Management of Aesthetic and Functional Deficits in Frontal Bone Trauma
Abstract
1. Introduction
2. Classification of Frontal Bone Fractures
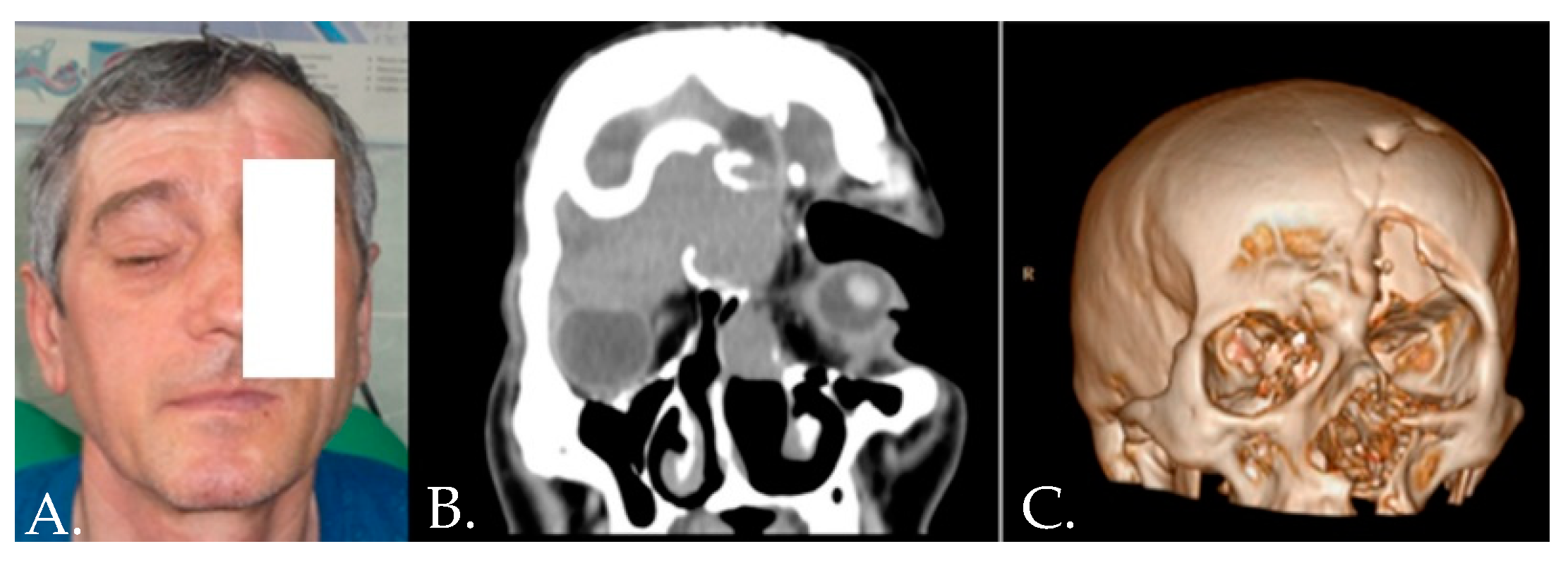
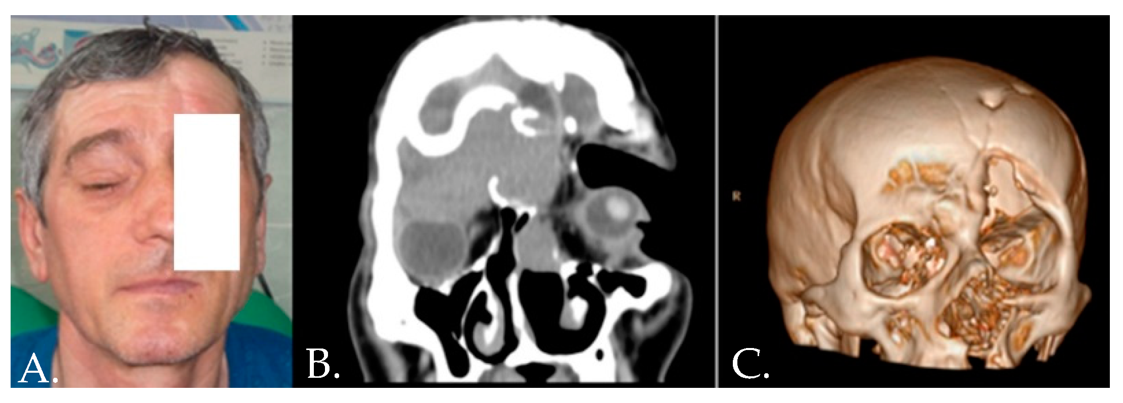
3. Complications of Frontal Bone Fractures
4. Management of Frontal Bone Fractures (FBF)
5. Management of Mucoceles after Trauma to the Frontal Sinus
6. Medico-Legal Aspects
7. Discussions
8. Conclusions
Author Contributions
Funding
Institutional Review Board Statement
Informed Consent Statement
Data Availability Statement
Acknowledgments
Conflicts of Interest
References
- Park, C.-H.; Chung, K.J.; Kim, T.G.; Lee, J.H.; Kim, I.-K.; Kim, Y.-H. Big Data Statistical Analysis of Facial Fractures in Korea. J. Korean Med. Sci. 2020, 35, e57. [Google Scholar] [CrossRef] [PubMed]
- Goelz, L.; Syperek, A.; Heske, S.; Mutze, S.; Hosten, N.; Kirsch, M. Retrospective Cohort Study of Frequency and Patterns of Orbital Injuries on Whole-Body CT with Maxillofacial Multi-Slice CT. Tomography 2021, 7, 373–386. [Google Scholar] [CrossRef] [PubMed]
- Minja, I.K.; Wilson, M.L.; Shaikh, M.A.; Perea-Lowery, L. Head and Neck Trauma in a Rapidly Growing African Metropolis: A Two-Year Audit of Hospital Admissions. Int. J. Environ. Res. Public Health 2019, 16, 4930. [Google Scholar] [CrossRef] [PubMed]
- Scianò, F.; Zedda, N.; Mongillo, J.; Gualdi-Russo, E.; Bramanti, B. Autopsy or anatomical dissection: Evidence of a craniotomy in a 17th–eighteenth century burial site (Ravenna, Italy). Forensic Sci. Med. Pathol. 2021, 17, 157–160. [Google Scholar] [CrossRef]
- Anghel, I.; Anghel, A.; Soreanu, C.; Dumitru, M. Craniofacial trauma produced by a violent mechanism. Coltea ENT Clinic experience. Rom. J. Leg. Med. 2012, 20, 215–218. [Google Scholar] [CrossRef]
- Onișor-Gligor, F.; Țenț, P.A.; Bran, S.; Juncar, M. A Naso-Orbito-Ethmoid (NOE) Fracture Associated with Bilateral Anterior and Posterior Frontal Sinus Wall Fractures Caused by a Horse Kick—Case Report and Short Literature Review. Medicina 2019, 55, 731. [Google Scholar] [CrossRef]
- Qi, H.; Li, K. Civilian gunshot wounds to the head: A case report, clinical management, and literature review. Chin. Neurosurg. J. 2021, 7, 12. [Google Scholar] [CrossRef]
- Zhu, R.C.; Yoshida, M.C.; Kopp, M.; Lin, N. Treatment of a self-inflicted intracranial nail gun injury. BMJ Case Rep. 2021, 14, e237122. [Google Scholar] [CrossRef]
- Vrinceanu, D.; Banica, B.; Papacocea, R.; Papacocea, T. Self-inflicted laryngeal penetrating wounds with suicidal intention: Two clinical cases. Rom. J. Leg. Med. 2018, 26, 16–20. [Google Scholar]
- Jing, X.L.; Luce, E. Frontal Sinus Fractures: Management and Complications. Craniomaxillofac. Trauma Reconstr. 2019, 12, 241–248. [Google Scholar] [CrossRef]
- Seok, H.; Im, S.-B.; Hwang, S.-C. Reconstruction of Anterior Skull Base Fracture Using Autologous Fractured Fragments: A Simple Stitching-Up Technique. Korean J. Neurotrauma 2021, 17, 25–33. [Google Scholar] [CrossRef] [PubMed]
- Vrinceanu, D.; Banica, B.; Cirstoiu, C.F.; Papacocea, R.; Papacocea, T. 3D anatomically shaped titanium implant for the reconstruction of an orbital floor fracture with large posterior defect: A case report. Rom. J. Mater. 2018, 48, 407–411. [Google Scholar]
- Pereira, R.A.; Barbosa, O.; Basílio, A.P.; Santana, A.S.; De Paula, D.; Marangon, H.M., Jr. Surgical decompression of the orbit due to frontal bone and roof of the orbit fractures—A case report. Ann. Maxillofac. Surg. 2020, 10, 495–500. [Google Scholar] [CrossRef]
- Hsu, C.-R.; Lee, L.-C.; Chen, Y.-H.; Chien, K.-H. Early Intervention in Orbital Floor Fractures: Postoperative Ocular Motility and Diplopia Outcomes. J. Pers. Med. 2022, 12, 671. [Google Scholar] [CrossRef]
- Bae, I.-S.; Kim, J.M.; Cheong, J.H.; Ryu, J.I.; Choi, K.-S.; Han, M.-H. Does the skull Hounsfield unit predict shunt dependent hydrocephalus after decompressive craniectomy for traumatic acute subdural hematoma? PLoS ONE 2020, 15, e0232631. [Google Scholar] [CrossRef] [PubMed]
- Kim, Y.H.; Kim, B.-K. Approach to Frontal Sinus Outflow Tract Injury. Arch. Craniofacial Surg. 2017, 18, 1–4. [Google Scholar] [CrossRef] [PubMed][Green Version]
- Jeyaraj, P. Frontal bone fractures and frontal sinus injuries: Treatment paradigms. Ann. Maxillofac. Surg. 2019, 9, 261–282. [Google Scholar] [CrossRef]
- Hakim, D.D.L.; Faried, A.; Nurhadiya, A.; Laymena, E.H.; Arifin, M.Z.; Imron, A.; Abdulrachman, I. Infected open depressed skull fracture complicated with tetanus grade I in an unimmunized child: A rare case report with literature review. Int. J. Emerg. Med. 2021, 14, 25. [Google Scholar] [CrossRef]
- Irawati, Y.; Casalita, V. Management of ocular dystopia and lacrimal pathway obstruction in old multiple midfacial fractures: Case report. Niger. J. Clin. Pract. 2019, 22, 1307–1310. [Google Scholar] [CrossRef]
- Abu Shqara, F.; Nseir, S.; Krasovsky, A.; Rachmiel, A. Surgical dilemmas in multiple facial fractures—Coronal flap versus minimally invasive: Case report and literature review. Ann. Maxillofac. Surg. 2021, 11, 191–194. [Google Scholar] [CrossRef]
- Yakirevitch, A.; Bedrin, L.; Alon, E.E.; Yoffe, T.; Wolf, M.; Yahalom, R. Relation between preoperative computed tomographic criteria of injury to the nasofrontal outflow tract and operative findings in fractures of the frontal sinus. Br. J. Oral Maxillofac. Surg. 2013, 51, 799–802. [Google Scholar] [CrossRef] [PubMed]
- Raghu, K.; Sathyanarayanan, R.; Deepika, S.; Sarath, K. Management of frontal sinus injuries. Ann. Maxillofac. Surg. 2018, 8, 276–280. [Google Scholar] [CrossRef] [PubMed]
- Kim, J.; Choi, H. A Review of Subbrow Approach in the Management of Non-Complicated Anterior Table Frontal Sinus Fracture. Arch. Craniofacial Surg. 2016, 17, 186–189. [Google Scholar] [CrossRef] [PubMed]
- Yun, S.; Na, Y. Panfacial bone fracture: Cephalic to caudal. Arch. Craniofacial Surg. 2018, 19, 1–2. [Google Scholar] [CrossRef] [PubMed]
- Pajic, S.S.; Antic, S.; Vukicevic, A.M.; Djordjevic, N.; Jovicic, G.; Savic, Z.; Saveljic, I.; Janović, A.; Pesic, Z.; Djuric, M.; et al. Trauma of the Frontal Region Is Influenced by the Volume of Frontal Sinuses. A Finite Element Study. Front. Physiol. 2017, 8, 493. [Google Scholar] [CrossRef]
- Braun, T.L.; Truong, T.A.; Schultz, K. Frontal Sinus Fractures. Semin. Plast. Surg. 2017, 31, 80–84. [Google Scholar] [CrossRef]
- Da Silva, J.R.; Mourão, C.F.D.A.B.; Júnior, H.V.D.R.; Magacho, L.F.; Moraes, G.F.D.; Homsi, N. Treatment of frontal bone fracture sequelae through inversion of the bone fragment. Rev. Colégio Bras. Cir. 2016, 43, 472–475. [Google Scholar] [CrossRef]
- Arnold, M.A.; Tatum, S.A. 3rd. Frontal Sinus Fractures: Evolving Clinical Considerations and Surgical Approaches. Craniomaxillofac. Trauma Reconstr. 2019, 12, 85–94. [Google Scholar] [CrossRef]
- Binhammer, A.; Jakubowski, J.; Antonyshyn, O.; Binhammer, P. Comparative Cost-Effectiveness of Cranioplasty Implants. Plast. Surg. 2020, 28, 29–39. [Google Scholar] [CrossRef]
- Plantier, D.B.; Neto, D.B.; Pinna, F.D.R.; Voegels, R.L. Mucocele: Clinical Characteristics and Outcomes in 46 Operated Patients. Int. Arch. Otorhinolaryngol. 2019, 23, 88–91. [Google Scholar] [CrossRef]
- Eudaly, M.; Kraus, C.K. Frontal Mucocele following Previous Facial Trauma with Hardware Reconstruction. Case Rep. Emerg. Med. 2016, 2016, 4236421. [Google Scholar] [CrossRef] [PubMed]
- Fujioka, M. Influence of Skull Base or Frontal Bone Fracture on the Result of Treatment for Le Fort Type Maxillofacial Fractures: Outcomes of Le Fort IV Fractures. J. Emerg. Trauma Shock. 2019, 12, 71–72. [Google Scholar] [CrossRef]
- Wijaya, A.T.; Ayusta, I.M.D.; Niryana, I.W. Air gun wound: Bihemispheric penetrating brain injury in a paediatric patient. BJR|Case Rep. 2018, 5, 20180070. [Google Scholar] [CrossRef]
- Chattopadhyay, C. Reconstruction of Acquired Frontal Bone Defects Using Titanium Mesh Implants: A Retrospective Study. J. Maxillofac. Oral Surg. 2019, 18, 34–39. [Google Scholar] [CrossRef]
- Petetta, C.; Santovito, D.; Tattoli, L.; Melloni, N.D.; Bertoni, M.; Di Vella, G. Forensic and Clinical Issues in a Case of Motorcycle Blunt Trauma and Bilateral Carotid Artery Dissection. Ann. Vasc. Surg. 2020, 64, 409.e11–409.e16. [Google Scholar] [CrossRef]
- Delaney, S.W. Treatment strategies for frontal sinus anterior table fractures and contour deformities. J. Plast. Reconstr. Aesthetic Surg. 2016, 69, 1037–1045. [Google Scholar] [CrossRef] [PubMed]
- Ammarullah, M.I.; Santoso, G.; Sugiharto, S.; Supriyono, T.; Wibowo, D.B.; Kurdi, O.; Tauviqirrahman, M.; Jamari, J. Minimizing Risk of Failure from Ceramic-on-Ceramic Total Hip Prosthesis by Selecting Ceramic Materials Based on Tresca Stress. Sustainability 2022, 14, 13413. [Google Scholar] [CrossRef]
- Available online: https://www.stryker.com/content/dam/stryker/craniomaxillofacial/products/universalmp/resources/CMF%20Maxillofacial%20Portfolio%20-%20Brochure%20(EN).pdf (accessed on 19 November 2022).
- Cosert, K.M.; Kim, S.; Jalilian, I.; Chang, M.; Gates, B.L.; Pinkerton, K.E.; Van Winkle, L.S.; Raghunathan, V.K.; Leonard, B.C.; Thomasy, S.M. Metallic Engineered Nanomaterials and Ocular Toxicity: A Current Perspective. Pharmaceutics 2022, 14, 981. [Google Scholar] [CrossRef]
- Stirparo, G.; Ristagno, G.; Bellini, L.; Bonora, R.; Pagliosa, A.; Migliari, M.; Andreassi, A.; Signorelli, C.; Sechi, G.M.; Fagoni, N. Changes to the Major Trauma Pre-Hospital Emergency Medical System Network before and during the 2019 COVID-19 Pandemic. J. Clin. Med. 2022, 11, 6748. [Google Scholar] [CrossRef]









Publisher’s Note: MDPI stays neutral with regard to jurisdictional claims in published maps and institutional affiliations. |
© 2022 by the authors. Licensee MDPI, Basel, Switzerland. This article is an open access article distributed under the terms and conditions of the Creative Commons Attribution (CC BY) license (https://creativecommons.org/licenses/by/4.0/).
Share and Cite
Dumitru, M.; Vrinceanu, D.; Banica, B.; Cergan, R.; Taciuc, I.-A.; Manole, F.; Popa-Cherecheanu, M. Management of Aesthetic and Functional Deficits in Frontal Bone Trauma. Medicina 2022, 58, 1756. https://doi.org/10.3390/medicina58121756
Dumitru M, Vrinceanu D, Banica B, Cergan R, Taciuc I-A, Manole F, Popa-Cherecheanu M. Management of Aesthetic and Functional Deficits in Frontal Bone Trauma. Medicina. 2022; 58(12):1756. https://doi.org/10.3390/medicina58121756
Chicago/Turabian StyleDumitru, Mihai, Daniela Vrinceanu, Bogdan Banica, Romica Cergan, Iulian-Alexandru Taciuc, Felicia Manole, and Matei Popa-Cherecheanu. 2022. "Management of Aesthetic and Functional Deficits in Frontal Bone Trauma" Medicina 58, no. 12: 1756. https://doi.org/10.3390/medicina58121756
APA StyleDumitru, M., Vrinceanu, D., Banica, B., Cergan, R., Taciuc, I.-A., Manole, F., & Popa-Cherecheanu, M. (2022). Management of Aesthetic and Functional Deficits in Frontal Bone Trauma. Medicina, 58(12), 1756. https://doi.org/10.3390/medicina58121756

