Bone Remodeling in Osteoarthritis—Biological and Radiological Aspects
Abstract
1. Introduction
2. Bone Modeling and Remodeling in Osteoarthritis
3. Osteophytes Morphology and Development
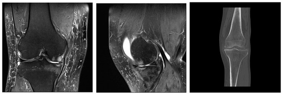
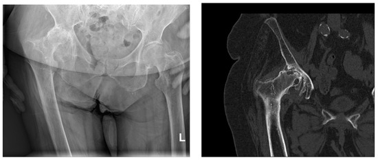
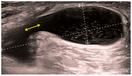
4. Radiological Characteristics of Osteoarthritis
5. Conclusions
Author Contributions
Funding
Institutional Review Board Statement
Informed Consent Statement
Data Availability Statement
Acknowledgments
Conflicts of Interest
References
- Đudarić, L. Izražaj Osteoniduktivnih Proteina I Njihovih Inhibitora Tijekom Osteogeneze. Ph.D. Thesis, Medicinski Fakultet Sveučilišta u Rijeci, Rijeka, Croatia, 2014. [Google Scholar]
- Lian, J.B.; Stein, G.S. Osteoblast Biology. In Osteoporosis; Marcus, R., Feldman, D., Kelsey, J., Eds.; Academic Press Inc.: San Diego, CA, USA, 1996; pp. 23–35. [Google Scholar]
- Đudarić, L.; Zoričić Cvek, S.; Cvijanović, O.; Fužinac-Smojver, A.; Ćelić, T.; Martinović, D. Osnove biologije koštanog tkiva. Med. Flum. 2014, 50, 21–38. [Google Scholar]
- Zoričić Cvek, S.; Bobinac, D.; Đudarić, L.; Cvijanović, O. Pregradnja koštanog sustava. Med. Flum. 2015, 51, 482–493. [Google Scholar]
- Becker, K.L. Principles and Practice of Endocrinology and Metabolism; Lippincott Williams & Wilkins: Philadelphia, PA, USA, 2001. [Google Scholar]
- Haapasalo, H.; Kontulainen, S.; Sievänen, H.; Kannus, P.; Järvinen, M.; Vuori, I. Exercise-induced bone gain is due to enlargement in bone size without a change in volumetric bone density: A peripheral quantitative computed tomography study of the upper arms of male tennis players. Bone 2000, 27, 351–357. [Google Scholar] [CrossRef]
- Bass, S.L.; Saxon, L.; Daly, R.M.; Turner, C.H.; Robling, A.G.; Seeman, E.; Stuckey, S. The effect of mechanical loading on the size and shape of bone in pre-, peri-, and postpubertal girls: A study in tennis players. J. Bone Miner. Res. 2002, 17, 2274–2280. [Google Scholar] [CrossRef]
- Zebaze, R.M.; Jones, A.; Knackstedt, M.; Maalouf, G.; Seeman, E. Construction of the femoral neck during growth determines its strength in old age. J. Bone Miner. Res. 2007, 22, 1055–1061. [Google Scholar] [CrossRef] [PubMed]
- Milz, S.; Putz, R. Quantitative morphology of the subchondral plate of the tibial plateau. J. Anat. 1994, 185, 103–110. [Google Scholar]
- Eckstein, F.; Milz, S.; Hermann, A.; Putz, R. Thickness of the subchondral mineralised tissue zone (SMZ) in normal male and female and pathological human patellae. J. Anat. 1998, 192, 81–90. [Google Scholar] [CrossRef]
- Clark, J.M.; Huber, J.D. The structure of the human subchondral plate. J. Bone Jt. Surg. 1990, 72, 866–873. [Google Scholar] [CrossRef]
- Brown, T.D.; Vrahas, M.S. The apparent elastic modulus of the juxtarticular subchondral bone of the femoral head. J. Orthop. Res. 1984, 2, 32–38. [Google Scholar] [CrossRef]
- Brandt, K.D.; Myers, S.L.; Burr, D.; Albrecht, M. Osteoarthritic changes in canine articular cartilage, subchondral bone, and synovium fifty-four months after transaction of the anterior cruciate ligament. Arthritis Rheum. 1991, 34, 1560–1570. [Google Scholar] [CrossRef]
- Dedrick, D.K.; Goldstein, S.A.; Brandt, K.D.; O’Connor, B.L.; Goulet, R.W.; Albrecht, M. A longitudinal study of subchondral plate and trabecular bone in cruciate-deficient dogs with osteoarthritis followed up for 54 months. Arthritis Rheum. 1993, 36, 1460–1467. [Google Scholar] [CrossRef] [PubMed]
- Burr, D.B.; Gallant, M.A. Bone remodelling in osteoarthritis. Nat. Rev. Rheumatol. 2012, 8, 665–673. [Google Scholar] [CrossRef] [PubMed]
- Intema, F.; Sniekers, Y.H.; Weinans, H.; Vianen, M.E.; Yocum, S.A.; Zuurmond, A.M.M.; DeGroot, J.; Lafeber, F.P.; Mastbergen, S.C. Similarities and discrepancies in subchondral bone structure in two differently induced canine models of osteoarthritis. J. Bone Miner. Res. 2010, 25, 1650–1657. [Google Scholar] [CrossRef]
- Zhu, S.; Zhu, J.; Zhen, G.; Hu, Y.; An, S.; Li, Y.; Zheng, Q.; Chen, Z.; Yang, Y.; Wan, M.; et al. Subchondral bone osteoclasts induce sensory innervation and osteoarthritis pain. J. Clin. Investig. 2019, 129, 1076–1093. [Google Scholar] [CrossRef] [PubMed]
- Sniekers, Y.H.; Intema, F.; Lafeber, F.P.; van Osch, G.J.; van Leeuwen, J.P.; Weinans, H.; Mastbergen, S.C. A role for subchondral bone changes in the process of osteoarthritis; a micro-CT study of two canine models. BME Musculoskelet. Disord. 2008, 9, 20. [Google Scholar] [CrossRef] [PubMed]
- Bellido, M.; Lugo, L.; Roman-Blas, J.A.; Castañeda, S.; Caeiro, J.R.; Dapia, S.; Calvo, E.; Largo, R.; Herrero-Beaumont, G. Subchondral bone microstructural damage by increased remodeling aggravates experimental osteoarthritis preceded by osteoporosis. Arthritis Res. Ther. 2010, 12, R152. [Google Scholar] [CrossRef]
- Bettica, P.; Cline, G.; Hart, D.J.; Meyer, J.; Spector, T.D. Evidence for increased bone resorption in patients with progressive knee osteoarthritis: Longitudinal results from the Chingford study. Arthritis Rheum. 2002, 46, 3178–3184. [Google Scholar] [CrossRef]
- Bolbos, R.I.; Zuo, J.; Banerjee, S.; Link, T.M.; Ma, C.B.; Li, X.; Majumdar, S. Relationship between trabecular bone structure and articular cartilage morphology and relaxation times in early OA of the knee joint using parallel MRI at 3T. Osteoarthr. Cartil. 2008, 16, 1150–1159. [Google Scholar] [CrossRef]
- Mansell, J.P.; Collins, C.; Bailey, A.J. Bone, not cartilage, should be the major focus in osteoarthritis. Nat. Clin. Pract. Rheum. 2007, 3, 306–307. [Google Scholar] [CrossRef]
- Massicotte, F.; Lajeunesse, D.; Benderdour, M.; Pelletier, J.P.; Hilal, G.; Duval, N.; Martel-Pelletier, J. Can altered production of interleukin-1β, interleukin-6, transforming growth factor-β, and prostaglandin E2 by isolated human subchondral osteoblasts identify two subgroups of osteoarthritic patients. Osteoarthr. Cartil. 2002, 10, 491–500. [Google Scholar] [CrossRef]
- Cox, L.G.E.; van Donkelaar, C.C.; van Rietbergen, B.; Emans, P.J.; Ito, K. Decreased bone tissue mineralization can partly explain subchondral sclerosis observed in osteoarthritis. Bone 2012, 50, 1152–1161. [Google Scholar] [CrossRef] [PubMed]
- Nakashima, T.; Hayashi, M.; Fukunaga, T.; Kurata, K.; Oh-Hora, M.; Feng, J.Q.; Bonewald, L.F.; Kodama, T.; Wutz, A.; Wagner, E.F.; et al. Evidence for osteocyte regulation of bone homeostasis through RANKL expression. Nat. Med. 2011, 17, 1231–1234. [Google Scholar] [CrossRef] [PubMed]
- Kennedy, O.D.; Herman, B.C.; Laudier, M.D. Activation of resorption in fatigue-loaded bone involves both apoptosis and active pro-osteoclastogenic signaling by distinct osteocyte cell populations. Bone 2012, 50, 1115–1122. [Google Scholar] [CrossRef] [PubMed]
- Brown, R.A.; Tomlinson, I.W.; Hill, C.R.; Weiss, J.B.; Phillips, P.; Kumar, S. Relationship of angiogenesis factor in synovial fluid to various joint diseases. Ann. Rheum. Dis. 1983, 42, 301–307. [Google Scholar] [CrossRef]
- Pan, J.; Zhou, X.; Li, W. In situ measurement of transport between subchondral bone and articular cartilage. J. Orthop. Res. 2009, 27, 1347–1352. [Google Scholar] [CrossRef]
- Hwang, J.; Bae, W.C.; Shieu, W.; Lewis, C.W.; Bugbee, W.D.; Sah, R.L. Increased hydraulic conductance of human articular cartilage and subchondral bone plate with progression of osteoarthritis. Arthritis Rheum. 2008, 58, 3831–3842. [Google Scholar] [CrossRef]
- Pan, J.; Wang, B.; Li, W.; Zhou, X.; Scherr, T.; Yang, Y.; Price, C.; Wang, L. Elevated cross-talk between subchondral bone and cartilage in osteoarthritic joints. Bone 2012, 51, 212–217. [Google Scholar] [CrossRef]
- Fazzalari, N.; Parkinson, I.H. Fractal properties of subchondral cancellous bone in severe osteoarthritis of the hip. J. Bone Miner. Res. 1997, 12, 632–640. [Google Scholar] [CrossRef]
- Arden, N.K.; Griffiths, G.O.; Hart, D.J.; Doyle, D.V.; Spector, T.D. The association between osteoarthritis and osteoporotic fracture: The Chingford study. Br. J. Rheumatol. 1996, 35, 1299–1304. [Google Scholar] [CrossRef][Green Version]
- Hannan, M.T.; Anderson, J.J.; Zhang, Y.; Levy, D.; Felson, D.T. Bone mineral density and knee osteoarthritis in elderly men and women. The Framingham Study. Arthritis Rheum. 1993, 36, 1671–1680. [Google Scholar] [CrossRef]
- Grynpas, M.; Alpert, B.; Katz, I.; Lieberman, I.; Pritzker, K.P.H. Subchondral bone in osteoarthritis. Calcif. Tissue Int. 1991, 49, 20–26. [Google Scholar] [CrossRef]
- Chan, T.F.; Couchourel, D.; Abed, E.; Delalandre, A.; Duval, N.; Lajeunesse, D. Elevated Dickkopf-2 levels contribute to the abnormal phenotype of human osteoarthritic osteoblasts. J. Bone Miner. Res. 2011, 26, 1399–1410. [Google Scholar] [CrossRef] [PubMed]
- Li, X.; Liu, P.; Liu, W.; Maye, P.; Zhang, J.; Zhang, Y.; Hurley, M.; Guo, C.; Boskey, A.; Sun, L.; et al. Dkk2 has a role in terminal osteoblast differentiation and mineralized matrix formation. Nat. Genet. 2005, 37, 945–952. [Google Scholar] [CrossRef]
- Moskowitz, R.W. Bone remodeling in osteoarthritis: Subchondral and osteophytic responses. Osteoarthr. Cartil. 1999, 7, 323–324. [Google Scholar] [CrossRef]
- Bullough, P. The pathology of osteoarthritis. In Osteoarthritis; Moskowitz, R., Howell, D., Goldberg, V., Mankin, H., Eds.; W.B. Saunders: Philadelphia, PA, USA, 1992; pp. 39–69. [Google Scholar]
- Matyas, J.R.; Sandell, L.J.; Adams, M.E. Gene expression of type II collagens in chondro-osteophytes in experimental osteoarthritis. Osteoarthr. Cartil. 1997, 5, 99–105. [Google Scholar] [CrossRef] [PubMed]
- Tardif, G.; Pelletier, J.P.; Boileau, C.; Martel-Pelletier, J. The BMP antagonists follistatin and gremlin in normal and early osteoarthritic cartilage: An immunohistochemical study. Osteoarthr. Cartil. 2009, 17, 263–270. [Google Scholar] [CrossRef] [PubMed]
- van Beuningen, H.M.; Glansbeek, H.L.; van der Kraan, P.M.; van den Berg, W.B. Differential effects of local application of BMP-2 or TGF-beta 1 on both articular cartilage composition and osteophyte formation. Osteoarthr. Cartil. 1998, 6, 306–317. [Google Scholar] [CrossRef]
- Langenskiöld, A.; Michelsson, J.E.; Videman, T. Osteoarthritis of the knee in the rabbit produced by immobilization. Attempts to achieve a reproducible model for studies on pathogenesis and therapy. Acta Orthop. Scand. 1979, 50, 1–14. [Google Scholar] [CrossRef]
- Dumic-Cule, I.; Brkljacic, J.; Rogic, D.; Bordukalo Niksic, T.; Tikvica Luetic, A.; Draca, N.; Kufner, V.; Trkulja, V.; Grgurevic, L.; Vukicevic, S. Systemically available bone morphogenetic protein two and seven affect bone metabolism. Int. Orthop. 2014, 38, 1979–1985. [Google Scholar] [CrossRef] [PubMed][Green Version]
- Dumic-Cule, I.; Peric, M.; Kucko, L.; Grgurevic, L.; Pecina, M.; Vukicevic, S. Bone morphogenetic proteins in fracture repair. Int. Orthop. 2018, 42, 2619–2626. [Google Scholar] [CrossRef]
- van der Kraan, P.M.; van den Berg, W.B. Osteophytes: Relevance and biology. Osteoarthr. Cartil. 2007, 15, 237–244. [Google Scholar] [CrossRef] [PubMed]
- Neuman, P.; Hulth, A.; Lindén, B.; Johnell, O.; Dahlberg, L. The role of osteophytic growth in hip osteoarthritis. Int. Orthop. 2003, 27, 262–266. [Google Scholar] [CrossRef] [PubMed][Green Version]
- Hanada, K.; Solchaga, L.A.; Caplan, A.I.; Hering, T.M.; Goldberg, V.M.; Yoo, J.U.; Johnstone, B. BMP-2 induction and TGF-beta 1 modulation of rat periosteal cell chondrogenesis. J. Cell Biochem. 2001, 81, 284–294. [Google Scholar] [CrossRef]
- Uusitalo, H.; Hiltunen, A.; Ahonen, M.; Kahari, V.M.; Aro, H.; Vuorio, E. Induction of periosteal callus formation by bone morphogenetic protein-2 employing adenovirusmediated gene delivery. Matrix Biol. 2001, 20, 123–127. [Google Scholar] [CrossRef]
- Iwasaki, M.; Nakahara, H.; Nakase, T.; Kimura, T.; Takaoka, K.; Caplan, A.I.; Ono, K. Bone morphogenetic protein 2 stimulates osteogenesis but does not affect chondrogenesis in osteochondrogenic differentiation of periosteum-derived cells. J. Bone Miner. Res. 1994, 9, 1195–1204. [Google Scholar] [CrossRef] [PubMed]
- Shirasawa, S.; Sekiya, I.; Sakaguchi, Y.; Yagishita, K.; Ichinose, S.; Muneta, T. In vitro chondrogenesis of human synovium-derived mesenchymal stem cells: Optimal condition and comparison with bone marrowderived cells. J. Cell Biochem. 2006, 97, 84–97. [Google Scholar] [CrossRef] [PubMed]
- Joyce, M.E.; Roberts, A.B.; Sporn, M.B.; Bolander, M.E. Transforming growth factor-beta and the initiation of chondrogenesis and osteogenesis in the rat femur. J. Cell Biol. 1990, 110, 2195–2207. [Google Scholar] [CrossRef]
- Anderson-MacKenzie, J.M.; Quasnichka, H.L.; Starr, R.L.; Lewis, E.J.; Billingham, M.E.; Bailey, A.J. Fundamental subchondral bone changes in spontaneous knee osteoarthritis. Int. J. Biochem. Cell Biol. 2005, 37, 224–236. [Google Scholar] [CrossRef]
- Hayami, T.; Pickarski, M.; Zhuo, Y.; Wesolowski, G.A.; Rodan, G.A.; Duong, L.T. Characterization of articular cartilage and subchondral bone changes in the rat anterior cruciate ligament transection and meniscectomized models of osteoarthritis. Bone 2006, 38, 234–243. [Google Scholar] [CrossRef]
- Xu, L.; Hayashi, D.; Roemer, F.W.; Felson, D.T.; Guermazi, A. Magnetic resonance imaging of subchondral bone marrow lesions in association with osteoarthritis. Semin. Arthritis Rheum. 2012, 42, 105–118. [Google Scholar] [CrossRef]
- Kellgren, J.H.; Lawrence, J.S. Radiological assessment of osteo-arthrosis. Ann. Rheum. Dis. 1957, 16, 494–502. [Google Scholar] [CrossRef] [PubMed]
- NICE. Osteoarthritis in over 16s: Diagnosis and Management; National Institute for Health and Care Excellence (NICE): London, UK, 2022. [Google Scholar]
- Martel-Pelletier, J.; Maheu, E.; Pelletier, J.P.; Alekseeva, L.; Mkinsi, O.; Branco, J.; Monod, P.; Planta, F.; Reginster, J.Y.; Rannou, F. A new decision tree for diagnosis of osteoarthritis in primary care: International consensus of experts. Aging Clin. Exp. Res. 2019, 31, 19–30. [Google Scholar] [CrossRef] [PubMed]





Disclaimer/Publisher’s Note: The statements, opinions and data contained in all publications are solely those of the individual author(s) and contributor(s) and not of MDPI and/or the editor(s). MDPI and/or the editor(s) disclaim responsibility for any injury to people or property resulting from any ideas, methods, instructions or products referred to in the content. |
© 2023 by the authors. Licensee MDPI, Basel, Switzerland. This article is an open access article distributed under the terms and conditions of the Creative Commons Attribution (CC BY) license (https://creativecommons.org/licenses/by/4.0/).
Share and Cite
Dudaric, L.; Dumic-Cule, I.; Divjak, E.; Cengic, T.; Brkljacic, B.; Ivanac, G. Bone Remodeling in Osteoarthritis—Biological and Radiological Aspects. Medicina 2023, 59, 1613. https://doi.org/10.3390/medicina59091613
Dudaric L, Dumic-Cule I, Divjak E, Cengic T, Brkljacic B, Ivanac G. Bone Remodeling in Osteoarthritis—Biological and Radiological Aspects. Medicina. 2023; 59(9):1613. https://doi.org/10.3390/medicina59091613
Chicago/Turabian StyleDudaric, Luka, Ivo Dumic-Cule, Eugen Divjak, Tomislav Cengic, Boris Brkljacic, and Gordana Ivanac. 2023. "Bone Remodeling in Osteoarthritis—Biological and Radiological Aspects" Medicina 59, no. 9: 1613. https://doi.org/10.3390/medicina59091613
APA StyleDudaric, L., Dumic-Cule, I., Divjak, E., Cengic, T., Brkljacic, B., & Ivanac, G. (2023). Bone Remodeling in Osteoarthritis—Biological and Radiological Aspects. Medicina, 59(9), 1613. https://doi.org/10.3390/medicina59091613

