Overexpression of KLF17 Predicts a Favorable Prognosis in Patients with Oral Squamous Cell Carcinoma: A Retrospective Study
Abstract
1. Introduction
2. Materials and Methods
2.1. Patients
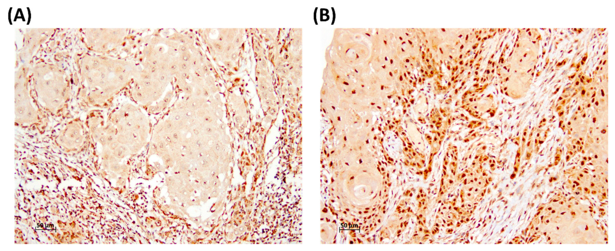
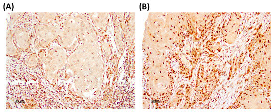
2.2. Immunohistochemical Staining of KLF17
2.3. Patient and Public Involvement
2.4. Statistical Analyses
3. Results
3.1. High KLF17 Expression Levels are More Likely in Early-Stage and Low T-Value Patients with OSCC
3.2. Patients with OSCC with Advanced Stage or Low KLF17 Expression Had a Poor Clinical Outcome
3.3. KLF17 Expression Level as a Prognostic Tool According to Clinicopathological Characteristics of OSCC
4. Discussion
5. Conclusions
Author Contributions
Funding
Conflicts of Interest
References
- Bray, F.; Ferlay, J.; Soerjomataram, I.; Siegel, R.L.; Torre, L.A.; Jemal, A. Global cancer statistics 2018: GLOBOCAN estimates of incidence and mortality worldwide for 36 cancers in 185 countries. CA Cancer J. Clin. 2018, 68, 394–424. [Google Scholar] [CrossRef] [PubMed]
- Dumache, R.; Rogobete, A.F.; Andreescu, N.; Puiu, M. Genetic and Epigenetic Biomarkers of Molecular Alterations in Oral Carcinogenesis. Clin. Lab. 2015, 61, 1373–1381. [Google Scholar] [CrossRef] [PubMed]
- Ferlazzo, N.; Curro, M.; Zinellu, A.; Caccamo, D.; Isola, G.; Ventura, V.; Carru, C.; Matarese, G.; Ientile, R. Influence of MTHFR Genetic Background on p16 and MGMT Methylation in Oral Squamous Cell Cancer. Int. J. Mol. Sci. 2017, 18, 724. [Google Scholar] [CrossRef] [PubMed]
- Kale, A.D.; Angadi, P.V. Tumor budding is a potential histopathological marker in the prognosis of oral squamous cell carcinoma: Current status and future prospects. J. Oral Maxillofac. Pathol. 2019, 23, 318–323. [Google Scholar]
- Matarese, G.; Curro, M.; Isola, G.; Caccamo, D.; Vecchio, M.; Giunta, M.L.; Ramaglia, L.; Cordasco, G.; Williams, R.C.; Ientile, R. Transglutaminase 2 up-regulation is associated with RANKL/OPG pathway in cultured HPDL cells and THP-1-differentiated macrophages. Amino Acids 2015, 47, 2447–2455. [Google Scholar] [CrossRef]
- Zhang, L.; Meng, X.; Zhu, X.W.; Yang, D.C.; Chen, R.; Jiang, Y.; Xu, T. Long non-coding RNAs in Oral squamous cell carcinoma: Biologic function, mechanisms and clinical implications. Mol. Cancer 2019, 18, 102. [Google Scholar] [CrossRef]
- McConnell, B.B.; Yang, V.W. Mammalian Kruppel-like factors in health and diseases. Physiol. Rev. 2010, 90, 1337–1381. [Google Scholar] [CrossRef]
- van Vliet, J.; Crofts, L.A.; Quinlan, K.G.; Czolij, R.; Perkins, A.C.; Crossley, M. Human KLF17 is a new member of the Sp/KLF family of transcription factors. Genomics 2006, 87, 474–482. [Google Scholar] [CrossRef]
- Limame, R.; Op de Beeck, K.; Lardon, F.; De Wever, O.; Pauwels, P. Kruppel-like factors in cancer progression: Three fingers on the steering wheel. Oncotarget 2014, 5, 29–48. [Google Scholar] [CrossRef]
- Tetreault, M.P.; Yang, Y.; Katz, J.P. Kruppel-like factors in cancer. Nat. Rev. Cancer 2013, 13, 701–713. [Google Scholar] [CrossRef]
- Zhou, S.; Tang, X.; Tang, F. Kruppel-like factor 17, a novel tumor suppressor: Its low expression is involved in cancer metastasis. Tumour Biol. 2016, 37, 1505–1513. [Google Scholar] [CrossRef]
- Li, S.; Qin, X.; Cui, A.; Wu, W.; Ren, L.; Wang, X. Low expression of KLF17 is associated with tumor invasion in esophageal carcinoma. Int. J. Clin. Exp. Pathol. 2015, 8, 11157–11163. [Google Scholar] [PubMed]
- Ali, A.; Bhatti, M.Z.; Shah, A.S.; Duong, H.Q.; Alkreathy, H.M.; Mohammad, S.F.; Khan, R.A.; Ahmad, A. Tumor-suppressive p53 Signaling Empowers Metastatic Inhibitor KLF17-dependent Transcription to Overcome Tumorigenesis in Non-small Cell Lung Cancer. J. Biol. Chem. 2015, 290, 21336–21351. [Google Scholar] [CrossRef] [PubMed]
- Cai, X.D.; Zhou, Y.B.; Huang, L.X.; Zeng, Q.L.; Zhang, L.J.; Wang, Q.Q.; Li, S.L.; Feng, J.Q.; Han, A.J. Reduced expression of Kruppel-like factor 17 is related to tumor growth and poor prognosis in lung adenocarcinoma. Biochem. Biophys. Res. Commun. 2012, 418, 67–73. [Google Scholar] [CrossRef] [PubMed]
- Peng, J.J.; Wu, B.; Xiao, X.B.; Shao, Y.S.; Feng, Y.; Yin, M.X. Reduced Kruppel-like factor 17 (KLF17) expression correlates with poor survival in patients with gastric cancer. Arch. Med. Res. 2014, 45, 394–399. [Google Scholar] [CrossRef]
- Liu, F.Y.; Deng, Y.L.; Li, Y.; Zeng, D.; Zhou, Z.Z.; Tian, D.A.; Liu, M. Down-regulated KLF17 expression is associated with tumor invasion and poor prognosis in hepatocellular carcinoma. Med. Oncol. 2013, 30, 425. [Google Scholar] [CrossRef]
- Ye, W.C.; Gao, L.; Huang, J.; Fang, X.M.; Xie, G. Suppressed Kruppellike factor 17 expression induces tumor proliferation, metastasis and a poor prognosis in papillary thyroid carcinoma. Mol. Med. Rep. 2014, 10, 2087–2092. [Google Scholar] [CrossRef][Green Version]
- Hwang, J.C.; Sung, W.W.; Tu, H.P.; Hsieh, K.C.; Yeh, C.M.; Chen, C.J.; Tai, H.C.; Hsu, C.T.; Shieh, G.S.; Chang, J.G.; et al. The Overexpression of FEN1 and RAD54B May Act as Independent Prognostic Factors of Lung Adenocarcinoma. PLoS ONE 2015, 10, e0139435. [Google Scholar] [CrossRef][Green Version]
- Sung, W.W.; Lin, Y.M.; Wu, P.R.; Yen, H.H.; Lai, H.W.; Su, T.C.; Huang, R.H.; Wen, C.K.; Chen, C.Y.; Chen, C.J.; et al. High nuclear/cytoplasmic ratio of Cdk1 expression predicts poor prognosis in colorectal cancer patients. BMC Cancer 2014, 14, 951. [Google Scholar] [CrossRef]
- Sung, W.W.; Wang, Y.C.; Cheng, Y.W.; Lee, M.C.; Yeh, K.T.; Wang, L.; Wang, J.; Chen, C.Y.; Lee, H. A polymorphic -844T/C in FasL promoter predicts survival and relapse in non-small cell lung cancer. Clin. Cancer Res. 2011, 17, 5991–5999. [Google Scholar] [CrossRef]
- Sung, W.W.; Wang, Y.C.; Lin, P.L.; Cheng, Y.W.; Chen, C.Y.; Wu, T.C.; Lee, H. IL-10 promotes tumor aggressiveness via upregulation of CIP2A transcription in lung adenocarcinoma. Clin. Cancer Res. Off. J. Am. Assoc. Cancer Res. 2013, 19, 4092–4103. [Google Scholar] [CrossRef] [PubMed]
- Camacho-Vanegas, O.; Narla, G.; Teixeira, M.S.; DiFeo, A.; Misra, A.; Singh, G.; Chan, A.M.; Friedman, S.L.; Feuerstein, B.G.; Martignetti, J.A. Functional inactivation of the KLF6 tumor suppressor gene by loss of heterozygosity and increased alternative splicing in glioblastoma. Int. J. Cancer 2007, 121, 1390–1395. [Google Scholar] [CrossRef] [PubMed]
- Gao, H.L.; Zhou, N.; Sun, Z.; Dou, X.L.; Guan, M.; Bai, C.M. KLF17 Expression in Colorectal Carcinoma and Its Clinical Significance. Zhongguo Yi Xue Ke Xue Yuan Xue Bao 2016, 38, 69–72. [Google Scholar] [PubMed]
- Lu, X.J.; Shi, Y.; Chen, J.L.; Ma, S. Kruppel-like factors in hepatocellular carcinoma. Tumour Biol. 2015, 36, 533–541. [Google Scholar] [CrossRef]


| Parameters | Case Number | KLF17 Expression | p-Value | |
|---|---|---|---|---|
| Low | High | |||
| Age (year) | 56.7 ± 10.7 | 56.3 ± 12.1 | 0.782 | |
| Gender | ||||
| Female | 45 | 16 (35.6) | 29 (64.4) | 0.028 |
| Male | 238 | 127 (53.4) | 111 (46.6) | |
| Smoking | ||||
| No | 162 | 81 (50.0) | 81 (50.0) | 0.837 |
| Yes | 121 | 62 (51.2) | 59 (48.8) | |
| Betel quid chewing | ||||
| No | 228 | 118 (51.8) | 110 (48.2) | 0.402 |
| Yes | 55 | 25 (45.5) | 30 (54.5) | |
| Differentiation | ||||
| Well | 40 | 15 (37.5) | 25 (62.5) | 0.075 |
| Moderate + Poor | 243 | 128 (52.7) | 115 (47.3) | |
| Stage | ||||
| I | 60 | 23 (38.3) | 37 (61.7) | 0.033 |
| II + III + IV | 223 | 120 (53.8) | 103 (46.2) | |
| T-value | ||||
| 1 | 79 | 32 (40.5) | 47 (59.5) | 0.036 |
| 2 + 3 + 4 | 204 | 111 (54.4) | 93 (45.6) | |
| N-value | ||||
| 0 | 173 | 89 (51.4) | 84 (48.6) | 0.699 |
| 1 + 2 + 3 | 110 | 54 (49.1) | 56 (50.9) | |
| Parameter | Category | Overall Survival | |||
|---|---|---|---|---|---|
| 5-year Survival (%) | HR | 95% CI | p-Value | ||
| Age | ≥57/<57 | 60.5/57.3 | 0.992 | 0.689–1.428 | 0.966 |
| Gender | Male/Female | 56.6/62.6 | 1.277 | 0.731–2.232 | 0.391 |
| Smoking | Yes/No | 58.9/56.4 | 0.919 | 0.638–1.325 | 0.653 |
| Betel quid chewing | Yes/No | 56.7/59.4 | 0.819 | 0.596–1.326 | 0.417 |
| Stage | II + III + IV/I | 54.1/70.4 | 1.775 | 1.062–2.968 | 0.029 |
| KLF17 | Low/High | 49.6/66.5 | 1.614 | 1.114–2.336 | 0.011 |
| Parameter | Category | Overall Survival | |||
|---|---|---|---|---|---|
| Mean Survival (years) | HR | 95% CI | p-Value | ||
| Age | ≥57/<57 | 4.7/4.7 | 0.926 | 0.637–1.347 | 0.689 |
| Gender | Male/Female | 4.6/5.0 | 1.171 | 0.651–2.106 | 0.598 |
| Smoking | Yes/No | 4.8/4.6 | 0.894 | 0.580–1.378 | 0.612 |
| Betel quid chewing | Yes/No | 5.0/4.6 | 0.826 | 0.470–1.450 | 0.505 |
| Stage | II + III + IV/I | 4.5/5.4 | 1.738 | 1.024–2.951 | 0.041 |
| KLF17 | Low/High | 4.3/5.1 | 1.506 | 1.034–2.191 | 0.033 |
| Parameter | Overall Survival 1 | |||
|---|---|---|---|---|
| 5-year Survival (%) 2 | HR | 95% CI | p-Value | |
| All cases 2 | 49.6/66.5 | 1.506 | 1.034–2.191 | 0.033 |
| Age (year) | ||||
| <57 | 50.3/64.8 | 1.351 | 0.828–2.206 | 0.229 |
| ≥57 | 49.2/69.0 | 1.619 | 0.896–2.926 | 0.110 |
| Gender | ||||
| Female | 50.6/72.2 | 1.512 | 0.520–4.394 | 0.447 |
| Male | 49.4/65.5 | 1.475 | 0.987–2.203 | 0.058 |
| Smoking | ||||
| No | 49.0/65.1 | 1.341 | 0.817–2.201 | 0.245 |
| Yes | 50.4/68.2 | 1.701 | 0.951–3.041 | 0.073 |
| Betel quid chewing | ||||
| No | 52.0/62.3 | 1.258 | 0.839–1.888 | 0.267 |
| Yes 2 | 38.2/79.4 | 2.934 | 1.043–8.249 | 0.041 |
| Differentiation | ||||
| Well | 64.6/76.2 | 1.151 | 0.267–4.967 | 0.851 |
| Moderate + Poor 3 | 47.9/64.2 | 1.547 | 1.035–2.311 | 0.033 |
| Stage | ||||
| I | 60.6/77.4 | 1.397 | 0.522–3.736 | 0.506 |
| II + III + IV | 47.5/62.5 | 1.440 | 0.958–2.164 | 0.080 |
| T-value | ||||
| 1 | 52.9/78.1 | 2.471 | 1.076–5.673 | 0.033 |
| 2 + 3 + 4 | 48.5/60.4 | 1.307 | 0.856–1.995 | 0.214 |
| N-value | ||||
| 0 | 61.6/75.9 | 1.652 | 0.933–2.926 | 0.085 |
| 1 + 2 + 3 | 29.8/51.3 | 1.589 | 0.952–2.652 | 0.076 |
© 2020 by the authors. Licensee MDPI, Basel, Switzerland. This article is an open access article distributed under the terms and conditions of the Creative Commons Attribution (CC BY) license (http://creativecommons.org/licenses/by/4.0/).
Share and Cite
Lee, Y.-J.; Chan, L.; Yeh, C.-M.; Lee, C.-H.; Sung, W.-W. Overexpression of KLF17 Predicts a Favorable Prognosis in Patients with Oral Squamous Cell Carcinoma: A Retrospective Study. Medicina 2020, 56, 57. https://doi.org/10.3390/medicina56020057
Lee Y-J, Chan L, Yeh C-M, Lee C-H, Sung W-W. Overexpression of KLF17 Predicts a Favorable Prognosis in Patients with Oral Squamous Cell Carcinoma: A Retrospective Study. Medicina. 2020; 56(2):57. https://doi.org/10.3390/medicina56020057
Chicago/Turabian StyleLee, Yi-Ju, Lung Chan, Chung-Min Yeh, Chien-Hsun Lee, and Wen-Wei Sung. 2020. "Overexpression of KLF17 Predicts a Favorable Prognosis in Patients with Oral Squamous Cell Carcinoma: A Retrospective Study" Medicina 56, no. 2: 57. https://doi.org/10.3390/medicina56020057
APA StyleLee, Y.-J., Chan, L., Yeh, C.-M., Lee, C.-H., & Sung, W.-W. (2020). Overexpression of KLF17 Predicts a Favorable Prognosis in Patients with Oral Squamous Cell Carcinoma: A Retrospective Study. Medicina, 56(2), 57. https://doi.org/10.3390/medicina56020057

