Evaluating Soft Tissue Healing after Implant Placement Using Two Different Mouthwashes (Myrrh and Chlorhexidine Gluconate): A Randomized Control Trial
Abstract
1. Introduction
2. Materials and Methods
2.1. Study Design
2.2. Study Population
2.3. Preparation of Myrrh Mouthwash
2.4. Assessment of Soft Tissue Healing
2.4.1. Clinical Assessment
2.4.2. Patient Feedback Questionnaire
2.4.3. Histological Examinations
2.5. Statistical Analysis
3. Results
3.1. Study Population
3.2. Tissue Healing Assessment
3.2.1. Patient Feedback Questionnaire
3.2.2. Clinical Assessment
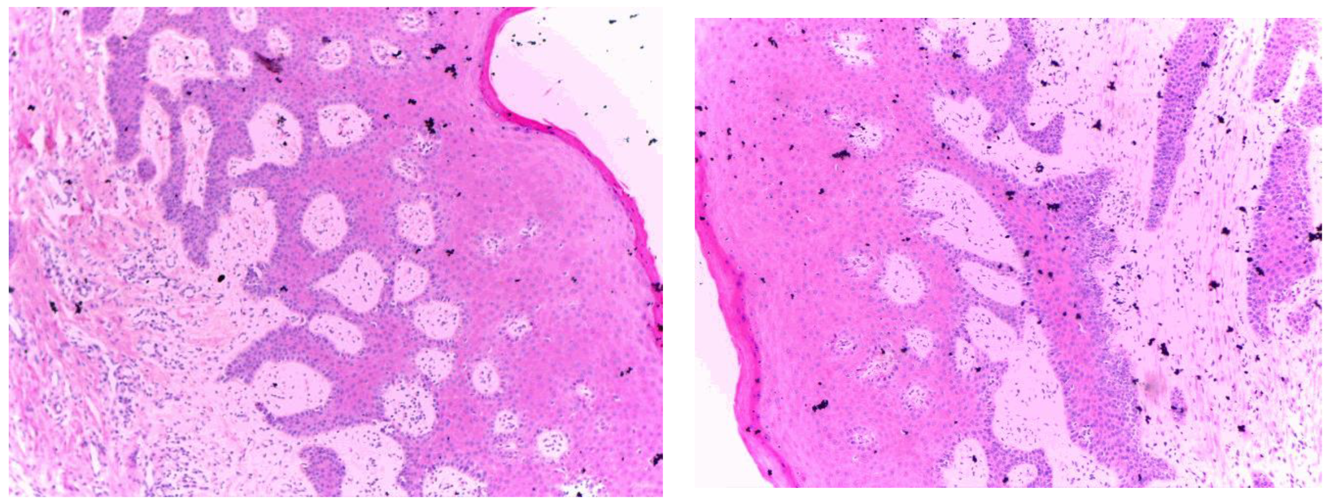
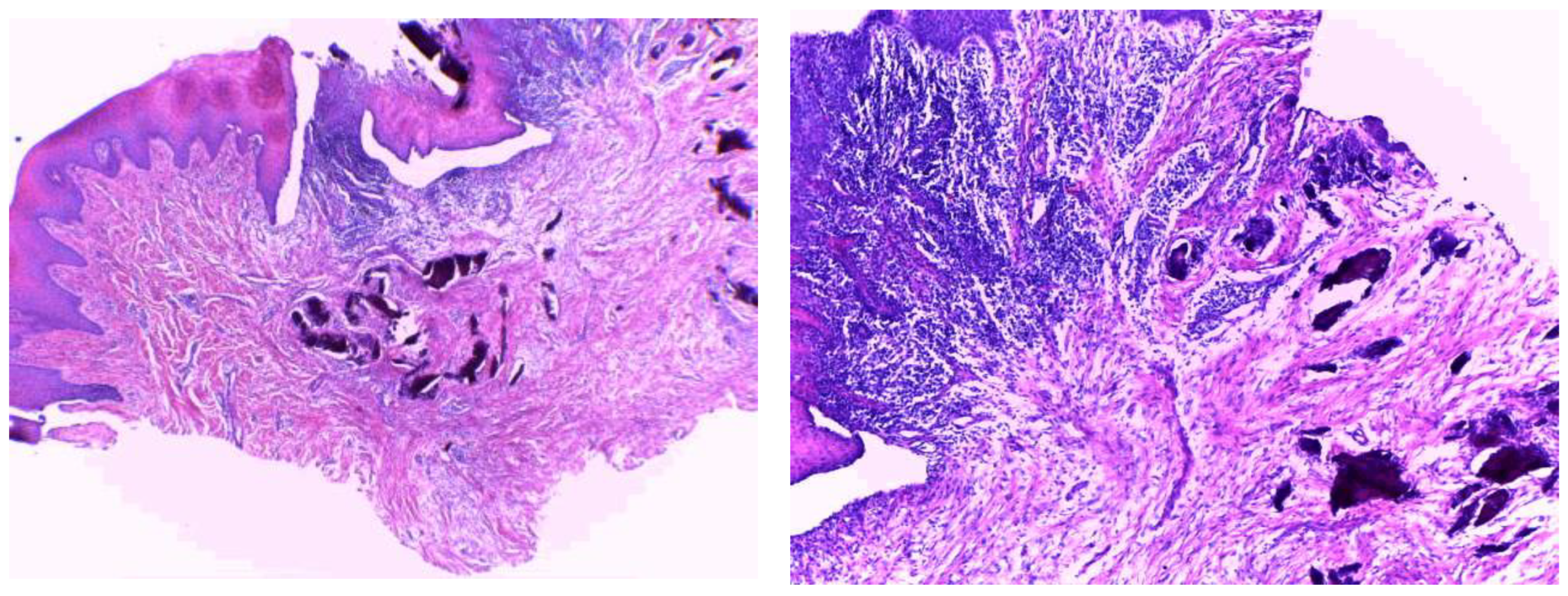
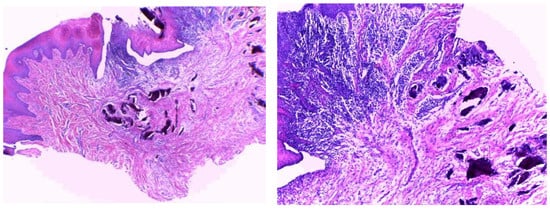
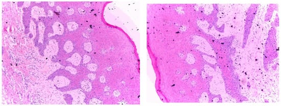
3.2.3. Histopathological Results
4. Discussion
5. Conclusions
Author Contributions
Funding
Institutional Review Board Statement
Informed Consent Statement
Data Availability Statement
Conflicts of Interest
References
- Gil-Montoya, J.; de Mello, A.L.F.; Barrios, R.; Gonzalez-Moles, M.A.; Bravo, M. Oral health in the elderly patient and its impact on general well-being: A nonsystematic review. Clin. Interv. Aging 2015, 10, 461–467. [Google Scholar] [CrossRef] [PubMed]
- Luo, E.; Liu, H.; Zhao, Q.; Shi, B.; Chen, Q. Dental-craniofacial manifestation and treatment of rare diseases. Int. J. Oral Sci. 2019, 11, 9. [Google Scholar] [CrossRef] [PubMed]
- Gaviria, L.; Salcido, J.P.; Guda, T.; Ong, J.L. Current trends in dental implants. J. Korean Assoc. Oral Maxillofac. Surg. 2014, 40, 50–60. [Google Scholar] [CrossRef] [PubMed]
- Carlsson, G. Some issues related to evidence-based implantology. J. Indian Prosthodont. Soc. 2016, 16, 116–123. [Google Scholar] [CrossRef]
- Politis, C.; Schoenaers, J.; Jacobs, R.; Agbaje, J.O. Wound Healing Problems in the Mouth. Front. Physiol. 2016, 7, 363–378. [Google Scholar] [CrossRef]
- Ng, E.; Lim, L.P. An Overview of Different Interdental Cleaning Aids and Their Effectiveness. Dent. J. 2019, 7, 56. [Google Scholar] [CrossRef]
- Arora, V. Efficacy of Dental Floss and Chlorhexidine Mouth Rinse as an Adjunct to Toothbrushing in Removing Plaque and Gingival Inflammation—A Three Way Cross Over Trial. J. Clin. Diagn. Res. 2014, 8, ZC01–ZC04. [Google Scholar] [CrossRef] [PubMed]
- Criado, V.; Tawse-Smith, A. Compliance & dexterity, factors to consider in home care and maintenance procedures. Braz. Oral Res. 2007, 21, 34–38. [Google Scholar] [CrossRef]
- Demke, R. Plaque inhibition: The science and application of oral rinses. Dent. Today 2012, 31, 96–101. [Google Scholar]
- Jain, P.; Sontakke, P.; Walia, S.; Yadav, P.; Biswas, G.; Kaur, D. Assessment of the efficacy of licorice versus 0.2% chlorhexidine oral rinse on plaque-induced gingivitis: A randomized clinical trial. Indian J. Oral Health Res. 2017, 3, 15. [Google Scholar] [CrossRef]
- Ronanki, S.; Kulkarni, S.; Hemalatha, R.; Kumar, M.; Reddy, P. Efficacy of commercially available chlorhexidine mouthrinses against specific oral microflora. Indian J. Dent. Res. 2016, 27, 48. [Google Scholar] [CrossRef]
- Yang, S.J.; Han, S.H.; Lee, A.R.; Jun, J.H.; Son, M.W.; Oh, S.H.; Kim, J.; Paik, S.Y. Evaluation of antimicrobial effects of commercial mouthwashes utilized in South Korea. BMB Rep. 2015, 48, 42–47. [Google Scholar] [CrossRef]
- Saima, S.; Ahmad, R. Efficacy of Chlorhexidine vs Herbal mouthwash mouth wash in college students: A comparative study. Int. J. Implant Dent. 2019, 5, 403–406. [Google Scholar]
- Vafaei, H.; Ajdari, S.; Hessami, K.; Hosseinkhani, A.; Foroughinia, L.; Asadi, N.; Faraji, A.; Abolhasanzadeh, S.; Bazrafshan, K.; Roozmeh, S. Efficacy and safety of myrrh in patients with incomplete abortion: A randomized, double-blind, placebo-controlled clinical study. BMC Complementary Med. Ther. 2020, 20, 145. [Google Scholar] [CrossRef]
- Sheir, Z.; Nasr, A.A.; Hassan, N.; El-Shennawy, H.; Salama, O.; Badra, G.A.; Hammad, S.M.; Massoud, A. A safe, effective, herbal antischistosomal therapy derived from myrrh. Am. J. Trop. Med. Hyg. 2001, 65, 700–704. [Google Scholar] [CrossRef]
- Cao, B.; Wei, X.C.; Xu, X.R.; Zhang, H.Z.; Luo, C.H.; Feng, B.; Xu, R.C.; Zhao, S.Y.; Du, X.J.; Han, L.; et al. Seeing the Unseen of the Combination of Two Natural Resins, Frankincense and Myrrh: Changes in Chemical Constituents and Pharmacological Activities. Molecules 2019, 24, 3076. [Google Scholar] [CrossRef]
- Al-Jaroudi, D.; Kaddour, O.; Al-Amin, N. Risks of Myrrh usage in pregnancy. JBRA Assist. Reprod. 2016, 20, 257. [Google Scholar] [CrossRef][Green Version]
- Hanuš, L.O.; Řezanka, T.; Dembitsky, V.M.; Moussaieff, A. Myrrh—Commiphora chemistry. Biomed. Pap. 2005, 149, 3–28. [Google Scholar] [CrossRef]
- Mathur, S.; Mathur, T.; Srivastava, R.; Khatri, R. Chlorhexidine: The gold standard in chemical plaque control. Natl. J. Physiol. Pharm. Pharmacol. 2011, 1, 45. [Google Scholar]
- Soheilifar, S.; Bidgoli, M.; Faradmal, J.; Soheilifar, S. Effect of periodontal dressing on wound healing and patient satisfaction following periodontal flap surgery. J. Dent. 2015, 12, 151. [Google Scholar] [CrossRef]
- Ben-Yehoshua, S.; Borowitz, C.; Hanuš, L.O. Frankincense, Myrrh, and Balm of Gilead: Ancient Spices of Southern Arabia and Judea. Hortic. Rev. 2012, 39, 1–76. [Google Scholar] [CrossRef]
- Barbosa-Ribeiro, M.; Arruda-Vasconcelos, R.; de-Jesus-Soares, A.; Zaia, A.A.; Ferraz, C.C.R.; de Almeida, J.F.A.; Gomes, B.P.F.A. Effectiveness of calcium hydroxide-based intracanal medication on infectious/inflammatory contents in teeth with post-treatment apical periodontitis. Clin. Oral Investig. 2018, 23, 2759–2766. [Google Scholar] [CrossRef] [PubMed]
- Rahmani, F.; Moghadamnia, A.A.; Kazemi, S.; Shirzad, A.; Motallebnejad, M. Effect of 0.5% Chitosan mouthwash on recurrent aphthous stomatitis: A randomized double-blind crossover clinical trial. Electron. Physician 2018, 10, 6912–6919. [Google Scholar] [CrossRef]
- Bassiouny, G.; Barrak, H.A. The Anti-plaque Effect of Miswak and Myrrh Mouthwashes versus Chlorhexidine in the Treatment of Chronic Gingivitis; A Comparative Clinical Trial. Med. Sci. 2014, 9, 32–37. [Google Scholar]
- Eid, R.A.A. Efficacy of Commiphora myrrh mouthwash on early wound healing after tooth extraction: A randomized controlled trial. Saudi Dent. J. 2021, 33, 44–54. [Google Scholar] [CrossRef] [PubMed]
- Alotaibi, R.A.; Aldahlawi, S.; Alyami, F.M. The Effects of Commiphora Myrrh Mouthwash Verses Chlorhexidine on Dental Plaque and Gingivitis: A Comparative Study. J. Res. Med. Dent. Sci. 2020, 8, 65–70. [Google Scholar]
- Al-Mobeeriek, A. Effects of myrrh on intra-oral mucosal wounds compared with tetracycline-and chlorhexidine-based mouthwashes. Clin. Cosmet. Investig. Dent. 2011, 3, 53–58. [Google Scholar] [CrossRef]
- Zahid, T.M.; Khan, N.S. Myrrh and chlorhexidine mouthwashes comparison for plaque, gingivitis and inflammation reduction: A 3-arm randomized controlled trial. Ann. Dent. Spec. 2022, 10, 39–46. [Google Scholar] [CrossRef]
- Sambawa, Z.M.; Alkahtani, F.H.; Aleanizy, F.S.; Alqahtani, F.Y. Comparison of Antibacterial Efficacy Chlorohexidine Gluconate and Saudi Myrrh Mouthwashes in the Oral Cavity. Orient. J. Chem. 2016, 32, 2605–2610. [Google Scholar] [CrossRef]
- Almekhlafi1, S.; Thabit, A.A.M.; Alwossabi, A.M.I.; Awadth, N.; Thabet, A.A.M.; Algaadari, Z. Antimicrobial activity of Yemeni myrrh mouthwash. J. Chem. Pharm. Res. 2014, 6, 1006–1013. [Google Scholar]
- Laugisch, O.; Ramseier, C.A.; Salvi, G.E.; Hägi, T.T.; Bürgin, W.; Eick, S.; Sculean, A. Effects of two different post-surgical protocols including either 0.05% chlorhexidine herbal extract or 0.1% chlorhexidine on post-surgical plaque control, early wound healing and patient acceptance following standard periodontal surgery and implant placement. Clin. Oral Investig. 2016, 20, 2175–2183. [Google Scholar] [CrossRef] [PubMed]
- Haffor, A.-S.A. Effect of Commiphora molmol on leukocytes proliferation in relation to histological alterations before and during healing from injury. Saudi J. Biol. Sci. 2010, 17, 139–146. [Google Scholar] [CrossRef][Green Version]
- Ashry, K.M.; El-Sayed, Y.S.; Khamiss, R.M.; El-Ashmawy, I.M. Oxidative stress and immunotoxic effects of lead and their amelioration with myrrh (Commiphora molmol) emulsion. Food Chem. Toxicol. 2010, 48, 236–241. [Google Scholar] [CrossRef]
- Shalaby, M.; Hammouda, A. Analgesic, Anti-inflammatory and Antihyperlipidemic Activities of Commiphora molmol Extract (Myrrh). J. Intercult. Ethnopharmacol. 2014, 3, 56. [Google Scholar] [CrossRef]
- Kim, M.S.; Bae, G.S.; Park, K.C.; Koo, B.S.; Kim, B.J.; Lee, H.J.; Seo, S.W.; Shin, Y.K.; Jung, W.S.; Cho, J.H.; et al. Myrrh Inhibits LPS-Induced Inflammatory Response and Protects from Cecal Ligation and Puncture-Induced Sepsis. Evid. Based Complementary Altern. Med. 2012, 2012, 278718. [Google Scholar] [CrossRef]
- Ashcroft, G.S.; Mills, S.J.; Ashworth, J.J. Ageing and wound healing. Biogerontology 2002, 3, 337–345. [Google Scholar] [CrossRef]
- Taheri, J.B.; Azimi, S.; Rafieian, N.; Zanjani, H.A. Herbs in dentistry. Int. Dent. J. 2011, 61, 287–296. [Google Scholar] [CrossRef]



| Characteristics | Myrrh Group (n = 18) | CHX Group (n = 17) |
|---|---|---|
| Male | 6 (33.3) | 9 (52.29) |
| Female | 12 (66.7) | 8 (47.05) |
| Age | 31.78 ± 6.89 | 34.52 ± 8.23 |
| Questions | Myrrh Group (n = 18) | CHX Group (n = 17) | p-Value |
|---|---|---|---|
| 1. Did you use the mouthwash frequently as instructed? | Yes 18 (100) | 16 (94.1) | 0.332 |
| 2. What is your satisfaction with this mouthwash after implant placement? | 9.38 ± 0.69 | 9.47 ± 0.62 | 0.579 |
| 3. When did bleeding stop at the surgical site? One hour after surgery Immediately after surgery 2nd day after the procedure | 12 (66.7) 3 (16.7) 3 (16.7) | 13 (76.4) 1 (5.8) 3 (17.6) | 0.668 |
| 4. Did you experience any sensitivity at the surgical site after using the mouthwash? Yes No | 3 (16.7) 15 (83.3) | 7 (41.1) 10 (58.9) | 0.096 |
| 5. For how long did you experience pain after the procedure? One day Two days Three days One week | 4 (22.2) 6 (33.3) 5 (27.8) 3 (16.7) | 6 (35.29) 2 (11.7) 3 (17.6) 6 (35.2) | 0.653 |
| Variables | Myrrh Group | CHX Group | p-Value |
|---|---|---|---|
| Wound opening Swelling Absent Present | 0.33 ± 0.52 | 0.32 ± 0.30 | 0.945 |
17 (94.4) 1 (5.6) | 17 (100) 0 | 0.032 | |
| Redness around the surgical site Absent Present | |||
| 15 (83.3) 3 (16.7) | 17 (100) 0 | 0.0632 |
Publisher’s Note: MDPI stays neutral with regard to jurisdictional claims in published maps and institutional affiliations. |
© 2022 by the authors. Licensee MDPI, Basel, Switzerland. This article is an open access article distributed under the terms and conditions of the Creative Commons Attribution (CC BY) license (https://creativecommons.org/licenses/by/4.0/).
Share and Cite
Ibraheem, W.I.; Hakami, A.A.; Shafei, A.A.; Jerah, S.A.; Almarghlani, A.; Makrami, A.M.; Bhati, A.K. Evaluating Soft Tissue Healing after Implant Placement Using Two Different Mouthwashes (Myrrh and Chlorhexidine Gluconate): A Randomized Control Trial. Medicina 2022, 58, 1351. https://doi.org/10.3390/medicina58101351
Ibraheem WI, Hakami AA, Shafei AA, Jerah SA, Almarghlani A, Makrami AM, Bhati AK. Evaluating Soft Tissue Healing after Implant Placement Using Two Different Mouthwashes (Myrrh and Chlorhexidine Gluconate): A Randomized Control Trial. Medicina. 2022; 58(10):1351. https://doi.org/10.3390/medicina58101351
Chicago/Turabian StyleIbraheem, Wael I., Afaf A. Hakami, Ahlam A. Shafei, Salehah A. Jerah, Ammar Almarghlani, Ali M. Makrami, and Ashok K. Bhati. 2022. "Evaluating Soft Tissue Healing after Implant Placement Using Two Different Mouthwashes (Myrrh and Chlorhexidine Gluconate): A Randomized Control Trial" Medicina 58, no. 10: 1351. https://doi.org/10.3390/medicina58101351
APA StyleIbraheem, W. I., Hakami, A. A., Shafei, A. A., Jerah, S. A., Almarghlani, A., Makrami, A. M., & Bhati, A. K. (2022). Evaluating Soft Tissue Healing after Implant Placement Using Two Different Mouthwashes (Myrrh and Chlorhexidine Gluconate): A Randomized Control Trial. Medicina, 58(10), 1351. https://doi.org/10.3390/medicina58101351

