Secondary Hemophagocytic Syndrome in a Patient with Plasma Cell Myeloma and CNS Involvement Treated with Lenalidomide
Abstract
1. Introduction
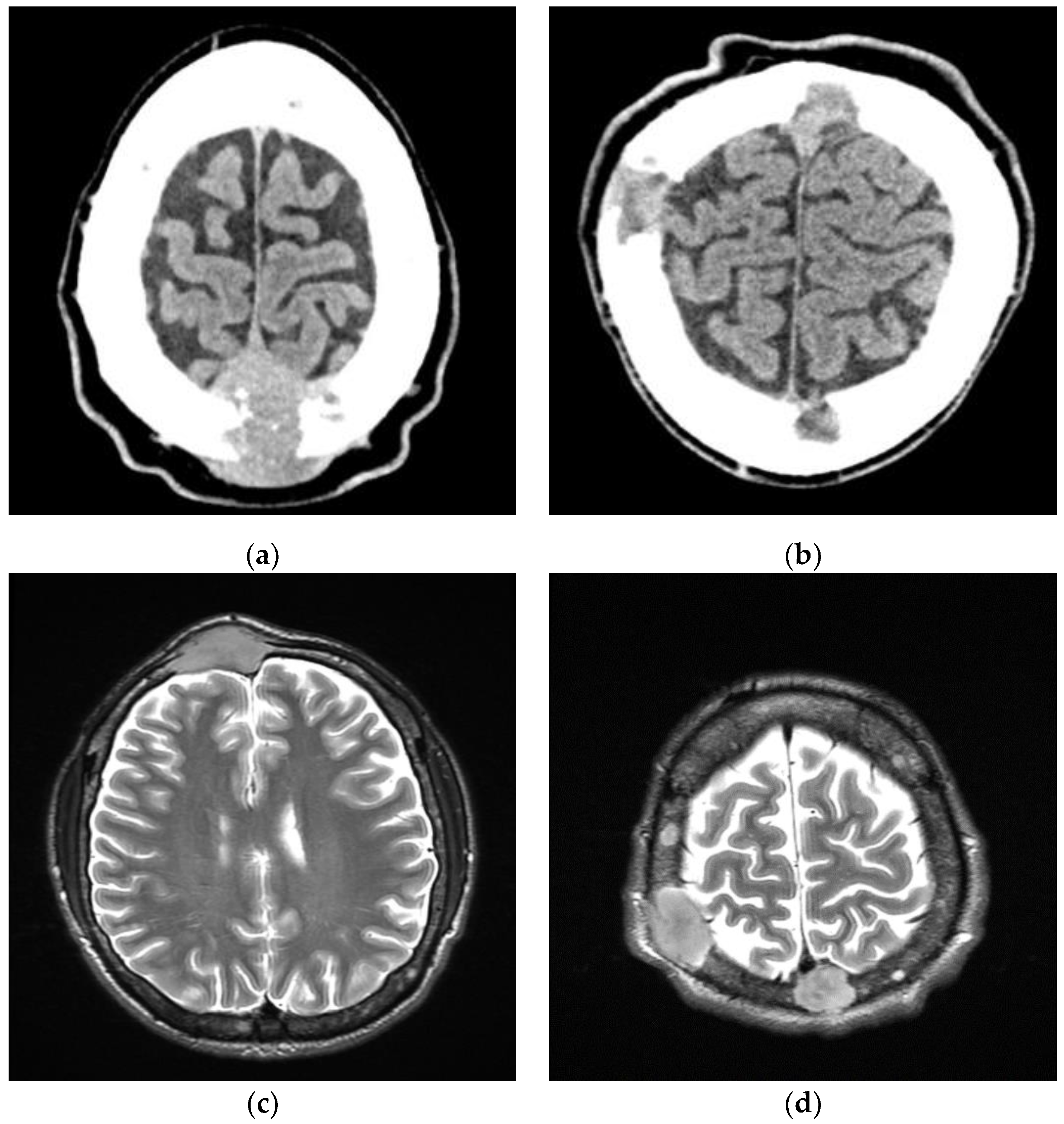
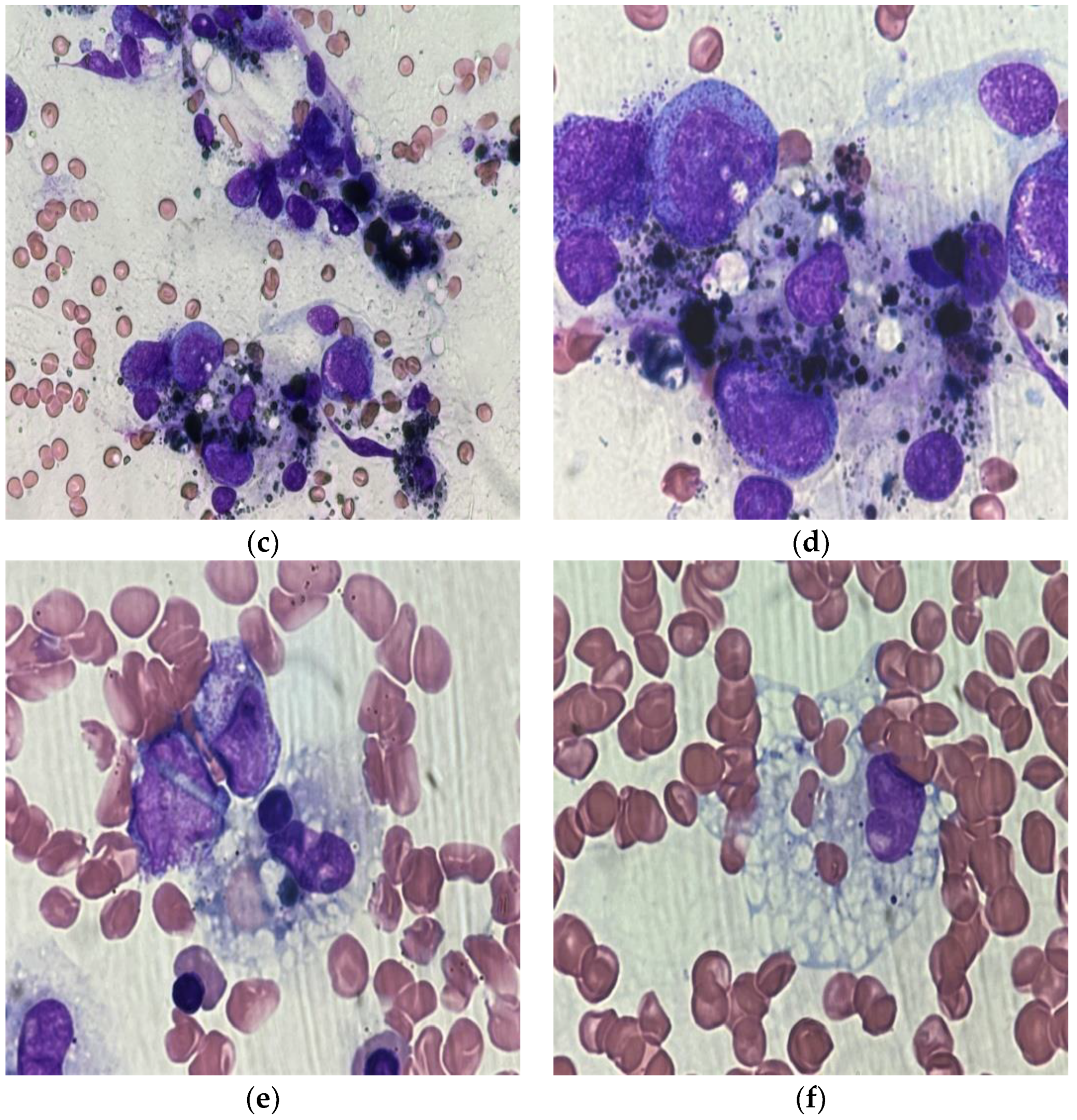
2. Case Report
3. Discussion
4. Conclusions
Author Contributions
Funding
Institutional Review Board Statement
Informed Consent Statement
Data Availability Statement
Conflicts of Interest
References
- Siegel, R.L.; Miller, K.D.; Jemal, A. Cancer statistics, 2016. CA Cancer J. Clin. 2016, 66, 7–30. [Google Scholar] [CrossRef] [PubMed]
- Katzmann, J.A.; Dispenzieri, A.; Kyle, R.A.; Snyder, M.R.; Plevak, M.F.; Larson, D.R.; Abraham, R.S.; Lust, J.A.; Melton, L.J., 3rd; Rajkumar, S.V. Elimination of the Need for Urine Studies in the Screening Algorithm for Monoclonal Gammopathies by Using Serum Immunofixation and Free Light Chain Assays. Mayo Clin. Proc. 2006, 81, 1575–1578. [Google Scholar] [CrossRef] [PubMed]
- Fassas, A.B.T.; Muwalla, F.; Berryman, T.; Benramdane, R.; Joseph, L.; Anaissie, E.; Sethi, R.; Desikan, R.; Siegel, D.; Badros, A.; et al. Myeloma of the central nervous system: Association with high-risk chromosomal abnormalities, plasmablastic morphology and extramedullary manifestations: Myeloma of the Central Nervous System. Br. J. Haematol. 2002, 117, 103–108. [Google Scholar] [CrossRef] [PubMed]
- Filipovich, A.; McClain, K.; Grom, A. Histiocytic Disorders: Recent Insights into Pathophysiology and Practical Guidelines. Biol. Blood Marrow Transplant. 2010, 16, S82–S89. [Google Scholar] [CrossRef] [PubMed]
- Henter, J.I.; Horne, A.; Aricó, M.; R Egeler, M.; Filipovich, A.H.; Imashuku, S.; Ladisch, S.; McClain, K.; Webb, D.; Winiarski, J.; et al. HLH-2004: Diagnostic and therapeutic guidelines for hemophagocytic lymphohistiocytosis. Pediatr. Blood Cancer 2007, 48, 124–131. [Google Scholar] [CrossRef] [PubMed]
- Griffin, G.; Shenoi, S.; Hughes, G.C. Hemophagocytic lymphohistiocytosis: An update on pathogenesis, diagnosis, and therapy. Best Pract. Res. Clin. Rheumatol. 2020, 34, 101515. [Google Scholar] [CrossRef] [PubMed]
- Ramos-Casals, M.; Brito-Zerón, P.; López-Guillermo, A.; Khamashta, M.A.; Bosch, X. Adult haemophagocytic syndrome. Lancet 2014, 383, 1503–1516. [Google Scholar] [CrossRef]
- Thomas, W.; van’t Veer, M.; Besser, M. Haemophagocytic lymphohistiocytosis: An elusive syndrome. Clin. Med. 2016, 16, 432–436. [Google Scholar] [CrossRef] [PubMed]
- Busch, A.; Zeh, D.; Janzen, V.; Mügge, L.-O.; Wolf, D.; Fingerhut, L.; Hahn-Ast, C.; Maurer, O.; Brossart, P.; von Lilienfeld-Toal, M. Treatment with lenalidomide induces immunoactivating and counter-regulatory immunosuppressive changes in myeloma patients. Clin. Exp. Immunol. 2014, 177, 439–453. [Google Scholar] [CrossRef] [PubMed]
- Lioznov, M.; El-Cheikh, J., Jr.; Hoffmann, F.; Hildebrandt, Y.; Ayuk, F.; Wolschke, C.; Atanackovic, D.; Schilling, G.; Badbaran, A.; Bacher, U.; et al. Lenalidomide as salvage therapy after allo-SCT for multiple myeloma is effective and leads to an increase of activated NK (NKp44+) and T (HLA-DR+) cells. Bone Marrow Transplant. 2010, 45, 349–353. [Google Scholar] [CrossRef] [PubMed]
- Kneppers, E.; van der Holt, B.; Kersten, M.J.; Kersten, M.; Zweegman, S.; Meijer, E.; Huls, G.; Cornelissen, j.; Janssen, J.J.; Huisman, C.; et al. Lenalidomide maintenance after nonmyeloablative allogeneic stem cell transplantation in multiple myeloma is not feasible: Results of the HOVON 76 Trial. Blood 2011, 118, 2413–2419. [Google Scholar] [CrossRef] [PubMed]
- Runge, E.; Kou, C.-T.J.; Rendo, M.; Lynch, D.; Fenderson, J. Lenalidomide-Associated Hemophagocytic Lymphohistiocytosis with Plasma Cell Phagocytosis. Cureus 2021, 13, e14409. [Google Scholar] [CrossRef] [PubMed]
- Woods, A.; Wooten, M.; Thompson Heffner, L.; Waller, E. Daratumumab-associated hemophagocytic lymphohistiocytosis. Ann. Hematol. 2020, 99, 181–182. [Google Scholar] [CrossRef] [PubMed]
- La Rosée, P.; Horne, A.; Hines, M.; van Bahr Greenwood, T.; Machowicz, R.; Berliner, N.; Birndt, S.; Gil-Herrera, J.; Girschikofsky, M.; Jordan, M.B.; et al. Recommendations for the management of hemophagocytic lymphohistiocytosis in adults. Blood 2019, 133, 2465–2477. [Google Scholar] [CrossRef] [PubMed]




Publisher’s Note: MDPI stays neutral with regard to jurisdictional claims in published maps and institutional affiliations. |
© 2022 by the authors. Licensee MDPI, Basel, Switzerland. This article is an open access article distributed under the terms and conditions of the Creative Commons Attribution (CC BY) license (https://creativecommons.org/licenses/by/4.0/).
Share and Cite
Milczarek, S.; Kulig, P.; Baumert, B.; Łanocha, A.; Sommerfeld, K.; Borowiecka, E.; Osękowska, B.; Paczkowska, E.; Zdziarska, B.; Machaliński, B. Secondary Hemophagocytic Syndrome in a Patient with Plasma Cell Myeloma and CNS Involvement Treated with Lenalidomide. Medicina 2022, 58, 1350. https://doi.org/10.3390/medicina58101350
Milczarek S, Kulig P, Baumert B, Łanocha A, Sommerfeld K, Borowiecka E, Osękowska B, Paczkowska E, Zdziarska B, Machaliński B. Secondary Hemophagocytic Syndrome in a Patient with Plasma Cell Myeloma and CNS Involvement Treated with Lenalidomide. Medicina. 2022; 58(10):1350. https://doi.org/10.3390/medicina58101350
Chicago/Turabian StyleMilczarek, Sławomir, Piotr Kulig, Bartłomiej Baumert, Aleksandra Łanocha, Krzysztof Sommerfeld, Ewa Borowiecka, Bogumiła Osękowska, Edyta Paczkowska, Barbara Zdziarska, and Bogusław Machaliński. 2022. "Secondary Hemophagocytic Syndrome in a Patient with Plasma Cell Myeloma and CNS Involvement Treated with Lenalidomide" Medicina 58, no. 10: 1350. https://doi.org/10.3390/medicina58101350
APA StyleMilczarek, S., Kulig, P., Baumert, B., Łanocha, A., Sommerfeld, K., Borowiecka, E., Osękowska, B., Paczkowska, E., Zdziarska, B., & Machaliński, B. (2022). Secondary Hemophagocytic Syndrome in a Patient with Plasma Cell Myeloma and CNS Involvement Treated with Lenalidomide. Medicina, 58(10), 1350. https://doi.org/10.3390/medicina58101350

