Revision Total Knee Arthroplasty Utilizing Threaded Pins in Cement for Tibial Bone Loss
Abstract
1. Introduction
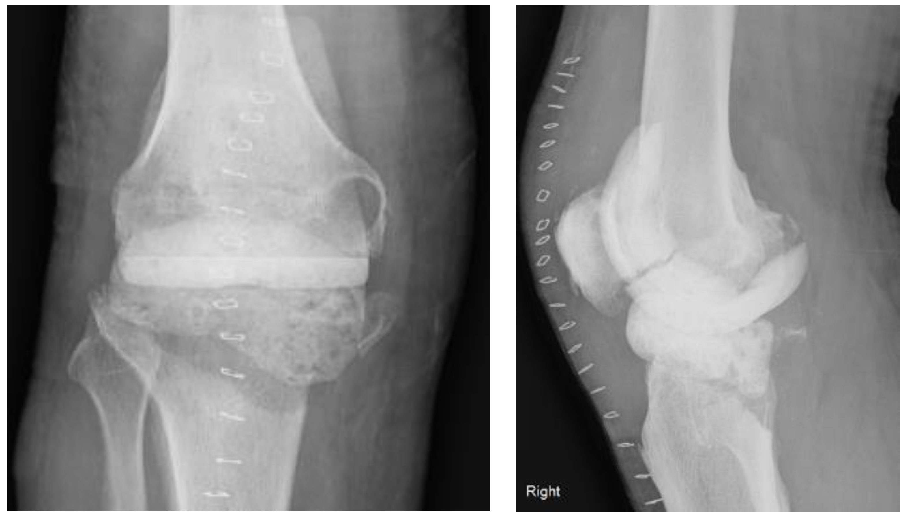
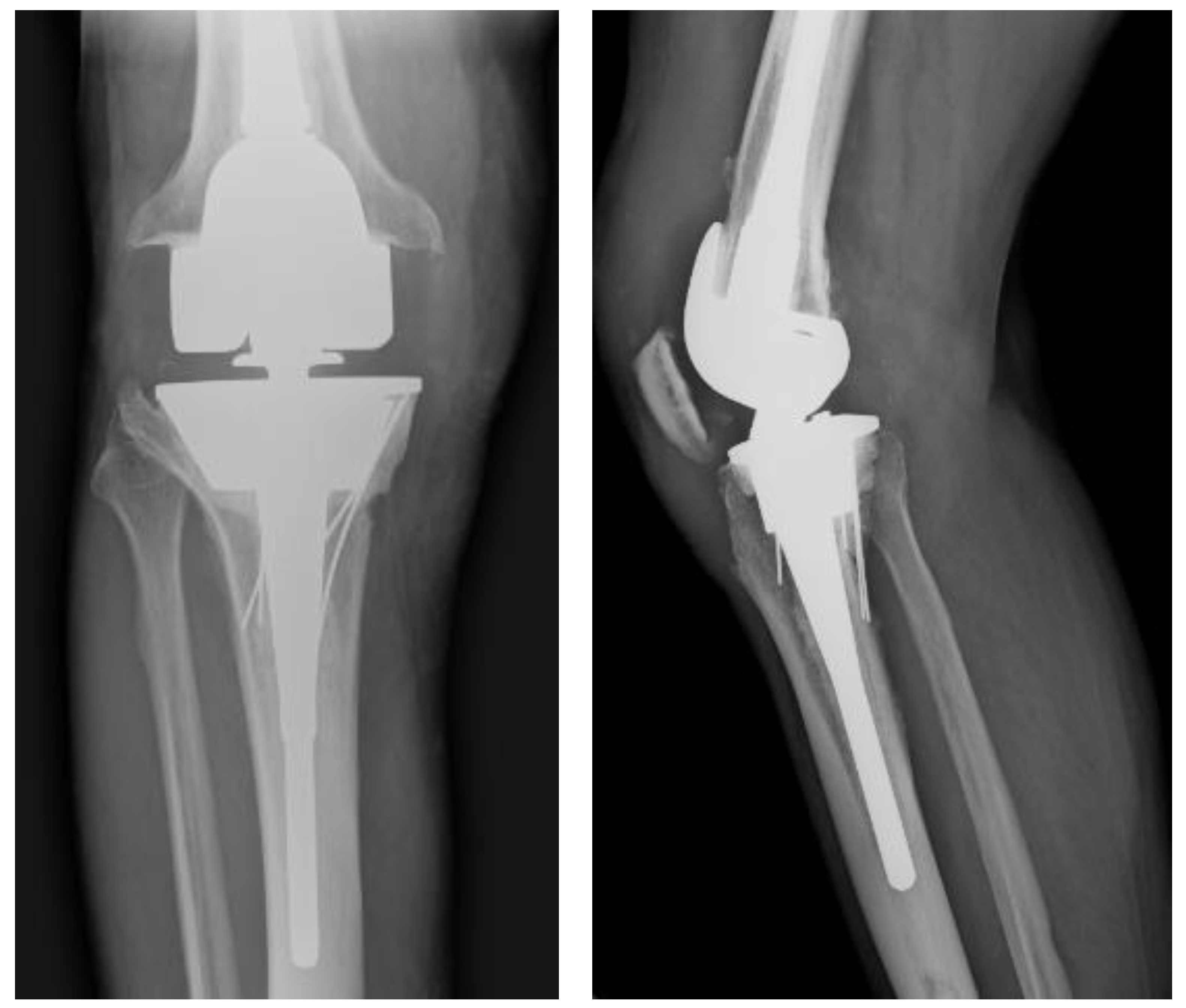
2. Case Description
3. Discussion
4. Conclusions
Author Contributions
Funding
Institutional Review Board Statement
Informed Consent Statement
Data Availability Statement
Conflicts of Interest
References
- Cinotti, G.; Ripani, F.R.; Ciolli, G.; La Torre, G.; Giannicola, G. The native coronal orientation of tibial plateaus may limit the indications to perform a kinematic aligned total knee arthroplasty. Knee Surg. Sports Traumatol. Arthrosc. 2019, 27, 1442–1449. [Google Scholar] [CrossRef] [PubMed]
- Rivière, C.; Iranpour, F.; Auvinet, E.; Howell, S.; Vendittoli, P.-A.; Cobb, J.; Parratte, S. Alignment options for total knee arthroplasty: A systematic review. Orthop. Traumatol. Surg. Res. 2017, 103, 1047–1056. [Google Scholar] [CrossRef] [PubMed]
- Myers, G.J.C.; Abudu, A.T.; Carter, S.R.; Tillman, R.M.; Grimer, R.J. The long-term results of endoprosthetic replacement of the proximal tibia for bone tumours. J. Bone Jt. Surg Br. 2007, 89, 1632–1637. [Google Scholar] [CrossRef] [PubMed]
- Kostuj, T.; Streit, R.; Baums, M.H.; Schaper, K.; Meurer, A. Midterm Outcome after Mega-Prosthesis Implanted in Patients with Bony Defects in Cases of Revision Compared to Patients with Malignant Tumors. J. Arthroplast. 2015, 30, 1592–1596. [Google Scholar] [CrossRef]
- Shehadeh, A.; Noveau, J.; Malawer, M.; Henshaw, R. Late complications and survival of endoprosthetic reconstruction after resection of bone tumors. Clin. Orthop. Relat. Res. 2010, 468, 2885–2895. [Google Scholar] [CrossRef]
- Brooks, P.J.; Walker, P.S.; Scott, R.D. Tibial component fixation in deficient tibial bone stock. Clin. Orthop. Relat. Res. 1984, 184, 302–308. [Google Scholar] [CrossRef]
- Bilgen, M.S.; Eken, G.; Guney, N. Short-term results of the management of severe bone defects in primary TKA with cement and K-wires. Acta Orthop. Traumatol. Turc. 2017, 51, 388–392. [Google Scholar] [CrossRef] [PubMed]
- Sculco, P.K.; Abdel, M.P.; Hanssen, A.D.; Lewallen, D.G. The management of bone loss in revision total knee arthroplasty. Bone Jt. J. 2016, 98 (Suppl. A), 120–124. [Google Scholar] [CrossRef] [PubMed]
- Ghazavi, M.T.; Stockley, I.; Yee, G.; Davis, A.; Gross, A.E. Reconstruction of massive bone defects with allograft in revision total knee arthroplasty. J. Bone Jt. Surg Am. 1997, 79, 17–25. [Google Scholar] [CrossRef]
- Xie, S.; Conlisk, N.; Hamilton, D.; Scott, C.; Burnett, R.; Pankaj, P. Metaphyseal cones in revision total knee arthroplasty: The role of stems. Bone Jt. Res. 2020, 9, 162–172. [Google Scholar] [CrossRef] [PubMed]
- Dorr, L.D.; Ranawat, C.S.; Sculco, T.A.; McKaskill, B.; Orisek, B.S. Bone graft for tibial defects in total knee arthroplasty. Clin. Orthop. Relat. Res. 1986, 205, 153–165. [Google Scholar] [CrossRef]
- Qiu, Y.Y.; Yan, C.H.; Chiu, K.Y.; Ng, F.Y. Review article: Treatments for bone loss in revision total knee arthroplasty. J. Orthop. Surg. 2012, 20, 78–86. [Google Scholar] [CrossRef] [PubMed]
- Cuckler, J. Bone loss in total knee arthroplasty: Graft augment and options. J. Arthroplast. 2004, 19, 56–58. [Google Scholar] [CrossRef] [PubMed]
- Pala, E.; Trovarelli, G.; Calabrò, T.; Angelini, A.; Abati, C.N.; Ruggieri, P. Survival of modern knee tumor megaprostheses: Failures, functional results, and a comparative statistical analysis. Clin. Orthop. Relat. Res. 2015, 473, 891–899. [Google Scholar] [CrossRef] [PubMed]





| Disclaimer/Publisher’s Note: The statements, opinions and data contained in all publications are solely those of the individual author(s) and contributor(s) and not of MDPI and/or the editor(s). MDPI and/or the editor(s) disclaim responsibility for any injury to people or property resulting from any ideas, methods, instructions or products referred to in the content. | 
© 2023 by the authors. Licensee MDPI, Basel, Switzerland. This article is an open access article distributed under the terms and conditions of the Creative Commons Attribution (CC BY) license (https://creativecommons.org/licenses/by/4.0/).
Share and Cite
Jiganti, M.; Tedesco, N. Revision Total Knee Arthroplasty Utilizing Threaded Pins in Cement for Tibial Bone Loss. Medicina 2023, 59, 162. https://doi.org/10.3390/medicina59010162
Jiganti M, Tedesco N. Revision Total Knee Arthroplasty Utilizing Threaded Pins in Cement for Tibial Bone Loss. Medicina. 2023; 59(1):162. https://doi.org/10.3390/medicina59010162
Chicago/Turabian StyleJiganti, Max, and Nicholas Tedesco. 2023. "Revision Total Knee Arthroplasty Utilizing Threaded Pins in Cement for Tibial Bone Loss" Medicina 59, no. 1: 162. https://doi.org/10.3390/medicina59010162
APA StyleJiganti, M., & Tedesco, N. (2023). Revision Total Knee Arthroplasty Utilizing Threaded Pins in Cement for Tibial Bone Loss. Medicina, 59(1), 162. https://doi.org/10.3390/medicina59010162
 
        

