Case Report of Patients with Acute Respiratory Distress Syndrome Caused by COVID-19: Successfully Treated by Venovenous Extracorporeal Membrane Oxygenation and an Ultra-Protective Ventilation
Abstract
1. Introduction
2. Case Report
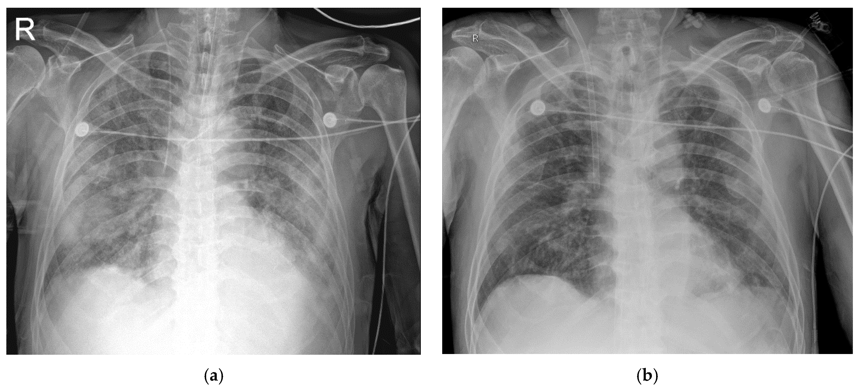
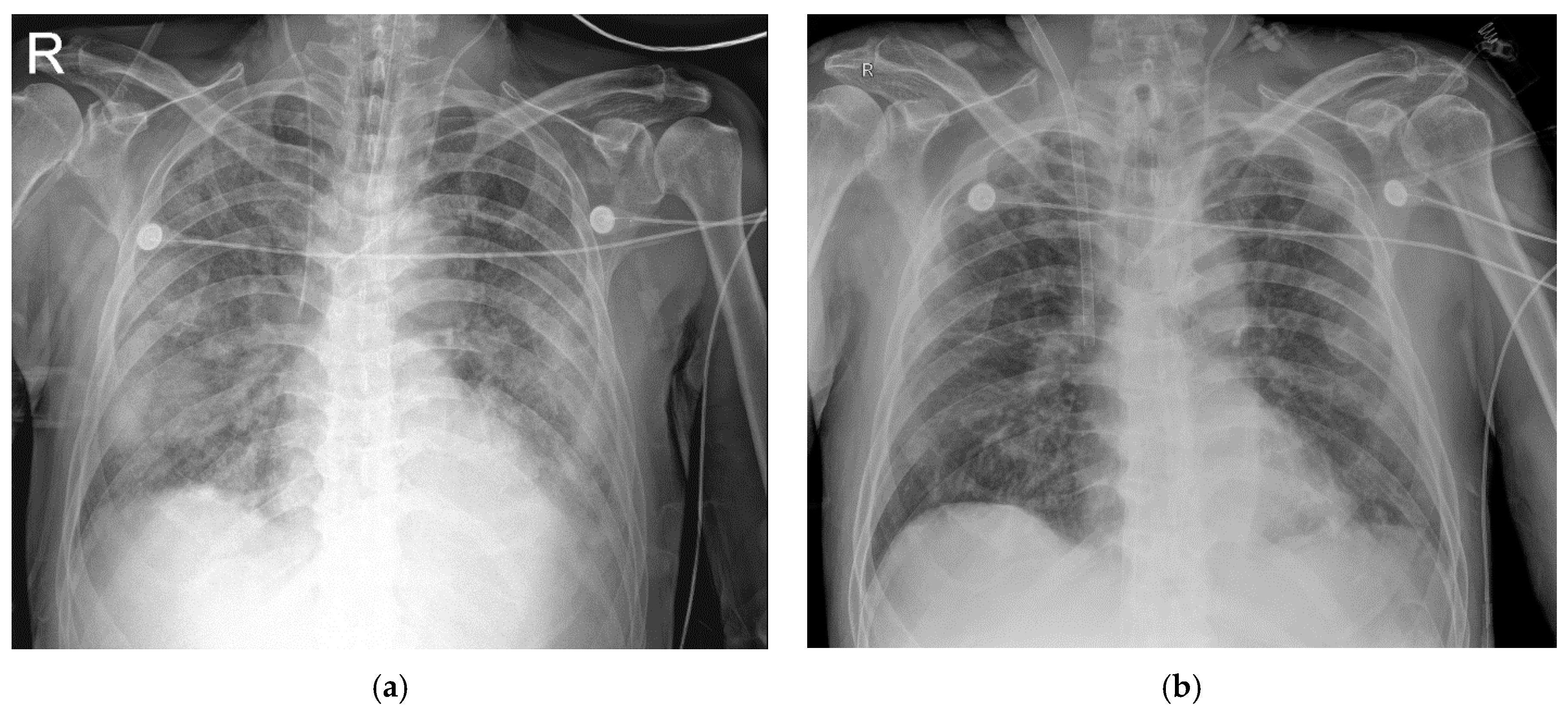
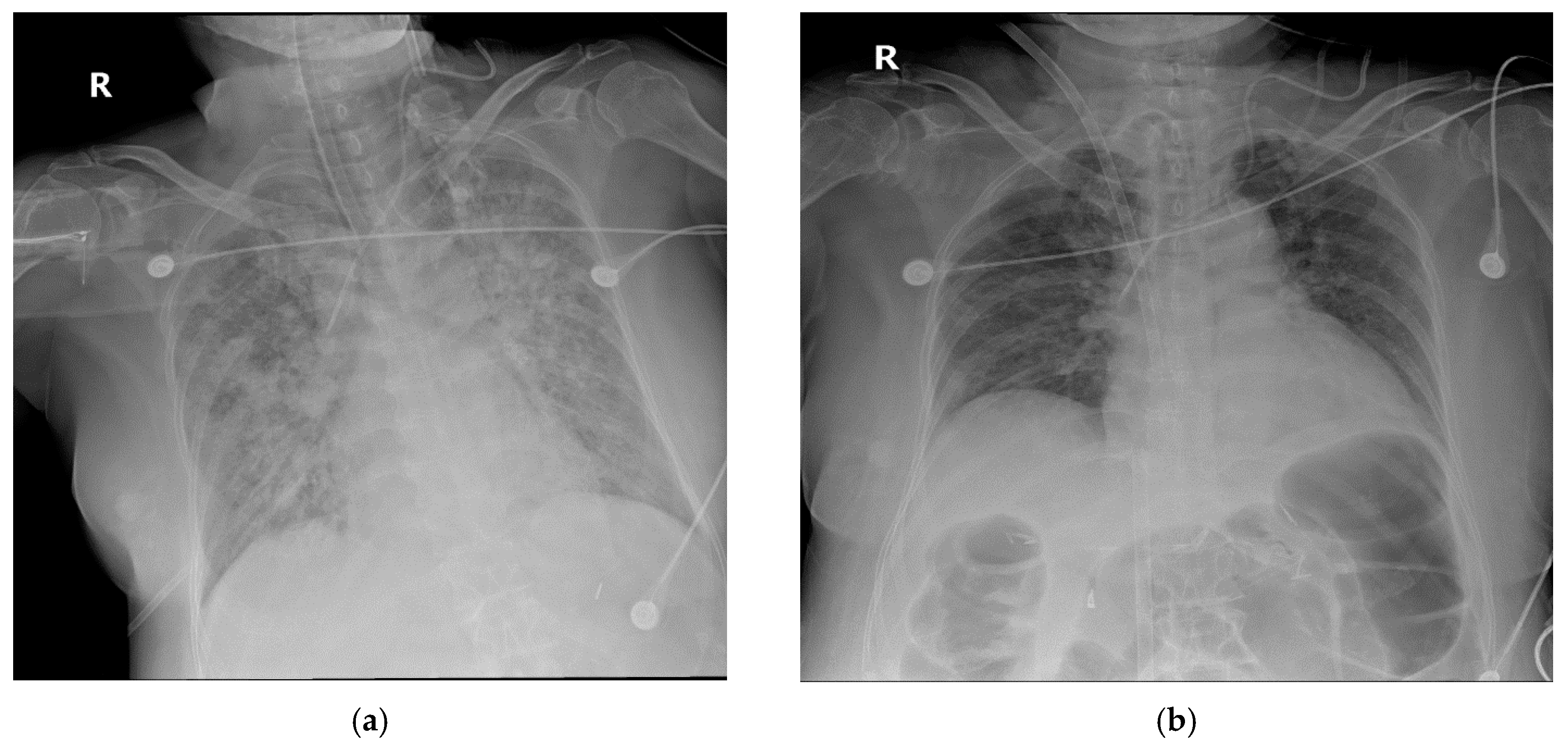
2.1. Case 1
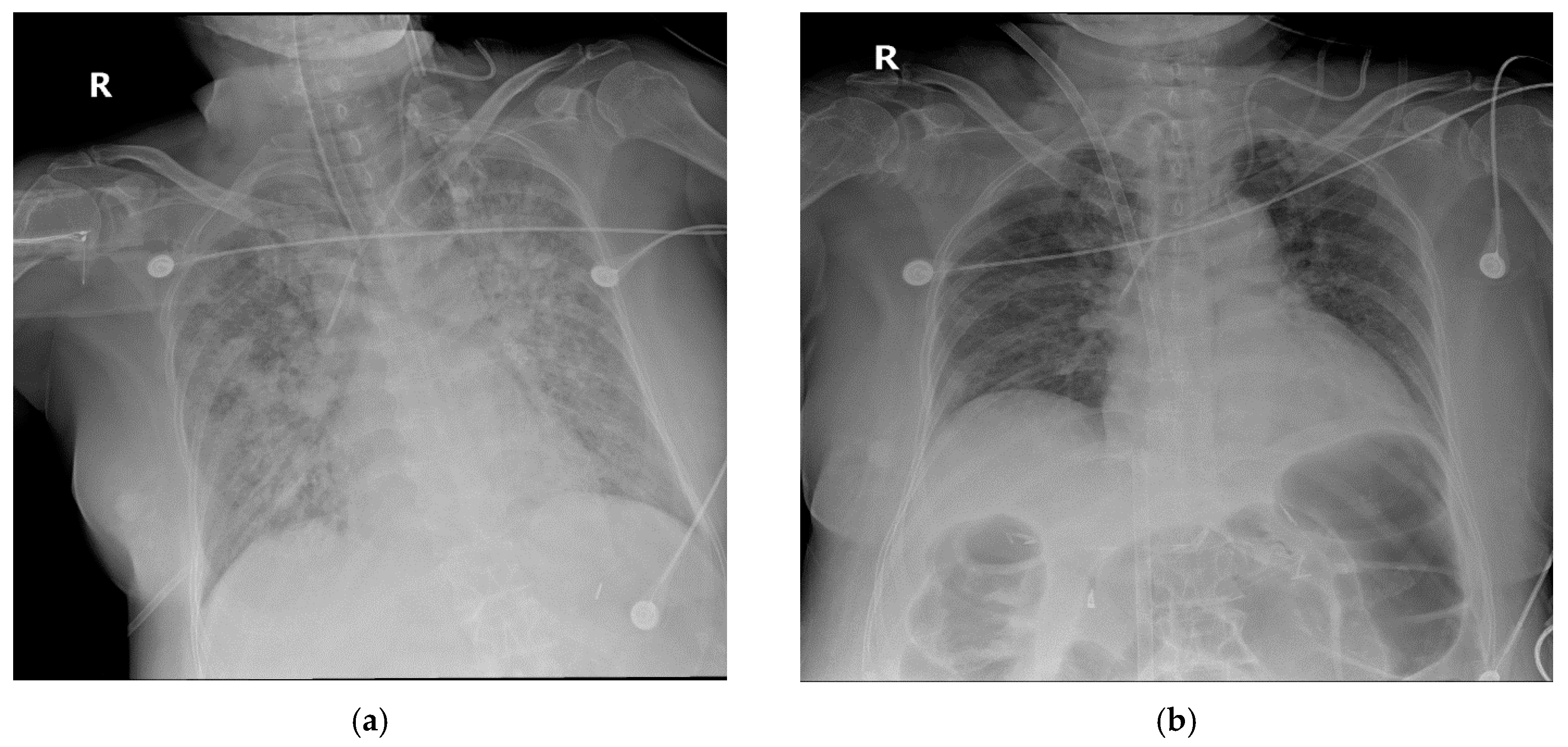
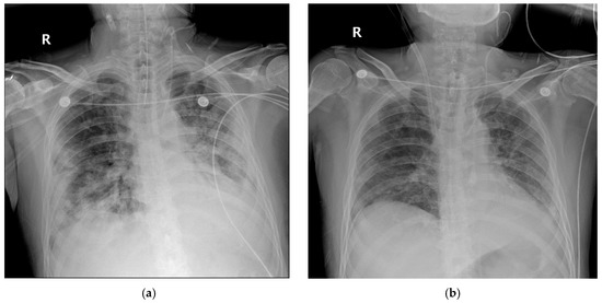
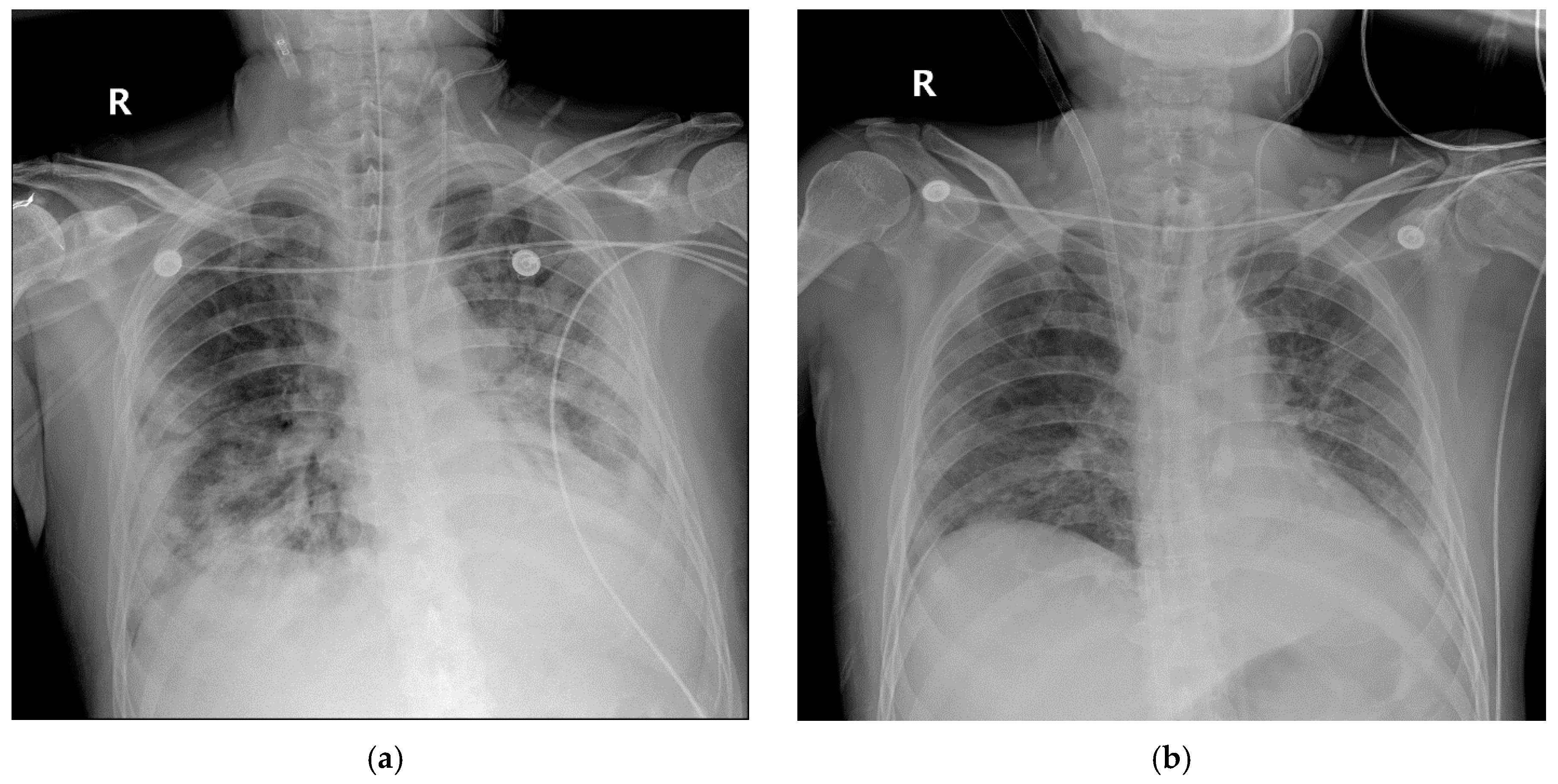
2.2. Case 2
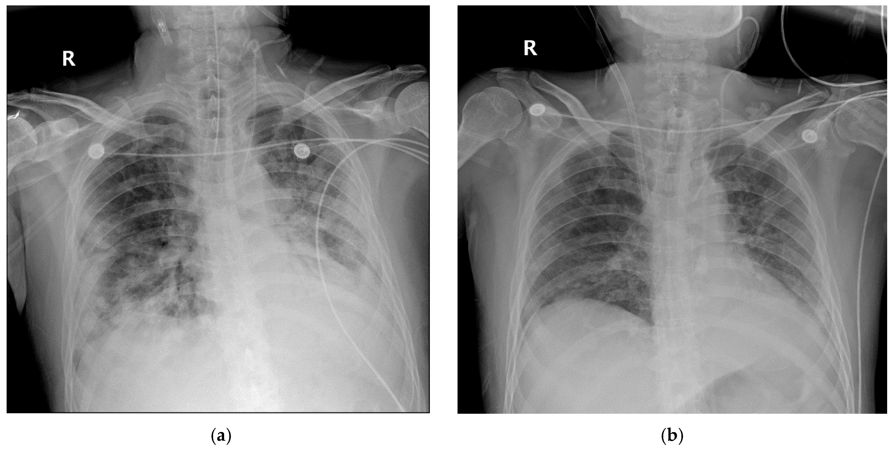
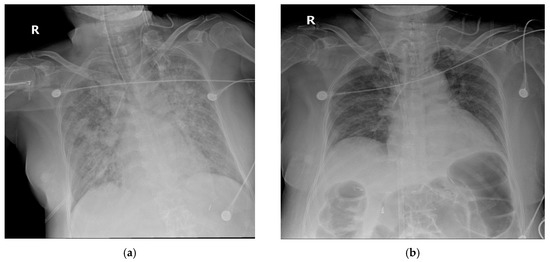
2.3. Case 3
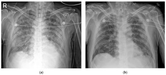
3. Discussion
4. Conclusions
Author Contributions
Funding
Conflicts of Interest
References
- Hopkins, J. Coronavirus Resource Center. Available online: http://www.coronavisu.jhu.edu (accessed on 19 June 2020).
- Luciano, G.; David, C.; Pietro, C.; Mattia, B. COVID-19 pneumonia: Different respiratory treatments for different phenotypes? Intensiv. Care Med. 2020, 46, 1099–1102. [Google Scholar]
- Wang, D.; Hu, B.; Hu, C.; Zhu, F.; Liu, X.; Zhang, J.; Wang, B.; Xiang, H.; Cheng, Z.; Xiong, Y.; et al. Clinical Characteristics of 138 Hospitalized Patients With 2019 Novel Coronavirus–Infected Pneumonia in Wuhan, China. JAMA 2020, 323, 1061. [Google Scholar] [CrossRef] [PubMed]
- Organization WH. Clinical Management of COVID-19 2020. Available online: https://www.who.int/publications/i/item/clinical-management-of-covid-19 (accessed on 19 June 2020).
- Zaim, S.; Chong, J.H.; Sankaranarayanan, V.; Harky, A. COVID-19 and Multiorgan Response. Curr. Probl. Cardiol. 2020, 45, 100618. [Google Scholar] [CrossRef] [PubMed]
- Pham, T.; Combes, A.; Roze, H.; Chevret, S.; Mercat, A.; Roch, A. Extracorporeal membrane oxygenation for pandemic influenza A(H1N1)-induced acute respiratory distress syndrome: A cohort study and propensity-matched analysis. Am. J. Respir. Crit. Care Med. 2013, 187, 276–285. [Google Scholar] [CrossRef] [PubMed]
- Meduri, G.U.; Golden, E.; Freire, A.X.; Taylor, E.; Zaman, M.; Carson, S.J.; Gibson, M.; Umberger, R. Methylprednisolone Infusion in Early Severe ARDS. Chest 2007, 131, 954–963. [Google Scholar] [CrossRef] [PubMed]
- Osho, A.A.; Moonsamy, P.; Hibbert, K.A.; Shelton, K.T.; Trahanas, J.M.; Attia, R.Q.; Bloom, J.P.; Onwugbufor, M.T.; D’Alessandro, D.A.; Villavicencio, M.A.; et al. Veno-venous Extracorporeal Membrane Oxygenation for Respiratory Failure in COVID-19 Patients. Ann. Surg. 2020, 272, e75–e78. [Google Scholar] [CrossRef] [PubMed]
- Jacobs, J.P.; Stammers, A.H.; Louis, J.S.; Hayanga, J.W.A.; Firstenberg, M.S.; Mongero, L.B.; Tesdahl, E.A.; Rajagopal, K.; Cheema, F.H.; Coley, T.; et al. Extracorporeal Membrane Oxygenation in the Treatment of Severe Pulmonary and Cardiac Compromise in Coronavirus Disease 2019: Experience with 32 Patients. ASAIO J. 2020, 66, 722–730. [Google Scholar] [CrossRef] [PubMed]
- Zeng, Y.; Cai, Z.; Xianyu, Y.; Yang, B.X.; Song, T.; Yan, Q. Prognosis when using extracorporeal membrane oxygenation (ECMO) for critically ill COVID-19 patients in China: A retrospective case series. Crit. Care 2020, 24, 1–3. [Google Scholar] [CrossRef] [PubMed]
- Curley, G.F.; Laffey, J.G.; Zhang, H.; Slutsky, A.S. Biotrauma and Ventilator-Induced Lung Injury. Chest 2016, 150, 1109–1117. [Google Scholar] [CrossRef] [PubMed]
- Cabrera-Benitez, P.N.E.; Laffey, M.J.G.; Parotto, M.M.; Spieth, M.P.M.; Villar, M.J.; Zhang, M.H.; Slutsky, M.A.S. Mechanical Ventilation–associated Lung Fibrosis in Acute Respiratory Distress Syndrome. Anesthesiology 2014, 121, 189–198. [Google Scholar] [CrossRef] [PubMed]
- Kim, H.S.; Kim, J.-H.; Chung, C.R.; Hong, S.-B.; Cho, W.H.; Cho, Y.-J.; Sim, Y.S.; Kim, W.-Y.; Kang, B.J.; Park, S.H.; et al. Lung Compliance and Outcomes in Patients With Acute Respiratory Distress Syndrome Receiving ECMO. Ann. Thorac. Surg. 2019, 108, 176–182. [Google Scholar] [CrossRef] [PubMed]
- Rozencwajg, S.; Guihot, A.; Franchineau, G.; Lescroat, M.; Bréchot, N.; Hékimian, G.; Lebreton, G.; Autran, B.; Luyt, C.-E.; Combes, A.; et al. Ultra-Protective Ventilation Reduces Biotrauma in Patients on Venovenous Extracorporeal Membrane Oxygenation for Severe Acute Respiratory Distress Syndrome*. Crit. Care Med. 2019, 47, 1505–1512. [Google Scholar] [CrossRef] [PubMed]
- Villar, J.; Ferrando, C.; Martínez, D.; Ambrós, A.; Muñoz, T.; Soler, J.A.; Aguilar, G.; Alba, F.; González-Higueras, E.; Conesa, L.A.; et al. Dexamethasone treatment for the acute respiratory distress syndrome: A multicentre, randomised controlled trial. Lancet Respir. Med. 2020, 8, 267–276. [Google Scholar] [CrossRef]
- Recovery Collaborative Group. Faculty Opinions recommendation of Dexamethasone in Hospitalized Patients with COVID-19-Preliminary Report. N. Engl. J. Med. 2020. [Google Scholar] [CrossRef]
- Chen, L.; Xiong, J.; Bao, L.; Shi, Y. Convalescent plasma as a potential therapy for COVID-19. Lancet Infect. Dis. 2020, 20, 398–400. [Google Scholar] [CrossRef]






| Patient 1 (4/9) | Patient 2 (6/7) | Patient 3 (6/18) | |
|---|---|---|---|
| Age (years) | 69 | 56 | 58 |
| Gender | Male | Female | Male |
| BMI | 23.2 | 22.9 | 26.3 |
| Hypertension | Yes | No | No |
| Diabetes mellitus | Yes | No | No |
| Bilateral lung involvement | Yes | Yes | Yes |
| SOFA score | 9 | 7 | 10 |
| APACHE II score | 25 | 27 | 33 |
| RESP score | 1/Class III | 5/Class II | 3/Class II |
| Arterial blood gas analysis | |||
| pH | 7.4 | 7.3 | 7.3 |
| PaO2 (cmH2O) | 55.4 | 53.5 | 58.8 |
| PaCO2 (cmH2O) | 52.8 | 32.7 | 57.2 |
| SaO2 (%) | 89.2 | 52.5 | 86.2 |
| Mechanical ventilation | |||
| Tidal volume (mL) | 180 | 45 | 175 |
| PEEP (cmH2O) | 5 | 14 | 14 |
| PaO2/FiO2 | 55.4 | 32.7 | 58.8 |
| Driving pressure (cmH2O) | 10 | 8 | 12 |
| Laboratory | |||
| White blood cells (×109/L) | 9.1 | 16 | 11.3 |
| Neutrophils (%) | 83.4 | 90 | 88.5 |
| Lymphocytes (%) | 10.5 | 2 | 6 |
| Platelet (×109/L) | 289 | 198 | 494 |
| Creatinine (mg/dL) | 0.5 | 0.5 | 0.5 |
| Prothrombin time (%) | 74 | 94 | 92 |
| Activated partial thrombin time (s) | 32.4 | 27.7 | 46.6 |
| C-reactive protein (mg/dL) | 22.6 | 13.9 | 22.3 |
| Procalcitonin (ng/mL) | 0.3 | 0.4 | 0.3 |
| RASS score | −4 | −4 | −5 |
| Patient 1 | Patient 2 | Patient 3 | |
|---|---|---|---|
| Neuromuscular blockers | Yes | Yes | Yes |
| Steroids | Yes | Yes | Yes |
| Hemodynamic support | |||
| ECMO configuration | Veno-venous | Veno-venous | Veno-venous |
| Inflow line site | Right femoral vein | Right femoral vein | Right femoral vein |
| Inflow line size (Fr) | 21 | 21 | 21 |
| Reperfusion line site | Right IVJ | Right IVJ | Right IVJ |
| Reperfusion line size (Fr) | 17 | 17 | 17 |
| Oxygenator | PLS | EBS | PLS |
| Medical therapy | |||
| Antiviral | Lopinavir + ritonavir/Hydroxychloroquine | No | Rilpivirine/Hydroxychloroquine |
| Antibiotics | Meropenem + Colistin inhalation | Cefotaxime + Levofloxacin | Meropenem + Levofloxacin |
| Convalescent plasma therapy | Yes | Yes | Yes |
| Outcomes | |||
| Ventilation duration (days) | 31 | 24 | 33 |
| ECMO duration (days) | 14 | 21 | 28 |
| Bleeding * | No | No | No |
| Superinfection ** | No | No | No |
| Tracheostomy | Yes | Yes | Yes |
| Survival on ECMO | Yes | Yes | Yes |
| Weaned from ECMO | Yes | Yes | Yes |
| ICU LOS (days) | 37 | 26 | 6/14- |
| ICU survival | Yes | Yes | Yes |
| Hospital LOS (days) | 65 | 61 | 64 |
| Hospital survival | Yes | Yes | Yes |
Publisher’s Note: MDPI stays neutral with regard to jurisdictional claims in published maps and institutional affiliations. |
© 2020 by the authors. Licensee MDPI, Basel, Switzerland. This article is an open access article distributed under the terms and conditions of the Creative Commons Attribution (CC BY) license (http://creativecommons.org/licenses/by/4.0/).
Share and Cite
Park, M.H.; Kim, A.J.; Lee, M.-J.; Kim, Y.S.; Kim, J.S. Case Report of Patients with Acute Respiratory Distress Syndrome Caused by COVID-19: Successfully Treated by Venovenous Extracorporeal Membrane Oxygenation and an Ultra-Protective Ventilation. Medicina 2020, 56, 570. https://doi.org/10.3390/medicina56110570
Park MH, Kim AJ, Lee M-J, Kim YS, Kim JS. Case Report of Patients with Acute Respiratory Distress Syndrome Caused by COVID-19: Successfully Treated by Venovenous Extracorporeal Membrane Oxygenation and an Ultra-Protective Ventilation. Medicina. 2020; 56(11):570. https://doi.org/10.3390/medicina56110570
Chicago/Turabian StylePark, Mi Hwa, Ah Jin Kim, Man-Jong Lee, Young Sam Kim, and Jung Soo Kim. 2020. "Case Report of Patients with Acute Respiratory Distress Syndrome Caused by COVID-19: Successfully Treated by Venovenous Extracorporeal Membrane Oxygenation and an Ultra-Protective Ventilation" Medicina 56, no. 11: 570. https://doi.org/10.3390/medicina56110570
APA StylePark, M. H., Kim, A. J., Lee, M.-J., Kim, Y. S., & Kim, J. S. (2020). Case Report of Patients with Acute Respiratory Distress Syndrome Caused by COVID-19: Successfully Treated by Venovenous Extracorporeal Membrane Oxygenation and an Ultra-Protective Ventilation. Medicina, 56(11), 570. https://doi.org/10.3390/medicina56110570
