Vermiform Appendix within Post-Laparoscopic Incisional Hernia: A Unique Case Report and Literature Review
Abstract
1. Introduction
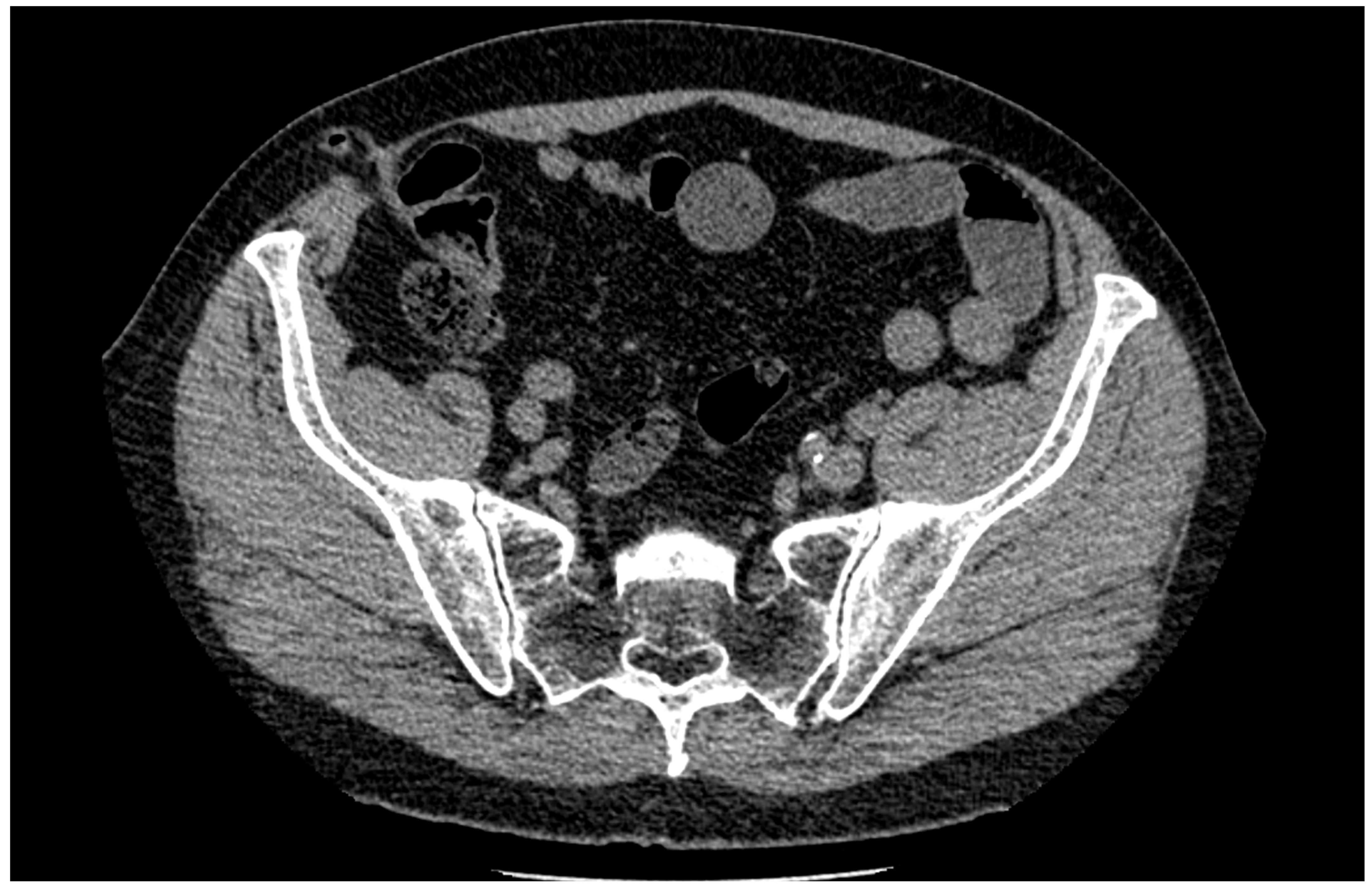
2. Case Report
3. Discussion
4. Conclusions
Author Contributions
Funding
Institutional Review Board Statement
Informed Consent Statement
Data Availability Statement
Conflicts of Interest
References
- Ciscar, A.; Badia, J.M.; Novell, F.; Bolívar, S.; Mans, E. Incidence and risk factors for trocar-site incisional hernia detected by clinical and ultrasound examination: A prospective observational study. BMC Surg. 2020, 20, 330. [Google Scholar] [CrossRef] [PubMed]
- Issa, M.G. Acute appendicitis within incisional hernia sac: A unique case report. Egypt. J. Radiol. Nucl. Med. 2020, 51, 45. [Google Scholar] [CrossRef]
- Sharma, H.; Gupta, A.; Shekhawat, N.S.; Memon, B.; Memon, M.A. Amyand’s hernia: A report of 18 consecutive patients over a 15-year period. Hernia 2007, 11, 31–35. [Google Scholar] [CrossRef] [PubMed]
- Lam, A.; Black, J.; Parnell, B.; West, C. Appendicitis due to incarceration within a laparoscopic umbilical port-site hernia secondary to a degree of intestinal malrotation. Ann. R. Coll. Surg. Engl. 2019, 101, e119–e121. [Google Scholar] [CrossRef] [PubMed]
- Sugrue, C.; Hogan, A.; Robertson, I.; Mahmood, A.; Khan, W.H.; Barry, K. Incisional hernia appendicitis: A report of two unique cases and literature review. Int. J. Surg. Case Rep. 2012, 4, 256–258. [Google Scholar] [CrossRef] [PubMed]
- Menenakos, C.; Tsilimparis, N.; Guenther, N.; Braumann, C. Strangulated Appendix within a Trocar Site Incisional Hernia Following Laparoscopic Low Anterior Rectal Resection. A Case Report. Acta Chir. Belgica 2009, 109, 411–413. [Google Scholar] [CrossRef]
- Erol, T.; Mahmudzada, K. Uncommon case of pseudo inflammed incisional hernia. Ann. Ital. Chir. 2022, 11, S2239253X22037434. [Google Scholar]
- Paudyal, N.; Sah, S. Incisional hernia appendicitis: A unique case report. Int. J. Surg. Case Rep. 2021, 89, 106549. [Google Scholar] [CrossRef]
- Lakhani, D.A.; Dada, J.; Balar, A.B.; Khan, A.U.; Patel, Z.; Markovich, B.; Nguyen, T.P. Appendicitis in an incisional hernia sac following renal transplantation: A case report and brief review of the literature. Radio Case Rep. 2021, 16, 1736–1739. [Google Scholar] [CrossRef]
- Molina, G.A.; Rojas, C.L.; Aguayo, W.G.; Moyon, M.A.; Gálvez, P.; Polanco, E.C.; Novoa, L.P.; Reveló, V. Appendiceal hernia: An extremely rare condition. Annals 2021, 103, e50–e52. [Google Scholar] [CrossRef]
- Kler, A.; Hossain, N.; Singh, S.; Scarpinata, R. Vermiform appendix within incisional hernia. BMJ Case Rep. 2017, bcr2017221216. [Google Scholar] [CrossRef] [PubMed]
- West, C.; Richards, J.; Sujendran, V.; Wheeler, J. Spontaneous evisceration of the appendix through an incisional hernia at rest. BMJ Case Rep. 2016, 2016, bcr2016217585. [Google Scholar] [CrossRef] [PubMed]
- Galiñanes, E.L.; Ramaswamy, A. Appendicitis found in an incisional hernia. J. Surg. Case Rep. 2012, 2012, 3. [Google Scholar] [CrossRef] [PubMed]
- Dittmar, Y.; Scheuerlein, H.; Götz, M.; Settmacher, U. Adherent appendix vermiformis within an incisional hernia after kidney transplantation mimicking acute appendicitis: Report of a case. Hernia 2012, 16, 359–361. [Google Scholar] [CrossRef] [PubMed]
- Singal, R.; Mittal, A.; Gupta, A.; Gupta, S.; Sahu, P.; Sekhon, M.S. An incarcerated appendix: Report of three cases and a review of the literature. Hernia 2012, 16, 91–97. [Google Scholar] [CrossRef]
- McKay, D.W. Vermiform appendix in right upper quadrant incisional hernia. ANZ J. Surg. 2005, 75, 729–730. [Google Scholar] [CrossRef]
- Bunting, D.M. Port-Site Hernia Following Laparoscopic Cholecystectomy. JSLS J. Soc. Laparoendosc. Surg. 2010, 14, 490–497. [Google Scholar] [CrossRef]
- Lambertz, A.; Stüben, B.O.; Bock, B.; Eickhoff, R.; Kroh, A.; Klink, C.D.; Neumann, U.P.; Krones, C.J. Port-site incisional hernia—A case series of 54 patients. Ann. Med. Surg. 2017, 14, 8–11. [Google Scholar] [CrossRef]
- Jones, M.W.; Lopez, R.A.; Deppen, J.G. Appendicitis. In StatPearls [Internet]; StatPearls Publishing: Treasure Island, FL, USA, 2022. [Google Scholar]
- Pocard, M.; Chasserant, P.; Parc, R. Massive rectal bleeding after appendectomy: Report of 2 further cases and review of the literature. Ann. Chir. 2002, 127, 703–705. [Google Scholar] [CrossRef]
- Wu, T.; Yang, Y.; Wu, Y.; Lu, L.; Dong, S. Complications after appendectomy in patients with treated appendicitis: Results from a retrospective study. Ann. Palliat. Med. 2021, 10, 125462553. [Google Scholar] [CrossRef]
- Zahid, A. The vermiform appendix: Not a useless organ. J. Coll. Physicians Surg. Pak. 2004, 14, 256–258. [Google Scholar] [PubMed]
- Fatehi Hassanabad, A.; Zarzycki, A.N.; Jeon, K.; Deniset, J.F.; Fedak, P.W.M. Post-Operative Adhesions: A Comprehensive Review of Mechanisms. Biomedicines 2021, 9, 867. [Google Scholar] [CrossRef] [PubMed]
- Pereira, C.; Rai, R. Open Versus Laparoscopic Ventral Hernia Repair: A Randomized Clinical Trial. Cureus 2021, 13, e20490. [Google Scholar] [CrossRef] [PubMed]
- Basukala, S.; Tamang, A.; Rawal, S.B.; Malla, S.; Bhusal, U.; Dhakal, S.; Sharma, S. Comparison of outcomes of laparoscopic hernioplasty with and without fascial repair (IPOM-Plus vs IPOM) for ventral hernia: A retrospective cohort study. Ann. Med. Surg. 2022, 80, 104297. [Google Scholar] [CrossRef]
- Shahdhar, M.; Sharma, A. Laparoscopic Ventral Hernia Repair: Extraperitoneal Repair. Annals of Laparoscopic and Endoscopic Surgery. Available online: https://ales.amegroups.com/article/view/4744 (accessed on 28 September 2018).
- Schumacher, O.P.; Peiper, C.; Lörken, M.; Schumpelick, V. Long-term results after Spitzy’s umbilical hernia repair. Chirurg 2003, 74, 50–54. [Google Scholar] [CrossRef]
- Ferrari, G.C.; Miranda, A.; Sansonna, F.; Magistro, C.; Di Lernia, S.; Maggioni, D.; Franzetti, M.; Hernia, R.P. Laparoscopic management of incisional hernias ≥15 cm in diameter. Hernia 2008, 12, 571–576. [Google Scholar] [CrossRef]
- Dehn, T. Incisional Hernia Repair—Laparoscopic or Open Surgery? Ann. R. Coll. Surg. Engl. 2009, 91, 631–636. [Google Scholar] [CrossRef]
- Tonouchi, H.; Ohmori, Y.; Kobayashi, M.; Kusunoki, M. Trocar site hernia. Arch. Surg. 2004, 139, 1248–1256. [Google Scholar] [CrossRef]
- Yamamoto, M.; Minikel, L.; Zaritsky, E. Laparoscopic 5-mm Trocar Site Herniation and Literature Review. JSLS J. Soc. Laparoendosc. Surg. 2011, 15, 122–126. [Google Scholar] [CrossRef]
- Tarnay, C.M.; Glass, K.B.; Munro, M.G. Incision characteristics associated with six laparoscopic trocar-cannula systems: A randomized, observer-blinded comparison. Obs. Gynecol 1999, 94, 89–93. [Google Scholar] [CrossRef]
- Bhoyrul, S.; Mori, T.; Way, L.W. Radially expanding dilatation. A superior method of laparoscopic trocar access. Surg. Endosc. 1996, 10, 775–778. [Google Scholar] [CrossRef] [PubMed]



| No | Authors | Previous Operation | Location of the Hernia | Type of Performed Operation | Normal or Altered Appendix |
|---|---|---|---|---|---|
| 1 | Erol T. et al. [7] | NA | NA | NA | Inflamed |
| 2 | Paudyal N. et al. [8] | Laparotomy with right-sided salpingectomy | Pfannenstiel incision | Open surgery | Inflamed |
| 3 | Lakhani DA. et al. [9] | Left total nephrectomy and renal transplantation | Right lower quadrant incisional hernia | Open surgery | Perforated |
| 4 | Molina G. et al. [10] | Open cholecystectomy | Kocher incision | Open surgery | Inflamed |
| 5 | Lam A. et al. [4] | Laparoscopic sterilization | Umbilical laparoscopic port site incision | Open surgery | Inflamed |
| 6 | Kler A. et al. [11] | Open total hysterectomy | Pfannenstiel incision | Open surgery | Normal |
| 7 | West C. et al. [12] | Open abdominal aortic aneurysm repair | Laparotomy incision | Open surgery | NA |
| 8 | Sugrue C. et al. [5] | Open cholecystectomy | Upper midline incisional hernia | Open surgery | Inflamed |
| 9 | Sugrue C. et al. [5] | Diagnostic laparoscopy and lavage | Five mm port site in the right iliac fossa | Open surgery | Inflamed |
| 10 | Galiñanes EL. et al. [13] | Total abdominal hysterectomy with right-sided oophorectomy | Pfannenstiel incision | Laparoscopic surgery | Inflamed |
| 11 | Dittmar Y. et al. [14] | Kidney transplantation | Right lower quadrant incisional hernia | Laparoscopic surgery | Inflamed |
| 12 | Singal R. et al. [15] | Open surgery of subsequent bone grafting from the right iliac crest | Previous operation incision | Open surgery | Inflamed |
| 13 | Menenakos Ch. et al. [6] | Laparoscopic low anterior rectal resection | Twelve mm trocar site incision in the right iliac fossa | Open surgery | Inflamed |
| 14 | McKay DW. et al. [16] | Open cholecystectomy | Kocher incision | Open surgery | Normal |
Disclaimer/Publisher’s Note: The statements, opinions and data contained in all publications are solely those of the individual author(s) and contributor(s) and not of MDPI and/or the editor(s). MDPI and/or the editor(s) disclaim responsibility for any injury to people or property resulting from any ideas, methods, instructions or products referred to in the content. |
© 2023 by the authors. Licensee MDPI, Basel, Switzerland. This article is an open access article distributed under the terms and conditions of the Creative Commons Attribution (CC BY) license (https://creativecommons.org/licenses/by/4.0/).
Share and Cite
Marcinkeviciute, K.; Makunaite, G.; Danys, D.; Strupas, K. Vermiform Appendix within Post-Laparoscopic Incisional Hernia: A Unique Case Report and Literature Review. Medicina 2023, 59, 538. https://doi.org/10.3390/medicina59030538
Marcinkeviciute K, Makunaite G, Danys D, Strupas K. Vermiform Appendix within Post-Laparoscopic Incisional Hernia: A Unique Case Report and Literature Review. Medicina. 2023; 59(3):538. https://doi.org/10.3390/medicina59030538
Chicago/Turabian StyleMarcinkeviciute, Kristina, Gabija Makunaite, Donatas Danys, and Kestutis Strupas. 2023. "Vermiform Appendix within Post-Laparoscopic Incisional Hernia: A Unique Case Report and Literature Review" Medicina 59, no. 3: 538. https://doi.org/10.3390/medicina59030538
APA StyleMarcinkeviciute, K., Makunaite, G., Danys, D., & Strupas, K. (2023). Vermiform Appendix within Post-Laparoscopic Incisional Hernia: A Unique Case Report and Literature Review. Medicina, 59(3), 538. https://doi.org/10.3390/medicina59030538

