Comparison of Clinical and Radiographic Outcomes According to the Presence or Absence of a Posterior Draw Force during Graft Fixation in Anterior Cruciate Ligament Reconstruction
Abstract
1. Introduction
2. Materials and Methods
2.1. Patients
2.2. Surgical Procedures
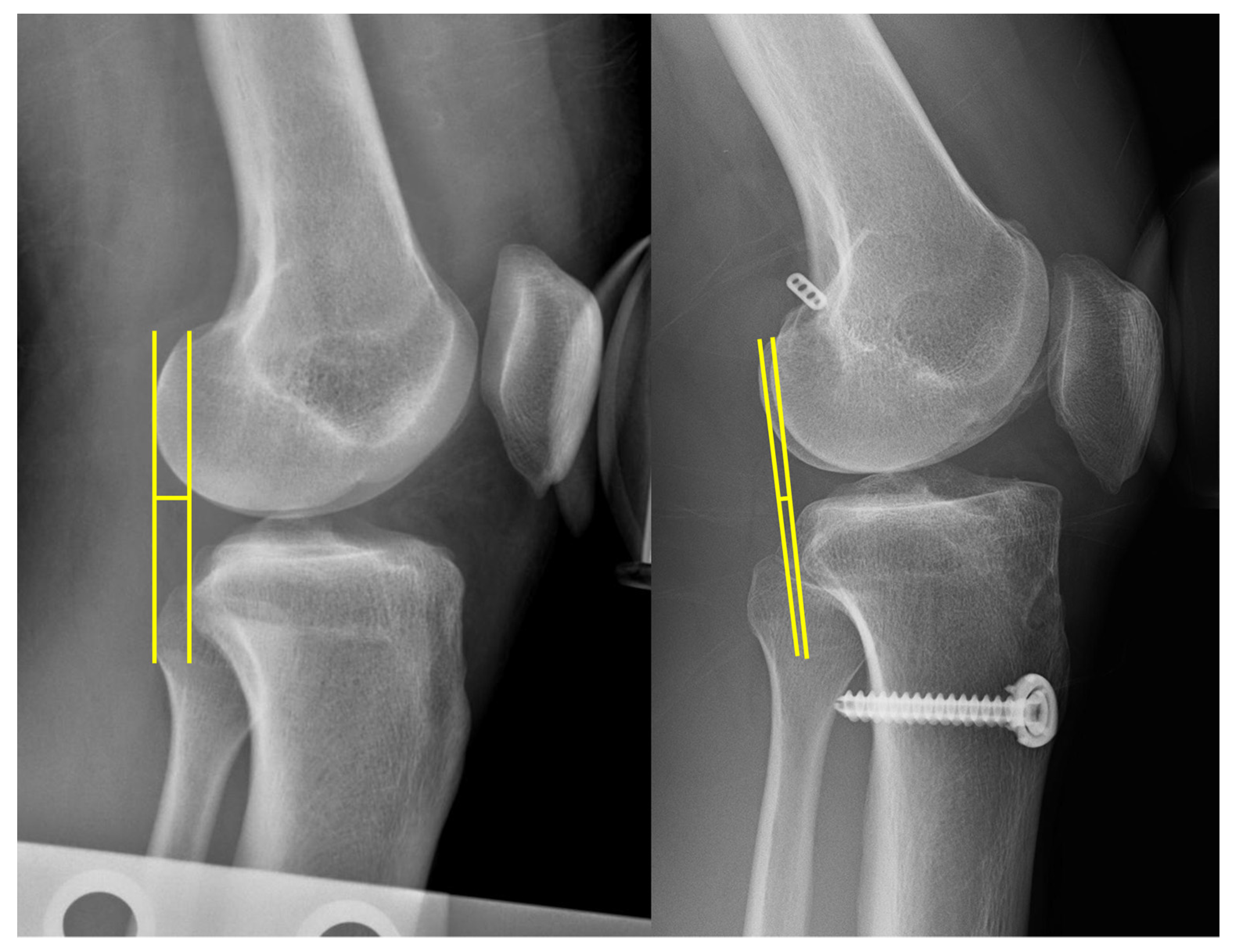
2.3. Clinical and Radiographic Evaluation
2.4. Statistical Analysis
3. Results
4. Discussion
5. Conclusions
Author Contributions
Funding
Institutional Review Board Statement
Informed Consent Statement
Data Availability Statement
Conflicts of Interest
References
- Sanders, T.L.; Maradit Kremers, H.; Bryan, A.J.; Larson, D.R.; Dahm, D.L.; Levy, B.A.; Stuart, M.J.; Krych, A.J. Incidence of Anterior Cruciate Ligament Tears and Reconstruction: A 21-Year Population-Based Study. Am. J. Sports Med. 2016, 44, 1502–1507. [Google Scholar] [CrossRef] [PubMed]
- Kurtoglu, A.; Basar, B.; Basar, G.; Gezginaslan, O.; Basar, H. Small Size Autograft versus Large Size Allograft in Anterior Cruciate Ligament Reconstruction. Clin. Orthop. Surg. 2021, 13, 47–52. [Google Scholar] [CrossRef]
- Longo, U.G.; Nagai, K.; Salvatore, G.; Cella, E.; Candela, V.; Cappelli, F.; Ciccozzi, M.; Denaro, V. Epidemiology of Anterior Cruciate Ligament Reconstruction Surgery in Italy: A 15-Year Nationwide Registry Study. J. Clin. Med. 2021, 10, 223. [Google Scholar] [CrossRef] [PubMed]
- Bowers, A.L.; Bedi, A.; Lipman, J.D.; Potter, H.G.; Rodeo, S.A.; Pearle, A.D.; Warren, R.F.; Altchek, D.W. Comparison of anterior cruciate ligament tunnel position and graft obliquity with transtibial and anteromedial portal femoral tunnel reaming techniques using high-resolution magnetic resonance imaging. Arthroscopy 2011, 27, 1511–1522. [Google Scholar] [CrossRef] [PubMed]
- Kopf, S.; Forsythe, B.; Wong, A.K.; Tashman, S.; Anderst, W.; Irrgang, J.J.; Fu, F.H. Nonanatomic tunnel position in traditional transtibial single-bundle anterior cruciate ligament reconstruction evaluated by three-dimensional computed tomography. J. Bone Jt. Surg. Am. 2010, 92, 1427–1431. [Google Scholar] [CrossRef]
- Asagumo, H.; Kimura, M.; Kobayashi, Y.; Taki, M.; Takagishi, K. Anatomic reconstruction of the anterior cruciate ligament using double-bundle hamstring tendons: Surgical techniques, clinical outcomes, and complications. Arthroscopy 2007, 23, 602–609. [Google Scholar] [CrossRef]
- Fu, F.H.; Shen, W.; Starman, J.S.; Okeke, N.; Irrgang, J.J. Primary anatomic double-bundle anterior cruciate ligament reconstruction: A preliminary 2-year prospective study. Am. J. Sports Med. 2008, 36, 1263–1274. [Google Scholar] [CrossRef]
- Kim, J.G.; Chang, M.H.; Lim, H.C.; Bae, J.H.; Lee, S.Y.; Ahn, J.H.; Wang, J.H. An In Vivo 3D Computed Tomographic Analysis of Femoral Tunnel Geometry and Aperture Morphology Between Rigid and Flexible Systems in Double-Bundle Anterior Cruciate Ligament Reconstruction Using the Transportal Technique. Arthroscopy 2015, 31, 1318–1329. [Google Scholar] [CrossRef]
- Hulet, C.; Sonnery-Cottet, B.; Stevenson, C.; Samuelsson, K.; Laver, L.; Zdanowicz, U.; Stufkens, S.; Curado, J.; Verdonk, P.; Spalding, T. The use of allograft tendons in primary ACL reconstruction. Knee Surg. Sports Traumatol. Arthrosc. 2019, 27, 1754–1770. [Google Scholar] [CrossRef]
- McDonald, L.S.; van der List, J.P.; Jones, K.J.; Zuiderbaan, H.A.; Nguyen, J.T.; Potter, H.G.; Pearle, A.D. Passive Anterior Tibial Subluxation in the Setting of Anterior Cruciate Ligament Injuries: A Comparative Analysis of Ligament-Deficient States. Am. J. Sports Med. 2017, 45, 1537–1546. [Google Scholar] [CrossRef]
- Balazs, G.C.; Brelin, A.M.; Grimm, P.D.; Dickens, J.F.; Keblish, D.J.; Rue, J.H. Hybrid Tibia Fixation of Soft Tissue Grafts in Anterior Cruciate Ligament Reconstruction: A Systematic Review. Am. J. Sports Med. 2016, 44, 2724–2732. [Google Scholar] [CrossRef] [PubMed]
- Yoshiya, S.; Kurosaka, M.; Ouchi, K.; Kuroda, R.; Mizuno, K. Graft tension and knee stability after anterior cruciate ligament reconstruction. Clin. Orthop. Relat. Res. 2002, 394, 154–160. [Google Scholar] [CrossRef] [PubMed]
- Browning, W.M., 3rd; Kluczynski, M.A.; Curatolo, C.; Marzo, J.M. Suspensory Versus Aperture Fixation of a Quadrupled Hamstring Tendon Autograft in Anterior Cruciate Ligament Reconstruction: A Meta-analysis. Am. J. Sports Med. 2017, 45, 2418–2427. [Google Scholar] [CrossRef] [PubMed]
- Pereira, V.L.; Medeiros, J.V.; Nunes, G.R.S.; de Oliveira, G.T.; Nicolini, A.P. Tibial-graft fixation methods on anterior cruciate ligament reconstructions: A literature review. Knee Surg. Relat. Res. 2021, 33, 7. [Google Scholar] [CrossRef] [PubMed]
- Moon, D.K.; Jo, H.S.; Lee, D.Y.; Kang, D.G.; Won, H.C.; Seo, M.S.; Hwang, S.C. Anterior cruciate ligament femoral-tunnel drilling through an anteromedial portal: 3-dimensional plane drilling angle affects tunnel length relative to notchplasty. Knee Surg. Relat. Res. 2021, 33, 13. [Google Scholar] [CrossRef]
- Almekinders, L.C.; Chiavetta, J.B.; Clarke, J.P. Radiographic evaluation of anterior cruciate ligament graft failure with special reference to tibial tunnel placement. Arthroscopy 1998, 14, 206–211. [Google Scholar] [CrossRef]
- Almekinders, L.C.; Chiavetta, J.B. Tibial subluxation in anterior cruciate ligament-deficient knees: Implications for tibial tunnel placement. Arthroscopy 2001, 17, 960–962. [Google Scholar] [CrossRef]
- Almekinders, L.C.; Pandarinath, R.; Rahusen, F.T. Knee stability following anterior cruciate ligament rupture and surgery. The contribution of irreducible tibial subluxation. J. Bone Jt. Surg. Am. 2004, 86, 983–987. [Google Scholar] [CrossRef]
- Tanaka, M.J.; Jones, K.J.; Gargiulo, A.M.; Delos, D.; Wickiewicz, T.L.; Potter, H.G.; Pearle, A.D. Passive anterior tibial subluxation in anterior cruciate ligament-deficient knees. Am. J. Sports Med. 2013, 41, 2347–2352. [Google Scholar] [CrossRef]
- Hoher, J.; Kanamori, A.; Zeminski, J.; Fu, F.H.; Woo, S.L. The position of the tibia during graft fixation affects knee kinematics and graft forces for anterior cruciate ligament reconstruction. Am. J. Sports Med. 2001, 29, 771–776. [Google Scholar] [CrossRef]
- Kim, J.H.; Oh, E.; Yoon, Y.C.; Lee, D.K.; Lee, S.S.; Wang, J.H. Remnant-Tensioning Single-Bundle Anterior Cruciate Ligament Reconstruction Provides Comparable Stability to and Better Graft Vascularity Than Double-Bundle Anterior Cruciate Ligament Reconstruction in Acute or Subacute Injury: A Prospective Randomized Controlled Study Using Dynamic Contrast-Enhanced Magnetic Resonance Imaging. Arthroscopy 2021, 37, 209–221. [Google Scholar] [CrossRef] [PubMed]
- Yoon, K.H.; Kim, Y.S.; Park, J.Y.; Kim, S.G.; Lee, J.H.; Choi, S.H.; Kim, S.J. Ideal Combination of Anatomic Tibial and Femoral Tunnel Positions for Single-Bundle ACL Reconstruction. Orthop. J. Sports Med. 2022, 10, 23259671211069960. [Google Scholar] [CrossRef] [PubMed]
- Khan, M.J.; Asif, N.; Aziz, M.H.; Raza, A.; Anwar, S.; Nuhmani, S.; Alghadir, A.H.; Khan, M. Does an Adjustable-Loop Device Loosen following ACL Reconstruction with a Hamstring Graft? A Retrospective Study with a Follow-Up of Two Years. J. Clin. Med. 2022, 11, 3648. [Google Scholar] [CrossRef] [PubMed]
- Lee, C.S.; Han, S.B.; Jang, K.M. Combined Anterior Cruciate Ligament and Anterolateral Ligament Reconstruction Using a Single Achilles Tendon Allograft: A Technical Note. Medicina 2022, 58, 929. [Google Scholar] [CrossRef]
- Kim, J.G.; Kang, S.H.; Kim, J.H.; Lim, C.O.; Wang, J.H. Comparison of Clinical Results, Second-Look Arthroscopic Findings, and MRI Findings between the Transportal and Outside-In Techniques for Double-Bundle Anatomic Anterior Cruciate Ligament Reconstruction: A Prospective, Randomized Controlled Trial with a Minimum 2-Year Follow-up. Am. J. Sports Med. 2018, 46, 544–556. [Google Scholar] [CrossRef]
- Lee, H.W.; Park, C.H.; Bae, D.K.; Song, S.J. How much preoperative flexion contracture is a predictor for residual flexion contracture after total knee arthroplasty in hemophilic arthropathy and rheumatoid arthritis? Knee Surg. Relat. Res. 2022, 34, 20. [Google Scholar] [CrossRef]
- Clement, N.D.; Bardgett, M.; Weir, D.; Holland, J.; Gerrand, C.; Deehan, D.J. What is the Minimum Clinically Important Difference for the WOMAC Index After TKA? Clin. Orthop. Relat. Res. 2018, 476, 2005–2014. [Google Scholar] [CrossRef]
- Lysholm, J.; Gillquist, J. Evaluation of knee ligament surgery results with special emphasis on use of a scoring scale. Am. J. Sports Med. 1982, 10, 150–154. [Google Scholar] [CrossRef]
- Sood, M.; Kulshrestha, V.; Sachdeva, J.; Ghai, A.; Sud, A.; Singh, S. Poor Functional Outcome in Patients with Voluntary Knee Instability after Anterior Cruciate Ligament Reconstruction. Clin. Orthop. Surg. 2020, 12, 312–317. [Google Scholar] [CrossRef]
- Helito, C.P.; da Silva, A.G.M.; Guimaraes, T.M.; Sobrado, M.F.; Pecora, J.R.; Camanho, G.L. Functional results of multiple revision anterior cruciate ligament with anterolateral tibial tunnel associated with anterolateral ligament reconstruction. Knee Surg. Relat. Res. 2022, 34, 24. [Google Scholar] [CrossRef]
- Anderson, A.F.; Irrgang, J.J.; Kocher, M.S.; Mann, B.J.; Harrast, J.J.; International Knee Documentation Committee. The International Knee Documentation Committee Subjective Knee Evaluation Form: Normative data. Am. J. Sports Med. 2006, 34, 128–135. [Google Scholar] [CrossRef] [PubMed]
- Lee, T.J.; Jang, K.M.; Kim, T.J.; Lee, S.M.; Bae, J.H. Adjustable-Loop Cortical Suspensory Fixation Results in Greater Tibial Tunnel Widening Compared to Interference Screw Fixation in Primary Anterior Cruciate Ligament Reconstruction. Medicina 2022, 58, 1193. [Google Scholar] [CrossRef] [PubMed]
- Yoo, J.Y.; Park, H.G.; Kwon, S.M. Influence of posteromedial corner injuries on clinical outcome and second-look arthroscopic findings after allograft transtibial anterior cruciate ligament reconstruction. Knee Surg. Relat. Res. 2020, 32, 41. [Google Scholar] [CrossRef] [PubMed]
- Kim, S.H.; Park, Y.B.; Ham, D.W.; Lim, J.W.; Lee, H.J. Stress radiography at 30 degrees of knee flexion is a reliable evaluation tool for high-grade rotatory laxity in complete ACL-injured knees. Knee Surg. Sports Traumatol. Arthrosc. 2020, 28, 2233–2244. [Google Scholar] [CrossRef]
- Jacobsen, K. Stress radiographical measurement of the anteroposterior, medial and lateral stability of the knee joint. Acta Orthop. Scand. 1976, 47, 335–344. [Google Scholar] [CrossRef]
- Kim, S.H.; Park, Y.B.; Kim, D.H.; Pujol, N.; Lee, H.J. Predictive factors for failure of anterior cruciate ligament reconstruction via the trans-tibial technique. Arch. Orthop. Trauma Surg. 2020, 140, 1445–1457. [Google Scholar] [CrossRef]
- Lee, S.; Kim, H.; Jang, J.; Seong, S.C.; Lee, M.C. Intraoperative correlation analysis between tunnel position and translational and rotational stability in single- and double-bundle anterior cruciate ligament reconstruction. Arthroscopy 2012, 28, 1424–1436. [Google Scholar] [CrossRef]
- Reijman, M.; Eggerding, V.; van Es, E.; van Arkel, E.; van den Brand, I.; van Linge, J.; Zijl, J.; Waarsing, E.; Bierma-Zeinstra, S.; Meuffels, D. Early surgical reconstruction versus rehabilitation with elective delayed reconstruction for patients with anterior cruciate ligament rupture: COMPARE randomised controlled trial. BMJ 2021, 372, n375. [Google Scholar] [CrossRef]
- Mae, T.; Shino, K.; Yoneda, K.; Tachibana, Y.; Ohori, T.; Yoshikawa, H.; Nakata, K. Residual graft tension after graft fixation in anterior cruciate ligament reconstruction: Manual vs. tensioning boot techniques. J. Orthop. Sci. 2020, 25, 1061–1066. [Google Scholar] [CrossRef]





| No. of patients ultimately enrolled | 110 |
| Male:Female | 92:18 |
| Age, year | 31.3 ± 11.9 |
| Height, cm | 171.9 ± 7.1 |
| Weight, kg | 75.8 ± 12.6 |
| Body mass index, kg/m2 | 25.5 ± 3.3 |
| Graft | Autograft, hamstring tendon: 66 Allograft, tibialis anterior tendon: 35 Mixed: 9 |
| Time from injury to surgery, weeks | 8.5 ± 14.2 |
| Preoperative | Postoperative | p Value | |
|---|---|---|---|
| Lachman test (Grade 0/1/2/3) | 1/8/33/68 | 89/21/0/0 | <0.001 |
| Pivot-shift test (Grade 0/1/2/3) | 3/20/50/37 | 99/11/0/0 | <0.001 |
| WOMAC index | 36.8 ± 23.9 | 10.6 ± 13.2 | <0.001 |
| Lysholm score | 54.8 ± 23.9 | 84.2 ± 13.2 | <0.001 |
| IKDC subjective score | 49.1 ± 15.2 | 73.7 ± 13.0 | <0.001 |
| STSD, mm | 6.0 ± 3.4 | 2.3 ± 2.2 | <0.001 |
| Non-Draw Group | Draw Group | p Value | |
|---|---|---|---|
| Demographic data | |||
| Number of patients | 76 | 34 | |
| Age, year | 30.8 ± 12.1 | 32.6 ± 11.6 | 0.472 |
| Sex, male:female | 64:12 | 28:6 | 0.787 |
| BMI, kg/m2 | 25.2 ± 3.2 | 26.2 ± 3.6 | 0.167 |
| Time from injury to surgery, weeks | 9.2 ± 14.2 | 7.2 ± 14.1 | 0.5 |
| Follow-up period, months | 18.6 ± 8.6 | 16.7 ± 5.4 | 0.228 |
| Graft (autograft/allograft/mixed) | 43/25/8 | 23/10/1 | 0.407 |
| Combined medial meniscal tear | |||
| Medial | 22 (28.9%) | 10 (29.4%) | 0.96 |
| Lateral | 27 (35.5%) | 9 (26.5%) | 0.387 |
| Preoperative data | |||
| Lachman test (Grade 0/1/2/3) | 0/7/20/49 | 1/1/13/19 | 0.499 |
| Pivot-shift test (Grade 0/1/2/3) | 3/17/31/25 | 0/3/19/12 | 0.217 |
| WOMAC index | 35.2 ± 25.9 | 39.4 ± 18.5 | 0.396 |
| Lysholm score | 55.9 ± 24.5 | 52.4 ± 21.8 | 0.472 |
| IKDC subjective score | 50.6 ± 15.3 | 46.1 ± 14.6 | 0.154 |
| STSD, mm | 5.9 ± 3.0 | 6.3 ± 4.3 | 0.68 |
| Postoperative data | |||
| Lachman test (Grade 0/1/2/3) | 60/16/0/0 | 29/5/0/0 | 0.601 |
| Pivot-shift test (Grade 0/1/2/3) | 68/8/0/0 | 31/3/0/0 | 0.542 |
| WOMAC index | 10.3 ± 15.0 | 10.7 ± 8.1 | 0.892 |
| Lysholm score | 83.5 ± 15.3 | 86.1 ± 6.5 | 0.345 |
| IKDC subjective score | 74.3 ± 12.4 | 72.9 ± 14.3 | 0.603 |
| STSD, mm | 2.4 ± 2.2 | 2.0 ± 2.2 | 0.319 |
| Change in STSD (pre to post), mm | 3.5 ± 3.5 | 4.3 ± 4.4 | 0.295 |
Publisher’s Note: MDPI stays neutral with regard to jurisdictional claims in published maps and institutional affiliations. |
© 2022 by the authors. Licensee MDPI, Basel, Switzerland. This article is an open access article distributed under the terms and conditions of the Creative Commons Attribution (CC BY) license (https://creativecommons.org/licenses/by/4.0/).
Share and Cite
Cho, J.-H.; Lee, H.I.; Heo, J.W.; Lee, S.-S. Comparison of Clinical and Radiographic Outcomes According to the Presence or Absence of a Posterior Draw Force during Graft Fixation in Anterior Cruciate Ligament Reconstruction. Medicina 2022, 58, 1787. https://doi.org/10.3390/medicina58121787
Cho J-H, Lee HI, Heo JW, Lee S-S. Comparison of Clinical and Radiographic Outcomes According to the Presence or Absence of a Posterior Draw Force during Graft Fixation in Anterior Cruciate Ligament Reconstruction. Medicina. 2022; 58(12):1787. https://doi.org/10.3390/medicina58121787
Chicago/Turabian StyleCho, Jin-Ho, Hyun Il Lee, Jae Won Heo, and Sung-Sahn Lee. 2022. "Comparison of Clinical and Radiographic Outcomes According to the Presence or Absence of a Posterior Draw Force during Graft Fixation in Anterior Cruciate Ligament Reconstruction" Medicina 58, no. 12: 1787. https://doi.org/10.3390/medicina58121787
APA StyleCho, J.-H., Lee, H. I., Heo, J. W., & Lee, S.-S. (2022). Comparison of Clinical and Radiographic Outcomes According to the Presence or Absence of a Posterior Draw Force during Graft Fixation in Anterior Cruciate Ligament Reconstruction. Medicina, 58(12), 1787. https://doi.org/10.3390/medicina58121787

