-J., Kim, S. G., & Kim, Y. S. (2024). Reduced-Dose or Discontinuation of Bevacizumab Might Be Considered after Variceal Bleeding in Patients with Hepatocellular Carcinoma Receiving Atezolizumab/Bevacizumab: Case Reports. Medicina, 60(1), 157. https://doi.org/10.3390/medicina60010157

