Safety and Feasibility of Transarterial Bleomycin–Lipiodol Embolization in Patients with Giant Hepatic Hemangiomas
Abstract
1. Introduction
2. Materials and Methods
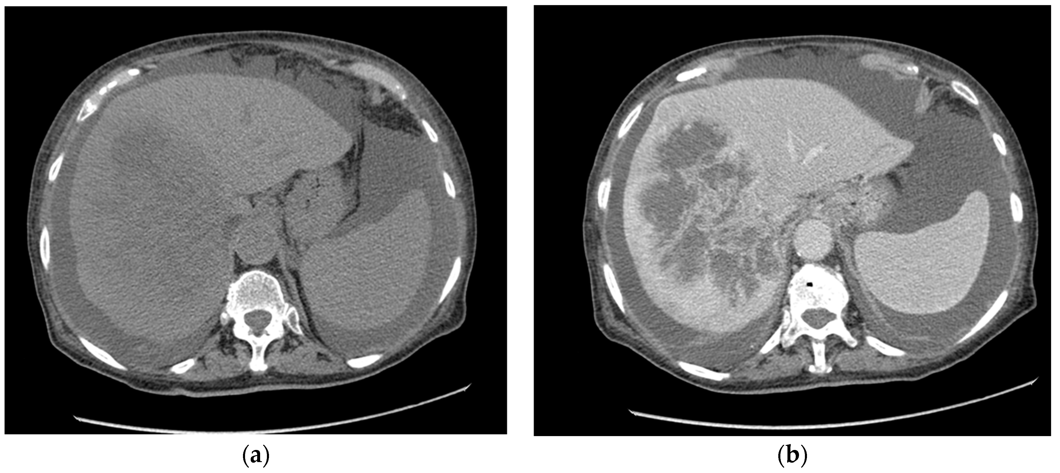
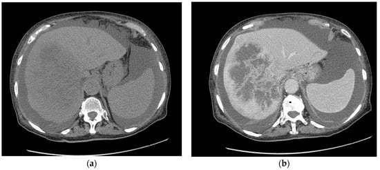
3. Results
4. Discussion
5. Conclusions
Author Contributions
Funding
Institutional Review Board Statement
Informed Consent Statement
Data Availability Statement
Conflicts of Interest
References
- Grieco, M.; Miscall, B. Giant hemangiomas of the liver. Surg. Gynecol. Obstet. 1978, 147, 783. [Google Scholar]
- Karhunen, P. Benign Hepatic tumors and tumour-like conditions in men. J. Clin. Pathol. 1986, 39, 183–188. [Google Scholar] [CrossRef] [PubMed]
- Li, Y.; Jia, Y.; Li, S.; Wang, W.; Wang, Z.; Wang, Y.; Liu, B.; Wang, W.; Chang, H.; Li, Z. Transarterial Chemoembolization of Giant Liver Haemangioma: A Multi-center Study with 836 Cases. Cell Biochem. Biophys. 2015, 73, 469–472. [Google Scholar] [CrossRef] [PubMed]
- Sharma, V.; Aggarwal, A.; Singla, R.; Kalra, N.; Chawla, Y.K. Giant Hemangioma Causing Budd-Chiari Syndrome. J. Clin. Exp. Hepatol. 2014, 4, 380–381. [Google Scholar] [CrossRef][Green Version]
- Sun, J.-H.; Nie, C.-H.; Zhang, Y.-L.; Zhou, G.-H.; Ai, J.; Zhou, T.-Y.; Zhu, T.-Y.; Zhang, A.-B.; Wang, W.-L.; Zheng, S.-S. Transcatheter Arterial Embolization Alone for Giant Hepatic Hemangioma. PLoS ONE 2015, 10, e0135158. [Google Scholar] [CrossRef] [PubMed]
- Gandolfi, L.; Leo, P.; Solmi, L.; Vitelli, E.; Verros, G.; Colecchia, A. Natural history of hepatic haemangiomas: Clinical and ultrasound study. Gut 1991, 32, 677–680. [Google Scholar] [CrossRef] [PubMed]
- Erdogan, D.; Busch, O.R.C.; Van Delden, O.M.; Bennink, R.J.; Kate, F.J.W.T.; Gouma, D.J.; Van Gulik, T.M. Management of liver hemangiomas according to size and symptoms. J. Gastroenterol. Hepatol. 2007, 22, 1953–1958. [Google Scholar] [CrossRef]
- Qiu, J.; Chen, S.; Wu, H. Quality of life can be improved by surgical management of giant hepatic haemangioma with enucleation as the preferred option. HPB 2015, 17, 490–494. [Google Scholar] [CrossRef]
- Di Carlo, I.; Toro, A. Limiting the Surgical Indications for Liver Hemangiomas May Help Surgeons and Patients. J. Am. Coll. Surg. 2011, 212, 1098–1099. [Google Scholar] [CrossRef]
- Yu, M.-C.; Lee, W.-C.; Chao, T.-C.; Chen, M.-F.; Ho, H.-Y.; Wu, T.-H. Surgical management of giant hepatic hemangiomas: Complications and review of the literature. Chang. Gung Med. J. 2012, 35, 70. [Google Scholar] [CrossRef]
- Torkian, P.; Li, J.; Kaufman, J.A.; Jahangiri, Y. Effectiveness of Transarterial Embolization in Treatment of Symptomatic Hepatic Hemangiomas: Systematic Review and Meta-analysis. Cardiovasc. Interv. Radiol. 2021, 44, 80–91. [Google Scholar] [CrossRef] [PubMed]
- Akhlaghpoor, S.; Torkian, P.; Golzarian, J. Transarterial Bleomycin–Lipiodol Embolization (B/LE) for Symptomatic Giant Hepatic Hemangioma. Cardiovasc. Interv. Radiol. 2018, 41, 1674–1682. [Google Scholar] [CrossRef]
- Yuan, B.; Zhang, J.-L.; Duan, F.; Wang, M.-Q. Medium and Long-Term Outcome of Superselective Transcatheter Arterial Embolization with Lipiodol–Bleomycin Emulsion for Giant Hepatic Hemangiomas: Results in 241 Patients. J. Clin. Med. 2022, 11, 4762. [Google Scholar] [CrossRef]
- Idée, J.-M.; Guiu, B. Use of Lipiodol as a drug-delivery system for transcatheter arterial chemoembolization of hepatocellular carcinoma: A review. Crit. Rev. Oncol. Hematol. 2013, 88, 530–549. [Google Scholar] [CrossRef] [PubMed]
- Duxbury, M.S.; Garden, O.J. Giant haemangioma of the liver: Observation or resection? Dig. Surg. 2010, 27, 7–11. [Google Scholar] [CrossRef]
- Kim, G.E.; Thung, S.N.; Tsui, W.M.S.; Ferrell, L.D. Hepatic cavernous hemangioma: Underrecognized associated histologic features. Liver Int. 2006, 26, 334–338. [Google Scholar] [CrossRef]
- Anderson, S.W.; Kruskal, J.B.; Kane, R.A. Benign Hepatic Tumors and Iatrogenic Pseudotumors. RadioGraphics 2009, 29, 211–229. [Google Scholar] [CrossRef] [PubMed]
- Perkins, A.B.; Imam, K.; Smith, W.J.; Cronan, J.J. Color and power Doppler sonography of liver hemangiomas: A dream unfulfilled? J. Clin. Ultrasound 2000, 28, 159–165. [Google Scholar] [CrossRef]
- Yamashita, Y.; Ogata, I.; Urata, J.; Takahashi, M. Cavernous hemangioma of the liver: Pathologic correlation with dynamic CT findings. Radiology 1997, 203, 121–125. [Google Scholar] [CrossRef]
- McFarland, E.G.; Mayo-Smith, W.W.; Saini, S.; Hahn, P.F.; Goldberg, M.A.; Lee, M.J. Hepatic hemangiomas and malignant tumors: Improved differentiation with heavily T2-weighted conventional spin-echo MR imaging. Radiology 1994, 193, 43–47. [Google Scholar] [CrossRef]
- Lee, M.-G.; Baker, M.E.; Sostman, H.D.; Spritzer, C.E.; Paine, S.; Paulson, E.K.; Keogan, M.T. The Diagnostic Accuracy/Efficacy of MRI in Differentiating Hepatic Hemangiomas from Metastatic Colorectal/Breast Carcinoma: A Multiple Reader ROC Analysis Using a Jackknife Technique. J. Comput. Assist. Tomogr. 1996, 20, 905–913. [Google Scholar] [CrossRef] [PubMed]
- Bozkaya, H.; Cinar, C.; Ünalp, Ö.V.; Parildar, M.; Oran, I. Unusual treatment of Kasabach–Merritt syndrome secondary to hepatic hemangioma: Embolization with bleomycin. Wien. Klin. Wochenschr. 2015, 127, 488–490. [Google Scholar] [CrossRef]
- Hall, G.W. Kasabach-merritt syndrome: Pathogenesis and management. Br. J. Haematol. 2001, 112, 851–862. [Google Scholar] [CrossRef]
- Yoon, S.S.; Charny, C.K.; Fong, Y.; Jarnagin, W.R.; Schwartz, L.H.; Blumgart, L.H.; DeMatteo, R.P. Diagnosis, management, and outcomes of 115 patients with hepatic hemangioma. J. Am. Coll. Surg. 2003, 197, 392–402. [Google Scholar] [CrossRef]
- Gao, J.; Ding, X.; Ke, S.; Xin, Z.; Ning, C.; Sha, Q.; Sun, W. Radiofrequency ablation in the treatment of large hepatic hemangiomas: A comparison of multitined and internally cooled electrodes. J. Clin. Gastroenterol. 2014, 48, 540–547. [Google Scholar] [CrossRef]
- Park, S.Y.; Tak, W.Y.; Jung, M.K.; Jeon, S.W.; Cho, C.M.; Kweon, Y.O.; Kim, K.C. Symptomatic-enlarging hepatic hemangiomas are effectively treated by percutaneous ultrasonography-guided radiofrequency ablation. J. Hepatol. 2011, 54, 559–565. [Google Scholar] [CrossRef]
- Hinshaw, J.L.; Laeseke, P.J.; Weber, S.M.; Lee, F.T., Jr. Multiple-electrode radiofrequency ablation of symptomatic hepatic cavernous hemangioma. Am. J. Roentgenol. 2007, 189, W146–W149. [Google Scholar] [CrossRef]
- Sato, M.; Tateishi, R.; Yasunaga, H.; Horiguchi, H.; Yoshida, H.; Matsuda, S.; Koike, K. Mortality and morbidity of hepatectomy, radiofrequency ablation, and embolization for hepatocellular carcinoma: A national survey of 54,145 patients. J. Gastroenterol. 2012, 47, 1125–1133. [Google Scholar] [CrossRef]
- Srivastava, D.N.; Gandhi, D.; Seith, A.; Pande, G.K.; Sahni, P. Transcatheter arterial embolization in the treatment of symptomatic cavernous hemangiomas of the liver: A prospective study. Abdom. Imaging 2001, 26, 510–514. [Google Scholar] [CrossRef] [PubMed]
- Huang, X.-Q.; Huang, Z.-Q.; Duan, W.-D.; Zhou, N.-X.; Feng, Y.-Q. Severe biliary complications after hepatic artery embolization. World J. Gastroenterol. 2002, 8, 119–123. [Google Scholar] [CrossRef] [PubMed]
- Tegtmeyer, C.; Smith, T.; Shaw, A.; Barwick, K.; Kattwinkel, J.; Tegtmeyer, T.S.C.; Woodside, J.; Schwarz, H.; Bergreen, P.; Glazer, G.; et al. Renal infarction: A complication of gelfoam embolization of a hemangioendothelioma of the liver. Am. J. Roentgenol. 1977, 128, 305–307. [Google Scholar] [CrossRef]
- Liu, X.; Yang, Z.; Tan, H.; Huang, J.; Xu, L.; Liu, L.; Si, S.; Sun, Y. Long-term result of transcatheter arterial embolization for liver hemangioma. Medicine 2017, 96, e9029. [Google Scholar] [CrossRef]
- Sainsbury, D.C.G.; Kessell, G.; Fall, A.J.; Hampton, F.J.; Guhan, A.; Muir, T. Intralesional Bleomycin Injection Treatment for Vascular Birthmarks: A 5-Year Experience at a Single United Kingdom Unit. Plast. Reconstr. Surg. 2011, 127, 2031–2044. [Google Scholar] [CrossRef] [PubMed]
- Bekci, T.; Özdemir, M.; Selim, N.M.; Danacı, M. Chemoresponsive liver hemangioma in a patient with metastatic malignant teratoma. Clin. Res. Hepatol. Gastroenterol. 2015, 39, 1–2. [Google Scholar] [CrossRef]
- Jin, S.; Shi, X.-J.; Sun, X.-D.; Wang, S.-Y.; Wang, G.-Y. Sclerosing cholangitis secondary to bleomycin-iodinated embolization for liver hemangioma. World J. Gastroenterol. 2014, 20, 17680–17685. [Google Scholar] [CrossRef]
- Özgür, Ö.; Özhan, S. Giant hepatic hemangioma treatment with transcatheter arterial embolisation and transcatheter arterial chemoembolisation: Comparative results. Turk. J. Med. Sci. 2021, 51, 2943–2950. [Google Scholar] [CrossRef]
- O’Sullivan, J.M.; Huddart, R.A.; Norman, A.R.; Nicholls, J.; Dearnaley, D.P.; Horwich, A. Predictingthe risk of bleomycin lung toxicity in patients with germ-celltumours. Ann. Oncol. 2003, 14, 91–96. [Google Scholar] [CrossRef] [PubMed]
- Cahill, B.A. Management of Patients Who Have Undergone Hepatic Artery Chemoembolization. Clin. J. Oncol. Nurs. 2005, 9, 69–75. [Google Scholar] [CrossRef] [PubMed][Green Version]
- Fiorentini, G.; Aliberti, C.; Tilli, M.; Mulazzani, L.; Graziano, F.; Giordani, P.; Mambrini, A.; Montagnani, F.; Alessandroni, P.; Catalano, V.; et al. Intra-arterial Infusion of Irinotecan-loaded Drug-elutin Beads (DEBIRI) versus Intravenous Therapy (FOLFIRI) for hepatic metastases from colorectal cancer: Final results of a phase III study. Anticancer Res. 2012, 32, 1387–1395. [Google Scholar]
- Leung, D.A.; Goin, J.E.; Sickles, C.; Raskay, B.J.; Soulen, M.C. Determinants of Postembolization Syndrome after Hepatic Chemoembolization. J. Vasc. Interv. Radiol. 2001, 12, 321–326. [Google Scholar] [CrossRef]
- Basile, A.; Carrafiello, G.; Ierardi, A.M.; Tsetis, D.; Brountzos, E. Quality-Improvement Guidelines for Hepatic Transarterial Chemoembolization. Cardiovasc. Interv. Radiol. 2012, 35, 765–774. [Google Scholar] [CrossRef] [PubMed]
- Bozkaya, H.; Cinar, C.; Besir, F.H.; Parıldar, M.; Oran, I. Minimally Invasive Treatment of Giant Haemangiomas of the Liver: Embolisation with Bleomycin. Cardiovasc. Interv. Radiol. 2013, 37, 101–107. [Google Scholar] [CrossRef] [PubMed]




| Grade | Frequency | Percent |
|---|---|---|
| 1 | 7 | 5.4 |
| 2 | 10 | 7.8 |
| 3 | 12 | 9.3 |
| 4 | 100 | 77.5 |
| Grade | Frequency | Percent |
|---|---|---|
| 0 | 70 | 56.45 |
| 1 | 35 | 28.23 |
| 2 | 11 | 8.87 |
| 3 | 8 | 6.45 |
| Characteristics | Group | Frequency | Percent |
|---|---|---|---|
| Sex | women | 49 | 67.1 |
| man | 24 | 32.9 | |
| Age | <40 years | 5 | 6.9 |
| 40–49 years | 22 | 30.1 | |
| 50–60 years | 20 | 27.4 | |
| >60 years | 26 | 35.6 | |
| Days of hospitalization | <3 | 2 | 1.6 |
| 3–5 | 112 | 86.8 | |
| >5 | 15 | 11.6 | |
| Drug coverage grade | <25% | 7 | 5.4 |
| 25–50% | 10 | 7.8 | |
| 50–75% | 12 | 9.3 | |
| >75% | 100 | 77.5 | |
| Lobe | Right | 50 | 68.5 |
| Left | 21 | 28.8 | |
| Both | 2 | 2.7 | |
| Number of procedures | 1 | 33 | 45.2 |
| 2 | 27 | 37 | |
| 3 | 10 | 13.7 | |
| 4 | 3 | 4.1 |
Disclaimer/Publisher’s Note: The statements, opinions and data contained in all publications are solely those of the individual author(s) and contributor(s) and not of MDPI and/or the editor(s). MDPI and/or the editor(s) disclaim responsibility for any injury to people or property resulting from any ideas, methods, instructions or products referred to in the content. |
© 2023 by the authors. Licensee MDPI, Basel, Switzerland. This article is an open access article distributed under the terms and conditions of the Creative Commons Attribution (CC BY) license (https://creativecommons.org/licenses/by/4.0/).
Share and Cite
Kacała, A.; Dorochowicz, M.; Patrzałek, D.; Janczak, D.; Guziński, M. Safety and Feasibility of Transarterial Bleomycin–Lipiodol Embolization in Patients with Giant Hepatic Hemangiomas. Medicina 2023, 59, 1358. https://doi.org/10.3390/medicina59081358
Kacała A, Dorochowicz M, Patrzałek D, Janczak D, Guziński M. Safety and Feasibility of Transarterial Bleomycin–Lipiodol Embolization in Patients with Giant Hepatic Hemangiomas. Medicina. 2023; 59(8):1358. https://doi.org/10.3390/medicina59081358
Chicago/Turabian StyleKacała, Arkadiusz, Mateusz Dorochowicz, Dariusz Patrzałek, Dariusz Janczak, and Maciej Guziński. 2023. "Safety and Feasibility of Transarterial Bleomycin–Lipiodol Embolization in Patients with Giant Hepatic Hemangiomas" Medicina 59, no. 8: 1358. https://doi.org/10.3390/medicina59081358
APA StyleKacała, A., Dorochowicz, M., Patrzałek, D., Janczak, D., & Guziński, M. (2023). Safety and Feasibility of Transarterial Bleomycin–Lipiodol Embolization in Patients with Giant Hepatic Hemangiomas. Medicina, 59(8), 1358. https://doi.org/10.3390/medicina59081358

