Treatment of Mandibular Impacted Canine in a Patient with Class II Division 1 Malocclusion with “Reverse Pin”: A Case Report
Abstract
1. Introduction
Etiology
- Unusual movement of the dental lamina during embryonic life;
- Inheritance factors;
- Cancers, endocrine gland dysfunction;
- Positive torque of lower incisors;
- When trauma at an early age closes the area of lower permanent canine eruption;
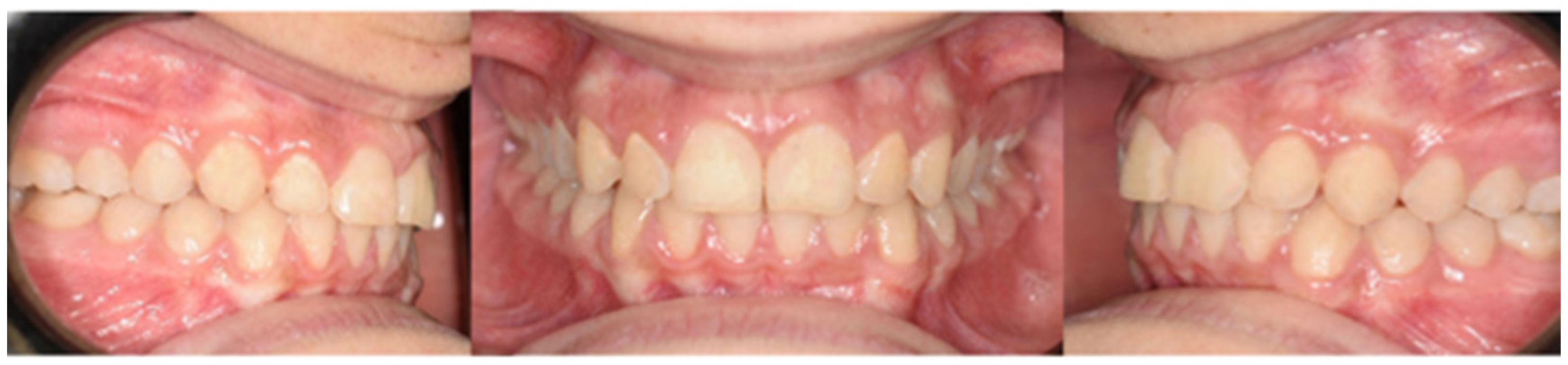
2. Presentation of Case Report
2.1. Treatment Objectives
- Improve overjet and overbite;
- Achieve bilateral canine and molar class I occlusion;
- Increase facial esthetic balance;
- Level the arches and make both coordinate with each other;
- Orthodontic correction of the impacted lower left canine.
2.2. Treatment Alternatives
- Surgical removal of the impacted tooth and conventional bridge or a fixed prosthesis on implant rehabilitation;
- Auto-transplantation, possibly followed by endodontic treatment of mandibular left canine;
- Surgical exposure of impacted left canine following orthodontic alignment in dental arch [22].
2.3. Treatment Progress
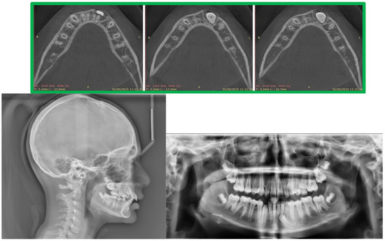
- Surgical exposure of the left mandibular canine using a diode laser (Doctor Smile, Lambda Spa, Brendola, Vi, Italy) for operculectomy and excision of fibromucous tissue. The corticotomy was performed using an ultrasonic piezosurgery system (Mectron Medical Technology, Carasco, Genova, Italy). A bottom (3M Unitek, Monrovia, CA, USA) was placed labially as close as possible to the canine’s coronal tip, combined with a metallic ligature and a cantilever (0.016 × 0.022 TMA, American Orthodontics, Sheboygan, WI, USA) without sutures (Figure 3a,b). The cantilever allowed for distal and buccal traction with light forces (1.7–2.8 ounces). A lingual arch was soldered (passive only on 31–32);
- Fixed multibrackets appliance (American Orthodontics Corp., Sheboygan, WI, USA, MBT prescription) were placed in the upper arch with 0.014 NiTi wire, bent back for controlling anchorage;
- After one month, a 0.016 NiTi wire was inserted in the upper arch;
- Fixed multibracket appliances were placed in the lower arch with a 0.014 NiTi wire, starting vertical traction of the canine. A bent back was used for controlling anchorage;
- After two months, the inferior left canine achieved a vertical position and reached its position in the arch. The bracket was replaced to adjust its axial inclination, and then a 0.016 NiTi wire was inserted;
- Before using stainless steel wire, a ligature from 16 to 26 and 36 to 46 for controlling anchorage was placed;
- 0.016 × 0.022 stainless steel wire was inserted in the upper and lower arches;
- 0.019 × 0.025 stainless steel wire was inserted in the upper and lower arches;
- Reverse Pin System” was placed on 13 and 23 to initiate class II biomechanics. Class II elastics (upper canines and first inferior molars) 3/8 4.5 ounces were used (Figure 3c). Class II elastics were used for 18 h every day;
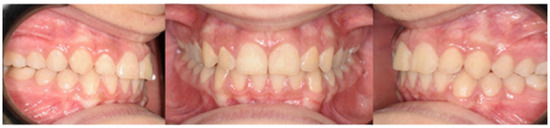
- One year later, class I occlusion was achieved, and the class II elastics were used only during nighttime;
- Two years later, the appliance was deboned, and positioner retainers were given to the patient with the prescription to wear them every night.
3. Discussion
4. Conclusions
Author Contributions
Funding
Institutional Review Board Statement
Informed Consent Statement
Data Availability Statement
Conflicts of Interest
References
- Koc, A.; Kaya, S.; Abdulsalam, W.A. Three-Dimensional Analysis of Impacted Maxillary and Mandibular Canines and Evaluation of Factors Associated with Transmigration on Cone-Beam Computed Tomography Images. J. Oral Maxillofac. Surg. Off. J. Am. Assoc. Oral Maxillofac. Surg. 2021, 79, 538.e1–538.e11. [Google Scholar] [CrossRef]
- Santosh, P. Impacted mandibular third molars: Review of literature and a proposal of a combined clinical and radiological classification. Ann. Med. Health Sci. Res. 2015, 5, 229–234. [Google Scholar] [CrossRef] [PubMed]
- Crincoli, V.; Cazzolla, A.P.; Di Comite, M.; Muzio, L.L.; Ciavarella, D.; Dioguardi, M.; Bizzoca, M.E.; Palmieri, G.; Fontana, A.; Giustino, A.; et al. Evaluation of Vitamin D (25OHD), Bone Alkaline Phosphatase (BALP), Serum Calcium, Serum Phosphorus, Ionized Calcium in Patients with Mandibular Third Molar Impaction. An Observational Study. Nutrients 2021, 13, 1938. [Google Scholar] [CrossRef]
- Tepedino, M.; Laurenziello, M.; Guida, L.; Montaruli, G.; Grassia, V.; Chimenti, C.; Campanelli, M.; Ciavarella, D. Sella turcica and craniofacial morphology in patients with palatally displaced canines: A retrospective study. Folia Morphol. 2020, 79, 51–57. [Google Scholar] [CrossRef] [PubMed]
- Laurenziello, M.; Montaruli, G.; Gallo, C.; Tepedino, M.; Guida, L.; Perillo, L.; Ciavarella, D. Determinants of maxillary canine impaction: Retrospective clinical and radiographic study. J. Clin. Exp. Dent. 2017, 9, e1304. [Google Scholar] [CrossRef]
- Crincoli, V.; Tettamanti, L.; Lucchina, A.G.; Dedola, A.; Cazzolla, A.P.; Lacaita, M.G.; Mastrangelo, F. Correlation between maxillary canine impaction and facial biotype. J. Craniofacial Surg. 2019, 30, 1044–1048. [Google Scholar] [CrossRef] [PubMed]
- Kalia, V.; Aneja, M. Mandibular premolar impaction. Sch. Res. Exch. 2009, 30, 1044–1048. [Google Scholar] [CrossRef][Green Version]
- Jain, S.; Raza, M.; Sharma, P.; Kumar, P. Unraveling impacted maxillary incisors: The why, when, and how. Int. J. Clin. Pediatr. Dent. 2021, 14, 149. [Google Scholar]
- Jain, S.; Debbarma, S. Patterns and prevalence of canine anomalies in orthodontic patients. Med. Pharm. Rep. 2019, 92, 72–78. [Google Scholar] [CrossRef]
- Azeem, M.; Afzal, A.; Ahmed, Z.; Ali, M.M.; Haq, A.U.; Hamid, W.U. Investigation of transmigrated mandibular canines. Dent. Press J. Orthod. 2019, 24, 65–68. [Google Scholar] [CrossRef]
- Mupparapu, M. Patterns of intra-osseous transmigration and ectopic eruption of mandibular canines: Review of literature and report of nine additional cases. Dentomaxillofac Radiol. 2002, 31, 355–360. [Google Scholar] [CrossRef] [PubMed]
- Alhammadi, M.S.; Asiri, H.A.; Almashraqi, A.A. Incidence, severity and orthodontic treatment difficulty index of impacted canines in Saudi population. J. Clin. Exp. Dent. 2018, 10, e327–e334. [Google Scholar] [CrossRef] [PubMed]
- Dalessandri, D.; Parrini, S.; Rubiano, R.; Gallone, D.; Migliorati, M. Impacted and transmigrant mandibular canines incidence, aetiology, and treatment: A systematic review. Eur. J. Orthod. 2017, 39, 161–169. [Google Scholar] [CrossRef] [PubMed]
- Crescini, A.; Baccetti, T.; Rotundo, R.; Mancini, E.A.; Prato, G.P. Tunnel technique for the treatment of impacted mandibular canines. Int. J. Periodontics Restor. Dent. 2009, 29, 213–218. [Google Scholar]
- Plaza, S.P. Orthodontic traction of a transmigrated mandibular canine using mini-implant: A case report and review. J. Orthod. 2016, 43, 314–321. [Google Scholar] [CrossRef]
- Cannavale, R.; Matarese, G.; Isola, G.; Grassia, V.; Perillo, L. Early treatment of an ectopic premolar to prevent molar-premolar transposition. Am. J. Orthod. Dentofacial. Orthop. 2013, 143, 559–569. [Google Scholar] [CrossRef] [PubMed]
- Aydin, U.; Yilmaz, H.H.; Yildirim, D. Incidence of canine impaction and transmigration in a patient population. Dentomaxillofac Radiol. 2004, 33, 164–169. [Google Scholar] [CrossRef]
- Bertl, M.H.; Frey, C.; Bertl, K.; Giannis, K.; Gahleitner, A.; Strbac, G.D. Impacted and transmigrated mandibular canines: An analysis of 3D radiographic imaging data. Clin. Oral Investig. 2018, 22, 2389–2399. [Google Scholar] [CrossRef]
- Grybiene, V.; Juozenaite, D.; Kubiliute, K. Diagnostic methods and treatment strategies of impacted maxillary canines: A literature review. Stomatologija 2019, 21, 3–12. [Google Scholar]
- Greco, M.; Machoy, M. Impacted Canine Management Using Aligners Supported by Orthodontic Temporary Anchorage Devices. Int. J. Env. Res. Public Health 2022, 20, 131. [Google Scholar] [CrossRef]
- Karabas, H.C.; Ozcan, I.; Erturk, A.F.; Guray, B.; Unsal, G.; Senel, S.N. Cone-beam computed tomography evaluation of impacted and transmigrated mandibular canines: A retrospective study. Oral Radiol. 2021, 37, 403–411. [Google Scholar] [CrossRef] [PubMed]
- Stabryła, J.; Plakwicz, P.; Kukuła, K.; Zadurska, M.; Czochrowska, E.M. Comparisons of different treatment methods and their outcomes for impacted maxillary and mandibular canines: A retrospective study. J. Am. Dent. Assoc. 2021, 152, 919–926. [Google Scholar] [CrossRef] [PubMed]
- Herrera-Atoche, J.R.; Esparza-Villalpando, V.; Martínez-Aguilar, V.M.; Carrillo-Ávila, B.A.; Escoffié-Ramírez, M. Treatment options for mandibular canine transmigration - a case series based on dental literature. Br. J. Oral Maxillofac. Surg. 2021, 59, 973–981. [Google Scholar] [CrossRef] [PubMed]
- Männchen, R.; Serafin, M.; Fastuca, R.; Caprioglio, A. Does Early Treatment Improve Clinical Outcome of Class II Patients? A Retrospective Study. Children 2022, 9, 232. [Google Scholar] [CrossRef] [PubMed]
- Proffit, W.R.; Fields, H.W.; Larson, B.; Sarver, D.M. Contemporary Orthodontics—E-Book; Elsevier Health Sciences: London, UK, 2018. [Google Scholar]
- Bertl, M.H.; Frey, C.; Bertl, K.; Giannis, K.; Gahleitner, A.; Strbac, G.D. Reply to: Letter to the editor about the article published in Clinical Oral Investigations tilted: Impacted and transmigrated mandibular canines: An analysis of 3D radiographic imaging data (Bertl MH, Frey C, Bertl K, Giannis K, Gahleitner A, Strbac GD (2018) Clin Oral Investig. https://doi.org/10.1007/s00784-018-2342-0. Oral Investig. 2018, 22, 2959. [Google Scholar]
- Díaz-Sánchez, R.-M.; Castillo-De-Oyagüe, R.; Serrera-Figallo, M.; Hita-Iglesias, P.; Gutiérrez-Pérez, J.-L.; Torres-Lagares, D. Transmigration of mandibular cuspids: Review of published reports and description of nine new cases. Br. J. Oral Maxillofac. Surg. 2016, 54, 241–247. [Google Scholar] [CrossRef] [PubMed]
- Machado, L.; Nascimento, R.D.; Ferreira, D.; Mattos, C.; Vilella, O. Long-term prognosis of tooth autotransplantation: A systematic review and meta-analysis. Int. J. Oral Maxillofac. Surg. 2016, 45, 610–617. [Google Scholar] [CrossRef] [PubMed]
- Grisar, K.; Nys, M.; The, V.; Vrielinck, L.; Schepers, S.; Jacobs, R.; Politis, C. Long-term outcome of autogenously transplanted maxillary canines. Clin. Exp. Dent. Res. 2019, 5, 67–75. [Google Scholar] [CrossRef] [PubMed]
- Moeini, N.; Sabri, H.; Galindo-Fernandez, P.; Mirmohamadsadeghi, H.; Valian, N.K. Periodontal status following orthodontic mini-screw insertion: A prospective clinical split-mouth study. Clin. Exp. Dent. Res. 2023, 9, 596–605. [Google Scholar] [CrossRef]
- Albogha, M.H.; Takahashi, I. Effect of loaded orthodontic miniscrew implant on compressive stresses in adjacent periodontal ligament. Angle Orthod. 2019, 89, 235–241. [Google Scholar] [CrossRef]
- Majumdar, S.K.; Hossain, A.; De, N.; Chadda, D.; Bachhar, M.K.; Mishra, S. Effect of Diagnosis by Two-Dimensional Radiography Versus CBCT on Surgical Aspects of Transmigrated Impacted Mandibular Canines. J. Maxillofac. Oral Surg. 2020, 19, 461–467. [Google Scholar] [CrossRef]
- Crescini, A.; Nieri, M.; Buti, J.; Baccetti, T.; Mauro, S.; Pini Prato, G.P. Short- and long-term periodontal evaluation of impacted canines treated with a closed surgical-orthodontic approach. J. Clin. Periodontol. 2007, 34, 232–242. [Google Scholar] [CrossRef]
- Janson, G.; Sathler, R.; Fernandes, T.M.F.; Branco, N.C.C.; de Freitas, M.R. Correction of Class II malocclusion with Class II elastics: A systematic review. Am. J. Orthod. Dentofac. Orthop. 2013, 143, 383–392. [Google Scholar] [CrossRef]
- Sambataro, S.; Bocchieri, S.; Bafumi, L.; Fiorillo, L.; Cervino, G.; Cicciù, M. Elastics Selector Gauge as Orthodontics Device Applied to Inter-Maxillary Traction during Malocclusion Correction. J. Funct. Morphol. Kinesiol. 2019, 4, 63. [Google Scholar] [CrossRef]
- Pontes, L.F.; Maia, F.A.; Almeida, M.R.; Flores-Mir, C.; Normando, D. Mandibular Protraction Appliance Effects in Class II Malocclusion in Children, Adolescents and Young Adults. Braz. Dent. J. 2017, 28, 225–233. [Google Scholar] [CrossRef] [PubMed]









| Measurement | Initial | Final | Norm |
|---|---|---|---|
| S^N^A | 85.2° | 85.5° | 81° |
| S^N^B | 81.3° | 81.8° | 79° |
| A^N^B | 4.2° | 3.7 | 2° |
| SN^Pog | 82.5° | 84.3° | 80° |
| S | 107.7° | 122.8° | 123° ± 5° |
| AR | 168.2° | 143° | 143° ± 6° |
| Go | 106.2 | 111.4° | 130° ± 7° |
| Upper gonial angle | 43.2° | 50° | 52°–55° |
| Lower gonial angle | 63° | 61.3° | 70°–75° |
| N^S^Ar^Go^Gn | 382.1° | 377.2° | 396° |
| Sn/Go-Me | 22.2° | 17.1° | 32° |
| SN | 67.6 mm | 69.7 mm | 71 mm |
| GoMe | 72.3 mm | 78.3 mm | 71 mm |
| S-Ar | 41.3 mm | 32.6 mm | 32 mm |
| Ar-Go | 33.1 mm | 53.8 mm | 44 mm |
| Dentoalveolar component | |||
| UI^SN | 116.15° | 113.37° | 102° ± 2° |
| LI^GOME | 109.72° | 114.5° | 90° ± 3° |
| Interincisal angle | 111.98° | 115.07° | 135° |
Disclaimer/Publisher’s Note: The statements, opinions and data contained in all publications are solely those of the individual author(s) and contributor(s) and not of MDPI and/or the editor(s). MDPI and/or the editor(s) disclaim responsibility for any injury to people or property resulting from any ideas, methods, instructions or products referred to in the content. |
© 2023 by the authors. Licensee MDPI, Basel, Switzerland. This article is an open access article distributed under the terms and conditions of the Creative Commons Attribution (CC BY) license (https://creativecommons.org/licenses/by/4.0/).
Share and Cite
Ciavarella, D.; Maci, M.; Fanelli, C.; Lorusso, M.; Laurenziello, M.; Lo Muzio, L.; Caroprese, M.; Cazzolla, A.P.; Tepedino, M. Treatment of Mandibular Impacted Canine in a Patient with Class II Division 1 Malocclusion with “Reverse Pin”: A Case Report. Medicina 2023, 59, 1774. https://doi.org/10.3390/medicina59101774
Ciavarella D, Maci M, Fanelli C, Lorusso M, Laurenziello M, Lo Muzio L, Caroprese M, Cazzolla AP, Tepedino M. Treatment of Mandibular Impacted Canine in a Patient with Class II Division 1 Malocclusion with “Reverse Pin”: A Case Report. Medicina. 2023; 59(10):1774. https://doi.org/10.3390/medicina59101774
Chicago/Turabian StyleCiavarella, Domenico, Marta Maci, Carlotta Fanelli, Mauro Lorusso, Michele Laurenziello, Lorenzo Lo Muzio, Marino Caroprese, Angela Pia Cazzolla, and Michele Tepedino. 2023. "Treatment of Mandibular Impacted Canine in a Patient with Class II Division 1 Malocclusion with “Reverse Pin”: A Case Report" Medicina 59, no. 10: 1774. https://doi.org/10.3390/medicina59101774
APA StyleCiavarella, D., Maci, M., Fanelli, C., Lorusso, M., Laurenziello, M., Lo Muzio, L., Caroprese, M., Cazzolla, A. P., & Tepedino, M. (2023). Treatment of Mandibular Impacted Canine in a Patient with Class II Division 1 Malocclusion with “Reverse Pin”: A Case Report. Medicina, 59(10), 1774. https://doi.org/10.3390/medicina59101774

