Pelvic Malunion: A Systematic Review, Dichotomy of Definitions and Treatment
Abstract
:1. Introduction
2. Search Methods
3. Results
3.1. Cause and Rates of Malunion
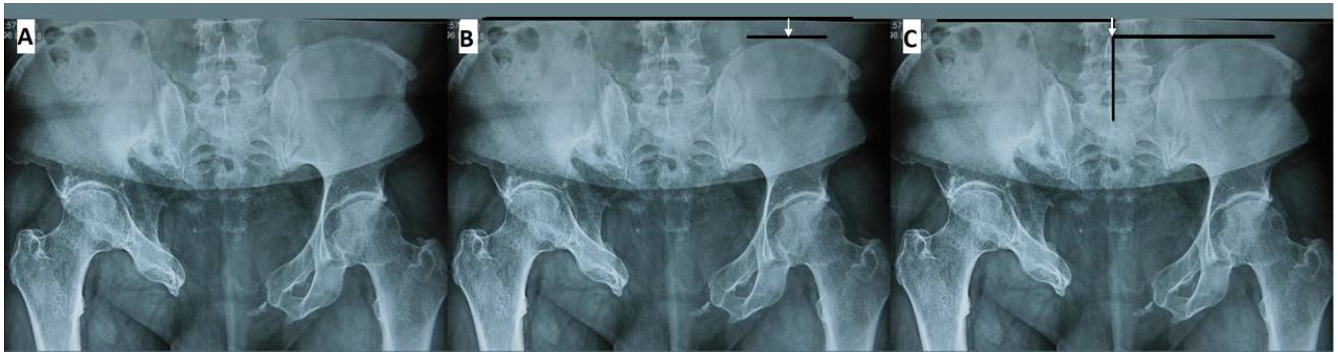
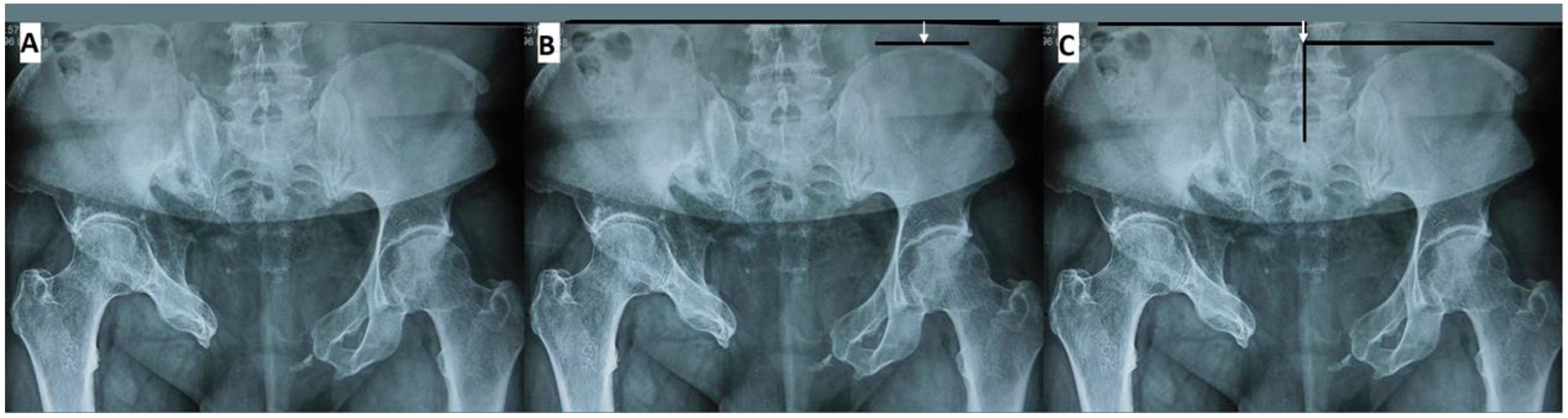
3.2. Symptoms and Deformities
3.3. Indication for Treatment and Surgical Techniques
3.4. Surgical Outcomes and Complications
4. Discussion
5. Conclusions
Author Contributions
Funding
Institutional Review Board Statement
Informed Consent Statement
Data Availability Statement
Conflicts of Interest
References
- Trafton, P.G. Pelvic Ring Injuries. Surg. Clin. N. Am. 1990, 70, 655–669. [Google Scholar] [CrossRef]
- Oransky, M.; Tortora, M. Nonunions and malunions after pelvic fractures: Why they occur and what can be done? Injury 2007, 38, 489–496. [Google Scholar] [CrossRef] [PubMed]
- Tripathy, S.K.; Goyal, T.; Sen, R.K. Nonunions and malunions of the pelvis. Eur. J. Trauma Emerg. Surg. Off. Publ. Eur. Trauma Soc. 2015, 41, 335–342. [Google Scholar] [CrossRef]
- Mears, D.C.; Velyvis, J. Surgical reconstruction of late pelvic post-traumatic nonunion and malalignment. J. Bone Jt. Surg. Br. 2003, 85, 21–30. [Google Scholar] [CrossRef] [PubMed]
- Henderson, R.C. The Long-Term Results of Nonoperatively Treated Major Pelvic Disruptions. J. Orthop. Trauma 1989, 3, 41–47. [Google Scholar] [CrossRef] [PubMed]
- Kanakaris, N.K.; Angoules, A.G.; Nikolaou, V.S.; Kontakis, G.; Giannoudis, P.V. Treatment and Outcomes of Pelvic Malunions and Nonunions: A Systematic Review. Clin. Orthop. 2009, 467, 2112–2124. [Google Scholar] [CrossRef] [PubMed]
- Black, S.R.; Sathy, A.K.; Jo, C.; Wiley, M.R.; Minei, J.P.; Starr, A.J. Improved Survival after Pelvic Fracture: 13-Year Experience at a Single Trauma Center Using a Multidisciplinary Institutional Protocol. J. Orthop. Trauma 2016, 30, 22–28. [Google Scholar] [CrossRef] [PubMed]
- Chong, K.H.; DeCoster, T.; Osler, T.; Robinson, B. Pelvic fractures and mortality. Iowa Orthop. J. 1997, 17, 110–114. [Google Scholar]
- Holstein, J.H.; Culemann, U.; Pohlemann, T.; Working Group Mortality in Pelvic Fracture Patients. What are Predictors of Mortality in Patients with Pelvic Fractures? Clin. Orthop. 2012, 470, 2090–2097. [Google Scholar] [CrossRef]
- Kurz, S.; Pieroh, P.; Lenk, M.; Josten, C.; Böhme, J. Three-dimensional reduction and finite element analysis improves the treatment of pelvic malunion reconstructive surgery: A case report. Medicine 2017, 96, e8136. [Google Scholar] [CrossRef]
- Bosch, E.W.V.D.; Van Der Kleyn, R.; Hogervorst, M.; Van Vugt, A.B. Functional Outcome of Internal Fixation for Pelvic Ring Fractures. J. Trauma 1999, 47, 365–371. [Google Scholar] [CrossRef] [PubMed]
- Papakostidis, C.; Kanakaris, N.K.; Kontakis, G.; Giannoudis, P.V. Pelvic ring disruptions: Treatment modalities and analysis of outcomes. Int. Orthop. 2009, 33, 329–338. [Google Scholar] [CrossRef] [PubMed]
- Lindahl, J.; Hirvensalo, E.; Böstman, O.; Santavirta, S. Failure of reduction with an external fixator in the management of injuries of the pelvic ring. Long-term evaluation of 110 patients. J. Bone Jt. Surg. Br. 1999, 81, 955–962. [Google Scholar] [CrossRef]
- Rousseau, M.-A.; Laude, F.; Lazennec, J.-Y.; Saillant, G.; Catonné, Y. Two-stage surgical procedure for treating pelvic malunions. Int. Orthop. 2006, 30, 338–341. [Google Scholar] [CrossRef]
- Lee, K.-J.; Min, B.-W.; Oh, G.-M.; Lee, S.-W. Surgical Correction of Pelvic Malunion and Nonunion. Clin. Orthop. Surg. 2015, 7, 396–401. [Google Scholar] [CrossRef]
- Keshishyan, R.A.; Rozinov, V.M.; Malakhov, O.A.; Kuznetsov, L.E.; Strunin, E.G.; Chogovadze, G.A.; Tsukanov, V.E. Pelvic polyfractures in children. Radiographic diagnosis and treatment. Clin. Orthop. Relat. Res. 1995, 320, 28–33. [Google Scholar]
- Cano-Luís, P.; Giráldez-Sánchez, M.Á.; Andrés-Cano, P. Pelvic post-traumatic asymmetry: Assessment and sequenced treatment. EFORT Open Rev. 2018, 3, 335–346. [Google Scholar] [CrossRef]
- Vanderschot, P.; Daenens, K.; Broos, P. Surgical treatment of post-traumatic pelvic deformities. Injury 1998, 29, 19–22. [Google Scholar] [CrossRef]
- Lu, S.; Wu, J.; Fu, B.; Dong, J.; Yang, Y.; Xin, M.; Wang, G.; He, T.-C.; Zhou, D. Transiliac Osteotomy in Surgical Management of Pelvic Post-Traumatic Malunions: A Retrospective Study. Medicine 2016, 95, e3144. [Google Scholar] [CrossRef]
- Matta, J.M.; Dickson, K.F.; Markovich, G.D. Surgical Treatment of Pelvic Nonunions and Malunions. Clin. Orthop. 1996, 329, 199–206. [Google Scholar] [CrossRef]
- Archdeacon, M.T.; Collinge, C.A.; Schumaier, A.P.; Glogovac, G. Effect of Deformity and Malunion of the Anterior Pelvic Ring. J. Orthop. Trauma 2018, 32, S31–S35. [Google Scholar] [CrossRef] [PubMed]
- Sagi, H.C.; Coniglione, F.M.; Stanford, J.H. Examination under Anesthetic for Occult Pelvic Ring Instability. J. Orthop. Trauma 2011, 25, 529–536. [Google Scholar] [CrossRef] [PubMed]
- Frigon, V.A.; Dickson, K.F. Open Reduction Internal Fixation of a Pelvic Malunion through an Anterior Approach. J. Orthop. Trauma 2001, 15, 519–524. [Google Scholar] [CrossRef]
- Herteleer, M.; Thüroff, J.; Rommens, P.M. Single stage reconstruction of a neglected open book pelvic injury with bladder herniation into the upper thigh: A case-report. Arch. Orthop. Trauma Surg. 2021, 141, 855–859, Correction in Arch. Orthop. Trauma Surg. 2021, 141, 1629. [Google Scholar] [CrossRef]
- Fang, C.; Alabdulrahman, H.; Pfeifer, R.; Tarkin, I.S.; Pape, H.-C. Late reconstruction of severe open-book deformities of the pelvis—Tips and tricks. Int. Orthop. 2017, 41, 1777–1784. [Google Scholar] [CrossRef] [PubMed]



| Author | Number of Malunion Patients (Total in the Series) | Radiographic Malunion Definition | Clinical Signs | Average Operative Time (hrs.) | Average Blood Loss (mL) | Number of Patient with Union (%) | Patient Satisfaction (%) |
|---|---|---|---|---|---|---|---|
| Mears and Velyvis [4] | 70 (204) | ER/IR * > 15° Symphysis Gap/Overlap > 1 cm AP Displacement > 1 cm Vertical Displacement > 1 cm | LLD LE Malrotation | - | - | 195 (96) | 90 |
| Oransky and Tortoro [2] | 44 (55) | Vertical Displacement > 1 cm | LLD | 6 | 700 | 54 (98) | - |
| Matta et al. [20] | 18 (37) | No definition | LLD | 7 | 1977 | 36 (97) | 86 |
| Vanderschot et al. [18] | 1 (2) | No definition | LLD | 8 | 2000 | 2 (100) | 100 |
| Rousseau et al. [14] | 8 | No definition | LLD > 2 cm | 4.6 | - | 7 (88) | - |
| Lu et al. [19] | 8 | No definition | 4.1 | 2225 | 8 (100) | 75 | |
| Kurz et al. [10] | 1 | Mears criteria | LLD 4 cm | - | - | 1 (100) | - |
| Frigon and Dickson [23] | 1 | IR of the hemipelvis > 15 ° | IR LE Deformity | 7 | - | 1 (100) | - |
| Lee et al. [15] | 1 | Hemipelvis Displacement > 1 cm Rotation 15–20° | LLD | - | - | - | - |
| Herteleer et al. [24] | 1 | No definition | ER LE Deformity | - | - | 1 (100) | - |
| Fang et al. [25] | 1 (5) | No definition | - | - | 1 (100) | 100 |
Publisher’s Note: MDPI stays neutral with regard to jurisdictional claims in published maps and institutional affiliations. |
© 2022 by the authors. Licensee MDPI, Basel, Switzerland. This article is an open access article distributed under the terms and conditions of the Creative Commons Attribution (CC BY) license (https://creativecommons.org/licenses/by/4.0/).
Share and Cite
Stine, S.; Washington, A.; Sen, R.K.; Nasr, K.; Vaidya, R. Pelvic Malunion: A Systematic Review, Dichotomy of Definitions and Treatment. Medicina 2022, 58, 1098. https://doi.org/10.3390/medicina58081098
Stine S, Washington A, Sen RK, Nasr K, Vaidya R. Pelvic Malunion: A Systematic Review, Dichotomy of Definitions and Treatment. Medicina. 2022; 58(8):1098. https://doi.org/10.3390/medicina58081098
Chicago/Turabian StyleStine, Sasha, Austen Washington, Ramesh Kumar Sen, Kerellos Nasr, and Rahul Vaidya. 2022. "Pelvic Malunion: A Systematic Review, Dichotomy of Definitions and Treatment" Medicina 58, no. 8: 1098. https://doi.org/10.3390/medicina58081098
APA StyleStine, S., Washington, A., Sen, R. K., Nasr, K., & Vaidya, R. (2022). Pelvic Malunion: A Systematic Review, Dichotomy of Definitions and Treatment. Medicina, 58(8), 1098. https://doi.org/10.3390/medicina58081098

