A Comparative Evaluation of Dentogingival Tissue Using Transgingival Probing and Cone-Beam Computed Tomography
Abstract
:1. Introduction
2. Methodology
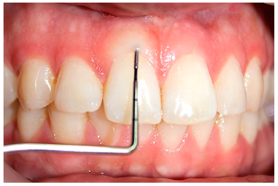
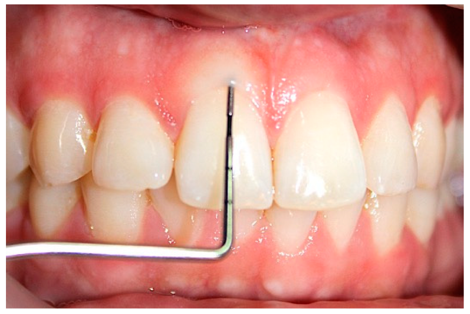
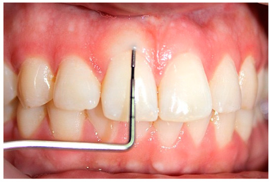
2.1. Clinical Examination
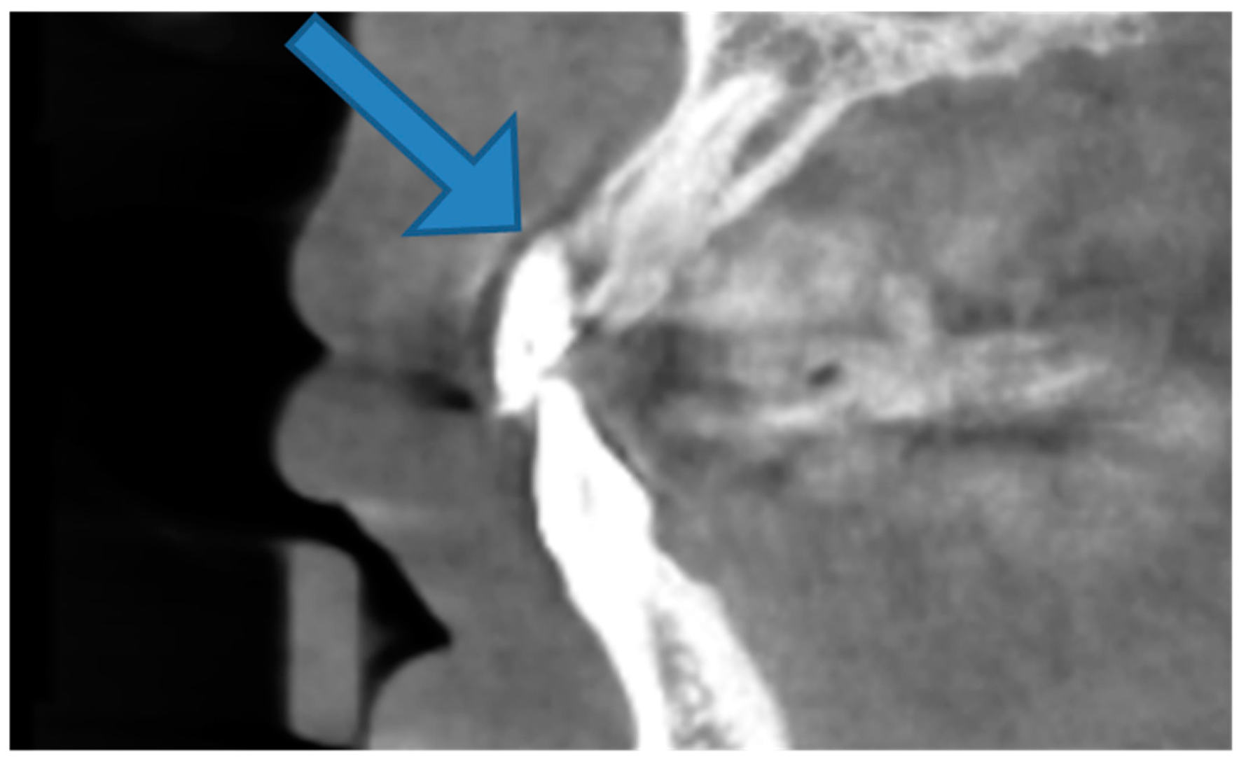
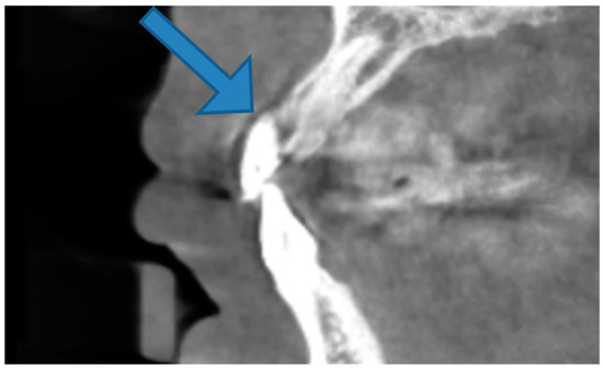
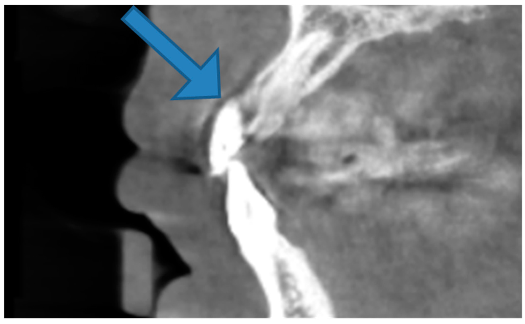
2.2. Radiographical Examination
2.3. Statistical Analysis
3. Results
4. Discussion
5. Conclusions
Author Contributions
Funding
Institutional Review Board Statement
Informed Consent Statement
Data Availability Statement
Conflicts of Interest
References
- Cha, S.; Lee, S.M.; Zhang, C.; Tan, Z.; Zhao, Q. Correlation between gingival phenotype in the aesthetic zone and craniofacial profile—A CBCT-based study. Clin. Oral Investig. 2021, 25, 1363–1374. [Google Scholar] [CrossRef] [PubMed]
- Manjunath, R.G.; Rana, A.; Sarkar, A. Gingival Biotype Assessment in a Healthy Periodontium: Transgingival Probing Method. J. Clin. Diagn. Res. 2015, 9, ZC66–ZC69. [Google Scholar] [PubMed]
- Zweers, J.; Thomas, R.Z.; Slot, D.E.; Weisgold, A.S.; Van der Weijden, F.G. Characteristics of periodontal biotype, its dimensions, associations and prevalence: A systematic review. J. Clin. Periodontol. 2014, 41, 958–971. [Google Scholar] [CrossRef]
- Chen, M.H.; Yin, H.J.; Chang, H.H.; Kao, C.T.; Tu, C.C.; Chen, Y.W. Baseline probing depth and interproximal sites predict treatment outcomes of non-surgical periodontal therapy. J. Dent. Sci. 2020, 15, 50–58. [Google Scholar] [CrossRef] [PubMed]
- Nisanci Yilmaz, M.N.; KoseogluSecgin, C.; Ozemre, M.O.; İnonu, E.; Aslan, S.; Bulut, S. Assessment of gingival thickness in the maxillary anterior region using different techniques. Clin. Oral Investig. 2022, 7, 1–8. [Google Scholar] [CrossRef]
- Muller, H.P.; Heinecke, A.; Schaller, N.; Eger, T. Masticatory mucosa in subjects with different periodontal phenotypes. J. Clin. Periodontol. 2000, 27, 621–626. [Google Scholar] [CrossRef]
- Esfahrood, Z.R.; Kadkhodazadeh, M.; TalebiArdakani, M.R. Gingival biotype: A review. Gen. Dent. 2013, 61, 14–17. [Google Scholar]
- Abraham, S.; Deepak, K.T.; Ambili, R.; Preeja, C.; Archana, V. Gingival biotype and its clinical significance–A review. Saudi. J. Dent. Res. 2014, 5, 3–7. [Google Scholar] [CrossRef]
- Cook, D.R.; Mealey, B.L.; Verrett, R.G.; Mills, M.P.; Noujeim, M.E.; Lasho, D.J.; Cronin, R.J., Jr. Relationship between clinical periodontal biotype and labial plate thickness: An in vivo study. Int. J. Periodontics Restor. Dent. 2011, 31, 345–354. [Google Scholar]
- Chen, Z.Y.; Zhong, J.S.; Ouyang, X.Y.; Zhou, S.Y.; Xie, Y.; Lou, X.Z. Gingival thickness assessment of gingival recession teeth. J. Peking Univ. Health Sci. 2020, 52, 339–345. [Google Scholar]
- Cao, J.; Hu, W.J.; Zhang, H.; Liu, D.G.; Le, D. Method and its application of gingival thickness measurement based on cone-beam computed tomography. J. Peking Univ. Health Sci. 2013, 45, 135–139. [Google Scholar]
- Anand, P.S.; Bansal, A.; Shenoi, B.R.; Kamath, K.P.; Kamath, N.P.; Anil, S. Width and thickness of the gingiva in periodontally healthy individuals in a central Indian population: A cross-sectional study. Clin. Oral Investig. 2022, 26, 751–759. [Google Scholar] [CrossRef] [PubMed]
- Furtak, A.; Leszczyńska, E.; Sender-Janeczek, A.; Bednarz, W. The repeatability and reproducibility of gingival thickness measurement with an ultrasonic device. Dent. Med. Probl. 2018, 55, 281–288. [Google Scholar] [PubMed]
- Vandana, K.L.; Savitha, B. Thickness of gingival in association with age, gender and dental arch location. J. Clin. Periodontol. 2005, 32, 828–830. [Google Scholar] [CrossRef]
- Kan, J.Y.; Rungcharassaeng, K.; Umezu, K.; Kois, J.C. Dimensions of peri-implant mucosa: An evaluation of maxillary anterior single implants in humans. J. Periodontol. 2003, 74, 557–562. [Google Scholar] [CrossRef]
- Barriviera, M.; Duarte, W.R.; Januario, A.L.; Faber, J.; Bezerra, A.C. A new method to assess and measure palatal masticatory mucosa by cone-beam computerized tomography. J. Clin. Periodontol. 2009, 36, 564–568. [Google Scholar] [CrossRef]
- Fu, J.H.; Yeh, C.Y.; Chan, H.L.; Tatarakis, N.; Leong, D.J.M.; Wang, H.L. Tissue biotype & its relation to the underlying bone morphology. J. Periodontal. 2010, 81, 569–874. [Google Scholar]
- Chow, R.L.; Lau, S.L.; Leung, Y.Y.; Chow, J.K. A non-invasive method for the assessment of gingival thickness in the aesthetic zone and the concept of the gingival geometric ratio in an Asian population. Int. J. Oral Maxillofac. Surg. 2022, in press. [CrossRef]
- Lawson, R.B.; Jones, M.L. An evaluation of a noninvasive method of assessing alveolar bone levels in an experimental model of cleft lip and palate. Cleft Palate Craniofacial J. 1998, 35, 1–8. [Google Scholar] [CrossRef]
- Rodrigues, D.M.; Petersen, R.L.; de Moraes, J.R.; Barboza, E.P. Gingival landmarks and cutting points for gingival phenotype determination: A clinical and tomographic cross-sectional study. J. Periodontal. 2022, 22, in press. [CrossRef]
- Kus-Bartoszek, A.; Lipski, M.; Jarząbek, A.; Manowiec, J.; Droździk, A. Gingival Phenotype Changes and the Prevalence of Mucogingival Deformities during the Early Transitional Dentition Phase—A Two-Year Longitudinal Study. Int. J. Environ. Res. Public Health 2022, 19, 3899. [Google Scholar] [CrossRef] [PubMed]
- Couso-Queiruga, E.; Tattan, M.; Ahmad, U.; Barwacz, C.; Gonzalez-Martin, O.; Avila-Ortiz, G. Assessment of gingival thickness using digital file superimposition versus direct clinical measurements. Clin. Oral Investig. 2021, 25, 2353–2361. [Google Scholar] [CrossRef] [PubMed]
- Mithradas, N.; Sudhakar, U.; Arunachalam, L.T.; Suresh, S.; Raja, M. A novel soft tissue cone-beam computed tomography study in the evaluation of gingival thickness associated with subepithelial connective tissue graft versus acellular dermal matrix in the management of gingival recession: A clinical study. J. Indian Soc. Periodontol. 2020, 24, 421. [Google Scholar] [CrossRef]
- Aslan, S.; Clauser, T.; Testori, T.; Fabbro, M.D.; Rasperini, G. A Novel Technique for the Estimation of Gingival Thickness: A Preliminary Study. Int. J. Perio. Rest. Dent. 2021, 41, 571–577. [Google Scholar] [CrossRef] [PubMed]
- Assiri, M.; Shafik, S.; Tawfig, A. Association between gingival tissue biotype and different facial phenotypes. Saudi Dent. J. 2019, 31, 476–480. [Google Scholar] [CrossRef] [PubMed]
- El Khalifa, M.; Abu el Sadat, S.M.; Gaweesh, Y.S.; Gaweesh, Y.Y. Assessment of Gingival Thickness Using CBCT Compared to Transgingival Probing and Its Correlation with Labial Bone Defects: A Cross-Sectional Study. Int. J. Oral Maxillofac. Implant. 2022, 37, 464–472. [Google Scholar] [CrossRef]
- Gánti, B.; Bednarz, W.; Kőműves, K.; Vág, J. Reproducibility of the PIROP ultrasonic biometer for gingival thickness measurements. J. Esthet. Restor. Dent. 2019, 31, 263–267. [Google Scholar] [CrossRef]
- Kloukos, D.; Koukos, G.; Doulis, I.; Sculean, A.; Stavropoulos, A.; Katsaros, C. Gingival thickness assessment at the mandibular incisors with four methods: A cross-sectional study. J. Periodontol. 2018, 89, 1300–1309. [Google Scholar] [CrossRef]
- Gürlek, Ö.; Sönmez, Ş.; Güneri, P.; Nizam, N. A novel soft tissue thickness measuring method using cone beam computed tomography. J. Esthet. Restor. Dent. 2018, 30, 516–522. [Google Scholar] [CrossRef]
- Mallikarjun, S.; Babu, H.M.; Das, S.; Neelakanti, A.; Dawra, C.; Shinde, S.V. Comparative evaluation of soft and hard tissue dimensions in the anterior maxilla using radiovisiography and cone beam computed tomography: A pilot study. J. Indian Soc. Periodontol. 2016, 20, 174. [Google Scholar]
- Cury, P.R.; Montanha-Andrade, K.; Crusoé-Rebello, I.M.; Araujo, N.S.; Barreto, M.A. Evaluation of the morphometric relationship between the alveolar bone and gingival dimensions in the maxillary anterior teeth using cone-beam computed tomography imaging: A cross-sectional study. J. Clin. Images Med. Case Rep. 2021, 2, 1113. [Google Scholar]
- Price, U. Effects of local simvastatin–alendronate conjugate in preventing periodontitis bone loss. J. Periodontal Res. 2013, 48, 541–548. [Google Scholar] [CrossRef] [PubMed]
- Wang, X.Y.; Shi, Y.W.; Zhou, S.; Chen, Y.H.; Yan, S. Evaluation of the accuracy of cone-beam computed tomography for measuring intraoral soft tissue thickness. Int. J. Clin. Exp. Med. 2022, 15, 37–44. [Google Scholar]
- Stein, J.M.; Lintel-Höping, N.; Hammächer, C.; Kasaj, A.; Tamm, M.; Hanisch, O. The gingival biotype: Measurement of soft and hard tissue dimensions—A radiographic morphometric study. J. Clin. Periodontol. 2013, 40, 1132–1139. [Google Scholar] [CrossRef] [PubMed]
- La Rocca, A.P.; Alemany, A.S.; Levi, P., Jr.; Juan, M.V.; Molina, J.N.; Weisgold, A.S. Anterior maxillary and mandibular biotype: Relationship between gingival thickness and width with respect to underlying bone thickness. Implant Dent. 2012, 21, 507–515. [Google Scholar] [CrossRef] [PubMed]





| Thickness | Thick | p-Value | Thin | p-Value | ||
|---|---|---|---|---|---|---|
| Transgingival Probing | CBCT | Transgingival Probing | CBCT | |||
| n | 43 | 43 | 57 | 57 | ||
| Right | 1.31 ± 0.18 | 1.34.99 ± 0.17 | 0.429 | 0.99 ± 0.17 | 1.04 ± 0.18 | 0.130 |
| n | 56 | 56 | 44 | 44 | ||
| Left | 1.22 ± 0.21 | 1.28 ± 0.21 | 0.133 | 1.09 ± 0.25 | 1.14 ± 0.28 | 0.37 |
Publisher’s Note: MDPI stays neutral with regard to jurisdictional claims in published maps and institutional affiliations. |
© 2022 by the authors. Licensee MDPI, Basel, Switzerland. This article is an open access article distributed under the terms and conditions of the Creative Commons Attribution (CC BY) license (https://creativecommons.org/licenses/by/4.0/).
Share and Cite
Das, G.; Ahmed, A.R.; Suleman, G.; Lal, A.; Rana, M.H.; Ahmed, N.; Arora, S. A Comparative Evaluation of Dentogingival Tissue Using Transgingival Probing and Cone-Beam Computed Tomography. Medicina 2022, 58, 1312. https://doi.org/10.3390/medicina58091312
Das G, Ahmed AR, Suleman G, Lal A, Rana MH, Ahmed N, Arora S. A Comparative Evaluation of Dentogingival Tissue Using Transgingival Probing and Cone-Beam Computed Tomography. Medicina. 2022; 58(9):1312. https://doi.org/10.3390/medicina58091312
Chicago/Turabian StyleDas, Gotam, Abdul Razzaq Ahmed, Ghazala Suleman, Abhishek Lal, Muhammad Haseeb Rana, Naseer Ahmed, and Suraj Arora. 2022. "A Comparative Evaluation of Dentogingival Tissue Using Transgingival Probing and Cone-Beam Computed Tomography" Medicina 58, no. 9: 1312. https://doi.org/10.3390/medicina58091312
APA StyleDas, G., Ahmed, A. R., Suleman, G., Lal, A., Rana, M. H., Ahmed, N., & Arora, S. (2022). A Comparative Evaluation of Dentogingival Tissue Using Transgingival Probing and Cone-Beam Computed Tomography. Medicina, 58(9), 1312. https://doi.org/10.3390/medicina58091312

