Abstract
Colonic malakoplakia is an uncommon granulomatous development of cells resulting from the impaired capacity of the mononuclear cells to eliminate the phagocytosed bacteria, and in rare cases it can also affect the gastrointestinal tract. We report the case of a 78-year-old female patient that was admitted to hospital by The Emergency Department with the diagnosis of bowel obstruction, confirmed by the clinical and paraclinical investigations. We decided to surgically manage the case for suspicious symptomatic colonic neoplasm. The histological examination of the surgical specimens revealed colonic malakoplakia, characterized by the presence of the aggregated granular histiocytes and Michaelis-Gutmann bodies. Through this paper, we want to raise awareness for Malakoplakia, which remains an extremely rare disease that may affect multiple organs, and because it does not present specific symptoms or clinical manifestations, the final diagnosis remains the histopathological study. The clinical conduct should be decided after taking into consideration all the aspects of this pathology along with the benefits and risks for the patient.
1. Introduction
Malakoplakia was described for the first time by Michaelis and Gutmann in 1902 [1]. One year later, von Hansemann specified the term “malakoplakia”, derived from the Greek “malakos” (soft) and “plakos” (plate) [1].
This pathology is more frequently encountered in the urinary tract—about 75% of the reported literature cases. The gastrointestinal tract is the second most common site for the lesions, particularly the descending colon, sigmoid and rectum [2,3]. Malakoplakia can also be identified in various sites, such as the liver, pancreas, retroperitoneum, respiratory tract, genital organs, lymph nodes and even in the brain [4].
In our days, knowing the etymology of this rare pathology, we might state that the clinical appearance varies along the gastrointestinal tract and it can be identified as flat lesions, mucosal erosions or plaques, ulcerations or even polyps of different sizes. In some cases, patients might present tumors with characteristics of malignancy [5,6].
Colonic Malakoplakia was defined in most patients as part of a preexisting pathology like the diverticular disease or the ulcerative colitis, or in rare, isolated cases associated with a rectal or sigmoid colon adenocarcinoma. It has a non-specific clinical presentation in close relationship with the involved organ or region and it might result in symptoms such as abdominal pain, diarrhea, gastrointestinal bleeding or even bowel obstruction mimicking a colonic neoplasia [7].
In the pathogenesis of the malakoplakia are supposed to be involved the deficiency of guanosine monophosphate dehydrogenase and the deficiency of beta-glucuronidase, which modifies the microtubular and lysosomal function resulting in the incomplete elimination of bacteria from the macrophages. Current evidence indicates a connection with the activity of the macrophages.
The human β-glucuronidase is a type of glucuronidase, a member of the glycosidase 2 family, which catalyzes the hydrolysis of β-D-glucuronic acid residues from the non-translational end of mucopolysaccharides [4]. It is located in the lysosomes and it is essential for effective lysosomal bactericidal activity. In the intestine, the β-glucuronidase is involved in the conversion of the conjugated bilirubin to the unconjugated form for reabsorption. The human β-glucuronidase is homologous to the enzyme Escherichia coli β-galactosidase [5].
The guanosine monophosphate-dehydrogenase is a regulator of intracellular guanine nucleotides and it is therefore important in DNA and RNA synthesis. The synthesis of guanine nucleotides is essential for maintaining normal cell function and growth. It is also important for maintaining cell proliferation and immune responses. B and T lymphocytes depend on guanosine monophosphate dehydrogenase for normal activation and function [6,7].
The macroscopic aspect of the malakoplakia lesion is solid, soft, friable, yellow or brown-yellow, of different sizes and with different distribution patterns. From a histological point of view, there is a diffuse histiocytic infiltration with eosinophilic granular cytoplasm (von Hansemann cells), containing characteristic basophilic laminated cytoplasmic inclusions, called Michaelis-Gutmann bodies, which are specifically colored in PAS staining (Schiff Periodic Acid) [8,9,10].
Malakoplakia is caused by deficits in phagocytic or degradative functions of the macrophages, as a response to the infections with Gram-negative coliform bacteria (Escherichia coli, Staphylococcus Aureus, Mycobacterium Tuberculosis or Proteus mirabilis), which may lead to chronic inflammatory status, followed by accumulation of intracellular iron and calcium deposits that create mineralization (Michaelis-Gutmann bodies) [10,11].
The clinicians must be aware of the presence of this unusual pathology along the gastrointestinal tract. When the lesion can be identified as a polyp, nodule, presents ulcerations or is associated with lymph node involvement, malakoplakia can be very easily mistaken as a malignancy. The literature contains cases in which the patients diagnosed with malakoplakia presented various associations between colorectal adenocarcinoma, adenomas, systemic diseases or without any link with another pathology [12].
The diagnosis can be very challenging, and in the majority of the cases stated in the literature, the pathological report was unexpected. In this paper, we are illustrating a case of colonic malakoplakia that was mimicking a locally advanced colorectal neoplasm, without any association with a colorectal adenocarcinoma, an adenoma or a systemic disease, which makes it a rare occurrence.
2. Case Report
T.D., a 78-year-old patient admitted by emergency in the 2nd Clinical Surgery Department of “Sf. Apostol Andrei” Emergency Clinical County Hospital Galati, for diffuse abdominal pain, absence of the intestinal transit, nausea and vomiting, symptoms which have started three days before presentation to the hospital.
The laboratory examinations did not capture any pathological changes: WBC 5.560/mmc, Hb 11.8 g/dl, Ht 37.7%, PLT 252,000/mmc, Glycemia 99 mg/dl, AST 15 U/L, ALT 15 U/L, creatinine 1.17 mg/dl and urea 40 mg/dl.
The abdominal radiography revealed hydroaerial levels in the right side of the abdomen and hypogastrium.
The abdominal ultrasound showed:
- left liver lobe = 58 mm,
- right lobe of the liver = 144 mm, with slightly increased echogenicity and microgranular structure,
- PV (portal vein) = 12 mm,
- CBP (main biliary duct) = 5 mm,
- non-dilated CBIH (intrahepatic biliary duct),
- folded gallbladder in lower 1/3, with micro calculus of 5–6 mm,
- homogeneous pancreas,
- homogeneous spleen with 81 mm long axis,
- RK (right kidney) of normal size, IP retained, calculi of 5–6 mm, no pyelocaliceal dilations,
- LK (left kidney) of normal size, IP retained, calculi of 5–6 mm, no pyelocaliceal dilations,
- the urinary bladder half-full, without changes,
- marked aerocolia on the colic frame, without free intraperitoneal fluid.
We also performed an abdominal and pelvic computed tomography enhanced with contrast agent, which described a marked distension with hydroaerial levels and parietal aerial inclusions (pneumatosis) involving the intestinal loops, cecum and ascending colon, up to the hepatic angle, where a 10 mm thickened wall area was highlighted.
Given the symptoms of the patient and the paraclinical findings and established clinical diagnosis of bowel obstruction, we decided to manage this case by performing an emergency surgery.
During surgery, after close inspection of the whole abdominal cavity, the team identified a stenosing mass located in the hepatic angle of the ascending colon and subsequent bowel obstruction. We decided that a right hemicolectomy with ileotransversoanastomosis was the best surgical approach for our patient and we performed it.
Figure 1 illustrates the appearance of the portion of the bowel that was surgically resected and was set to the anatomopathological laboratory for histological diagnosis.
Figure 1.
The appearance of the resected portion (2nd Surgery Clinic, patient T.D.).
The postoperative evolution of the patient was favorable and uneventful, with the improvement of the general state, decreasing need for painkillers, active mobilization and good digestive tolerance.
The patient was discharged after 14 days, and was aware and cooperative and in good general state.
3. Pathologic Findings
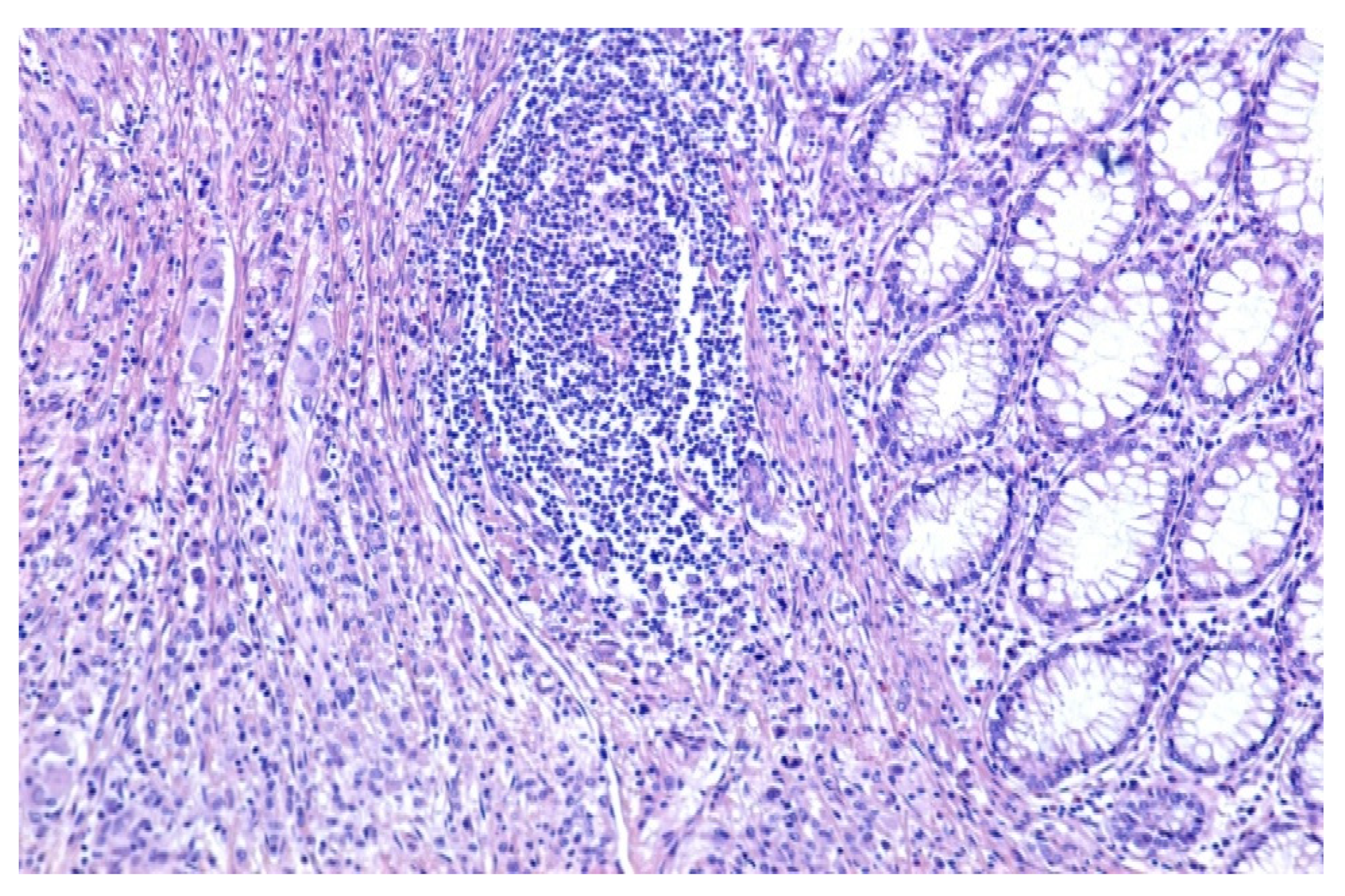
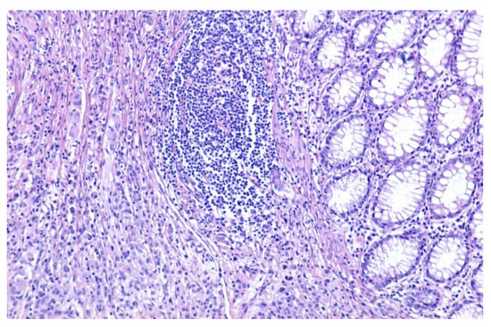
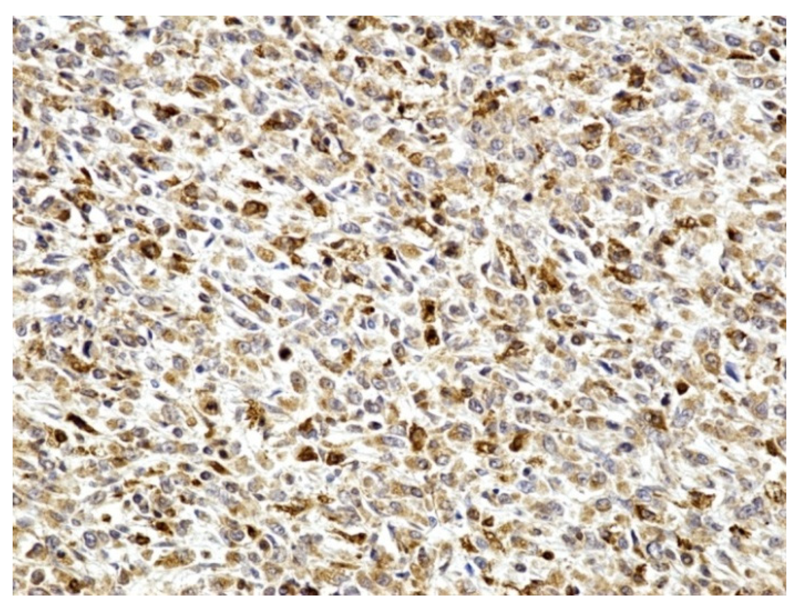
The histopathological diagnostic of the postoperator specimen (4394) was colonic malakoplakia as illustrated in Figure 2 and Figure 3.
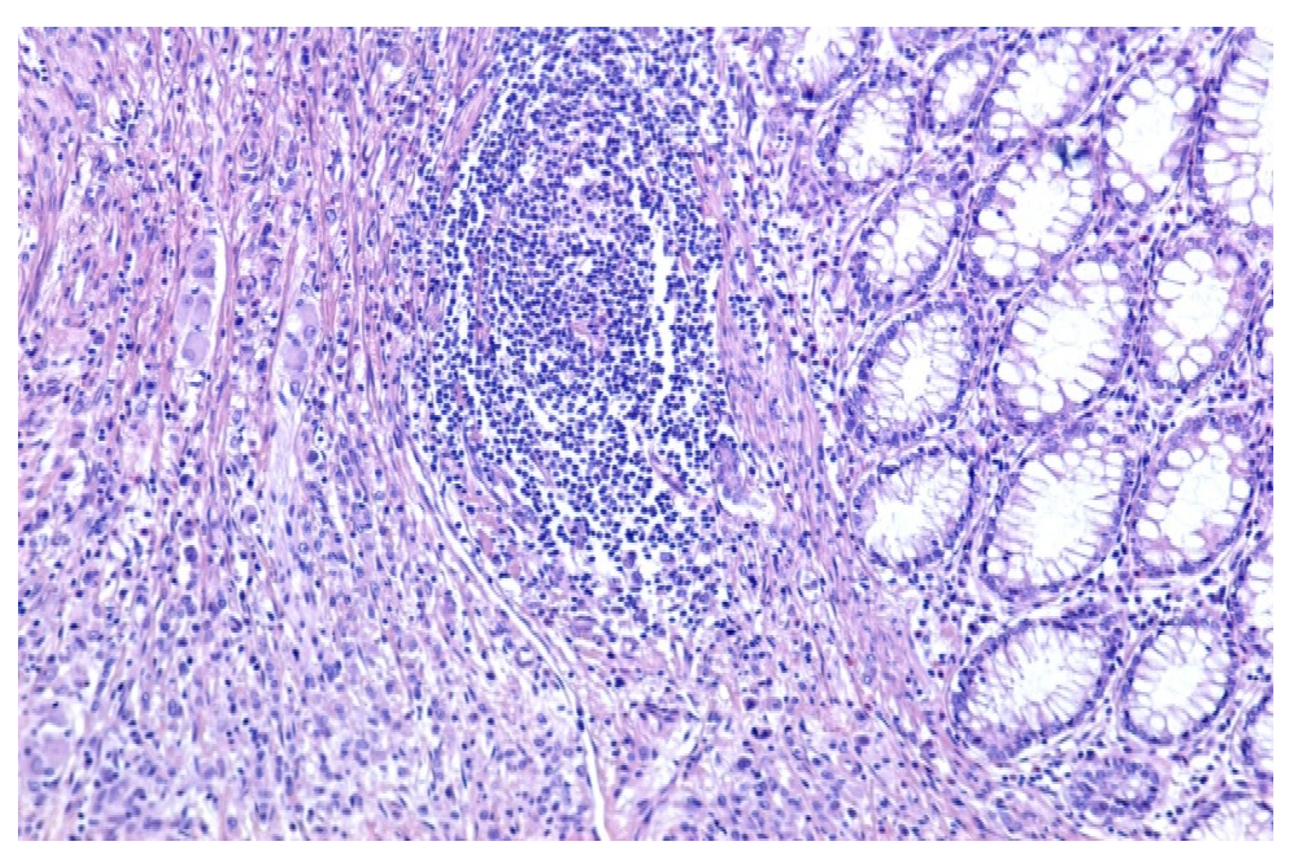
Figure 2.
Colonic mucosa, which presents at the lamina propria level abundant mononuclear inflammatory infiltrate, predominantly macrophagic (HE, ×100).
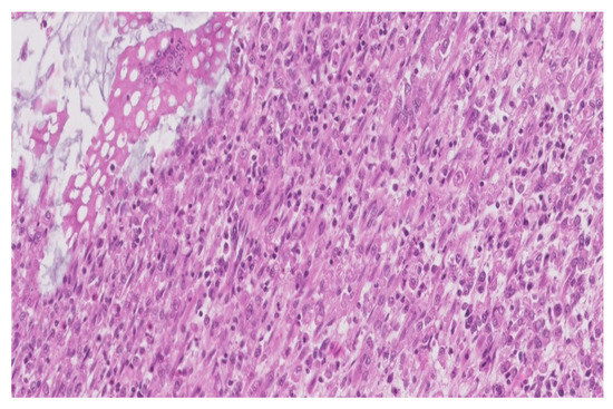
Figure 3.
Dense macrophage infiltrate with rare dispersed lymphocytes (HE, ×200).
The microscopic examination revealed:
- a significant architectural remodeling of the colonic mucosa and submucosa with dense cellular inflammatory infiltrate,
- the dense cellular inflammatory infiltrate-composed of epithelioid macrophages with wide eosinophilic cytoplasm, variable-sized nuclei, with occasional nucleoli,
- dispersed syncytia with the appearance of multinucleated giant cells, with chaotically disposed nuclei and
- amorphous cytoplasmatic inclusions of cellular detritus type, with sporadic intercalated lymphocytes.
Neither areas of necrosis, nor viable microorganisms were detected.
An area of ulcerated mucosa was identified, with reactive changes at the level of the remaining marginal epithelium.
Additionally, no invasive dysplastic or neoplastic stigmata were identified.
Furthermore, the anatomopathological department recommended immunohistochemical tests for a precise and definitive diagnosis of our patient.
The result of the immunohistochemical tests confirmed that the inflammatory infiltrate was predominantly comprised of:
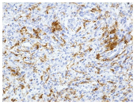
- macrophages (positive CD68)-illustrated in the Figure 4
Figure 4. Positive CD68 in the macrophage infiltrate (×200). - with rare dispersed T lymphocytes (positive CD3),
- rare B lymphocytes (alpha positive CD20, CD79) especially in the lamina propria,
- rare plasmacytes (alpha positive CD79),
- as well as rare mast cells (positive tryptase).
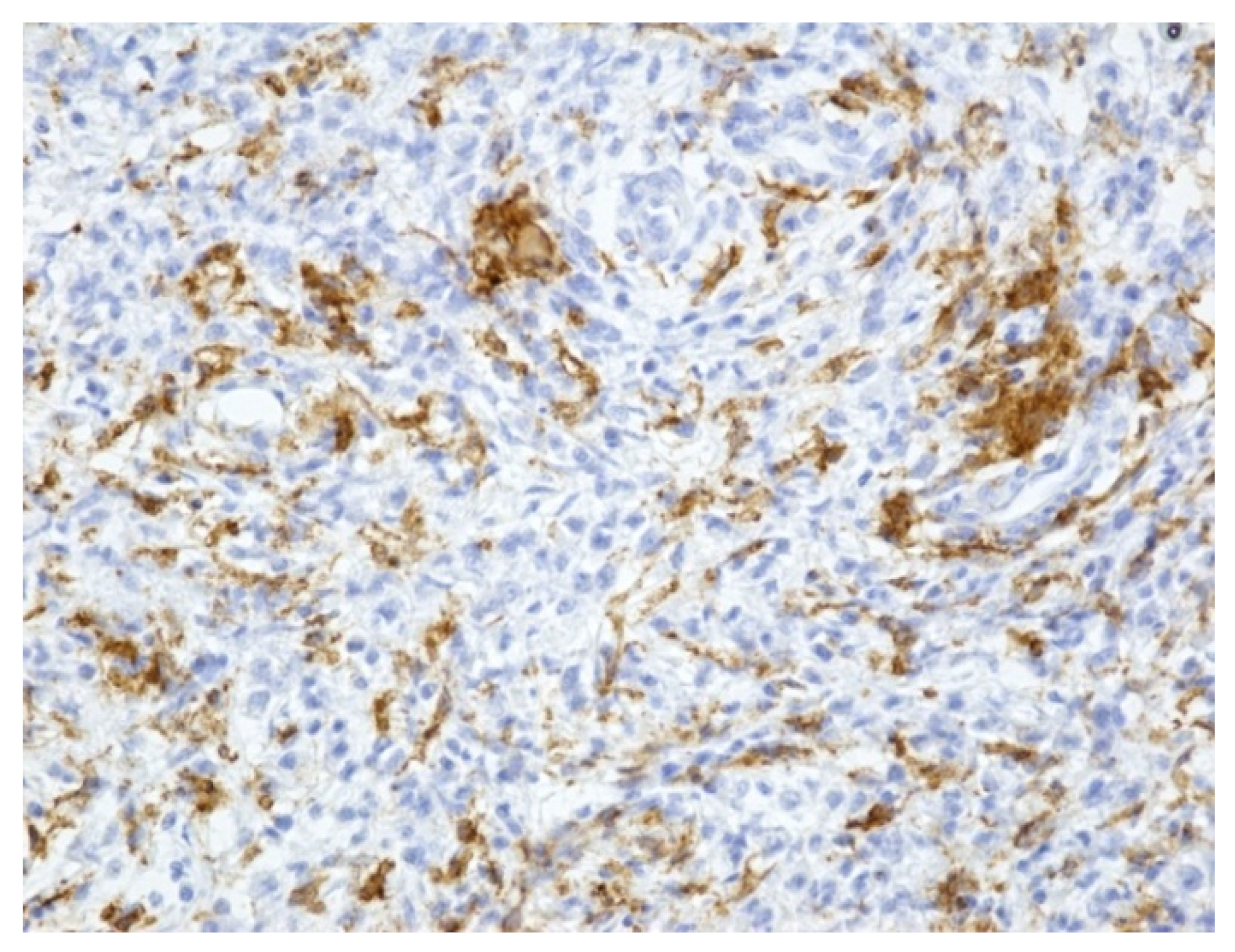
Additionally, most macrophages were positive for CD204 (MSR1), a receptor that plays a role in phagocytosis (Figure 5).
Alpha-SMA was positive in the smooth muscle cells, from the level of the muscularis mucosae and the own muscle, being negative in the inflammatory cells.
Figure 5.
Positive CD204 in most macrophages (×200).
Figure 5.
Positive CD204 in most macrophages (×200).

4. Discussions
Malakoplakia represents a rare type of granulomatous inflammatory pathology that can affect multiple sites in the human body. The most frequent localization is the genitourinary tract, the digestive system, but also the nervous system, the respiratory organs and even the bones.
It is most frequently encountered in patients diagnosed with chronic pathologies, like the ones illustrated in Table 1.
Table 1.
Conditions associated with Malakoplakia.
The most distinctive histological feature for the diagnostic of malakoplakia is represented by the Michaelis-Gutmann bodies, which are concentric, basophilic, round or oval lamellae, with a diameter of 5 to 10 µm, included in the cytoplasm of the histocytes, known as von Hansemann cells. These inclusions are generally positive PAS and von Kossa, being composed of a glycolipid matrix, probably of a specific microorganism and are covered with a calcium and iron layer. The foamy histiocytes are mainly dispersed in the lamina propria of the mucosa, next to rare lymphocytes and occasionally to multinucleated giant cells. Therefore, the precise diagnosis of this pathology can only be stated after microscopic examination, in the usual hematoxylin eosin staining, as well as by using the mentioned special staining, or by performing immunohistochemical tests [11].
The literature data is illustrated by case reports and some small case series that bring light regarding this rare disease, its forms of presentation, the features of the patients diagnosed with it, their symptoms and the type of medical conduct that could be applied.
We performed a PubMed search of other reported cases of digestive tract malakoplakia, especially the ones involving the colon, in order to illustrate the features of this rare pathology. We excluded the pediatric cases and the articles that could not be processed (no text available). The results are shown in Table 2.
Table 2.
Summary of features of colonic malakoplakia in the specialty literature [12,13,14,15,16,17,18,19,20,21,22,23,24,25,26,27,28,29,30,31,32,33,34,35,36,37,38,39,40].
As summarized in Table 2, the current knowledge about this rare and uncommon pathology is mainly based on case reports and small series due to the rareness of Malakoplakia. About 90% of the literature cases involve the colon as the main site for pathologic degeneration of the structures, with a median age presentation of about 64 years old and a higher incidence between female patients-63%. We included in the table only the cases that involved colonic malakoplakia, regardless of the other pathologic conditions of the patient, without any association between malakoplakia and adenocarcinoma or other digestive tract malignancy, because just like the case we reported, these are very rare cases and most of them are incidental findings.
The etiology of malakoplakia is still in debate, but the specialty literature mentions possible pathogenic status like infections which involve Gram-negative pathogens, in particular E. coli and an abnormal response of the immune system, most probably generated by inefficient lysosomal functions of the macrophages [9,10].
The clinical manifestations of the colonic malakoplakia depend on the extent of the colonic lesions and the coexisting pathology of the patient. They are nonspecific and include:
- rectal bleeding,
- diarrhea,
- abdominal pain in different grades,
- fever,
- weight loss in the recent period before presenting to the hospital,
- night sweats and
- intestinal tract obstruction.
Three types of pathologic findings are described by endoscopic examination:
- Sessile or polypoid masses isolated in the rectosigmoid colon; the lumen may be narrowed which may suggest malignant stenosis. The inflammatory process may be transmural, similar to the Crohn’s disease.
- Diffuse involvement of the entire colon either with serpiginous polypoid lesions or with diffuse ulcerations; variant often identified in patients with compromised immunity, including the patients with renal transplant, immunosuppressive drug therapy and hereditary immunodeficiency.
- A single mass or in association with colonic neoplasms or adenomatous polyps. The incidence of colon malignancy associated with intestinal malakoplakia can reach up to 35% [2,11].
Colonic malakoplakia can mimic other pathologies, both macroscopically and microscopically and it is very important that before deciding the right management for the patient, the medical team must also take into consideration the differential diagnosis. The differential diagnosis after macroscopic examination may include:
- malignant tumors,
- miliary tuberculosis and
- Crohn’s disease.
- Microscopically, the malakoplakia may be similar to:
- the Whipple disease,
- ceroid-like colonic histiocytosis,
- Wolman disease,
- Chediak-Higashi syndrome,
- sarcoidosis, or
- other granulomatous diseases [12].
The therapeutic management of the Malakoplakia varies from the medical therapy that includes antibiotics and surgical approach with different surgical techniques associated in the relationship with the patient’s needs. At this moment, there is no therapy considered the gold standard for this rare disease. Therapeutic alternatives are:
- antibiotic therapy using agents that interact directly with the macrophages, like the quinolones or trimethoprim-sulfamethoxazole
- diminution or even suspension of the doses prescribed for the immunosuppressive therapy
- a good control of the associated immunosuppressive pathology
- endoscopic resections for the cases with localized lesions
- surgical resection for the cases that present multiple organ infiltration and or suspected malignancy [12,13,14,15,16,17,18,19,20,21,22,23,24,25,26,27,28,29,30,31,32,33,34,35,36,37,38,39,40].
5. Conclusions
In conclusion, Malakoplakia is an uncommon and rare granulomatous disease that can compromise any organ or structure in the human body. It is mostly encountered in the urinary tract and the gastrointestinal system being the second most frequent site involved, particularly the descending colon, sigmoid and rectum.
The Michaelis-Gutmann bodies are pathognomonic for this disease, but they may be missing in the third stage of the Malakoplakia, when there is a progressive fibrous tissue, which may lead to bowel obstruction.
The cases described in the literature state that this pathology affects the patients that have chronic diseases and immunosuppressive conditions. Due to the fact that the symptoms are non-specific, malakoplakia is generally identified postoperatively, from the histopathological analysis of the surgical specimen, just like the case that we illustrated.
A good knowledge of this uncommon pathology may lead, in the future, to a preoperative diagnosis, less invasive investigations and may also avoid unnecessary surgical management.
Author Contributions
Conceptualization, C.Ș., D.C.V. and A.T.; methodology, D.F.; software, A.T.; validation, C.P., G.Ț., R.M. and L.R.; formal analysis, C.P.; investigation, C.Ș. and A.T.; data curation, C.Ș.; writing—original draft preparation, C.Ș.; writing—review and editing, A.T.; visualization, D.C.V.; supervision, D.F. All authors have read and agreed to the published version of the manuscript.
Funding
This research received no external funding.
Institutional Review Board Statement
The study was conducted in accordance with the Declaration of Helsinki, and approved by the Ethics Committee of “Sf. Apostol Andrei” Emergency Clinical County Hospital, Galați, protocol code 43808-809 from 03.03.2022.
Informed Consent Statement
Written informed consent has been obtained from the patient to publish this paper.
Data Availability Statement
The datasets generated and/or analyzed during the current study are not publicly available due ethical reasons but are available from the corresponding author upon reasonable request.
Conflicts of Interest
The authors declare no conflict of interest.
References
- Michaelis, L.; Gutmann, C. Ueber Einschlusse in Blasentumoren. Z. Klin. Med. 1992, 47, 208–215. [Google Scholar]
- Sagaert, X.; Tousseyn, T.; De Hertogh, G.; Geboes, K. Macrophage-related diseases of the gut: A pathologist’s perspective. Virchows Arch. 2012, 460, 555–567. [Google Scholar] [CrossRef] [PubMed]
- Zhang, Y.; Byrnes, K.; Lam-Himlin, D.; Pittman, M.; Pezhouh, M.; Gonzalez, R.S.; Alruwaii, Z.; Larman, T.; Miller, J.A.; Matoso, A.; et al. Gastrointestinal Malakoplakia. Am. J. Surg. Pathol. 2020, 44, 1251–1258. [Google Scholar] [CrossRef] [PubMed]
- Stanton, J.; Maxted, W. Malacoplakia: A study of the literature and current concepts of pathogenesis, diagnosis and treatment. J. Urol. 1981, 125, 139–146. [Google Scholar] [CrossRef] [PubMed]
- Flint, A.; Murad, T.M. Malakoplakia and malakoplakia like lesions of the upper gastrointestinal tract. Ultrastruct. Pathol. 1984, 7, 167–176. [Google Scholar] [CrossRef] [PubMed]
- Matter, M.J.; Gygi, C.; Gillet, M.; Bouzourene, H. Malacoplakia simulating organ invasion in a rectosigmoid adenocarcinoma: Report of a case. Dis. Colon. Rectum. 2001, 44, 1371–1375. [Google Scholar] [CrossRef]
- Park, J.W.; Baek, D.H.; Lee, S.J. Multiple polypoid lesions in the sigmoid colon. Gastroenterology 2020, 158, 482–484. [Google Scholar] [CrossRef]
- Nyhan, W.L.; Barshop, B.; Ozand, P. Atlas of Metabolic Diseases, 2nd ed.; Hodder Arnold: London, UK, 2005; pp. 501–503, 546–550. [Google Scholar]
- Jonsson, C.A.; Carlsten, H. Mycophenolic acid inhibits inosine 5′-monophosphate dehydrogenase and suppresses immunoglobulin and cytokine production of B cells. Int. Immunopharmacol. 2002, 3, 31–37. [Google Scholar] [CrossRef]
- Gu, J.J.; Stegmann, S.; Gathy, K.; Murray, R.; Laliberte, J.; Ayscue, L.; Mitchell, B.S. Inhibition of T lymphocyte activation in mice heterozygous for loss of the IMPDH II gene. J. Clin. Investig. 2000, 106, 599–606. [Google Scholar] [CrossRef]
- Long, I.P.; Althausen, A.F. Malacoplakia: A 25-year experience with a review of the literature. J. Urol. 1989, 141, 1328–1331. [Google Scholar] [CrossRef]
- Mitchell, A.; Dugas, A. Malakoplakia of the colon following renal transplantation in a 73 year old woman: Report of a case presenting as intestinal perforation. Diagn. Pathol. 2019, 14, 22. [Google Scholar] [CrossRef] [PubMed]
- Achufusi, T.G.; Jessamy, K.; Chebaya, P.; Rawlins, S. Rectal malakoplakia. Bayl. Univ. Med. Cent. Proc. 2020, 33, 389–390. [Google Scholar] [CrossRef]
- Yen, J.M.; Soh, N.W.Y.; Petersson, F.; Pandya, G. Rectosigmoid malakoplakia. BMJ Case Rep. 2017, 2017, bcr2017219464. [Google Scholar] [CrossRef] [PubMed]
- Guha, S.; Liu, H. Malakoplakia of the Pancreas with Simultaneous Colon Involvement: Case Report and Review of the Literature. Case Rep. Pathol. 2015, 2015, 649136. [Google Scholar] [CrossRef] [PubMed]
- Ennibi, K.; Mikdame, M.; Bahrouch, L.; Châari, J.; Toloune, F.; Archane, M.I. Malacoplakie digestive [Digestive malacoplakia]. Presse Med. 2002, 31, 1263–1265. (In French) [Google Scholar] [PubMed]
- Arenas Márquez, H.; López Neblina, F.; Barrera Torres, H.; Flores Márquez, M.R. Hemorragia masiva del aparato digestivo, secundaria a malacoplaquia colonica ulcerada [Massive hemorrhage of the digestive system secondary to ulcerated colonic malacoplakia]. Rev. Gastroenterol. Mex. 1994, 59, 49–51. (In Spanish) [Google Scholar] [PubMed]
- Musonza, T.; Tschen, J.A. Appendiceal malakoplakia masquerading as a cecal mass. J. Surg. Case Rep. 2020, 2020, rjaa140. [Google Scholar] [CrossRef] [PubMed]
- Díaz, A.R.L.; Pezet, S.G.; González, O.S.; Trueba, M.G.; Alonso, I.A.M.; Ramirez, M.A.L. Multivisceral Resection for Colonic Splenic Flexure Malakoplakia: A Minimally Invasive Approach. Ann. Coloproctol. 2021. Online ahead of print. [Google Scholar] [CrossRef]
- Koutserimpas, C.; Ioannidis, A.; Demonakou, M.; Siaperas, P.; Skarpas, A.; Velimezis, G.; Karanikas, I. Malakoplakia of the large intestine: An incidental extremely rare finding. G. Chir. 2018, 39, 97–100. [Google Scholar]
- Yared, R.A.; Badran, H.A.; Kamareddine, M.H.; Ghosn, Y.; Khalil, R.B.; El Ajamy, K.; Chouairy, C.; Farhat, S.G. Colonic Malakoplakia: A Rare Finding in a Healthy Male. Case Rep. Gastroenterol. 2018, 12, 453–456. [Google Scholar] [CrossRef]
- Hyun, K.H.; Shin, H.D.; Kim, D.H. Malakoplakia in a healthy young female patient. Korean J. Intern. Med. 2013, 28, 475–480. [Google Scholar] [CrossRef] [PubMed]
- Shafijan, S. Colonic malakoplakia in a cardiac transplant recipient: A case report. Indian J. Pathol. Microbiol. 2020, 63, 322–324. [Google Scholar] [CrossRef] [PubMed]
- Krüger, S.; Katscher, T.; Johannisson, R.; Feller, A.C. Malakoplakie des Kolons [Malakoplakia of the colon]. Der Pathol. 1999, 20, 351–354. [Google Scholar] [CrossRef] [PubMed]
- Mackay, E.H. Malakoplakia in ulcerative colitis. Arch. Pathol. Lab. Med. 1978, 102, 140–145. [Google Scholar]
- Taher, M.; Shahsia, R.; Daryani, N.E. Malakoplakia as a Rare Cause of Diarrhea: Case Presentation and Review of Literature. Middle East J. Dig. Dis. 2021, 13, 71–74. [Google Scholar] [CrossRef]
- Meredith, T.; Dharan, N.; Killen, L.; Anandabaskaran, S.; Kim, A.; Yang, T.; Marriott, D.; Hayward, C.; Macdonald, P. Colonic malakoplakia in a dual stem cell and cardiac transplant recipient: A case report and literature review. Transpl. Infect. Dis. 2020, 23, e13488. [Google Scholar] [CrossRef]
- Kim, P.T.; E Davis, J.; Erb, S.R.; Yoshida, E.M.; Steinbrecher, U.P. Colonic malakoplakia in a liver transplant recipient. Can. J. Gastroenterol. 2007, 21, 753–755. [Google Scholar] [CrossRef]
- Koklu, H.; Imamoglu, E.; Tseveldorj, N.; Sokmensuer, C.; Kav, T. Chronic Diarrhea Related to Colonic Malakoplakia Successfully Treated with Budesonide in a Kidney Transplant Recipient. Am. J. Gastroenterol. 2018, 113, 1906–1908. [Google Scholar] [CrossRef]
- Bae, G.E.; Yoon, N.; Park, H.Y.; Ha, S.Y.; Cho, J.; Lee, Y.; Kim, K.-M.; Park, C.K. Silent Colonic Malakoplakia in a Living-Donor Kidney Transplant Recipient Diagnosed during Annual Medical Examination. Korean J. Pathol. 2013, 47, 163–166. [Google Scholar] [CrossRef]
- Berger, S.; Marginean, C.; Kaur, M. A Case of Rectal Malakoplakia in an Immunocompromised Woman With Chronic Colonic Bacterial Infections. Clin. Gastroenterol. Hepatol. 2022, 20, A27–A28. [Google Scholar] [CrossRef]
- Ng, I.O.L.; Ng, M. Colonic malacoplakia: Unusual association with ulcerative colitis. J. Gastroenterol. Hepatol. 1993, 8, 110–115. [Google Scholar] [CrossRef] [PubMed]
- César Peres, L.; Barbieri Neto, J.; Rossi, M.A. Malacoplakia of the cecum: Report of a case. Acta Med. Port. 1984, 5, 281–283. [Google Scholar] [PubMed]
- Christensen, M.; Knuhtsen, S.; Knudsen, E. Malokoplaki i colon behandlet med sulfamethizol og trimetoprim [Colonic malacoplakia treated with sulfamethizole and trimethoprim]. Ugeskr. Laeger. 2011, 173, 509–510. (In Danish) [Google Scholar] [PubMed]
- Guinaudeau, E.; Person, B.; Valo, I.; Tuech, J.J.; Rousselet, M.C. Association d’une malacoplakie colique et d’une rectocolite hémorragique: À propos d’un cas [Colonic malacoplakia and ulcerative colitis: Report of a case]. Gastroenterol. Clin. Biol. 2002, 26, 174–177. (In French) [Google Scholar]
- De la Garza, T.; Nuñez-Rasilla, V.; Alegre-Palafox, R.; Albores-Saavedra, J. Malacoplakia of the colon: Report of a case, with a review of eight previous case reports. Dis. Colon Rectum 1973, 16, 216–223. [Google Scholar] [CrossRef]
- Yang, C.C.J.; Huang, T.Y.; Tsung, S.H.; Han, D.C.S. Rectal malacoplakia in a patient with Hodgkin’s disease. Dis. Colon Rectum 1983, 26, 129–132. [Google Scholar] [CrossRef]
- Le Bourgeois, P.; Parlier, H.R.; Gompel, H.E.; Baglin, A.C.; Lang, F.M.; Malafosse, M.; Lévy, R.E.; Betourné, C. Malakoplakie recto-colique diffuse: Association à une colite cryptogénétique et rémission après antibiothérapie prolongée [Diffuse recto-colic malacoplakia: Association with cryptogenic colitis and remission following long-term antibiotic therapy]. Gastroenterol. Clin. Biol. 1984, 8, 426–429. (In French) [Google Scholar]
- Irarrázaval-Mainguyague, M.J.; Cabreras, M.; Oksenberg, S.; A Pulgar, M.; Rojas, F.; Álvarez, M.; Quezada-Diaz, F.F. Malakoplakia mimicking a locally advanced colorectal neoplasm. J. Surg. Case Rep. 2021, 2021, rjab225. [Google Scholar] [CrossRef]
- Lee, M.; Ko, H.M.; Rubino, A.; Lee, H.; Gill, R.; Lagana, S.M. Malakoplakia of the gastrointestinal tract: Clinicopathologic analysis of 23 cases. Diagn. Pathol. 2020, 15, 97. [Google Scholar] [CrossRef]
Disclaimer/Publisher’s Note: The statements, opinions and data contained in all publications are solely those of the individual author(s) and contributor(s) and not of MDPI and/or the editor(s). MDPI and/or the editor(s) disclaim responsibility for any injury to people or property resulting from any ideas, methods, instructions or products referred to in the content. |
© 2023 by the authors. Licensee MDPI, Basel, Switzerland. This article is an open access article distributed under the terms and conditions of the Creative Commons Attribution (CC BY) license (https://creativecommons.org/licenses/by/4.0/).



