Fixation of an Osteochondral Lesion of the Femoral Intercondylar Groove Using Autogenous Osteochondral Grafts and Bioabsorbable Pins in a Patient with Open Physes: A Case Report
Abstract
1. Introduction
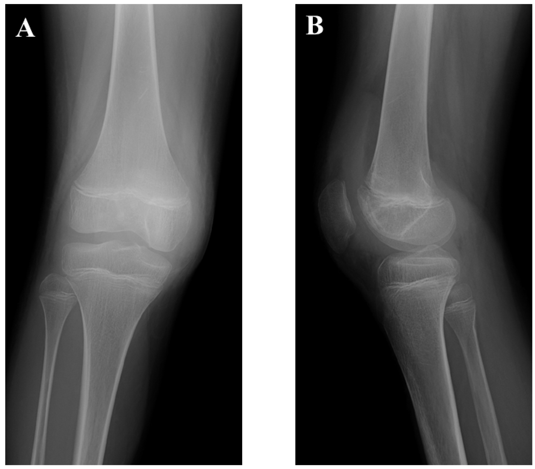
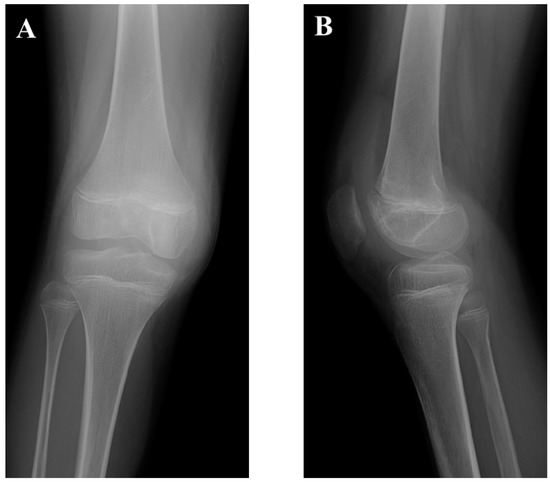
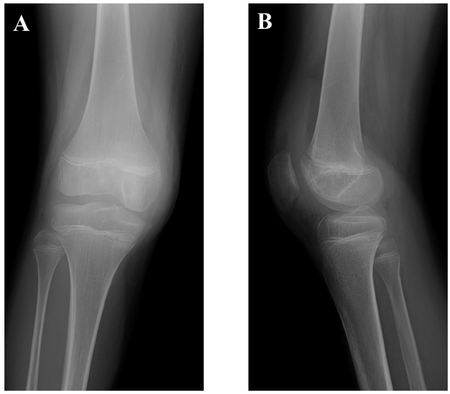
2. Case Presentation
3. Discussion
4. Conclusions
Author Contributions
Funding
Institutional Review Board Statement
Informed Consent Statement
Data Availability Statement
Conflicts of Interest
References
- DeFroda, S.F.; Bokshan, S.L.; Yang, D.S.; Daniels, A.H.; Owens, B.D. Trends in the Surgical Treatment of Articular Cartilage Lesions in the United States from 2007 to 2016. J. Knee Surg. 2020, 34, 1609–1616. [Google Scholar] [CrossRef] [PubMed]
- Montgomery, S.R.; Foster, B.D.; Ngo, S.S.; Terrell, R.D.; Wang, J.C.; Petrigliano, F.A.; McAllister, D.R. Trends in the surgical treatment of articular cartilage defects of the knee in the United States. Knee Surg Sport. Traumatol Arthrosc. 2014, 22, 2070–2075. [Google Scholar] [CrossRef] [PubMed]
- Steadman, J.R.; Briggs, K.K.; Rodrigo, J.J.; Kocher, M.S.; Gill, T.J.; Rodkey, W.G. Outcomes of microfracture for traumatic chondral defects of the knee: Average 11-year follow-up. Arthroscopy 2003, 19, 477–484. [Google Scholar] [CrossRef] [PubMed]
- Berlet, G.C.; Mascia, A.; Miniaci, A. Treatment of Unstable Osteochondritis Dissecans Lesions of the Knee Using Autogenous Osteochondral Grafts (Mosaicplasty). Arthrosc. J. Arthrosc. Relat. Surg. 1999, 15, 312–316. [Google Scholar] [CrossRef]
- Walsh, S.J.; Boyle, M.J.; Morganti, V. Large Osteochondral Fractures of the Lateral Femoral Condyle in the Adolescent: Outcome of Bioabsorbable Pin Fixation. J. Bone Jt. Surg. 2008, 90, 1473–1478. [Google Scholar] [CrossRef] [PubMed]
- Matthews, J.R.; Chauhan, K.; Brutico, J.M.; Abraham, D.T.; Heard, J.C.; Tucker, B.S.; Tjoumakaris, F.P.; Freedman, K.B. Differences in Clinical and Functional Outcomes Between Osteochondral Allograft Transplantation and Autologous Chondrocyte Implantation for the Treatment of Focal Articular Cartilage Defects. Orthop. J. Sport. Med. 2022, 10, 23259671211058425. [Google Scholar] [CrossRef] [PubMed]
- Chahla, J.; Hinckel, B.B.; Yanke, A.B.; Farr, J.; Metrics of Osteochondral Allografts (MOCA) Group; Bugbee, W.D.; Carey, J.L.; Cole, B.J.; Crawford, D.C.; Fleischli, J.E.; et al. An Expert Consensus Statement on the Management of Large Chondral and Osteochondral Defects in the Patellofemoral Joint. Orthop. J. Sport. Med. 2020, 8, 2325967120907343. [Google Scholar] [CrossRef] [PubMed]
- Mistry, H.; Metcalfe, A.; Smith, N.; Loveman, E.; Colquitt, J.; Royle, P.; Waugh, N. The cost-effectiveness of osteochondral allograft transplantation in the knee. Knee Surg. Sport. Traumatol. Arthrosc. 2019, 27, 1739–1753. [Google Scholar] [CrossRef]
- Tisano, B.; Ellis, H.B.; Wyatt, C.; Wilson, P.L. Osteochondral Allograft for Unsalvageable Osteochondritis Dissecans in the Skeletally Immature Knee. Orthop. J. Sport. Med. 2022, 10, 23259671211072515. [Google Scholar] [CrossRef]
- Shanmugaraj, A.; Coughlin, R.P.; Kuper, G.N.; Ekhtiari, S.; Simunovic, N.; Musahl, V.; Ayeni, O.R. Changing trends in the use of cartilage restoration techniques for the patel-lofemoral joint: A systematic review. Knee Surg. Sport. Traumatol. Arthrosc. 2019, 27, 854–867. [Google Scholar] [CrossRef]
- Su, C.A.; Trivedi, N.N.; Le, H.T.; Sivasundaram, L.; Maak, T.G.; Salata, M.J.; Voos, J.E.; Karns, M. Clinical and Radiographic Outcomes After Treatment of Patellar Chondral Defects: A Systematic Review. Sport. Health 2021, 13, 490–501. [Google Scholar] [CrossRef]
- Hinckel, B.B.; Pratte, E.; Baumann, C.; Gowd, A.K.; Farr, J.; Liu’, J.; Yanke, A.B.; Chahla, J.; Sherman, S.L. Patellofemoral Cartilage Restoration: A Systematic Review and Meta-analysis of Clinical Outcomes. Am. J. Sport. Med. 2020, 48, 1756–1772. [Google Scholar] [CrossRef]
- Andrade, R.; Nunes, J.; Hinckel, B.B.; Gruskay, J.; Vasta, S.; Bastos, R.; Oliveira, J.M.; Reis, R.L.; Gomoll, A.H.; Espregueira-Mendes, J. Cartilage Restoration of Patellofemoral Lesions: A Systematic Review. Cartilage 2019, 13 (Suppl. S1), 57S–73S. [Google Scholar] [CrossRef]
- Miura, K.; Ishibashi, Y.; Tsuda, E.; Sato, H.; Toh, S. Results of Arthroscopic Fixation of Osteochondritis Dissecans Lesion of the Knee with Cylindrical Autogenous Osteochondral Plugs. Am. J. Sport. Med. 2007, 35, 216–222. [Google Scholar] [CrossRef]
- Miniaci, A.; Tytherleigh-Strong, G. Fixation of unstable osteochondritis dissecans lesions of the knee using arthroscopic au-togenous osteochondral grafting (mosaicplasty). Arthroscopy 2007, 23, 845–851. [Google Scholar] [CrossRef]
- Kobayashi, T.; Fujikawa, K.; Oohashi, M. Surgical fixation of massive osteochondritis dissecans lesion using cylindrical oste-ochondral plugs. Arthroscopy 2004, 20, 981–986. [Google Scholar] [CrossRef]
- Fonseca, F.; Balacó, I. Fixation with autogenous osteochondral grafts for the treatment of osteochondritis dissecans (stages III and IV). Int. Orthop. 2007, 33, 139–144. [Google Scholar] [CrossRef]
- Ren, P.; Niu, H.; Gong, H.; Zhang, R.; Fan, Y. Morphological, biochemical and mechanical properties of articular cartilage and subchondral bone in rat tibial plateau are age related. J. Anat. 2017, 232, 457–471. [Google Scholar] [CrossRef]
- Brama, P.A.J.; TeKOPPELE, J.M.; Bank, R.A.; Barneveld, A.; van Weeren, P.R. Biochemical development of subchondral bone from birth until age eleven months and the influence of physical activity. Equine Veter-J. 2010, 34, 143–149. [Google Scholar] [CrossRef]
- Hamann, N.; Zaucke, F.; Dayakli, M.; Brüggemann, G.-P.; Niehoff, A. Growth-related structural, biochemical, and mechanical properties of the functional bone-cartilage unit. J. Anat. 2012, 222, 248–259. [Google Scholar] [CrossRef]
- Li, G.; Zheng, Q.; Landao-Bassonga, E.; Cheng, T.S.; Pavlos, N.J.; Ma, Y.; Zhang, C.; Zheng, M.H. Influence of age and gender on microarchitecture and bone remodel-ing in subchondral bone of the osteoarthritic femoral head. Bone 2015, 77, 91–97. [Google Scholar] [CrossRef] [PubMed]
- Brittberg, M.; Winalski, C.S. Evaluation of cartilage injuries and repair. J. Bone Jt. Surg. Am. 2003, 85 (Suppl. S2), 58–69. [Google Scholar] [CrossRef] [PubMed]
- Sasaki, S.; Yamauchi, S.; Sasaki, E.; Kimura, Y.; Takahashi, A.; Ishibashi, Y. Biomechanical Analysis of Unstable Osteochondral Fragment Fixation Using Three Different Techniques: Osteochondral Plug, Bioabsorbable Pin, and Suture Anchor with Tape. Arthrosc. Sport. Med. Rehabil. 2022, 4, e387–e392. [Google Scholar] [CrossRef] [PubMed]
- Hudelmaier, M.; Glaser, C.; Hohe, J.; Englmeier, K.-H.; Reiser, M.; Putz, R.; Eckstein, F. Age-related changes in the morphology and deformational behavior of knee joint cartilage. Arthritis Care Res. 2001, 44, 2556–2561. [Google Scholar] [CrossRef]
- Kobayashi-Miura, M.; Miura, T.; Osago, H.; Yamaguchi, Y.; Aoyama, T.; Tanabe, T.; Matsumoto, K.-I.; Fujita, Y. Rat Articular Cartilages Change Their Tissue and Protein Compositions During Perinatal Period. Anat. Histol. Embryol. 2014, 45, 9–18. [Google Scholar] [CrossRef]
- Duchow, J.; Hess, T.; Kohn, D. Primary Stability of Press-Fit-Implanted Osteochondral Grafts. Influence of graft size, repeated insertion, and harvesting technique. Am. J. Sport. Med. 2000, 28, 24–27. [Google Scholar] [CrossRef]
- Evans, P.J.; Miniaci, A.; Hurtig, M.B. Manual punch versus power harvesting of osteochondral grafts. Arthrosc. J. Arthrosc. Relat. Surg. 2004, 20, 306–310. [Google Scholar] [CrossRef]
- LaPrade, R.F.; Botker, J.C. Donor-site morbidity after osteochondral autograft transfer procedures. Arthroscopy 2004, 20, e69–e73. [Google Scholar] [CrossRef]
- Nakagawa, Y.; Mukai, S.; Setoguchi, Y.; Goto, T.; Furukawa, T.; Nakamura, T. Clinical Outcomes of Donor Sites After Osteochondral Graft Harvest From Healthy Knees. Orthop. J. Sport. Med. 2017, 5, 2325967117732525. [Google Scholar] [CrossRef]
- Widuchowski, W.; Trzaska, T. Articular cartilage defects: Study of 25,124 knee arthroscopies. Knee 2007, 14, 177–182. [Google Scholar] [CrossRef]
- Prince, M.R.; King, A.H.; Stuart, M.J.; Dahm, D.L.; Krych, A.J. Treatment of Patellofemoral Cartilage Lesions in the Young, Active Patient. J. Knee Surg. 2015, 28, 285–295. [Google Scholar] [CrossRef]
- Grelsamer, R.P.; Weinstein, C.H. Applied Biomechanics of the Patella. Clin. Orthop. Relat. Res. 2001, 389, 9–14. [Google Scholar] [CrossRef]






Publisher’s Note: MDPI stays neutral with regard to jurisdictional claims in published maps and institutional affiliations. |
© 2022 by the authors. Licensee MDPI, Basel, Switzerland. This article is an open access article distributed under the terms and conditions of the Creative Commons Attribution (CC BY) license (https://creativecommons.org/licenses/by/4.0/).
Share and Cite
Yokoe, T.; Tajima, T.; Yamaguchi, N.; Morita, Y.; Chosa, E. Fixation of an Osteochondral Lesion of the Femoral Intercondylar Groove Using Autogenous Osteochondral Grafts and Bioabsorbable Pins in a Patient with Open Physes: A Case Report. Medicina 2022, 58, 1528. https://doi.org/10.3390/medicina58111528
Yokoe T, Tajima T, Yamaguchi N, Morita Y, Chosa E. Fixation of an Osteochondral Lesion of the Femoral Intercondylar Groove Using Autogenous Osteochondral Grafts and Bioabsorbable Pins in a Patient with Open Physes: A Case Report. Medicina. 2022; 58(11):1528. https://doi.org/10.3390/medicina58111528
Chicago/Turabian StyleYokoe, Takuji, Takuya Tajima, Nami Yamaguchi, Yudai Morita, and Etsuo Chosa. 2022. "Fixation of an Osteochondral Lesion of the Femoral Intercondylar Groove Using Autogenous Osteochondral Grafts and Bioabsorbable Pins in a Patient with Open Physes: A Case Report" Medicina 58, no. 11: 1528. https://doi.org/10.3390/medicina58111528
APA StyleYokoe, T., Tajima, T., Yamaguchi, N., Morita, Y., & Chosa, E. (2022). Fixation of an Osteochondral Lesion of the Femoral Intercondylar Groove Using Autogenous Osteochondral Grafts and Bioabsorbable Pins in a Patient with Open Physes: A Case Report. Medicina, 58(11), 1528. https://doi.org/10.3390/medicina58111528

