Echocardiography in Autoimmune Rheumatic Diseases for Diagnosis and Prognosis of Cardiovascular Complications
Abstract
1. Introduction
2. Cardiac Involvement in Autoimmune Rheumatic Disease
2.1. Rheumatoid Arthritis (RA)
2.2. Systemic Lupus Erythematosus (SLE)
2.3. Systemic Sclerosis
2.4. Psoriasis and Psoriatic Arthritis
2.5. Ankylosing Spondylitis (AS)
3. Echocardiographic Assessment of Cardiovascular Involvement in Autoimmune Rheumatic Diseases
4. Pericardial Involvement
5. Myocardial Involvement
5.1. Rheumatoid Arthritis
5.2. Systemic Lupus Erythematosus
5.3. Systemic Sclerosis
5.4. Psoriasis
6. Valvular Heart Disease
6.1. Rheumatoid Arthritis
6.2. Systemic Lupus Erythematosus
6.3. Ankylosing Spondylitis
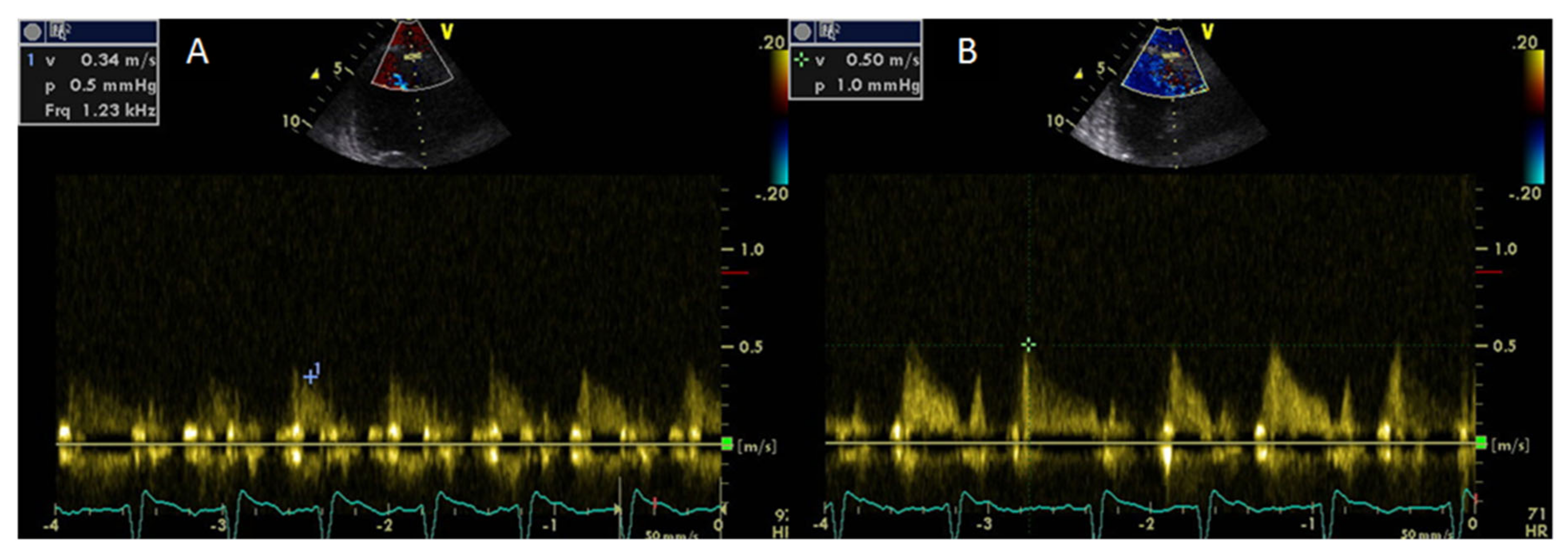
7. Coronary Artery Disease
7.1. Rheumatoid Arthritis
7.2. Systemic Lupus Erythematosus
7.3. Psoriasis
7.4. Ankylosing Spondylitis
8. Pulmonary Hypertension
9. Conclusions
Author Contributions
Funding
Conflicts of Interest
References
- Roldan:, C.A. Valvular and coronary heart disease in systemic inflammatory diseases. Heart 2008, 94, 1089–1101. [Google Scholar] [CrossRef]
- Knockaert, D.C. Cardiac involvement in systemic inflammatory diseases. Eur. Heart J. 2007, 28, 1797–1804. [Google Scholar] [CrossRef] [PubMed]
- Hollan, I.; Meroni, P.L.; Ahearn, J.M.; Cohen, T.J.W.; Curran, S.; Goodyear, C.S.; Hestad, K.A.; Kahaleh, B.; Riggio, M.; Shields, K.; et al. Cardiovascular disease in autoimmune rheumatic diseases. Autoimmun. Rev. 2013, 12, 1004–1015. [Google Scholar] [CrossRef] [PubMed]
- Agca, R.; Heslinga, S.C.; Rollefstad, S.; Heslinga, M.; McInnes, I.B.; Peters, M.J.; Kvien, T.K.; Dougados, M.; Radner, H.; Atzeni, F.; et al. EULAR recommendations for cardiovascular disease risk management in patients with rheumatoid arthritis and other forms of inflammatory joint disorders: 2015/2016 update. Ann. Rheum. Dis. 2017, 76, 17–28. [Google Scholar] [CrossRef] [PubMed]
- Voskuyl, A.E. The heart and cardiovascular manifestations in rheumatoid arthritis. Rheumatology 2006, 45 (Suppl. S4), iv4–iv7. [Google Scholar] [CrossRef] [PubMed]
- Caforio, A.L.P.; Adler, Y.; Agostini, C.; Allanore, Y.; Anastasakis, A.; Arad, M.; Böhm, M.; Charron, P.; Elliott, P.M.; Eriksson, U.; et al. Diagnosis and management of myocardial involvement in systemic immune-mediated diseases: A position statement of the European society of cardiology working group on myocardial and pericardial disease. Eur. Heart J. 2017, 38, 2649–2662. [Google Scholar] [CrossRef]
- Hurd, E.R. Extraarticular manifestations of rheumatoid arthritis. Sem. Arthritis Rheum. 1979, 8, 151–176. [Google Scholar] [CrossRef]
- Lebovitz, W.B. The heart in rheumatoid arthritis (rheumatoid disease). A clinical and pathological study of sixty-two cases. Ann. Intern. Med. 1963, 58, 102–123. [Google Scholar] [CrossRef]
- Roldan, C.A.; de Long, C.; Qualls, C.; Crawford, M.H. Characterization of valvular heart disease in rheumatoid arthritis by transesophageal echocardiography and clinical correlates. Am. J. Cardiol. 2007, 100, 496–502. [Google Scholar] [CrossRef]
- Wright, K.; Crowson, C.S.; Gabriel, S.E. Cardiovascular comorbidity in rheumatic diseases: A focus on heart failure. Heart Fail. Clin. 2014, 10, 339–352. [Google Scholar] [CrossRef]
- Chung, C.P.; Oeser, A.; Raggi, P.; Gebretsadik, T.; Shintani, A.K.; Sokka, T.; Pincus, T.; Avalos, I.; Stein, C.M. Increased coronary artery atherosclerosis in rheumatoid arthritis: Relationship to disease duration and cardiovascular risk factors. Arthritis Rheum. 2005, 52, 3045–3053. [Google Scholar] [CrossRef] [PubMed]
- Maradit-Kremers, H.; Nicola, P.J.; Crowson, C.S.; Ballman, K.V.; Gabriel, S.E. Cardiovascular death in rheumatoid arthritis: A population-based study. Arthritis Rheum. 2005, 14, 722–732. [Google Scholar] [CrossRef] [PubMed]
- Aubry, M.C.; Maradit-Kremers, H.; Reinalda, M.S.; Crowson, C.S.; Edwards, W.D.; Gabriel, S.E. Differences in atherosclerotic coronary heart disease between subjects with and without rheumatoid arthritis. J. Rheumatol. 2007, 34, 937–942. [Google Scholar] [PubMed]
- Roldan, C.A.; Shively, B.K.; Crawford, M.H. An echocardiographic study of valvular heart disease associated with systemic lupus erythematosus. N. Engl. J. Med. 1996, 335, 1424–1430. [Google Scholar] [CrossRef] [PubMed]
- Tincani, A.; Rebaioli, C.B.; Taglietti, M.; Shoenfeld, Y. Heart involvement in systemic lupus erythematosus, anti-phospholipid syndrome and neonatal lupus. Rheumatology 2006, 45 (Suppl. S4), 8–13. [Google Scholar] [CrossRef]
- Apte, M.; McGwin, G., Jr.; Vilá, L.M.; Kaslow, R.A.; Alarcón, G.S.; Reveille, J.D.; LUMINA Study Group. Associated factors and impact of myocarditis in patients with SLE from LUMINA, a multiethnic US cohort (LV). [corrected]. Rheumatology 2008, 47, 362–367. [Google Scholar]
- Roman, M.J.; Shanker, B.A.; Davis, A.; Lockshin, M.D.; Sammaritano, L.; Simantov, R.; Crow, M.K.; Schwartz, J.E.; Paget, S.A.; Devereux, R.B.; et al. Prevalence and correlates of accelerated atherosclerosis in systemic lupus erythematosus. N. Engl. J. Med. 2003, 349, 2399–2406. [Google Scholar] [CrossRef]
- Rajagopalan, S.; Somers, E.C.; Brook, R.D.; Kehrer, C.; Pfenninger, D.; Lewis, E.; Chakrabarti, A.; Richardson, B.C.; Shelden, E.; McCune, W.J.; et al. Endothelial cell apoptosis in systemic lupus erythematosus: A common pathway for abnormal vascular function and thrombosis propensity. Blood 2004, 103, 3677–3683. [Google Scholar] [CrossRef]
- Hesselstrand, R.; Scheja, A.; Akesson, A. Mortality and causes of death in a Swedish series of systemic sclerosis patients. Ann. Rheum. Dis. 1998, 57, 682–686. [Google Scholar] [CrossRef]
- Galie, N.; Humbert, M.; Vachiery, J.-L.; Gibbs, S.; Lang, I.; Torbicki, A.; Simonneau, G.; Peacock, A.; Vonk, A.; Noordegraaf, A.V.; et al. 2015 ESC/ERS guidelines for the diagnosis and treatment of pulmonary hypertension. Eur. Heart J. 2016, 37, 67–119. [Google Scholar] [CrossRef]
- Kahan, A.; Allanore, Y. Primary myocardial involvement in systemic sclerosis. Rheumatology 2006, 45 (Suppl. S4), 14–17. [Google Scholar] [CrossRef] [PubMed]
- Venalis, P.; Kumanovics, G.; Schulze-Koops, H.; Distler, A.; Dees, C.; Zerr, P.; Palumbo-Zerr, K.; Czirjak, L.; Mackevic, Z.; Lundberg, I.E.; et al. Cardiomyopathy in murine models of systemic sclerosis. Arthritis Rheumatol. 2015, 67, 508–516. [Google Scholar] [CrossRef] [PubMed]
- Carette, S.; Turcotte, J.; Mathon, G. Severe myositis and myocarditis in progressive systemic sclerosis. J. Rheumatol. 1985, 12, 997–999. [Google Scholar] [PubMed]
- Kimball, A.B.; Robinson, D., Jr.; Wu, Y., Jr.; Guzzo, C.; Yeilding, N.; Paramore, C.; Fraeman, K.; Bala, M. Cardiovascular disease and risk factors among psoriasis patients in two US healthcare databases, 2001–2002. Dermatology 2008, 217, 27–37. [Google Scholar] [CrossRef]
- Przepiera-Bedzak, H.; Brzosko, I.; Peregud-Pogorzelska, M.; Wodecki, M.; Brzosko, M. Cardiovascular manifestations of seronegative inflammatory spondyloarthropathies. Ann. Acad. Med. Stetin. 2010, 56, 62–65. [Google Scholar]
- Ikonomidis, I.; Makavos, G.; Papadavid, E.; Varoudi, M.; Andreadou, I.; Gravanis, K.; Theodoropoulos, K.; Pavlidis, G.; Triantafyllidi, H.; Parissis, J.; et al. Similarities in coronary function and myocardial deformation between psoriasis and coronary artery disease: The role of oxidative stress and inflammation. Can. J. Cardiol. 2015, 31, 287–295. [Google Scholar] [CrossRef]
- Klingberg, E.; Sveälv, B.G.; Täng, M.S.; Bech-Hanssen, O.; Forsblad-d’Elia, H.; Bergfeldt, L. Aortic regurgitation is common in ankylosing spondylitis—Time for routine echocardiography evaluation? Am. J. Med. 2015, 128, 1244–1250. [Google Scholar] [CrossRef]
- Maksimovic, R.; Seferovic, P.M.; Ristic, A.D.; Vujisić-Tesić, B.; Simeunović, D.S.; Radovanović, G.; Matucci-Cerinic, M.; Maisch, B. Cardiac imaging in rheumatic diseases. Rheumatology 2006, 45 (Suppl. S4), iv26–iv31. [Google Scholar] [CrossRef]
- Adler, Y.; Charron, P.; Imazio, M.; Badano, L.; Barón-Esquivias, G.; Bogaert, J.; Brucato, A.; Gueret, P.; Klingel, K.; Lionis, C.; et al. 2015 ESC guidelines for the diagnosis and management of pericardial diseases. Eur. Heart J. 2015, 36, 2921–2964. [Google Scholar] [CrossRef]
- Giles, J.T.; Malayeri, A.A.; Fernandes, V.; Post, W.; Blumenthal, R.S.; Bluemke, D.; Vogel-Claussen, J.; Szklo, M.; Petri, M.; Gelber, A.C.; et al. Left ventricular structure and function in patients with rheumatoid arthritis, as assessed by cardiac magnetic resonance imaging. Arthritis Rheum. 2010, 62, 940–951. [Google Scholar] [CrossRef]
- Lang, R.M.; Badano, L.P.; Mor-Avi, V.; Afilalo, J.; Armstrong, A.; Ernande, L.; Flachskampf, F.A.; Foster, E.; Goldstein, S.A.; Kuznetsova, T.; et al. Recommendations for cardiac chamber quantification by echocardiography in adults: The update from the American society of echocardiography and the European association of cardiovascular imaging. J. Am. Soc. Echocardiogr. 2015, 28, 1–39. [Google Scholar] [CrossRef] [PubMed]
- Nagueh, S.F.; Smiseth, O.A.; Appleton, C.P.; Byrd, B.F.; Dokainish, H.; Edvardsen, T.; Flachskampf, F.A.; Gillebert, T.C.; Klein, A.L.; Lancellotti, P.; et al. Recommendations for the evaluation of left ventricular diastolic function by echocardiography: An update from the american society of echocardiography and the european association of cardiovascular imaging. J. Am. Soc. Echocardiogr. 2016, 29, 277–314. [Google Scholar] [CrossRef] [PubMed]
- Montecucco, C.; Gobbi, G.; Perlini, S.; Rossi, S.; Grandi, A.M.; Caporali, R.; Finardi, G. Impaired diastolic function in active rheumatoid arthritis. Relationship with disease duration. Clin. Exp. Rheumatol. 1999, 17, 407–412. [Google Scholar] [PubMed]
- Hanvivadhanakul, P.; Buakhamsri, A. Disease activity is associated with LV dysfunction in rheumatoid arthritis patients without clinical cardiovascular disease. Adv. Rheumatol. 2019, 59, 56. [Google Scholar] [CrossRef]
- Lo Gullo, A.; Rodríguez-Carrio, J.; Gallizzi, R.; Imbalzano, E.; Squadrito, E.; Mandraffino, G. Speckle tracking echocardiography as a new diagnostic tool for an assessment of cardiovascular disease in rheumatic patients. Prog. Cardiovasc. Dis. 2020, 63, 327–340. [Google Scholar] [CrossRef] [PubMed]
- Lo Gullo, A.; Rodríguez-Carrio, J.; Aragona, C.A.; Dattilo, G.; Zito, C.; Suárez, A.; Loddo, S.; Atteritano, M.; Saitta, A.; Mandraffino, G. Subclinical impairment of myocardial and endothelial functionality in very early psoriatic and rheumatoid arthritis patients: Association with vitamin D and inflammation. Atherosclerosis 2018, 271, 214–222. [Google Scholar] [CrossRef]
- Atzeni, F.; Gianturco, L.; Boccassini, L.; Sarzi-Puttini, P.; Bonitta, G.; Turiel, M. Noninvasive imaging methods for evaluating cardiovascular involvement in patients with rheumatoid arthritis before and after anti-TNF drug treatment. Future Sci. OA 2019, 5, FSO396. [Google Scholar] [CrossRef]
- Sarzi-Puttini, P.; Atzeni, F.; Shoenfeld, Y.; Ferraccioli, G. TNF-α, rheumatoid arthritis, and heart failure: A rheumatological dilemma. Autoimmun. Rev. 2005, 4, 153–161. [Google Scholar] [CrossRef]
- Fontes, J.A.; Rose, N.R.; Cihakova, D. The varying faces of IL-6: From cardiac protection to cardiac failure. Cytokine 2015, 74, 62–68. [Google Scholar] [CrossRef]
- Ikonomidis, I.; Pavlidis, G.; Katsimbri, P.; Andreadou, I.; Triantafyllidi, H.; Tsoumani, M.; Varoudi, M.; Vlastos, D.; Makavos, G.; Kostelli, G.; et al. Differential effects of inhibition of interleukin 1 and 6 on myocardial, coronary and vascular function. Clin. Res. Cardiol. 2019, 108, 1093–1101. [Google Scholar] [CrossRef]
- Ikonomidis, I.; Tzortzis, S.; Lekakis, J.; Paraskevaidis, I.; Andreadou, I.; Nikolaou, M.; Kaplanoglou, T.; Katsimbri, P.; Skarantavos, G.; Soucacos, P.; et al. Lowering interleukin-1 activity with anakinra improves myocardial deformation in rheumatoid arthritis. Heart 2009, 95, 1502–1507. [Google Scholar] [CrossRef] [PubMed]
- Ikonomidis, I.; Tzortzis, S.; Andreadou, I.; Paraskevaidis, I.; Katseli, C.; Katsimbri, P.; Pavlidis, G.; Parissis, J.; Kremastinos, D.; Anastasiou-Nana, M.; et al. Increased benefit of interleukin-1 inhibition on vascular function, myocardial deformation, and twisting in patients with coronary artery disease and coexisting rheumatoid arthritis. Circ. Cardiovasc. Imaging 2014, 7, 619–628. [Google Scholar] [CrossRef] [PubMed]
- Ikonomidis, I.; Lekakis, J.P.; Nikolaou, M.; Paraskevaidis, I.; Andreadou, I.; Kaplanoglou, T.; Katsimbri, P.; Skarantavos, G.; Soucacos, P.; Kremastinos, D.T. Inhibition of interleukin-1 by anakinra improves vascular and left ventricular function in patients with rheumatoid arthritis. Circulation 2008, 117, 2662–2669. [Google Scholar] [CrossRef] [PubMed]
- Ikonomidis, I.; Pavlidis, G.; Katsimbri, P.; Lambadiari, V.; Parissis, J.; Andreadou, I.; Tsoumani, M.; Boumpas, D.; Kouretas, D.; Iliodromitis, E. Tocilizumab improves oxidative stress and endothelial glycocalyx: A mechanism that may explain the effects of biological treatment on COVID-19. Food Chem. Toxicol. 2020, 145, 111694. [Google Scholar] [CrossRef]
- Ntusi, N.A.; Piechnik, S.K.; Francis, J.M.; Ferreira, V.M.; Matthews, P.M.; Robson, M.D.; Wordsworth, P.B.; Neubauer, S.D.; Karamitsos, T.D. Diffuse myocardial fibrosis and inflammation in rheumatoid arthritis: Insights from cmr t1 mapping. JACC Cardiovasc. Imaging 2015, 8, 526–536. [Google Scholar] [CrossRef]
- Holmström, M.; Koivuniemi, R.; Korpi, K.; Kaasalainen, T.; Laine, M.; Kuuliala, A.; Leirisalo-Repo, M.; Kupari, M.; Kivistö, S. Cardiac magnetic resonance imaging reveals frequent myocardial involvement and dysfunction in active rheumatoid arthritis. Clin. Exp. Rheumatol. 2016, 34, 416–423. [Google Scholar]
- Furst, D.E.; Pangan, A.L.; Harrold, L.R.; Chang, H.; Reed, G.; Kremer, J.M.; Greenberg, J.F. Greater likelihood of remission in rheumatoid arthritis patients treated earlier in disease course: Results from the CORRONA registry. Arthritis Care Res. 2011, 63, 856–864. [Google Scholar] [CrossRef]
- Daïen, C.I.; Fesler, P.; Cailar, G.; Daïen, V.; Mura, T.; Dupuy, A.-M.; Cristol, J.-P.; Ribstein, L.; Combe, B.; Morel, J. Etanercept normalises left ventricular mass in patients with rheumatoid arthritis. Ann. Rheum. Dis. 2013, 72, 881–887. [Google Scholar] [CrossRef]
- Buss, S.J.; Wolf, D.; Korosoglou, G.; Max, R.; Weiss, C.S.; Fischer, C.; Schellberg, D.; Zugck, C.; Kuecherer, H.F.; Lorenz, H.-M.; et al. Myocardial left ventricular dysfunction in patients with systemic lupus erythematosus: New insights from tissue Doppler and strain imaging. J. Rheumatol. 2010, 37, 79–86. [Google Scholar] [CrossRef]
- Poorzand, H.; Mirfeizi, S.Z.; Javanbakht, A.; Alimi, H. Comparison of echocardiographic variables between systemic lupus erythematosus patients and a control group. Arch. Cardiovasc. Imaging 2015, 3, e30009. [Google Scholar] [CrossRef]
- Leal, G.N.; Silva, K.F.; Franca, C.M.; Lianza, A.C.; Andrade, J.L.; Campos, L.M.A.; Bonfá, E.; Silva, C.A. Subclinical right ventricle systolic dysfunction in childhood-onset systemic lupus erythematosus: Insights from two-dimensional speckle-tracking echocardiography. Lupus 2015, 24, 613–620. [Google Scholar] [CrossRef] [PubMed]
- Puntmann, V.O.; D’Cruz, D.; Smith, Z.; Pastor, A.; Choong, P.; Voigt, T.; Carr-White, G.; Sangle, S.; Schaeffter, T.; Nagel, E. Native myocardial t1 mapping by cardiovascular magnetic resonance imaging in subclinical cardiomyopathy in patients with systemic lupus erythematosus. Circ. Cardiovasc. Imaging 2013, 6, 295–301. [Google Scholar] [CrossRef] [PubMed]
- Hachulla, A.-L.; Launay, D.; Gaxotte, V.; de Groote, P.; Lamblin, N.; Devos, P.; Hatron, P.-Y.; Beregi, J.-P.; Hachulla, E. Cardiac magnetic resonance imaging in systemic sclerosis: A cross-sectional observational study of 52 patients. Ann. Rheum. Dis. 2009, 68, 1878–1884. [Google Scholar] [CrossRef] [PubMed]
- Allanore, Y.; Meune, C.; Vonk, M.C.; Airo, P.; Hachulla, E.; Caramaschi, P.; Riemekasten, G.; Cozzi, F.; Beretta, L.; Derk, C.T.; et al. Prevalence and factors associated with left ventricular dysfunction in the EULAR Scleroderma Trial and Research group (EUSTAR) database of patients with systemic sclerosis. Ann. Rheum. Dis. 2010, 69, 218–222. [Google Scholar] [CrossRef]
- de Groote, P.; Gressin, V.; Hachulla, E.; Carpentier, P.; Guillevin, L.; Kahan, A.; Cabane, J.; Francès, C.; Lamblin, N.; Diot, E.; et al. Evaluation of cardiac abnormalities by Doppler echocardiography in a large nationwide multicentric cohort of patients with systemic sclerosis. Ann. Rheum. Dis. 2008, 67, 31–36. [Google Scholar] [CrossRef]
- Meune, C.; Avouac, J.; Wahbi, K.; Cabanes, L.; Wipff, J.; Mouthon, L.; Guillevin, L.; Kahan, A.; Allanore, Y. Cardiac involvement in systemic sclerosis assessed by tissue-Doppler echocardiography during routine care: A controlled study of 100 consecutive patients. Arthritis Rheum. 2008, 58, 1803–1809. [Google Scholar] [CrossRef]
- Yiu, K.H.; Schouffoer, A.A.; Marsan, N.A.; Ninaber, M.K.; Stolk, J.; Vlieland, T.V.; Scherptong, R.W.; Delgado, V.; Holman, E.R.; Tse, H.F.; et al. Left ventricular dysfunction assessed by speckle-tracking strain analysis in patients with systemic sclerosis: Relationship to functional capacity and ventricular arrhythmias. Arthritis Rheum. 2011, 63, 3969–3978. [Google Scholar] [CrossRef]
- Mukherjee, M.; Chung, S.E.; Ton, V.K.; Tedford, R.J.; Hummers, L.K.; Wigley, F.M.; Abraham, T.P.; Shah, A.A. Unique abnormalities in right ventricular longitudinal strain in systemic sclerosis patients. Circ. Cardiovasc. Imaging 2016, 9, e003792. [Google Scholar] [CrossRef]
- Ntusi, N.A.; Piechnik, S.K.; Francis, J.M.; Ferreira, V.M.; Rai, A.B.; Matthews, P.M.; Robson, M.D.; Moon, J.; Wordsworth, P.B.; Neubauer, S.; et al. Subclinical myocardial inflammation and diffuse fibrosis are common in systemic sclerosis—A clinical study using myocardial T1-mapping and extracellular volume quantification. J. Cardiovasc. Magn. Reson. 2014, 4, 16–21. [Google Scholar] [CrossRef]
- Piccione, M.C.; Zito, C.; Bagnato, G.; Oreto, G.; di Bella, G.; Bagnato, G.; Carerj, S. Role of 2D strain in the early identification of left ventricular dysfunction and in the risk stratification of systemic sclerosis patients. Cardiovasc. Ultrasound 2013, 11, 6. [Google Scholar] [CrossRef]
- Ikonomidis, I.; Papadavid, E.; Makavos, G.; Andreadou, I.; Varoudi, M.; Gravanis, K.; Theodoropoulos, K.; Pavlidis, G.; Triantafyllidi, H.; Moutsatsou, P.; et al. Lowering interleukin-12 activity improves myocardial and vascular function compared with tumor necrosis factor-a antagonism or cyclosporine in psoriasis. Circ. Cardiovasc. Imaging 2017, 10, e006283. [Google Scholar] [CrossRef] [PubMed]
- Makavos, G.; Ikonomidis, I.; Andreadou, I.; Varoudi, M.; Kapniari, I.; Loukeri, E.; Theodoropoulos, K.; Pavlidis, G.; Triantafyllidi, H.; Thymis, J.; et al. Effects of interleukin 17a inhibition on myocardial deformation and vascular function in psoriasis. Can. J. Cardiol. 2020, 36, 100–111. [Google Scholar] [CrossRef] [PubMed]
- Zoghbi, W.A.; Adams, D.; Bonow, R.O.; Enriquez-Sarano, M.; Foster, E.; Grayburn, P.A.; Hahn, R.T.; Han, Y.; Hung, J.; Lang, R.M.; et al. Recommendations for noninvasive evaluation of native valvular regurgitation: A report from the american society of echocardiography developed in collaboration with the society for cardiovascular magnetic resonance. J. Am. Soc. Echocardiogr. 2017, 30, 303–371. [Google Scholar] [CrossRef] [PubMed]
- Turiel, M.; Sarzi-Puttini, P.; Peretti, R.; Bonizzato, S.; Muzzupappa, S.; Atzeni, F.; Rossi, E.; Doria, A. Five-year follow-up by transesophageal echocardiographic studies in primary antiphospholipid syndrome. Am. J. Cardiol. 2005, 96, 574–579. [Google Scholar] [CrossRef]
- Atzeni, F.; Corda, M.; Gianturco, L.; Porcu, M.; Sarzi-Puttini, P.; Turiel, M. Cardiovascular imaging techniques in systemic rheumatic diseases. Front. Med. 2018, 5, 26. [Google Scholar] [CrossRef] [PubMed]
- Palazzi, C.; Salvarani, C.; D’Angelo, S.; Olivieri, I. Aortitis and periaortitis in ankylosing spondylitis. Jt. Bone Spine 2011, 78, 451–455. [Google Scholar] [CrossRef]
- Tucker, C.R.; Fowles, R.E.; Calin, A.; Popp, R.L. Aortitis in ankylosing spondylitis: Early detection of aortic root abnormalities with two dimensional echocardiography. Am. J. Cardiol. 1982, 49, 680–686. [Google Scholar] [CrossRef]
- Abou-Raya, A.; Abou-Raya, S. Inflammation: A pivotal link between autoimmune diseases and atherosclerosis. Autoimmun. Rev. 2006, 5, 331–337. [Google Scholar] [CrossRef]
- Martín-Martínez, Μ.A.; González-Juanatey, C.; Castañeda, S.; Llorca, J.; Ferraz-Amaro, I.; Fernández-Gutiérrez, B.; Díaz-González, F.; González-Gay, M.A. Recommendations for the management of cardiovascular risk in patients with rheumatoid arthritis: Scientific evidence and expert opinion. Semin. Arthritis Rheum. 2014, 44, 1–8. [Google Scholar] [CrossRef]
- Ikonomidis, I.; Makavos, G.; Katsimbri, P.; Boumpas, D.T.; Parissis, J.; Iliodromitis, E. Imaging risk in multisystem inflammatory diseases. JACC Cardiovasc. Imaging 2019, 12, 2517–2537. [Google Scholar] [CrossRef]
- Kerekes, G.; Soltész, P.; Nurmohamed, M.T.; Gonzalez-Gay, M.A.; Turiel, M.; Végh, E.; Shoenfeld, Y.; McInnes, I.; Szekanecz, Z. Validated methods for assessment of subclinical atherosclerosis in rheumatology. Nat. Rev. Rheumatol. 2012, 8, 224–234. [Google Scholar] [CrossRef]
- Szekanecz, Z.; Kerekes, G.; Végh, E.; Kardos, Z.; Baráth, Z.; Tamási, L.; Shoenfeld, Y. Autoimmune atherosclerosis in 3D: How it develops, how to diagnose and what to do. Autoimmun. Rev. 2016, 15, 756–769. [Google Scholar] [CrossRef] [PubMed]
- Corrales, A.; González-Juanatey, C.; Peiró, M.E.; Blanco, R.; Llorca, J.; González-Gay, M.A. Carotid ultrasound is useful for the cardiovascular risk stratification of patients with rheumatoid arthritis: Results of a population-based study. Ann. Rheum. Dis. 2014, 73, 722–727. [Google Scholar] [CrossRef] [PubMed]
- Montalescot, G.; Sechtem, U.; Achenbach, S.; Andreotti, F.; Arden, C.; Budaj, A.; Bugiardini, R.; Crea, F.; Cuisset, T.; di Mario, C.; et al. 2013 ESC guidelines on the management of stable coronary artery disease. Eur. Heart J. 2013, 34, 2949–3003. [Google Scholar] [PubMed]
- Saghir, M.K.; Attenhofer, J.C.; Warrington, K.J.; Cha, S.S.; Pellikka, P.A. Exercise echocardiography in rheumatoid arthritis: A case-control study. J. Am. Soc. Echocardiogr. 2009, 22, 1228–1231. [Google Scholar] [CrossRef]
- Toutouzas, K.; Sfikakis, P.P.; Karanasos, A.; Aggeli, C.; Felekos, I.; Kitas, G.; Zampeli, E.; Protogerou, A.; Stefanadis, C. Myocardial ischaemia without obstructive coronary artery disease in rheumatoid arthritis: Hypothesis-generating insights from across-sectional study. Rheumatology 2013, 52, 76–80. [Google Scholar] [CrossRef] [PubMed]
- Meimoun, P.; Tribouilloy, C. Non-invasive assessment of coronary flow and coronary flow reserve by transthoracic Doppler echocardiography: A magic tool for the real world. Eur. J. Echocardiogr. 2008, 9, 449–457. [Google Scholar] [CrossRef]
- Jespersen, L.; Hvelplund, A.; Abildstrøm, S.Z.; Pedersen, F.; Galatius, S.; Madsen, J.K.; Jørgensen, E.; Kelbæk, H.; Prescott, E. Stable angina pectoris with no obstructive coronary artery disease is associated with increased risks of major adverse cardiovascular events. Eur. Heart J. 2012, 33, 734–744. [Google Scholar] [CrossRef]
- Hozumi, T.; Yoshida, K.; Akasaka, T.; Asami, Y.; Ogata, Y.; Takagi, T.; Kaji, S.; Kawamoto, T.; Ueda, U.; Morioka, S. Noninvasive assessment of coronary flow velocity and coronary flow velocity reserve in the left anterior descending coronary artery by Doppler echocardiography: Comparison with invasive technique. J. Am. Coll. Cardiol. 1998, 32, 1251–1259. [Google Scholar] [CrossRef]
- Erre, G.L.; Buscetta, G.; Paliogiannis, P.; Mangoni, A.A.; Carru, C.; Passiu, G.; Zinellu, A. Coronary flow reserve in systemic rheumatic diseases: A systematic review and meta-analysis. Rheumatol. Int. 2018, 38, 1179–1190. [Google Scholar] [CrossRef]
- Turiel, M.; Atzeni, F.; Tomasoni, L.; de Portu, S.; Delfino, L.; Bodini, B.D. Noninvasive assessment of coronary flow reserve and ADMA levels: A case-control study of early rheumatoid arthritis patients. Rheumatology 2009, 48, 834–839. [Google Scholar] [CrossRef] [PubMed]
- O’Neill, S.G.; Pego-Reigosa, J.M.; Hingorani, A.D.; Bessant, R.; Isenberg, D.A.; Rahman, A. Use of a strategy based on calculated risk scores in managing cardiovascular risk factors in a large British cohort of patients with systemic lupus erythematosus. Rheumatology 2009, 48, 573–575. [Google Scholar] [CrossRef] [PubMed]
- Bessant, R.; Duncan, R.; Ambler, G.; Swanton, J.; Isenberg, D.A.; Gordon, C.; Rahman, A. Prevalence of conventional and lupus-specific risk factors for cardiovascular disease in patients with systemic lupus erythematosus: A case control study. Arthritis Rheum. 2006, 55, 892–899. [Google Scholar] [CrossRef] [PubMed]
- Manzi, S.; Selzer, F.; Sutton-Tyrrell, K.; Fitzgerald, S.G.; Rairie, J.E.; Tracy, R.P.; Kuller, L.H. Prevalence and risk factors of carotid plaque in women with systemic lupus erythematosus. Arthritis Rheum. 1999, 42, 51–60. [Google Scholar] [CrossRef]
- Hirata, K.; Kadirvelu, A.; Kinjo, M.; Sciacca, R.; Sugioka, K.; Otsuka, R.; Choy, A.M.; Chow, S.K.; Yoshiyama, M.; Yoshikawa, J.; et al. Altered coronary vasomotor function in young patients with systemic lupus erythematosus. Arthritis Rheum. 2007, 56, 1904–1909. [Google Scholar] [CrossRef]
- Han, C.; Robinson, D.W., Jr.; Hackett, M.V.; Paramore, L.C.; Fraeman, K.H.; Bala, M.V. Cardiovascular disease and risk factors in patients with rheumatoid arthritis, psoriatic arthritis, and ankylosing spondylitis. J. Rheumatol. 2006, 33, 2167–2172. [Google Scholar]
- Szabo, S.M.; Levy, A.R.; Rao, S.R.; Kirbach, S.E.; Lacaille, D.; Cifaldi, M.; Maksymowych, W.P. Increased risk of cardiovascular and cerebrovascular diseases in individuals with ankylosing spondylitis: A population-based study. Arthritis Rheum. 2011, 63, 3294–3304. [Google Scholar] [CrossRef]
- Ungprasert, P.; Srivali, N.; Kittanamongkolchai, W. Risk of coronary artery disease in patients with ankylosing spondylitis: A systematic review and meta-analysis. Ann. Transl. Med. 2015, 3, 51. [Google Scholar]
- Ait-Oufella, H.; Sage, A.P.; Mallat, Z.; Tedgui, A. Adaptive (T and B cells) immunity and control by dendritic cells in atherosclerosis. Circ. Res. 2014, 114, 1640–1660. [Google Scholar] [CrossRef]
- Mathieu, S.; Gossec, L.; Dougados, M.; Soubrier, M. Cardiovascular profile in ankylosing spondylitis: A systematic review and meta-analysis. Arthritis Care Res. 2011, 63, 557–563. [Google Scholar] [CrossRef]
- McGettigan, P.; Henry, D. Cardiovascular risk and inhibition of cyclooxygenase: A systematic review of the observational studies of selective and nonselective inhibitors of cyclooxygenase 2. JAMA 2006, 296, 1633–1644. [Google Scholar] [CrossRef] [PubMed]
- Kusunose, K.; Yamada, H.; Hotchi, J.; Bando, M.; Nishio, S.; Hirata, Y.; Ise, T.; Yamaguchi, K.; Yagi, S.; Soeki, T.; et al. Prediction of future overt pulmonary hypertension by 6-min walk stress echocardiography in patients with connective tissue disease. J. Am. Coll. Cardiol. 2015, 66, 376–384. [Google Scholar] [CrossRef] [PubMed]
- Cadeddu, C.; Deidda, M.; Giau, G.; Lilliu, M.; Cadeddu, F.; Binaghi, G.; Mura, M.N.; Farci, M.; del Giacco, S.; Manconi, P.E.; et al. Contractile reserve in systemic sclerosis patients as a major predictor of global cardiac impairment and exercise tolerance. Int. J. Cardiovasc. Imaging 2015, 31, 529–536. [Google Scholar] [CrossRef] [PubMed]
- Shimada, Y.J.; Shiota, M.; Siegel, R.J.; Shiota, T. Accuracy of right ventricular volumes and function determined by three-dimensional echocardiography in comparison with magnetic resonance imaging: A meta-analysis study. J. Am. Soc. Echocardiogr. 2010, 23, 943–953. [Google Scholar] [CrossRef] [PubMed]


| Cardiovascular Manifestations | Abnormalities Consistent with Cardiovascular Involvement | Echocardiographic Parameters for Diagnosis and Assessment of Severity |
|---|---|---|
| Pericarditis | Pericardial effusion | Loculated or circumferential. Mild >10 mm, moderate 10–20 mm, large >20 mm |
| Tamponade | Early RV diastolic collapse, late RA diastolic collapse, swinging heart, respiratory variation in ventricular chamber size, dilated inferior vena cava. Exaggerated respiratory changes of >25% in mitral inflow and aortic outflow velocity. Respiratory variation of the mitral peak E velocity of >25% | |
| Constrictive pericarditis | Septal bounce, pericardial thickening. Preserved Tissue Doppler e’ velocity >8.0 cm/s | |
| Myocarditis, ischemic cardiomyopathy | Impaired LV systolic function | Wall motion abnormalities, impaired LVEF |
| LV diastolic dysfunction | LA volume index >34 mL/m2. In patients with normal EF >50%, ratio E/e’ >14, Tissue Doppler e’ velocity of the interventricular septum >7 cm/s or Tissue Doppler e’ velocity of the lateral wall >10 cm/s, TRVmax >2.8 m/s | |
| Impaired RV systolic function | TAPSE >17 mm, FAC >35%, Impaired RVEF (3D echo). S’RV >9.5 cm/s | |
| Valvular heart disease | Valvular abnormalities | Valve thickening, prolapse of mitral leaflets, valvular nodules in RA, Libman–Sacks vegetations in SLE, Libman–Sacks like vegetations in RA. Moderate or severe valvular regurgitation, rarely stenosis |
| Pulmonary hypertension | Dilation of right chambers, ventricular interdependence | RV/LV >1 diameter ratio, flattened interventricular septum, dilated pulmonary artery diameter >25 mm, right atrial area >18 cm2, dilated inferior vena cava >21 mm with reduced inspiratory collapse. TRVmax >2.8 m/s and presence of secondary signs suggestive of PH: RV outflow velocity acceleration time >105 m/s, early diastolic pulmonary regurgitation velocity >2.2 m/s |
| Aortitis | Thickening of aortic walls | |
| Subclinical LV dysfunction Subclinical RV dysfunction | Impaired GLS | GLS >−20% |
| Impaired RV longitudinal strain | RV free wall Longitudinal Strain >−20% | |
| Obstructive epicardial CAD and/or coronary microcirculation dysfunction | New wall motion abnormalities during stress echo | |
| Impaired coronary flow reserve | Coronary Flow Reserve >2 |
© 2020 by the authors. Licensee MDPI, Basel, Switzerland. This article is an open access article distributed under the terms and conditions of the Creative Commons Attribution (CC BY) license (http://creativecommons.org/licenses/by/4.0/).
Share and Cite
Makavos, G.; Varoudi, M.; Papangelopoulou, K.; Kapniari, E.; Plotas, P.; Ikonomidis, I.; Papadavid, E. Echocardiography in Autoimmune Rheumatic Diseases for Diagnosis and Prognosis of Cardiovascular Complications. Medicina 2020, 56, 445. https://doi.org/10.3390/medicina56090445
Makavos G, Varoudi M, Papangelopoulou K, Kapniari E, Plotas P, Ikonomidis I, Papadavid E. Echocardiography in Autoimmune Rheumatic Diseases for Diagnosis and Prognosis of Cardiovascular Complications. Medicina. 2020; 56(9):445. https://doi.org/10.3390/medicina56090445
Chicago/Turabian StyleMakavos, George, Maria Varoudi, Konstantina Papangelopoulou, Eirini Kapniari, Panagiotis Plotas, Ignatios Ikonomidis, and Evangelia Papadavid. 2020. "Echocardiography in Autoimmune Rheumatic Diseases for Diagnosis and Prognosis of Cardiovascular Complications" Medicina 56, no. 9: 445. https://doi.org/10.3390/medicina56090445
APA StyleMakavos, G., Varoudi, M., Papangelopoulou, K., Kapniari, E., Plotas, P., Ikonomidis, I., & Papadavid, E. (2020). Echocardiography in Autoimmune Rheumatic Diseases for Diagnosis and Prognosis of Cardiovascular Complications. Medicina, 56(9), 445. https://doi.org/10.3390/medicina56090445

