Sialolithiasis—Do Early Diagnosis and Removal Minimize Post-Operative Morbidity?
Abstract
1. Introduction
2. Materials and Methods
2.1. Inclusion Criteria
2.2. Exclusion Criteria
2.3. Data Collection
- (a)
- Data was collected using a structured questionnaire from the patient’s files for all patients who fulfilled the inclusion criteria in a consecutive manner:Demographic features: gender; age; medical history; medications; allergies.
- (b)
- Primary complaint
- (c)
- Symptoms: mealtime related swelling; purulent secretion; salty tasting saliva; number of episodes; previous antibiotic treatment prescribed.
- (d)
- Physical examination: swelling; sensitivity; pain; purulence; palpability.
- (e)
- Imaging modality used
- (f)
- Sialolith characteristics (according to CT)
- (g)
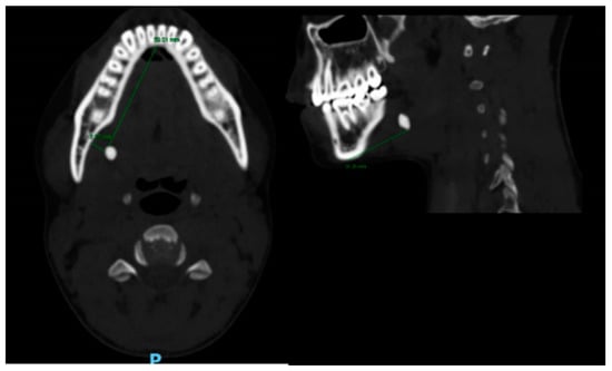
- Size (Figure 1): length; width; height; volume (calculated by: length X width X height, we used the formula for a volume of a box as an approximation for the volume of the irregularly shaped sialoliths).
- (h)
- (i)
- Operation: duration; outcome; hospitalization days; need for second attempt surgery.
2.4. Statistical Analysis
3. Results
3.1. Demographic Features
3.2. Primary Complaint
3.3. Physical Examination
3.4. Imaging Modality Used
3.5. Gland Involved
3.6. Sialolith Characteristics (according to CT)
3.7. Operation
3.8. Success or Failure in Sialolith Removal
3.9. Morbidity Expressed by Hospitalization Days
4. Discussion
4.1. Demographic Features
4.2. Primary Complaint and Symptoms
4.3. Imaging Modality
4.4. Gland Involved and Sialolith Characteristics
4.5. Treatment Approach and Hospitalization
5. Conclusions
Author Contributions
Funding
Conflicts of Interest
References
- Harrill, J.A.; King, J.S.; Boyce, W.H. Structure and composition of salivary calculi. Laryngoscope 1959, 59, 481–492. [Google Scholar] [CrossRef] [PubMed]
- Escudier, M.P.; McGurk, M. Symptomatic sialadenitis and sialolithiasis in the English population, an estimate of the cost of hospital treatment. Br. Dent. J. 1999, 186, 463–466. [Google Scholar] [CrossRef] [PubMed]
- Lustmann, J.; Regev, E.; Melamed, Y. Sialolithiasis: A survey on 245 patients and a review of the literature. Int. J. Oral. Maxillofac. Surg. 1990, 19, 135–138. [Google Scholar] [CrossRef]
- Gupta, A.; Rattan, D.; Gupta, R. Giant sialoliths of submandibular duct: Report of two cases with unusual shape. Contemp. Clin. Dent. 2013, 4, 78–80. [Google Scholar] [CrossRef]
- Marchal, F.; Kurt, A.M.; Dulguerov, P.; Lehmann, W. Retrograde theory in sialolithiasis formation. Arch. Otolaryngol. Head Neck Surg. 2001, 127, 66–68. [Google Scholar] [CrossRef]
- Teymoortash, A.; Buck, P.; Jepsen, H.; Werner, J.A. Sialolith crystals localized intraglandularly and in the Wharton’s duct of the human submandibular gland: An Xray diffraction analysis. Arch. Oral. Biol. 2003, 48, 233–236. [Google Scholar] [CrossRef]
- Siddiqui, S. Sialolithiasis: An unusually large submandibular salivary stone. Br. Dent. J. 2003, 193, 89–91. [Google Scholar] [CrossRef]
- Williams, M. Salivary gland disease: Sialolithiasis. Otolaryngol. Clinic. 1999, 32, 819–834. [Google Scholar]
- McGurk, M.; Escudier, M.; Brown, J. Modern management of salivary calculi. Br. J. Surg. 2005, 92, 107–112. [Google Scholar] [CrossRef] [PubMed]
- Zenk, J.; Constantinidis, J.; AlKadah, B.; Iro, H. Transoral removal of submandibular stones. Arch. Otolaryngol. Head Neck Surg. 2011, 27, 432–436. [Google Scholar] [CrossRef] [PubMed]
- Kraaij, S.; Karagozoglu, H.; Forouzanfar, T. Salivary stones: Symptoms, aetiology, biochemical composition and treatment. Brit. Dent. J. 2014, 217, E23. [Google Scholar] [CrossRef] [PubMed]
- Duong, L.; Kakiche, T.; Ferré, F. Management of anterior submandibular sialolithiasis. J. Oral. Med. Oral. Surg. 2019, 25, 16. [Google Scholar] [CrossRef][Green Version]
- Rauch, S.; Gorlin, R. Diseases of the Salivary Glands. Thoma’s Oral Pathology, 6th ed.; Mosby: Missouri, MS, USA, 1970; pp. 997–1003. [Google Scholar]
- Ugga, L.; Ravanell, M. Diagnostic work-up in obstructive and inflammatory salivary gland disorders. Acta Otorhinology. 2017, 37, 83–93. [Google Scholar]
- Nahlieli, O.; Iro, H.; McGurk, M.; Zenk, J. Modern Management Preserving Salivary Gland; Isradon Publishing: Herzeliya, Isreal, 2007; pp. 35–39. [Google Scholar]
- Foletti, J.M.; Graillon, N.; Avignon, S.; Guyot, L.; Chossegros, C. Salivary calculi removal by minimally invasive techniques: A decision tree based on the diameter of the calculi and their position in the excretory duct. J. Oral. Maxillofac. Surg. 2018, 76, 112–118. [Google Scholar] [CrossRef] [PubMed]
- Stimec, B.; Nikolic, S.; Rakocevic, Z.; Bulajic, M. Symmetry of the submandibular glands in humans: A postmortem study assessing the linear morphometric parameters. Oral Surg. Oral Med. Oral Pathol. Oral Radiol. Endodontology 2006, 102, 391–394. [Google Scholar] [CrossRef]
- Deburgh, E.; McGurk, M. Salivary calculi and obstructive sialoadenitis. In Color Atlas and Textbook of the Salivary Glands: Diseases, Disorders and Surgery; Mosby-Wolfe: London, UK, 1995; p. 250. [Google Scholar]
- Zenk, J.; Koch, M.; Klintworth, N. Sialoendoscopy in the diagnosis and treatment of sialolithiasis: A study on more than 1000 patients. Otolaryngol. Head Neck Surg. 2012, 147, 858–863. [Google Scholar] [CrossRef] [PubMed]
- Shigeishi, H.; Ohta, K.; Takechi, M. Risk factors for postoperative complications following oral surgery. J. Appl. Oral. Sci. 2015, 23, 419–423. [Google Scholar] [CrossRef]
- Liu, S.; Wong, Y.; Poon, C.; Wang, C.; Wang, C.; Tung, K. Risk factors for wound infection after surgery in primary oral cavity cancer patients. Laryngoscope 2007, 117, 166–171. [Google Scholar] [CrossRef] [PubMed]
- Kamizono, K.; Sakuraba, M.; Nagamatsu, S.; Miyamoto, S.; Hayashi, R. Statistical analysis of surgical site infection after head and neck reconstructive surgery. Ann. Surg. Oncol. 2014, 21, 1700–1705. [Google Scholar] [CrossRef] [PubMed]
- Isola, G.; Alibrandi, A.; Rapisarda, E.; Matarese, G.; Williams, R.C.; Leonardi, R. Association of Vitamin d in patients with periodontitis: A cross-sectional study. J. Periodontal Res. 2020, 1–11. [Google Scholar] [CrossRef]
- Isola, G.; Polizzi, A.; Iorio-Siciliano, V.; Alibrandi, A.; Ramaglia, L.; Leonardi, R. Effectiveness of a nutraceutical agent in the non-surgical periodontal therapy: A randomized, controlled clinical trial. Clin. Oral. Investig. 2020. [Google Scholar] [CrossRef] [PubMed]
- Iro, H.; Zenk, J.; Escudier, M. Outcome of minimally invasive management of salivary calculi in 4,691 patients. Laryngoscope 2009, 119, 63–268. [Google Scholar] [CrossRef] [PubMed]



| Parameter | Value |
|---|---|
| Demographics | |
| Male: female (ratio) | 59:41 |
| Age (mean (years), SD) | 50 ± 17.5 |
| Age range (years) | 19–85 |
| ASA I, II, III (%) | 62, 33, 5 |
| Drug allergies (%) | 17 |
| Main complain | |
| Mealtime related swelling (%) | 30 |
| Purulent saliva (%) | 9 |
| Pain (%) | 12 |
| Salty tasting saliva (%) | 2 |
| Number of swelling episodes in the past (%); | |
| Never | 25 |
| Once | 23 |
| Twice | 23 |
| Three or more | 29 |
| Antibiotic treatment needed (%) | 17 |
| Clinical examination | |
| Swelling (%) | 49 |
| Sensitivity in palpation (%) | 22 |
| Pain in palpation (%) | 10 |
| Gland secretion; | |
| Normal saliva (%) | 50 |
| Plaque (%) | 2 |
| Muddy (%) | 5 |
| Pus (%) | 7 |
| No secretion (%) | 36 |
| Palpation (%) | 65 |
| Gland involved | |
| Submandibular gland (%) | 94 |
| Parotid gland (%) | 6 |
| Right: Left (%) | 48:52 |
| Radiographic modality | |
| Ultrasound (%) | 48 |
| Panoramic X-ray (%) | 7 |
| Occlusal X-ray (%) | 1 |
| Computed tomography (%) | 87 |
| Sialography (%) | 6 |
| CT sialography (%) | 9 |
| Diagnostic endoscopy (%) | 13 |
| Parameter | Value |
| Sialolith characteristics (According to CT) | |
| Size(mm); | |
| Anterior-posterior (mean, SD) | 6.6 ± 4.2 |
| Superior-inferior (mean, SD) | 7.4 ± 4.6 |
| Lateral-lateral (mean, SD) | 5.2 ± 2.8 |
| Sialolith location (%); | |
| Gland | 12 |
| Hillus | 44 |
| Ductal | 27 |
| Papilla | 17 |
| Submandibular sialolith distance from fixed structures; (mean (mm), SD) | |
| Lingual border of the mandible | 7.9 ± 3.7 |
| Inferior border of the mandible | 31 ± 7.5 |
| Anterior border of the mandible | 39 ± 18.2 |
| Parotid sialolith distance from fixed structures; (mean (mm), SD) | |
| CEJ of the second maxillary molar | 41.8 ± 6.9 |
| External acoustic meatus | 39.6 ± 6.8 |
| Operation | |
| Duration of the operation (mean (sec), SD) | 50 ± 15.6 |
| Final results; | |
| Success VS. Failure (%) | 87.4:12.6 |
| Post operation | |
| Hospitalization (mean (days), SD) | 2.57 ± 0.82 |
| Complications (%) | 5.5 |
| Follow-up | |
| Duration; (mean (days), SD) | 27.2, 19.6 |
| Need for second attempt (%) | 11 |
| (a) | |||||||||
|---|---|---|---|---|---|---|---|---|---|
| Unstandardized Coefficients | Standardized Coefficients | t | Significance | 95.0% Confidence Interval for B | Collinearity Statistics | ||||
| B | Standard Error | Beta | Lower Bound | Upper Bound | Tolerance | VIF | |||
| Age (years) | −0.003 | 0.016 | −0.064 | −0.197 | 0.847 | −0.039 | 0.033 | 0.166 | 6.039 |
| Gender (female) | −0.703 | 0.352 | −0.476 | −1.998 | 0.074 | −1.486 | 0.081 | 0.309 | 3.24 |
| Medications | 0.109 | 0.308 | 0.083 | 0.353 | 0.731 | −0.577 | 0.794 | 0.318 | 3.144 |
| Past Symptoms (pain, salty saliva, plaques in saliva) | −0.162 | 0.403 | −0.129 | −0.401 | 0.697 | −1.06 | 0.736 | 0.17 | 5.873 |
| Number of past Swellings | 0.001 | 0.209 | 0.001 | 0.003 | 0.998 | −0.466 | 0.467 | 0.127 | 7.871 |
| Past antibiotic treatment | 1.234 | 0.658 | 0.502 | 1.875 | 0.09 | −0.232 | 2.7 | 0.244 | 4.104 |
| Gland swelling on admission | 0.715 | 0.369 | 0.475 | 1.938 | 0.081 | −0.107 | 1.536 | 0.291 | 3.434 |
| Glan tender on palpation | 0.03 | 0.669 | 0.017 | 0.045 | 0.965 | −1.46 | 1.52 | 0.119 | 8.421 |
| Saliva expression (0 = no saliva, 1 = clear, 2 = plaques, 3 = opaque, 4 = pus) | 0.178 | 0.221 | 0.307 | 0.807 | 0.438 | −0.314 | 0.671 | 0.121 | 8.277 |
| Palpability of stone | 0.712 | 0.681 | 0.427 | 1.045 | 0.32 | −0.805 | 2.229 | 0.105 | 9.548 |
| Side (left) | −0.696 | 0.486 | −0.463 | −1.433 | 0.182 | −1.778 | 0.386 | 0.168 | 5.96 |
| Type of imaging | 0.136 | 0.387 | 0.092 | 0.352 | 0.732 | −0.726 | 0.999 | 0.255 | 3.928 |
| Number of imaging modalities | −0.048 | 0.263 | −0.046 | −0.183 | 0.859 | −0.634 | 0.538 | 0.28 | 3.573 |
| Sialolith volume | 0 | 0 | −0.103 | −0.379 | 0.713 | −0.001 | 0.001 | 0.235 | 4.254 |
| Sialolith Location (1 = corpus of gland, 2 = hilum, 3 = central duct, 4 = papilla) | −0.067 | 0.19 | −0.069 | −0.352 | 0.732 | −0.49 | 0.356 | 0.453 | 2.207 |
| Surgery duration (minutes) | −0.013 | 0.015 | −0.27 | −0.888 | 0.395 | −0.047 | 0.02 | 0.189 | 5.283 |
| Success in stone removal | 0.093 | 0.452 | 0.043 | 0.206 | 0.841 | −0.914 | 1.1 | 0.403 | 2.484 |
| (b) | |||||||||
| Unstandardized Coefficients | Standardized Coefficients | t | Significance | 95.0% Confidence Interval for B | Collinearity Statistics | ||||
| B | Standard Error | Beta | Lower Bound | Upper Bound | Tolerance | VIF | |||
| Surgery duration (minutes) | 0.017 | 0.007 | 0.342 | 2.501 | 0.019 | 0.003 | 0.032 | 0.843 | 1.186 |
| Sialolith volume | 0 | 0 | −0.373 | −2.763 | 0.01 | −0.001 | 0 | 0.866 | 1.155 |
| Past antibiotic treatment | 1.01 | 0.369 | 0.401 | 2.735 | 0.011 | 0.251 | 1.769 | 0.732 | 1.366 |
| Side (left) | −0.61 | 0.229 | −0.403 | −2.671 | 0.013 | −1.08 | −0.141 | 0.693 | 1.442 |
| Age (years) | −0.015 | 0.007 | −0.293 | −2.194 | 0.037 | −0.029 | −0.001 | 0.886 | 1.129 |
© 2020 by the authors. Licensee MDPI, Basel, Switzerland. This article is an open access article distributed under the terms and conditions of the Creative Commons Attribution (CC BY) license (http://creativecommons.org/licenses/by/4.0/).
Share and Cite
Avishai, G.; Ben-Zvi, Y.; Ghanaiem, O.; Chaushu, G.; Gilat, H. Sialolithiasis—Do Early Diagnosis and Removal Minimize Post-Operative Morbidity? Medicina 2020, 56, 332. https://doi.org/10.3390/medicina56070332
Avishai G, Ben-Zvi Y, Ghanaiem O, Chaushu G, Gilat H. Sialolithiasis—Do Early Diagnosis and Removal Minimize Post-Operative Morbidity? Medicina. 2020; 56(7):332. https://doi.org/10.3390/medicina56070332
Chicago/Turabian StyleAvishai, Gal, Yehonatan Ben-Zvi, Omar Ghanaiem, Gavriel Chaushu, and Hanna Gilat. 2020. "Sialolithiasis—Do Early Diagnosis and Removal Minimize Post-Operative Morbidity?" Medicina 56, no. 7: 332. https://doi.org/10.3390/medicina56070332
APA StyleAvishai, G., Ben-Zvi, Y., Ghanaiem, O., Chaushu, G., & Gilat, H. (2020). Sialolithiasis—Do Early Diagnosis and Removal Minimize Post-Operative Morbidity? Medicina, 56(7), 332. https://doi.org/10.3390/medicina56070332

