Patients with Invasive Lobular Carcinoma Show a Significant Increase in IRS-4 Expression Compared to Infiltrative Ductal Carcinoma—A Histopathological Study
Abstract
:1. Introduction
2. Patients and Methods
2.1. Collection of Samples
2.2. Histopathological and Immunohistochemical Studies
2.3. Histopathological Evaluation
2.4. Statistic Analysis
3. Results
3.1. Clinical and Sociodemographic Characteristics of the Study Population
3.2. Patients with Invasive Lobular Carcinoma Show a Significant Increase in the Expression of IRS-4
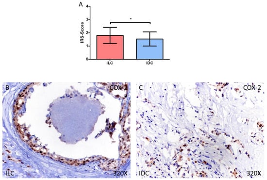
3.3. Patients with Invasive Lobular Carcinoma Show a Significant Increase in the Expression of C0X-2, Rb1 and Cyclin D1
4. Discussion
5. Conclusions
Author Contributions
Funding
Institutional Review Board Statement
Informed Consent Statement
Data Availability Statement
Conflicts of Interest
References
- Simon, A.; Robb, K. Breast Cancer. In Cambridge Handbook of Psychology, Health and Medicine, 2nd ed.; Cambridge University Press: Cambridge, UK, 2021; pp. 577–580. [Google Scholar] [CrossRef]
- Bober, P.; Tomková, Z.; Alexovič, M.; Ropovik, I.; Sabo, J. The unfolded protein response controls endoplasmic reticulum stress-induced apoptosis of MCF-7 cells via a high dose of vitamin C treatment. Mol. Biol. Rep. 2019, 46, 1275–1284. [Google Scholar] [CrossRef] [PubMed]
- Tao, Z.Q.; Shi, A.; Lu, C.; Song, T.; Zhang, Z.; Zhao, J. Breast Cancer: Epidemiology and Etiology. Cell Biochem. Biophys. 2015, 72, 333–338. [Google Scholar] [CrossRef] [PubMed]
- Yousef, A.J.A. Male Breast Cancer: Epidemiology and Risk Factors. Semin. Oncol. 2017, 44, 267–272. [Google Scholar] [CrossRef] [PubMed]
- Ataollahi, M.R.; Sharifi, J.; Paknahad, M.R.; Paknahad, A. Breast cancer and associated factors: A review. J. Med. Life 2015, 8, 6. [Google Scholar]
- Sun, Y.S.; Zhao, Z.; Yang, Z.N.; Xu, F.; Lu, H.J.; Zhu, Z.Y.; Shi, W.; Jiang, J.; Yao, P.P.; Zhu, H.P. Risk Factors and Preventions of Breast Cancer. Int. J. Biol. Sci. 2017, 13, 1387. [Google Scholar] [CrossRef] [Green Version]
- Łukasiewicz, S.; Czeczelewski, M.; Forma, A.; Baj, J.; Sitarz, R.; Stanisławek, A. Breast Cancer-Epidemiology, Risk Factors, Classification, Prognostic Markers, and Current Treatment Strategies-An Updated Review. Cancers 2021, 13, 4287. [Google Scholar] [CrossRef]
- Oluogun, W.A.; Adedokun, K.A.; Oyenike, M.A.; Adeyeba, O.A. Histological Classification, Grading, Staging, and Prognostic Indexing of Female Breast Cancer in an African Population: A 10-Year Retrospective Study. Int. J. Health Sci. 2019, 13, 3. [Google Scholar]
- Weigelt, B.; Horlings, H.M.; Kreike, B.; Hayes, M.M.; Hauptmann, M.; Wessels, L.F.A.; de Jong, D.; van de Vijver, M.J.; Van’t Veer, L.J.; Peterse, J.L. Refinement of Breast Cancer Classification by Molecular Characterization of Histological Special Types. J. Pathol. 2008, 216, 141–150. [Google Scholar] [CrossRef]
- Adachi, Y.; Ishiguro, J.; Kotani, H.; Hisada, T.; Ichikawa, M.; Gondo, N.; Yoshimura, A.; Kondo, N.; Hattori, M.; Sawaki, M.; et al. Comparison of Clinical Outcomes between Luminal Invasive Ductal Carcinoma and Luminal Invasive Lobular Carcinoma. BMC Cancer 2016, 16, 248. [Google Scholar] [CrossRef] [Green Version]
- Du, T.; Zhu, L.; Levine, K.M.; Tasdemir, N.; Lee, A.V.; Vignali, D.A.A.; van Houten, B.; Tseng, G.C.; Oesterreich, S. Invasive Lobular and Ductal Breast Carcinoma Differ in Immune Response, Protein Translation Efficiency and Metabolism. Sci. Rep. 2018, 8, 7205. [Google Scholar] [CrossRef]
- Ortega, M.A.; Fraile-Martínez, O.; Guijarro, L.G.; Casanova, C.; Coca, S.; Álvarez-Mon, M.; Buján, J.; García-Honduvilla, N.; Asúnsolo, Á. Á. The Regulatory Role of Mitochondrial MicroRNAs (MitomiRs) in Breast Cancer: Translational Implications Present and Future. Cancers 2020, 12, 2443. [Google Scholar] [CrossRef] [PubMed]
- Hao, P.; Huang, Y.; Peng, J.; Yu, J.; Guo, X.; Bao, F.; Dian, Z.; An, S.; Xu, T.R. IRS4 Promotes the Progression of Non-Small Cell Lung Cancer and Confers Resistance to EGFR-TKI through the Activation of PI3K/Akt and Ras-MAPK Pathways. Exp. Cell Res. 2021, 403, 112615. [Google Scholar] [CrossRef] [PubMed]
- Ikink, G.J.; Hilkens, J. Insulin Receptor Substrate 4 (IRS4) Is a Constitutive Active Oncogenic Driver Collaborating with HER2 and Causing Therapeutic Resistance. Mol. Cell. Oncol. 2017, 4, e1279722. [Google Scholar] [CrossRef] [PubMed] [Green Version]
- Guijarro, L.G.; Sanmartin-Salinas, P.; Pérez-Cuevas, E.; Toledo-Lobo, M.V.; Monserrat, J.; Zoullas, S.; Sáez, M.A.; Álvarez-Mon, M.A.; Bujan, J.; Noguerales-Fraguas, F.; et al. Possible Role of IRS-4 in the Origin of Multifocal Hepatocellular Carcinoma. Cancers 2021, 13, 2560. [Google Scholar] [CrossRef] [PubMed]
- Ortega, M.A.; Pekarek, L.; Garcia-Montero, C.; Fraile-Martinez, O.; Saez, M.A.; Asúnsolo, A.; Alvarez-Mon, M.A.; Monserrat, J.; Coca, S.; Toledo-Lobo, M.V.; et al. Prognostic Role of IRS-4 in the Survival of Patients with Pancreatic Cancer. Histol. Histopathol. 2022, 9, 18432. [Google Scholar] [CrossRef]
- Jana, D.; Sarkar, D.K.; Ganguly, S.; Saha, S.; Sa, G.; Manna, A.K.; Banerjee, A.; Mandal, S. Role of Cyclooxygenase 2 (COX-2) in Prognosis of Breast Cancer. Indian J. Surg. Oncol. 2014, 5, 59. [Google Scholar] [CrossRef] [Green Version]
- Barnes, D.M.; Gillett, C.E. Cyclin D1 in Breast Cancer. Breast Cancer Res. Treat. 1998, 52, 1–15. [Google Scholar] [CrossRef]
- Robinson, T.J.W.; Liu, J.C.; Vizeacoumar, F.; Sun, T.; Maclean, N.; Egan, S.E.; Schimmer, A.D.; Datti, A.; Zacksenhaus, E. RB1 Status in Triple Negative Breast Cancer Cells Dictates Response to Radiation Treatment and Selective Therapeutic Drugs. PLoS ONE 2013, 8, e78641. [Google Scholar] [CrossRef] [Green Version]
- Lakhani, S.R. WHO Classification of Breast Tumours: WHO Classification of Tumours; International Agency for Research on Cancer: Lion, France, 2019; Volume 2. [Google Scholar]
- Ortega, M.A.; Fraile-Martínez, O.; Pekarek, L.; Alvarez-Mon, M.A.; Asúnsolo, Á.; Sanchez-Trujillo, L.; Coca, S.; Buján, J.; Álvarez-Mon, M.; García-Honduvilla, N.; et al. Defective expression of the peroxisome regulators PPARα receptors and lysogenesis with increased cellular senescence in the venous wall of chronic venous disorder. Histol. Histopathol. 2021, 36, 547–558. [Google Scholar] [CrossRef]
- Ortega, M.A.; Pekarek, L.; Fraile-Martinez, O.; Garcia-Montero, C.; Saez, M.A.; Asúnsolo, A.; Alvarez-Mon, M.A.; Monserrat, J.; Ruiz-Llorente, L.; García-Honduvilla, N.; et al. Implication of ERBB2 as a Predictive Tool for Survival in Patients with Pancreatic Cancer in Histological Studies. Curr. Oncol. 2022, 29, 2442–2453. [Google Scholar] [CrossRef]
- Ortega, M.A.; Romero, B.; Asúnsolo, Á.; Sainz, F.; Martinez-Vivero, C.; Álvarez-Mon, M.; Buján, J.; García-Honduvilla, N. Behavior of Smooth Muscle Cells under Hypoxic Conditions: Possible Implications on the Varicose Vein Endothelium. BioMed Res. Int. 2018, 2018, 7156150. [Google Scholar] [CrossRef] [PubMed] [Green Version]
- Huang, J.; Chan, P.S.; Lok, V.; Chen, X.; Ding, H.; Jin, Y.; Yuan, J.; Lao, X.Q.; Zheng, Z.J.; Wong, M.C. Global Incidence and Mortality of Breast Cancer: A Trend Analysis. Aging 2021, 13, 5748. [Google Scholar] [CrossRef] [PubMed]
- Bertucci, F.; Orsetti, B.; Nègre, V.; Finetti, P.; Rougé, C.; Ahomadegbe, J.C.; Bibeau, F.; Mathieu, M.C.; Treilleux, I.; Jacquemier, J.; et al. Lobular and Ductal Carcinomas of the Breast Have Distinct Genomic and Expression Profiles. Oncogene 2008, 27, 5359–5372. [Google Scholar] [CrossRef] [PubMed] [Green Version]
- Schnitt, S.J. Will Molecular Classification Replace Traditional Breast Pathology? Int. J. Surg. Pathol. 2010, 18, 162–166. [Google Scholar] [CrossRef] [PubMed]
- Sørlie, T.; Perou, C.M.; Tibshirani, R.; Aas, T.; Geisler, S.; Johnsen, H.; Hastie, T.; Eisen, M.B.; van de Rijn, M.; Jeffrey, S.S.; et al. Gene Expression Patterns of Breast Carcinomas Distinguish Tumor Subclasses with Clinical Implications. Proc. Natl. Acad. Sci. USA 2001, 98, 10869–10874. [Google Scholar] [CrossRef] [PubMed] [Green Version]
- Chumsri, S.; Li, Z.; Shachner, T.; Advani, P.; Sideras, K.; Moreno-Aspitia, A.; Colon-Otero, G.; Knutson, K.L.; Nassar, A.; Perez, E.A.; et al. Outcome and Immune Landscape of HER2-Positive Invasive Lobular Carcinoma in the North Central Cancer Treatment Group (NCCTG) N9831 (Alliance) Trial. J. Clin. Oncol. 2021, 39, 535. [Google Scholar] [CrossRef]
- Ortega, M.A.; Fraile-Martínez, O.; Asúnsolo, Á.; Buján, J.; García-Honduvilla, N.; Coca, S. Signal Transduction Pathways in Breast Cancer: The Important Role of PI3K/Akt/MTOR. J. Oncol. 2020, 2020, 9258396. [Google Scholar] [CrossRef] [Green Version]
- Sanmartín-Salinas, P.; del Val Toledo Lobo, M.; Noguerales-Fraguas, F.; Londoño, M.T.; Jiménez-Ruiz, A.; Guijarro, L.G. Insulin Receptor Substrate-4 Is Overexpressed in Colorectal Cancer and Promotes Retinoblastoma-Cyclin-Dependent Kinase Activation. J. Gastroenterol. 2018, 53, 932–944. [Google Scholar] [CrossRef]
- Qie, S.; Diehl, J.A. Cyclin D1, Cancer Progression, and Opportunities in Cancer Treatment. J. Mol. Med. 2016, 94, 1313–1326. [Google Scholar] [CrossRef] [Green Version]
- Roy, P.G.; Thompson, A.M. Cyclin D1 and Breast Cancer. Breast 2006, 15, 718–727. [Google Scholar] [CrossRef]
- Soslow, R.A.; Carlson, D.L.; Horenstein, M.G.; Osborne, M.P. A Comparison of Cell Cycle Markers in Well-Differentiated Lobular and Ductal Carcinomas. Breast Cancer Res. Treat. 2000, 61, 161–170. [Google Scholar] [CrossRef] [PubMed]
- Pietiläinen, T.; Lipponen, P.; Aaltomaa, S.; Eskelinen, M.; Kosma, V.M.; Syrjänen, K. Expression of Retinoblastoma Gene Protein (Rb) in Breast Cancer as Related to Established Prognostic Factors and Survival. Eur. J. Cancer 1995, 31A, 329–333. [Google Scholar] [CrossRef]
- Ceccarelli, C.; Santini, D.; Chieco, P.; Taffurelli, M.; Gamberini, M.; Pileri, S.A.; Marrano, D. Retinoblastoma (RB1) Gene Product Expression in Breast Carcinoma. Correlation with Ki-67 Growth Fraction and Biopathological Profile. J. Clin. Pathol. 1998, 51, 818. [Google Scholar] [CrossRef] [PubMed] [Green Version]
- Zhang, X.; Pang, X.; Zhang, Z.; Liu, Q.; Zhang, H.; Xiang, Q.; Cui, Y. Co-Expression and Prognosis Analyses of GLUT1-4 and RB1 in Breast Cancer. BMC Cancer 2021, 21, 1026. [Google Scholar] [CrossRef]
- Costa, C.; Soares, R.; Reis-Filho, J.S.; Leitão, D.; Amendoeira, I.; Schmitt, F.C. Cyclo-Oxygenase 2 Expression Is Associated with Angiogenesis and Lymph Node Metastasis in Human Breast Cancer. J. Clin. Pathol. 2002, 55, 429. [Google Scholar] [CrossRef] [Green Version]
- Harris, R.E.; Casto, B.C.; Harris, Z.M. Cyclooxygenase-2 and the Inflammogenesis of Breast Cancer. World J. Clin. Oncol. 2014, 5, 677. [Google Scholar] [CrossRef] [Green Version]
- Hashemi Goradel, N.; Najafi, M.; Salehi, E.; Farhood, B.; Mortezaee, K. Cyclooxygenase-2 in Cancer: A Review. J. Cell. Physiol. 2019, 234, 5683–5699. [Google Scholar] [CrossRef]
- Holmes, M.D.; Chen, W.Y.; Schnitt, S.J.; Collins, L.; Colditz, G.A.; Hankinson, S.E.; Tamimi, R.M. COX-2 Expression Predicts Worse Breast Cancer Prognosis and Does Not Modify the Association with Aspirin. Breast Cancer Res. Treat. 2011, 130, 657–662. [Google Scholar] [CrossRef] [Green Version]
- Singh-Ranger, G.; Salhab, M.; Mokbel, K. The Role of Cyclooxygenase-2 in Breast Cancer: Review. Breast Cancer Res. Treat. 2008, 109, 189–198. [Google Scholar] [CrossRef]
- Hoellen, F.; Kelling, K.; Dittmer, C.; Diedrich, K.; Friedrich, M.; Thill, M. Impact of Cyclooxygenase-2 in Breast Cancer|Anticancer Research. Anticancer Res. 2011, 31, 4359–4367. [Google Scholar]
- Perrone, G.; Zagami, M.; Santini, D.; Vincenzi, B.; Gullotta, G.; Morini, S.; Battista, C.; Guerriero, G.; Altomare, V.; Tonini, G.; et al. COX-2 Expression in Lobular in Situ Neoplasia of the Breast: Correlation with Histopathological Grading System According to the Tavassoli Classification. Histopathology 2007, 51, 33–39. [Google Scholar] [CrossRef] [PubMed]




| Antigen | Dilution | Provider | Protocol Specifications |
|---|---|---|---|
| IRS-4 | 1:250 | Thermo Fisher Scientific—PA5-117329 | Preincubation with Tris-EDTA buffer pH 9 and incubation with 0.1% TTX (Triton ×100 in TBS) for 5 min. |
| COX-2 | 1:750 | Vitro, MAD-000335QD-3/V | ----------------- |
| Rb1 | 1:500 | Vitro, MAD-000900QD-3/V | ----------------- |
| Cyclin D1 | 1:500 | Vitro, MAD-000630QD-3/V | Preincubation with Tris-EDTA buffer pH 9 and incubation with 0.1% TTX (Triton ×100 in TBS) for 5 min. |
Publisher’s Note: MDPI stays neutral with regard to jurisdictional claims in published maps and institutional affiliations. |
© 2022 by the authors. Licensee MDPI, Basel, Switzerland. This article is an open access article distributed under the terms and conditions of the Creative Commons Attribution (CC BY) license (https://creativecommons.org/licenses/by/4.0/).
Share and Cite
Ortega, M.A.; Fraile-Martinez, O.; García-Montero, C.; Borja-Vergel, S.; Torres-Carranza, D.; Pekarek, L.; Arribas, C.B.; De León-Luis, J.A.; Sánchez-Rojo, C.; Alvarez-Mon, M.A.; et al. Patients with Invasive Lobular Carcinoma Show a Significant Increase in IRS-4 Expression Compared to Infiltrative Ductal Carcinoma—A Histopathological Study. Medicina 2022, 58, 722. https://doi.org/10.3390/medicina58060722
Ortega MA, Fraile-Martinez O, García-Montero C, Borja-Vergel S, Torres-Carranza D, Pekarek L, Arribas CB, De León-Luis JA, Sánchez-Rojo C, Alvarez-Mon MA, et al. Patients with Invasive Lobular Carcinoma Show a Significant Increase in IRS-4 Expression Compared to Infiltrative Ductal Carcinoma—A Histopathological Study. Medicina. 2022; 58(6):722. https://doi.org/10.3390/medicina58060722
Chicago/Turabian StyleOrtega, Miguel A., Oscar Fraile-Martinez, Cielo García-Montero, Sandra Borja-Vergel, Diego Torres-Carranza, Leonel Pekarek, Coral Bravo Arribas, Juan A. De León-Luis, Cristina Sánchez-Rojo, Miguel Angel Alvarez-Mon, and et al. 2022. "Patients with Invasive Lobular Carcinoma Show a Significant Increase in IRS-4 Expression Compared to Infiltrative Ductal Carcinoma—A Histopathological Study" Medicina 58, no. 6: 722. https://doi.org/10.3390/medicina58060722
APA StyleOrtega, M. A., Fraile-Martinez, O., García-Montero, C., Borja-Vergel, S., Torres-Carranza, D., Pekarek, L., Arribas, C. B., De León-Luis, J. A., Sánchez-Rojo, C., Alvarez-Mon, M. A., García-Honduvilla, N., Buján, J., Coca, S., Alvarez-Mon, M., Saez, M. A., & Guijarro, L. G. (2022). Patients with Invasive Lobular Carcinoma Show a Significant Increase in IRS-4 Expression Compared to Infiltrative Ductal Carcinoma—A Histopathological Study. Medicina, 58(6), 722. https://doi.org/10.3390/medicina58060722

