Persistent Pancytopenia as a Long-COVID Manifestation in a Patient with Adult-Onset Still’s Disease: A Case Report
Abstract
:1. Introduction
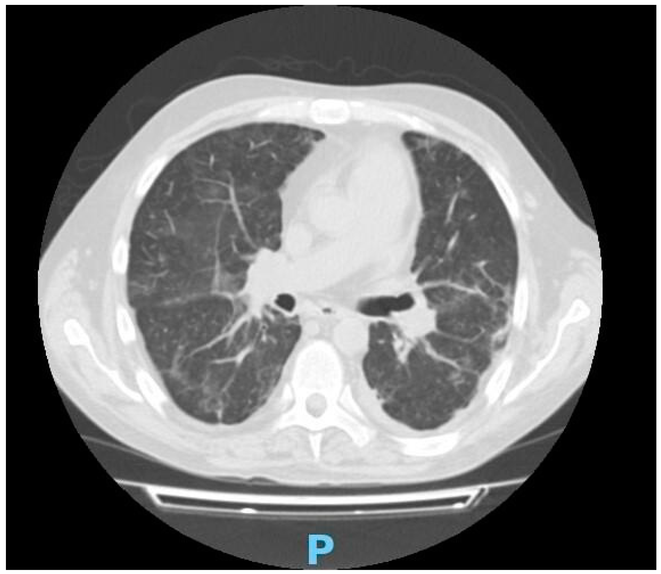
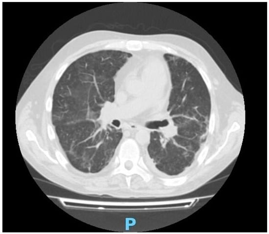
2. Case Presentation
3. Discussion
4. Conclusions
Author Contributions
Funding
Institutional Review Board Statement
Informed Consent Statement
Data Availability Statement
Conflicts of Interest
References
- Giacomelli, R.; Ruscitti, P.; Shoenfeld, Y. A comprehensive review on adult onset Still’s disease. J. Autoimmun. 2018, 93, 24–36. [Google Scholar] [CrossRef] [PubMed]
- Wang, M.-Y.; Jia, J.-C.; Yang, C.-D.; Hu, Q.-Y. Pathogenesis, disease course, and prognosis of adult-onset Still’s disease: An update and review. Chin. Med. J. 2019, 132, 2856–2864. [Google Scholar] [CrossRef] [PubMed]
- Kadavath, S.; Efthimiou, P. Adult-onset Still’s disease-pathogenesis, clinical manifestations, and new treatment options. Ann. Med. 2015, 47, 6–14. [Google Scholar] [CrossRef] [PubMed]
- Yamaguchi, M.; Ohta, A.; Tsunematsu, T.; Kasukawa, R.; Mizushima, Y.; Kashiwagi, H.; Kashiwazaki, S.; Tanimoto, K.; Matsumoto, Y.; Ota, T. Preliminary criteria for classification of adult Still’s disease. J. Rheumatol. 1992, 19, 424–430. [Google Scholar] [PubMed]
- Hu, B.; Guo, H.; Zhou, P.; Shi, Z.-L. Characteristics of SARS-CoV-2 and COVID-19. Nat. Rev. Microbiol. 2021, 19, 141–154. [Google Scholar] [CrossRef]
- Gupta, A.; Madhavan, M.V.; Sehgal, K.; Nair, N.; Mahajan, S.; Sehrawat, T.S.; Bikdeli, B.; Ahluwalia, N.; Ausiello, J.C.; Wan, E.Y.; et al. Extrapulmonary manifestations of COVID-19. Nat. Med. 2020, 26, 1017–1032. [Google Scholar] [CrossRef]
- Gnanaraj, J.; Parnes, A.; Francis, C.W.; Go, R.S.; Takemoto, C.M.; Hashmi, S.K. Approach to pancytopenia: Diagnostic algorithm for clinical hematologists. Blood Rev. 2018, 32, 361–367. [Google Scholar] [CrossRef]
- COVID-19 Rapid Guideline: Managing the Long-Term Effects of COVID-19; National Institute for Health and Care Excellence (NICE): London, UK, 2020.
- Li, M.-Y.; Li, L.; Zhang, Y.; Wang, X.-S. Expression of the SARS-CoV-2 cell receptor gene ACE2 in a wide variety of human tissues. Infect. Dis. Poverty 2020, 9, 45. [Google Scholar] [CrossRef]
- Zhao, Y.; He, J.; Wang, J.; Li, W.M.; Xu, M.; Yu, X.; Wu, W.; Sun, C.; Xu, Z.; Zhang, W.; et al. Development of pancytopenia in a patient with COVID-19. J. Med. Virol. 2021, 93, 1219–1220. [Google Scholar] [CrossRef]
- Bridwell, R.E.; Inman, B.L.; Birdsong, S.; Goss, S.; Long, B. A coronavirus disease-2019 induced pancytopenia. Am. J. Emerg. Med. 2021, 47, e1–e324. [Google Scholar] [CrossRef]
- Sharma, N.; Shukla, R.; Warrier, R.; Kumar, K.; Singh, N.; Ghose, S.; Kumar, V. Pancytopenia Secondary to SARS-CoV-2 Infection-a Case Report. SN Compr. Clin. Med. 2022, 4, 31. [Google Scholar] [CrossRef]
- Hersby, D.S.; Do, T.H.; Gang, A.O.; Nielsen, T.H. COVID-19-associated pancytopenia can be self-limiting and does not necessarily warrant bone marrow biopsy for the purposes of SARS-CoV-2 diagnostics. Ann. Oncol. 2021, 32, 121–123. [Google Scholar] [CrossRef] [PubMed]
- Issa, N.; Lacassin, F.; Camou, F. First case of persistent pancytopenia associated with SARS-CoV-2 bone marrow infiltration in an immunocompromised patient. Ann. Oncol. 2020, 31, 1418–1419. [Google Scholar] [CrossRef] [PubMed]
- Nawar, T.; Morjaria, S.; Kaltsas, A.; Patel, D.; Perez-Johnston, R.; Daniyan, A.F.; Mailankody, S.; Parameswaran, R. Granulocyte-colony stimulating factor in COVID-19: Is it stimulating more than just the bone marrow? Am. J. Hematol. 2020, 95, E210–E213. [Google Scholar] [CrossRef]
- Konopka, K.E.; Perry, W.; Huang, T.; Farver, C.F.; Myers, J.L. Usual Interstitial Pneumonia is the Most Common Finding in Surgical Lung Biopsies from Patients with Persistent Interstitial Lung Disease Following Infection with SARS-CoV-2. EClinicalMedicine 2021, 42, 101209. [Google Scholar] [CrossRef] [PubMed]
- Maccio, U.; Zinkernagel, A.S.; Schuepbach, R.; Probst-Mueller, E.; Frontzek, K.; Brugger, S.D.; Hofmaenner, D.A.; Moch, H.; Varga, Z. Long-Term Persisting SARS-CoV-2 RNA and Pathological Findings: Lessons Learnt From a Series of 35 COVID-19 Autopsies. Front. Med. 2022, 9, 778489. [Google Scholar] [CrossRef]
- Huseynov, A.; Akin, I.; Duerschmied, D.; Scharf, R.E. Cardiac Arrhythmias in Post-COVID Syndrome: Prevalence, Pathology, Diagnosis, and Treatment. Viruses 2023, 15, 389. [Google Scholar] [CrossRef] [PubMed]
- Shrestha, A.B.; Mehta, A.; Pokharel, P.; Mishra, A.; Adhikari, L.; Shrestha, S.; Yadav, R.S.; Khanal, S.; Sah, R.; Nowrouzi-Kia, B.; et al. Long COVID Syndrome and Cardiovascular Manifestations: A Systematic Review and Meta-Analysis. Diagnostics 2023, 13, 491. [Google Scholar] [CrossRef]
- Guedj, E.; Campion, J.Y.; Dudouet, P.; Kaphan, E.; Bregeon, F.; Tissot-Dupont, H.; Guis, S.; Barthelemy, F.; Habert, P.; Ceccaldi, M.; et al. 18F-FDG brain PET hypometabolism in patients with long, COVID. Eur. J. Nucl. Med. Mol. Imaging 2021, 48, 2823–2833. [Google Scholar] [CrossRef]
- Korompoki, E.; Gavriatopoulou, M.; Fotiou, D.; Ntanasis-Stathopoulos, I.; Dimopoulos, M.A.; Terpos, E. Late-onset hematological complications post COVID-19: An emerging medical problem for the hematologist. Am. J. Hematol. 2022, 97, 119–128. [Google Scholar] [CrossRef]
- Okayasu, T.; Ohta, R.; Igarashi, M.; Kurita, Y.; Hayakawa, M.; Sano, C. Coexistence of Pancytopenia and Myositis After Developing COVID-19. Cureus 2022, 14, e26978. [Google Scholar] [CrossRef]
- Wu, K.; Dansoa, Y.; Pathak, P. Pancytopenia with Development of Persistent Neutropenia Secondary to COVID-19. Case Rep. Hematol. 2022, 2022, 8739295. [Google Scholar] [CrossRef]


| Hematochemical and Biochemical Parameters | ||||
|---|---|---|---|---|
| Tests | Admission | 3 Months | 6 Months | Normal Ranges |
| Complete blood count | ||||
| Red blood cell count (106/μL) | 2.94 | 2.24 | 2.67 | 4.2–5.4 |
| Hemoglobin (g/dL) | 8.7 | 10.5 | 9.4 | 12–16 |
| White blood cells (103/μL) | 2.94 | 3.63 | 2.65 | 5.2–12.4 |
| Neutrophils (103/μL) | 1.16 | 2.06 | 1.71 | 1.9–8 |
| Lymphocytes (103/μL) | 1.46 | 1.18 | 0.62 | 0.9–5.2 |
| Monocytes (103/μL) | 0.22 | 0.27 | 0.20 | 0.16–1 |
| Eosinophils (103/μL) | 0.01 | 0.01 | 0.10 | 0–0.8 |
| Basophils (103/μL) | 0.02 | 0.03 | 0.01 | 0–0.2 |
| Platelets (103/μL) | 48 | 52 | 39 | 130–400 |
| Mean corpuscular volume (fL) | 89.6 | 93.9 | 95.6 | 81–99 |
| Mean cell hemoglobin (pg) | 29.3 | 37.2 | 35.1 | 27–31 |
| Mean corpuscular hemoglobin concentration (g/dL) | 32.7 | 37.3 | 33.3 | 31–37 |
| Ferritin (ng/mL) | 3744 | 1561 | - | 30–400 |
| C-reactive protein (mg/L) | 250 | 25.3 | <3.23 | 0–5 |
| Erythrocyte sedimentation rate (mm/h) | 42 | 4 | 10 | <30 |
| Fibrinogen (mg/dL) | 624 | 324 | 301 | 200–400 |
| Vitamin B12 (pg/mL) | 1336 | 1497 | - | 191–663 |
| Major criteria: |
|
| Minor criteria: |
|
| Exclusion criteria: |
|
| For diagnosis of AOSD: ≥5 criteria, of which at least 2 are major and no exclusion criteria. | |
Disclaimer/Publisher’s Note: The statements, opinions and data contained in all publications are solely those of the individual author(s) and contributor(s) and not of MDPI and/or the editor(s). MDPI and/or the editor(s) disclaim responsibility for any injury to people or property resulting from any ideas, methods, instructions or products referred to in the content. |
© 2023 by the authors. Licensee MDPI, Basel, Switzerland. This article is an open access article distributed under the terms and conditions of the Creative Commons Attribution (CC BY) license (https://creativecommons.org/licenses/by/4.0/).
Share and Cite
Massimino, M.; Iaquinta, F.S.; Naty, S.; Andreozzi, F.; Grembiale, R.D. Persistent Pancytopenia as a Long-COVID Manifestation in a Patient with Adult-Onset Still’s Disease: A Case Report. Medicina 2023, 59, 1349. https://doi.org/10.3390/medicina59071349
Massimino M, Iaquinta FS, Naty S, Andreozzi F, Grembiale RD. Persistent Pancytopenia as a Long-COVID Manifestation in a Patient with Adult-Onset Still’s Disease: A Case Report. Medicina. 2023; 59(7):1349. https://doi.org/10.3390/medicina59071349
Chicago/Turabian StyleMassimino, Mattia, Francesco Salvatore Iaquinta, Saverio Naty, Francesco Andreozzi, and Rosa Daniela Grembiale. 2023. "Persistent Pancytopenia as a Long-COVID Manifestation in a Patient with Adult-Onset Still’s Disease: A Case Report" Medicina 59, no. 7: 1349. https://doi.org/10.3390/medicina59071349
APA StyleMassimino, M., Iaquinta, F. S., Naty, S., Andreozzi, F., & Grembiale, R. D. (2023). Persistent Pancytopenia as a Long-COVID Manifestation in a Patient with Adult-Onset Still’s Disease: A Case Report. Medicina, 59(7), 1349. https://doi.org/10.3390/medicina59071349

