Evaluation of Preventive Role of Systemically Applied Erythropoietin after Tooth Extraction in a Bisphosphonate-Induced MRONJ Model
Abstract
1. Introduction
2. Materials and Methods
2.1. Animal Care and Procedures
2.2. Histopathological and Histomorphometric Examination
2.3. Immunohistochemical Examination
- 0 (−): 0–10% staining immunopositivity
- 1 (+): 10–25% staining immunopositivity
- 2 (++): 25–50% staining immunopositivity
- 3 (+++): 50–70% staining immunopositivity
- 4 (++++): >75% staining immunopositivity
2.4. Statistical Evaluation
3. Results
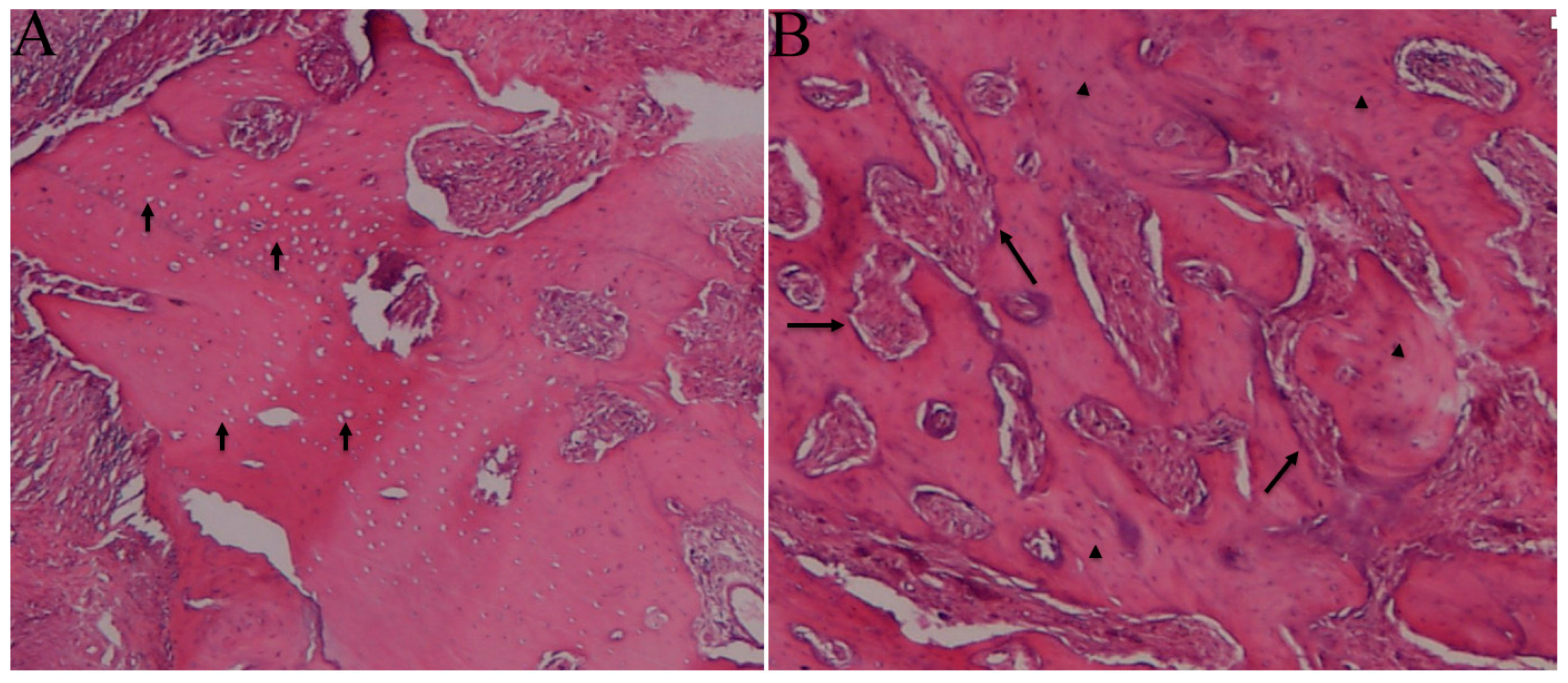
3.1. Histopathological Analysis
3.2. Histomorphometric Analysis
3.3. Immunohistochemical Analysis
4. Discussion
5. Conclusions
Author Contributions
Funding
Institutional Review Board Statement
Informed Consent Statement
Data Availability Statement
Acknowledgments
Conflicts of Interest
References
- Nussbaum, S.R.; Younger, J.; Vandepol, C.J.; Gagel, R.F.; Zubler, M.A.; Chapman, R.; Henderson, I.C.; Mallette, L.E. Single-dose intravenous therapy with pamidronate for the treatment of hypercalcemia of malignancy: Comparison of 30-, 60-, and 90-mg dosages. Am. J. Med. 1993, 95, 297–304. [Google Scholar] [CrossRef] [PubMed]
- Otto, S.; Pautke, C.; Van den Wyngaert, T.; Niepel, D.; Schiødt, M. Medication-related osteonecrosis of the jaw: Prevention, diagnosis and management in patients with cancer and bone metastases. Cancer Treat. Rev. 2018, 69, 177–187. [Google Scholar] [CrossRef]
- Ruggiero, S.L.; Dodson, T.B.; Assael, L.A.; Landesberg, R.; Marx, R.E.; Mehrotra, B.; American Association of Oral and Maxillofacial Surgeons. American Association of Oral and Maxillofacial Surgeons position paper on bisphosphonate-related osteonecrosis of the jaws—2009 update. J. Oral Maxillofac. Surg. 2009, 67 (Suppl. S5), 2–12. [Google Scholar]
- Ruggiero, S.L.; Dodson, T.B.; Fantasia, J.; Goodday, R.; Aghaloo, T.; Mehrotra, B.; O’Ryan, F.; American Association of Oral and Maxillofacial Surgeons. American Association of Oral and Maxillofacial Surgeons position paper on medication-related osteonecrosis of the jaw—2014 update. J. Oral Maxillofac. Surg. 2014, 72, 1938–1956. [Google Scholar] [CrossRef]
- Ruggiero, S.L.; Dodson, T.B.; Aghaloo, T.; Carlson, E.R.; Ward, B.B.; Kademani, D. American Association of Oral and Maxillofacial Surgeons’ Position Paper on Medication-Related Osteonecrosis of the Jaws-2022 Update. J. Oral Maxillofac. Surg. 2022, 80, 920–943. [Google Scholar] [CrossRef] [PubMed]
- Kapitola, J.; Zák, J. Effect of pamidronate on bone blood flow in oophorectomized rats. Physiol. Res. 1998, 47, 237–240. [Google Scholar] [PubMed]
- Santini, D.; Vincenzi, B.; Avvisati, G.; Dicuonzo, G.; Battistoni, F.; Gavasci, M.; Salerno, A.; Denaro, V.; Tonini, G. Pamidronate induces modifications of circulating angiogenetic factors in cancer patients. Clin. Cancer Res. 2002, 8, 1080–1084. [Google Scholar] [CrossRef]
- Vincenzi, B.; Santini, D.; Rocci, L.; Tonini, G. Bisphosphonates: New antiangiogenic molecules in cancer treatment? Ann. Oncol. 2003, 14, 806–807. [Google Scholar] [CrossRef]
- Lacombe, C.; Mayeux, P. The molecular biology of erythropoietin. Nephrol. Dial. Transplant. 1999, 14 (Suppl. S2), 22–28. [Google Scholar] [CrossRef]
- Hiram-Bab, S.; Liron, T.; Deshet-Unger, N.; Mittelman, M.; Gassmann, M.; Rauner, M.; Franke, K.; Wielockx, B.; Neumann, D.; Gabet, Y. Erythropoietin directly stimulates osteoclast precursors and induces bone loss. FASEB J. 2015, 29, 1890–1900. [Google Scholar] [CrossRef]
- Wang, L.; Wu, F.; Song, Y.; Duan, Y.; Jin, Z. Erythropoietin induces the osteogenesis of periodontal mesenchymal stem cells from healthy and periodontitis sources via activation of the p38 MAPK pathway. Int. J. Mol. Med. 2018, 41, 829–835. [Google Scholar] [CrossRef]
- McGee, S.J.; Havens, A.M.; Shiozawa, Y.; Jung, Y.; Taichman, R.S. Effects of erythropoietin on the bone microenvironment. Growth Factors 2012, 30, 22–28. [Google Scholar] [CrossRef]
- Shiozawa, Y.; Jung, Y.; Ziegler, A.M.; Pedersen, E.A.; Wang, J.; Wang, Z.; Song, J.; Wang, J.; Lee, C.H.; Sud, S.; et al. Erythropoietin couples hematopoiesis with bone formation. PLoS ONE 2010, 5, e10853. [Google Scholar] [CrossRef] [PubMed]
- Sun, H.; Jung, Y.; Shiozawa, Y.; Taichman, R.S.; Krebsbach, P.H. Erythropoietin modulates the structure of bone morphogenetic protein 2-engineered cranial bone. Tissue Eng. Part A 2012, 18, 2095–2105. [Google Scholar] [CrossRef] [PubMed]
- Erbayraktar, S.; Yilmaz, O.; Gökmen, N.; Brines, M. Erythropoietin is a multifunctional tissue-protective cytokine. Curr. Hematol. Rep. 2003, 2, 465–470. [Google Scholar] [PubMed]
- Rolfing, J.H. The effect of erythropoietin on bone. Acta Orthop. 2014, 85 (Suppl. S353), 1–27. [Google Scholar] [CrossRef]
- Mihmanli, A.; Dolanmaz, D.; Avunduk, M.C.; Erdemli, E. Effects of recombinant human erythropoietin on mandibular distraction osteogenesis. J. Oral Maxillofac. Surg. 2009, 67, 2337–2343. [Google Scholar]
- Holstein, J.H.; Orth, M.; Scheuer, C.; Tami, A.; Becker, S.C.; Garcia, P.; Histing, T.; Mörsdorf, P.; Klein, M.; Pohlemann, T.; et al. Erythropoietin stimulates bone formation, cell proliferation, and angiogenesis in a femoral segmental defect model in mice. Bone 2011, 49, 1037–1045. [Google Scholar] [CrossRef]
- Garcia, P.; Speidel, V.; Scheuer, C.; Laschke, M.W.; Holstein, J.H.; Histing, T.; Pohlemann, T.; Menger, M.D. Low dose erythropoietin stimulates bone healing in mice. J. Orthop. Res. 2011, 29, 165–172. [Google Scholar] [CrossRef]
- Bakhshi, H.; Kazemian, G.; Emami, M.; Nemati, A.; Karimi Yarandi, H.; Safdari, F. Local erythropoietin injection in tibiofibular fracture healing. Trauma Mon. 2013, 17, 386–388. [Google Scholar] [CrossRef]
- Chen, S.; Li, J.; Peng, H.; Zhou, J.; Fang, H. Administration of erythropoietin exerts protective effects against glucocorticoid-induced osteonecrosis of the femoral head in rats. Int. J. Mol. Med. 2014, 33, 840–848. [Google Scholar] [CrossRef]
- Omlor, G.W.; Kleinschmidt, K.; Gantz, S.; Speicher, A.; Guehring, T.; Richter, W. Increased bone formation in a rabbit long-bone defect model after single local and single systemic application of erythropoietin. Acta Orthop. 2016, 87, 425–431. [Google Scholar] [CrossRef]
- Dayisoylu, E.H.; Üngör, C.; Tosun, E.; Ersöz, S.; Kadioglu Duman, M.; Taskesen, F.; Senel, F.Ç. Does an alkaline environment prevent the development of bisphosphonate-related osteonecrosis of the jaw? An experimental study in rats. Oral Surg. Oral Med. Oral Pathol. Oral Radiol. 2014, 117, 329–334. [Google Scholar] [CrossRef]
- Kim, J.W.; Kim, S.J.; Kim, M.R. Leucocyte-rich and platelet-rich fibrin for the treatment of bisphosphonate-related osteonecrosis of the jaw: A prospective feasibility study. Br. J. Oral Maxillofac. Surg. 2014, 52, 854–859. [Google Scholar] [CrossRef] [PubMed]
- Park, J.H.; Kim, J.W.; Kim, S.J. Does the Addition of Bone Morphogenetic Protein 2 to Platelet-Rich Fibrin Improve Healing after Treatment for Medication-Related Osteonecrosis of the Jaw? J. Oral Maxillofac. Surg. 2017, 75, 1176–1184. [Google Scholar] [CrossRef]
- Sim, I.W.; Borromeo, G.L.; Tsao, C.; Hardiman, R.; Hofman, M.S.; Papatziamos Hjelle, C.; Siddique, M.; Cook, G.J.R.; Seymour, J.F.; Ebeling, P.R. Teriparatide Promotes Bone Healing in Medication-Related Osteonecrosis of the Jaw: A Placebo-Controlled, Randomized Trial. J. Clin. Oncol. 2020, 38, 2971–2980. [Google Scholar] [CrossRef]
- De Santis, G.C.; de Macedo, L.D.; Orellana, M.D.; Innocentini, L.; Ferrari, T.C.; Ricz, H.M.A.; Caruso, S.R.; Fernandes, T.R.; Covas, D.T. Mesenchymal stromal cells administration for osteonecrosis of the jaw caused by bisphosphonate: Report of two cases. Acta Oncol. 2020, 59, 789–792. [Google Scholar] [CrossRef]
- Nazeman, P.; Rad, M.R.; Khojasteh, A. Topikal erythropoietin as a novel preventive and therapeutic agent in bisphosphonate-related osteonecrosis of the jaw. Dent. Hypotheses 2016, 7, 56–60. [Google Scholar]
- Brines, M.; Cerami, A. Erythropoietin-mediated tissue protection: Reducing collateral damage from the primary injury response. J. Intern. Med. 2008, 264, 405–432. [Google Scholar] [CrossRef] [PubMed]
- Arcasoy, M.O. The non-haematopoietic biological effects of erythropoietin. Br. J. Haematol. 2008, 141, 14–31. [Google Scholar] [CrossRef] [PubMed]
- Sorg, H.; Krueger, C.; Schulz, T.; Menger, M.D.; Schmitz, F.; Vollmar, B. Effects of erythropoietin in skin wound healing are dose related. FASEB J. 2009, 23, 3049–3058. [Google Scholar] [CrossRef] [PubMed]
- Holstein, J.H.; Menger, M.D.; Scheuer, C.; Meier, C.; Culemann, U.; Wirbel, R.J.; Garcia, P.; Pohlemann, T. Erythropoietin (EPO): EPO-receptor signaling improves early endochondral ossification and mechanical strength in fracture healing. Life Sci. 2007, 80, 893–900. [Google Scholar] [CrossRef] [PubMed]
- Martins-Júnior, P.A.; Sá, M.A.; Reis, A.C.; Queiroz-Junior, C.M.; Caliari, M.V.; Teixeira, M.M.; Ladeira, L.O.; Pinho, V.; Ferreira, A.J. Evaluation of carbon nanotubes functionalized with sodium hyaluronate in the inflammatory processes for oral regenerative medicine applications. Clin. Oral Investig. 2016, 20, 1607–1616. [Google Scholar] [CrossRef]
- Aoyagi, H.; Yamashiro, K.; Hirata-Yoshihara, C.; Ideguchi, H.; Yamasaki, M.; Kawamura, M.; Yamamoto, T.; Kochi, S.; Wake, H.; Nishibori, M.; et al. HMGB1-induced inflammatory response promotes bone healing in murine tooth extraction socket. J. Cell. Biochem. 2018, 119, 5481–5490. [Google Scholar] [CrossRef]
- Einhorn, T.A. The science of fracture healing. J. Orthop. Trauma 2005, 19 (Suppl. S10), S4–S6. [Google Scholar] [CrossRef] [PubMed]
- Bunn, R.J.; Burke, G.; Connelly, C.; Li, G.; Marsh, D. Inflammation—A double edged sword in high-energy fractures? J. Bone Joint Surg. Br. 2005, 87 (Suppl. SIII), c265–c266. [Google Scholar]
- Tanizawa, T.; Yamaguchi, A.; Uchiyama, Y.; Miyaura, C.; Ikeda, T.; Ejiri, S.; Nagal, Y.; Yamato, H.; Murayama, H.; Sato, M.; et al. Reduction in bone formation and elevated bone resorption in ovariectomized rats with special reference to acute inflammation. Bone 2000, 26, 43–53. [Google Scholar] [CrossRef]
- Magán-Fernández, A.; Rasheed Al-Bakri, S.M.; O’Valle, F.; Benavides-Reyes, C.; Abadía-Molina, F.; Mesa, F. Neutrophil Extracellular Traps in Periodontitis. Cells 2020, 9, 1494. [Google Scholar] [CrossRef]
- Lee, J.H.; Sung, D.K.; Koo, S.H.; Shin, B.K.; Hong, Y.S.; Son, C.S.; Lee, J.W.; Chang, Y.S.; Park, W.S. Erythropoietin attenuates hyperoxia-induced lung injury by down-modulating inflammation in neonatal rats. J. Korean Med. Sci. 2007, 22, 1042–1047. [Google Scholar] [CrossRef]
- Adhikari, N.; Prasad Aryal, Y.; Jung, J.K.; Ha, J.H.; Choi, S.Y.; Kim, J.Y.; Lee, T.H.; Kim, S.H.; Yamamoto, H.; Suh, J.Y.; et al. Resveratrol enhances bone formation by modulating inflammation in the mouse periodontitis model. J. Periodontal Res. 2021, 56, 735–745. [Google Scholar] [CrossRef]
- Kim, T.Y.; Park, J.K.; Prasad Aryal, Y.; Lee, E.S.; Neupane, S.; Sung, S.; Pokharel, E.; Yeon, C.Y.; Kim, J.Y.; Jung, J.K.; et al. Facilitation of Bone Healing Processes Based on the Developmental Function of Meox2 in Tooth Loss Lesion. Int. J. Mol. Sci. 2020, 21, 8701. [Google Scholar] [CrossRef] [PubMed]
- Kimáková, P.; Solár, P.; Solárová, Z.; Komel, R.; Debeljak, N. Erythropoietin and Its Angiogenic Activity. Int. J. Mol. Sci. 2017, 18, 1519. [Google Scholar] [CrossRef] [PubMed]
- Cervellini, I.; Sacre, S.; Ghezzi, P.; Mengozzi, M. Erythropoietin does not affect TNF and IL-6 production directly. J. Biol. Regul. Homeost. Agents 2013, 27, 189–196. [Google Scholar]
- Yalcin-Ulker, G.M.; Cumbul, A.; Duygu-Capar, G.; Uslu, Ü.; Sencift, K. Preventive Effect of Phosphodiesterase Inhibitor Pentoxifylline Against Medication-Related Osteonecrosis of the Jaw: An Animal Study. J. Oral Maxillofac. Surg. 2017, 75, 2354–2368. [Google Scholar] [CrossRef]
- Hankenson, K.D.; Dishowitz, M.; Gray, C.; Schenker, M. Angiogenesis in bone regeneration. Injury 2011, 42, 556–561. [Google Scholar] [CrossRef] [PubMed]
- Joshi, D.; Tsui, J.; Ho, T.K.; Selvakumar, S.; Abraham, D.J.; Baker, D.M. Review of the role of erythropoietin in critical leg ischemia. Angiology 2010, 61, 541–550. [Google Scholar] [CrossRef]
- Beamer, B.; Hettrich, C.; Lane, J. Vascular endothelial growth factor: An essential component of angiogenesis and fracture healing. HSS J. 2009, 6, 85–94. [Google Scholar] [CrossRef]
- Atesok, K.; Li, R.; Stewart, D.J.; Schemitsch, E.H. Endothelial progenitor cells promote fracture healing in a segmental bone defect model. J. Orthop. Res. 2010, 28, 1007–1014. [Google Scholar] [CrossRef]
- Matsumoto, T.; Kuroda, R.; Mifune, Y.; Kawamoto, A.; Shoji, T.; Miwa, M.; Asahara, T.; Kurosaka, M. Circulating endothelial/skeletal progenitor cells for bone regeneration and healing. Bone 2008, 43, 434–439. [Google Scholar] [CrossRef]
- Bae, J.E.; Hwang, S.M.; Aryal, Y.P.; Kim, T.Y.; Sohn, W.J.; An, S.Y.; Kim, J.Y.; An, C.H.; Lee, Y.; Kim, Y.G.; et al. Effects of erythropoietin on osteoblast in the tooth extraction socket in mice periodontitis model. Front. Physiol. 2022, 13, 987625. [Google Scholar] [CrossRef]
- Hu, K.; Olsen, B.R. Osteoblast-derived VEGF regulates osteoblast differentiation and bone formation during bone repair. J. Clin. Investig. 2016, 126, 509–526. [Google Scholar] [CrossRef] [PubMed]
- Xu, T.; Jin, H.; Lao, Y.; Wang, P.; Zhang, S.; Ruan, H.; Mao, Q.; Zhou, L.; Xiao, L.; Tong, P.; et al. Administration of erythropoietin prevents bone loss in osteonecrosis of the femoral head in mice. Mol. Med. Rep. 2017, 16, 8755–8762. [Google Scholar] [CrossRef] [PubMed]
- Galeano, M.; Altavilla, D.; Bitto, A.; Minutoli, L.; Calò, M.; Cascio, P.L.; Polito, F.; Giugliano, G.; Squadrito, G.; Mioni, C.; et al. Recombinant human erythropoietin improves angiogenesis and wound healing in experimental burn wounds. Crit. Care Med. 2006, 34, 1139–1146. [Google Scholar] [CrossRef]
- Zhu, W.; Murrell, G.A.; Lin, J.; Gardiner, E.M.; Diwan, A.D. Localization of nitric oxide synthases during fracture healing. J. Bone Miner. Res. 2002, 17, 1470–1477. [Google Scholar] [CrossRef] [PubMed]




| SS | ZA | EPO | |
|---|---|---|---|
| Weeks | (0.1 mg/kg 3 Times per Week IP) | (0.1 mg/kg 3 Times per Week IP) | (Daily 500 IU IP) |
| 1 | Groups I and II | Groups III, IV, V and VI | |
| 2 | Groups I and II | Groups III, IV, V and VI | |
| 3 | Groups I and II | Groups III, IV, V and VI | |
| 4 | Groups I and II | Groups III, IV, V and VI | |
| 5 | Groups I and II | Groups III, IV, V and VI | |
| 6 | Groups I and II | Groups III, IV, V and VI | |
| 7 | Groups I and II | Groups III, IV, V and VI | Groups V and VI |
| 8 | Groups I and II | Groups III, IV, V and VI | Groups V and VI |
| MANDIBULAR MOLAR EXTRACTION | |||
| 9 | Groups I, III and V | Groups II, IV and VI | |
| 10 | Groups I, III and V | Groups II, IV and VI | |
| 11 | Groups I, III and V | Groups II, IV and VI | |
| 16 | EUTHANASIA | ||
| Group 1 Control | Group 2 EPO | Group 3 ZA | Group 4 ZA+PostEPO | Group 5 ZA+PreEPO | Group 6 ZA+Pre-PostEPO | Test Statistics | p * | |
|---|---|---|---|---|---|---|---|---|
| Inflammation | ||||||||
| 0—Absent | 4 (66.7) | 5 (83.3) | 0 (0) | 0 (0) | 0 (0) | 2 (33.3) | 31.295 | 0.008 |
| 1—Mild | 2 (33.3) | 1 (16.7) | 3 (50) | 4 (66.7) | 2 (33.3) | 4 (66.7) | ||
| 2—Moderate | 0 (0) | 0 (0) | 1 (16.7) | 2 (33.3) | 3 (50) | 0 (0) | ||
| 3—Severe | 0 (0) | 0 (0) | 2 (33.3) | 0 (0) | 1 (16.7) | 0 (0) | ||
| Necrosis | ||||||||
| No | 6 (100) a | 6 (100) a | 0 (0) b | 1 (16.7) ab | 1 (16.7) ab | 5 (83.3) ab | 25.969 | <0.001 |
| Yes | 0 (0) | 0 (0) | 6 (100) | 5 (83.3) | 5 (83.3) | 1 (16.7) |
| New Bone Formation Rate (%) | ||
|---|---|---|
| Mean ± SD | Median (Minimum–Maximum) | |
| Control | 50.06 (36.7–56.6) cd | 48.77± 6.87 |
| EPO | 59.15 (43.59–73.12) c | 58.44 ± 8.82 |
| ZA | 20.11 (16.74–22.22) b | 19.74 ± 2.08 |
| ZA+PostEPO | 33.08 (26.24–35.78) abd | 32.63 ± 2.75 |
| ZA+PreEPO | 22.6 (10.53–48.46) ab | 24.78 ± 12.11 |
| ZA+Pre-PostEPO | 45.58 (41.74–50.17) ac | 45.74 ± 2.9 |
| Test Statistics | 38.109 | |
| p | <0.001 | |
| Mean ± SD | Median (Minimum–Maximum) | Test Statistics * | p | |
|---|---|---|---|---|
| Control | 1.33 ± 0.52 | 1 (1–2) a | 22.853 | <0.001 |
| EPO | 2.33 ± 0.52 | 2 (2–3) ab | ||
| ZA | 2 ± 0.63 | 2 (1–3) a | ||
| ZA+PostEPO | 2.5 ± 0.55 | 3 (2–3) ab | ||
| ZA+PreEPO | 2.83 ± 0.75 | 3 (2–4) b | ||
| ZA+Pre-PostEPO | 3.83 ± 0.41 | 4 (3–4) ab |
Disclaimer/Publisher’s Note: The statements, opinions and data contained in all publications are solely those of the individual author(s) and contributor(s) and not of MDPI and/or the editor(s). MDPI and/or the editor(s) disclaim responsibility for any injury to people or property resulting from any ideas, methods, instructions or products referred to in the content. |
© 2023 by the authors. Licensee MDPI, Basel, Switzerland. This article is an open access article distributed under the terms and conditions of the Creative Commons Attribution (CC BY) license (https://creativecommons.org/licenses/by/4.0/).
Share and Cite
Duygu, G.; Yalcin-Ülker, G.M.; Günbatan, M.; Soluk-Tekkesin, M.; Özcakir-Tomruk, C. Evaluation of Preventive Role of Systemically Applied Erythropoietin after Tooth Extraction in a Bisphosphonate-Induced MRONJ Model. Medicina 2023, 59, 1059. https://doi.org/10.3390/medicina59061059
Duygu G, Yalcin-Ülker GM, Günbatan M, Soluk-Tekkesin M, Özcakir-Tomruk C. Evaluation of Preventive Role of Systemically Applied Erythropoietin after Tooth Extraction in a Bisphosphonate-Induced MRONJ Model. Medicina. 2023; 59(6):1059. https://doi.org/10.3390/medicina59061059
Chicago/Turabian StyleDuygu, Gonca, Gül Merve Yalcin-Ülker, Murat Günbatan, Merva Soluk-Tekkesin, and Ceyda Özcakir-Tomruk. 2023. "Evaluation of Preventive Role of Systemically Applied Erythropoietin after Tooth Extraction in a Bisphosphonate-Induced MRONJ Model" Medicina 59, no. 6: 1059. https://doi.org/10.3390/medicina59061059
APA StyleDuygu, G., Yalcin-Ülker, G. M., Günbatan, M., Soluk-Tekkesin, M., & Özcakir-Tomruk, C. (2023). Evaluation of Preventive Role of Systemically Applied Erythropoietin after Tooth Extraction in a Bisphosphonate-Induced MRONJ Model. Medicina, 59(6), 1059. https://doi.org/10.3390/medicina59061059

