The Poncho Lamina Technique: A Protocol for Hard and Soft Tissue Augmentation in Atrophic Ridges Receiving Adjacent Implants
Abstract
1. Introduction
2. Materials and Methods
- A.
- Patients seeking implant treatment and above 18 years of age;
- B.
- Patients who signed an informed consent document and agreed to comply with the post-operative instructions and the follow-up planning;
- C.
- Patients with good oral hygiene and no periodontal disease (plaque scores <25%, no pockets during probing, BoP levels <25%);
- D.
- Patients with keratinized mucosa with a minimum width of 4 mm on the edentulous sites to be treated.
- A.
- Patients with pathologies that affect bone metabolism and wound healing;
- B.
- Pregnancy and/or lactation during the treatment and healing period;
- C.
- Smokers.
2.1. Case 1
- 1.
- An initial stage for bone augmentation with simultaneous implant placement and emergence profile generation with the use of healing abutments (duration: from the beginning of treatment to complete implant osseointegration);
- 2.
- A second stage for soft tissue management and cervical profile generation with the use of anatomical abutments (duration: from implant osseointegration to complete graft maturation).
2.2. Stage 1
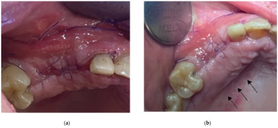
- A palatal incision parallel to the alveolar ridge and located apically nearly 15 mm from the marginal palatal soft tissue, leaving the periosteum intact, was performed prior to the placement of sutures. Then, a split-thickness preparation below the palatal flap was performed until the dissected area reached the incision limits. After confirmation of the communication between both entries, the palatal flap coronal advancement was possible, ensuring a primary closure.
- An intermediate layer of horizontal mattress monofilament absorbable Glycolon 4.0 adaptation sutures (Resorba, Nuremberg, Germany) was placed below the muco-gingival line to secure an additional stabilization of the cortical barrier on both the buccal and the palatal side and the coronal advancement of both flaps.
- A superficial layer of vertical mattress (placed at the papillary areas between the teeth adjacent to the augmentation site), along with simple interrupted Glycolon 5.0 (Resorba, Nuremberg, Germany) closure sutures (placed at the inter-proximal abutment areas), provided primary flap closure and papilla stabilization on their initial pre-operative position.
- A superficial incision, performed with a 15 blade deep in the vestibule, was finally used to reduce muscle pulling during the post-operative healing period.
2.3. Stage 2
2.4. Case 2
2.5. Stage 1
2.6. Stage 2
2.7. Data Collection
3. Results
Soft Tissue Configuration Results:
4. Discussion
- A combined implant placement and bone/soft tissue augmentation with the use of the cortical lamina and the healing abutment compound during stage 1.As well as the importance of theabutment–lamina compound, some other features should be noted:
- -
- A good primary stability in the implants is primarily achieved with the implementation of osseodensification burs when bone density type is 3 or 4. Versah drills also provide native bone preservation through ridge expansion, limit the risk of bone dehiscences during drilling, provide the possibility of adding a simultaneous crestal protocol 1 or 2 sinus lift, and improve osseointegration by reducing the direct contact of xenograft particles with the implant surface whenever such grafting materials are used [26].
- -
- Overgrafting the site supplies the necessary volume for both hard and soft tissue augmentation. This avoids the need for subsequent soft tissue augmentation and additional interventions at donor sites in stage 2. The use of healing abutments over the implants add the foundations of emergence profile generation very early in the treatment, and these will later be optimized in the following stage.
- -
- The occlusal connection between the lamina cortical barrier and the healing abutments provides a very precise and sufficient stabilization that prevents the use of additional fixation elements and the need to remove them at a later stage (e.g., screws or pins).
- -
- Horizontal mattress sutures further stabilize the barrier at a lower level over the grafting granulated material on both the buccal and palatal/lingual sides of the site. The consistency and elasticity of the cortical lamina creates a firm structure that both protects the overgrafted material and ensures tenting support for the soft tissues.
- -
- The use of a specific incision design without vertical releases for further envelope flap elevation preserves the vascular integrity within the surgical site and the tissue in the interproximal areas of neighboring tooth elements through partial-thickness preparation. This meticulous, minimally invasive site preparation is mandatory to ensure bone graft integration and less soft tissue retraction during the healing period.
- -
- The correct adaptation of the soft tissue around (case 2) or over the abutments (case 1 with primary closure) during flap closure is achieved with sutures placed in different layers. This enables a better distribution and absorption of the muscle pull force on the soft tissues that cover the barrier and reduces the risk of lamina exposure. Uncovered areas over the cortical sheet would lead to resorption and soft tissue apical migration. Further use of a superficial incision deep in the vestibule concentrates the muscle pull force in an area away from the flap marginal edges, while palatal incisions parallel to the alveolar ridge in upper maxilla cases provide elasticity in the tissue for hermetic closure over the barrier (Figure 29).
- The setting and initiation of the second stage occur earlier in the timeframe, through ”a window of opportunity” created by the osseointegration rate (Tx, see Figure 28). When the implant secondary stability is adequate for the removal of the healing abutments, a layering partial-thickness preparation takes place, and the anatomical abutments are used for cervical profile generation. However, it is important to highlight some details concerning this soft tissue management stage:
- -
- The layering preparation is performed with partial-thickness flaps to avoid any interference and trauma to any barrier remnants and granulated material below. The incision is located within the transitional zone and above the deep zone of the supracrestal complex (Figure 30) [27]. Any incision below that level may induce trauma to the vascular complex and rigid collagen type 1 fibers that provide tissue stability over the implant platform. This stability protects and preserves the integrity of the coronal part of the grafting material during its maturation and prevents further resorption [28,29]. Although there are articles showing that partial-thickness flaps also lead to bone loss, it is widely accepted, in general, that such surgical acts result in faster healing, less post-operative pain, and the protection of fragile structures in deeper layers of the site [30].
- -
- After the removal and replacement of the healing abutments, adaptation and marginal soft tissue flap edge closure could be better achieved with an apical reposition flap procedure rather than an hermetic closure around the keratinized abutments for cervical profile generation. This ensures keratinized tissue preservation and reduces the need for free gingival grafts, which may still be used during this stage but are more invasive. Interproximal areas may often remain uncovered after flap closure, especially in upper maxilla cases, but the use of compressed collagen trimmed sponges provides the support for epithelial migration over their surface to promote papilla formation. This happens often in upper maxilla cases like the one demonstrated in this case report.
- -
5. Conclusions
- − a faster alternative treatment for the patient due to a significantly reduced duration compared with other approaches;
- − less invasive than similar augmentation procedures in need of donor sites for autologous grafting;
- − uses only resorbable grafting material and reduces scar tissue formation;
- − less painful for the patient and reduces the risk of post-operative complications.
Funding
Institutional Review Board Statement
Informed Consent Statement
Data Availability Statement
Conflicts of Interest
References
- Wilson, T.G., Jr.; Buser, D. Advances in the use of guided tissue regeneration for localised ridge augmentation in combination with dental implants. Tex. Dent. J. 1994, 111, 7–10. [Google Scholar]
- Retzepi, M.; Donos, N. Guided Bone Regeneration: Biological principal and therapeutic applications. Clin. Oral. Implant. Res. 2010, 21, 567–576. [Google Scholar] [CrossRef] [PubMed]
- Sanchez, I.S.; Ortiz Vigon, A.; Sanz Martin, I.; Figuero, E.; Sanz, M. Effectiveness of lateral bone augmentation on the alveolar crest dimension: A systematic review and meta-analysis. J. Dent. Res. 2015, 94 (Suppl. S9), 128S–142S. [Google Scholar] [CrossRef] [PubMed]
- Fickl, S.; Therese Kröger, A.; Dietrich, T.; Kebschull, M. Influence of soft tissue augmentation procedures around dental implants on marginal bone level changes—A systematic review. Clin. Oral Implant. Res. 2021, 32, 108–137. [Google Scholar] [CrossRef] [PubMed]
- Wenstromm, J.L.; Bengazi, F.; Lekholm, U. The influence of masticatory mucosa on the peri-implant soft tissue condition. Clin. Oral Implant. Res. 1994, 5, 1–8. [Google Scholar] [CrossRef] [PubMed]
- Souza, A.B.; Tormena, M.; Matarazzo, F.; Araujo, M.G. The influence of the peri-implant Keratinised mucosa on brushing discomfort and peri-implant patient tissue health. Clin. Oral Implant. Res. 2016, 27, 650–655. [Google Scholar] [CrossRef] [PubMed]
- Oh, S.L.; Masri, R.M.; Williams, D.A.; Ji, C.; Romberg, E. Free gingival grafts for implants exhibiting lack of keratinised mucosa: A prospective controlled randomised clinical study. J. Clin. Periodontol. 2017, 44, 195–203. [Google Scholar] [CrossRef]
- Glauser, R.; Schupbach, P.; Gottlow, J.; Hammerle, C.H.F. Peri implant soft tissue barrier at experimental one-piece mini-implants with different surface topography in humans: A light- microscopic overview and histometric analysis. Clin. Implant. Dent. Relay Res. 2005, 7 (Suppl. S1), S44–S51. [Google Scholar]
- Beretta, M.; Poli, P.P.; Pieriboni, S.; Tansella, S.; Manfredini, M.; Cicciù, M.; Maiorana, C. Peri-implant soft tissue conditioning by means of customised healing abutment: A randomised controlled clinical trial. Materials 2019, 12, 3041. [Google Scholar] [CrossRef]
- Serino, G.; Strom, C. Peri-implantitis in partially edentulous patients: Association with inadequate plaque control. Coin Oral Implant. Res. 2009, 20, 169–174. [Google Scholar] [CrossRef]
- Esposito, M.; Grusovin, M.G.; Felice, P.; Karatzopoulos, G.; Worthington, H.V.; Coulthard, P. The efficacy of horizontal and vertical bone augmentation procedures for dental implants-Cochrane systematic review. Our. J. Oral Implant. 2009, 2, 167–184. [Google Scholar]
- Giannobile, W.V.; Jung, R.E.; Schwarz, F. Evidence-based Knowledge on the aesthetics and Maintenance of peri-implant soft tissues: Osteology Foundation Concencus Report Part 1-Effects of soft tissue augmentation procedures on the maintenance of peri-implant soft tissue health. Clin. Oral Implant. Res. 2018, 29 (Suppl. S15), 7–10. [Google Scholar] [CrossRef] [PubMed]
- Mittal, Y.; Jindal, G.; Gary, S. Bone manipulation procedures in dental implants. Indian J. Dent. 2016, 7, 86–94. [Google Scholar] [CrossRef] [PubMed]
- Elgali, I.; Omar, O.; Dahlin, C.; Thomsen, P. Guided bone regeneration: Materials and biological mechanisms revisited. Eur. J. Oral Sci. 2017, 125, 315–337. [Google Scholar] [CrossRef] [PubMed]
- Lekhom, U.; Zarb, G.A. Patient selection and preparation. In Tissue Integrated Prostheses: Osseointegration in Clinical Dentistry; Branemark, P.I., Zarb, G.A., Albrektsson, T., Eds.; Quintessence Publishing Company: Chicago, IL, USA, 1985; pp. 199–209. [Google Scholar]
- Rossi, R.; Rancitelli, D.; Poli, P.P.; Rasia Dal Polo, M.; Nannmark, U.; Maiorana, C. The use of a Collagenated porcine cortical lamina in the reconstruction of alveolar ridge defects. A Clinical and histological study. Minerva Stomatol. 2016, 65, 257–268. [Google Scholar] [PubMed]
- Rossi, R.; Ghezzi, C.; Tomecek, M. Cortical Lamina: A new device for the treatment of Moderate and severe tridimensional bone and soft tissue defects. Int. J. Esthet. Dent. 2020, 15, 454–473. [Google Scholar] [PubMed]
- Vergoullis, I.; Badell, C.L.; Papadopoulos, G. An innovative approach for the selection, generation and recording of a custom emergence profile around implants. J. Implant. Adv. Clin. Dent. 2017, 9, 6–19. [Google Scholar]
- Koutouzis, T.; Huwais, S.; Hasan, F.; Trahan, W.; Waldrop, T.; Neiva, R. Alveolar ridge expansion by osseodensification-mediated plastic deformation and compaction autographing: A multi-center retrospective study. Implant. Dent. 2019, 28, 349–355. [Google Scholar] [CrossRef]
- Mattei, B.M.; Imanishi, S.A.W.; de Oliveira Ramos, G.; de Campos, P.S.; Weiss, S.G.; Deliberator, T.M. Mouthwash with active oxygen (BlueM) induces keratinocytes proliferation. Open J. Stomatol. 2020, 10, 107–114. [Google Scholar] [CrossRef]
- Mattheos, N.; Vergoullis, I.; Janda, M.; Miselli, A. The implant supracrestal complex and its significance for long-term successful clinical outcomes. Int. J. Prosthodont. 2021, 34, 88–100. [Google Scholar] [CrossRef]
- Ronda, M.; Stacchi, C. Management of a coronally advanced lingual flap in regenerative Osseous surgery: A case series introducing a novel technique. Int. J. Periodontics Dent. 2011, 31, 505–513. [Google Scholar]
- Valavanis, K.; Tzovairis, A.; Vergoullis, I. Flapless hard and soft tissue preservation of posterior sockets utilizing the Cervical Socket Plug technique: Clinical Protocol and Case Report. J. Implant. Adv. Clin. Dent. 2020, 12, 6–19. [Google Scholar]
- Carlsen, A.; Gorst-Rasmussen, A.; Jensen, T. Donor site morbidity associated with autogenous bone harvesting from the ascending mandibular ramus. Implant. Dent. 2013, 22, 503–506. [Google Scholar] [CrossRef] [PubMed]
- Her, S.; Kang, T.; Fine, M.J. Titanium Mesh as an alternative to a membrane for ridge augmentation. J. Oral Maxillofac. Surg. 2012, 70, 803–810. [Google Scholar] [CrossRef] [PubMed]
- Huwais, S.; Meyer, E.G. A novel osseous densification approach in implant osteotomy preparation to increase biomechanical primary stability, bone mineral density, and bone-to -implant contact. Int. J. Oral Max. Implant. 2016, 32, 27–36. [Google Scholar] [CrossRef] [PubMed]
- Berglundh, T.; Lindhe, J. Dimension of the peri implant mucosa. Biological width revisited. J. Clin Periodontol. 1996, 10, 971–973. [Google Scholar] [CrossRef] [PubMed]
- Pelekanos, S.; Pozidi, G. Immediate one-time low profile abutment to enhance peri-Implant soft and hard tissue stability in the esthetic zone. Int. J. Periodontics Restor. Dent. 2017, 37, 729–735. [Google Scholar] [CrossRef][Green Version]
- Fabbri, G.; Staas, T.; Linkevicius, T.; Valantiejiene, V.; González-Martin, O.; Rompen, E. Clinical performance of a novel two-piece abutment concept: Results from a prospective study with a 1 year-follow up. J. Clin. Med. 2021, 10, 1594. [Google Scholar] [CrossRef]
- Fickl, S.; Kebschull, M.; Schupbach, P.; Zuhr, O.; Schlagenhauf, U.; Hürzeler, M. Bone loss after full-thickness and partial-thickness flap elevation. J. Clin. Periodontol. 2011, 38, 157–162. [Google Scholar] [CrossRef]
- Buser, D.; Broggini, N.; Wieland, M.; Schenk, R.K.; Denner, A.J.; Cochran, D.L.; Hoffmann, B.; Lussi, A.; Steinemann, S.G. Enhanced bone apposition to a chemically modified SLA titanium surface. J. DentRes. 2004, 83, 529–533. [Google Scholar]
- Bornstein, M.M.; Valderamma, P.; Jones, A.A.; Wilson, T.G.; Seibl, R.; Cochran, D.L. Bone apposition around two different sandblasted and acid-etched titanium implant surfaces: A histomorphometric study in canine mandibles. Clin. Oral. Implants Res. 2008, 19, 233–241. [Google Scholar] [CrossRef] [PubMed]
- Stefanini, M.; Marzadori, M.; Sangiorgi, M.; Rendon, A.; Testori, T.; Zucchelli, G. Complications and treatment errors in peri-implant soft tissue management. Periodontology 2000 2023, 92, 263–277. [Google Scholar] [CrossRef] [PubMed]
- Grunder, U.; Gratis, S.; Capelli, M. Influence of the 3-D bone-to-implant relationship on Esthetics. Int. J. Periodontics Restor. Dent. 2005, 25, 113–119. [Google Scholar]
- Monje, A.; Chappuis, V.; Monje, F.; Muñoz, F.; Wang, H.L.; Urban, I.A.; Buser, D. The critical peri-implant buccal bone wall thickness revisited: An experimental study in the beagle dog. Int. J. Oral Max. Implant. 2019, 34, 1328–1336. [Google Scholar] [CrossRef] [PubMed]
- Choukroun, E.; Surmenian, J.; Simonpieri, A.; Choukroun, J. Oxidative stress and osteo- immunology: The two missing pieces of the oral o osseointegration puzzle. Immunol. Res. Ther. J. 2021, 3, 119. [Google Scholar]
- Mammoto, A.; Connor, K.M.; Mammoto, T.; Yung, C.W.; Huh, D.; Aderman, C.M.; Mostoslavsky, G.; Smith, L.E.; Ingber, D.E. A mechanosensitive transcriptional mechanism that controls angiogenesis. Nature 2009, 457, 1103–1108. [Google Scholar] [CrossRef]


































| Element | Site | Value (mm) Tx | Value (mm) T2 | |
|---|---|---|---|---|
| 13 | Buccal | M | 6 | 5 |
| C | 6 | 5 | ||
| D | 6 | 5 | ||
| Palatal | M | 6 | 5 | |
| C | 6 | 5 | ||
| D | 6 | 5 | ||
| 14 | Buccal | M | 6 | 5 |
| C | 6 | 5 | ||
| D | 6 | 5 | ||
| Palatal | M | 6 | 5 | |
| C | 6 | 5 | ||
| D | 6 | 5 | ||
| 34 | Buccal | M | 5 | 4 |
| C | 5 | 4 | ||
| D | 5 | 4 | ||
| Lingual | M | 5 | 4 | |
| C | 5 | 4 | ||
| D | 5 | 4 | ||
| 35 | Buccal | M | 0 | 3 |
| C | 0 | 3 | ||
| D | 0 | 3 | ||
| Lingual | M | 0 | 3 | |
| C | 0 | 3 | ||
| D | 0 | 3 | ||
| 36 | Buccal | M | 6 | 4 |
| C | 6 | 4 | ||
| D | 6 | 4 | ||
| Lingual | M | 6 | 4 | |
| C | 6 | 4 | ||
| D | 6 | 4 |
| Site | Level | PRE (T1) | POST (T2) |
|---|---|---|---|
| CASE1-13 | 1 mm | 1.50 | 6.45 |
| 3 mm | 5.10 | 7.80 | |
| 5 mm | 6.75 | 9.60 | |
| CASE1-14 | 1 mm | 0 | 1.80 |
| 3 mm | 3.60 | 9.45 | |
| 5 mm | 5.40 | 11.10 | |
| CASE2-34 | 1 mm | 4.65 | 4.95 |
| 3 mm | 4.65 | 6.60 | |
| 5 mm | 4.80 | 7.95 | |
| CASE2-35 | 1 mm | 1.35 | 5.70 |
| 3 mm | 2.40 | 7.95 | |
| 5 mm | 2.70 | 9.00 | |
| CASE2-36 | 1 mm | 2.25 | 6.60 |
| 3 mm | 4.20 | 8.85 | |
| 5 mm | 5.25 | 9.75 |
Disclaimer/Publisher’s Note: The statements, opinions and data contained in all publications are solely those of the individual author(s) and contributor(s) and not of MDPI and/or the editor(s). MDPI and/or the editor(s) disclaim responsibility for any injury to people or property resulting from any ideas, methods, instructions or products referred to in the content. |
© 2023 by the authors. Licensee MDPI, Basel, Switzerland. This article is an open access article distributed under the terms and conditions of the Creative Commons Attribution (CC BY) license (https://creativecommons.org/licenses/by/4.0/).
Share and Cite
Tzovairis, A.; Leretter, M.; Vandenberghe, B.; Rossi, R. The Poncho Lamina Technique: A Protocol for Hard and Soft Tissue Augmentation in Atrophic Ridges Receiving Adjacent Implants. Medicina 2023, 59, 1994. https://doi.org/10.3390/medicina59111994
Tzovairis A, Leretter M, Vandenberghe B, Rossi R. The Poncho Lamina Technique: A Protocol for Hard and Soft Tissue Augmentation in Atrophic Ridges Receiving Adjacent Implants. Medicina. 2023; 59(11):1994. https://doi.org/10.3390/medicina59111994
Chicago/Turabian StyleTzovairis, Alexander, Marius Leretter, Bart Vandenberghe, and Roberto Rossi. 2023. "The Poncho Lamina Technique: A Protocol for Hard and Soft Tissue Augmentation in Atrophic Ridges Receiving Adjacent Implants" Medicina 59, no. 11: 1994. https://doi.org/10.3390/medicina59111994
APA StyleTzovairis, A., Leretter, M., Vandenberghe, B., & Rossi, R. (2023). The Poncho Lamina Technique: A Protocol for Hard and Soft Tissue Augmentation in Atrophic Ridges Receiving Adjacent Implants. Medicina, 59(11), 1994. https://doi.org/10.3390/medicina59111994

