Combined Bentall and Modified Ravitch Procedures: A Case Report and Systematic Review of the Evidence
Abstract
1. Introduction
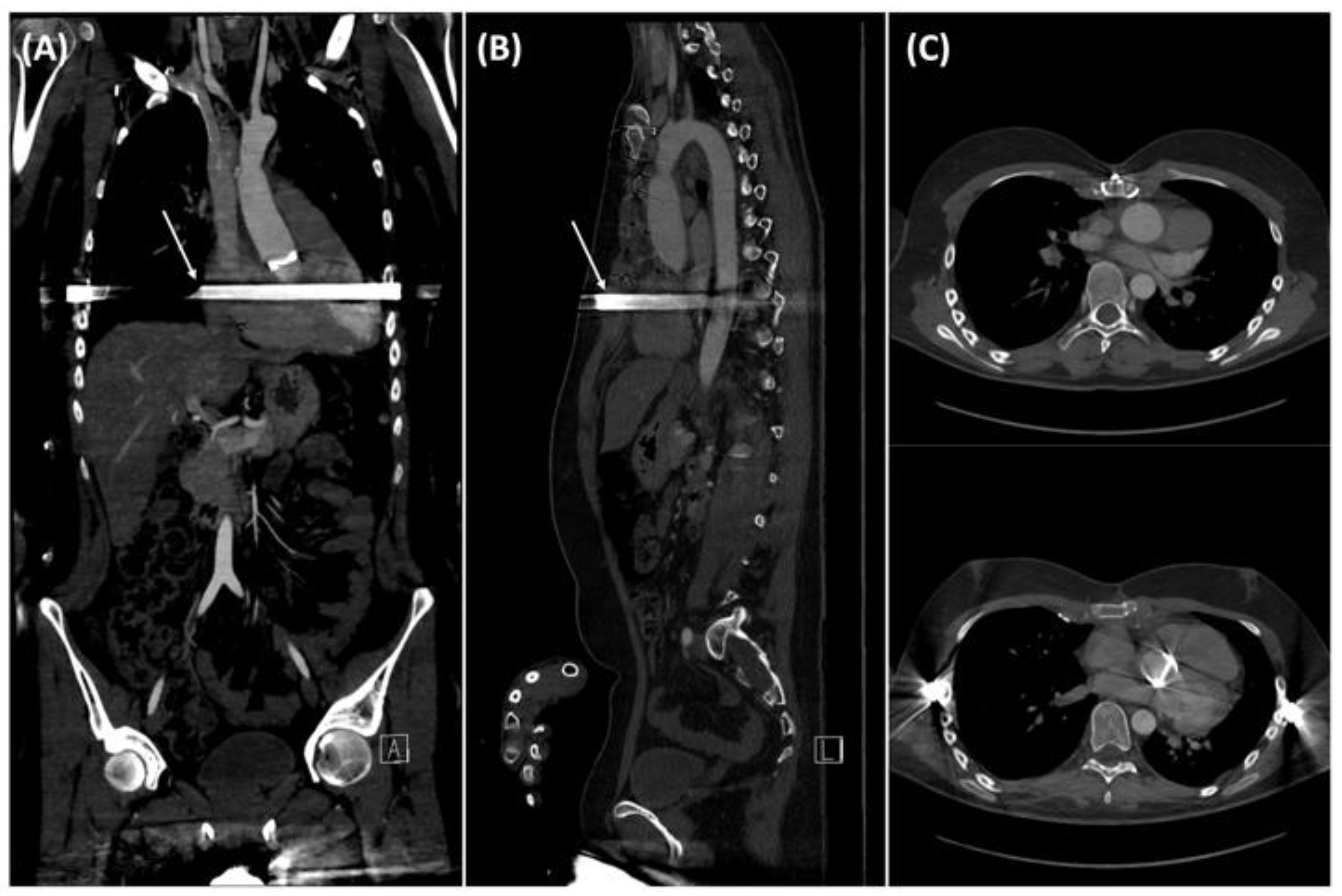
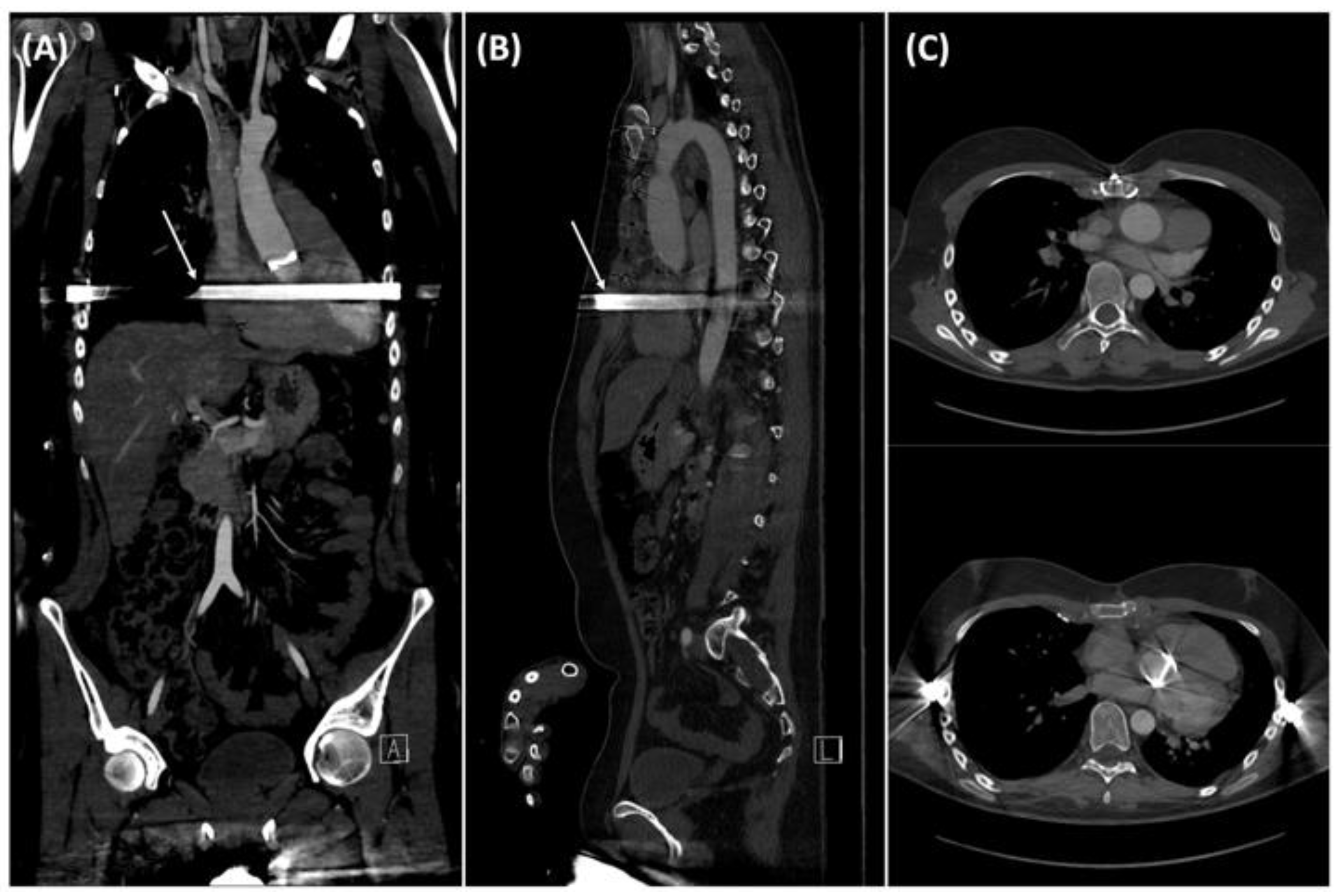
2. Case Description
3. Case-Based Discussion
4. Systematic Review of Single-Stage Bentall and Ravitch’s Surgical PEX Correction
4.1. Introduction
4.2. Patients and Methods
4.3. Results
4.4. Discussion
4.5. Conclusions
| Author, Year | Age | Sex | HI | Skin Incision | Access | Cannulation | Aortic Surgery | PEX Surgery | Complications | CPB T(min) | XCT (min) | Duration of Ravitch (min) | TST (min) |
|---|---|---|---|---|---|---|---|---|---|---|---|---|---|
| Okay et al., 2008 [19] | 27 | M | N/A | Longitudinal midline | Midsternotomy | N/A | Bentall | Modified Ravitch | - | - | - | 102 | 335 |
| Schwill et al., 2010 [20] | 28 | F | N/A | Longitudinal midline | Left-sided costotomy | N/A | Bentall | Modified Ravitch | - | 166 | 98 | 249 | 513 |
| Stephens et al., 2012 [24] | 23 | F | N/A | Longitudinal midline | Midsternotomy | N/A | Bentall | Modified Ravitch | Emergent Ravitch | 140 | 81 | 216 | 360 |
| Kansara et al., 2013 [22] | 14 | M | N/A | Longitudinal midline | Midsternotomy | Aorto-bicaval | Bentall | Modified Ravitch | - | 144 | 99 | N/A | N/A |
| Case report | 18 | M | 4.5 | Longitudinal midline | Midsternotomy | Aorta and right atrium | Bentall | Modified Ravitch | Pericardial and pleural effusion | 56 | 44 | 270 | 370 |
Author Contributions
Funding
Institutional Review Board Statement
Informed Consent Statement
Data Availability Statement
Conflicts of Interest
References
- Dietz, H.C.; Cutting, G.R.; Pyeritz, R.E.; Maslen, C.L.; Sakai, L.Y.; Corson, G.M.; Puffenberger, E.G.; Hamosh, A.; Nanthakumar, E.J.; Curristin, S.M.; et al. Marfan syndrome caused by a recurrent de novo missense mutation in the fibrillin gene. Nature 1991, 352, 337–339. [Google Scholar] [CrossRef] [PubMed]
- Silverman, D.I.; Burton, K.J.; Gray, J.; Bosner, M.S.; Kouchoukos, N.T.; Roman, M.J.; Boxer, M.; Devereux, R.B.; Tsipouras, P. Life expectancy in the Marfan syndrome. Am. J. Cardiol. 1995, 75, 157–160. [Google Scholar] [CrossRef]
- Milewicz, D.M.; Braverman, A.C.; De Backer, J.; Morris, S.A.; Boileau, C.; Maumenee, I.H.; Jondeau, G.; Evangelista, A.; Pyeritz, R.E.; Htad Rare Disease Working Group European Reference Network for Rare Multisystemic Vascular Disease. Marfan syndrome. Nat. Rev. Dis. Prim. 2021, 7, 64. [Google Scholar] [CrossRef]
- Pollock, L.; Ridout, A.; Teh, J.; Nnadi, C.; Stavroulias, D.; Pitcher, A.; Blair, E.; Wordsworth, P.; Vincent, T.L. The Musculoskeletal Manifestations of Marfan Syndrome: Diagnosis, Impact, and Management. Curr. Rheumatol. Rep. 2021, 23, 81. [Google Scholar] [CrossRef] [PubMed]
- Behr, C.A.; Denning, N.L.; Kallis, M.P.; Maloney, C.; Soffer, S.Z.; Romano-Adesman, A.; Hong, A.R. The incidence of Marfan syndrome and cardiac anomalies in patients presenting with pectus deformities. J. Pediatr. Surg. 2019, 54, 1926–1928. [Google Scholar] [CrossRef] [PubMed]
- Shamberger, R.C. Congenital chest wall deformities. Curr. Probl. Surg. 1996, 33, 469–542. [Google Scholar] [CrossRef] [PubMed]
- Sigalet, D.L.; Montgomery, M.; Harder, J.; Wong, V.; Kravarusic, D.; Alassiri, A. Long term cardiopulmonary effects of closed repair of pectus excavatum. Pediatr. Surg. Int. 2007, 23, 493–497. [Google Scholar] [CrossRef]
- Chao, C.J.; Jaroszewski, D.E.; Kumar, P.N.; Ewais, M.M.; Appleton, C.P.; Mookadam, F.; Gotway, M.B.; Naqvi, T.Z. Surgical repair of pectus excavatum relieves right heart chamber compression and improves cardiac output in adult patients--an intraoperative transesophageal echocardiographic study. Am. J. Surg. 2015, 210, 1118–1124. [Google Scholar] [CrossRef]
- Neviere, R.; Benhamed, L.; Duva Pentiah, A.; Wurtz, A. Pectus excavatum repair improves respiratory pump efficacy and cardiovascular function at exercise. J. Thorac. Cardiovasc. Surg. 2013, 145, 605–606. [Google Scholar] [CrossRef][Green Version]
- Das, B.B.; Recto, M.R.; Yeh, T. Improvement of cardiopulmonary function after minimally invasive surgical repair of pectus excavatum (Nuss procedure) in children. Ann. Pediatr. Cardiol. 2019, 12, 77–82. [Google Scholar] [CrossRef]
- Mc, K.V. The cardiovascular aspects of Marfan’s syndrome: A heritable disorder of connective tissue. Circulation 1955, 11, 321–342. [Google Scholar] [CrossRef]
- Groenink, M.; Rozendaal, L.; Naeff, M.S.; Hennekam, R.C.; Hart, A.A.; van der Wall, E.E.; Mulder, B.J. Marfan syndrome in children and adolescents: Predictive and prognostic value of aortic root growth for screening for aortic complications. Heart 1998, 80, 163–169. [Google Scholar] [CrossRef] [PubMed]
- Bentall, H.; De Bono, A. A technique for complete replacement of the ascending aorta. Thorax 1968, 23, 338–339. [Google Scholar] [CrossRef] [PubMed]
- Haller, J.A., Jr.; Kramer, S.S.; Lietman, S.A. Use of CT scans in selection of patients for pectus excavatum surgery: A preliminary report. J. Pediatr. Surg. 1987, 22, 904–906. [Google Scholar] [CrossRef] [PubMed]
- Haecker, F.M.; Hebra, A.; Ferro, M.M. Pectus bar removal—Why, when, where and how. J. Pediatr. Surg. 2021, 56, 540–544. [Google Scholar] [CrossRef]
- Shamberger, R.C.; Welch, K.J.; Castaneda, A.R.; Keane, J.F.; Fyler, D.C. Anterior chest wall deformities and congenital heart disease. J. Thorac. Cardiovasc. Surg. 1988, 96, 427–432. [Google Scholar] [CrossRef]
- Raffa, G.M.; Kowalewski, M.; Malvindi, P.G.; Bertani, A.; Romano, G.; Sciacca, S.; Turrisi, M.; Armaro, A.; Stringi, V.; Montalbano, G.; et al. Aortic surgery in Marfan patients with severe pectus excavatum. J. Cardiovasc. Med. 2017, 18, 305–310. [Google Scholar] [CrossRef]
- Moher, D.; Liberati, A.; Tetzlaff, J.; Altman, D.G. Preferred reporting items for systematic reviews and meta-analyses: The PRISMA statement. BMJ 2009, 339, b2535. [Google Scholar] [CrossRef]
- Okay, T.; Ketenci, B.; Imamoglu, O.U.; Aydemir, B.; Tuygun, A.K.; Ozay, B.; Yapici, F.; Coruh, T.K.; Demirtas, M.M. Simultaneous open-heart surgery and pectus deformity correction. Surg. Today 2008, 38, 592–596. [Google Scholar] [CrossRef]
- Schwill, S.; Kallenbach, K.; Beller, C.J.; Karck, M. An alternative surgical approach for the combined treatment of pectus excavatum and acute aortic dissection type-A in Marfan syndrome. Interact. Cardiovasc. Thorac. Surg. 2011, 12, 526–528. [Google Scholar] [CrossRef]
- Stephens, E.H.; Preventza, O.; Sarateanu, C.S.; LeMaire, S.A.; Coselli, J.S. Emergent pectus excavatum repair after aortic root replacement in Marfan patient. J. Card. Surg. 2012, 27, 222–224. [Google Scholar] [CrossRef] [PubMed]
- Kansara, B.; Singh, A.; Girotra, S.; Iyer, K.S. Combined Bentall and modified Ravitch procedures in a patient with Marfan syndrome. J. Anaesthesiol. Clin. Pharm. 2013, 29, 95–98. [Google Scholar] [CrossRef] [PubMed]
- Haller, J.A., Jr.; Scherer, L.R.; Turner, C.S.; Colombani, P.M. Evolving management of pectus excavatum based on a single institutional experience of 664 patients. Ann. Surg. 1989, 209, 578–582. [Google Scholar] [CrossRef] [PubMed]
- Jones, W.G.; Hoffman, L.; Devereux, R.B.; Isom, O.W.; Gold, J.P. Staged approach to combined repair of pectus excavatum and lesions of the heart. Ann. Thorac. Surg. 1994, 57, 212–214. [Google Scholar] [CrossRef]
- Rousse, N.; Juthier, F.; Prat, A.; Wurtz, A. Staged repair of pectus excavatum during an aortic valve-sparing operation. J. Thorac. Cardiovasc. Surg. 2011, 141, e28–e30. [Google Scholar] [CrossRef]
- Suzuki, S.; Kiyokawa, K.; Nakamura, K.; Kashikie, H.; Akaiwa, K.; Watanabe, K.; Hara, S. Simultaneous aortic valve replacement and pectus excavatum correction in a 76-year-old man. Ann. Thorac. Cardiovasc. Surg. 2014, 20, 738–741. [Google Scholar] [CrossRef][Green Version]
- Miller, D.R.; Pugh, D.M. Repair of ascending aortic aneurysm and aortic regurgitation complicated by acute cardiac compression by pectus excavatum in Marfan’s syndrome. J. Thorac. Cardiovasc. Surg. 1970, 59, 673–684. [Google Scholar] [CrossRef]
- Willekes, C.L.; Backer, C.L.; Mavroudis, C. A 26-year review of pectus deformity repairs, including simultaneous intracardiac repair. Ann. Thorac. Surg. 1999, 67, 511–518. [Google Scholar] [CrossRef]






Publisher’s Note: MDPI stays neutral with regard to jurisdictional claims in published maps and institutional affiliations. |
© 2022 by the authors. Licensee MDPI, Basel, Switzerland. This article is an open access article distributed under the terms and conditions of the Creative Commons Attribution (CC BY) license (https://creativecommons.org/licenses/by/4.0/).
Share and Cite
Taghizadeh Waghefi, A.; Petrov, A.; Wilbring, M.; Fajfrova, Z.; Fitze, G.; Matschke, K.; Kappert, U. Combined Bentall and Modified Ravitch Procedures: A Case Report and Systematic Review of the Evidence. Medicina 2022, 58, 1774. https://doi.org/10.3390/medicina58121774
Taghizadeh Waghefi A, Petrov A, Wilbring M, Fajfrova Z, Fitze G, Matschke K, Kappert U. Combined Bentall and Modified Ravitch Procedures: A Case Report and Systematic Review of the Evidence. Medicina. 2022; 58(12):1774. https://doi.org/10.3390/medicina58121774
Chicago/Turabian StyleTaghizadeh Waghefi, Ali, Asen Petrov, Manuel Wilbring, Zuzana Fajfrova, Guido Fitze, Klaus Matschke, and Utz Kappert. 2022. "Combined Bentall and Modified Ravitch Procedures: A Case Report and Systematic Review of the Evidence" Medicina 58, no. 12: 1774. https://doi.org/10.3390/medicina58121774
APA StyleTaghizadeh Waghefi, A., Petrov, A., Wilbring, M., Fajfrova, Z., Fitze, G., Matschke, K., & Kappert, U. (2022). Combined Bentall and Modified Ravitch Procedures: A Case Report and Systematic Review of the Evidence. Medicina, 58(12), 1774. https://doi.org/10.3390/medicina58121774

