Supplementary Motor Area Syndrome after Removal of an Unusual Extensive Parasagittal Meningioma: Analysis of Twelve Reported Cases
Abstract
1. Introduction
2. Materials and Methods
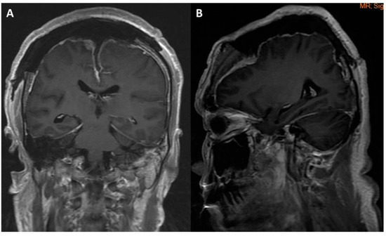
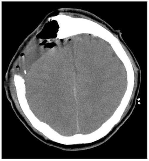
2.1. Our Case Description
2.2. Literature Review and Case Analysis
3. Results
Literature Review and Case Analysis
4. Discussion
5. Conclusions
Author Contributions
Funding
Institutional Review Board Statement
Informed Consent Statement
Data Availability Statement
Acknowledgments
Conflicts of Interest
References
- Magill, S.T.; Theodosopoulos, P.V.; McDermott, M.W. Resection of falx and parasagittal meningioma: Complication avoidance. J. Neurooncol. 2016, 130, 253–262. [Google Scholar] [CrossRef] [PubMed]
- Sughrue, M.E.; Rutkowski, M.J.; Shangari, G.; Parsa, A.T.; Berger, M.S.; McDermott, M.W. Results with judicious modern neurosurgical management of parasagittal and falcine meningiomas: Clinical article. J. Neurosurg. 2011, 114, 731–737. [Google Scholar] [CrossRef] [PubMed]
- Duffau, H.; Capelle, L. Preferential brain locations of low-grade gliomas. Cancer 2004, 100, 2622–2626. [Google Scholar] [CrossRef] [PubMed]
- Heiferman, D.M.; Ackerman, P.D.; Hayward, D.M.; Primeau, M.J.; Anderson, D.E.; Prabhu, V.C. Bilateral supplementary motor area syndrome causing akinetic mutism following parasagittal meningioma resection. Neurosci. Discov. 2014, 2, 7. [Google Scholar] [CrossRef][Green Version]
- Satter, A.R.; Asif, D.S.; Zannat, S.; Gaddam, S.K. Post-operative Supplementary Motor Area Syndrome: A Case Report. Mymensingh Med. J. 2017, 26, 451–454. [Google Scholar]
- Nigro, L.; Delfini, R. Considerations regarding supplementary motor area syndrome after surgery for parasagittal meningiomas. Acta Neurochir. 2018, 160, 1555–1556. [Google Scholar] [CrossRef] [PubMed]
- Berg-Johnsen, J.; Høgestøl, E.A. Supplementary motor area syndrome after surgery for parasagittal meningiomas. Acta Neurochir. 2018, 160, 583–587. [Google Scholar] [CrossRef] [PubMed]
- Martínez-Pérez, R.; Vergara, C.; Rayo, N.; Mura, J. Recurrent supplementary motor area syndrome in relapsed parasagittal meningiomas: From the onset to the origin. Neurologia 2020, 35, 606–608. [Google Scholar] [CrossRef] [PubMed]
- Guarracino, I.; Ius, T.; Skrap, M.; Tomasino, B. Meningioma can lead to pre-operative cognitive alterations even if localized in sensorimotor areas: A multimodal MRI-neuropsychological study in a series of 46 patients. Neuropsychologia 2020, 137, 107288. [Google Scholar] [CrossRef] [PubMed]
- Potgieser, A.R.E.; de Jong, B.M.; Wagemakers, M.; Hoving, E.W.; Groen, R.J.M. Insights from the supplementary motor area syndrome in balancing movement initiation and inhibition. Front. Hum. Neurosci. 2014, 8, 960. [Google Scholar] [CrossRef] [PubMed]
- Samuel, N.; Hanak, B.; Ku, J.; Moghaddamjou, A.; Mathieu, F.; Moharir, M.; Taylor, M.D. Postoperative isolated lower extremity supplementary motor area syndrome: Case report and review of the literature. Childs Nerv. Syst. 2020, 36, 189–195. [Google Scholar] [CrossRef] [PubMed]
- Nakajima, R.; Kinoshita, M.; Yahata, T.; Nakada, M. Recovery time from supplementary motor area syndrome: Relationship to postoperative day 7 paralysis and damage of the cingulum. J. Neurosurg. 2019, 132, 865–874. [Google Scholar] [CrossRef] [PubMed]





| Reference | Age/Sex | Preoperative Symptoms | Tumor Size (mm) | Tumor Location | Sagittal Sinus | Simpson Grade | Pathology Grade | Postoperative | Muscle Tone | Speech | Follow-Up |
|---|---|---|---|---|---|---|---|---|---|---|---|
| Motor Function | |||||||||||
| Heiferman et al., 2014 [4] | 42/F | Headache, | 70 | bilateral | occluded | II | II | 4/5 upper limbs | N/A | Global aphasia | Start to move after 16 days |
| mild weakness | 2/5 lower limbs | ||||||||||
| 53/F | Seizure | 65 | bilateral | occluded | II | I | 0/5 upper limbs | N/A | Aphasia | Start to move 15 days | |
| 0/5 lower limbs | |||||||||||
| Satter et al., 2017 [5] | N/A | N/A | N/A | right | N/A | N/A | N/A | N/A | N/A | N/A | Relatively slow process |
| Nigro and Delfini, 2018 [6] | N/A | N/A | N/A | left | N/A | N/A | N/A | N/A | N/A | Dysphasia | N/A |
| Berg-Johnsen and Høgestøl, 2018 [7] | 49/F | Headache, dizziness, reduced memory | 40 | bilateral | occluded | I | II | 2/5 left foot and ankle | Preserved | Normal | Recovery after 3–6 months |
| 49/M | Epileptic seizures, palpable bump | 50 | left | occluded | II | II | 2/5 right leg | Preserved | Speech arrest | Aphasia recovery after a few days | |
| 70/M | Epileptic seizure, mental changes | 68 | right | ingrowth | II | I | 3/5 left arm and leg | Preserved | Normal | Complete recovery of function | |
| 77/M | Epileptic seizure, mental changes | 64 | left | open | I | II | 3/5 right arm and leg | Preserved | Speech arrest | Aphasia recovery after a few days | |
| 68/M | Epileptic seizure, mental changes | 31 | right | open | II | I | 4/5 left arm and leg | Preserved | Normal | Complete recovery of function | |
| Martinez-Perez et al., 2020 [8] | 48/F | N/A | N/A | left | N/A | II | N/A | 2/5 right arm | N/A | Global aphasia | Aphasia recovery after 6 days; muscle power recovery after 15 days |
| 49/F | N/A | n/A | right | N/A | II | NA | 1/5 left body | N/A | N/A | Within 10 days recovery | |
| Tsai et al., 2021 | 55/M | Seizure, loss of consciousness | 91 | bilateral | occluded | II | I | 2/5 left arm and left leg 0/5 right leg | Preserved | Aphasia | Aphasia recovery within 7 days; muscle power recovery within 7 weeks |
Publisher’s Note: MDPI stays neutral with regard to jurisdictional claims in published maps and institutional affiliations. |
© 2022 by the authors. Licensee MDPI, Basel, Switzerland. This article is an open access article distributed under the terms and conditions of the Creative Commons Attribution (CC BY) license (https://creativecommons.org/licenses/by/4.0/).
Share and Cite
Tsai, C.-C.; Su, Y.-F.; Tsai, F.-J.; Su, H.-Y.; Ko, H.-J.; Cheng, Y.-H.; Chen, Y.-L.; Tsai, C.-Y. Supplementary Motor Area Syndrome after Removal of an Unusual Extensive Parasagittal Meningioma: Analysis of Twelve Reported Cases. Medicina 2022, 58, 1126. https://doi.org/10.3390/medicina58081126
Tsai C-C, Su Y-F, Tsai F-J, Su H-Y, Ko H-J, Cheng Y-H, Chen Y-L, Tsai C-Y. Supplementary Motor Area Syndrome after Removal of an Unusual Extensive Parasagittal Meningioma: Analysis of Twelve Reported Cases. Medicina. 2022; 58(8):1126. https://doi.org/10.3390/medicina58081126
Chicago/Turabian StyleTsai, Chia-Chih, Yu-Feng Su, Feng-Ji Tsai, Hui-Yuan Su, Huey-Jiun Ko, Yung-Han Cheng, Yu-Li Chen, and Cheng-Yu Tsai. 2022. "Supplementary Motor Area Syndrome after Removal of an Unusual Extensive Parasagittal Meningioma: Analysis of Twelve Reported Cases" Medicina 58, no. 8: 1126. https://doi.org/10.3390/medicina58081126
APA StyleTsai, C.-C., Su, Y.-F., Tsai, F.-J., Su, H.-Y., Ko, H.-J., Cheng, Y.-H., Chen, Y.-L., & Tsai, C.-Y. (2022). Supplementary Motor Area Syndrome after Removal of an Unusual Extensive Parasagittal Meningioma: Analysis of Twelve Reported Cases. Medicina, 58(8), 1126. https://doi.org/10.3390/medicina58081126

