Disseminated Herpes Zoster Following Protein Subunit and mRNA COVID-19 Vaccination in Immunocompetent Patients: Report of Two Cases and Literature Review
Abstract
:1. Introduction
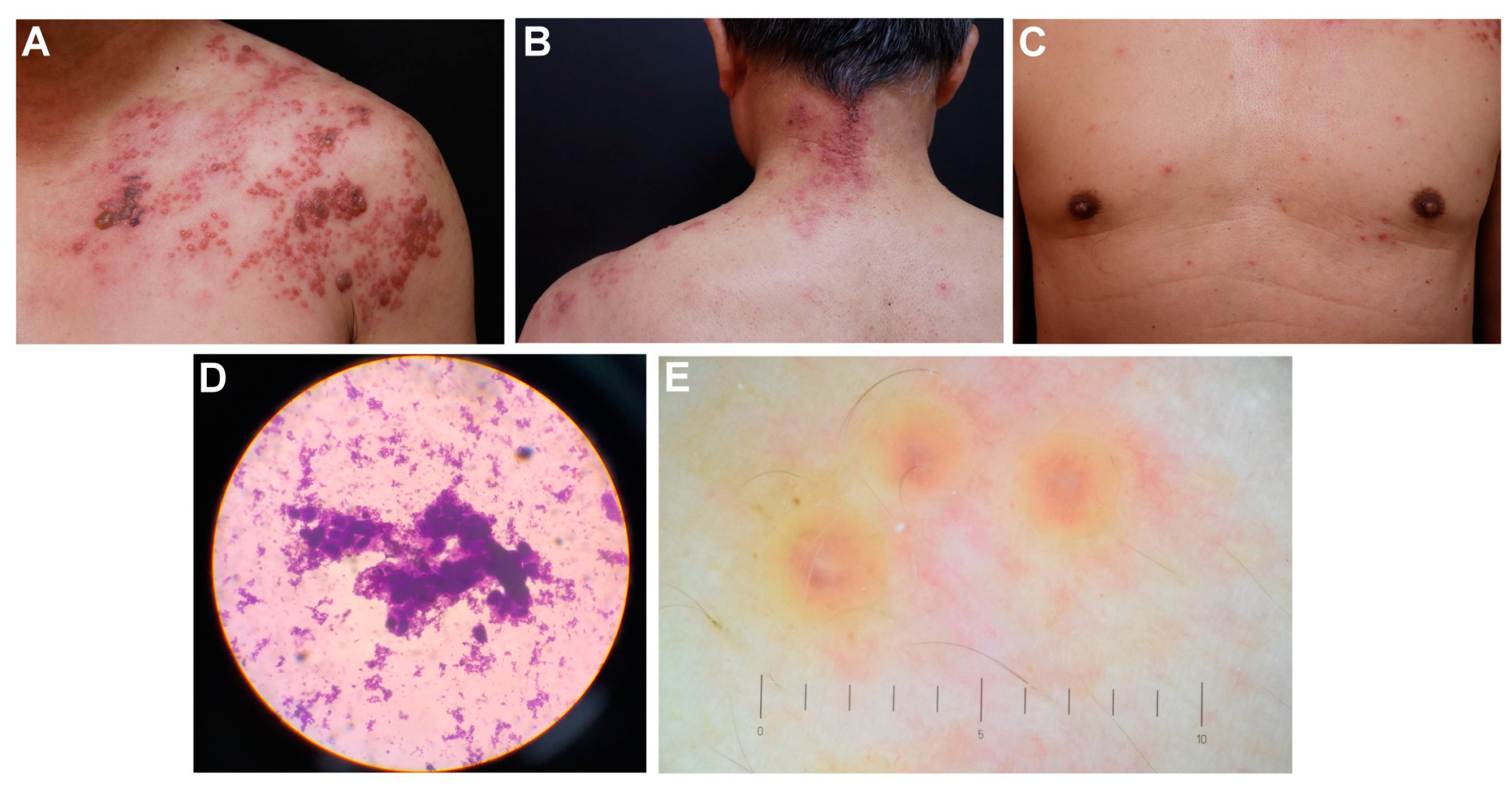
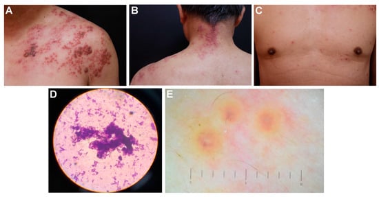
2. Case Reports
3. Discussion
4. Conclusions
Author Contributions
Funding
Institutional Review Board Statement
Informed Consent Statement
Data Availability Statement
Acknowledgments
Conflicts of Interest
References
- Gambichler, T.; Boms, S.; Susok, L.; Dickel, H.; Finis, C.; Abu Rached, N.; Barras, M.; Stücker, M.; Kasakovski, D. Cutaneous findings following COVID-19 vaccination: Review of world literature and own experience. J. Eur. Acad. Dermatol. Venereol. 2022, 36, 172–180. [Google Scholar] [CrossRef] [PubMed]
- Català, A.; Muñoz-Santos, C.; Galván-Casas, C.; Roncero Riesco, M.; Revilla Nebreda, D.; Solá-Truyols, A.; Giavedoni, P.; Llamas-Velasco, M.; González-Cruz, C.; Cubiró, X.; et al. Cutaneous reactions after SARS-CoV-2 vaccination: A cross-sectional Spanish nationwide study of 405 cases. Br. J. Dermatol. 2022, 186, 142–152. [Google Scholar] [CrossRef]
- Katsikas Triantafyllidis, K.; Giannos, P.; Mian, I.T.; Kyrtsonis, G.; Kechagias, K.S. Varicella zoster virus reactivation following COVID-19 vaccination: A systematic review of case reports. Vaccines 2021, 9, 1013. [Google Scholar] [CrossRef] [PubMed]
- Lladó, I.; Fernández-Bernáldez, A.; Rodríguez-Jiménez, P. Varicella zoster virus reactivation and mRNA vaccines as a trigger. J. Am. Acad. Dermatol. Case Rep. 2021, 15, 62–63. [Google Scholar] [CrossRef] [PubMed]
- Bollea-Garlatti, M.L.; Bollea-Garlatti, L.A.; Vacas, A.S.; Torre, A.C.; Kowalczuk, A.M.; Galimberti, R.L.; Ferreyro, B.L. Clinical characteristics and outcomes in a population with disseminated herpes zoster: A retrospective cohort study. Actas Dermosifiliogr. 2017, 108, 145–152. [Google Scholar] [CrossRef]
- Zengarini, C.; Misciali, C.; Ferrari, T.; Dika, E.; La Placa, M.; Piraccini, B.M.; Baraldi, C. Disseminated herpes zoster in an immune-competent patient after SARS-CoV-2 vaccine (BNT162b2 Comirnaty, Pfizer). J. Eur. Acad. Dermatol. Venereol. 2022, 36, e622–e623. [Google Scholar] [CrossRef]
- Riazuddin, M.; Jefri, M.H.; Butt, M.I.; Alsalamah, H.I.; Ali Sheikh, A.N.M. A case of disseminated herpes zoster with polyneuropathy following the third dose of the Pfizer-BioNTech vaccine. Cureus 2023, 15, e33962. [Google Scholar] [CrossRef]
- Jiang, Z.H.; Wong, L.S.; Lee, C.H.; Hsu, T.J.; Yu, Y.H. Disseminated and localised herpes zoster following Oxford-AstraZeneca COVID-19 vaccination. Indian J. Dermatol. Venereol. Leprol. 2022, 88, 445. [Google Scholar] [CrossRef]
- Zhang, L.W.; Fu, L.X.; Meng, H.M.; Lu, Y.H.; Chen, T. Disseminated herpes zoster following inactivated SARS-CoV-2 vaccine in a healthy old man. Eur. J. Dermatol. 2022, 32, 415–416. [Google Scholar] [CrossRef]
- Heidary, M.; Kaviar, V.H.; Shirani, M.; Ghanavati, R.; Motahar, M.; Sholeh, M.; Ghahramanpour, H.; Khoshnood, S. A comprehensive review of the protein subunit vaccines against COVID-19. Front. Microbiol. 2022, 13, 927306. [Google Scholar] [CrossRef]
- Estephan, L.; Liu, L.T.; Lien, C.E.; Smith, E.R.; Gurwith, M.; Chen, R.T. A Brighton Collaboration standardized template with key considerations for a benefit/risk assessment for the Medigen COVID-19 protein vaccine. Vaccine 2023, 41, 2615–2629. [Google Scholar] [CrossRef] [PubMed]
- Chiriac, A.; Chiriac, A.E.; Podoleanu, C.; Stolnicu, S. Disseminated cutaneous herpes zoster-a frequently misdiagnosed entity. Int. Wound J. 2020, 17, 1089–1091. [Google Scholar] [CrossRef]
- Psichogiou, M.; Samarkos, M.; Mikos, N.; Hatzakis, A. Reactivation of varicella zoster virus after vaccination for SARS-CoV-2. Vaccines 2021, 9, 572. [Google Scholar] [CrossRef] [PubMed]
- Gowrishankar, K.; Steain, M.; Cunningham, A.L.; Rodriguez, M.; Blumbergs, P.; Slobedman, B.; Abendroth, A. Characterization of the host immune response in human ganglia after herpes zoster. J. Virol. 2010, 84, 8861–8870. [Google Scholar] [CrossRef] [PubMed]
- Furer, V.; Zisman, D.; Kibari, A.; Rimar, D.; Paran, Y.; Elkayam, O. Herpes zoster following BNT162b2 mRNA COVID-19 vaccination in patients with autoimmune inflammatory rheumatic diseases: A case series. Rheumatology 2021, 60, SI90–SI95. [Google Scholar] [CrossRef] [PubMed]
- Kennedy, P.G.E.; Mogensen, T.H.; Cohrs, R.J. Recent issues in varicella-zoster virus latency. Viruses 2021, 13, 2018. [Google Scholar] [CrossRef] [PubMed]
- Gerada, C.; Campbell, T.M.; Kennedy, J.J.; McSharry, B.P.; Steain, M.; Slobedman, B.; Abendroth, A. Manipulation of the innate immune response by varicella zoster virus. Front. Immunol. 2020, 11, 1. [Google Scholar] [CrossRef]
- Voisin, O.; Deluca, N.; Mahé, A.; Lelorc’h, E.; Hubert, S.; Ménage, E.; Borie, M.F.; Azria, P.; Fite, C.; Pilmis, B.; et al. Disseminated herpes zoster during COVID-19. Infect. Dis. Clin. Pract. 2021, 29, e109–e110. [Google Scholar] [CrossRef]
- Mohaghegh, F.; Hatami, P.; Aryanian, Z. Case of atypical disseminated herpes zoster in a patient with COVID-19: A diagnostic challenge in COVID era. Clin. Case Rep. 2022, 10, e05342. [Google Scholar] [CrossRef]
- Trougakos, I.P.; Terpos, E.; Alexopoulos, H.; Politou, M.; Paraskevis, D.; Scorilas, A.; Kastritis, E.; Andreakos, E.; Dimopoulos, M.A. Adverse effects of COVID-19 mRNA vaccines: The spike hypothesis. Trends Mol. Med. 2022, 28, 542–554. [Google Scholar] [CrossRef]
- Yamamoto, M.; Kase, M.; Sano, H.; Kamijima, R.; Sano, S. Persistent varicella zoster virus infection following mRNA COVID-19 vaccination was associated with the presence of encoded spike protein in the lesion. J. Cutan. Immunol. Allergy 2023, 6, 18–23. [Google Scholar] [CrossRef]
- Said, J.T.; Virgen, C.A.; Lian, C.G.; Cutler, C.S.; Merola, J.F.; LeBoeuf, N.R. Disseminated varicella-zoster virus infections following messenger RNA-based COVID-19 vaccination. JAAD Case Rep. 2021, 17, 126–129. [Google Scholar] [CrossRef] [PubMed]
- Oguzturk, H.; Kayıpmaz, A.E.; Çelik, G.K.; Korkut, S. Varicella zoster co-infection in a patient with COVID-19. Ankara Med. J. 2020, 4, 1093–1098. [Google Scholar] [CrossRef]
- Diez-Domingo, J.; Parikh, R.; Bhavsar, A.B.; Cisneros, E.; McCormick, N.; Lecrenier, N. Can COVID-19 increase the risk of herpes zoster? A narrative review. Dermatol. Ther. 2021, 11, 1119–1126. [Google Scholar] [CrossRef] [PubMed]
- Lensen, R.; Netea, M.G.; Rosendaal, F.R. Hepatitis C virus reactivation following COVID-19 vaccination—A case report. Int. Med. Case Rep. J. 2021, 14, 573–576. [Google Scholar] [CrossRef] [PubMed]
- Wu, H.Y.; Su, T.H.; Liu, C.J.; Yang, H.C.; Tsai, J.H.; Wei, M.H.; Chen, C.C.; Tung, C.C.; Kao, J.H.; Chen, P.J. Hepatitis B reactivation: A possible cause of coronavirus disease 2019 vaccine induced hepatitis. J. Formos. Med. Assoc. 2023, in press. [Google Scholar] [CrossRef] [PubMed]



| First Author | Age/Sex | Type of Vaccine | Brand Name/Company | Dose | Interval (Days) | Treatment | Chronic Disease |
|---|---|---|---|---|---|---|---|
| Lin (our case) | 64/Male | Protein subunit | MVC-COV1901/Medigen | 3 | 30 | Oral famciclovir | Unremarkable |
| Lin (our case) | 67/Male | mRNA | mRNA-1273/Moderna | 2 | 7 | Oral famciclovir | Unremarkable |
| Zengarini | 65/Male | mRNA | BNT162b2/Pfizer-BioNTech | 3 | 7 | Oral acyclovir | Unremarkable |
| Riazuddin | 65/Male | mRNA | BNT162b2/Pfizer-BioNTech | 3 | 4 | Intravenous acyclovir | Diabetes |
| Jiang | 79/Male | Viral vector | AZD 1222/AstraZeneca | 1 | 4 | Intravenous acyclovir | Parkinsonism |
| Zhang | 65/Male | Inactivated | BBV 152/Covaxin | 3 | 7 | Oral valacyclovir | Hypertension |
Disclaimer/Publisher’s Note: The statements, opinions and data contained in all publications are solely those of the individual author(s) and contributor(s) and not of MDPI and/or the editor(s). MDPI and/or the editor(s) disclaim responsibility for any injury to people or property resulting from any ideas, methods, instructions or products referred to in the content. |
© 2023 by the authors. Licensee MDPI, Basel, Switzerland. This article is an open access article distributed under the terms and conditions of the Creative Commons Attribution (CC BY) license (https://creativecommons.org/licenses/by/4.0/).
Share and Cite
Lin, C.-S.; Chang, C.-H. Disseminated Herpes Zoster Following Protein Subunit and mRNA COVID-19 Vaccination in Immunocompetent Patients: Report of Two Cases and Literature Review. Medicina 2023, 59, 1542. https://doi.org/10.3390/medicina59091542
Lin C-S, Chang C-H. Disseminated Herpes Zoster Following Protein Subunit and mRNA COVID-19 Vaccination in Immunocompetent Patients: Report of Two Cases and Literature Review. Medicina. 2023; 59(9):1542. https://doi.org/10.3390/medicina59091542
Chicago/Turabian StyleLin, Chia-Shuen, and Chung-Hsing Chang. 2023. "Disseminated Herpes Zoster Following Protein Subunit and mRNA COVID-19 Vaccination in Immunocompetent Patients: Report of Two Cases and Literature Review" Medicina 59, no. 9: 1542. https://doi.org/10.3390/medicina59091542
APA StyleLin, C.-S., & Chang, C.-H. (2023). Disseminated Herpes Zoster Following Protein Subunit and mRNA COVID-19 Vaccination in Immunocompetent Patients: Report of Two Cases and Literature Review. Medicina, 59(9), 1542. https://doi.org/10.3390/medicina59091542
