Near-Infrared Spectroscopy Intravascular-Ultrasound-Guided Intervention in Minimal Coronary Artery Stenosis: A Case Report
Abstract
:1. Introduction
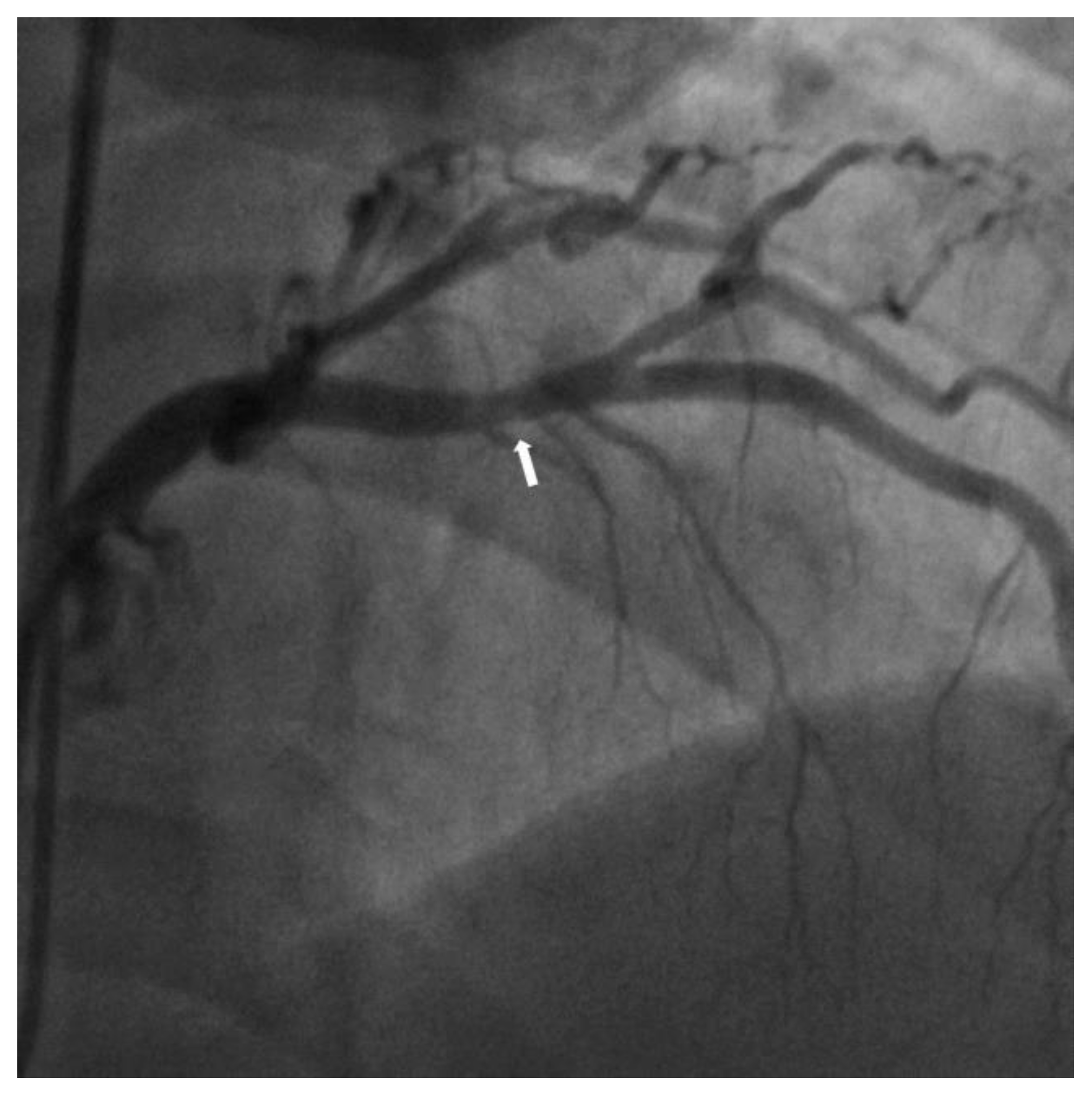
2. Case Report
3. Discussion
4. Conclusions
Supplementary Materials
Author Contributions
Funding
Institutional Review Board Statement
Informed Consent Statement
Data Availability Statement
Conflicts of Interest
References
- Darmoch, F.; Alraies, M.C.; Al-Khadra, Y.; Moussa Pacha, H.; Pinto, D.S.; Osborn, E.A. Intravascular Ultrasound Imaging–Guided Versus Coronary Angiography–Guided Percutaneous Coronary Intervention: A Systematic Review and Meta-Analysis. J. Am. Heart Assoc. 2020, 9, e013678. [Google Scholar] [CrossRef] [PubMed]
- Waksman, R.; Di Mario, C.; Torguson, R.; Ali, Z.A.; Singh, V.; Skinner, W.H.; Artis, A.K.; Cate, T.; Powers, E.; Kim, C.; et al. Identification of patients and plaques vulnerable to future coronary events with near-infrared spectroscopy intravascular ultrasound imaging: A prospective, cohort study. Lancet 2019, 394, 1629–1637. [Google Scholar] [CrossRef]
- Hageman, S.; Pennells, L.; Ojeda, F.; Kaptoge, S.; Kuulasmaa, K.; Vries, T.D.; Xu, Z.; Kee, F.; Chung, R.; Wood, A.; et al. SCORE2 risk prediction algorithms: New models to estimate 10-year risk of cardiovascular disease in Europe. Eur. Heart J. 2021, 42, 2439–2454. [Google Scholar] [CrossRef]
- Saraste, A.; Knuuti, J. ESC 2019 guidelines for the diagnosis and management of chronic coronary syndromes. Herz 2020, 45, 409–420. [Google Scholar] [CrossRef] [PubMed]
- Prati, F.; Romagnoli, E.; Gatto, L.; La Manna, A.; Burzotta, F.; Ozaki, Y.; Marco, V.; Boi, A.; Fineschi, M.; Fabbiocchi, F.; et al. Relationship between coronary plaque morphology of the left anterior descending artery and 12 months clinical outcome: The CLIMA study. Eur. Heart J. 2019, 41, 383–391. [Google Scholar] [CrossRef] [PubMed]
- Abizaid, A.; Mintz, G.S.; Pichard, A.D.; Kent, K.M.; Satler, L.F.; Walsh, C.L.; Popma, J.J.; Leon, M.B. Clinical, intravascular ultrasound, and quantitative angiographic determinants of the coronary flow reserve before and after percutaneous transluminal coronary angioplasty. Am. J. Cardiol. 1998, 82, 423–428. [Google Scholar] [CrossRef]
- Virmani, R.; Kolodgie, F.D.; Burke, A.P.; Farb, A.; Schwartz, S.M. Lessons From Sudden Coronary Death. Arterioscler. Thromb. Vasc. Biol. 2000, 20, 1262–1275. [Google Scholar] [CrossRef] [PubMed]
- Kang, S.-J.; Lee, J.-Y.; Ahn, J.-M.; Mintz, G.S.; Kim, W.-J.; Park, D.-W.; Yun, S.-C.; Lee, S.-W.; Kim, Y.-H.; Lee, C.W.L.; et al. Validation of Intravascular Ultrasound–Derived Parameters With Fractional Flow Reserve for Assessment of Coronary Stenosis Severity. Circ. Cardiovasc. Interv. 2011, 4, 65–71. [Google Scholar] [CrossRef] [PubMed]
- Maron, D.J.; Hochman, J.S.; Reynolds, H.R.; Bangalore, S.; O’Brien, S.M.; Boden, W.E.; Chaitman, B.R.; Senior, R.; López-Sendón, J.; Alexander, K.P.; et al. Initial Invasive or Conservative Strategy for Stable Coronary Disease. N. Engl. J. Med. 2020, 382, 1395–1407. [Google Scholar] [CrossRef]
- Roguin, A.; Solomonica, A.; von Birgelen, C. Is the proximal left anterior descending coronary artery segment justifiably considered as the last frontier for stenting? EuroIntervention 2018, 14, 729–731. [Google Scholar] [CrossRef] [PubMed]



| Profiles | Pre-PCI | Post-PCI |
|---|---|---|
| LCBI | 211 | 114 |
| maxLCBI4mm | 462 | 282 |
| Minimum dRD (mm) | 2.9 | 3.1 |
| Maximum dRD (mm) | 3.6 | 3.8 |
| dRA (mm2) | 8.8 | 10.0 |
| Minimum pRD (mm) | 3.3 | 3.5 |
| Maximum pRD (mm) | 4.0 | 3.9 |
| pRA (mm2) | 10.3 | 10.5 |
| Minimum MLD/MSD (mm) | 1.8 | 2.9 |
| Maximum MLD/MSD (mm) | 2.5 | 3.7 |
| MLA and MSA (mm2) | 3.7 | 8.9 |
| Area stenosis (%) | 61.2 | 13.2 |
| Lesion and stent length (mm) | 17 | 18 |
Publisher’s Note: MDPI stays neutral with regard to jurisdictional claims in published maps and institutional affiliations. |
© 2022 by the authors. Licensee MDPI, Basel, Switzerland. This article is an open access article distributed under the terms and conditions of the Creative Commons Attribution (CC BY) license (https://creativecommons.org/licenses/by/4.0/).
Share and Cite
Kim, H.-O.; Woo, J.-S.; Kim, J.; Kim, W. Near-Infrared Spectroscopy Intravascular-Ultrasound-Guided Intervention in Minimal Coronary Artery Stenosis: A Case Report. Medicina 2022, 58, 1166. https://doi.org/10.3390/medicina58091166
Kim H-O, Woo J-S, Kim J, Kim W. Near-Infrared Spectroscopy Intravascular-Ultrasound-Guided Intervention in Minimal Coronary Artery Stenosis: A Case Report. Medicina. 2022; 58(9):1166. https://doi.org/10.3390/medicina58091166
Chicago/Turabian StyleKim, Hyung-Oh, Jong-Shin Woo, Joan Kim, and Weon Kim. 2022. "Near-Infrared Spectroscopy Intravascular-Ultrasound-Guided Intervention in Minimal Coronary Artery Stenosis: A Case Report" Medicina 58, no. 9: 1166. https://doi.org/10.3390/medicina58091166
APA StyleKim, H.-O., Woo, J.-S., Kim, J., & Kim, W. (2022). Near-Infrared Spectroscopy Intravascular-Ultrasound-Guided Intervention in Minimal Coronary Artery Stenosis: A Case Report. Medicina, 58(9), 1166. https://doi.org/10.3390/medicina58091166

