Diffuse Large B-Cell lymphoma Misdiagnosed as a Hematoma: Case Report
Abstract
:1. Introduction
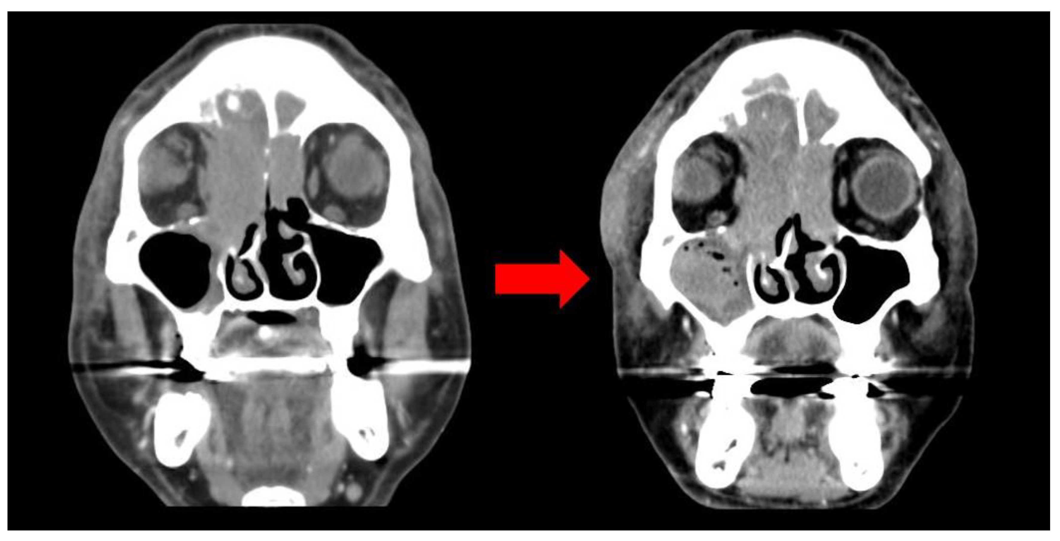
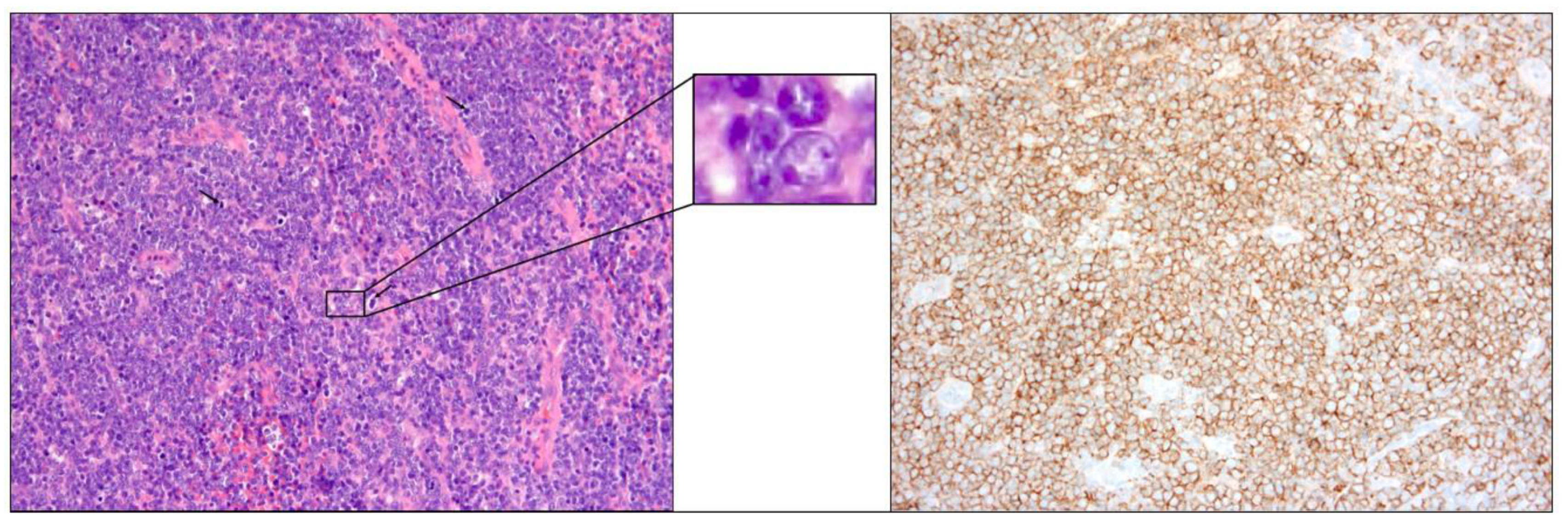
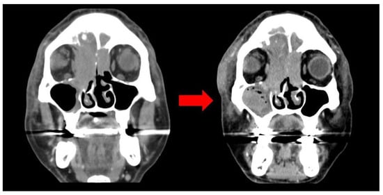
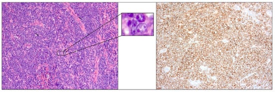
2. Case Report
3. Discussion
4. Conclusions
Author Contributions
Funding
Institutional Review Board Statement
Informed Consent Statement
Data Availability Statement
Conflicts of Interest
References
- Boulaadas, M.; Benazzou, S.; Sefiani, S.; Nazih, N.; Essakalli, L.; Kzadri, M. Primary extranodal non-Hodgkin lymphoma of the oral cavity. J. Craniofac. Surg. 2008, 4, 1183–1185. [Google Scholar] [CrossRef] [PubMed]
- Willemze, R.; Meijer, C.J.L.M. EORTC classification for primary cutaneous lymphomas: A comparison with the REAL Classification and the proposed WHO Classification. Ann. Oncol. 2000, 11, S11–S15. [Google Scholar] [CrossRef]
- Sokołowska-Wojdyło, M.; Roszkiewicz, J. Primary Cutaneous Lymphomas: Diagnosis and treatment. Postepy Dermatol Alergol 2015, 32, 368–383. [Google Scholar] [CrossRef] [PubMed]
- Sokołowska-Wojdyło, M.; Sikorska, M.; Florek, A.; Drogoszewska, B.; Kowalczyk, A.; Starzyńska, A.; Szczerkowska-Dobosz, A.; Barańska-Rybak, W.; Włodarkiewicz, A. Lymphomas of the head and neck in dermatological practice. Postępy Dermatol. Alergol. 2012, 29, 313–320. [Google Scholar] [CrossRef]
- Vitiello, P.; Sica, A.; Ronchi, A.; Caccavale, S.; Franco, R.; Argenziano, G. Primary cutaneous B-cell lymphomas: An update. Front. Oncol. 2020, 10, 651. [Google Scholar] [CrossRef] [PubMed]
- Willemze, R.; Cerroni, L.; Kempf, W.; Berti, E.; Facchetti, F.; Swerdlow, S.H.; Jaffe, E.S. The 2018 update of the WHO-EORTC classification for primary cutaneous lymphomas. Blood 2019, 133, 1703–1714. [Google Scholar] [CrossRef]
- Ansari, M.H. Blindness after facial fractures: A 19-year retrospective study. J. Oral Maxillofac. Surg. 2005, 63, 229–237. [Google Scholar] [CrossRef]
- Haubner, F.; Jägle, H.; Nunes, D.P.; Schleder, S.; Cvetkova, N.; Kühnel, T.; Gassner, H.G. Orbital compartment: Effects of emergent canthotomy and cantholysis. Eur. Arch. Otorhinolaryngol. 2015, 272, 479–483. [Google Scholar] [CrossRef] [PubMed]
- Lem, M.; Oyur, K.B.; Labove, G.; Hoang-Tran, C.; Bhola, R. Lateral Canthotomy and Cantholysis for Spontaneous Retrobulbar Hemorrhage with Normal Intraocular Pressures: Case Report and Review of the Literature. FACE 2022, 3, 536–539. [Google Scholar] [CrossRef]
- Hartmann, F.; Hiddemann, W.; Pfreundschuh, M.; Rübe, M.; Trümper, L. Maligne lymphome. Onkologe 2002, 8 (Suppl. 1), 21–27. [Google Scholar] [CrossRef]
- Rüdiger, T.; Müller-Hermelink, H.K. Die WHO-Klassifikation maligner Lymphome. Radiologe 2002, 42, 936–942. [Google Scholar] [CrossRef] [PubMed]
- Ferry, J.A.; Fung, C.Y.; Zukerberg, L.; Lucarelli, M.J.; Hasserjian, R.P.; Preffer, F.I.; Harris, N.L. Lymphoma of the ocular adnexa: A study of 353 cases. Am. J. Surg. Pathol. 2007, 32, 170–184. [Google Scholar] [CrossRef] [PubMed]
- Gulia, A.; Saggini, A.; Wiesner, T.; Fink-Puches, R.; Argenyi, Z.; Ferrara, G.; Müller, C.S.L.; Vale, E.; Cerroni, L. Clinicopathologic features of early lesions of primary cutaneous follicle center lymphoma, diffuse type: Implications for early diagnosis and treatment. J. Am. Acad. Dermatol. 2011, 65, 991–1000. [Google Scholar] [CrossRef]
- Persky, D.O.; Unger, J.M.; Spier, C.M.; Stea, B.; LeBlanc, M.; McCarty, M.J.; Rimsza, L.M.; Fisher, R.I.; Miller, T.P. Phase II study of rituximab plus three cycles of CHOP and involved-field radiotherapy for patients with limited-stage aggressive B-cell lymphoma: Southwest Oncology Group study 0014. J. Clin. Oncol. 2008, 26, 2258–2263. [Google Scholar] [CrossRef]
- Persky, D.O.; Unger, J.M.; Spier, C.M.; Stea, B.; LeBlanc, M.; McCarty, M.J.; Rimsza, L.M.; Fisher, R.I.; Miller, T.P. Chemotherapy alone compared with chemotherapy plus radiotherapy for localized intermediate- and high-grade non-Hodgkin’s lymphoma. N. Engl. J. Med. 1998, 339, 21–26. [Google Scholar]
- Campo, E.; Harris, N.L.; Jaffe, E.S.; Pileri, S.A.; Stein, H.; Thiele, J.; Vardiman, J.W. WHO Classification of Tumors of Haematopoietic and Lymphoid Tissues; International Agency for Research on Cancer: Lyon, France, 2008; p. 242. [Google Scholar]
- Grange, F.; Beylot-Barry, M.; Courville, P.; Maubec, E.; Bagot, M.; Vergier, B.; Souteyrand, P.; Machet, L.; Dalac, S.; Esteve, E.; et al. Primary cutaneous diffuse large B-cell lymphoma, leg type. Arch. Dermatol. 2007, 143, 1144–1150. [Google Scholar] [CrossRef]
- Senff, N.J.; Noordijk, E.M.; Kim, Y.H.; Bagot, M.; Berti, E.; Cerroni, L.; Dummer, R.; Duvic, M.; Hoppe, R.T.; Pimpinelli, N.; et al. EORTC and ISCL consensus recommendations for the management of cutaneous B-cell lymphomas. Blood 2008, 112, 1600–1609. [Google Scholar] [CrossRef]
- Morioka, T.; Tahima, T.; Nishio, S.; Nishie, E.; Fukui, M.; Okamura, T. Malignant lymphoma of the scalp at the site of a previous blunt trauma: Report of two cases. Surg. Neurol. 1994, 42, 117–120. [Google Scholar] [CrossRef] [PubMed]
- Chen, R.F.; Chen, C.T.; Liao, H.T.; Chen, C.H.; Chen, Y.R. Primary cutaneous anaplastic large cell lymphoma of the face presenting as posttraumatic maxillary sinusitis. J. Craniofac. Surg. 2008, 19, 1597–1599. [Google Scholar] [CrossRef]
- Soylu, M.; Ozcan, A.A.; Okay, O.; Sasmaz, I.; Tanyeli, A. Non- Hodgkin lymphoma presenting with uveitis occurring after blunt trauma. Pediatr. Hematol. Oncol. 2005, 22, 53–57. [Google Scholar] [CrossRef]
- Quintanilla-Martinez, L.; Jansen, P.M.; Kinney, M.C.; Swerdlow, S.H.; Willemze, R. Non-mycosis fungoides cutaneous T-cell lymphomas: Report of the 2011 Society for Hematopathology/European Association for Haematopathology workshop. Am. J. Clin. Pathol. 2013, 139, 491–514. [Google Scholar] [CrossRef] [PubMed]
- Willemze, R.; Jaffe, E.S.; Burg, G.; Cerroni, L.; Berti, E.; Swerdlow, S.H.; Ralfkiaer, E.; Chimenti, S.; Diaz-Perez, J.L.; Duncan, L.M.; et al. WHO-EORTC classification for cutaneous lymphomas. Blood 2005, 105, 3768–3785. [Google Scholar] [CrossRef] [PubMed]
- Benner, M.F.; Jansen, P.M.; Vermeer, M.H.; Willemze, R. Prognostic factors in transformed mycosis fungoides: A retrospective analysis of 100 cases. Blood 2012, 119, 1643–1649. [Google Scholar] [CrossRef]
- Phan, A.; Veldman, R.; Lechowicz, M.J. T-cell Lymphoma Epidemiology: The Known and Unknown. Curr. Hematol. Malig. Rep. 2016, 11, 492–503. [Google Scholar] [CrossRef] [PubMed]



Disclaimer/Publisher’s Note: The statements, opinions and data contained in all publications are solely those of the individual author(s) and contributor(s) and not of MDPI and/or the editor(s). MDPI and/or the editor(s) disclaim responsibility for any injury to people or property resulting from any ideas, methods, instructions or products referred to in the content. |
© 2023 by the authors. Licensee MDPI, Basel, Switzerland. This article is an open access article distributed under the terms and conditions of the Creative Commons Attribution (CC BY) license (https://creativecommons.org/licenses/by/4.0/).
Share and Cite
Lee, J.H.; Yun, J. Diffuse Large B-Cell lymphoma Misdiagnosed as a Hematoma: Case Report. Medicina 2023, 59, 1775. https://doi.org/10.3390/medicina59101775
Lee JH, Yun J. Diffuse Large B-Cell lymphoma Misdiagnosed as a Hematoma: Case Report. Medicina. 2023; 59(10):1775. https://doi.org/10.3390/medicina59101775
Chicago/Turabian StyleLee, Jae Hyun, and Jiyoung Yun. 2023. "Diffuse Large B-Cell lymphoma Misdiagnosed as a Hematoma: Case Report" Medicina 59, no. 10: 1775. https://doi.org/10.3390/medicina59101775
APA StyleLee, J. H., & Yun, J. (2023). Diffuse Large B-Cell lymphoma Misdiagnosed as a Hematoma: Case Report. Medicina, 59(10), 1775. https://doi.org/10.3390/medicina59101775

