CD8-Lymphocytic Phenotype Significance in Primary Multiple and Familial Melanoma with Various CDKN2A Mutational Status
Abstract
1. Introduction
2. Materials and Methods
3. Results
3.1. Demographic, Clinical and Histopathological Characteristics
3.2. Immunohistochemical Findings of CD8 Results in the Peritumoral Infiltrate
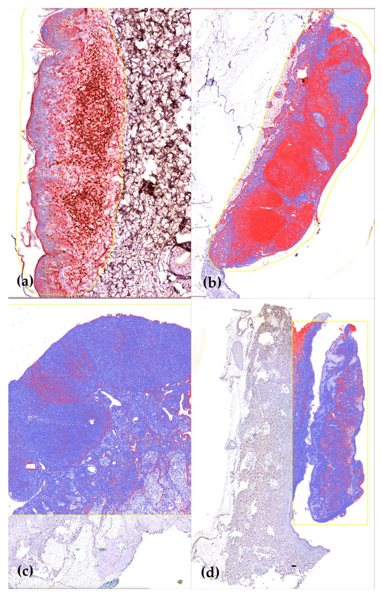
3.3. Differences between the Immunohistochemical Expression of CD8 in the Peritumoral Infiltrate Assessed by a Human Examiner Versus an Artificial Intelligence Platform
4. Discussion
5. Conclusions
Author Contributions
Funding
Institutional Review Board Statement
Informed Consent Statement
Data Availability Statement
Acknowledgments
Conflicts of Interest
References
- Plan National de Diagnostic Precoce, Tratament si Monitorizare a Melanomului Malign. Available online: https://muhaz.org/plan-national-de-diagnostic-precoce-tratament-si-monitorizare.html (accessed on 20 May 2023).
- Rossi, M.; Pellegrini, C.; Cardelli, L.; Ciciarelli, V.; Di Nardo, L.; Fargnoli, M.C. Familial Melanoma: Diagnostic and Management Implications. Dermatol. Pract. Concept. 2019, 9, 10–16. [Google Scholar] [CrossRef] [PubMed]
- Li, H.; van der Leun, A.M.; Yofe, I.; Lubling, Y.; Gelbard-Solodkin, D.; van Akkooi, A.C.; Braber, M.v.D.; Rozeman, E.A.; Haanen, J.B.; Blank, C.U.; et al. Dysfunctional CD8 T Cells Form a Proliferative, Dynamically Regulated Compartment within Human Melanoma. Cell 2019, 176, 775–789.e18. [Google Scholar] [CrossRef] [PubMed]
- Thommen, D.S.; Schumacher, T.N. T Cell Dysfunction in Cancer. Cancer Cell 2018, 33, 547–562. [Google Scholar] [CrossRef] [PubMed]
- Thommen, D.S.; Koelzer, V.H.; Herzig, P.; Roller, A.; Trefny, M.; Dimeloe, S.; Kiialainen, A.; Hanhart, J.; Schill, C.; Hess, C.; et al. A transcriptionally and functionally distinct PD-1+ CD8+ T cell pool with predictive potential in non-small-cell lung cancer treated with PD-1 blockade. Nat. Med. 2018, 24, 994–1004. [Google Scholar] [CrossRef]
- Pernick, N. CD8. PathologyOutlines.com Website. Available online: https://www.pathologyoutlines.com/topic/cdmarkerscd8.html (accessed on 6 June 2023).
- Rahemtullah, A.; Reichard, K.K.; Preffer, F.I.; Harris, N.L.; Hasserjian, R.P. A double-positive CD4+CD8+ T-cell population is commonly found in nodular lymphocyte predominant Hodgkin lymphoma. Am. J. Clin. Pathol. 2006, 126, 805–814. [Google Scholar] [CrossRef]
- Magro, C.M.; Morrison, C.; Merati, K.; Porcu, P.; Wright, E.D.; Crowson, A.N. CD8+ lymphomatoid papulosis and its differential diagnosis. Am. J. Clin. Pathol. 2006, 125, 490–501. [Google Scholar] [CrossRef]
- Carulli, G.; Stacchini, A.; Marini, A.; Ciriello, M.M.; Zucca, A.; Cannizzo, E.; Aliberti, S.; Demurtas, A.; Novero, D.; Calcagno, L.; et al. Aberrant expression of CD8 in B-cell non-Hodgkin lymphoma: A multicenter study of 951 bone marrow samples with lymphomatous infiltration. Am. J. Clin. Pathol. 2009, 132, 186–190. [Google Scholar] [CrossRef]
- Hoffmann, D.G.; Tucker, S.J.; Emmanoulides, C.; Rosen, P.A.; Naeim, F. CD8-positive mantle cell lymphoma: A report of two cases. Am. J. Clin. Pathol. 1998, 109, 689–694. [Google Scholar] [CrossRef][Green Version]
- Galon, J.; Bruni, D. Approaches to Treat Immune Hot, Altered and Cold Tumours with Combination Immunotherapies. Nat. Rev. Drug Discov. 2019, 18, 197–218. [Google Scholar] [CrossRef]
- Chan, T.; Yarchoan, M.; Jaffee, E.; Swanton, C.; Quezada, S.; Stenzinger, A.; Peters, S. Development of tumor mutation burden as an immunotherapy biomarker: Utility for the oncology clinic. Ann. Oncol. 2019, 30, 44–56. [Google Scholar] [CrossRef]
- Lattanzi, M.; Lee, Y.; Simpson, D.; Moran, U.; Darvishian, F.; Kim, R.H.; Hernando, E.; Polsky, D.; Hanniford, D.; Shapiro, R.; et al. Primary Melanoma Histologic Subtype: Impact on Survival and Response to Therapy. JNCI J. Natl. Cancer Inst. 2019, 111, 180–188. [Google Scholar] [CrossRef] [PubMed]
- Cazzato, G.; Colagrande, A.; Lospalluti, L.; Ingravallo, G.; Cascardi, E.; Dellino, M.; Capodiferro, S.; Maiorano, E.; Foti, C.; Resta, L. Histological Hallmarks of Malignant Melanoma. In Melanoma—Standard of Care, Challenges, and Updates in Clinical Research; IntechOpen: London, UK, 2023. [Google Scholar] [CrossRef]
- Maibach, F.; Sadozai, H.; Jafari, S.M.S.; Hunger, R.E.; Schenk, M. Tumor-Infiltrating Lymphocytes and Their Prognostic Value in Cutaneous Melanoma. Front. Immunol. 2020, 11, 2105. [Google Scholar] [CrossRef]
- Liu, D.; Yang, X.; Wu, X. Tumor Immune Microenvironment Characterization Identifies Prognosis and Immunotherapy-Related Gene Signatures in Melanoma. Front. Immunol. 2021, 12, 663495. [Google Scholar] [CrossRef] [PubMed]
- Pala, L.; Conforti, F.; Pagan, E.; Bagnardi, V.; De Pas, T.M.; Mazzarol, G.; Barberis, M.; Pennacchioli, E.; Orsolini, G.; Prestianni, P.; et al. Different Response to Immunotherapy According to Melanoma Histologic Subtype. J. Immunother. 2021, 45, 119–124. [Google Scholar] [CrossRef] [PubMed]
- Castaneda, C.A.; Castillo, M.; Torres-Cabala, C.; Bernabe, L.A.; Casavilca, S.; Villegas, V.; Sanchez, J.; de la Cruz, M.; Dunstan, J.; Cotrina, J.M.; et al. Relationship between tumor-associated immune infiltrate and p16 staining over clinicopathological features in acral lentiginous melanoma. Clin. Transl. Oncol. 2019, 21, 1127–1134. [Google Scholar] [CrossRef] [PubMed]
- Chen, Z.; Guo, Y.; Zhao, D.; Zou, Q.; Yu, F.; Zhang, L.; Xu, L. Comprehensive Analysis Revealed that CDKN2A is a Biomarker for Immune Infiltrates in Multiple Cancers. Front. Cell Dev. Biol. 2021, 9, 808208. [Google Scholar] [CrossRef] [PubMed]
- Yuan, Y.; Zhu, Z.; Lan, Y.; Duan, S.; Zhu, Z.; Zhang, X.; Li, G.; Qu, H.; Feng, Y.; Cai, H.; et al. Development and Validation of a CD8+ T Cell Infiltration-Related Signature for Melanoma Patients. Front. Immunol. 2021, 12, 659444. [Google Scholar] [CrossRef]
- Matsumoto, H.; Thike, A.A.; Li, H.; Yeong, J.; Koo, S.-L.; Dent, R.A.; Tan, P.H.; Iqbal, J. Increased CD4 and CD8-Positive T Cell Infiltrate Signifies Good Prognosis in a Subset of Triple-Negative Breast Cancer. Breast Cancer Res. Treat. 2016, 156, 237–247. [Google Scholar] [CrossRef]
- Wang, Y.; Zhu, C.; Song, W.; Li, J.; Zhao, G.; Cao, H. PD-L1 Expression and CD8+ T Cell Infiltration Predict a Favorable Prognosis in Advanced Gastric Cancer. J. Immunol. Res. 2018, 2018, 4180517. [Google Scholar] [CrossRef]
- Huang, C.-Y.; Chiang, S.-F.; Ke, T.-W.; Chen, T.-W.; You, Y.-S.; Chen, W.T.-L.; Chao, K.S.C. Clinical Significance of Programmed Death 1 Ligand-1 (CD274/PD-L1) and Intra-Tumoral CD8+ T-Cell Infiltration in Stage II-III Colorectal Cancer. Sci. Rep. 2018, 8, 15658. [Google Scholar] [CrossRef]
- Li, F.; Li, C.; Cai, X.; Xie, Z.; Zhou, L.; Cheng, B.; Zhong, R.; Xiong, S.; Li, J.; Chen, Z.; et al. The association between CD8+ tumor-infiltrating lymphocytes and the clinical outcome of cancer immunotherapy: A systematic review and meta-analysis. EClinicalMedicine 2021, 41, 101134. [Google Scholar] [CrossRef] [PubMed]
- Sun, X.-F.; Zhang, H. Clinicopathological significance of stromal variables: Angiogenesis, lymphangiogenesis, inflammatory infiltration, MMP and PINCH in colorectal carcinomas. Mol. Cancer 2006, 5, 43. [Google Scholar] [CrossRef] [PubMed]
- Piras, F.; Colombari, R.; Minerba, L.; Murtas, D.; Floris, C.; Maxia, C.; Corbu, A.; Perra, M.T.; Sirigu, P. The predictive value of CD8, CD4, CD68, and human leukocyte antigen-D-related cells in the prognosis of cutaneous malignant melanoma with vertical growth phase. Cancer 2005, 104, 1246–1254. [Google Scholar] [CrossRef] [PubMed]
- Zhu, Z.; Song, H.; Xu, J. CDKN2A Deletion in Melanoma Excludes T Cell Infiltration by Repressing Chemokine Expression in a Cell Cycle-Dependent Manner. Front. Oncol. 2021, 11, 641077. [Google Scholar] [CrossRef]
- Massi, D.; Rulli, E.; Cossa, M.; Valeri, B.; Rodolfo, M.; Merelli, B.; De Logu, F.; Nassini, R.; Del Vecchio, M.; Di Guardo, L.; et al. The density and spatial tissue distribution of CD8+ and CD163+ immune cells predict response and outcome in melanoma patients receiving MAPK inhibitors. J. Immunother. Cancer 2019, 7, 308. [Google Scholar] [CrossRef] [PubMed]
- Alavi, S.; Al Emran, A.; Tseng, H.-Y.; Tiffen, J.C.; McGuire, H.M.; Hersey, P. Nicotinamide Inhibits T Cell Exhaustion and Increases Differentiation of CD8 Effector T Cells. Cancers 2022, 14, 323. [Google Scholar] [CrossRef] [PubMed]
- Scharping, N.E.; Menk, A.V.; Moreci, R.S.; Whetstone, R.D.; Dadey, R.E.; Watkins, S.C.; Ferris, R.L.; Delgoffe, G.M. The Tumor Microenvironment Represses T Cell Mitochondrial Biogenesis to Drive Intratumoral T Cell Metabolic Insufficiency and Dysfunction. Immunity 2016, 45, 374–388, Erratum in Immunity 2016, 45, 701–703. [Google Scholar] [CrossRef]
- Angell, H.; Galon, J. From the Immune Contexture to the Immunoscore: The Role of Prognostic and Predictive Immune Markers in Cancer. Curr. Opin. Immunol. 2013, 25, 261–267. [Google Scholar] [CrossRef]
- Bonaventura, P.; Shekarian, T.; Alcazer, V.; Valladeau-Guilemond, J.; Valsesia-Wittmann, S.; Amigorena, S.; Caux, C.; Depil, S. Cold Tumors: A Therapeutic Challenge for Immunotherapy. Front. Immunol. 2019, 10, 168. [Google Scholar] [CrossRef]
- Peng, W.; Chen, J.Q.; Liu, C.; Malu, S.; Creasy, C.; Tetzlaff, M.T.; Xu, C.; McKenzie, J.A.; Zhang, C.; Liang, X.; et al. Loss of PTEN Promotes Resistance to T Cell–Mediated Immunotherapy. Cancer Discov. 2016, 6, 202–216. [Google Scholar] [CrossRef]
- Han, G.; Yang, G.; Hao, D.; Lu, Y.; Thein, K.; Simpson, B.S.; Chen, J.; Sun, R.; Alhalabi, O.; Wang, R.; et al. 9p21 loss confers a cold tumor immune microenvironment and primary resistance to immune checkpoint therapy. Nat. Commun. 2021, 12, 5606. [Google Scholar] [CrossRef]
- Desfrançois, J.; Moreau-Aubry, A.; Vignard, V.; Godet, Y.; Khammari, A.; Dréno, B.; Jotereau, F.; Gervois, N. Double positive CD4CD8 alphabeta T cells: A new tumor-reactive population in human melanomas. PLoS ONE 2010, 5, e8437. [Google Scholar] [CrossRef]
- Tumeh, P.C.; Harview, C.L.; Yearley, J.H.; Shintaku, I.P.; Taylor, E.J.M.; Robert, L.; Chmielowski, B.; Spasic, M.; Henry, G.; Ciobanu, V.; et al. PD-1 blockade induces responses by inhibiting adaptive immune resistance. Nature 2014, 515, 568–571. [Google Scholar] [CrossRef] [PubMed]
- Obeid, J.M.; Hu, Y.; Erdag, G.; Leick, K.M.; Slingluff, C.L., Jr. The heterogeneity of tumor-infiltrating CD8+ T cells in metastatic melanoma distorts their quantification: How to manage heterogeneity? Melanoma Res. 2017, 27, 211–217. [Google Scholar] [CrossRef]
- Humphries, M.; Maxwell, P.; Salto-Tellez, M. QuPath: The global impact of an open source digital pathology system. Comput. Struct. Biotechnol. J. 2021, 19, 852–859. [Google Scholar] [CrossRef] [PubMed]
- Catacchio, I.; Silvestris, N.; Scarpi, E.; Schirosi, L.; Scattone, A.; Mangia, A. Intratumoral, rather than stromal, CD8+ T cells could be a potential negative prognostic marker in invasive breast cancer patients. Transl. Oncol. 2019, 12, 585–595. [Google Scholar] [CrossRef] [PubMed]
- Jaiswal, A.; Verma, A.; Dannenfelser, R.; Melssen, M.; Tirosh, I.; Izar, B.; Kim, T.-G.; Nirschl, C.J.; Devi, K.S.P.; Olson, W.C.; et al. An activation to memory differentiation trajectory of tumor-infiltrating lymphocytes informs metastatic melanoma outcomes. Cancer Cell 2022, 40, 524–544.e5. [Google Scholar] [CrossRef] [PubMed]
- Globocan 2020. Melanoma of Skin. Available online: https://gco.iarc.fr/today/data/factsheets/cancers/16-Melanoma-of-skin-fact-sheet.pdf (accessed on 30 June 2023).
- Adler, N.; Kelly, J.; Haydon, A.; McLean, C.; Mar, V. Clinicopathological characteristics and prognosis of patients with multiple primary melanomas. Br. J. Dermatol. 2018, 178, e44–e45. [Google Scholar] [CrossRef]
- Cancer.Net Editorial Board. Familial Malignant Melanoma. Available online: https://www.cancer.net/cancer-types/familial-malignant-melanoma (accessed on 30 June 2023).


| Immunohistochemical Antibody | Clone | Manufacturer | Dilution | Host, Clonality |
|---|---|---|---|---|
| CD8 | SP16 | Master Diagnostica | Ready-to-use (RTU) 7 mL | Rabbit, monoclonal |
| FISH Probe | Clone | Manufacturer | Dilution | Additional Materials |
| SPEC CDKN2A/CEN 9 Dual Color Probe | ZytoLight® | ZytoVision | RTU 0.2 mL | ZytoLight FISH Implementation Kit |
| Demographic/Clinical Parameter | Percentual Values (Number of Patients) |
|---|---|
| Gender | |
| Male | 47.82% (n = 11) |
| Female | 52.17% (n = 12) |
| Age | |
| Mean age | 62.30 ± 14.77 |
| 31–40 | 13.04% (n = 3) |
| 41–50 | 17.39% (n = 4) |
| 51–60 | 8.69% (n = 2) |
| 61–70 | 21.73% (n = 5) |
| 71–80 | 30.43% (n = 7) |
| 81–90 | 8.69% (n = 2) |
| Area of residence | |
| Urban | 60.86% (n = 14) |
| Rural | 39.13% (n = 9) |
| Anatomic site of primary melanoma | |
| Head and neck | 34.78% (n = 8) |
| Upper extremities | 21.73% (n = 5) |
| Lower extremities | 4.34% (n = 1) |
| Anterior/posterior thorax | 39.13% (n = 9) |
| Histopathological Parameter | Percentual Values (Number of Patients) |
|---|---|
| Histopathological melanoma subtype | |
| Superficial spreading melanoma | 56.52% (n = 13) |
| Nodular melanoma | 39.13% (n = 9) |
| Acral lentiginous melanoma | 4.34% (n = 1) |
| Breslow depth (mm) | |
| Mean Breslow depth | 4.88 ± 3.92 |
| ≤1.00 | 21.73% (n = 5) |
| 1.01–2.00 | 13.04% (n = 3) |
| 2.01–4.00 | 17.39% (n = 4) |
| ≥4.01 | 47.82% (n = 11) |
| Ulceration | |
| Present | 56.52% (n = 13) |
| Absent | 43.47% (n = 10) |
| Mitotic rate (per mm2) | |
| Mean mitotic rate | 3.04 ± 3.55 |
| 0 | 17.39% (n = 4) |
| 1.00–1.99 | 34.78% (n = 8) |
| 2.00–4.99 | 13.04% (n = 3) |
| ≥5.00 | 34.78% (n = 8) |
| Lymphovascular invasion | |
| Present | 56.52% (n = 13) |
| Absent | 43.47% (n = 10) |
| Perineural invasion | |
| Present | 21.73% (n = 5) |
| Absent | 78.26% (n = 18) |
| Regression | |
| Present | 17.39% (n = 4) |
| Absent | 82.61% (n = 19) |
| QuPath | Human | |
|---|---|---|
| QuPath | 681,127 | 99,236 |
| Human | 99,236 | 803,526 |
| Intraclass Correlation b | 95% Confidence Interval | F Test with True Value 0 | |||||
|---|---|---|---|---|---|---|---|
| Lower Bound | Upper Bound | Value | df1 | df2 | Sig | ||
| Single Measures | 0.134 a | −0.429 | 0.622 | 1.309 | 12 | 12 | |
| Average Measures | 0.236 c | −1.504 | 0.767 | 1.309 | 12 | 12 | |
Disclaimer/Publisher’s Note: The statements, opinions and data contained in all publications are solely those of the individual author(s) and contributor(s) and not of MDPI and/or the editor(s). MDPI and/or the editor(s) disclaim responsibility for any injury to people or property resulting from any ideas, methods, instructions or products referred to in the content. |
© 2023 by the authors. Licensee MDPI, Basel, Switzerland. This article is an open access article distributed under the terms and conditions of the Creative Commons Attribution (CC BY) license (https://creativecommons.org/licenses/by/4.0/).
Share and Cite
Boşoteanu, L.-A.; Gheorghe, E.; Aşchie, M.; Cozaru, G.C.; Deacu, M.; Bălțătescu, G.I.; Orășanu, C.I.; Boşoteanu, M. CD8-Lymphocytic Phenotype Significance in Primary Multiple and Familial Melanoma with Various CDKN2A Mutational Status. Medicina 2023, 59, 2151. https://doi.org/10.3390/medicina59122151
Boşoteanu L-A, Gheorghe E, Aşchie M, Cozaru GC, Deacu M, Bălțătescu GI, Orășanu CI, Boşoteanu M. CD8-Lymphocytic Phenotype Significance in Primary Multiple and Familial Melanoma with Various CDKN2A Mutational Status. Medicina. 2023; 59(12):2151. https://doi.org/10.3390/medicina59122151
Chicago/Turabian StyleBoşoteanu, Luana-Andreea, Emma Gheorghe, Mariana Aşchie, Georgeta Camelia Cozaru, Mariana Deacu, Gabriela Izabela Bălțătescu, Cristian Ionuț Orășanu, and Mǎdǎlina Boşoteanu. 2023. "CD8-Lymphocytic Phenotype Significance in Primary Multiple and Familial Melanoma with Various CDKN2A Mutational Status" Medicina 59, no. 12: 2151. https://doi.org/10.3390/medicina59122151
APA StyleBoşoteanu, L.-A., Gheorghe, E., Aşchie, M., Cozaru, G. C., Deacu, M., Bălțătescu, G. I., Orășanu, C. I., & Boşoteanu, M. (2023). CD8-Lymphocytic Phenotype Significance in Primary Multiple and Familial Melanoma with Various CDKN2A Mutational Status. Medicina, 59(12), 2151. https://doi.org/10.3390/medicina59122151

