Vertical Control of a Severe Hyperdivergent Skeletal Class II Malocclusion with Steep Posterior Occlusal Plane in a Camouflage Case
Abstract
1. Introduction
2. Case Report
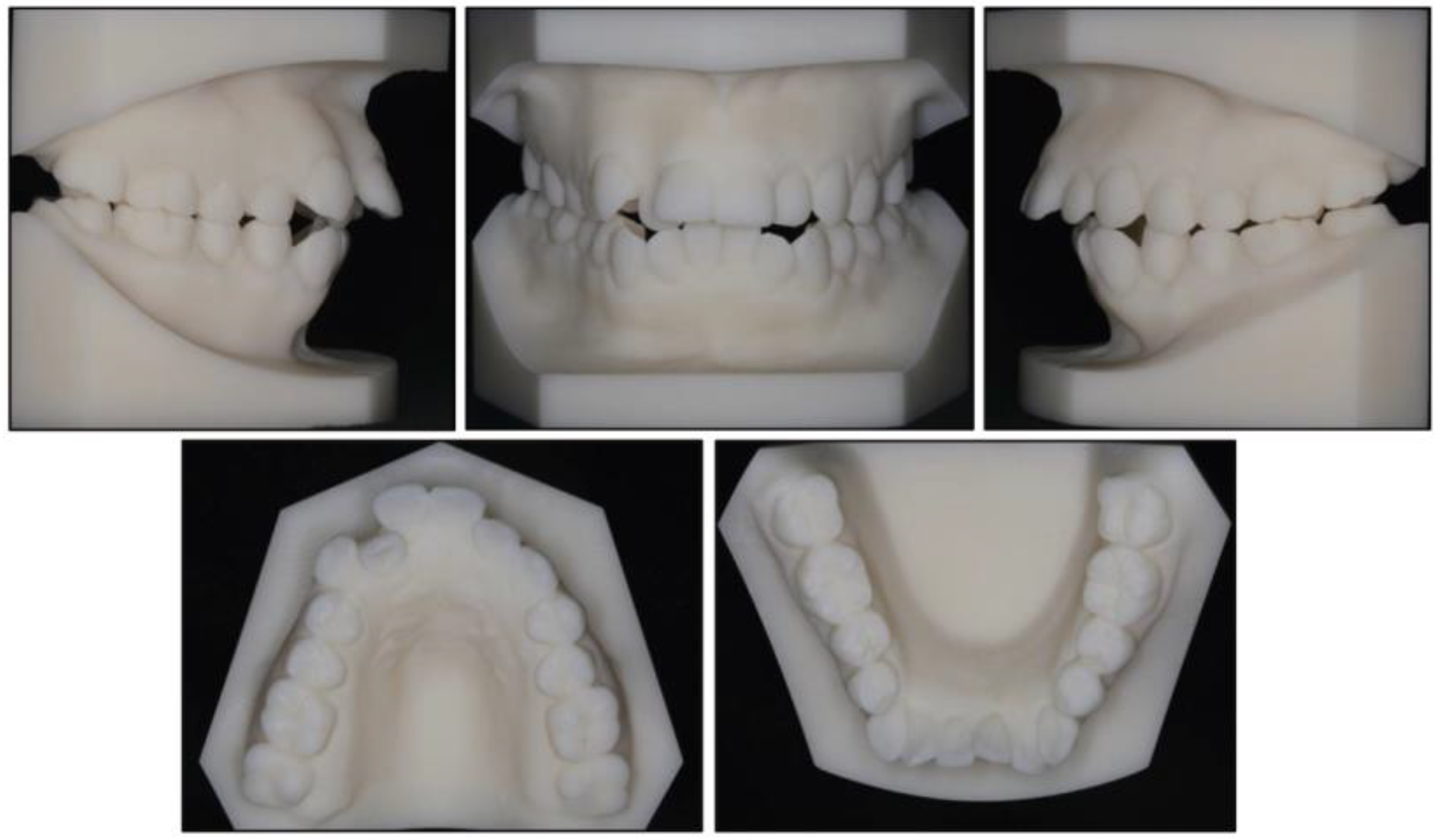
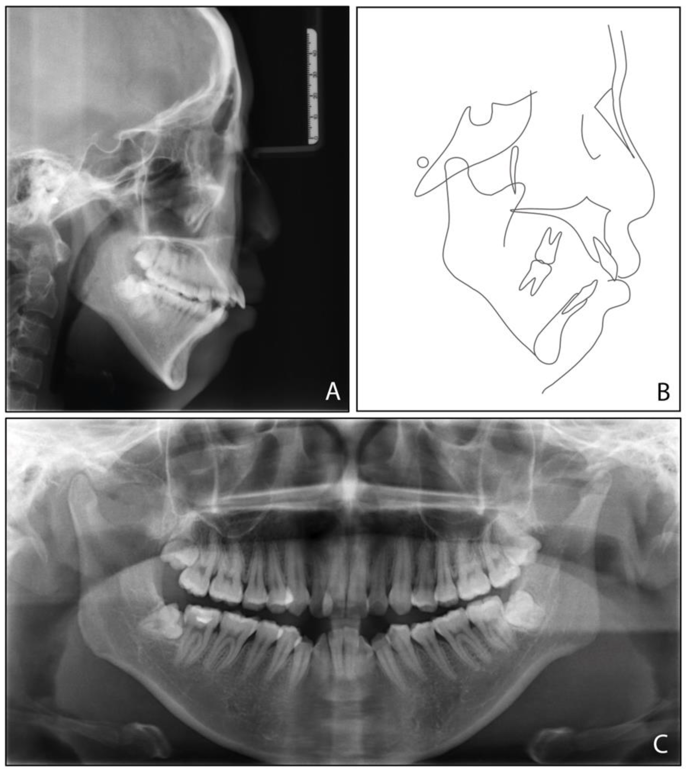
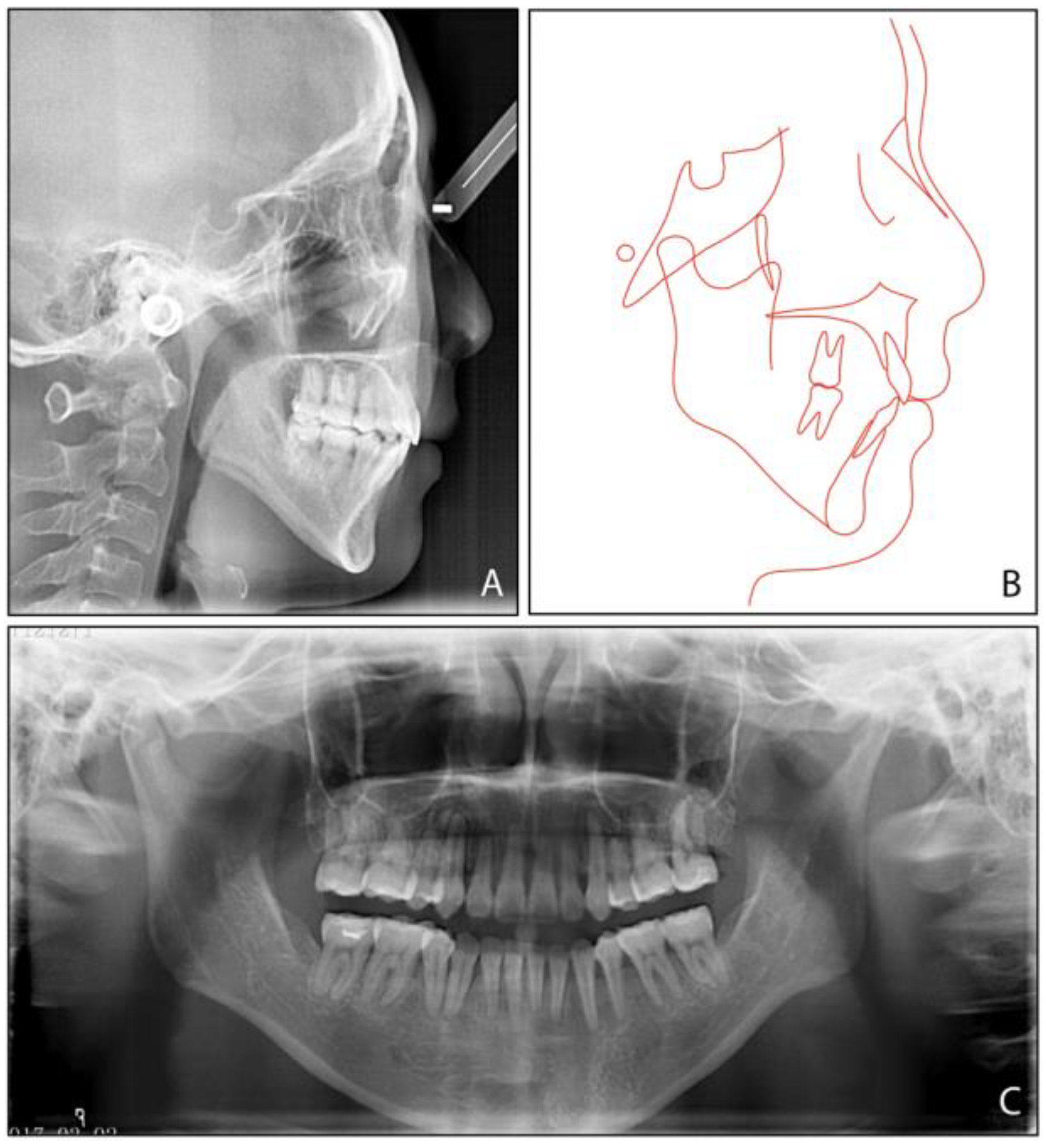
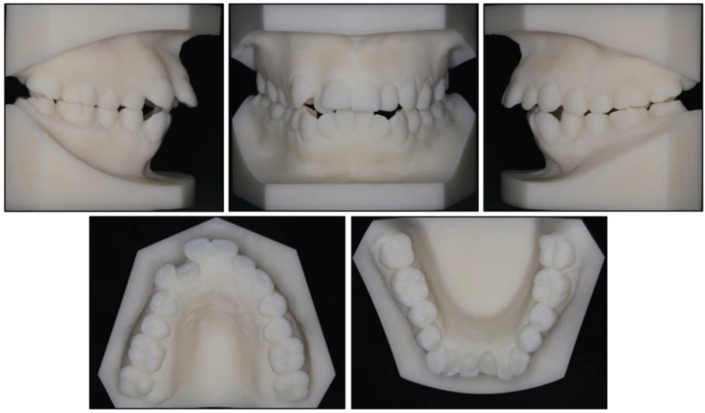
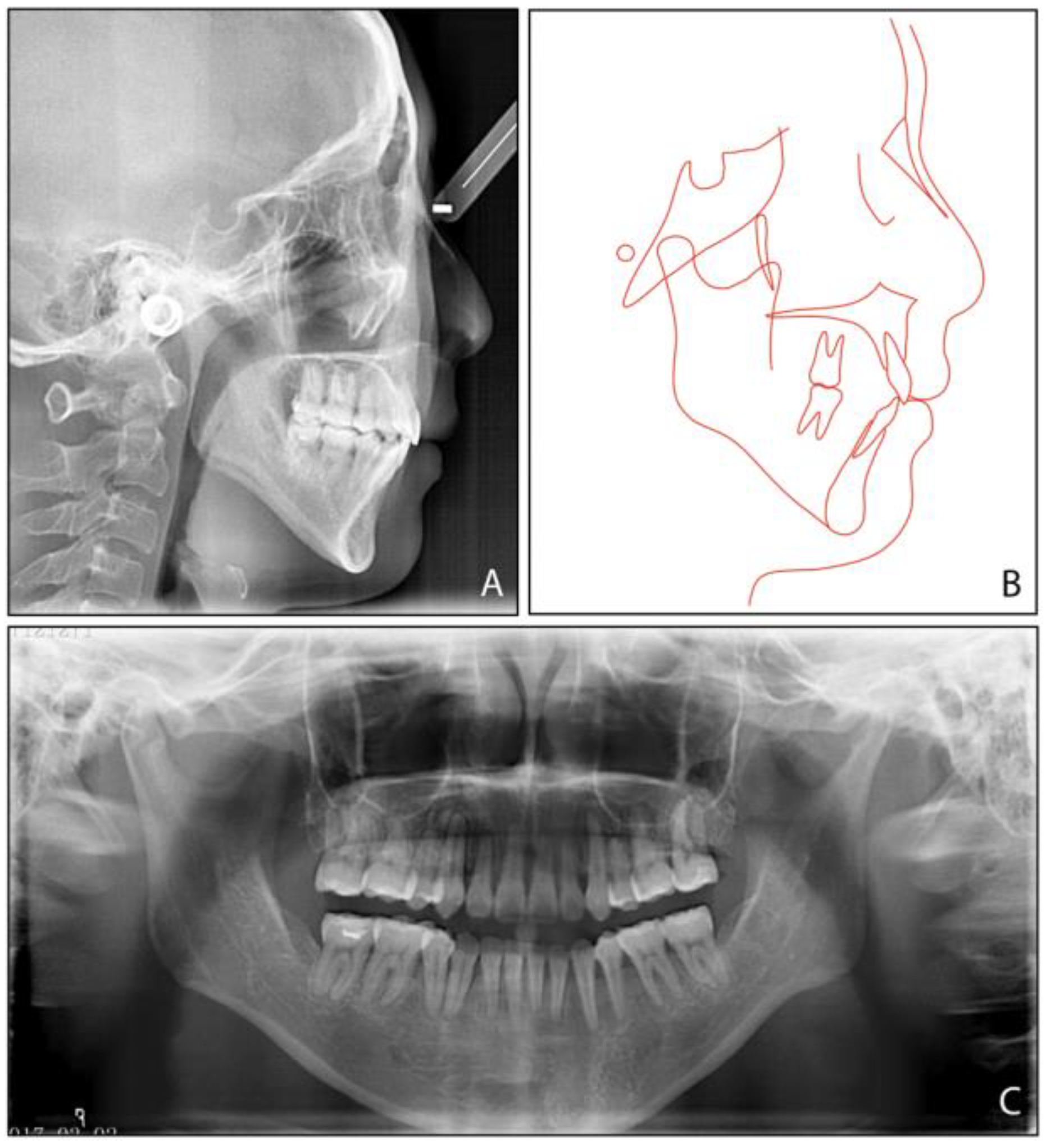
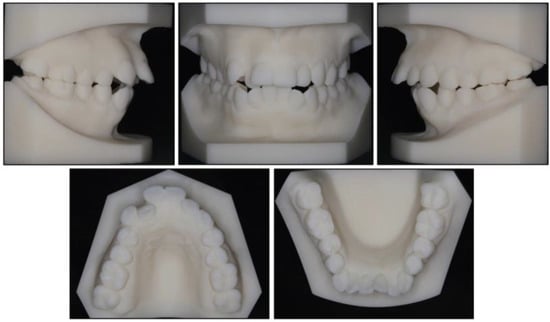
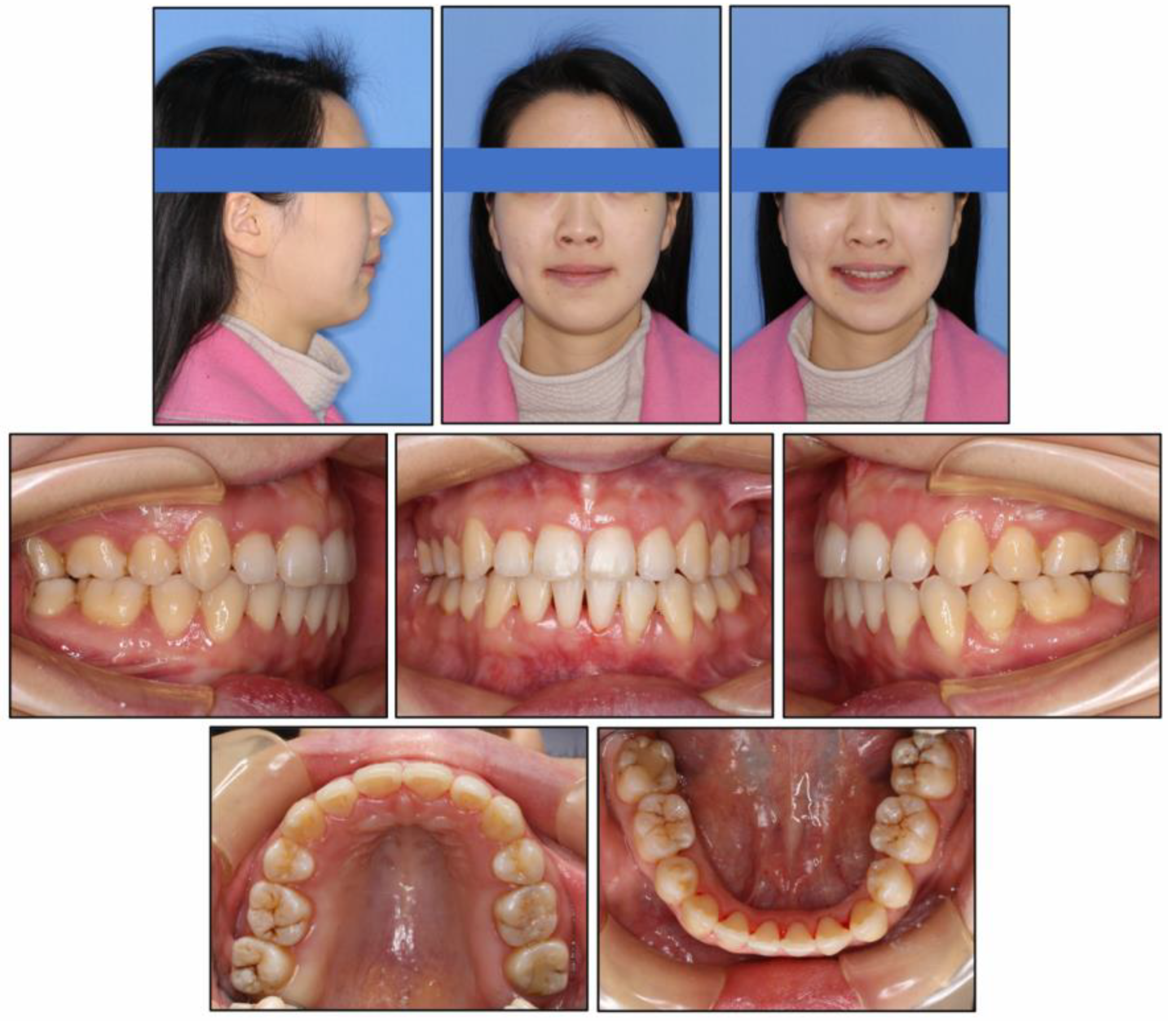
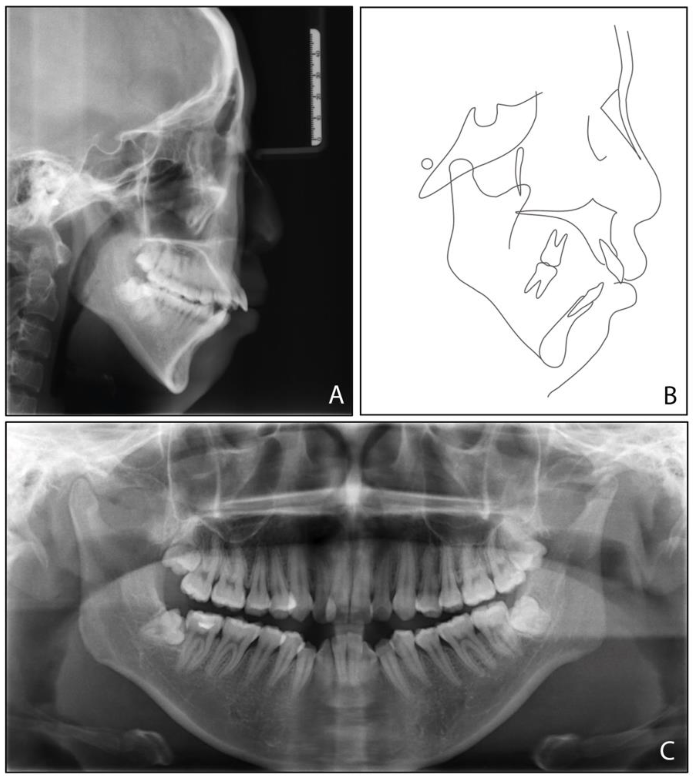
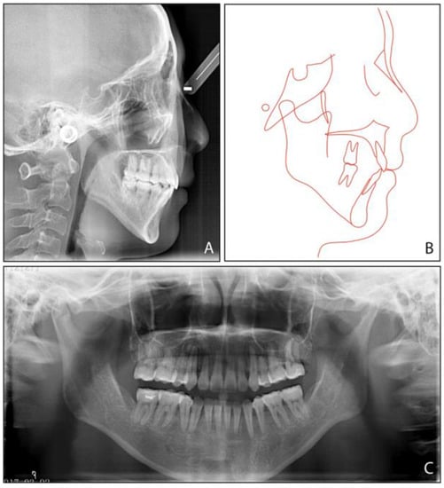
2.1. Diagnosis and Etiology
2.2. Treatment Objectives
2.3. Treatment Alternatives
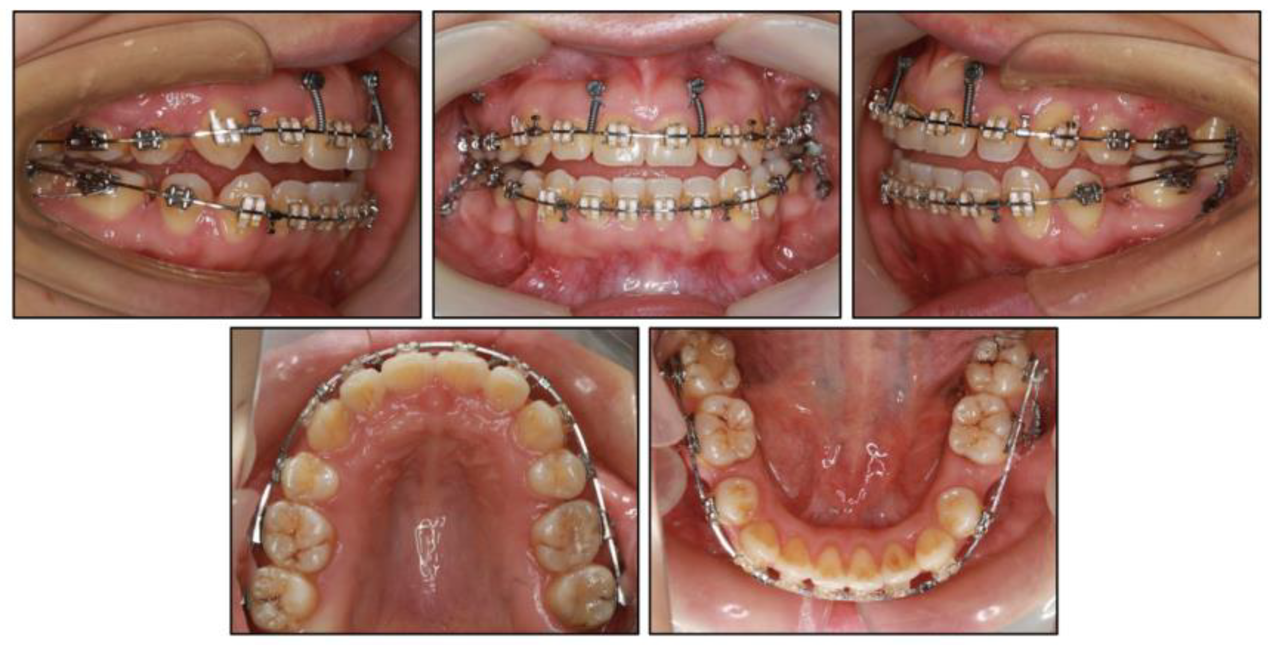
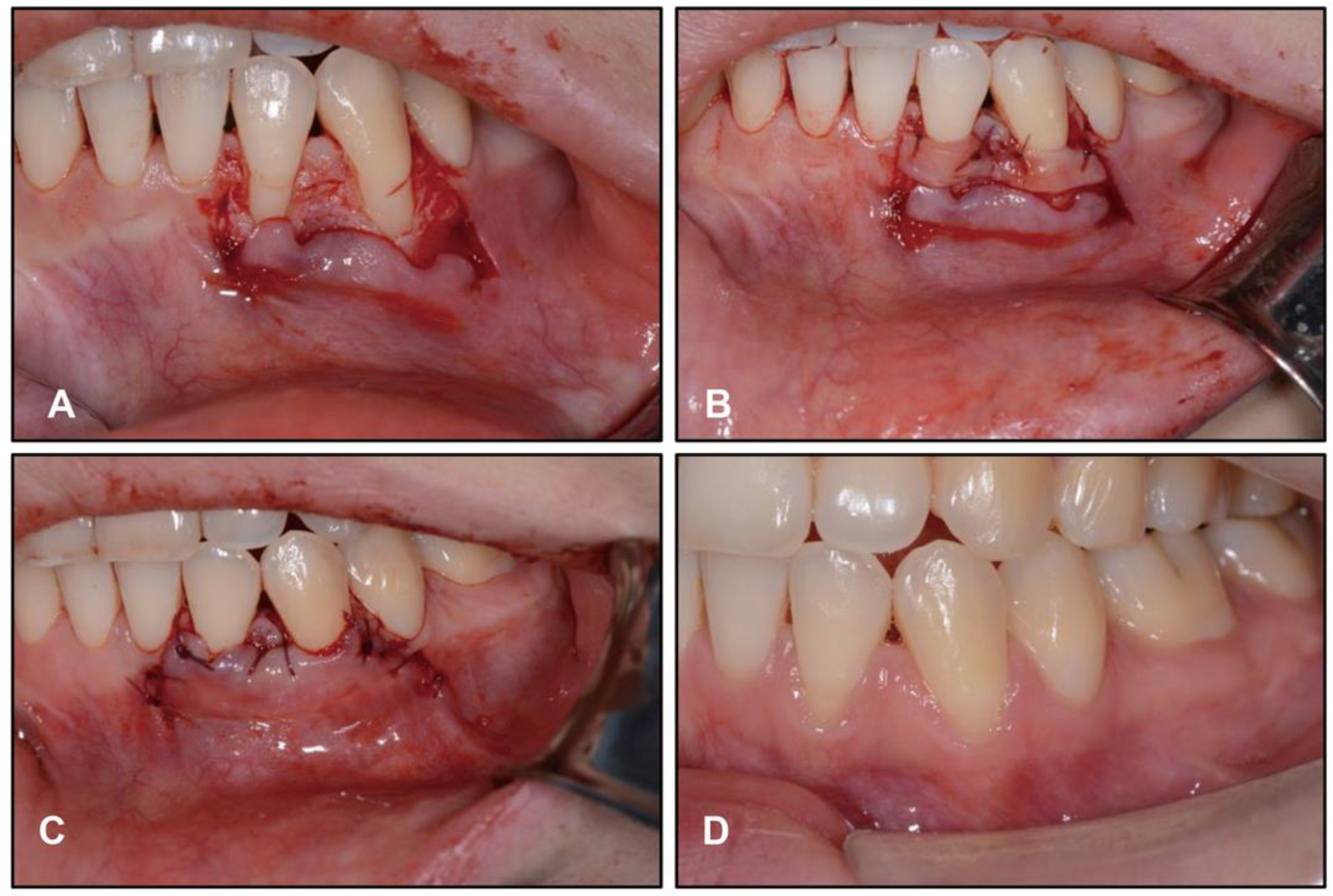
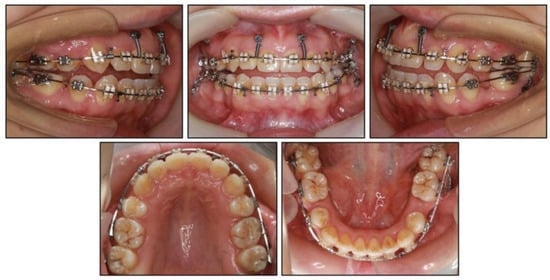
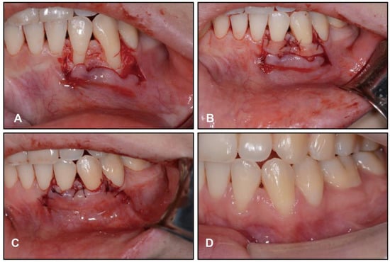
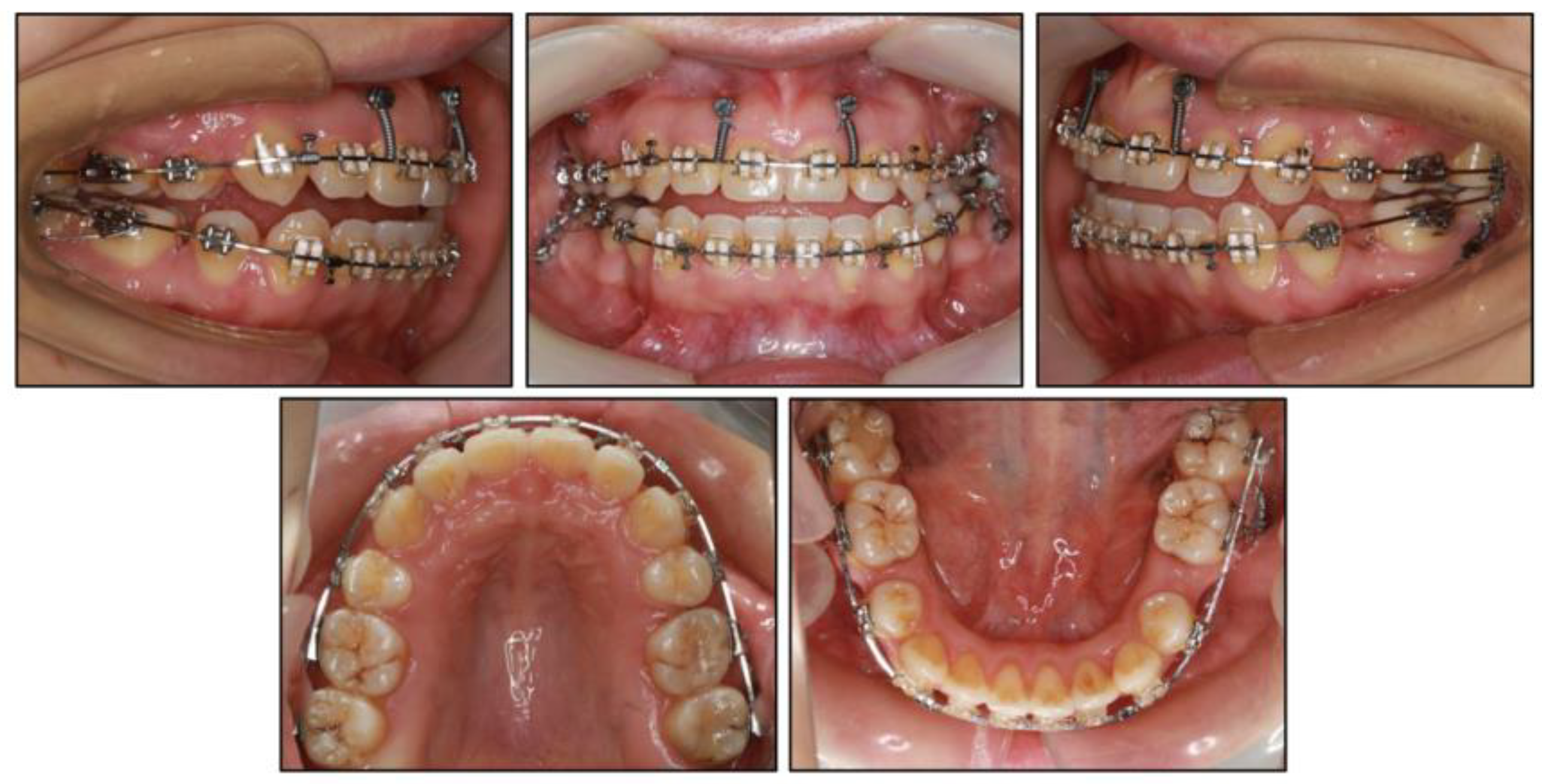
2.4. Treatment Progress
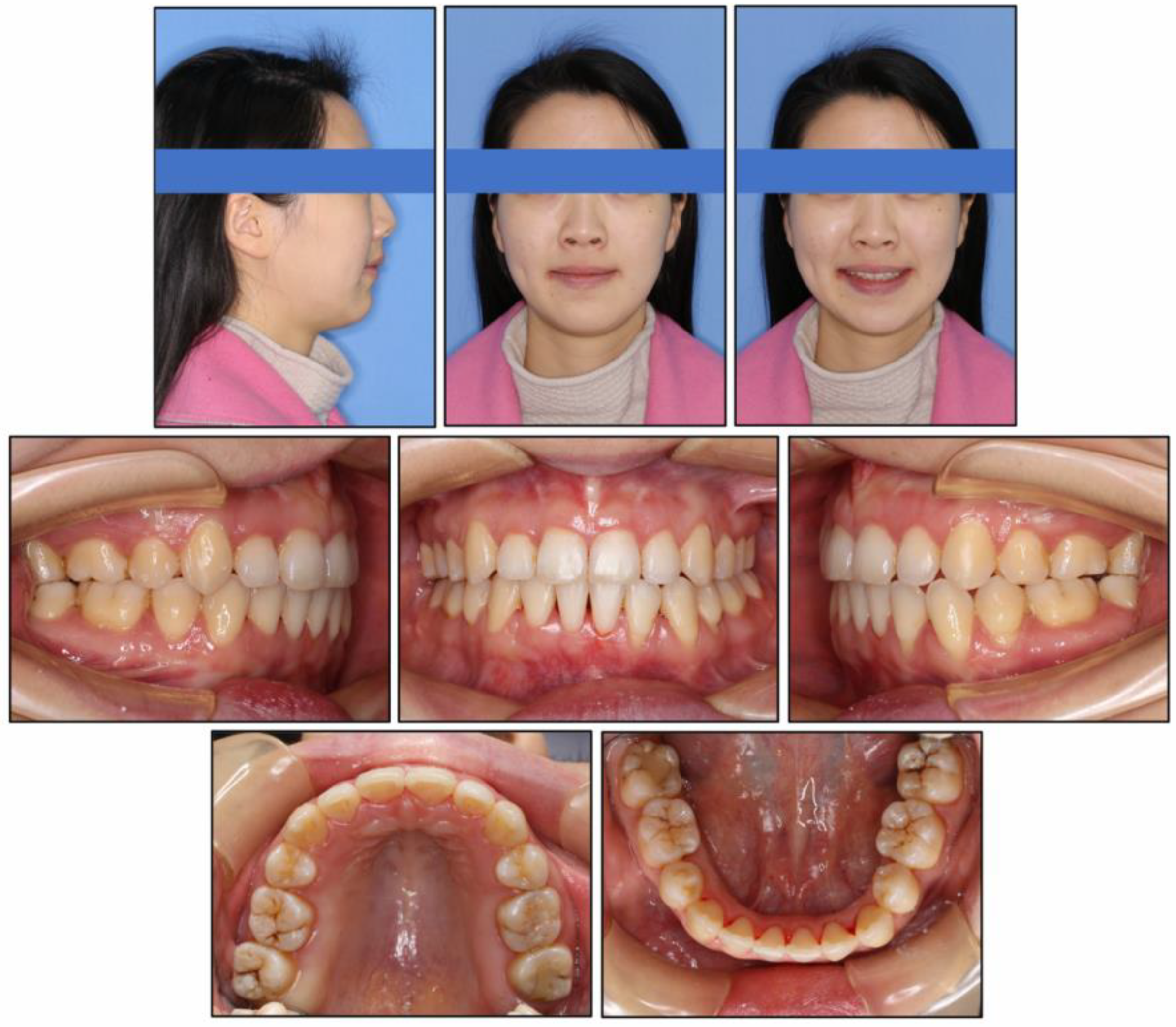
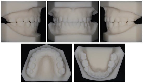
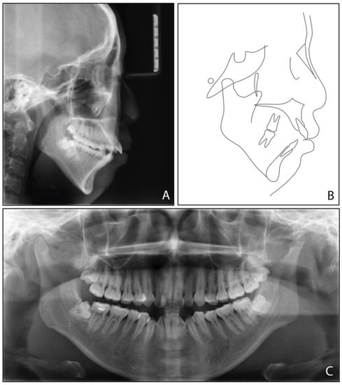
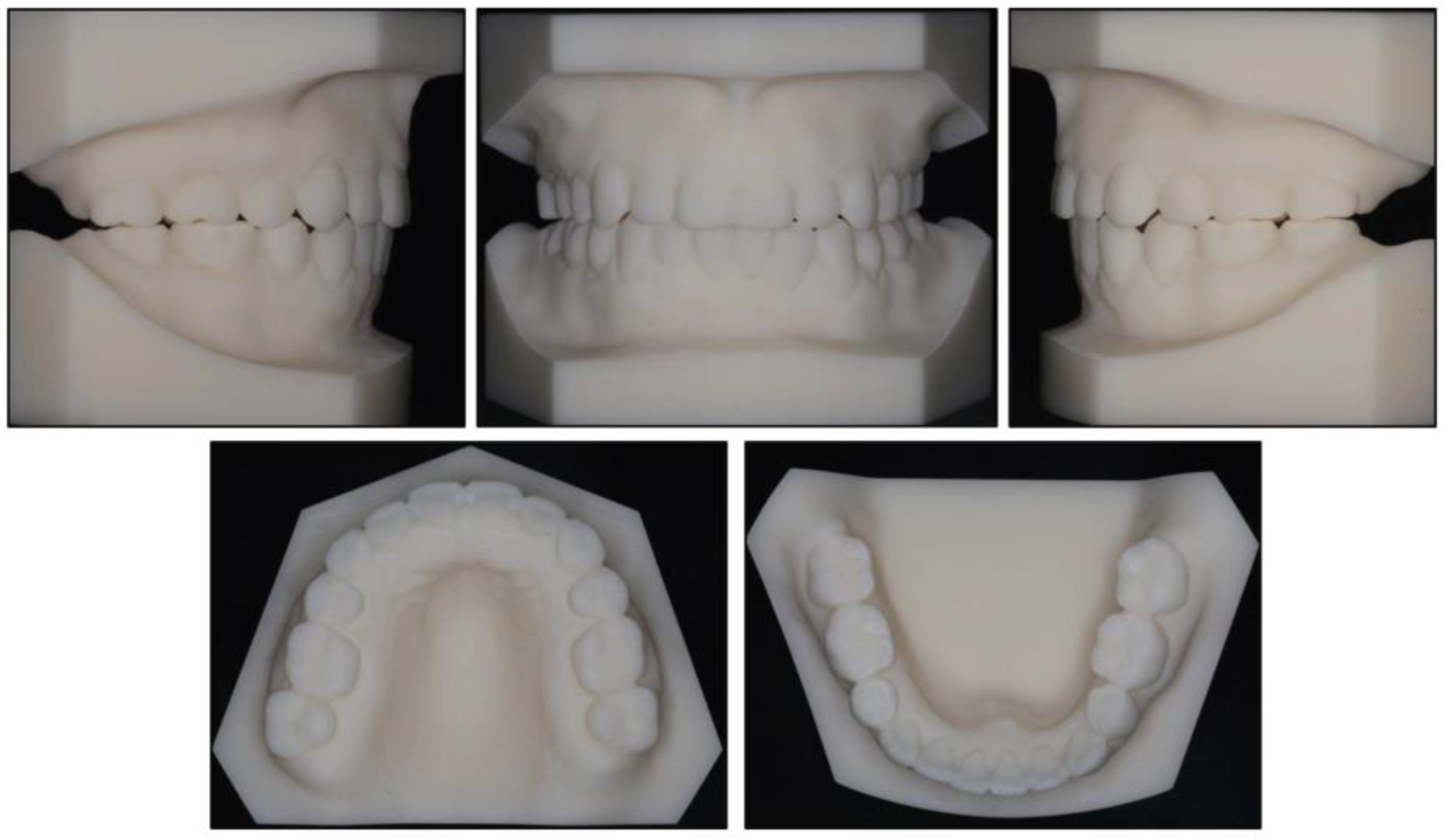
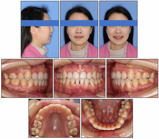
2.5. Treatment Results
3. Discussion
4. Conclusions
Author Contributions
Funding
Institutional Review Board Statement
Informed Consent Statement
Data Availability Statement
Conflicts of Interest
References
- Merville, L.C.; Diner, P.A. Long face: New proposals for taxonomy, diagnosis, treatment. J. Craniomaxillofac. Surg. 1987, 15, 84–93. [Google Scholar] [CrossRef]
- Proffit, W.R.; White, R.J. Who needs surgical-orthodontic treatment? Int. J. Adult Orthodon. Orthognath. Surg. 1990, 5, 81–89. [Google Scholar] [PubMed]
- Janson, G.; Sathler, R.; Fernandes, T.M.; Branco, N.C.; Freitas, M.R. Correction of Class II malocclusion with Class II elastics: A systematic review. Am. J. Orthod. Dentofac. Orthop. 2013, 143, 383–392. [Google Scholar] [CrossRef]
- Ellen, E.K.; Schneider, B.J.; Sellke, T. A comparative study of anchorage in bioprogressive versus standard edgewise treatment in Class II correction with intermaxillary elastic force. Am. J. Orthod. Dentofac. Orthop. 1998, 114, 430–436. [Google Scholar] [CrossRef]
- Lee, J.; Miyazawa, K.; Tabuchi, M.; Kawaguchi, M.; Shibata, M.; Goto, S. Midpalatal miniscrews and high-pull headgear for anteroposterior and vertical anchorage control: Cephalometric comparisons of treatment changes. Am. J. Orthod. Dentofac. Orthop. 2013, 144, 238–250. [Google Scholar] [CrossRef]
- Rachala, M.R.; Harikrishnan, P. Management of severe anterior open-bite in an adult patient using miniscrews as skeletal anchorage. Int. J. Orthod. Milwaukee 2010, 21, 9–14. [Google Scholar]
- Yanagita, T.; Adachi, R.; Kamioka, H.; Yamashiro, T. Severe open bite due to traumatic condylar fractures treated nonsurgically with implanted miniscrew anchorage. Am. J. Orthod. Dentofac. Orthop. 2013, 143, S137–S147. [Google Scholar] [CrossRef] [PubMed]
- Fushima, K.; Kitamura, Y.; Mita, H.; Sato, S.; Suzuki, Y.; Kim, Y.H. Department of Orthodontics, Kanagawa Dental College, Yokosuka, Kanagawa, Japan. Significance of the cant of the posterior occlusal plane in class II division 1 malocclusions. Eur. J. Orthod. 1996, 18, 27–40. [Google Scholar] [CrossRef][Green Version]
- Ye, R.; Li, Y.; Li, X.; Li, J.; Wang, J.; Zhao, S.; Zhao, Z. Occlusal plane canting reduction accompanies mandibular counterclockwise rotation in camouflaging treatment of hyperdivergent skeletal Class II malocclusion. Angle Orthod. 2013, 83, 758–765. [Google Scholar] [CrossRef]
- Omar, Z.; Short, L.; Banting, D.W.; Saltaji, H. Profile changes following extraction orthodontic treatment: A comparison of first versus second premolar extraction. Int. Orthod. 2018, 16, 91–104. [Google Scholar] [CrossRef]
- Huynh, N.T.; Morton, P.D.; Rompre, P.H.; Papadakis, A.; Remise, C. Associations between sleep-disordered breathing symptoms and facial and dental morphometry, assessed with screening examinations. Am. J. Orthod. Dentofac. Orthop. 2011, 140, 762–770. [Google Scholar] [CrossRef] [PubMed]
- Acharya, S.S.; Mali, L.; Sinha, A.; Nanda, S.B. Effect of Naso-respiratory Obstruction with Mouth Breathing on Dentofacial and Craniofacial Development. Orthod. J. Nepal 2020, 8, 22–27. [Google Scholar] [CrossRef]
- Zheng, W.; Zhang, X.; Dong, J.; He, J. Facial morphological characteristics of mouth breathers vs. nasal breathers: A systematic review and meta-analysis of lateral cephalometric data. Exp. Ther. Med. 2020, 19, 3738–3750. [Google Scholar] [CrossRef] [PubMed]
- Kuitert, R.; Beckmann, S.; van Loenen, M.; Tuinzing, B.; Zentner, A. Dentoalveolar compensation in subjects with vertical skeletal dysplasia. Am. J. Orthod. Dentofac. Orthop. 2006, 129, 649–657. [Google Scholar] [CrossRef]
- Zervas, E.D.; Galang-Boquiren, M.T.; Obrez, A.; Costa Viana, M.G.; Oppermann, N.; Sanchez, F.; Romero, E.G.; Kusnoto, B. Change in the vertical dimension of Class II Division 1 patients after use of cervical or high-pull headgear. Am. J. Orthod. Dentofac. Orthop. 2016, 150, 771–781. [Google Scholar] [CrossRef]
- Buschang, P.H.; Sankey, W.; English, J.P. Early treatment of hyperdivergent open-bitemalocclusions. Semin. Orthod. 2002, 8, 130–140. [Google Scholar] [CrossRef]
- Deberardinis, M.; Stretesky, T.; Sinha, P.; Nanda, R.S. Evaluation of the vertical holding appliance in treatment of high-angle patients. Am. J. Orthod. Dentofac. Orthop. 2000, 117, 700–705. [Google Scholar] [CrossRef]
- Villalobos, F.J.; Sinha, P.K.; Nanda, R.S. Longitudinal assessment of vertical and sagittal control in the mandibular arch by the mandibular fixed lingual arch. Am. J. Orthod. Dentofac. Orthop. 2000, 118, 366–370. [Google Scholar] [CrossRef]
- Wang, X.D.; Zhang, J.N.; Liu, D.W.; Lei, F.F.; Zhou, Y.H. Nonsurgical correction of a severe anterior deep overbite accompanied by a gummy smile and posterior scissor bite using a miniscrew-assisted straight-wire technique in an adult high-angle case. Korean J. Orthod. 2016, 46, 253–265. [Google Scholar] [CrossRef]
- Wang, X.D.; Zhang, J.N.; Liu, D.W.; Lei, F.F.; Liu, W.T.; Song, Y.; Zhou, Y.H. Nonsurgical correction using miniscrew-assisted vertical control of a severe high angle with mandibular retrusion and gummy smile in an adult. Am. J. Orthod. Dentofac. Orthop. 2017, 151, 978–988. [Google Scholar] [CrossRef]
- Jung, M.H. Vertical control of a Class II deep bite malocclusion with the use of orthodontic mini-implants. Am. J. Orthod. Dentofac. Orthop. 2019, 155, 264–275. [Google Scholar] [CrossRef] [PubMed]
- Choi, S.H.; Jeon, J.Y.; Lee, K.J.; Hwang, C.J. Clinical applications of miniscrews that broaden the scope of non-surgical orthodontic treatment. Orthod. Craniofac. Res. 2021, 24, 48–58. [Google Scholar] [CrossRef] [PubMed]
- Kim, K.; Choy, K.; Park, Y.C.; Han, S.Y.; Jung, H.; Choi, Y.J. Prediction of mandibular movement and its center of rotation for nonsurgical correction of anterior open bite via maxillary molar intrusion. Angle Orthod. 2018, 88, 538–544. [Google Scholar] [CrossRef] [PubMed]
- Umemori, M.; Sugawara, J.; Mitani, H.; Nagasaka, H.; Kawamura, H. Skeletal anchorage system for open-bite correction. Am. J. Orthod. Dentofac. Orthop. 1999, 115, 166–174. [Google Scholar] [CrossRef]
- Turkyilmaz, I.; Tozum, T.F.; Tumer, C. Bone density assessments of oral implant sites using computerized tomography. J. Oral. Rehabil. 2007, 34, 267–272. [Google Scholar] [CrossRef] [PubMed]
- Arriola-Guillen, L.E.; Flores-Mir, C. Molar heights and incisor inclinations in adults with Class II and Class III skeletal open-bite malocclusions. Am. J. Orthod. Dentofac. Orthop. 2014, 145, 325–332. [Google Scholar] [CrossRef] [PubMed]
- Sunny, S.; Joseph, D.P.; Mathew, N.; Rajan, R.S.; Kurian, E. Three-Dimensional Control on Lingually Rolled in Molars using a 3D Lingual Arch. J. Clin. Diagn. Res. 2017, 11, R1–R3. [Google Scholar] [CrossRef]
- Sharma, H.S. Orthodontic Anchorage Enhancement with Lingual Arch. Med. J. Armed Forces India 2002, 58, 70–71. [Google Scholar] [CrossRef]
- Kravitz, N.D.; Kusnoto, B.; Tsay, T.P.; Hohlt, W.F. The use of temporary anchorage devices for molar intrusion. J. Am. Dent. Assoc. 2007, 138, 56–64. [Google Scholar] [CrossRef]
- Parks, L.R.; Buschang, P.H.; Alexander, R.A.; Dechow, P.; Rossouw, P.E. Masticatory exercise as an adjunctive treatment for hyperdivergent patients. Angle Orthod. 2007, 77, 457–462. [Google Scholar] [CrossRef]














| Measurement | Normal Mean ± SD | Pretreatment | Posttreatment | Difference |
|---|---|---|---|---|
| SNA (°) | 83.1 ± 2.7 | 80.3 | 79.7 | −0.6 |
| SNB (°) | 80.3 ± 2.6 | 71.9 | 73.9 | 2 |
| ANB (°) | 2.7 ± 1.8 | 8.4 | 5.8 | −2.6 |
| UI-SN (°) | 103.4 ± 5.5 | 106.9 | 91.9 | −15 |
| LI-MP (°) | 96.3 ± 5.4 | 97.2 | 90.8 | −6.4 |
| UI-LI (°) | 129.1 ± 7.1 | 102.7 | 129.1 | 26.4 |
| MP-SN (°) | 32.6 ± 6.9 | 55.8 | 52.9 | −2.9 |
| MP-FH (°) | 25.5 ± 4.8 | 45.6 | 42.8 | −2.8 |
| Wits (mm) | −1 ± 1 | 5.8 | 2.8 | −3 |
| A-OP (°) | 10 ± 3.58 | 12.2 | 14.5 | 2.3 |
| P-OP (°) | 14.9 ± 3.85 | 25.1 | 16.2 | −8.9 |
| U1-PP (mm) | 28 ± 1.6 | 32.9 | 26.6 | −6.3 |
| U6-PP (mm) | 23 ± 1 | 24.4 | 19.3 | −5.1 |
| L1-MP (mm) | 40.8 ± 1.8 | 44.1 | 39.3 | −4.8 |
| L6-MP (mm) | 31.1 ± 1.9 | 33.4 | 28.9 | −4.5 |
| Palatal-OP (°) | 10 ± 4 | 17 | 15.7 | −1.3 |
| Upper Face Height (mm) | 50 ± 2.5 | 56.4 | 55.8 | −0.6 |
| Lower Face Height (mm) | 65 ± 4.5 | 81.1 | 75.4 | −5.7 |
| Anterior Face Height (mm) | 115 ± 5.5 | 135.9 | 130.8 | −5.1 |
| Posterior Face Height (mm) | 45 ± 5 | 75.9 | 73.2 | −2.7 |
| P-A Face Height (%) | 65 ± 4 | 55.8 | 56 | 0.2 |
| Y-Axis (°) | 67 ± 5.5 | 84.7° | 83.1 | −1.6 |
| UL-E (mm) | −1.6 ± 1.5 | 5 | −1 | −6 |
| LL-E (mm) | −0.2 ± 1.9 | 7 | −1.3 | −8.3 |
Publisher’s Note: MDPI stays neutral with regard to jurisdictional claims in published maps and institutional affiliations. |
© 2022 by the authors. Licensee MDPI, Basel, Switzerland. This article is an open access article distributed under the terms and conditions of the Creative Commons Attribution (CC BY) license (https://creativecommons.org/licenses/by/4.0/).
Share and Cite
Lu, Y.; Zhang, W.; Zhao, B.; Liu, Y. Vertical Control of a Severe Hyperdivergent Skeletal Class II Malocclusion with Steep Posterior Occlusal Plane in a Camouflage Case. Medicina 2022, 58, 1217. https://doi.org/10.3390/medicina58091217
Lu Y, Zhang W, Zhao B, Liu Y. Vertical Control of a Severe Hyperdivergent Skeletal Class II Malocclusion with Steep Posterior Occlusal Plane in a Camouflage Case. Medicina. 2022; 58(9):1217. https://doi.org/10.3390/medicina58091217
Chicago/Turabian StyleLu, Yun, Weihua Zhang, Bingjiao Zhao, and Yuehua Liu. 2022. "Vertical Control of a Severe Hyperdivergent Skeletal Class II Malocclusion with Steep Posterior Occlusal Plane in a Camouflage Case" Medicina 58, no. 9: 1217. https://doi.org/10.3390/medicina58091217
APA StyleLu, Y., Zhang, W., Zhao, B., & Liu, Y. (2022). Vertical Control of a Severe Hyperdivergent Skeletal Class II Malocclusion with Steep Posterior Occlusal Plane in a Camouflage Case. Medicina, 58(9), 1217. https://doi.org/10.3390/medicina58091217

