A Cluster of Paragonimiasis with Delayed Diagnosis Due to Difficulty Distinguishing Symptoms from Post-COVID-19 Respiratory Symptoms: A Report of Five Cases
Abstract
1. Introduction
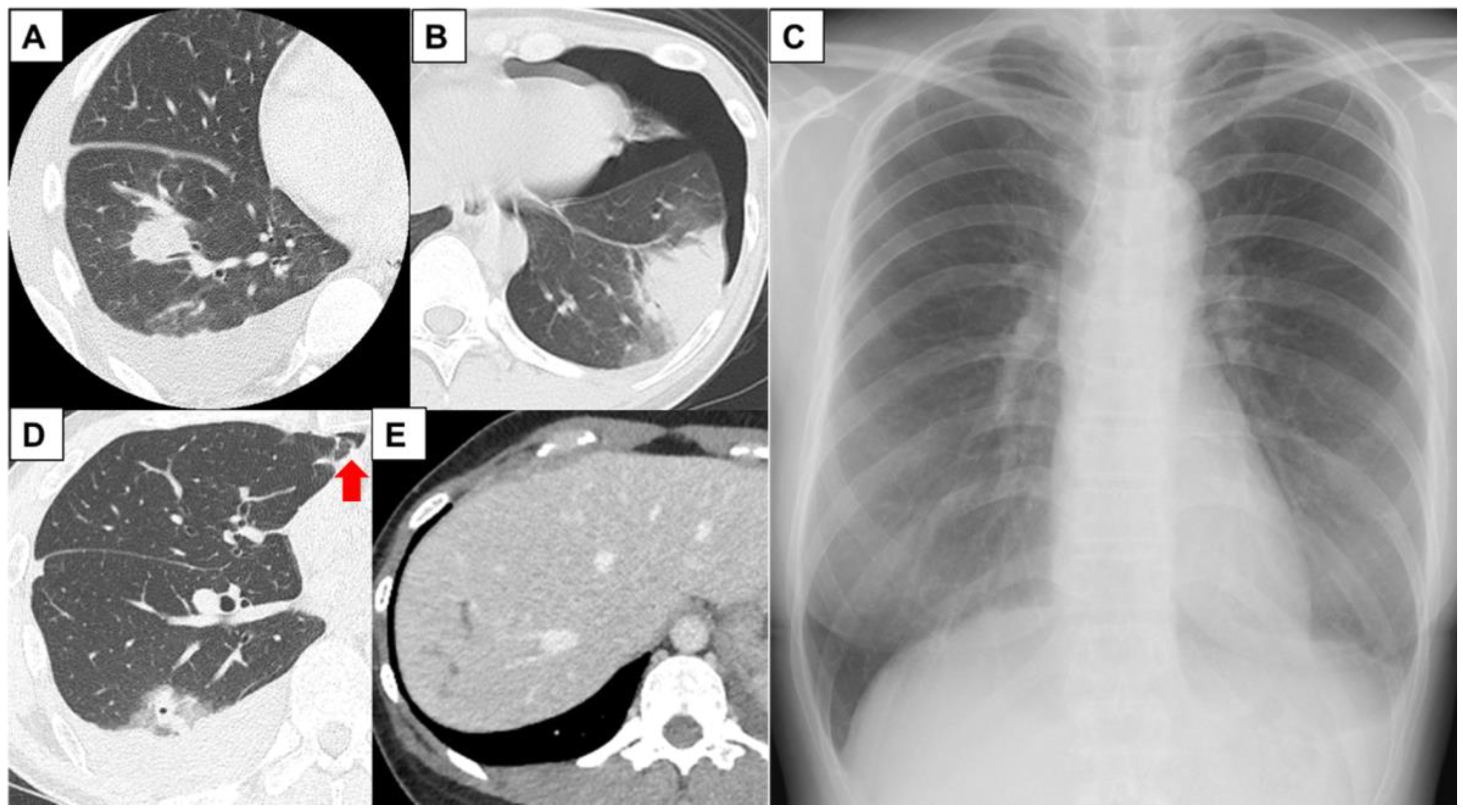
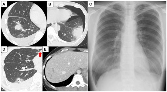
2. Case Report
3. Discussion
4. Conclusions
Author Contributions
Funding
Institutional Review Board Statement
Informed Consent Statement
Data Availability Statement
Conflicts of Interest
References
- Nagayasu, E.; Yoshida, A.; Hombu, A.; Horii, Y.; Maruyama, H. Paragonimiasis in Japan: A twelve-year retrospective case review (2001–2012). Intern. Med. 2015, 54, 179–186. [Google Scholar] [CrossRef] [PubMed]
- Kong, L.; Hua, L.; Liu, Q.; Bao, C.; Hu, J.; Xu, S. One delayed diagnosis of paragonimiasis case and literature review. Respirol. Case Rep. 2021, 9, e00750. [Google Scholar] [CrossRef] [PubMed]
- Terashima, T.; Tsutsumi, A.; Iwami, E.; Kuroda, A.; Nakajima, T.; Eguchi, K. Delayed visit and treatment of lung cancer during the coronavirus disease 2019 pandemic in Japan: A retrospective study. J. Int. Med. Res. 2022, 50, 3000605221097375. [Google Scholar] [CrossRef] [PubMed]
- Knoll, K.; Reiser, E.; Leitner, K.; Kogl, J.; Ebner, C.; Marth, C.; Tsibulak, I. The impact of COVID-19 pandemic on the rate of newly diagnosed gynecological and breast cancers: A tertiary center perspective. Arch. Gynecol. Obstet. 2022, 305, 945–953. [Google Scholar] [CrossRef] [PubMed]
- Linck, P.A.; Garnier, C.; Depetiteville, M.P.; MacGrogan, G.; Mathoulin-Pelissier, S.; Quenel-Tueux, N.; Charitansky, H.; Boisserie-Lacroix, M.; Chamming’s, F. Impact of the COVID-19 lockdown in France on the diagnosis and staging of breast cancers in a tertiary cancer center. Eur. Radiol. 2022, 32, 1644–1651. [Google Scholar] [CrossRef] [PubMed]
- Kuzuu, K.; Misawa, N.; Ashikari, K.; Kessoku, T.; Kato, S.; Hosono, K.; Yoneda, M.; Nonaka, T.; Matsushima, S.; Komatsu, T.; et al. Gastrointestinal cancer stage at diagnosis before and during the COVID-19 pandemic in Japan. JAMA Netw. Open 2021, 4, e2126334. [Google Scholar] [CrossRef] [PubMed]
- Soriano, J.B.; Murthy, S.; Marshall, J.C.; Relan, P.; Diaz, J.V. WHO Clinical Case Definition Working Group on Post-COVID-19 Condition. A clinical case definition of post-COVID-19 condition by a Delphi consensus. Lancet Infect. Dis. 2022, 22, e102–e107. [Google Scholar] [CrossRef] [PubMed]
- Yoshida, A.; Doanh, P.N.; Maruyama, H. Paragonimus and paragonimiasis in Asia: An update. Acta Trop. 2019, 199, 105074. [Google Scholar] [CrossRef]
- Sohn, B.S.; Bae, Y.J.; Cho, Y.S.; Moon, H.B.; Kim, T.B. Three cases of paragonimiasis in a family. Korean J. Parasitol. 2009, 47, 281–285. [Google Scholar] [CrossRef]
- Sudre, C.H.; Murray, B.; Varsavsky, T.; Graham, M.S.; Penfold, R.S.; Bowyer, R.C.; Pujol, J.C.; Klaser, K.; Antonelli, M.; Canas, L.S.; et al. Attributes and predictors of long COVID. Nat. Med. 2021, 27, 626–631. [Google Scholar] [CrossRef] [PubMed]
- Nalbandian, A.; Sehgal, K.; Gupta, A.; Madhavan, M.V.; McGroder, C.; Stevens, J.S.; Cook, J.R.; Nordvig, A.S.; Shalev, D.; Sehrawat, T.S.; et al. Post-acute COVID-19 syndrome. Nat. Med. 2021, 27, 601–615. [Google Scholar] [CrossRef] [PubMed]
- Sugiyama, A.; Miwata, K.; Kitahara, Y.; Okimoto, M.; Abe, K.; Ouoba, S.; Akita, T.; Tanimine, N.; Ohdan, H.; Kubo, T.; et al. Long COVID occurrence in COVID-19 survivors. Sci. Rep. 2022, 12, 6039. [Google Scholar] [CrossRef] [PubMed]
- Fischer, T.; El Baz, Y.; Scanferla, G.; Graf, N.; Waldeck, F.; Kleger, G.R.; Frauenfelder, T.; Bremerich, J.; Kobbe, S.S.; Pagani, J.L.; et al. Comparison of temporal evolution of computed tomography imaging features in COVID-19 and influenza infections in a multicenter cohort study. Eur. J. Radiol. Open 2022, 9, 100431. [Google Scholar] [CrossRef] [PubMed]
- Salehi, S.; Abedi, A.; Balakrishnan, S.; Gholamrezanezhad, A. Coronavirus disease 2019 (COVID-19): A systematic review of imaging findings in 919 patients. AJR Am. J. Roentgenol. 2020, 215, 87–93. [Google Scholar] [CrossRef] [PubMed]
- Harada, T.; Kawasaki, Y.; Tsukada, A.; Osawa, Y.; Takami, H.; Yamaguchi, K.; Kurai, J.; Yamasaki, A.; Shimizu, E. Bronchodilator reversibility occurring during the acute phase of paragonimiasis westermani infection. Intern. Med. 2019, 58, 297–300. [Google Scholar] [CrossRef] [PubMed]
- Jeon, K.; Koh, W.J.; Kim, H.; Kwon, O.J.; Kim, T.S.; Lee, K.S.; Han, J. Clinical features of recently diagnosed pulmonary paragonimiasis in Korea. Chest 2005, 128, 1423–1430. [Google Scholar] [CrossRef] [PubMed]

| Case 1 | Case 2 | Case 3 | Case 4 | Case 5 | |
|---|---|---|---|---|---|
| Age (y), Sex | 38, M | 38, F | 42, F | 42, M | 36, F |
| Symptoms | |||||
| Respiratory | Cough Dyspnea | Cough Dyspnea | Cough | Cough | Cough |
| Chest pain | + | + | − | − | − |
| Others | Fatigue | Epigastric pain | − | − | Abdominal discomfort |
| Radiographic and CT findings | |||||
| Intrapulmonary lesion | Nodular lesion | Infiltration | − | Nodular lesion | − |
| Pleural lesion | Pleural effusion | Pleural effusion Pneumothorax | Pleural effusion Pneumothorax | Pleural effusion Pneumothorax | Pleural effusion |
| Intraperitoneal lesion | Ascites | − | − | − | Linear low attenuation area of the liver |
| Peripheral blood | |||||
| WBC (cells/μL) | 10,300 | 10,600 | 11,000 | 21,800 | 5700 |
| Eosinophils (/μL) | 5310 | 1290 | 5430 | 15,610 | 560 |
| Eosinophil % | 51.4% | 12.2% | 49.4% | 71.5% | 9.8% |
| IgE (IU/L) | 1857 | 3487 | 96 | 2529 | 31 |
| COVID-19 before diagnosis | Yes | Probably * | Yes | Probably * | No |
| Time from symptoms’ onset to diagnosis (mos) | 5 | 5 | 5 | 6 | 6 |
| Treatment | |||||
| PZQ | + | + | + | + | + |
| Others | − | Drainage of pleural fluid | − | − | − |
Disclaimer/Publisher’s Note: The statements, opinions and data contained in all publications are solely those of the individual author(s) and contributor(s) and not of MDPI and/or the editor(s). MDPI and/or the editor(s) disclaim responsibility for any injury to people or property resulting from any ideas, methods, instructions or products referred to in the content. |
© 2023 by the authors. Licensee MDPI, Basel, Switzerland. This article is an open access article distributed under the terms and conditions of the Creative Commons Attribution (CC BY) license (https://creativecommons.org/licenses/by/4.0/).
Share and Cite
Sasaki, J.; Matsuoka, M.; Kinoshita, T.; Horii, T.; Tsuneyoshi, S.; Murata, D.; Takaki, R.; Tominaga, M.; Tanaka, M.; Maruyama, H.; et al. A Cluster of Paragonimiasis with Delayed Diagnosis Due to Difficulty Distinguishing Symptoms from Post-COVID-19 Respiratory Symptoms: A Report of Five Cases. Medicina 2023, 59, 137. https://doi.org/10.3390/medicina59010137
Sasaki J, Matsuoka M, Kinoshita T, Horii T, Tsuneyoshi S, Murata D, Takaki R, Tominaga M, Tanaka M, Maruyama H, et al. A Cluster of Paragonimiasis with Delayed Diagnosis Due to Difficulty Distinguishing Symptoms from Post-COVID-19 Respiratory Symptoms: A Report of Five Cases. Medicina. 2023; 59(1):137. https://doi.org/10.3390/medicina59010137
Chicago/Turabian StyleSasaki, Jun, Masanobu Matsuoka, Takashi Kinoshita, Takayuki Horii, Shingo Tsuneyoshi, Daiki Murata, Reiko Takaki, Masaki Tominaga, Mio Tanaka, Haruhiko Maruyama, and et al. 2023. "A Cluster of Paragonimiasis with Delayed Diagnosis Due to Difficulty Distinguishing Symptoms from Post-COVID-19 Respiratory Symptoms: A Report of Five Cases" Medicina 59, no. 1: 137. https://doi.org/10.3390/medicina59010137
APA StyleSasaki, J., Matsuoka, M., Kinoshita, T., Horii, T., Tsuneyoshi, S., Murata, D., Takaki, R., Tominaga, M., Tanaka, M., Maruyama, H., Kawayama, T., & Hoshino, T. (2023). A Cluster of Paragonimiasis with Delayed Diagnosis Due to Difficulty Distinguishing Symptoms from Post-COVID-19 Respiratory Symptoms: A Report of Five Cases. Medicina, 59(1), 137. https://doi.org/10.3390/medicina59010137

