Diffusion-Weighted Magnetic Resonance Imaging as a Noninvasive Parameter for Differentiating Benign and Malignant Intraperitoneal Collections
Abstract
1. Introduction
2. Materials and Methods
2.1. Study Group
2.2. Fluid Analysis
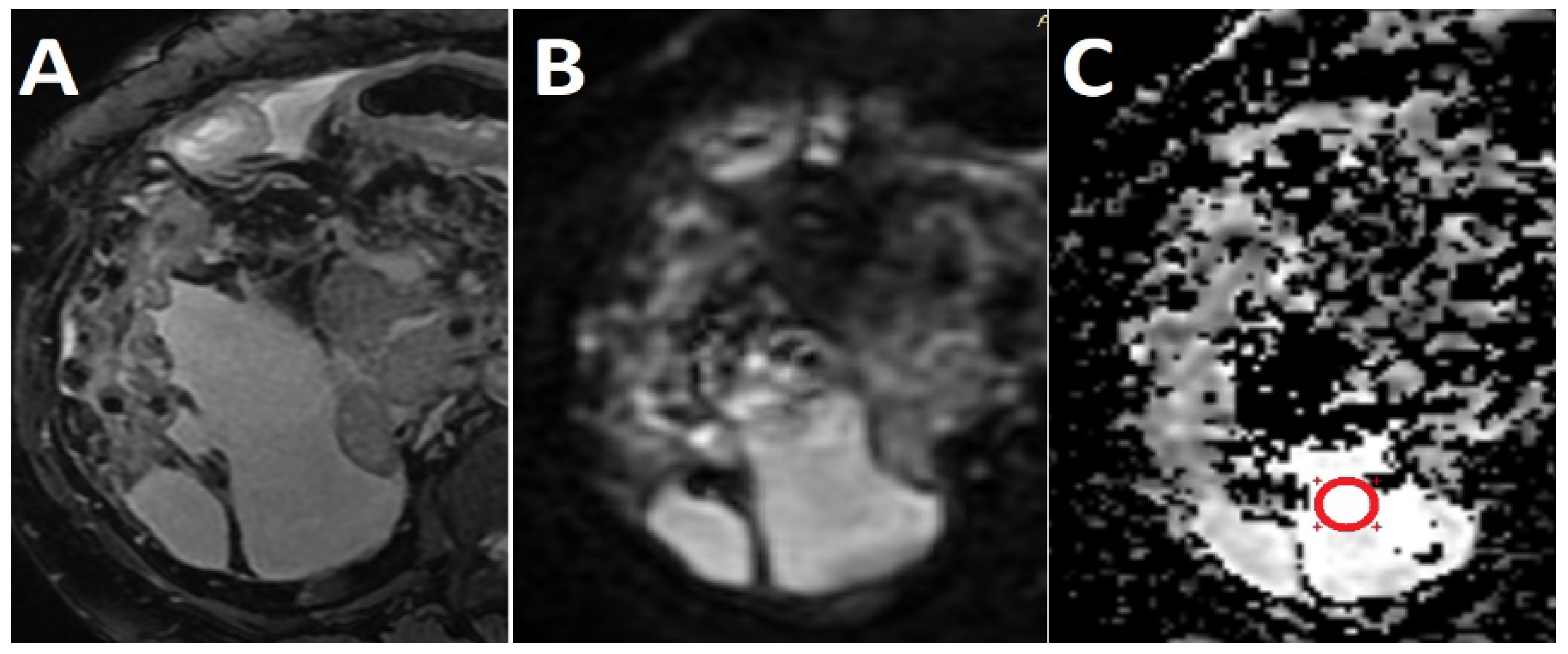
2.3. MRI Examination and Image Interpretation
2.4. Statistical Analysis
3. Results
4. Discussion
5. Conclusions
Author Contributions
Funding
Acknowledgments
Conflicts of Interest
References
- Singh, S.; Devi, Y.S.; Bhalothia, S.; Gunasekaran, V. Peritoneal Carcinomatosis: Pictorial Review of Computed Tomography Findings. Int. J. Adv. Res. 2016, 4, 735–748. [Google Scholar] [CrossRef]
- Funicelli, L.; Travaini, L.L.; Landoni, F.; Trifirò, G.; Bonello, L.; Bellomi, M. Peritoneal carcinomatosis from ovarian cancer: The role of CT and [18F]FDG-PET/CT. Abdom. Imaging 2010, 35, 701–707. [Google Scholar] [CrossRef] [PubMed]
- Marin, D.; Catalano, C.; Baski, M.; Di Martino, M.; Geiger, D.; Di Giorgio, A.; Sibio, S.; Passariello, R. 64-Section multi-detector row CT in the preoperative diagnosis of peritoneal carcinomatosis: Correlation with histopathological findings. Abdom. Imaging 2010, 35, 694–700. [Google Scholar] [CrossRef] [PubMed]
- Iafrate, F.; Ciolina, M.; Sammartino, P.; Baldassari, P.; Rengo, M.; Lucchesi, P.; Sibio, S.; Accarpio, F.; Di Giorgio, A.; Laghi, A. Peritoneal carcinomatosis: Imaging with 64-MDCT and 3T MRI with diffusion-weighted imaging. Abdom. Imaging 2012, 37, 616–627. [Google Scholar] [CrossRef]
- Krishnamurthy, S.; Balasubramaniam, R. Role of Imaging in Peritoneal Surface Malignancies. Indian J. Surg. Oncol. 2016, 7, 441–452. [Google Scholar] [CrossRef][Green Version]
- Khaladkar, S.M.; Aditi, G.; Dhaval, T. Differentiation of malignant and benign ascites by Ultrasonography and/or CT. Int. J. Healthc. Biomed. Res. 2015, 3, 102–116. [Google Scholar]
- Saif, M.W.; Siddiqui, I.A.P.; Sohail, M.A. Management of ascites due to gastrointestinal malignancy. Ann. Saudi Med. 2009, 29, 369–377. [Google Scholar] [CrossRef]
- Huang, L.-L.; Xia, H.H.-X.; Zhu, S.-L. Ascitic Fluid Analysis in the Differential Diagnosis of Ascites: Focus on Cirrhotic Ascites. J. Clin. Transl. Hepatol. 2014, 2, 58–64. [Google Scholar] [CrossRef]
- Kim, H.-J.; Lee, S.-Y.; Shin, Y.R.; Park, C.S.; Kim, K. The Value of Diffusion-Weighted Imaging in the Differential Diagnosis of Ovarian Lesions: A Meta-Analysis. PLoS ONE 2016, 11, e0149465. [Google Scholar] [CrossRef]
- Badawy, M.E.; Hamesa, M.; Elaggan, A.; Nooman, A.E.; Gabr, M. Can diffusion weighted MRI differentiate between inflammatory-infectious and malignant pleural effusions? Egypt. J. Radiol. Nucl. Med. 2015, 98, 63–67. [Google Scholar] [CrossRef]
- UFO Themes. Peritoneal Fluid Collections, Peritonitis, and Peritoneal Abscess, Radiology Key. 2019. Available online: https://radiologykey.com/peritoneal-fluid-collections-peritonitis-and-peritoneal-abscess/ (accessed on 12 March 2020).
- McMullen, J.R.W.; Selleck, M.; Wall, N.R.; Senthil, M. Peritoneal carcinomatosis: Limits of diagnosis and the case for liquid biopsy. Oncotarget 2017, 8, 43481–43490. [Google Scholar] [CrossRef] [PubMed]
- Patel, C.M.; Sahdev, A.; Reznek, R.H. CT, MRI and PET imaging in peritoneal malignancy. Cancer Imaging 2011, 11, 123–139. [Google Scholar] [CrossRef] [PubMed]
- Chou, C.-K.; Liu, G.-C.; Chen, L.-T.; Jaw, T.-S. MRI manifestations of peritoneal carcinomatosis. Gastrointest. Radiol. 1992, 17, 336–338. [Google Scholar] [CrossRef] [PubMed]
- Agostinho, L.; Horta, M.; Salvador, J.C.; Cunha, T.M. Benign ovarian lesions with restricted diffusion. Radiol. Bras. 2019, 52, 106–111. [Google Scholar] [CrossRef]
- Baysal, T.; Bulut, T.; Gokirmak, M.; Kalkan, S.; Dusak, A.; Dogan, M. Diffusionweighted MR imaging of pleural fluid: Differentiation of transudative vs exudative pleural effusions. Eur. Radiol. 2004, 14, 890–896. [Google Scholar] [CrossRef]
- Keskin, Z.; Yeşildağ, M.; Alkan, E.; Kayhan, A.; Tolu, İ.; Keskin, S. Differentiation Between Transudative and Exudative Pleural Effusions by Diffusion Weighted Magnetic Resonance Imaging. Iran. J. Radiol. 2019, in press. [Google Scholar] [CrossRef]
- İnan, N.; Arslan, A.; Akansel, G.; Arslan, Z.; Eleman, L.; Demirci, A. Diffusion-weighted MRI in the characterization of pleural effusions. Diagn. Interv. Radiol. 2009, 15, 13–18. [Google Scholar]
- b-Value Diffusion. Questions and Answers in MRI. n.d. Available online: http://mriquestions.com/what-is-the-b-value.html (accessed on 22 April 2020).
- DWI. Questions and Answers in MRI. n.d. Available online: http://mriquestions.com/making-a-dw-image.html (accessed on 22 April 2020).
- Mazaheri, Y.; Vargas, H.A.; Akin, O.; Goldman, D.A.; Hricak, H. Reducing the influence of b-value selection on diffusion-weighted imaging of the prostate: Evaluation of a revised monoexponential model within a clinical setting. J. Magn. Reson. Imaging 2012, 35, 660–668. [Google Scholar] [CrossRef][Green Version]
- Riches, S.F.; Hawtin, K.; Charles-Edwards, E.M.; de Souza, N.M. Diffusion-weighted imaging of the prostate and rectal wall: Comparison of biexponential and monoexponential modelled diffusion and associated perfusion coefficients. NMR Biomed. 2009, 22, 318–325. [Google Scholar] [CrossRef]
- Kim, C.K.; Park, B.K.; Kim, B. High-b-value diffusion-weighted imaging at 3 T to detect prostate cancer: Comparisons between b values of 1000 and 2000 s/mm2. Am. J. Roentgenol. 2010, 194, W33–W37. [Google Scholar] [CrossRef]
- Thörmer, G.; Otto, J.; Reiss-Zimmermann, M.; Seiwerts, M.; Moche, M.; Garnov, N.; Franz, T.; Do, M.; Stolzenburg, J.U.; Kahn, T.; et al. Diagnostic value of ADC in patients with prostate cancer: Influence of the choice of b values. Eur. Radiol. 2012, 22, 1820–1828. [Google Scholar] [CrossRef] [PubMed]
- Kitajima, K.; Kaji, Y.; Kuroda, K.; Sugimura, K. High b-value diffusion-weighted imaging in normal and malignant peripheral zone tissue of the prostate: Effect of signal-to-noise ratio. Magn. Reson. Med. Sci. 2008, 7, 93–99. [Google Scholar] [CrossRef] [PubMed]
- DeLano, M.C.; Cooper, T.G.; Siebert, J.E.; Potchen, M.J.; Kuppusamy, K. High-b-value diffusion-weighted MR imaging of adult brain: Image contrast and apparent diffusion coefficient map features. Am. J. Neuroradiol. 2000, 21, 1830–1836. [Google Scholar] [PubMed]
- Zhou, X.; Ma, C.; Wang, Z.; Liu, J.L.; Rui, Y.P.; Li, Y.H.; Peng, Y.F. Effect of region of interest on ADC and interobserver variability in thyroid nodules. BMC Med. Imaging 2019, 19. [Google Scholar] [CrossRef] [PubMed]
- Gity, M.; Moradi, B.; Arami, R.; Arabkheradmand, A.; Kazemi, M.A. Two Different Methods of Region-of-Interest Placement for Differentiation of Benign and Malignant Breast Lesions by Apparent Diffusion Coefficient Value. Asian Pac. J. Cancer Prev. APJCP 2018, 19, 2765–2770. [Google Scholar] [CrossRef]
- Miquel, M.E.; Scott, A.D.; Macdougall, N.D.; Boubertakh, R.; Bharwani, N.; Rockall, A.G. In vitro and in vivo repeatability of abdominal diffusion-weighted MRI. Br. J. Radiol. 2012, 85, 1507–1512. [Google Scholar] [CrossRef]
- Moreau, B.; Iannessi, A.; Hoog, C.; Beaumont, H. How reliable are ADC measurements? A phantom and clinical study of cervical lymph nodes. Eur. Radiol. 2018, 28, 3362–3371. [Google Scholar] [CrossRef]
- Malyarenko, D.; Galbán, C.J.; Londy, F.J.; Meyer, C.R.; Johnson, T.D.; Rehemtulla, A.; Ross, B.D.; Chenevert, T.L. Multi-system repeatability and reproducibility of apparent diffusion coefficient measurement using an ice-water phantom. J. Magn. Reson. Imaging 2013, 37, 1238–1246. [Google Scholar] [CrossRef]
- Zeilinger, M.G.; Lell, M.; Baltzer, P.A.T.; Dörfler, A.; Uder, M.; Dietzel, M. Impact of post-processing methods on apparent diffusion coefficient values. Eur. Radiol. 2017, 27, 946–955. [Google Scholar] [CrossRef]
- Bjelaković, G.; Tasić, T.; Stamenković, I.; Stojković, M.; Katić, V.; Otašinović, M.; Bjelaković, G. Biochemical, cytological and microbiological characteristics of the cirrhotic, malignant and “mixed” ascites. Arch. Oncol. 2001, 9, 95–101. [Google Scholar]
- Živadinović, R.; Petrić, A.; Krtinić, D.; Milosević, J.S.; Dinić, S.P.T. Ascites in Ovarian Carcinoma—Reliability and Limitations of Cytological Analysis. West Indian Med. J. 2015, 64, 236–240. [Google Scholar] [CrossRef] [PubMed]
- Ascitic Fluid Analysis|Ascites Interpretation. Geeky Medics. 2018. Available online: https://geekymedics.com/ascitic-fluid-analysis/ (accessed on 4 December 2019).
- Approach to the Patient with Ascites—OpenThink Labs—Research and Development Division of Negeri Pelangi—A Pay it Forward Community. n.d. Available online: http://wiki.openthinklabs.com/science-corner/kesehatan/penyakit-perut/ascites/research-paper/approach-to-the-patient-with-ascites (accessed on 4 December 2019).
- Malignant Ascites: Diagnosis and Management. Cancer Therapy Advisor. 2015. Available online: https://www.cancertherapyadvisor.com/home/cancer-topics/general-oncology/malignant-ascites-diagnosis-and-management/ (accessed on 4 December 2019).
- Runyon, B.A.; Hoefs, J.C.; Morgan, T.R. Ascitic fluid analysis in malignancy-related ascites. Hepatology 1988, 8, 1104–1109. [Google Scholar] [CrossRef] [PubMed]
- Parsons, S.L.; Watson, S.A.; Steele, R.J. Malignant ascites. Br. J. Surg. 1996, 83, 6–14. [Google Scholar] [CrossRef] [PubMed]
- Garrison, R.N.; Kaelin, L.D.; Galloway, R.H.; Heuser, L.S. Malignant ascites. Clinical and experimental observations. Ann. Surg. 1986, 203, 644–651. [Google Scholar] [CrossRef]
- Karoo, R.; Lloyd, T.; Garcea, G.; Redway, H.; Robertson, G. How valuable is ascitic cytology in the detection and management of malignancy? Postgrad. Med. J. 2003, 79, 292–294. [Google Scholar] [CrossRef]
- Cibas, E.S. Peritoneal washings. In Cytology Diagnostic Principles and Clinical Correlates, 2nd ed.; Cibas, E.S., Ducatman, B.S., Eds.; Saunders: Edingburgh, UK, 2003; p. 145. [Google Scholar]
- Michael, C.W.; Davidson, B. Pre-analytical issues in effusion cytology. Pleura Peritoneum 2016, 1, 45–56. [Google Scholar] [CrossRef]




| Benign Group (n = 37) | n |
| liver cirrhosis | 22 |
| peritoneal tuberculosis | 1 |
| intra-peritoneal abscess | 4 |
| intestinal ischemia | 2 |
| nephrogenic ascites | 2 |
| pancreatitis-related collections | 6 |
| Malignant Group (n = 24) | |
| colorectal cancer | 7 |
| gastric cancer | 5 |
| endometrial carcinoma | 2 |
| ovarian carcinoma | 10 |
© 2020 by the authors. Licensee MDPI, Basel, Switzerland. This article is an open access article distributed under the terms and conditions of the Creative Commons Attribution (CC BY) license (http://creativecommons.org/licenses/by/4.0/).
Share and Cite
Ștefan, P.-A.; Csutak, C.; Lebovici, A.; Rusu, G.M.; Mihu, C.M. Diffusion-Weighted Magnetic Resonance Imaging as a Noninvasive Parameter for Differentiating Benign and Malignant Intraperitoneal Collections. Medicina 2020, 56, 217. https://doi.org/10.3390/medicina56050217
Ștefan P-A, Csutak C, Lebovici A, Rusu GM, Mihu CM. Diffusion-Weighted Magnetic Resonance Imaging as a Noninvasive Parameter for Differentiating Benign and Malignant Intraperitoneal Collections. Medicina. 2020; 56(5):217. https://doi.org/10.3390/medicina56050217
Chicago/Turabian StyleȘtefan, Paul-Andrei, Csaba Csutak, Andrei Lebovici, Georgeta Mihaela Rusu, and Carmen Mihaela Mihu. 2020. "Diffusion-Weighted Magnetic Resonance Imaging as a Noninvasive Parameter for Differentiating Benign and Malignant Intraperitoneal Collections" Medicina 56, no. 5: 217. https://doi.org/10.3390/medicina56050217
APA StyleȘtefan, P.-A., Csutak, C., Lebovici, A., Rusu, G. M., & Mihu, C. M. (2020). Diffusion-Weighted Magnetic Resonance Imaging as a Noninvasive Parameter for Differentiating Benign and Malignant Intraperitoneal Collections. Medicina, 56(5), 217. https://doi.org/10.3390/medicina56050217

