Direct Endoscopic Necrosectomy: Timing and Technique
Abstract
1. Introduction
1.1. Indication for Intervention in PNCs
1.2. Evolution of Interventional Techniques: From the Operating Theatre to the Endoscopic Room, a Target Approach
1.3. Endoscopic Step-Up Approach
1.3.1. Double Pigtail Plastic Stent Drainage
1.3.2. Fully Covered Self-Expandable Metal Stents
1.3.3. Lumen-Apposing Metals Stents (LAMSs)
Technical Aspects of LAMSs
Clinical Practice with LAMSs
1.3.4. Comparing DPPSs with LAMS
1.3.5. Endoscopic Gastric Fenestration (EGF)
2. Technical Aspects
- -
- DPPS: with a needle assisted procedure, a guidewire is advanced under fluoroscopic guidance and dilation of the tract is performed with an ≥8 mm pneumatic balloon [29,30]. Two or more DPPSs of 7–10 F are positioned, in order to keep the stoma open for maturation and drain the content of the collection. Furthermore, using multiple DPPSs reduces the probability of stent occlusion and migration [30,31]. Subsequent dilations with balloons of increasing diameter (15–20 mm) are performed to obtain a cystoenterostomy of caliber big enough to advance the endoscope inside the cavity and perform the DEN. If there is a need to keep the cystoenterostomy open, multiple DPPSs are placed [23,30].
- -
- LAMS: with a needle assisted procedure, a guidewire is advanced under fluoroscopic guidance and a dilation of the tract is performed with a 4–10 mm pneumatic balloon to facilitate the advancement of the LAMS delivery catheter over the wire. The distal flange is deployed under EUS guidance, traction is then applied to appose the distal flange against the cyst wall and bring it in firm apposition against the stomach/duodenal wall. The proximal flange was then deployed under endoscopic guidance [42] or with the intra-channel release technique [60].
- -
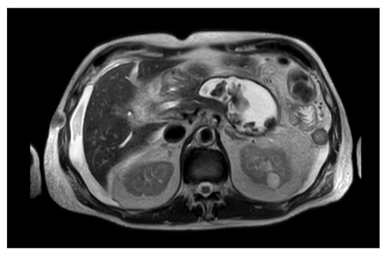
- EC-LAMS: the deployment catheter is positioned on the selected point on the gastric/duodenal wall. The activation of the electro-cautery tip allows direct passage of the catheter into the collection under EUS guidance. The distal flange of the LAMS is deployed, and the next steps are the same as the LAMS (Figure 3) [50].
3. Devices
4. Irrigation
5. Vacuum Assisted Closure System
6. Timing
7. Conclusions
Author Contributions
Funding
Institutional Review Board Statement
Informed Consent Statement
Conflicts of Interest
References
- Banks, P.A.; Bollen, T.L.; Dervenis, C.; Gooszen, H.G.; Johnson, C.D.; Sarr, M.G.; Tsiotos, G.G.; Vege, S.S.; Windsor, J.A.; Horvath, K.D.; et al. Classification of Acute Pancreatitis—2012: Revision of the Atlanta Classification and Definitions by International Consensus. Gut 2013, 62, 102–111. [Google Scholar] [CrossRef]
- Working Group IAP/APA. Acute Pancreatitis. IAP/APA Evidence-Based Guidelines for the Management of Acute Pancreatitis. Pancreatology 2013, 13 (Suppl. S2), 1–15. [Google Scholar] [CrossRef] [PubMed]
- Trikudanathan, G.; Wolbrink, D.R.J.; van Santvoort, H.C.; Mallery, S.; Freeman, M.; Besselink, M.G. Current Concepts in Severe Acute and Necrotizing Pancreatitis: An Evidence-Based Approach. Gastroenterology 2019, 156, 1994–2007. [Google Scholar] [CrossRef] [PubMed]
- Yadav, D.; Lowenfels, A.B. The Epidemiology of Pancreatitis and Pancreatic Cancer. Gastroenterology 2013, 144, 1252–1261. [Google Scholar] [CrossRef]
- Dhaka, N.; Samanta, J.; Kochhar, S.; Kalra, N.; Appasani, S.; Manrai, M.; Kochhar, R. Pancreatic Fluid Collections: What Is the Ideal Imaging Technique? World J. Gastroenterol. 2015, 21, 13403–13410. [Google Scholar] [CrossRef] [PubMed]
- Wang, M.; Wei, A.; Guo, Q.; Zhang, Z.; Lu, H.; Li, A.; Hu, W. Clinical Outcomes of Combined Necrotizing Pancreatitis versus Extrapancreatic Necrosis Alone. Pancreatology 2016, 16, 57–65. [Google Scholar] [CrossRef]
- Petrov, M.S.; Shanbhag, S.; Chakraborty, M.; Phillips, A.R.J.; Windsor, J.A. Organ Failure and Infection of Pancreatic Necrosis as Determinants of Mortality in Patients with Acute Pancreatitis. Gastroenterology 2010, 139, 813–820. [Google Scholar] [CrossRef]
- DiMaio, C.J. Management of Complications of Acute Pancreatitis. Curr. Opin. Gastroenterol. 2018, 34, 336–342. [Google Scholar] [CrossRef]
- Umapathy, C.; Gajendran, M.; Mann, R.; Boregowda, U.; Theethira, T.; Elhanafi, S.; Perisetti, A.; Goyal, H.; Saligram, S. Pancreatic Fluid Collections: Clinical Manifestations, Diagnostic Evaluation and Management. Disease-a-Month 2020, 66, 100986. [Google Scholar] [CrossRef]
- Van Brunschot, S.; Bakker, O.J.; Besselink, M.G.; Bollen, T.L.; Fockens, P.; Gooszen, H.G.; van Santvoort, H.C. Treatment of Necrotizing Pancreatitis. Clin. Gastroenterol. Hepatol. 2012, 10, 1190–1201. [Google Scholar] [CrossRef]
- Stamatakos, M.; Stefanaki, C.; Kontzoglou, K.; Stergiopoulos, S.; Giannopoulos, G.; Safioleas, M. Walled-off Pancreatic Necrosis. World J. Gastroenterol. 2010, 16, 1707–1712. [Google Scholar] [CrossRef]
- Van Grinsven, J.; van Brunschot, S.; van Baal, M.C.; Besselink, M.G.; Fockens, P.; van Goor, H.; van Santvoort, H.C.; Bollen, T.L. Natural History of Gas Configurations and Encapsulation in Necrotic Collections During Necrotizing Pancreatitis. J. Gastrointest. Surg. 2018, 22, 1557–1564. [Google Scholar] [CrossRef]
- Arvanitakis, M.; Dumonceau, J.M.; Albert, J.; Badaoui, A.; Bali, M.A.; Barthet, M.; Besselink, M.; Deviere, J.; Ferreira, A.O.; Gyökeres, T.; et al. Endoscopic Management of Acute Necrotizing Pancreatitis: European Society of Gastrointestinal Endoscopy (ESGE) Evidence-Based Multidisciplinary Guidelines. Endoscopy 2018, 50, 524–546. [Google Scholar] [CrossRef]
- Baron, T.H.; Dimaio, C.J.; Wang, A.Y.; Morgan, K.A. American Gastroenterological Association Clinical Practice Update: Management of Pancreatic Necrosis. Gastroenterology 2020, 158, 67–75. [Google Scholar] [CrossRef]
- Brizi, M.G.; Perillo, F.; Cannone, F.; Tuzza, L.; Manfredi, R. The Role of Imaging in Acute Pancreatitis. La Radiologia Medica 2021, 126, 1017–1029. [Google Scholar] [CrossRef]
- Gluck, M.; Ross, A.; Irani, S.; Lin, O.; Hauptmann, E.; Siegal, J.; Fotoohi, M.; Crane, R.; Robinson, D.; Kozarek, R.A. Endoscopic and Percutaneous Drainage of Symptomatic Walled-Off Pancreatic Necrosis Reduces Hospital Stay and Radiographic Resources. Clin. Gastroenterol. Hepatol. 2010, 8, 1083–1088. [Google Scholar] [CrossRef]
- Van Baal, M.C.; Bollen, T.L.; Bakker, O.J.; van Goor, H.; Boermeester, M.A.; Dejong, C.H.; Gooszen, H.G.; van Der Harst, E.; van Eijck, C.H.; van Santvoort, H.C.; et al. The Role of Routine Fine-Needle Aspiration in the Diagnosis of Infected Necrotizing Pancreatitis. Surgery 2014, 155, 442–448. [Google Scholar] [CrossRef] [PubMed]
- Besselink, M.G.H.; Verwer, T.J.; Schoenmaeckers, E.J.P.; Buskens, E.; Ridwan, B.U.; Visser, M.R.; Nieuwenhuijs, V.B.; Gooszen, H.G. Timing of Surgical Intervention in Necrotizing Pancreatitis. Arch Surg. 2007, 142, 1194–1201. [Google Scholar] [CrossRef] [PubMed]
- Van Grinsven, J.; van Dijk, S.M.; Dijkgraaf, M.G.; Boermeester, M.A.; Bollen, T.L.; Bruno, M.J.; van Brunschot, S.; Dejong, C.H.; van Eijck, C.H.; van Lienden, K.P.; et al. Postponed or Immediate Drainage of Infected Necrotizing Pancreatitis (POINTER Trial): Study Protocol for a Randomized Controlled Trial. Trials 2019, 20, 1–10. [Google Scholar] [CrossRef]
- Besselink, M.G.; van Santvoort, H.C.; Nieuwenhuijs, V.B.; Boermeester, M.A.; Bollen, T.L.; Buskens, E.; Dejong, C.H.; van Eijck, C.H.; van Goor, H.; Hofker, S.S.; et al. Minimally Invasive “step-up Approach” versus Maximal Necrosectomy in Patients with Acute Necrotising Pancreatitis (PANTER Trial): Design and Rationale of a Randomised Controlled Multicenter Trial [ISRCTN13975868]. BMC Surg. 2006, 6, 6. [Google Scholar] [CrossRef] [PubMed]
- Van Brunschot, S.; Hollemans, R.A.; Bakker, O.J.; Besselink, M.G.; Baron, T.H.; Beger, H.G.; Boermeester, M.A.; Bollen, T.L.; Bruno, M.J.; Carter, R.; et al. Minimally Invasive and Endoscopic versus Open Necrosectomy for Necrotising Pancreatitis: A Pooled Analysis of Individual Data for 1980 Patients. Gut 2018, 67, 697–706. [Google Scholar] [CrossRef] [PubMed]
- van Santvoort, H.C.; Besselink, M.G.; Bakker, O.J.; Hofker, H.S.; Boermeester, M.A.; Dejong, C.H.; van Goor, H.; Schaapherder, A.F.; van Eijck, C.H.; Bollen, T.L.; et al. A Step-up Approach or Open Necrosectomy for Necrotizing Pancreatitis. N. Engl. J. Med. 2010, 362, 108–110. [Google Scholar] [CrossRef]
- Seifert, H.; Wehrmann, T.; Schmitt, T.; Zeuzem, S.; Caspary, W.F. Retroperitoneal Endoscopic Debridement for Infected Peripancreatic Necrosis. Lancet 2000, 356, 653–655. [Google Scholar] [CrossRef]
- Seifert, H.; Biermer, M.; Schmitt, W.; Jürgensen, C.; Will, U.; Gerlach, R.; Kreitmair, C.; Meining, A.; Wehrmann, T.; Rösch, T. Transluminal Endoscopic Necrosectomy after Acute Pancreatitis: A Multicentre Study with Long-Term Follow-up (the GEPARD Study). Gut 2009, 58, 1260–1266. [Google Scholar] [CrossRef] [PubMed]
- Seewald, S.; Groth, S.; Omar, S.; Imazu, H.; Seitz, U.; de Weerth, A.; Soetikno, R.; Zhong, Y.; Sriram, P.V.J.; Ponnudurai, R.; et al. Aggressive Endoscopic Therapy for Pancreatic Necrosis and Pancreatic Abscess: A New Safe and Effective Treatment Algorithm (Videos). Gastrointest. Endosc. 2005, 62, 92–100. [Google Scholar] [CrossRef]
- Voermans, R.P.; Veldkamp, M.C.; Rauws, E.A.; Bruno, M.J.; Fockens, P. Endoscopic Transmural Debridement of Symptomatic Organized Pancreatic Necrosis. Gastrointest. Endosc. 2007, 66, 909–916. [Google Scholar] [CrossRef] [PubMed]
- Charnley, R.M.; Lochan, R.; Gray, H.; O’Sullivan, C.B.; Scott, J.; Oppong, K.E.N.W. Endoscopic Necrosectomy as Primary Therapy in the Management of Infected Pancreatic Necrosis. Endoscopy 2006, 38, 925–928. [Google Scholar] [CrossRef]
- Escourrou, J.; Shehab, H.; Buscail, L.; Bournet, B.; Andrau, P.; Moreau, J.; Fourtanier, G. Peroral Transgastric/Transduodenal Necrosectomy Success in the Treatment of Infected Pancreatic Necrosis. Ann. Surg. 2008, 248, 1074–1080. [Google Scholar] [CrossRef]
- Gardner, T.B.; Coelho-Prabhu, N.; Gordon, S.R.; Gelrud, A.; Maple, J.T.; Papachristou, G.I.; Freeman, M.L.; Topazian, M.D.; Attam, R.; MacKenzie, T.A.; et al. Direct Endoscopic Necrosectomy for the Treatment of Walled-off Pancreatic Necrosis: Results from a Multicenter, U.S. Series. Gastrointest. Endosc. 2011, 73, 718–726. [Google Scholar] [CrossRef]
- Bakker, O.J.; van Santvoort, H.C.; van Brunschot, S.; Geskus, R.B.; Besselink, M.G.; Bollen, T.L.; van Eijck, C.H.; Fockens, P.; Hazebroek, E.J.; Nijmeijer, R.M.; et al. Endoscopic Transgastric vs Surgical Necrosectomy for Infected Necrotizing Pancreatitis: A Randomized Trial. JAMA—J. Am. Med. Assoc. 2012, 307, 1053–1061. [Google Scholar] [CrossRef]
- Van Brunschot, S.; van Grinsven, J.; van Santvoort, H.C.; Bakker, O.J.; Besselink, M.G.; Boermeester, M.A.; Bollen, T.L.; Bosscha, K.; Bouwense, S.A.; Bruno, M.J.; et al. Endoscopic or Surgical Step-up Approach for Infected Necrotising Pancreatitis: A Multicentre Randomised Trial. Lancet 2018, 391, 51–58. [Google Scholar] [CrossRef]
- Bang, J.Y.; Wilcox, C.M.; Arnoletti, J.P.; Varadarajulu, S. Superiority of Endoscopic Interventions over Minimally Invasive Surgery for Infected Necrotizing Pancreatitis: Meta-Analysis of Randomized Trials. Dig. Endosc. 2020, 32, 298–308. [Google Scholar] [CrossRef] [PubMed]
- Haney, C.M.; Kowalewski, K.F.; Schmidt, M.W.; Koschny, R.; Felinska, E.A.; Kalkum, E.; Probst, P.; Diener, M.K.; Müller-Stich, B.P.; Hackert, T.; et al. Endoscopic versus Surgical Treatment for Infected Necrotizing Pancreatitis: A Systematic Review and Meta-Analysis of Randomized Controlled Trials. Surg. Endoscopy 2020, 34, 2429–2444. [Google Scholar] [CrossRef] [PubMed]
- Bang, J.Y.; Arnoletti, J.P.; Holt, B.A.; Sutton, B.; Hasan, M.K.; Navaneethan, U.; Feranec, N.; Wilcox, C.M.; Tharian, B.; Hawes, R.H.; et al. An Endoscopic Transluminal Approach, Compared With Minimally Invasive Surgery, Reduces Complications and Costs for Patients With Necrotizing Pancreatitis. Gastroenterology 2019, 156, 1027–1040. [Google Scholar] [CrossRef]
- Khan, M.A.; Kahaleh, M.; Khan, Z.; Tyberg, A.; Solanki, S.; Haq, K.F.; Sofi, A.; Lee, W.M.; Ismail, M.K.; Tombazzi, C.; et al. Time for a Changing of Guard From Minimally Invasive Surgery to Endoscopic Drainage for Management of Pancreatic Walled-off Necrosis. J. Clin. Gastroenterol. 2019, 53, 81–88. [Google Scholar] [CrossRef]
- Varadarajulu, S.; Phadnis, M.A.; Christein, J.D.; Wilcox, C.M. Multiple Transluminal Gateway Technique for EUS-Guided Drainage of Symptomatic Walled-off Pancreatic Necrosis. Gastrointest. Endosc. 2011, 74, 74–80. [Google Scholar] [CrossRef]
- Abu Dayyeh, B.K.; Mukewar, S.; Majumder, S.; Zaghlol, R.; Vargas Valls, E.J.; Bazerbachi, F.; Levy, M.J.; Baron, T.H.; Gostout, C.J.; Petersen, B.T.; et al. Large-Caliber Metal Stents versus Plastic Stents for the Management of Pancreatic Walled-off Necrosis. Gastrointest. Endosc. 2018, 87, 141–149. [Google Scholar] [CrossRef]
- Sarkaria, S.; Sethi, A.; Rondon, C.; Lieberman, M.; Srinivasan, I.; Weaver, K.; Turner, B.G.; Sundararajan, S.; Berlin, D.; Gaidhane, M.; et al. Pancreatic Necrosectomy Using Covered Esophageal Stents: A Novel Approach. J. Clin. Gastroenterol. 2014, 48, 145–152. [Google Scholar] [CrossRef]
- Vinay Chandrasekhara, A.; Barthet, M.; Devière, J.; Bazerbachi, F.; Lakhtakia, S.; Easler, J.J.; Peetermans, J.A.; McMullen, E.; Gjata, O.; Gourlay, M.L.; et al. Safety and Efficacy of Lumen-Apposing Metal Stents versus Plastic Stents to Treat Walled-off Pancreatic Necrosis: Systematic Review and Meta-Analysis. Endosc. Int. Open 2020, 08, E1639–E1653. [Google Scholar] [CrossRef]
- Antillon, M.R.; Bechtold, M.L.; Bartalos, C.R.; Marshall, J.B. Transgastric Endoscopic Necrosectomy with Temporary Metallic Esophageal Stent Placement for the Treatment of Infected Pancreatic Necrosis (with Video). Gastrointest. Endosc. 2009, 69, 178–180. [Google Scholar] [CrossRef]
- Dorrell, R.; Pawa, S.; Pawa, R. Endoscopic Management of Pancreatic Fluid Collections. J. Clin. Med. 2021, 10, 284. [Google Scholar] [CrossRef]
- Binmoeller, K.F.; Shah, J. A Novel Lumen-Apposing Stent for Transluminal Drainage of Nonadherent Extraintestinal Fluid Collections. Endoscopy 2011, 43, 337–342. [Google Scholar] [CrossRef]
- Sharaiha, R.Z.; Tyberg, A.; Khashab, M.A.; Kumta, N.A.; Karia, K.; Nieto, J.; Siddiqui, U.D.; Waxman, I.; Joshi, V.; Benias, P.C.; et al. Endoscopic Therapy With Lumen-Apposing Metal Stents Is Safe and Effective for Patients With Pancreatic Walled-off Necrosis. Clin. Gastroenterol. Hepatol. 2016, 14, 1797–1803. [Google Scholar] [CrossRef]
- Parsa, N.; Nieto, J.M.; Powers, P.; Mitsuhashi, S.; Abdelqader, A.; Hadzinakos, G.; Anderloni, A.A.; Fugazza, A.; James, T.W.; Arlt, A.; et al. Endoscopic Ultrasound-Guided Drainage of Pancreatic Walled-off Necrosis Using 20-Mm versus 15-Mm Lumen-Apposing Metal Stents: An International, Multicenter, Case-Matched Study. Endoscopy 2020, 52, 211–219. [Google Scholar] [CrossRef]
- Anderloni, A.; di Leo, M.; Carrara, S.; Fugazza, A.; Maselli, R.; Buda, A.; Amato, A.; Auriemma, F.; Repici, A. Endoscopic Ultrasound-Guided Transmural Drainage by Cautery-Tipped Lumen-Apposing Metal Stent: Exploring the Possible Indications. Ann. Gastroenterol. 2018, 31, 735. [Google Scholar] [CrossRef] [PubMed]
- Mussetto, A.; Fugazza, A.; Fuccio, L.; Triossi, O.; Repici, A.; Anderloni, A. Current Uses and Outcomes of Lumen-Apposing Metal Stents. Ann. Gastroenterol. 2018, 31, 535. [Google Scholar] [CrossRef]
- Tarantino, I.; Ligresti, D.; Tuzzolino, F.; Barresi, L.; Curcio, G.; Granata, A.; Traina, M. Clinical Impact of EUS Treatment of Walled-off Pancreatic Necrosis with Dedicated Devices. Endosc. Int. Open 2017, 5, E784–E791. [Google Scholar] [CrossRef] [PubMed][Green Version]
- Bekkali, N.; Nayar, M.; Leeds, J.; Charnley, R.; Huggett, M.; Oppong, K. A Comparison of Outcomes between a Lumen-Apposing Metal Stent with Electrocautery-Enhanced Delivery System and a Bi-Flanged Metal Stent for Drainage of Walled-off Pancreatic Necrosis. Endosc. Int. Open 2017, 5, E1189–E1196. [Google Scholar] [CrossRef] [PubMed]
- Anderloni, A.; Fabbri, C.; Nieto, J.; Uwe, W.; Dollhopf, M.; Aparicio, J.R.; Perez-Miranda, M.; Tarantino, I.; Arlt, A.; Vleggaar, F.; et al. The Safety and Efficacy of a New 20-Mm Lumen Apposing Metal Stent (Lams) for the Endoscopic Treatment of Pancreatic and Peripancreatic Fluid Collections: A Large International, Multicenter Study. Surg. Endosc. 2021, 35, 1741–1748. [Google Scholar] [CrossRef]
- Binda, C.; Dabizzi, E.; Anderloni, A.; Cennamo, V.; Fiscaletti, M.; Fugazza, A.; Jovine, E.; Ercolani, G.; Gasbarrini, A.; Fabbri, C. Single-Step Endoscopic Ultrasound-Guided Multiple Gateway Drainage of Complex Walled-off Necrosis with Lumen Apposing Metal Stents. Eur. J. Gastroenterol. Hepatol. 2020, 32, 1401–1404. [Google Scholar] [CrossRef]
- Bang, J.Y.; Hasan, M.; Navaneethan, U.; Hawes, R.; Varadarajulu, S. Lumen-Apposing Metal Stents (LAMS) for Pancreatic Fluid Collection (PFC) Drainage: May Not Be Business as Usual. Gut 2017, 66, 2054–2056. [Google Scholar] [CrossRef]
- Fugazza, A.; Colombo, M.; Gabbiadini, R.; Carrara, S.; Maselli, R.; Anderloni, A.; Repici, A. Repositioning Rather than Replacing: The Management of a Dislodged Lumen-Apposing Metal Stent in a Walled off Necrosis. Am. J. Gastroenterol. 2020, 115, 811. [Google Scholar] [CrossRef] [PubMed]
- Dhir, V.; Adler, D.G.; Dalal, A.; Aherrao, N.; Shah, R.; Maydeo, A. Early Removal of Biflanged Metal Stents in the Management of Pancreatic Walled-off Necrosis: A Prospective Study. Endoscopy 2018, 50, 597–605. [Google Scholar] [CrossRef] [PubMed]
- Fugazza, A.; Sethi, A.; Trindade, A.J.; Troncone, E.; Devlin, J.; Khashab, M.A.; Vleggaar, F.P.; Bogte, A.; Tarantino, I.; Deprez, P.H.; et al. International Multicenter Comprehensive Analysis of Adverse Events Associated with Lumen-Apposing Metal Stent Placement for Pancreatic Fluid Collection Drainage. Gastrointest. Endosc. 2020, 91, 574–583. [Google Scholar] [CrossRef]
- Chen, Y.I.; Barkun, A.N.; Adam, V.; Bai, G.; Singh, V.K.; Bukhari, M.; Gutierrez, O.B.; Elmunzer, B.J.; Moran, R.; Fayad, L.; et al. Cost-Effectiveness Analysis Comparing Lumen-Apposing Metal Stents with Plastic Stents in the Management of Pancreatic Walled-off Necrosis. Gastrointest. Endosc. 2018, 88, 267–276. [Google Scholar] [CrossRef]
- Liu, F.; Wu, L.; Wang, X.D.; Xiao, J.G.; Li, W. Endoscopic Gastric Fenestration of Debriding Pancreatic Walled-off Necrosis: A Pilot Study. World J. Gastroenterol. 2020, 26, 6431–6441. [Google Scholar] [CrossRef] [PubMed]
- Albers, D.; Meining, A.; Hann, A.; Ayoub, Y.K.; Schumacher, B. Direct Endoscopic Necrosectomy in Infected Pancreatic Necrosis Using Lumen-Apposing Metal Stents: Early Intervention Does Not Compromise Outcome. Endosc. Int. Open 2021, 9, E490–E495. [Google Scholar] [CrossRef] [PubMed]
- Yan, L.; Dargan, A.; Nieto, J.; Shariaha, R.Z.; Binmoeller, K.F.; Adler, D.G.; Desimone, M.; Berzin, T.; Swahney, M.; Draganov, P.V.; et al. Direct Endoscopic Necrosectomy at the Time of Transmural Stent Placement Results in Earlier Resolution of Complex Walled-off Pancreatic Necrosis: Results from a Large Multicenter United States Trial. Endosc. Ultrasound 2019, 8, 172–179. [Google Scholar] [CrossRef]
- Grimm, H.; Binmoeller, K.F.; Soehendra, N. Endosonography-Guided Drainage of a Pancreatic Pseudocyst. Gastrointest. Endosc. 1992, 38, 170–171. [Google Scholar] [CrossRef]
- Anderloni, A.; Attili, F.; Carrara, S.; Galasso, D.; di Leo, M.; Costamagna, G.; Repici, A.; Kunda, R.; Larghi, A. Intra-Channel Stent Release Technique for Fluoroless Endoscopic Ultrasound-Guided Lumen-Apposing Metal Stent Placement: Changing the Paradigm. Endosc. Int. Open 2017, 5, E25–E29. [Google Scholar] [CrossRef]
- Yasuda, I.; Nakashima, M.; Iwai, T.; Isayama, H.; Itoi, T.; Hisai, H.; Inoue, H.; Kato, H.; Kanno, A.; Kubota, K.; et al. Japanese Multicenter Experience of Endoscopic Necrosectomy for Infected Walled-off Pancreatic Necrosis: The JENIPaN Study. Endoscopy 2013, 45, 627–634. [Google Scholar] [CrossRef]
- Guo, J.; Saftoiu, A.; Vilmann, P.; Fusaroli, P.; Giovannini, M.; Mishra, G.; Rana, S.S.; Ho, S.; Poley, J.-W.; Leong Ang, T.; et al. A Multi-Institutional Consensus on How to Perform Endoscopic Ultrasound-Guided Peri-Pancreatic Fluid Collection Drainage and Endoscopic Necrosectomy. Endosc. Ultrasound 2017, 6, 285–291. [Google Scholar] [CrossRef]
- Schmidt, P.N.; Novovic, S.; Roug, S.; Feldager, E. Endoscopic, Transmural Drainage and Necrosectomy for Walled-off Pancreatic and Peripancreatic Necrosis Is Associated with Low Mortality—A Single-Center Experience. Scand. J. Gastroenterol. 2015, 50, 611–618. [Google Scholar] [CrossRef]
- Xiao, N.-J.; Cui, T.-T.; Liu, F.; Li, W. Current Status of Treatments of Pancreatic and Peripancreatic Collections of Acute Pancreatitis. World J. Gastrointest. Surg. 2021, 13, 633–644. [Google Scholar] [CrossRef] [PubMed]
- Van Der Wiel, S.E.; Poley, J.W.; Grubben, M.J.A.L.; Bruno, M.J.; Koch, A.D. The EndoRotor, a Novel Tool for the Endoscopic Management of Pancreatic Necrosis. Endoscopy 2018, 50, E240–E241. [Google Scholar] [CrossRef]
- Hollerbach, S.; Wellmann, A.; Meier, P.; Ryan, J.; Franco, R.; Koehler, P. The EndoRotor®: Endoscopic Mucosal Resection System for Non-Thermal and Rapid Removal of Esophageal, Gastric, and Colonic Lesions: Initial Experience in Live Animals. Endosc. Int. Open 2016, 4, E475–E479. [Google Scholar] [CrossRef] [PubMed]
- Van der Wiel, S.E.; May, A.; Poley, J.W.; Grubben, M.J.A.L.; Wetzka, J.; Bruno, M.J.; Koch, A.D. Preliminary Report on the Safety and Utility of a Novel Automated Mechanical Endoscopic Tissue Resection Tool for Endoscopic Necrosectomy: A Case Series. Endosc. Int. Open 2020, 8, E274–E280. [Google Scholar] [CrossRef]
- Larghi, A.; Rizzatti, G.; Rimbaș, M.; Impagnatiello, M.; Gasbarrini, A.; Costamagna, G. Endorotor-Based Endoscopic Necrosectomy as a Rescue or Primary Treatment of Complicated Walled-off Pancreatic Necrosis. A Case Series. J. Gastrointestin. Liver. Dis. 2020, 29, 681–684. [Google Scholar] [CrossRef]
- Stassen, P.M.C.; de Jonge, P.J.F.; Bruno, M.J.; Koch, A.D.; Trindade, A.J.; Benias, P.C.; Sejpal, D.V.; Siddiqui, U.D.; Chapman, C.G.; Villa, E.; et al. Safety and Efficacy of a Novel Resection System for Direct Endoscopic Necrosectomy of Walled-off Pancreas Necrosis: A Prospective, International, Multicenter Trial. Gastrointest. Endosc. 2021, in press. [Google Scholar] [CrossRef]
- Siddiqui, A.A.; Easler, J.; Strongin, A.; Slivka, A.; Kowalski, T.E.; Muddana, V.; Chennat, J.; Baron, T.H.; Loren, D.E.; Papachristou, G.I. Hydrogen Peroxide-Assisted Endoscopic Necrosectomy for Walled-off Pancreatic Necrosis: A Dual Center Pilot Experience. Dig. Dis. Sci. 2014, 59, 687–690. [Google Scholar] [CrossRef]
- Garg, R.; Gupta, S.; Singh, A.; Simonson, M.T.; Rustagi, T.; Chahal, P. Hydrogen Peroxide Assisted Endoscopic Necrosectomy for Walled-off Pancreatic Necrosis: A Systematic Review and Meta-Analysis. Pancreatology 2021, 21, 1540–1547. [Google Scholar] [CrossRef] [PubMed]
- Günay, S.; Paköz, B.; Çekiç, C.; Çamyar, H.; Alper, E.; Yüksel, E.S.; Topal, F.; Binicier, Ö.B. Evaluation of Hydrogen Peroxide-Assisted Endoscopic Ultrasonography-Guided Necrosectomy in Walled-off Pancreatic Necrosis: A Single-Center Experience. Medicine 2021, 100, e23175. [Google Scholar] [CrossRef] [PubMed]
- Abdelhafez, M.; Elnegouly, M.; Hasab Allah, M.S.; Elshazli, M.; Mikhail, H.M.S.; Yosry, A. Transluminal Retroperitoneal Endoscopic Necrosectomy with the Use of Hydrogen Peroxide and without External Irrigation: A Novel Approach for the Treatment of Walled-off Pancreatic Necrosis. Surg. Endosc. 2013, 27, 3911–3920. [Google Scholar] [CrossRef]
- Messallam, A.A.; Adler, D.G.; Shah, R.J.; Nieto, J.M.; Moran, R.; Elmunzer, B.J.; Cosgrove, N.; Mullady, D.; Singh, H.; Cote, G.; et al. Direct Endoscopic Necrosectomy With and Without Hydrogen Peroxide for Walled-off Pancreatic Necrosis: A Multicenter Comparative Study. Am. J. Gastroenterol. 2021, 116, 700–709. [Google Scholar] [CrossRef] [PubMed]
- DiBianco, J.M.; Lange, J.; Heidenberg, D.; Mufarrij, P. Oxygen Venous Embolism After Hydrogen Peroxide Use During Percutaneous Nephrolithotomy. J. Endourol. Case Rep. 2019, 5, 25. [Google Scholar] [CrossRef]
- Peng, Z.; Li, H.; Cao, Z.; Zhang, W.; Li, H.; Dai, R.; Liu, L.; Mao, X.; George, D.M.; Huang, T. Oxygen Embolism after Hydrogen Peroxide Irrigation during Hip Arthroscopy: A Case Report. BMC Musculoskelet. Disord. 2020, 21, 1–6. [Google Scholar] [CrossRef]
- Zhang, J.; Zhang, C.; Yan, J. Massive Cerebral Gas Embolism under Discectomy Due to Hydrogen Peroxide Irrigation. Case Rep. Neurol. Med. 2015, 2015, 1–4. [Google Scholar] [CrossRef][Green Version]
- Tsai, S.K.; Lee, T.Y.; Mok, M.S. Gas Embolism Produced by Hydrogen Peroxide Irrigation of an Anal Fistula during Anesthesia. Anesthesiology 1985, 63, 316–317. [Google Scholar] [CrossRef]
- Jones, P.M.; Segal, S.H.; Gelb, A.W. Venous Oxygen Embolism Produced by Injection of Hydrogen Peroxide into an Enterocutaneous Fistula. Anesth. Analg. 2004, 99, 1861–1863. [Google Scholar] [CrossRef]
- Haller, G.; Faltin-Traub, E.; Faltin, D.; Kern, C. Oxygen Embolism after Hydrogen Peroxide Irrigation of a Vulvar Abscess. Br. J. Anaesth. 2002, 88, 597–599. [Google Scholar] [CrossRef]
- Akuji, M.A.; Chambers, D.J. Hydrogen Peroxide: More Harm than Good? Br. J. Anaesth. 2017, 118, 958–959. [Google Scholar] [CrossRef] [PubMed]
- Zhao, S.L.; Zhang, X.Y.; Xiao, Y.; Mo, X.Y.; Chen, Z.P.; Lin, W.; Huang, Z.F.; Chen, B.L. Gas Embolism After Hydrogen Peroxide Use During Spine Surgery: Case Report and Literature Review. World Neurosurg. 2020, 143, 228–231. [Google Scholar] [CrossRef]
- Loske, G.; Schorsch, T.; Gobrecht, O.; Martens, E.; Rucktäschel, F. Transgastric Endoscopic Vacuum Therapy with a New Open-Pore Film Drainage Device in a Case of Infective Pancreatic Necrosis. Endoscopy 2016, 48, E148–E149. [Google Scholar] [CrossRef]
- Wallstabe, I.; Tiedemann, A.; Schiefke, I. Endoscopic Vacuum-Assisted Therapy of Infected Pancreatic Pseudocyst Using a Coated Sponge. Endoscopy 2012, 44 (Suppl. S2), E49–E50. [Google Scholar] [CrossRef]
- Wedemeyer, J.; Kubicka, S.; Lankisch, T.O.; Wirth, T.; Patecki, M.; Hiss, M.; Manns, M.P.; Schneider, A.S. Transgastrically Placed Endoscopic Vacuum-Assisted Closure System as an Addition to Transgastric Necrosectomy in Necrotizing Pancreatitis (with Video). Gastrointest. Endosc. 2012, 76, 1238–1241. [Google Scholar] [CrossRef]
- Fähndrich, M.; Sandmann, M. A New Method for Endoscopic Drainage of Pancreatic Necrosis through a Gastrostomy Site Using an Endosponge. Endoscopy 2014, 46, E459. [Google Scholar] [CrossRef] [PubMed]
- Wallstabe, I.; Tiedemann, A.; Schiefke, I. Endoscopic Vacuum-Assisted Therapy of an Infected Pancreatic Pseudocyst. Endoscopy 2011, 43, E312–E313. [Google Scholar] [CrossRef] [PubMed]
- Scherer, S.S.; Pietramaggiori, G.; Mathews, J.C.; Prsa, M.J.; Huang, S.; Orgill, D.P. The Mechanism of Action of the Vacuum-Assisted Closure Device. Plast. Reconstr. Surg. 2008, 122, 786–797. [Google Scholar] [CrossRef]
- Fernandez-Del Castillo, C.; Rattner, D.W.; Makary, M.A.; Mostafavi, A.; Mcgrath, D.; Warshaw, A.L. Debridement and Closed Packing for the Treatment of Necrotizing Pancreatitis; Lippincott Williams & Wilins: Philadelphia, PE, USA, 1998; Volume 228. [Google Scholar]
- De Beaux, A.C.; Palmer, K.R.; Carter, D.C. Factors Influencing Morbidity and Mortality in Acute Pancreatitis; an Analysis of 279 Cases. Gut 1995, 37, 12–13. [Google Scholar] [CrossRef]
- Rodriguez, J.R.; Razo, A.O.; Targarona, J.; Thayer, S.P.; Rattner, D.W.; Warshaw, A.L.; Castillo, C.F. Debridement and Closed Packing for Sterile or Infected Necrotizing Pancreatitis: Insights into Indications and Outcomes in 167 Patients. Ann. Surg. 2008, 247, 294. [Google Scholar] [CrossRef]
- Trikudanathan, G.; Tawfik, P.; Amateau, S.K.; Mbbs, S.M.; Arain, M.; Attam, R.; Beilman, G.; Flanagan, S.; Freeman, M.L.; Mallery, S. Early (<4 Weeks) Versus Standard (≥4 Weeks) Endoscopically Centered Step-Up Interventions for Necrotizing Pancreatitis. Am. J. Gastroenterol. 2018, 113, 1550–1558. [Google Scholar] [CrossRef] [PubMed]
- Van Grinsven, J.; van Brunschot, S.; Fockens, P.; van Grinsven, J.; Bakker, O.J.; van Santvoort, H.C.; Bollen, T.L.; Boermeester, M.A.; van Santvoort, H.C.; Besselink, M.G.; et al. Diagnostic Strategy and Timing of Intervention in Infected Necrotizing Pancreatitis: An International Expert Survey and Case Vignette Study. Hpb 2016, 18, 49–56. [Google Scholar] [CrossRef] [PubMed]
- Bang, J.Y.; Wilcox, C.M.; Arnoletti, J.P.; Peter, S.; Christein, J.; Navaneethan, U.; Hawes, R.; Varadarajulu, S. Validation of the Orlando Protocol for Endoscopic Management of Pancreatic Fluid Collections in the Era of Lumen-Apposing Metal Stents. Dig. Endosc. 2021. Epub ahead of print. [Google Scholar] [CrossRef] [PubMed]
- Bruno, M. Conventional Endoscopic Techniques Versus EndoRotor® System for Necrosectomy of Walled of Necrosis (RESOlVE). Natl. Libr. Med. Identifier: NCT04814693, in press.




Publisher’s Note: MDPI stays neutral with regard to jurisdictional claims in published maps and institutional affiliations. |
© 2021 by the authors. Licensee MDPI, Basel, Switzerland. This article is an open access article distributed under the terms and conditions of the Creative Commons Attribution (CC BY) license (https://creativecommons.org/licenses/by/4.0/).
Share and Cite
Pinto, S.; Bellizzi, S.; Badas, R.; Canfora, M.L.; Loddo, E.; Spada, S.; Khalaf, K.; Fugazza, A.; Bergamini, S. Direct Endoscopic Necrosectomy: Timing and Technique. Medicina 2021, 57, 1305. https://doi.org/10.3390/medicina57121305
Pinto S, Bellizzi S, Badas R, Canfora ML, Loddo E, Spada S, Khalaf K, Fugazza A, Bergamini S. Direct Endoscopic Necrosectomy: Timing and Technique. Medicina. 2021; 57(12):1305. https://doi.org/10.3390/medicina57121305
Chicago/Turabian StylePinto, Sergio, Saverio Bellizzi, Roberta Badas, Maria Laura Canfora, Erica Loddo, Simone Spada, Kareem Khalaf, Alessandro Fugazza, and Silvio Bergamini. 2021. "Direct Endoscopic Necrosectomy: Timing and Technique" Medicina 57, no. 12: 1305. https://doi.org/10.3390/medicina57121305
APA StylePinto, S., Bellizzi, S., Badas, R., Canfora, M. L., Loddo, E., Spada, S., Khalaf, K., Fugazza, A., & Bergamini, S. (2021). Direct Endoscopic Necrosectomy: Timing and Technique. Medicina, 57(12), 1305. https://doi.org/10.3390/medicina57121305

