The Management and Diagnosis of Anti-NMDA Receptor Autoimmune Encephalitis in Pregnant Women: A Case Report and Literature Review
Abstract
1. Introduction
2. Case Report
- -
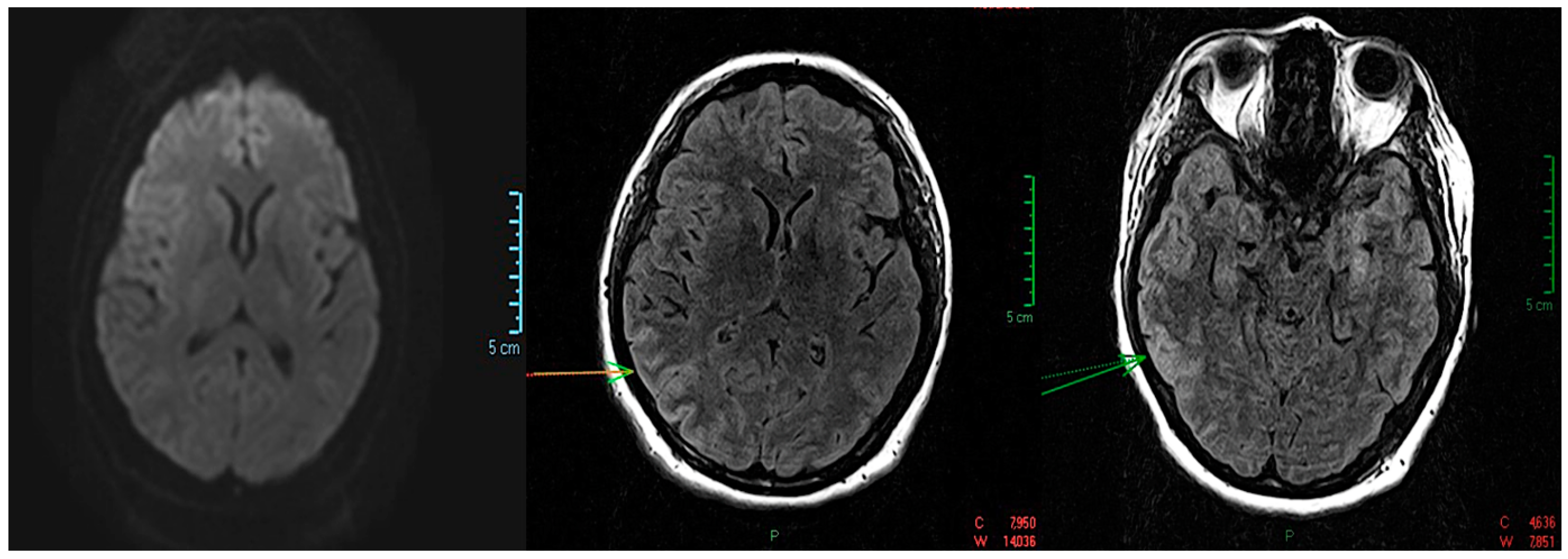
- a slight regression in the size and intensity of the T2 and FLAIR hyper signal, without restrictions on the diffusion sequence, not capturing the right temporo-occipital, associating a “swollen” aspect of the cortex with a slight erasure of the intergyral grooves, but without a mass effect on median line structures;
- -
- small non-specific demyelinating lesions in hyper signal T2 and FLAIR, 2–4 mm, without diffusion sequence restriction, non-capturing, located in the frontoparietal subcortical and bilateral periventricular;
- -
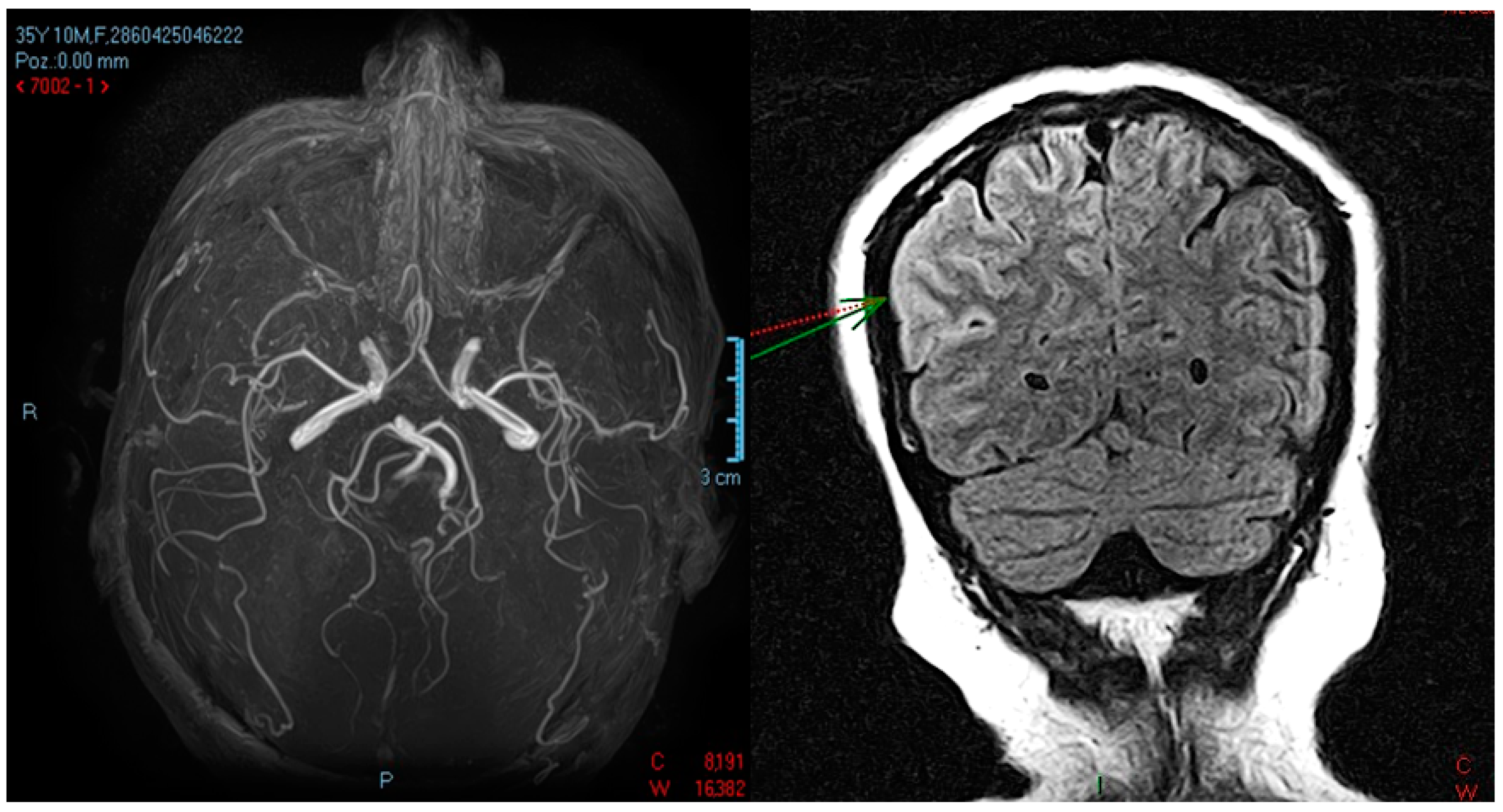
- no restrictions on the diffusion sequence, no hemorrhagic stigmata visible on the T2* sequence, no pathological intra/extra neuraxial contrast uptake or at the leptomeningeal level;
- -
- normally positioned and sized ventricular system.
3. Discussion
| Author/ Year | Age | Presenting Symptoms | GA (wks) | Teratoma | Treatment | History of Autoimmune Disorders | Imaging to Exclude Teratoma | Mother’s Outcome | Perinatal Outcomes | Follow-Up |
|---|---|---|---|---|---|---|---|---|---|---|
| Kumar Ref. [16], 2010 | 19 | Headache followed by behavior abnormalities | 14 | Present | IV Ig, IV methyl-prednisolone, resection of teratoma | NS | MRI—left teratoma | Normal | Normal | 2 m |
| Kumar Ref. [16], 2010 | 20 | Behavior abnormalities | 8 | Absent | IV Ig | Bilateral teratoma removed at 16 y | CT (bilateral teratoma) | Minimal deficits | Aborted | NS |
| Kumar Ref. [16], 2010 | 19 | Behavior abnormalities | 17 | Absent | IV methylprednisolone | NS | MRI/US | Normal | Normal | NS |
| Ito Ref. [17], 2010 | 19 | Dyskinesia, behavior abnormalities | 17 | Absent | Corticosteroids | No history | MRI/US | Normal | Normal | NS |
| McCarthy Ref. [18], 2012 | 32 | Behavior abnormalities, autonomic symptoms | 8 | Present | IV methylprednisolone, plasmapheresis, resection of teratoma | NS | MRI/US-negative for teratoma; left teratoma at C-section | Normal | Normal | NS |
| Jagota Ref. [19], 2014 | 18 | Fever, orolingual movements, eye deviation | 9 | Absent | Azathioprine, IV Ig | NS | MRI/CT | The patient died due to sepsis. | Baby survived, delivered at 34 wks (NVD) | Baby follow-up 3 y; the patient died |
| Shanani Ref. [20], 2015 | 26 | Behavioral abnormalities and headache | 22 | Absent | Oral corticosteroids, IV methylprednisolone, plasmapheresis | NS | US | Normal | Normal | 18 m |
| Kim Ref. [3], 2015 | 28 | Abnormal behavior, an epileptic seizure, hypoventilation, and dyskinesia | 7 | Present | IV Ig, IV methyl-prednisolone; oral corticosteroids, plasmapheresis, resection of teratoma | NS | US negative, CT—right ovarian teratoma | Slight cognitive function deficits | Aborted | 12 m |
| Mathis Ref. [21], 2015 | 21 | Behavior abnormalities | 10 | Absent | IV Ig, IV methyl-prednisolone | NS | MRI | Slight memory impairment | Normal | 9 m |
| Chan Ref. [22], 2015 | 23 | Hallucinations, confusion, fever, disinhibited behavior | 1st trimester | Present | IV methylprednisolone, plasmapheresis, Rituximab, resection of teratoma | NS | CT—right ovarian teratoma | Normal | Aborted | 18 m |
| Lamale-Smith Ref. [23], 2015 | 24 | Confused, catatonia, disoriented | 20 | Absent | IV methylprednisolone IV Ig | NS | Imaging (NS)—no teratoma | Disinhibition, memory impairment | Normal | 12 m |
| Xiao Ref. [24], 2017 | 24 | Visual and auditory hallucinations | 28 | Absent | IV Ig, IV methyl-prednisolone, bilateral ovarian wedge resection | NS | MRI | Normal | Normal | 12 m |
| Keskin Ref. [25], 2019 | 27 | Visual hallucination, headache, seizure | 18 | Absent | IV Ig, IV methyl-prednisolone, plasmapheresis | NS | US | Death | Fetal demise | Patient and baby died |
| Tailland Ref. [26], 2020 | 37 | Orofacial dyskinesia, pyramidal bilateral syndrome | 18 | Absent | IV Ig, IV methyl-prednisolone | NS | MRI | Left hemiparesis, cognitive impairment | Normal | NS |
| Jung Ref. [27], 2020 | 28 | Focal seizure, depression, headache | 24 | Absent | IV Ig, IV methyl-prednisolone, oral corticosteroids, Rituximab | NS | US/MRI | Normal | Normal | 24 m |
| Joubert Ref. [4], 2020 | 23 | Nausea, visual hallucination, delirium | 8 | Present | IV Ig, resection of teratoma | NS | NS | Normal | Normal | NS |
| Joubert Ref. [4], 2020 | 20 | Motor aphasia, behavior abnormalities, dysarthria | 12 | Absent | IV Ig | NS | NS | Normal | Normal | NS |
| Joubert Ref. [4], 2020 | 25 | Behavior abnormalities and epilepsy | 5 | Absent | IV Ig, plasmapheresis, Rituximab | NS | NS | Poor responder | Normal | NS |
| Joubert Ref. [4], 2020 | 31 | Cognitive fluctuation, orofacial dyskinesia, delirium, memory deficits | 20 | Present | IV Ig, Rituximab, cyclophosphamide, resection of teratoma | NS | NS | Poor responder | Normal | NS |
| Joubert Ref. [4], 2020 | 37 | Bulbar palsy and hemifacial sensitivity deficit | 33 | Absent | IV Ig, cyclophosphamide | NS | NS | Normal | Normal | NS |
| Joubert Ref. [4], 2020 | 19 | Delirium, visual agitation, hallucination | 25 | Present | IV Ig, cyclophosphamide, resection of teratoma | NS | NS | Poor responder | Normal | NS |
| Sperling Ref. [28], 2021 | 34 | Seizures, uncontrolled laughing, emotional lability, short-term memory loss, head banging against the wall, insomnia | 14 | Present | IV Ig, IV methyl-prednisolone, plasmapheresis Rituximab, levetiracetam, Fosphenytoin, Valproate, resection of teratoma | NS | MRI—right teratoma | Poor memory | Normal | 6 m |
| Boniface Ref. [29], 2021 | 22 | Hallucinations, nose-bleeds, nausea, vomiting, movements of the extremities, seizures | 23 | Present | Propofol, levetiracetam, acyclovir, ampicillin, vancomycin, ceftriaxone, resection of teratoma, plasmapheresis | NS | US—right teratoma | Significant automatisms (orofacial and hand-jerking dyskinesias) | Normal | 1 m |
| Liu Ref. [8], 2021 (same case) Third pregnancy Fourth pregnancy | 19 | Lowered consciousness, restlessness, involuntary movement of the oral and facial muscles, and high muscle tension in the limbs | 8 | Absent | IV Ig, IV methyl-prednisolone, Rituximab | NS | US | Normal | Aborted | 12 m |
| 21 | Similar psychiatric and epileptic symptoms | 10 | Absent | IV Ig, IV methyl-prednisolone, levetiracetam, olanzapine | NMDA encephalitis in the previous pregnancy | US | Poor memory and mild cognitive impairment | Aborted | 3 m | |
| Reisz Ref. [30], 2022 | 31 | Bizarre demeanor, alteration of cognitive status, mutism, catatonic-like status, epileptic seizures, choreoathetosis, autonomic disorders | 17 | Absent | Plasmapheresis | NS | MRI | Spastic paraparesis, peculiar childlike voice, immature behavior | Aborted | 24 m |
| Dono Ref. [31], 2022 | 29 | Continuous, ongoing, focal motor seizures involving the right side of the face, emotional liability with sudden changes in mood and behavior, sialorrhea | 7 | Absent | Lacosamide, prednisone, prednisolone, PLEX | NS | MRI/US | Normal | Normal | 3 m |
| Fredrich Ref. [32], 2022 | 19 | Seizures, psychotic behaviors, global hyperreflexia, left Babinski, continuous right upper extremity twitching, and oral automatisms | 11 | Absent | Lacosamide, lamotrigine, levetiracetam, clonazepam, IV Ig, IV Solumedrol, PLEX cyclophosphamide Rituximab | NS | NS | Fully ambulatory with mild cognitive deficits | Normal | 36 m |
| Scorrano Ref. [33], 2022 | 29 | Tonic–clonic seizure, with minor head trauma and subacute onset of psychiatric symptoms | 6 | Absent | Prednisone, plasmapheresis, levetiracetam, lacosamide | NS | MRI | NS | Low birth weight, respiratory distress, spina bifida | NS |
| Bansal Ref. [34], 2023 | 36 | Aggressive, delirious, minimally directable, and with pressurized speech, impairment of insight and judgment, combative, hallucinating | 17 | Present | Lorazepam, diphenhydramin, haloperidol, ketamine, Risperidone, IV Ig, resection of teratoma | NS | US—right teratoma | Normal | Normal | 1 m |
| Our case | 35 | Spontaneous fall, loss of consciousness for 10 min, lower limb myoclonus, retrograde amnesia, psychomotor agitation, delirious speech, mystical visual/ auditory hallucinations, bradylalia | 38 | Absent | Acyclovir, IV ceftriaxone, IV methylprednisolone, olanzapine/carbamazepine, Rituximab | NS | US/CT | Normal | Normal | 6 m |
4. Conclusions
Author Contributions
Funding
Institutional Review Board Statement
Informed Consent Statement
Data Availability Statement
Conflicts of Interest
References
- Dalmau, J.; Rosenfeld, M.R. Autoimmune Encephalitis Update. Neuro-Oncol. 2014, 16, 771–778. [Google Scholar] [CrossRef]
- Titulaer, M.J.; Soffietti, R.; Dalmau, J.; Gilhus, N.E.; Giometto, B.; Graus, F.; Grisold, W.; Honnorat, J.; Sillevis Smitt, P.A.E.; Tanasescu, R.; et al. Screening for Tumours in Paraneoplastic Syndromes: Report of an EFNS Task Force. Eur. J. Neurol. 2011, 18, 19-e3. [Google Scholar] [CrossRef] [PubMed]
- Kim, J.; Park, S.H.; Jung, Y.R.; Park, S.W.; Jung, D.S. Anti-NMDA Receptor Encephalitis in a Pregnant Woman. J. Epilepsy Res. 2015, 5, 29–32. [Google Scholar] [CrossRef] [PubMed][Green Version]
- Joubert, B.; García-Serra, A.; Planagumà, J.; Martínez-Hernandez, E.; Kraft, A.; Palm, F.; Iizuka, T.; Honnorat, J.; Leypoldt, F.; Graus, F.; et al. Pregnancy Outcomes in Anti-NMDA Receptor Encephalitis: Case Series. Neurol. Neuroimmunol. Neuroinflamm. 2020, 7, e668. [Google Scholar] [CrossRef] [PubMed]
- Dalmau, J.; Lancaster, E.; Martinez-Hernandez, E.; Rosenfeld, M.R.; Balice-Gordon, R. Clinical Experience and Laboratory Investigations in Patients with Anti-NMDAR Encephalitis. Lancet Neurol. 2011, 10, 63–74. [Google Scholar] [CrossRef] [PubMed]
- Dalmau, J.; Gleichman, A.J.; Hughes, E.G.; Rossi, J.E.; Peng, X.; Lai, M.; Dessain, S.K.; Rosenfeld, M.R.; Balice-Gordon, R.; Lynch, D.R. Anti-NMDA-Receptor Encephalitis: Case Series and Analysis of the Effects of Antibodies. Lancet Neurol. 2008, 7, 1091–1098. [Google Scholar] [CrossRef] [PubMed]
- Narayan, B.; Nelson-Piercy, C. Medical Problems in Pregnancy. Clin. Med. 2017, 17, 251–257. [Google Scholar] [CrossRef] [PubMed]
- Liu, H.; Chen, X. Recurrent Anti-NMDAR Encephalitis during Pregnancy Combined with Two Antibodies Positive. Arch. Womens Ment. Health 2021, 24, 1045–1050. [Google Scholar] [CrossRef]
- Bouman, A.; Heineman, M.J.; Faas, M.M. Sex Hormones and the Immune Response in Humans. Hum. Reprod. Update 2005, 11, 411–423. [Google Scholar] [CrossRef]
- Bellott, D.W.; Hughes, J.F.; Skaletsky, H.; Brown, L.G.; Pyntikova, T.; Cho, T.-J.; Koutseva, N.; Zaghlul, S.; Graves, T.; Rock, S.; et al. Chromosomes Retain Widely Expressed Dosage-Sensitive Regulators. Nature 2014, 508, 494–499. [Google Scholar] [CrossRef]
- Mor, G.; Cardenas, I. The Immune System in Pregnancy: A Unique Complexity. Am. J. Reprod. Immunol. 2010, 63, 425–433. [Google Scholar] [CrossRef] [PubMed]
- Shoenfeld, Y.; Tincani, A.; Gershwin, M.E. Sex Gender and Autoimmunity. J. Autoimmun. 2012, 38, J71–J73. [Google Scholar] [CrossRef] [PubMed]
- Whitacre, C.C. Sex Differences in Autoimmune Disease. Nat. Immunol. 2001, 2, 777–780. [Google Scholar] [CrossRef] [PubMed]
- Titulaer, M.J.; McCracken, L.; Gabilondo, I.; Armangué, T.; Glaser, C.; Iizuka, T.; Honig, L.S.; Benseler, S.M.; Kawachi, I.; Martinez-Hernandez, E.; et al. Treatment and Prognostic Factors for Long-Term Outcome in Patients with Anti-NMDA Receptor Encephalitis: An Observational Cohort Study. Lancet Neurol. 2013, 12, 157–165. [Google Scholar] [CrossRef] [PubMed]
- Lim, J.-A.; Lee, S.-T.; Jung, K.-H.; Kim, S.; Shin, J.-W.; Moon, J.; Byun, J.-I.; Kim, T.-J.; Shin, Y.-W.; Lee, K.-J.; et al. Anti-N-Methyl-d-Aspartate Receptor Encephalitis in Korea: Clinical Features, Treatment, and Outcome. J. Clin. Neurol. 2014, 10, 157–161. [Google Scholar] [CrossRef] [PubMed]
- Kumar, M.A.; Jain, A.; Dechant, V.E.; Saito, T.; Rafael, T.; Aizawa, H.; Dysart, K.C.; Katayama, T.; Ito, Y.; Araki, N.; et al. Anti-N-Methyl-D-Aspartate Receptor Encephalitis during Pregnancy. Arch. Neurol. 2010, 67, 884–887. [Google Scholar] [CrossRef] [PubMed]
- Ito, Y.; Abe, T.; Tomioka, R.; Komori, T.; Araki, N. Anti-NMDA receptor encephalitis during pregnancy. Rinsho Shinkeigaku 2010, 50, 103–107. [Google Scholar] [CrossRef] [PubMed][Green Version]
- McCarthy, A.; Dineen, J.; McKenna, P.; Keogan, M.; Sheehan, J.; Lynch, T.; O’Rourke, K. Anti-NMDA Receptor Encephalitis with Associated Catatonia during Pregnancy. J. Neurol. 2012, 259, 2632–2635. [Google Scholar] [CrossRef]
- Jagota, P.; Vincent, A.; Bhidayasiri, R. Transplacental Transfer of NMDA Receptor Antibodies in an Infant with Cortical Dysplasia. Neurology 2014, 82, 1662–1663. [Google Scholar] [CrossRef]
- Shahani, L. Steroid Unresponsive Anti-NMDA Receptor Encephalitis during Pregnancy Successfully Treated with Plasmapheresis. BMJ Case Rep. 2015, 2015, bcr2014208823. [Google Scholar] [CrossRef]
- Mathis, S.; Pin, J.-C.; Pierre, F.; Ciron, J.; Iljicsov, A.; Lamy, M.; Neau, J.-P. Anti-NMDA Receptor Encephalitis During Pregnancy: A Case Report. Medicine 2015, 94, e1034. [Google Scholar] [CrossRef] [PubMed]
- Chan, L.W.; Nilsson, C.; Schepel, J.; Lynch, C. A Rare Case of Anti-N-Methyl-D-Aspartate Receptor Encephalitis during Pregnancy. N. Z. Med. J. 2015, 128, 89–91. [Google Scholar] [PubMed]
- Lamale-Smith, L.M.; Moore, G.S.; Guntupalli, S.R.; Scott, J.B. Maternal-Fetal Transfer of Anti-N-Methyl-D-Aspartate Receptor Antibodies. Obstet. Gynecol. 2015, 125, 1056–1058. [Google Scholar] [CrossRef] [PubMed]
- Xiao, X.; Gui, S.; Bai, P.; Bai, Y.; Shan, D.; Hu, Y.; Bui-Nguyen, T.M.; Zhou, R. Anti-NMDA-Receptor Encephalitis during Pregnancy: A Case Report and Literature Review. J. Obstet. Gynaecol. Res. 2017, 43, 768–774. [Google Scholar] [CrossRef] [PubMed]
- Keskin, A.O.; Tanburoglu, A.; Idiman, E.; Ozturk, V. Anti-N-Methyl-d-Aspartate Receptor Encephalitis during Pregnancy: A Case Report. J. Obstet. Gynaecol. Res. 2019, 45, 935–937. [Google Scholar] [CrossRef]
- Tailland, M.; Le Verger, L.; Honnorat, J.; Biquard, F.; Codron, P.; Cassereau, J. Post-Herpetic Anti-N-Methyl-d-Aspartate Receptor Encephalitis in a Pregnant Woman. Rev. Neurol. 2020, 176, 129–131. [Google Scholar] [CrossRef]
- Jung, K.-O.; Moon, H.-J. A Case of NMDAR Encephalitis Treated in the Third Trimester—Novel Arterial Spin Labeling Findings and a Review of Literature. J. Neuroimmunol. 2020, 343, 577235. [Google Scholar] [CrossRef]
- Sperling, M.M.; Waldrop, A.; Fowler, C.; Weiel, J.J.; Conturie, C.L.; Bianco, K. A Rare Case of Anti-N-Methyl-D-Aspartate Receptor Encephalitis with Status Epilepticus in Pregnancy. Obstet. Gynecol. Res. 2021, 4, 108–116. [Google Scholar] [CrossRef]
- Boniface, C.; Austin, B.; Chalela, J.; Newman, R. Anti-N-Methyl-d-Aspartate Receptor Encephalitis in Pregnancy: An Interesting Case of Rapid Contralateral Ovarian Teratoma Development. Obstet. Gynecol. 2021, 7, 100091Z08CB2021. [Google Scholar] [CrossRef]
- Reisz, D.; Gramescu, I.-G.; Mihaicuta, S.; Popescu, F.G.; Georgescu, D. NMDA Autoimmune Encephalitis and Severe Persistent Hypokalemia in a Pregnant Woman. Brain Sci. 2022, 12, 221. [Google Scholar] [CrossRef]
- Dono, F.; Evangelista, G.; Consoli, S.; Scorrano, G.; Russo, M.; di Pietro, M.; Onofrj, M.; Sensi, S.L.; Anzellotti, F. Anti N-Methyl-D-Aspartate Receptor (NMDAr) Encephalitis during Pregnancy: A Case Report. Epilepsy Behav. Rep. 2022, 19, 100535. [Google Scholar] [CrossRef] [PubMed]
- Fredrich, S.; Wang, C.; Narayan, R.; Tardo, L.; Blackburn, K.M.; Vernino, S. Refractory Anti-NMDA Receptor Encephalitis in Early Pregnancy: A Case Report of Treatment Course and Pregnancy Outcomes. Neurol. Neuroimmunol. Neuroinflamm. 2022, 9, e200007. [Google Scholar] [CrossRef] [PubMed]
- Scorrano, G.; Dono, F.; Evangelista, G.; Chiarelli, F.; Anzellotti, F. Fetal Outcome in Anti-NMDAR Encephalitis during Pregnancy: A Case Report. Acta Neurol. Belg. 2023, 123, 1989–1991. [Google Scholar] [CrossRef] [PubMed]
- Bansal, M.; Mehta, A.; Sarma, A.K.; Niu, S.; Silaghi, D.A.; Khanna, A.K.; Vallabhajosyula, S. Anti-N-Methyl-D-Aspartate Receptor Encephalitis in Pregnancy Associated with Teratoma. Bayl. Univ. Med. Cent. Proc. 2023, 36, 524–527. [Google Scholar] [CrossRef]
- Das, G.; Damotte, V.; Gelfand, J.M.; Bevan, C.; Cree, B.A.C.; Do, L.; Green, A.J.; Hauser, S.L.; Bove, R. Rituximab before and during Pregnancy: A Systematic Review, and a Case Series in MS and NMOSD. Neurol. Neuroimmunol. Neuroinflamm. 2018, 5, e453. [Google Scholar] [CrossRef]
- McGoldrick, E.; Stewart, F.; Parker, R.; Dalziel, S.R. Antenatal Corticosteroids for Accelerating Fetal Lung Maturation for Women at Risk of Preterm Birth. Cochrane Database Syst. Rev. 2020, 12, CD004454. [Google Scholar] [CrossRef]
- Clark, A.L. Clinical Uses of Intravenous Immunoglobulin in Pregnancy. Clin. Obstet. Gynecol. 1999, 42, 368. [Google Scholar] [CrossRef]


| Test | Result | Normal Range/Units |
|---|---|---|
| RBC | 367 | cells/mm3 |
| TNC | 29 | cells/mm3 |
| 85.3 | % |
| 14.7 | % |
| 19 | cells/mm3 |
| 3 | cells/mm3 |
| Glucose | 49 | 40–70/mg/dL |
| Antineuronal antibodies | ||
| negative | negative |
| negative | negative |
| weakly positive | negative |
| negative | negative |
| negative | negative |
| positive | negative |
| HSV-1 | negative | negative |
| HSV-2 | negative | negative |
Disclaimer/Publisher’s Note: The statements, opinions and data contained in all publications are solely those of the individual author(s) and contributor(s) and not of MDPI and/or the editor(s). MDPI and/or the editor(s) disclaim responsibility for any injury to people or property resulting from any ideas, methods, instructions or products referred to in the content. |
© 2023 by the authors. Licensee MDPI, Basel, Switzerland. This article is an open access article distributed under the terms and conditions of the Creative Commons Attribution (CC BY) license (https://creativecommons.org/licenses/by/4.0/).
Share and Cite
Potorac, A.; Varlas, V.N.; Borș, R.G.; Baroș, A.; Cirstoiu, M. The Management and Diagnosis of Anti-NMDA Receptor Autoimmune Encephalitis in Pregnant Women: A Case Report and Literature Review. Medicina 2023, 59, 2110. https://doi.org/10.3390/medicina59122110
Potorac A, Varlas VN, Borș RG, Baroș A, Cirstoiu M. The Management and Diagnosis of Anti-NMDA Receptor Autoimmune Encephalitis in Pregnant Women: A Case Report and Literature Review. Medicina. 2023; 59(12):2110. https://doi.org/10.3390/medicina59122110
Chicago/Turabian StylePotorac, Alina, Valentin Nicolae Varlas, Roxana Georgiana Borș, Alexandru Baroș, and Monica Cirstoiu. 2023. "The Management and Diagnosis of Anti-NMDA Receptor Autoimmune Encephalitis in Pregnant Women: A Case Report and Literature Review" Medicina 59, no. 12: 2110. https://doi.org/10.3390/medicina59122110
APA StylePotorac, A., Varlas, V. N., Borș, R. G., Baroș, A., & Cirstoiu, M. (2023). The Management and Diagnosis of Anti-NMDA Receptor Autoimmune Encephalitis in Pregnant Women: A Case Report and Literature Review. Medicina, 59(12), 2110. https://doi.org/10.3390/medicina59122110

