Percutaneous Nephrolithotomy Combined Antegrade Flexible Ureteroscope for Complete Staghorn Stones: A Case Report of a New Concept of Stone Surgery
Abstract
1. Introduction
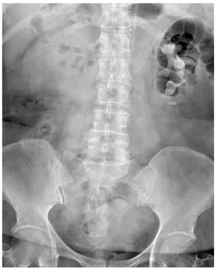
2. Case Presentation
3. Discussion
Author Contributions
Funding
Institutional Review Board Statement
Informed Consent Statement
Data Availability Statement
Conflicts of Interest
References
- Chang, C.K.; Wu, Y.H.; Shih, M.P.; Geng, J.H. Intracardiac Migration of the Ureteral Double-J Stent during Percutaneous Nephrolithotomy. Medicina 2021, 57, 939. [Google Scholar] [CrossRef]
- Doykov, M.; Kostov, G.; Doykova, K. Factors Affecting Residual Stone Rate, Operative Duration, and Complications in Patients Undergoing Minimally Invasive Percutaneous Nephrolithotomy. Medicina 2022, 58, 422. [Google Scholar] [CrossRef] [PubMed]
- Turk, C.; Petrik, A.; Sarica, K.; Seitz, C.; Skolarikos, A.; Straub, M.; Knoll, T. EAU Guidelines on Interventional Treatment for Urolithiasis. Eur. Urol. 2016, 69, 475–482. [Google Scholar] [CrossRef]
- Lv, G.; Zhang, Z.; Du, F.; Qi, W.; Zhong, M.; Zhou, Y.; Zhou, C.; Li, Y.; Zhang, D. Comparison of flexible ureteroscopy and mini-percutaneous nephrolithotomy in the treatment for multiple nephrolithiasis. Front. Surg. 2022, 9, 1004432. [Google Scholar] [CrossRef] [PubMed]
- Cracco, C.M.; Scoffone, C.M. Endoscopic combined intrarenal surgery (ECIRS)—Tips and tricks to improve outcomes: A systematic review. Turk. J. Urol. 2020, 46, S46–S57. [Google Scholar] [CrossRef] [PubMed]
- Cracco, C.M.; Scoffone, C.M. ECIRS (Endoscopic Combined Intrarenal Surgery) in the Galdakao-modified supine Valdivia position: A new life for percutaneous surgery? World J. Urol. 2011, 29, 821–827. [Google Scholar] [CrossRef] [PubMed]
- Malone, J.; Gebner, R.; Weyand, J. Staghorn Calculus: A Stone out of Proportion to Pain. Clin. Pract. Cases Emerg. Med. 2021, 5, 360–361. [Google Scholar] [CrossRef] [PubMed]
- Diri, A.; Diri, B. Management of staghorn renal stones. Ren. Fail. 2018, 40, 357–362. [Google Scholar] [CrossRef] [PubMed]
- Nourian, S.M.A.; Bahrami, M. Open surgery versus percutaneous nephrolithotomy for management of staghorn calculi. Am. J. Clin. Exp. Urol. 2022, 10, 271–276. [Google Scholar] [PubMed]
- Liu, Y.H.; Jhou, H.J.; Chou, M.H.; Wu, S.T.; Cha, T.L.; Yu, D.S.; Sun, G.H.; Chen, P.H.; Meng, E. Endoscopic Combined Intrarenal Surgery Versus Percutaneous Nephrolithotomy for Complex Renal Stones: A Systematic Review and Meta-Analysis. J. Pers. Med. 2022, 12, 532. [Google Scholar] [CrossRef] [PubMed]
- Zhao, F.; Li, J.; Tang, L.; Li, C. A comparative study of endoscopic combined intrarenal surgery (ECIRS) in the galdakao-modified supine valdivia (GMSV) position and minimally invasive percutaneous nephrolithotomy for complex nephrolithiasis: A retrospective single-center study. Urolithiasis 2021, 49, 161–166. [Google Scholar] [CrossRef] [PubMed]





Disclaimer/Publisher’s Note: The statements, opinions and data contained in all publications are solely those of the individual author(s) and contributor(s) and not of MDPI and/or the editor(s). MDPI and/or the editor(s) disclaim responsibility for any injury to people or property resulting from any ideas, methods, instructions or products referred to in the content. |
© 2022 by the authors. Licensee MDPI, Basel, Switzerland. This article is an open access article distributed under the terms and conditions of the Creative Commons Attribution (CC BY) license (https://creativecommons.org/licenses/by/4.0/).
Share and Cite
Pan, S.-Y.; Huang, C.-P.; Chen, W.-C.; Chen, Y.-H.; Chou, E.C.-L. Percutaneous Nephrolithotomy Combined Antegrade Flexible Ureteroscope for Complete Staghorn Stones: A Case Report of a New Concept of Stone Surgery. Medicina 2023, 59, 35. https://doi.org/10.3390/medicina59010035
Pan S-Y, Huang C-P, Chen W-C, Chen Y-H, Chou EC-L. Percutaneous Nephrolithotomy Combined Antegrade Flexible Ureteroscope for Complete Staghorn Stones: A Case Report of a New Concept of Stone Surgery. Medicina. 2023; 59(1):35. https://doi.org/10.3390/medicina59010035
Chicago/Turabian StylePan, Szu-Ying, Chi-Ping Huang, Wen-Chi Chen, Yung-Hsiang Chen, and Eric Chieh-Lung Chou. 2023. "Percutaneous Nephrolithotomy Combined Antegrade Flexible Ureteroscope for Complete Staghorn Stones: A Case Report of a New Concept of Stone Surgery" Medicina 59, no. 1: 35. https://doi.org/10.3390/medicina59010035
APA StylePan, S.-Y., Huang, C.-P., Chen, W.-C., Chen, Y.-H., & Chou, E. C.-L. (2023). Percutaneous Nephrolithotomy Combined Antegrade Flexible Ureteroscope for Complete Staghorn Stones: A Case Report of a New Concept of Stone Surgery. Medicina, 59(1), 35. https://doi.org/10.3390/medicina59010035

